Highly Pathogenic Avian Influenza H5N8 Outbreak in Backyard Chickens in Serbia
Abstract
Simple Summary
Abstract
1. Introduction
2. Materials and Methods
2.1. Sampling
2.2. Histopathology and Immunohistochemistry
2.3. RT-PCR Assay
3. Results
3.1. Gross Pathologic Lesions
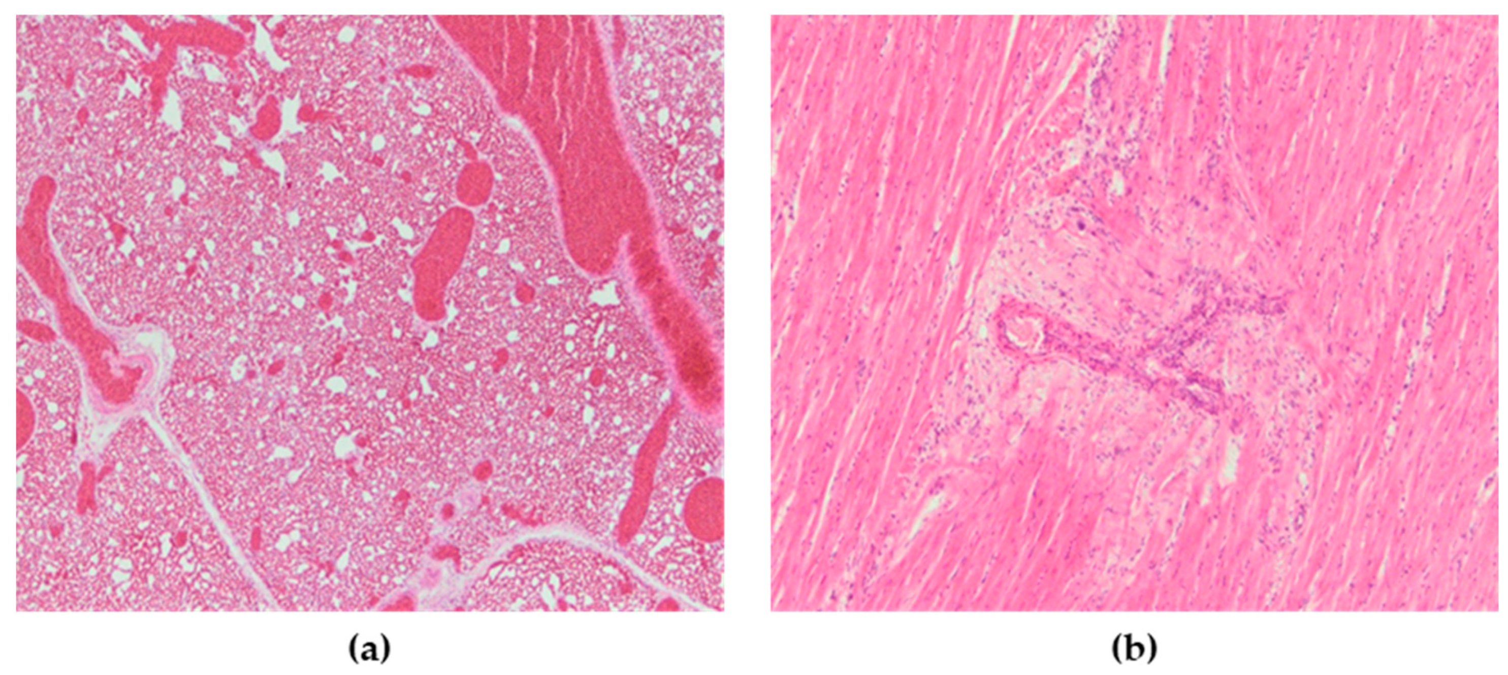
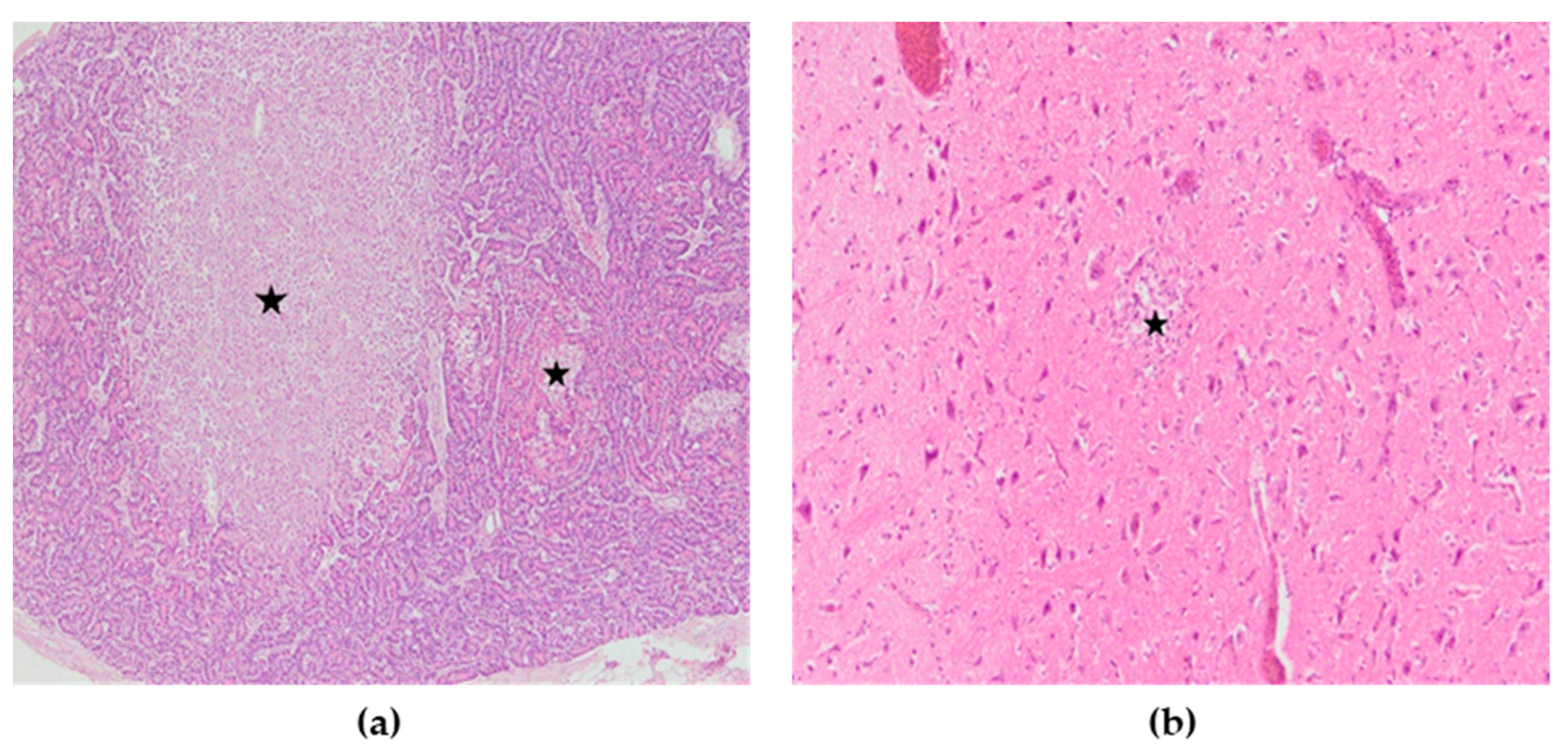
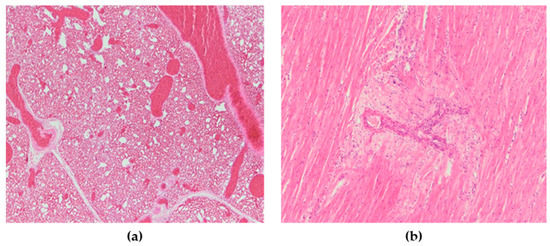
3.2. Microscopic Lesions
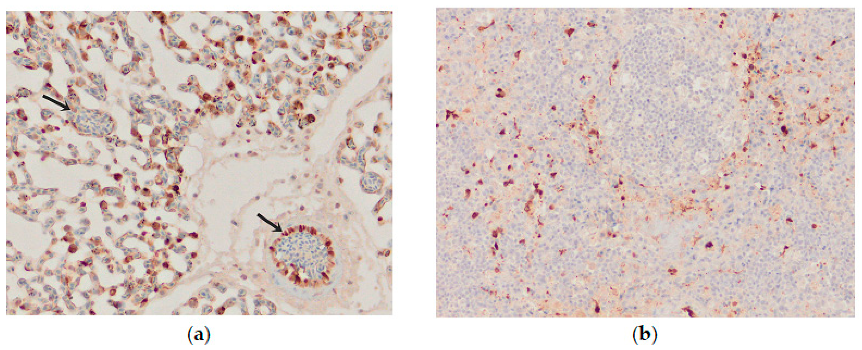
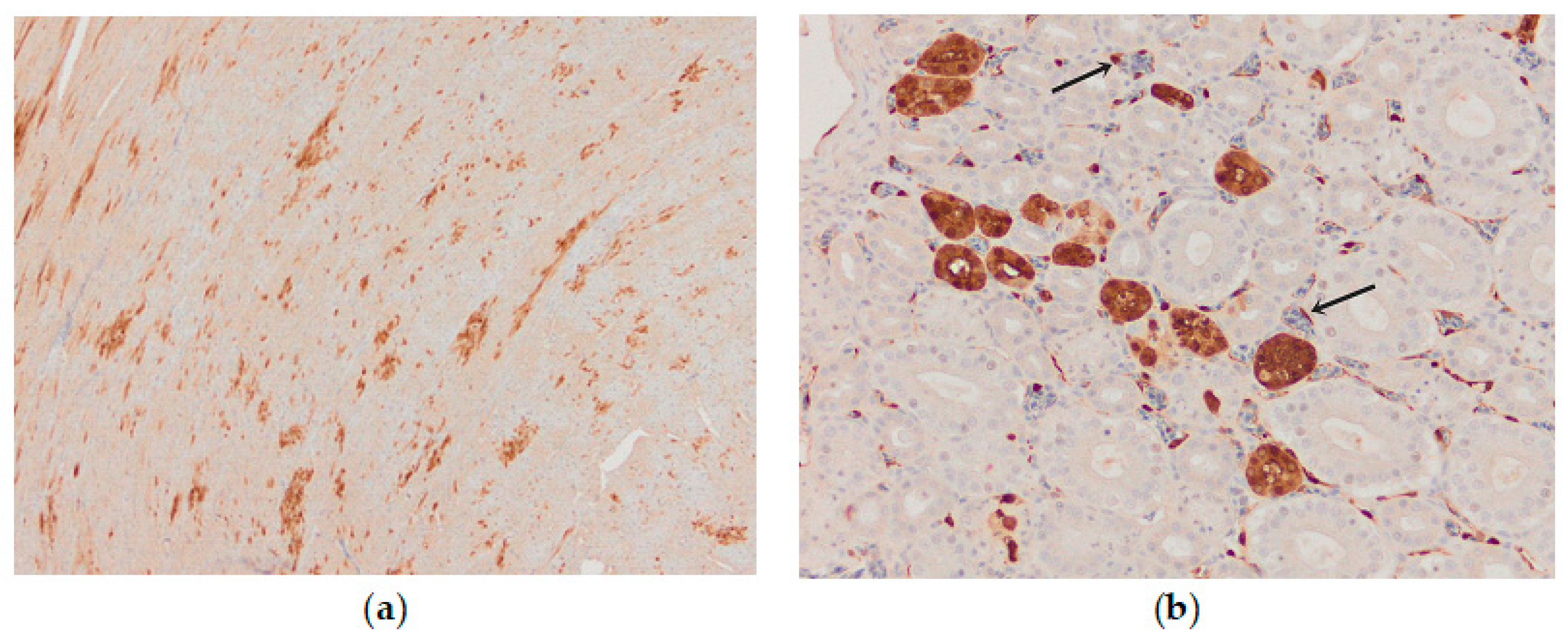
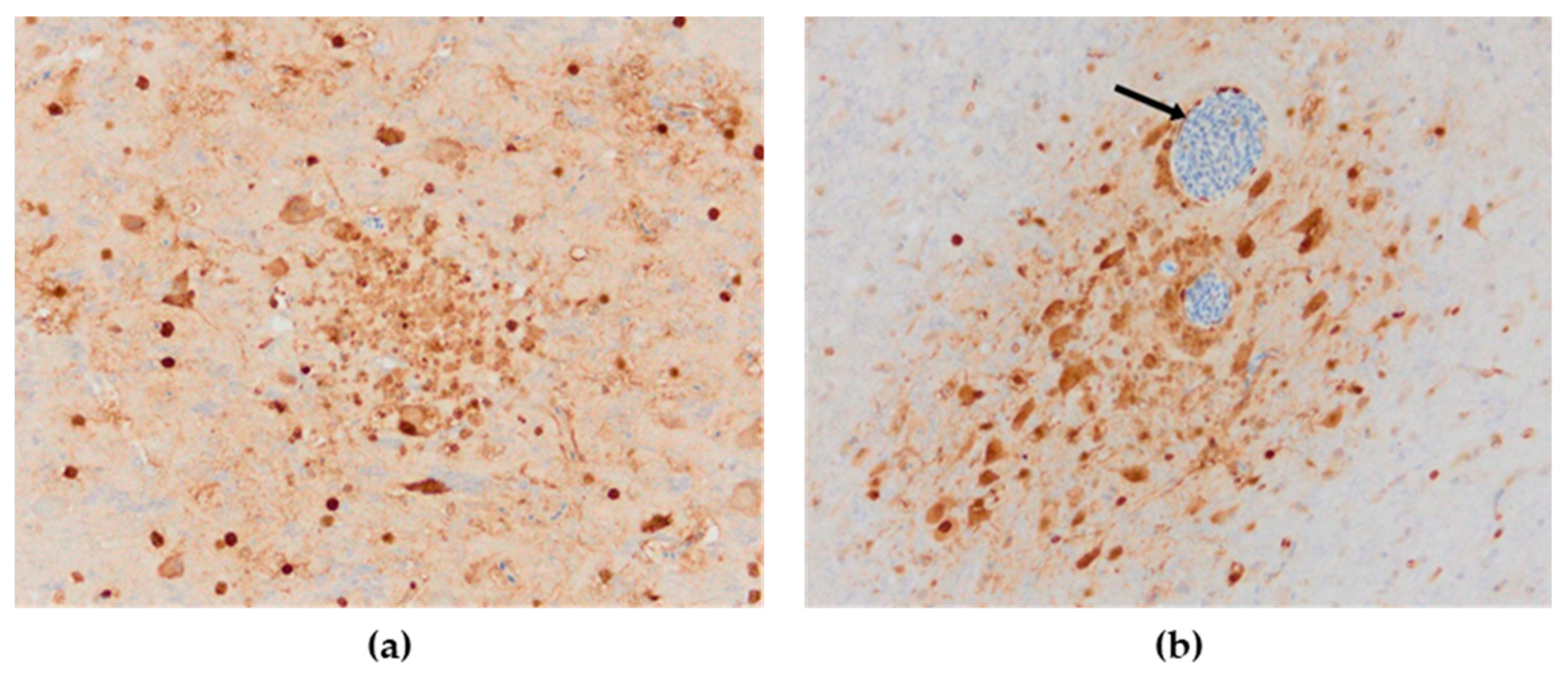
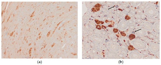
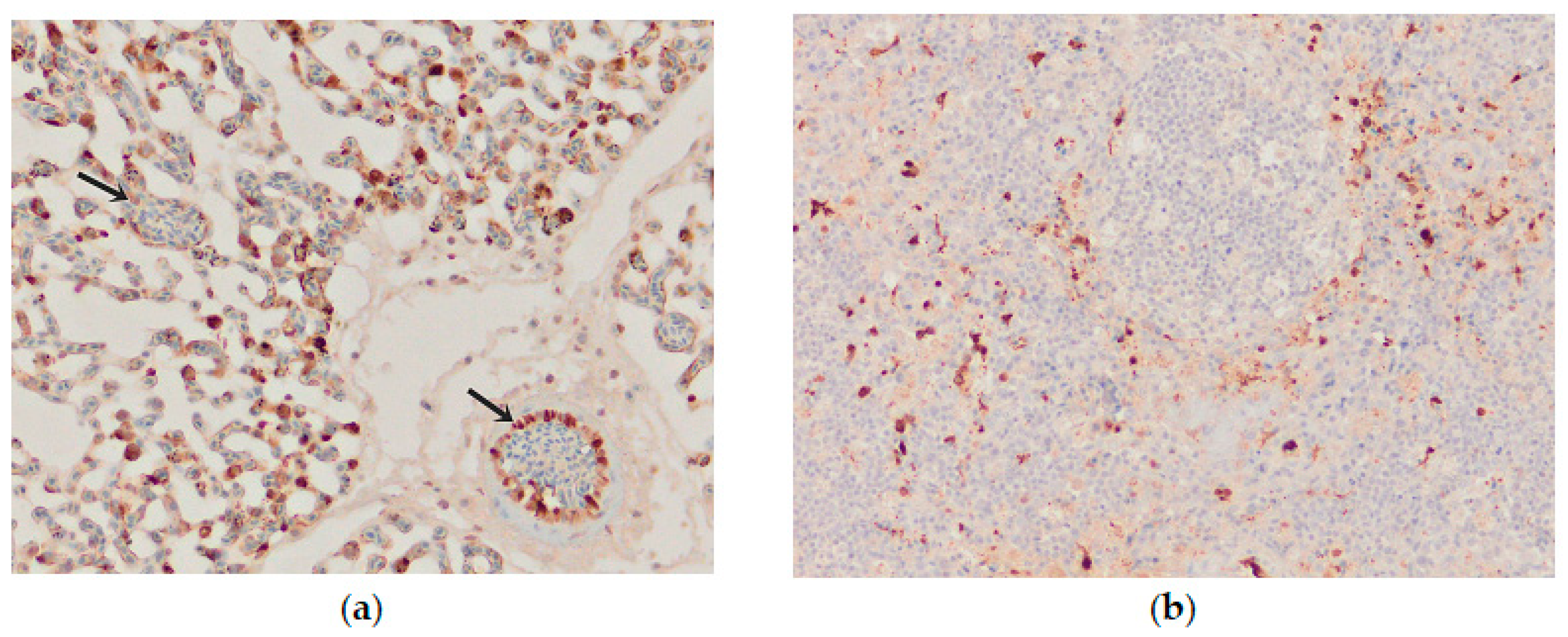
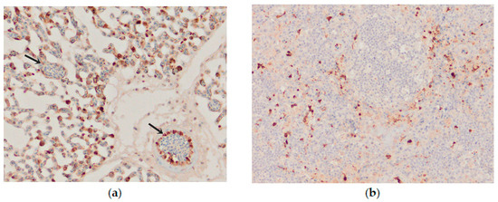
3.3. Immunohistochemistry
3.3.1. Influenza Viral Antigen
3.3.2. Astrocytes
3.4. Molecular Findings
4. Discussions
5. Conclusions
Author Contributions
Funding
Institutional Review Board Statement
Informed Consent Statement
Data Availability Statement
Conflicts of Interest
References
- Zorić, J.M.; Milićević, V.; Stevančević, O.; Chiapponi, C.; Potkonjak, A.; Stojanac, N.; Kureljušić, B.; Veljović, L.; Radosavljević, V.; Savić, B. Phylogenetic analysis of HA and Na genes of swine influenza viruses in Serbia in 2016–2018. Acta Vet. 2020, 70, 110–125. [Google Scholar] [CrossRef]
- Capua, I.; Alexander, D.J. Avian influenza: Recent developments. Avian Pathol. 2004, 33, 393–404. [Google Scholar] [CrossRef] [PubMed]
- Richard, M.; de Graaf, M.; Herfst, S. Avian influenza A viruses: From zoonosis to pandemic. Future Virol. 2014, 9, 513–524. [Google Scholar] [CrossRef] [PubMed]
- Park, S.J.; Si, Y.J.; Kim, J.; Song, M.S.; Kim, S.M.; Kim, E.H.; Kwon, H.I.; Kim, Y.I.; Lee, O.J.; Shin, O.S.; et al. Cross-protective efficacies of highly-pathogenic avian influenza H5N1 vaccines against a recent H5N8 virus. Virology 2016, 498, 36–43. [Google Scholar] [CrossRef]
- Neumann, G.; Chen, H.; Gao, G.F.; Shu, Y.; Kawaoka, Y. H5N1 influenza viruses: Outbreaks and biological properties. Cell Res. 2010, 20, 51–61. [Google Scholar] [CrossRef] [PubMed]
- Kim, Y.I.; Pascua, P.N.; Kwon, H.I.; Lim, G.J.; Kim, E.H.; Yoon, S.W.; Park, S.J.; Kim, S.M.; Choi, E.J.; Si, Y.J.; et al. Pathobiological features of a novel, highly pathogenic avian influenza A(H5N8) virus. Emerg. Microbes Infect. 2014, 3, 1–13. [Google Scholar] [CrossRef] [PubMed]
- Eagles, D.; Siregar, E.S.; Dung, D.H.; Weaver, J.; Wong, F.; Daniels, P. H5N1 highly pathogenic avian influenza in Southeast Asia. Rev. Sci. Tech. 2009, 28, 341–348. [Google Scholar] [CrossRef]
- El-Shesheny, R.; Barman, S.; Feeroz, M.M.; Hasan, M.K.; Jones-Engel, L.; Franks, J.; Turner, J.; Seiler, P.; Walker, D.; Friedman, K.; et al. Genesis of Influenza A(H5N8) Viruses. Emerg. Infect. Dis. 2017, 23, 1368–1371. [Google Scholar] [CrossRef]
- European Food Safety Authority. Highly pathogenic avian influenza A subtype H5N8. EFSA J. 2014, 12, 3941. [Google Scholar] [CrossRef]
- Marchenko, V.Y.; Susloparov, I.M.; Kolosova, N.P.; Goncharova, N.I.; Shipovalov, A.V.; Durymanov, A.G.; Ilyicheva, T.N.; Budatsirenova, L.V.; Ivanova, V.K.; Ignatyev, G.A.; et al. Influenza A(H5N8) virus isolation in Russia, 2014. Arch. Virol. 2015, 160, 2857–2860. [Google Scholar] [CrossRef] [PubMed]
- Lee, D.H.; Torchetti, M.K.; Winker, K.; Ip, H.S.; Song, C.S.; Swayne, D.E. Intercontinental Spread of Asian-Origin H5N8 to North America through Beringia by Migratory Birds. J. Virol. 2015, 89, 6521–6524. [Google Scholar] [CrossRef]
- Global Consortium for H5N8 and Related Influenza Viruses. Role for migratory wild birds in the global spread of avian influenza H5N8. Science 2016, 354, 213–217. [Google Scholar] [CrossRef]
- Lee, D.H.; Bertran, K.; Kwon, J.H.; Swayne, D.E. Evolution, global spread, and pathogenicity of highly pathogenic avian influenza H5Nx clade 2.3.4.4. J. Vet. Sci. 2017, 18, 269–280. [Google Scholar] [CrossRef]
- Lee, D.; Sharshov, K.; Swayne, D.E.; Kurskaya, O.; Sobolev, I.; Kabilov, M.; Alekseev, A.; Irza, V.; Shestopalov, A. Novel Reassortant Clade 2.3.4.4 Avian Influenza A (H5N8) Virus in Wild Aquatic Birds, Russia, 2016. Emerg. Infect. Dis. 2017, 23, 359–360. [Google Scholar] [CrossRef]
- Adlhoch, C.; Brown, I.H.; Angelova, S.G.; Bálint, Á.; Bouwstra, R.; Buda, S.; Castrucci, M.R.; Dabrera, G.; Dán, Á.; Grund, C.; et al. Highly pathogenic avian influenza A(H5N8) outbreaks: Protection and management of exposed people in Europe, 2014/15 and 2016. Eurosurveillance 2016, 21, 30419. [Google Scholar] [CrossRef]
- Verhagen, J.H.; van der Jeugd, H.P.; Nolet, B.A.; Slaterus, R.; Kharitonov, S.P.; de Vries, P.P.; Vuong, O.; Majoor, F.; Kuiken, T.; Fouchier, R.A. Wild bird surveillance around outbreaks of highly pathogenic avian influenza A(H5N8) virus in the Netherlands, 2014, within the context of global flyways. Eurosurveillance 2015, 20, 21069. [Google Scholar] [CrossRef]
- Božić, B.; Vučićević, I.; Polaček, V.; Vasković, N.; Petrović, T.; Pajić, M.; Aleksić-Kovačević, S. Comparative morphologic findings in mute swans naturally infected with highly pathogenic avian influenza viruses H5N1 and H5N8 in Serbia. Vet. Ital. 2019, 55, 95–101. [Google Scholar] [CrossRef]
- Božić, B.; Pajić, M.; Petrović, T.; Pelić, M.; Samojlović, M.; Polaček, V. Pathologic changes in swans infected with highly pathogenic avian influenza (H5N8) virus. Arch. Vet. Med. 2016, 9, 77–86. [Google Scholar] [CrossRef]
- Spackman, E.; Senne, D.A.; Myers, T.J.; Bulaga, L.L.; Garber, L.P.; Perdue, M.L.; Lohman, K.; Daum, L.T.; Suarez, D.L. Development of a real-time reverse transcriptase PCR assay for type A influenza virus and the avian H5 and H7 hemagglutinin subtypes. J. Clin. Microbiol. 2002, 40, 3256–3260. [Google Scholar] [CrossRef] [PubMed]
- Hoffmann, B.; Hoffmann, D.; Henritzi, D.; Beer, M.; Harder, T.C. Riems influenza a typing array (RITA): An RT-qPCR based low density array for subtyping avian and mammalian influenza a viruses. Sci. Rep. 2016, 6, 27211. [Google Scholar] [CrossRef] [PubMed]
- Slomka, M.J.; To, T.L.; Tong, H.H.; Coward, V.J.; Hanna, A.; Shell, W.; Pavlidis, T.; Densham, A.L.E.; Kargiolakis, G.; Arnold, M.E.; et al. Challenges for accurate and prompt molecular diagnosis of clades of highly pathogenic avian influenza H5N1 viruses emerging in Vietnam. Avian Pathol. 2012, 41, 177–193. [Google Scholar] [CrossRef] [PubMed]
- Slomka, M.J.; Coward, V.J.; Banks, J.; Löndt, B.Z.; Brown, I.H.; Voermans, J.; Koch, G.; Handberg, K.J.; Jørgensen, P.H.; Cherbonnel-Pansart, M.; et al. Identification of sensitive and specific avian influenza polymerase chain reaction methods through blind ring trials organized in the European Union. Avian Dis. 2007, 51, 227–234. [Google Scholar] [CrossRef]
- Nagy, A.; Machova, J.; Hornickova, J.; Tomci, M.; Nagl, I.; Horyna, B.; Holko, I. Highly pathogenic avian influenza virus subtype H5N1 in Mute swans in the Czech Republic. Vet. Microbiol. 2007, 120, 9–16. [Google Scholar] [CrossRef]
- Brown, J.D.; Stallknecht, D.E.; Swayne, D.E. Experimental infection of swans and geese with highly pathogenic avian influenza virus (H5N1) of Asian lineage. Emerg. Infect. Dis. 2008, 14, 136–142. [Google Scholar] [CrossRef]
- Feare, C.J. Role of wild birds in the spread of highly pathogenic avian influenza virus H5N1 and implications for global surveillance. Avian Dis. 2010, 54, 201–212. [Google Scholar] [CrossRef]
- Teifke, J.P.; Klopfleisch, R.; Globig, A.; Starick, E.; Hoffmann, B.; Wolf, P.U.; Beer, M.; Mettenleiter, T.C.; Harder, T.C. Pathology of natural infections by H5N1 highly pathogenic avian influenza virus in mute (Cygnus olor) and whooper (Cygnus cygnus) swans. Vet. Pathol. 2007, 44, 137–143. [Google Scholar] [CrossRef]
- Terregino, C.; Milani, A.; Capua, I.; Marino, A.M.; Cavaliere, N. Highly pathogenic avian influenza H5N1 subtype in mute swans in Italy. Vet. Rec. 2006, 158, 491. [Google Scholar] [CrossRef]
- European Food Safety Authority; European Centre for Disease Prevention and Control; European Union Reference Laboratory for Avian influenza; Brown, I.; Mulatti, P.; Smietanka, K.; Staubach, C.; Willeberg, P.; Adlhoch, C.; Candiani, D.; et al. Scientific report on the avian influenza overview October 2016–August 2017. EFSA J. 2017, 15, e05018. [Google Scholar] [CrossRef]
- Bányai, K.; Bistyák, A.T.; Thuma, Á.; Gyuris, É.; Ursu, K.; Marton, S.; Farkas, S.L.; Hortobágyi, E.; Bacsadi, Á.; Dán, Á. Neuroinvasive influenza virus A(H5N8) in fattening ducks, Hungary, 2015. Infect. Genet. Evol. 2016, 43, 418–423. [Google Scholar] [CrossRef] [PubMed]
- Dinev, I.; Zarkov, I.; Goujgoulova, G.V.; Stoimenov, G.M.; Georgiev, G.; Kanakov, D. Pathologic Evaluation of Influenza A H5N8 Infection Outbreaks in Mule Ducks in Bulgaria. Avian Dis. 2020, 64, 203–209. [Google Scholar] [CrossRef] [PubMed]
- European Food Safety Authority; European Centre for Disease Prevention and Control; European Union Reference Laboratory for Avian Influenza; Adlhoch, C.; Fusaro, A.; Gonzales, J.L.; Kuiken, T.; Marangon, S.; Niqueux, É.; Staubach, C.; et al. Avian influenza overview September-December 2022. EFSA J. 2023, 21, e07786. [Google Scholar] [CrossRef]
- Suarez, D.L.; Schultz-Cherry, S. Immunology of avian influenza virus: A review. Dev. Comp. Immunol. 2000, 24, 269–283. [Google Scholar] [CrossRef] [PubMed]
- Pantin-Jackwood, M.J.; Swayne, D.E. Pathogenesis and pathobiology of avian influenza virus infection in birds. Rev. Sci. Tech. 2009, 28, 113–136. [Google Scholar] [CrossRef] [PubMed]
- Perkins, L.E.L.; Swayne, D.E. Pathobiology of A/Chicken/Hong Kong/220/97 (H5N1) Avian Influenza Virus in Seven Gallinaceous Species. Vet. Pathol. 2001, 38, 149–164. [Google Scholar] [CrossRef] [PubMed]
- Perkins, L.E.L.; Swayne, D.E. Comparative Susceptibility of Selected Avian and Mammalian Species to a Hong Kong–Origin H5N1 High-Pathogenicity Avian Influenza Virus. Avian Dis. 2003, 47, 956–967. [Google Scholar] [CrossRef] [PubMed]
- Kim, H.R.; Kwon, Y.K.; Jang, I.; Lee, Y.J.; Kang, H.M.; Lee, E.K.; Song, B.M.; Lee, H.S.; Joo, Y.S.; Lee, K.H.; et al. Pathologic Changes in Wild Birds Infected with Highly Pathogenic Avian Influenza A(H5N8) Viruses, South Korea, 2014. Emerg. Infect. Dis. 2015, 21, 775–780. [Google Scholar] [CrossRef] [PubMed]
- Lean, F.Z.X.; Núñez, A.; Banyard, A.C.; Reid, S.M.; Brown, I.H.; Hansen, R.D.E. Gross pathology associated with highly pathogenic avian influenza H5N8 and H5N1 in naturally infected birds in the UK (2020–2021). Vet. Rec. 2021, 190, e731. [Google Scholar] [CrossRef]
- Anis, A.; AboElkhair, M.; Ibrahim, M. Characterization of highly pathogenic avian influenza H5N8 virus from Egyptian domestic waterfowl in 2017. Avian Pathol. 2018, 47, 400–409. [Google Scholar] [CrossRef]
- Núñez, A.; Brookes, S.M.; Reid, S.M.; Garcia-Rueda, C.; Hicks, D.J.; Seekings, J.M.; Spencer, Y.I.; Brown, I.H. Highly Pathogenic Avian Influenza H5N8 Clade 2.3.4.4 Virus: Equivocal Pathogenicity and Implications for Surveillance Following Natural Infection in Breeder Ducks in the United Kingdom. Transbound. Emerg. Dis. 2016, 63, 5–9. [Google Scholar] [CrossRef]
- Stoute, S.; Chin, R.; Crossley, B.; Gabriel Sentíes-Cué, C.; Bickford, A.; Pantin-Jackwood, M.; Breitmeyer, R.; Jones, A.; Carnaccini, S.; Shivaprasad, H.L. Highly Pathogenic Eurasian H5N8 Avian Influenza Outbreaks in Two Commercial Poultry Flocks in California. Avian Dis. 2016, 60, 688–693. [Google Scholar] [CrossRef]
- Short, K.R.; Veldhuis Kroeze, E.J.; Reperant, L.A.; Richard, M.; Kuiken, T. Influenza virus and endothelial cells: A species specific relationship. Front. Microbiol. 2014, 5, 653. [Google Scholar] [CrossRef] [PubMed]
- Caliendo, V.; Leijten, L.; van de Bildt, M.; Germeraad, E.; Fouchier, R.A.M.; Beerens, N.; Kuiken, T. Tropism of Highly Pathogenic Avian Influenza H5 Viruses from the 2020/2021 Epizootic in Wild Ducks and Geese. Viruses 2022, 14, 280. [Google Scholar] [CrossRef] [PubMed]
- Bae, Y.J.; Lee, S.B.; Min, K.C.; Mo, J.S.; Jeon, E.O.; Koo, B.S.; Kwon, H.I.; Choi, Y.K.; Kim, J.J.; Kim, J.N.; et al. Pathological Evaluation of Natural Cases of a Highly Pathogenic Avian Influenza Virus, Subtype H5N8, in Broiler Breeders and Commercial Layers in South Korea. Avian Dis. 2015, 59, 175–182. [Google Scholar] [CrossRef] [PubMed]
- Keawcharoen, J.; van Riel, D.; van Amerongen, G.; Bestebroer, T.; Beyer, W.E.; van Lavieren, R.; Osterhaus, A.D.; Fouchier, R.A.; Kuiken, T. Wild ducks as long-distance vectors of highly pathogenic avian influenza virus (H5N1). Emerg. Infect. Dis. 2008, 14, 600–607. [Google Scholar] [CrossRef]
- Kommers, G.D.; King, D.J.; Seal, B.S.; Carmichael, K.P.; Brown, C.C. Pathogenesis of six pigeon-origin isolates of Newcastle disease virus for domestic chickens. Vet. Pathol. 2002, 39, 353–362. [Google Scholar] [CrossRef]
- Bröjer, C.; Agren, E.O.; Uhlhorn, H.; Bernodt, K.; Jansson, D.S.; Gavier-Widén, D. Characterization of encephalitis in wild birds naturally infected by highly pathogenic avian influenza H5N1. Avian Dis. 2012, 56, 144–152. [Google Scholar] [CrossRef]
- Montgomery, D.L. Astrocytes—Form, functions, and roles in disease. Vet. Pathol. 1994, 31, 145–167. [Google Scholar] [CrossRef]











| Organ | Histopathology | IHC Score | IHC Positive Cell Type |
|---|---|---|---|
| Brain | Microgliosis and necrosis, non-purulent meningitis, neuronophagia and encephalomalacia | +++ | Neurons, glial cells, endothelial cells |
| Pancreas | Necrosis | +++ | Necrotic acinar epithelial cells |
| Lung | Congestion, hemorrhages | +++ | Endothelial cells, macrophages |
| Heart | Subepicardial hemorrhages, myocardial degeneration | ++ | Cardiac myocytes |
| Intestine | Catarrhal enteritis | + | Enterocytes |
| Kidney | Tubular necrosis, hemorrhages | ++ | Tubular epithelial cells; endothelium of the glomerular capillaries |
| Spleen | Necrosis, hemorrhages | +++ | Endothelial cells, macrophages |
Disclaimer/Publisher’s Note: The statements, opinions and data contained in all publications are solely those of the individual author(s) and contributor(s) and not of MDPI and/or the editor(s). MDPI and/or the editor(s) disclaim responsibility for any injury to people or property resulting from any ideas, methods, instructions or products referred to in the content. |
© 2023 by the authors. Licensee MDPI, Basel, Switzerland. This article is an open access article distributed under the terms and conditions of the Creative Commons Attribution (CC BY) license (https://creativecommons.org/licenses/by/4.0/).
Share and Cite
Djurdjević, B.; Polaček, V.; Pajić, M.; Petrović, T.; Vučićević, I.; Vidanović, D.; Aleksić-Kovačević, S. Highly Pathogenic Avian Influenza H5N8 Outbreak in Backyard Chickens in Serbia. Animals 2023, 13, 700. https://doi.org/10.3390/ani13040700
Djurdjević B, Polaček V, Pajić M, Petrović T, Vučićević I, Vidanović D, Aleksić-Kovačević S. Highly Pathogenic Avian Influenza H5N8 Outbreak in Backyard Chickens in Serbia. Animals. 2023; 13(4):700. https://doi.org/10.3390/ani13040700
Chicago/Turabian StyleDjurdjević, Biljana, Vladimir Polaček, Marko Pajić, Tamaš Petrović, Ivana Vučićević, Dejan Vidanović, and Sanja Aleksić-Kovačević. 2023. "Highly Pathogenic Avian Influenza H5N8 Outbreak in Backyard Chickens in Serbia" Animals 13, no. 4: 700. https://doi.org/10.3390/ani13040700
APA StyleDjurdjević, B., Polaček, V., Pajić, M., Petrović, T., Vučićević, I., Vidanović, D., & Aleksić-Kovačević, S. (2023). Highly Pathogenic Avian Influenza H5N8 Outbreak in Backyard Chickens in Serbia. Animals, 13(4), 700. https://doi.org/10.3390/ani13040700

