Ameliorative Effect of Pomegranate Peel Powder on the Growth Indices, Oocysts Shedding, and Intestinal Health of Broilers under an Experimentally Induced Coccidiosis Condition
Abstract
:Simple Summary
Abstract
1. Introduction
2. Materials and Methods
2.1. Preparation of Pomegranate Peel Powder (PPP)
2.2. Preparation of Eimeria Oocysts
2.3. Bird Husbandry and Experimental Design
- The control group (NC) broilers that did not receive any specific treatments.
- E. tenella challenged broilers (positive control).
- E. tenella challenged (AT) broilers that also received an antibiotic, Amprolium (1 g/kg).
- E. tenella challenged broilers concurrently fed with pomegranate peel powder at a rate of 3 g/kg (3PPP).
- E. tenella challenged broilers that received a PPP at a dosage of 6 g/kg (6 PPP).
2.4. Coccidial Infection
2.5. Performance Traits
2.6. Lesion Score
2.7. Oocyst Counting
2.8. Pathological Investigation
2.9. Statistical Analysis
3. Results
4. Discussion
5. Conclusions
Author Contributions
Funding
Institutional Review Board Statement
Informed Consent Statement
Data Availability Statement
Acknowledgments
Conflicts of Interest
References
- Khan, S.; Chand, N.; Naz, S.; Alrefaei, A.F.; Albeshr, M.F.; Losacco, C.; Khan, R. U. Response to dietary methionine and organic zinc in broilers against coccidia under Eimeria tenella-challenged condition. Livest. Sci. 2023, 276, 105317. [Google Scholar] [CrossRef]
- Khorrami, P.; Gholami-Ahangaran, M.; Moghtadaei-Khorasgani, E. The efficacy of pomegranate peel extract on Eimeria shedding and growth indices in experimental coccidiosis in broiler chickens. Vet. Med. Sci. 2022, 8, 635–641. [Google Scholar] [CrossRef]
- Blake, D.P.; Knox, J.; Dehaeck, B.; Huntington, B.; Rathinam, T.; Ravipati, V.; Ayoade, S.; Gilbert, W.; Adebambo, A.O.; Jatau, I.D.; et al. Re-calculating the cost of coccidiosis in chickens. Vet. Res. 2020, 51, 1–14. [Google Scholar] [CrossRef] [PubMed]
- Gholami-Ahangaran, M.; Fathi-Hafshejani, E.; Seyed-Hosseini, R. Seromolecular study of chicken infectious anemia in chickens, ostriches, and turkeys in Iran. J. Appl. Poult. Res. 2013, 22, 404–409. [Google Scholar] [CrossRef]
- Chand, N.; Ali, P.; Alhidary, I.A.; Abelrahman, M.M.; Albadani, H.; Khan, M.A.; Seidavi, A.; Laudadio, V.; Tufarelli, V.; Khan, R.U. Protective Effect of grape (Vitis vinifera) seed powder and zinc-glycine complex on growth traits and gut health of broilers following Eimeria tenella challenge. Antibiotics 2021, 10, 186. [Google Scholar] [CrossRef] [PubMed]
- Saeeda, K.; Chand, N.; Khan, N.U.; Saeed, M.; Khan, R.U. Dietary organic zinc and probiotic alleviate induced Eimeria tenella infection in Japanese quails model of coccidiosis. Trop. Anim. Health Prod. 2023, 55, 37. [Google Scholar] [CrossRef] [PubMed]
- Bahmani, M.; Abdi, F.; Adineh, A.; Hassanzadazar, H.; Eghbali, B.; Gholami- Ahangaran, M.; Rafieian-Kopaei, M. The anti-leech effect of ethanolic extract of achillea millefolium l. Compared to levamisole and niclosamide on limnatis nilotica. Stud. Univ. Goldis Arad Ser. Stiintele Vietii 2014, 24, 293–297. [Google Scholar]
- Mohammed, L.S.; Sallam, E.A.; El Basuni, S.S.; Eldiarby, A.S.; Soliman, M.M.; Aboelenin, S.M.; Shehata, S.F. Ameliorative effect of neem leaf and pomegranate peel extracts in coccidial infections in New Zealand and V-Line rabbits: Performance, intestinal health, oocyst shedding, carcass traits, and effect on economic measures. Animals 2021, 11, 2441. [Google Scholar] [CrossRef] [PubMed]
- Dkhil, M.A. Anti-coccidial, anthelmintic and antioxidant activities of pomegranate (Punica granatum) peel extract. Parasitol. Res. 2013, 112, 2639–2646. [Google Scholar] [CrossRef]
- Yang, Y.; Ding, X.; Memon, F.U.; Zhang, G.; Jiang, M.; Hu, D.; Si, H. Punicalagin: A monomer with anti-Eimeria tenella effect from fruit peel of Punica granatum L. Poult. Sci. 2022, 101, 102100. [Google Scholar] [CrossRef]
- Dehghani-Ashkezari, A.A.; Gholami-Ahangaran, M.; Fathi-Hafshejani, E. The effect of garlic extract on reducing of side effects of Eimeria tenella oocyte on the growth indices and mucosal tissue of cecum in broiler chickens. Iran J. Anim. Biol. 2019, 11, 45–54. [Google Scholar]
- Ishaq, R.; Chand, N.; Khan, R.U.; Saeed, M.; Laudadio, V.; Tufarelli, V. Methanolic extract of neem (Azadirachta indica) leaves mitigates experimentally induced coccidiosis challenge in Japanese quails. J. Appl. Anim. Res. 2022, 50, 498–503. [Google Scholar] [CrossRef]
- Singh, B.; Singh, J.P.; Kaur, A.; Singh, N. Phenolic compounds as beneficial phytochemicals in pomegranate (Punica granatum L.) peel: A review. Food Chem. 2018, 261, 75–86. [Google Scholar] [CrossRef] [PubMed]
- Singh, B.; Singh, J.P.; Kaur, A.; Singh, N. Antimicrobial potential of pomegranate peel: A review. Int. J. Food Sci. Technol. 2019, 54, 959–965. [Google Scholar] [CrossRef]
- El-Sherbini, G.T.; Shoukry, N.M. In vitro effect of pomegranate peel extract on Trichomonas tenax. Life Sci. J. 2012, 9, 791–797. [Google Scholar]
- Fahmy, Z.H.; El-Shennawy, A.M.; El-Komy, W.; Ali, E.; Hamid, S.S.A. Potential antiparasitic activity of pomegranate extracts against Schistosomules schis and mature worms of Schistosoma mansoni: In vitro and in vivo study. Aust. J. Basic Appl. Sci. 2009, 3, 4634–4643. [Google Scholar]
- Al-Megrin, W.A. In vivo study of pomegranate (Punica granatum) peel extract efficacy against Giardia lamblia in infected experimental mice. Asian Pac. J. Trop. Biomed. 2017, 7, 59–63. [Google Scholar] [CrossRef]
- Al-Mathal, E.M.; Alsalem, A.A. Pomegranate (Punica granatum) peel is effective in a murine model of experimental Cryptosporidium parvum ultrastructural studies of the ileum. Exp. Parasitol. 2013, 134, 482–494. [Google Scholar] [CrossRef]
- Boonmasawai, S.; Sungpradit, S.; Jirapattharasate, C.; Nakthong, C.; Piasai, L. Effects of alcoholic extract from pomegranate (Punica granatum L.) peels on gastrointestinal nematode egg counts in doe. J. Appl. Anim. Sci. 2013, 6, 27–37. [Google Scholar]
- Akuru, E.A.; Mpendulo, C.T.; Oyeagu, C.E.; Nantapo, C.W.T. Pomegranate (Punica granatum L.) peel powder meal supplementation in broilers: Effect on growth performance, digestibility, carcase and organ weights, serum and some meat antioxidant enzyme biomarkers. Ital. J. Anim. Sci. 2021, 20, 119–131. [Google Scholar] [CrossRef]
- Hamady, G.A.; Abdel-Moneim, M.A.; El-Chaghaby, G.A.; Abd-El-Ghany, Z.M.; Hassanin, M. Effect of Pomegranate peel extract as natural growth promoter on the productive performance and intestinal microbiota of broiler chickens. Afr. J. Agric. Sci. Technol. 2015, 3, 514–519. [Google Scholar]
- Rezvani, M.R.; Rahimi, S. Effects of adding pomegranate peel extract and commercial antioxidant to diets on performance, nutrient digestibility, gastrointestinal micro flora and antibody titer of broilers. J. Vet. Res. 2017, 72, 110–123. [Google Scholar]
- Middha, S.K.; Usha, T.; Pande, V. HPLC evaluation of phenolic profile, nutritive content, and antioxidant capacity of extracts obtained from Punica granatum fruit peel. Adv. Pharmacol. Sci. 2013, 2013, 296236. [Google Scholar] [PubMed]
- Reddy, B.U.; Mullick, R.; Kumar, A.; Sudha, G.; Srinivasan, N.; Saumitra, D. Small molecule inhibitors of HCV replication from pomegranate. Sci. Rep. 2014, 4, 5411. [Google Scholar] [CrossRef]
- Conway, D.P.; McKenzie, M.E. Poultry Coccidiosis Diagnostic Testing Procedures; Blackwell Publishing: Hoboken, NJ, USA, 2008; p. 72. [Google Scholar]
- Elfalleh, W.; Hannachi, H.; Tlili, N.; Yahia, Y.; Nasri, N.; Ferchichi, A. Total phenolic contents and antioxidant activities of pomegranate peel, seed, leaf and flower. J. Med. Plant Res. 2012, 6, 4724–4730. [Google Scholar] [CrossRef]
- Orak, H.H.; Demirci, A.S.; Gümüs, T. Antibacterial and antifungal activity of pomegranate (Punica granatum L. cv.) peel. Electron. J. Environ. Agric. Food Chem. 2011, 10, 100–110. [Google Scholar]
- Al-Megrin, W. Efficacy of pomegranate (Punica granatum) peel extract against Hymenolepis nana in infections mice. Biosci. Biotechnol. Res. Asia 2016, 13, 103–108. [Google Scholar] [CrossRef]
- Aviram, M.; Volkova, N.; Coleman, R.; Dreher, M.; Reddy, M.K.; Ferreira, D.; Rosenblat, M. Pomegranate phenolics from the peels, arils, and flower sare antiatherogenic: Studies in vivo in atherosclerotic. J. Agric. Food Chem. 2008, 56, 1148–1157. [Google Scholar] [CrossRef]
- Negi, P.S.; Jayaprakasha, G.K.; Jena, B.S. Antioxidant and antimutagenic activities of pomegranate peel extracts. Food Chem. 2003, 80, 393–398. [Google Scholar] [CrossRef]
- Pradhan, K.D.; Thakur, D.K.; Sudhan, N.A. Therapeutic efficacy of Punica granatum and Cucurbita maxima against clinical cases of nematodiasis in calves. Indian J. Indig. Med. 1992, 9, 53–55. [Google Scholar]
- Dell’Agli, M.; Galli, G.V.; Corbett, Y.; Taramelli, D.; Lucantoni, L.; Habluetzel, A.; Maschi, O.; Caruso, D.; Giavarini, F.; Romeo, S. Antiplasmodial activity of Punica granatum L. fruit rind. J. Ethnopharmacol. 2009, 125, 279–285. [Google Scholar] [CrossRef] [PubMed]
- Pai, V.; Chanu, T.R.; Chakraborty, R.; Raju, B.; Lobo, R.; Ballal, M. Evaluation of the antimicrobial activity of Punica granatum peel against the enteric pathogens: An in vitro study. Asian J. Plant Sci. Res. 2011, 1, 57–62. [Google Scholar]
- Arun, N.; Singh, D.P. Punica granatum: A review on pharmacological and therapeutic properties. Int. J. Pharm. Sci. Res. 2012, 3, 1240–1245. [Google Scholar]
- Wunderlich, F.; Al-Quraishy, S.; Steinbrenner, H.; Sies, H.; Dkhil, M.A. Towards identifying novel anti-Eimeria agents: Trace elements, vitamins, and plant-based natural products. Parasitol. Res. 2014, 113, 3547–3556. [Google Scholar] [CrossRef]

| Ingredients | Starter Phase (1–21 Days) | Finisher Phase (22–35 Days) |
|---|---|---|
| Yellow corn | 53.21 | 60.75 |
| Soybean meal (48% CP) | 37.92 | 25.00 |
| Corn gluten meal (34% CP) | 2.00 | 7.10 |
| Corn oil | 2.20 | 2.80 |
| Dicalcium phosphate | 2.30 | 2.05 |
| Limestone | 0.83 | 0.68 |
| NaCl | 0.45 | 0.50 |
| Vitamin and mineral premix (standard level) | 0.50 | 0.50 |
| DL-Methionine | 0.20 | 0.10 |
| L-Lysine HCl | 0.22 | 0.37 |
| L-Threonine | 0.11 | 0.10 |
| Choline chloride | 0.05 | 0.05 |
| Chemical composition | ||
| ME, kcal/kg | 3000 | 3150 |
| Crude protein, % | 22.5 | 21.30 |
| Methionine, % | 0.55 | 0.44 |
| Lysine, % | 1.42 | 1.23 |
| Sulfur amino acids, % | 0.96 | 0.80 |
| Threonine, % | 0.95 | 0.85 |
| Calcium, % | 1.05 | 0.90 |
| Available phosphorus, % | 0.50 | 0.45 |
| NC | PC | AT | PPP3 | PPP6 | SEM | p-Value | |
|---|---|---|---|---|---|---|---|
| Week 1 | 123.6 | 123.5 | 124.5 | 125.4 | 125.4 | 0.85 | 0.935 |
| Week 2 | 341.5 | 343.8 | 338.4 | 343.7 | 343.4 | 0.78 | 0.188 |
| Week 3 | 592.8 | 589.9 | 591.2 | 593.8 | 592.3 | 0.716 | 0.446 |
| Starter phase | 1056.7 | 1055.4 | 1053.4 | 1061.9 | 1059.1 | 1.612 | 0.491 |
| Week 4 | 790.6 a | 652.1 d | 781.9 b | 711.6 c | 710.6 c | 13.68 | <0.001 |
| Week 5 | 963.4 a | 799.4 e | 932.6 b | 884.4 d | 901.8 c | 14.81 | <0.001 |
| Finisher phase | 1753.1 a | 1451.5 e | 1713.4 b | 1595.4 d | 1611.9 c | 28.18 | <0.001 |
| Overall mean | 2809 a | 2506 d | 2766 b | 2656 c | 2671.5 c | 28.12 | <0.001 |
| Group | NC | PC | AT | PPP3 | PPP6 | SEM | p-Value |
|---|---|---|---|---|---|---|---|
| Week 1 | 104.4 | 104 | 106.9 | 106.4 | 105.7 | 0.535 | 0.628 |
| Week 2 | 265.5 b | 266 b | 266.6 b | 271.4 ab | 273.5 a | 0.975 | 0.006 |
| Week 3 | 376.7 bc | 373 c | 372.5 c | 380.6 b | 387.4 a | 1.59 | <0.001 |
| Starter phase | 745.9 c | 743 c | 744.5 c | 757.5 b | 765.3 a | 2.39 | <0.001 |
| Week 4 | 474.6 a | 291 d | 443.3 b | 407.5 c | 438.7 b | 16.96 | <0.001 |
| Week 5 | 543.4 a | 343 e | 517.2 b | 481.1 d | 486.8 c | 18.51 | <0.001 |
| Finisher phase | 1017.1 a | 634 e | 960.8 b | 888.1 d | 924.9 c | 35.37 | <0.001 |
| Overall mean | 1762.3 a | 1377.4 e | 1704.5 b | 1645.9 d | 1690.8 c | 35.97 | <0.001 |
| Group | NC | PC | AT | PPP3 | PPP6 | SEM | p-Value |
|---|---|---|---|---|---|---|---|
| Week 1 | 1.18 | 1.18 | 1.16 | 1.18 | 1.19 | .008 | 0.91 |
| Week 2 | 1.29 | 1.29 | 1.27 | 1.27 | 1.25 | 0.005 | 0.0690 |
| Week 3 | 1.58 a | 1.58 a | 1.59 a | 1.56 a | 1.53 b | 0.006 | 0.0100 |
| Starter | 1.42 a | 1.42 a | 1.42 a | 1.40 ab | 1.38 b | 0.004 | 0.0200 |
| Week 4 | 1.67 c | 2.24 a | 1.76 b | 1.75 b | 1.62 d | 0.059 | <0.01 |
| Week 5 | 1.77 d | 2.33 a | 1.80 c | 1.84 b | 1.85 b | 0.055 | <0.01 |
| Finisher | 1.72 c | 2.29 a | 1.78 b | 1.80 b | 1.74 c | 0.057 | <0.01 |
| Overall | 1.59 c | 1.82 a | 1.62 b | 1.62 b | 1.58 c | 0.024 | <0.01 |
| Groups | Lesion Scoring | Mortality (%) |
|---|---|---|
| NC | 0.0 e ± 0.00 | 0.00 d ± 0.00 |
| PC | 2.6 a ± 0.18 | 22.5 a ± 0.23 |
| AT | 0.3 c ± 0.01 | 0.0 d ± 0.00 |
| PPP3 | 1.6 ab ± 0.08 | 17.5 b ± 0.16 |
| PPP6 | 1.0 bc ± 0.00 | 10.0 c ± 0.24 |
| p-value | <0.001 | 0.02 ± 0.00 |
| Groups | 5 DPI | 7 DPI | 9 DPI |
|---|---|---|---|
| NC | 00 c ± 00 | 00 c ± 0.00 | 00 b ± 0.00 |
| PC | 248.3 a ± 18.12 | 557.1 a ± 16.32 | 291.6 a ± 12.68 |
| AT | 101.2 b ± 2.34 | 181.0 b ± 12.42 | 105.6 b ± 15.84 |
| PPP3 | 148.1 ab ± 10.32 | 224.6 b ± 1.36 | 136.3 b ± 1.38 |
| PPP6 | 145.2 ab ± 10.44 | 212.3 b ± 13.63 | 135.3 b ± 4.55 |
| p-value | 0.0022 | 0.0023 | 0.0112 |
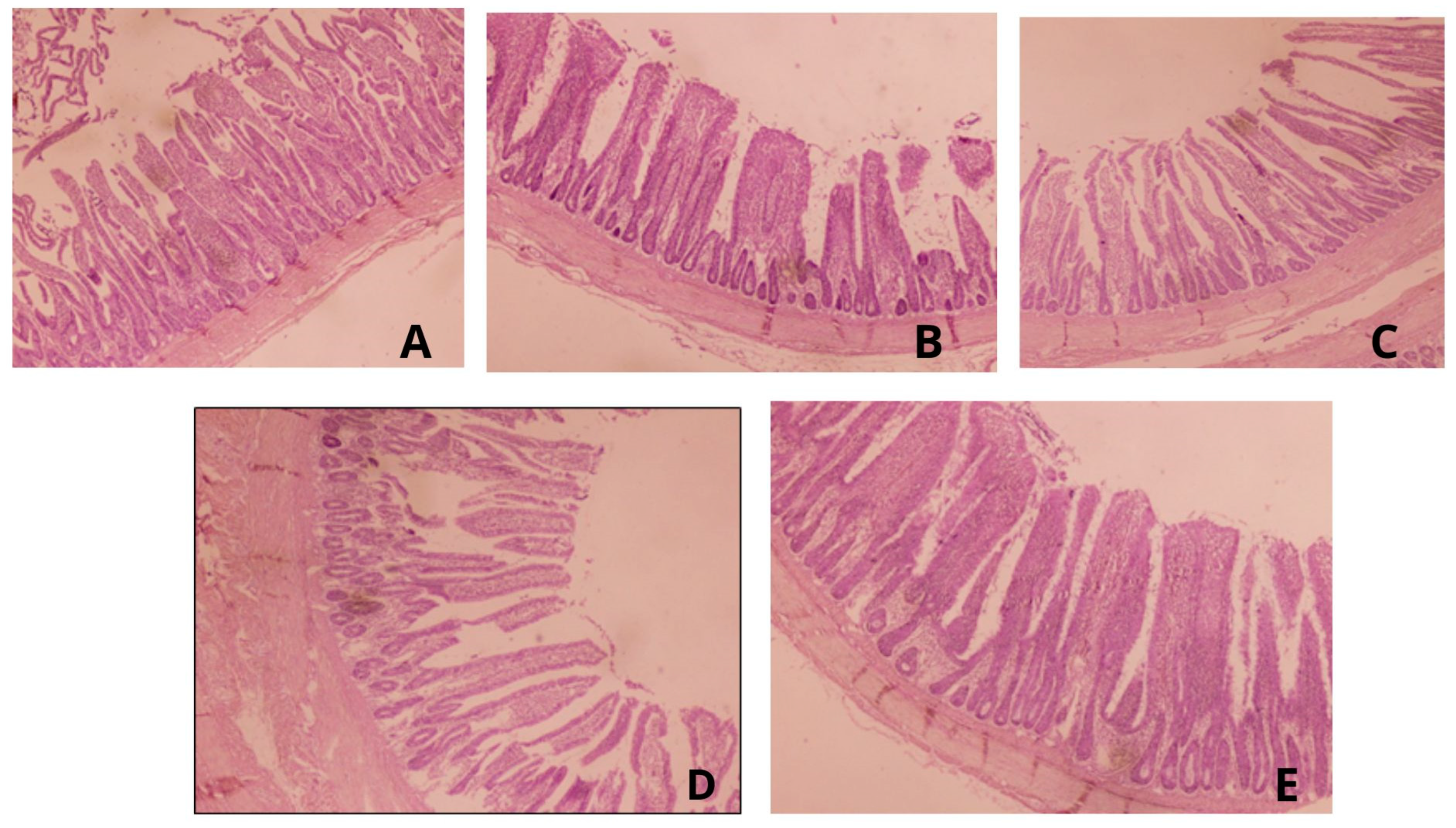
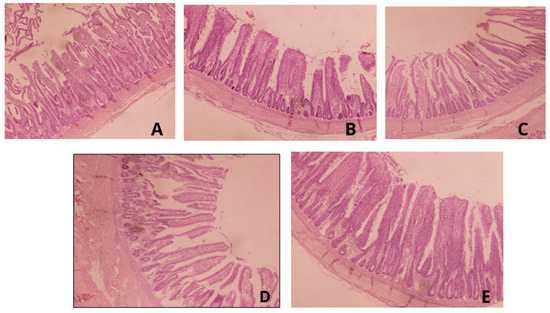
| Groups | Villus Height (μm) | Crypt Depth (μm) | VH:CD | Villus Width (μm) |
|---|---|---|---|---|
| NC | 842.2 a ± 12.02 | 199.0 c ± 3.56 | 5.1 a ± 0.21 | 161.3 a ± 9.67 |
| PC | 827.6 c ± 11.01 | 216.3 a ± 4.36 | 1.7 c ± 0.19 | 123.7 c ± 8.12 |
| AT | 836.7 a ± 16.01 | 201.5 c ± 5.78 | 4.9 a ± 0.25 | 156.6 ab ± 10.91 |
| PPP3 | 832.2 ab ± 14.01 | 204.9 b ± 6.98 | 3.1 b ± 0.22 | 148.6 b ± 7.81 |
| PPP6 | 831.3 b ± 13.01 | 203.5 b ± 3.77 | 3.1 b ± 0.24 | 145.7 b ± 6.31 |
| p-value | 0.0003 | 0.0234 | 0.0404 | 0.0025 |
Disclaimer/Publisher’s Note: The statements, opinions and data contained in all publications are solely those of the individual author(s) and contributor(s) and not of MDPI and/or the editor(s). MDPI and/or the editor(s) disclaim responsibility for any injury to people or property resulting from any ideas, methods, instructions or products referred to in the content. |
© 2023 by the authors. Licensee MDPI, Basel, Switzerland. This article is an open access article distributed under the terms and conditions of the Creative Commons Attribution (CC BY) license (https://creativecommons.org/licenses/by/4.0/).
Share and Cite
Hafeez, A.; Piral, Q.; Naz, S.; Almutairi, M.H.; Alrefaei, A.F.; Ayasan, T.; Khan, R.U.; Losacco, C. Ameliorative Effect of Pomegranate Peel Powder on the Growth Indices, Oocysts Shedding, and Intestinal Health of Broilers under an Experimentally Induced Coccidiosis Condition. Animals 2023, 13, 3790. https://doi.org/10.3390/ani13243790
Hafeez A, Piral Q, Naz S, Almutairi MH, Alrefaei AF, Ayasan T, Khan RU, Losacco C. Ameliorative Effect of Pomegranate Peel Powder on the Growth Indices, Oocysts Shedding, and Intestinal Health of Broilers under an Experimentally Induced Coccidiosis Condition. Animals. 2023; 13(24):3790. https://doi.org/10.3390/ani13243790
Chicago/Turabian StyleHafeez, Abdul, Qambar Piral, Shabana Naz, Mikhlid H. Almutairi, Abdulwahed Fahad Alrefaei, Tugay Ayasan, Rifat Ullah Khan, and Caterina Losacco. 2023. "Ameliorative Effect of Pomegranate Peel Powder on the Growth Indices, Oocysts Shedding, and Intestinal Health of Broilers under an Experimentally Induced Coccidiosis Condition" Animals 13, no. 24: 3790. https://doi.org/10.3390/ani13243790
APA StyleHafeez, A., Piral, Q., Naz, S., Almutairi, M. H., Alrefaei, A. F., Ayasan, T., Khan, R. U., & Losacco, C. (2023). Ameliorative Effect of Pomegranate Peel Powder on the Growth Indices, Oocysts Shedding, and Intestinal Health of Broilers under an Experimentally Induced Coccidiosis Condition. Animals, 13(24), 3790. https://doi.org/10.3390/ani13243790

