Immunoexpression of Spexin in Selected Segments of the Bovine (Bos taurus taurus) Gastrointestinal Tract
Abstract
Simple Summary
Abstract
1. Introduction
2. Materials and Methods
2.1. Animals and Tissue Processing
2.2. Gene Expression Quantification
2.3. Immunohistochemistry
2.4. Evaluation of the IHC Reaction Intensity
2.5. Statistical Analysis
3. Results
3.1. Relative Gene Expression Levels
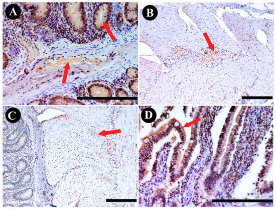
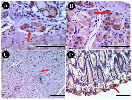
3.2. Abomasum SPX Immunoreactivity
3.3. Jejunum SPX Immunoreactivity
3.4. Colon SPX Immunoreactivity
4. Discussion
5. Conclusions
Author Contributions
Funding
Institutional Review Board Statement
Informed Consent Statement
Data Availability Statement
Conflicts of Interest
References
- Meng, F.Y.; Yu, Y.; Li, J.X.; Han, X.F.; Du, X.G.; Cao, X.H.; Liang, Q.X.; Huang, A.Q.; Kong, F.L.; Huang, L.Y.; et al. Characterization of spexin (SPX) in chickens: Molecular cloning, functional analysis, tissue expression and its involvement in appetite regulation. Poultry. Sci. 2023, 102, 102279. [Google Scholar] [CrossRef] [PubMed]
- Darakci, Ö.; Bozkurt, A. Structure and functions of spexin as a new neuroendocrine signal. J. Exp. Clin. Med. 2022, 39, 893–900. [Google Scholar] [CrossRef]
- Al-Daghri, N.M.; Alenad, A.; Al-Hazmi, H.; Amer, O.E.; Hussain, S.D.; Alokail, M.S. Spexin Levels Are Associated with Metabolic Syndrome Components. Dis. Markers 2018, 2018, 1679690. [Google Scholar] [CrossRef] [PubMed]
- Mirabeau, O.; Perlas, E.; Severini, C.; Audero, E.; Gascuel, O.; Possenti, R.; Birney, E.; Rosenthal, N.; Gross, C. Identification of novel peptide hormones in the human proteome by hidden Markov model screening. Genome Res. 2007, 17, 320–327. [Google Scholar] [CrossRef] [PubMed]
- Kim, D.K.; Yun, S.; Son, G.H.; Hwang, J.I.; Park, C.R.; Kim, J.I.; Kim, K.; Vaudry, H.; Seong, J.Y. Coevolution of the Spexin/Galanin/Kisspeptin Family: Spexin Activates Galanin Receptor Type II and III. Endocrinology 2014, 155, 1864–1873. [Google Scholar] [CrossRef] [PubMed]
- Tatemoto, K.; Rokaeus, A.; Jornvall, H.; Mcdonald, T.J.; Mutt, V. Galanin-a Novel Biologically-Active Peptide from Porcine Intestine. FEBS Lett. 1983, 164, 124–128. [Google Scholar] [CrossRef] [PubMed]
- Ögren, S.O.; Kuteeva, E.; Wardi, T.; Hökfelt, T. Galanin receptor agonists and antagonists as potential novel antidepressants. Eur. Neuropsychopharm. 2007, 17, S206–S207. [Google Scholar] [CrossRef]
- Jeong, B.; Kim, K.K.; Lee, T.H.; Kim, H.R.; Park, B.S.; Park, J.W.; Jeong, J.K.; Seong, J.Y.; Lee, B.J. Spexin Regulates Hypothalamic Leptin Action on Feeding Behavior. Biomolecules 2022, 12, 236. [Google Scholar] [CrossRef]
- Porzionato, A.; Rucinski, M.; Macchi, V.; Stecco, C.; Malendowicz, L.K.; De Caro, R. Spexin Expression in Normal Rat Tissues. J. Histochem. Cytochem. 2010, 58, 825–837. [Google Scholar] [CrossRef]
- Walewski, J.L.; Ge, F.X.; Lobdell, H.; Levin, N.; Schwartz, G.J.; Vasselli, J.R.; Pomp, A.; Dakin, G.; Berk, P.D. Spexin Is a Novel Human Peptide that Reduces Adipocyte Uptake of Long Chain Fatty Acids and Causes Weight Loss in Rodents with Diet-Induced Obesity. Obesity 2014, 22, 1643–1652. [Google Scholar] [CrossRef]
- Rucinski, M.; Porzionato, A.; Ziolkowska, A.; Szyszka, M.; Macchi, V.; De Caro, R.; Malendowicz, L.K. Expression of the spexin gene in the rat adrenal gland and evidences suggesting that spexin inhibits adrenocortical cell proliferation. Peptides 2010, 31, 676–682. [Google Scholar] [CrossRef]
- Cha, J.J.; Park, B.Y.; Yoon, S.G.; Park, H.J.; Yoo, J.A.; Ghee, J.Y.; Cha, D.R.; Seong, J.Y.; Kang, Y.S. Spexin-based galanin receptor 2 agonist improves renal injury in mice with type 2 diabetes. Anim. Cells Syst. 2023, 27, 187–196. [Google Scholar] [CrossRef]
- She, Y.Q.; Ge, R.; Gu, X.W.; Fang, P.H.; Zhang, Z.W. Cardioprotective effects of neuropeptide galanin: Focusing on its roles against diabetic heart. Peptides 2023, 159, 170918. [Google Scholar] [CrossRef]
- Liu, R. Spexin Promotes Insulin Secretion and β-Cell Proliferation. Diabetes 2020, 69 (Suppl. S1), 248-LB. [Google Scholar] [CrossRef]
- Gu, L.P.; Ding, X.Y.; Wang, Y.F.; Gu, M.Y.; Zhang, J.L.; Yan, S.; Li, N.; Song, Z.Y.; Yin, J.J.; Lu, L.L.; et al. Spexin alleviates insulin resistance and inhibits hepatic gluconeogenesis via the FoxO1/PGC-1α pathway in high-fat-diet-induced rats and insulin resistant cells. Int. J. Biol. Sci. 2019, 15, 2815–2829. [Google Scholar] [CrossRef] [PubMed]
- Lin, C.Y.; Zhang, M.; Huang, T.; Yang, L.L.; Fu, H.B.; Zhao, L.; Zhong, L.D.D.; Mu, H.X.; Shi, X.K.; Leung, C.F.P.; et al. Spexin Enhances Bowel Movement through Activating L-type Voltage-dependent Calcium Channel via Galanin Receptor 2 in Mice. Sci. Rep. 2015, 5, 12095. [Google Scholar] [CrossRef] [PubMed]
- Khadir, A.; Kavalakatt, S.; Madhu, D.; Devarajan, S.; Abubaker, J.; Al-Mulla, F.; Tiss, A. Spexin as an indicator of beneficial effects of exercise in human obesity and diabetes. Sci. Rep. 2020, 10, 10635. [Google Scholar] [CrossRef] [PubMed]
- Lim, C.H.; Lee, M.Y.M.; Soga, T.; Parhar, I. Evolution of Structural and Functional Diversity of Spexin in Mammalian and Non-mammalian Vertebrate Species. Front. Endocrinol. 2019, 10, 379. [Google Scholar] [CrossRef] [PubMed]
- Zahir, I.M.; Ogawa, S.; Dominic, N.A.; Soga, T.; Parhar, I.S. Spexin and Galanin in Metabolic Functions and Social Behaviors With a Focus on Non-Mammalian Vertebrates. Front. Endocrinol. 2022, 13, 882772. [Google Scholar] [CrossRef] [PubMed]
- Liu, Y.; Li, S.; Qi, X.; Zhou, W.; Liu, X.; Lin, H.; Zhang, Y.; Cheng, C.H. A novel neuropeptide in suppressing luteinizing hormone release in goldfish, Carassius auratus. Mol. Cell Endocrinol. 2013, 374, 65–72. [Google Scholar] [CrossRef]
- Merchenthaler, I.; Rotoli, G.; Grignol, G.; Dudas, B. Intimate Associations between the Neuropeptide Y System and the Galanin-Immunoreactive Neurons in the Human Diencephalon. Neuroscience 2010, 170, 839–845. [Google Scholar] [CrossRef]
- Mazinani, M.; Memili, E.; Rude, B. Harnessing the Value of Rumen Protected Amino Acids to Enhance Animal Performance–A Review. Ann. Anim. Sci. 2022, 22, 43–62. [Google Scholar] [CrossRef]
- 2Winiaska-Mieczan, A.; Kwiecień, M.; Jachimowicz-Rogowska, K.; Muszyński, S.; Tomszewska, E. Bioactive compounds, antibiotics and heavy metals: Effects on the intestinal structure and microbiome of monogastric animals–a non-systematic review. Ann. Anim. Sci. 2023, 23, 289–313. [Google Scholar] [CrossRef]
- Janovick-Guretzky, N.A.; Dann, H.M.; Carlson, D.B.; Murphy, M.R.; Loor, J.J.; Drackley, J.K. Housekeeping gene expression in bovine liver is affected by physiological state, feed intake, and dietary treatment. J. Dairy Sci. 2007, 90, 2246–2252. [Google Scholar] [CrossRef]
- Pfaffl, M.W. A new mathematical model for relative quantification in real-time RT-PCR. Nucleic Acids Res. 2001, 29, e45. [Google Scholar] [CrossRef] [PubMed]
- Varghese, F.; Bukhari, A.B.; Malhotra, R.; De, A. IHC Profiler: An Open Source Plugin for the Quantitative Evaluation and Automated Scoring of Immunohistochemistry Images of Human Tissue Samples. PLoS ONE 2014, 9, e96801. [Google Scholar] [CrossRef] [PubMed]
- Tomaszewska, E.; Prost, L.; Dobrowolski, P.; Chand, D.K.P.; Donaldson, J.; Czech, A.; Klebaniuk, R.; Fabjanowska, J.; Muszynski, S. Prenatal programming of the small intestine in piglets: The effect of supplementation with 3-hydroxy-3-methylbutyric acid (HMB) in pregnant sows on the structure of jejunum of their offspring. Ann. Anim. Sci. 2022, 22, 613–623. [Google Scholar] [CrossRef]
- Cizkova, K.; Foltynkova, T.; Gachechiladze, M.; Tauber, Z. Comparative Analysis of Immunohistochemical Staining Intensity Determined by Light Microscopy, ImageJ and QuPath in Placental Hofbauer Cells. Acta Histochem. Cytochem. 2021, 54, 21–29. [Google Scholar] [CrossRef]
- Mikula, R.; Pruszynska-Oszmalek, E.; Pszczola, M.; Rzasinska, J.; Sassek, M.; Nowak, K.W.; Nogowski, L.; Kolodziejski, P.A. Changes in metabolic and hormonal profiles during transition period in dairy cattle-the role of spexin. BMC Vet. Res. 2021, 17, 359. [Google Scholar] [CrossRef]
- Wong, M.K.H.; Chen, Y.; He, M.L.; Lin, C.Y.; Bian, Z.X.; Wong, A.O.L. Mouse Spexin: (II) Functional Role as a Satiety Factor inhibiting Food Intake by Regulatory Actions Within the Hypothalamus. Front. Endocrinol. 2021, 12, 681647. [Google Scholar] [CrossRef]
- Ekblad, E.; Rokaeus, A.; Hakanson, R.; Sundler, F. Galanin Nerve-Fibers in the Rat Gut-Distribution, Origin and Projections. Neuroscience 1985, 16, 355–363. [Google Scholar] [CrossRef]
- Reyes-Alcaraz, A.; Lee, Y.N.; Son, G.H.; Kim, N.H.; Kim, D.K.; Yun, S.; Kim, D.H.; Hwang, J.I.; Seong, J.Y. Development of Spexin-based Human Galanin Receptor Type II-Specific Agonists with Increased Stability in Serum and Anxiolytic Effect in Mice. Sci. Rep. 2016, 6, 21453. [Google Scholar] [CrossRef]
- Anselmi, L.; Stella, S.L.; Lakhter, A.; Hirano, A.; Tonini, M.; Sternini, C. Galanin receptors in the rat gastrointestinal tract. Neuropeptides 2005, 39, 349–352. [Google Scholar] [CrossRef][Green Version]
- Lv, S.Y.; Zhou, Y.C.; Feng, Y.; Zhang, X.M.; Wang, X.Y.; Yang, Y.J.; Wang, X.C. Peripheral Spexin Inhibited Food Intake in Mice. Int. J. Endocrinol. 2020, 2020, 4913785. [Google Scholar] [CrossRef]
- Ma, A.I.; He, M.L.; Bai, J.; Wong, M.K.H.; Ko, W.K.W.; Wong, A.O.L. Dual Role of Insulin in Spexin Regulation: Functional Link Between Food Intake and Spexin Expression in a Fish Model. Endocrinology 2017, 158, 560–577. [Google Scholar] [CrossRef] [PubMed]
- Onat, E.; Kocaman, N. Liver Protection of Hydroxytyrosol Mediated by Spexin and TRPM2. J. Contemp. Med. 2023, 13, 954–958. [Google Scholar] [CrossRef]
- Wu, H.; Lin, F.; Chen, H.; Liu, J.; Gao, Y.; Zhang, X.; Hao, J.; Chen, D.; Yuan, D.; Wang, T.; et al. Ya-fish (Schizothorax prenanti) spexin: Identification, tissue distribution and mRNA expression responses to periprandial and fasting. Fish Physiol. Biochem. 2016, 42, 39–49. [Google Scholar] [CrossRef] [PubMed]
- Kolodziejski, P.A.; Pruszynska-Oszmalek, E.; Hejdysz, M.; Sassek, M.; Leciejewska, N.; Ziarniak, K.; Bien, J.; Slosarz, P.; Kubis, M.; Kaczmarek, S. Effect of Fasting on the Spexin System in Broiler Chickens. Animals 2021, 11, 518. [Google Scholar] [CrossRef]
- Dai, J.; Ni, Y.; Wu, D.; Jiang, Y.; Jin, S.; Zhang, S.; Yu, X.; Liu, R. Circulating spexin levels are influenced by the glycemic status and correlated with pancreatic beta-cell function in Chinese subjects. Acta Diabetol. 2023, 60, 305–313. [Google Scholar] [CrossRef] [PubMed]
- Gonkowski, S. Aquaporins in the nervous structures supplying the digestive organs—A review. Ann. Anim. Sci. 2021, 21, 47–61. [Google Scholar] [CrossRef]
- Kizilaslan, M.; Arzik, Y.; Cinar, M.U.; Konca, Y. Genome-wise engineering of ruminant nutrition–nutrigenomics: Applications, challenges, and future perspectives—A review. Ann. Anim. Sci. 2022, 22, 511–521. [Google Scholar] [CrossRef]
- Tyra, M.; Ropka-Molik, K.; Piórkowska, K.; Szyndler-Nędza, M.; Małopolska, M.; Babicz, M.; Mucha, A.; Żak, G.; Eckert, R. Association of ghrelin gene polymorphisms with slaughter traits in pig. Ann. Anim. Sci. 2023, 23, 431–437. [Google Scholar] [CrossRef]
- Kolodziejski, P.A.; Pruszynska-Oszmalek, E.; Nowak, T.; Lukomska, A.; Sassek, M.; Wlodarek, J.; Nogowski, L.; Cieslak, A.; Nowak, K.W. Serum spexin concentration, body condition score and markers of obesity in dogs. J. Vet. Intern. Med. 2021, 35, 397–404. [Google Scholar] [CrossRef] [PubMed]
- Behrooz, M.; Vaghef-Mehrabany, E.; Maleki, V.; Pourmoradian, S.; Fathifar, Z.; Ostadrahimi, A. Spexin status in relation to obesity and its related comorbidities: A systematic review. J. Diabetes Metab. Disord. 2020, 19, 1943–1957. [Google Scholar] [CrossRef]






| Gene | Primer Sequences (5′ to 3′) | Product Length | Ensembl Gene ID |
|---|---|---|---|
| SPX | F: TCCTGGTGTTTTCTTTCATGG R: GTCGGAGAGGTCCTTCCTC | 152 | ENSBTAG00000053951 |
| GALR2 | F: CGCTGCTTTGCAAGGCGGTGCAC R: AGCTGACGACGAAGGTGAGAGG | 304 | ENSBTAG00000024910 |
| ACTB | F: TCCCTGGAGAAGAGCTACGA R: AGGTAGTTTCGTGAATGCCG | 133 | ENSBTAG00000026199 |
| RPS9 | F: CCTCGACCAAGAGCTGAAG R: CCTCCAGACCTCACGTTTGTTC | 64 | ENSBTAG00000006487 |
| Antibody | Host | Code | Dilution | Source |
|---|---|---|---|---|
| Primary antibody | ||||
| SPX | rabbit | H-023-81 | 1:200 | Phoenix Pharm. |
| Secondary antibody | ||||
| Anti-mouse/rabbit | goat | DPVB-HRP | RTU 1 | ImmunoLogic |
Disclaimer/Publisher’s Note: The statements, opinions and data contained in all publications are solely those of the individual author(s) and contributor(s) and not of MDPI and/or the editor(s). MDPI and/or the editor(s) disclaim responsibility for any injury to people or property resulting from any ideas, methods, instructions or products referred to in the content. |
© 2023 by the authors. Licensee MDPI, Basel, Switzerland. This article is an open access article distributed under the terms and conditions of the Creative Commons Attribution (CC BY) license (https://creativecommons.org/licenses/by/4.0/).
Share and Cite
Dajnowska, A.; Osiak-Wicha, C.; Piech, M.; Muszyński, S.; Tomaszewska, E.; Ropka-Molik, K.; Krzysiak, M.K.; Arciszewski, M.B. Immunoexpression of Spexin in Selected Segments of the Bovine (Bos taurus taurus) Gastrointestinal Tract. Animals 2023, 13, 3789. https://doi.org/10.3390/ani13243789
Dajnowska A, Osiak-Wicha C, Piech M, Muszyński S, Tomaszewska E, Ropka-Molik K, Krzysiak MK, Arciszewski MB. Immunoexpression of Spexin in Selected Segments of the Bovine (Bos taurus taurus) Gastrointestinal Tract. Animals. 2023; 13(24):3789. https://doi.org/10.3390/ani13243789
Chicago/Turabian StyleDajnowska, Aleksandra, Cezary Osiak-Wicha, Małgorzata Piech, Siemowit Muszyński, Ewa Tomaszewska, Katarzyna Ropka-Molik, Michał K. Krzysiak, and Marcin B. Arciszewski. 2023. "Immunoexpression of Spexin in Selected Segments of the Bovine (Bos taurus taurus) Gastrointestinal Tract" Animals 13, no. 24: 3789. https://doi.org/10.3390/ani13243789
APA StyleDajnowska, A., Osiak-Wicha, C., Piech, M., Muszyński, S., Tomaszewska, E., Ropka-Molik, K., Krzysiak, M. K., & Arciszewski, M. B. (2023). Immunoexpression of Spexin in Selected Segments of the Bovine (Bos taurus taurus) Gastrointestinal Tract. Animals, 13(24), 3789. https://doi.org/10.3390/ani13243789

