Gandouling Mitigates CuSO4-Induced Heart Injury in Rats
Abstract
Simple Summary
Abstract
1. Introduction
2. Materials and Methods
2.1. Chemical Reagents
2.2. Animals and Treatments
2.3. Measurements for Assessingheart Damage
2.4. Determination of Cu Concentration
2.5. Histopathological Examination of the Heart Tissues
2.6. Ultrastructural Examination of the Hearttissue by Using a Transmission Electron Microscope
2.7. Western Blot Analysis
2.8. Statistical Analysis
3. Results
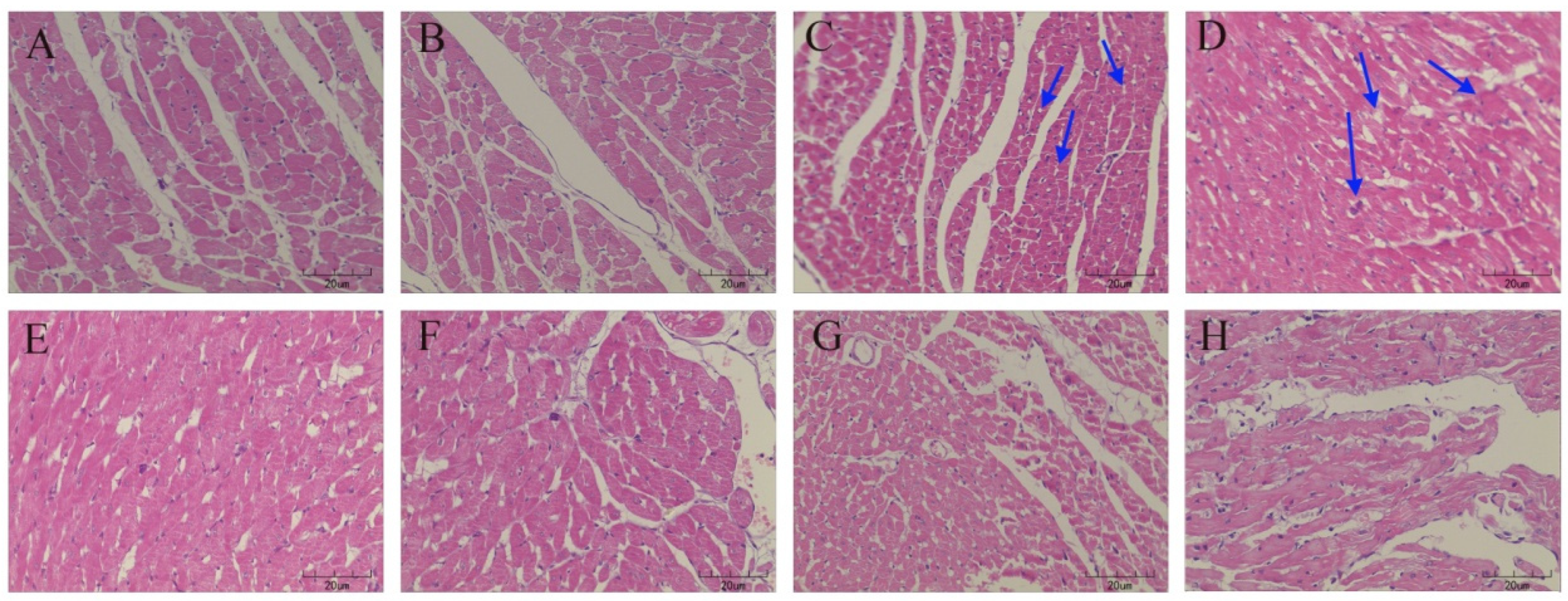
3.1. GDL Protect against CuSO4-Induced Heart Injury in Rats
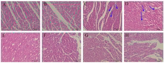
3.2. Effect of GDL on Ultrastructural Changes in the Heart Tissue
3.3. GDL Promotes Cu Excretion in the Heart Tissue to Attenuate Impairment
3.4. GDL Augments HO-1 Expression in the Heart Tissue
4. Discussion
5. Conclusions
Author Contributions
Funding
Institutional Review Board Statement
Informed Consent Statement
Data Availability Statement
Acknowledgments
Conflicts of Interest
References
- Gao, M.; Geng, H.; Wu, P.; Dong, J.; Cheng, N. Gandou decoction, a Chinese medicinal formula, in the treatment of hepatic injury by Wnt/β-catenin pathway regulation in models of Wilson disease. Ann. Palliat. Med. 2020, 9, 2872–2885. [Google Scholar] [CrossRef]
- Dong, T.; Wu, M.C.; Tang, L.L.; Jiang, H.L.; Zhou, P.; Kuang, C.J.; Tian, L.W.; Yang, W.M. GanDouLing promotes proliferation and differentiation of neural stem cells n he mouse model of Wilson’s disease. Biosci. Rep. 2021, 41, BSR20202717. [Google Scholar] [CrossRef] [PubMed]
- Shah, B.; Limbu, S. A Case Report of Misdiagnosis of Psychotic Symptoms Predominant Wilson’s Disease. J. Neurosci. Rural. Pract. 2018, 9, 616–618. [Google Scholar] [CrossRef]
- Loudianos, G.; Zappu, A.; Lepori, M.B.; Incollu, S.; Dessi, V.; Mameli, E.; Garrucciu, G.; De Virgiliis, S.; Cao, A. Wilson’s disease in two consecutive generations: The detection of three mutated alleles in the ATP7B gene in two Sardinian families. Dig. Liver Dis. 2013, 45, 342–345. [Google Scholar] [CrossRef]
- Xie, J.J.; Wu, Z.Y. Wilson’s Disease in China. Neurosci. Bull. 2017, 33, 323–330. [Google Scholar] [CrossRef]
- Sandahl, T.D.; Laursen, T.L.; Munk, D.E.; Vilstrup, H.; Weiss, K.H.; Ott, P. The Prevalence of Wilson’s Disease: An Update. Hepatology 2020, 71, 722–732. [Google Scholar] [CrossRef]
- Holscher, S.; Leinweber, B.; Hefter, H.; Reuner, U.; Gunther, P.; Weiss, K.H.; Oertel, W.H.; Moller, J.C. Evaluation of the Symptomatic Treatment of Residual Neurological Symptoms in Wilson Disease. Eur. Neurol. 2010, 64, 83–87. [Google Scholar] [CrossRef]
- Avcioglu, S.N.; Altinkaya, S.O.; Kucuk, M.; Zafer, E.; Demircan Sezer, S.; Odabasi, A.R. Wilson’s disease presenting with HELLP syndrome; A case report. Turk. J. Obstet. Gynecol. 2015, 12, 56–59. [Google Scholar] [CrossRef]
- Chen, Y.H.; Zhang, B.; Cao, S.J.; Huang, W.; Liu, N.; Yang, W.M. GanDouLing combined with Penicillamine improves cerebrovascular injury via PERK/eIF2α/CHOP endoplasmic reticulum stress pathway in the mouse model of Wilson’s disease. Biosci. Rep. 2018, 38, BSR20180800. [Google Scholar] [CrossRef]
- Kuan, P. Fatal cardiac complications of Wilson’s disease. Am. Heart J. 1982, 104 Pt 1, 314–316. [Google Scholar] [CrossRef]
- Azevedo, E.M.; Scaff, M.; Barbosa, E.R.; Gouveia Neto, A.E.; Canelas, H.M. Heart involvement in hepatolentocular degeneration. Acta Neurol. Scand. 1978, 58, 296–303. [Google Scholar] [CrossRef] [PubMed]
- Medici, V.; Di Leo, V.; Lamboglia, F.; Bowlus, C.L.; Tseng, S.C.; D’Inca, R.; Irato, P.; Burra, P.; Martines, D.; Sturniolo, G.C. Effect of penicillamine and zinc on iron metabolism in Wilson’s disease. Scand. J. Gastroenterol. 2007, 42, 1495–1500. [Google Scholar] [CrossRef] [PubMed]
- Sohtaoglu, M.; Ergin, H.; Ozekmekci, S.; Gokdemir, S.; Sonsuz, A.; Arici, C. Patient with late-onset Wilson’s disease: Deterioration with penicillamine. Mov. Disord. 2006, 22, 290–291. [Google Scholar] [CrossRef] [PubMed]
- Li, W.J.; Wang, J.F.; Wang, X.P. Wilson’s disease: Update on integrated Chinese and Western medicine. Chin. J. Integr. Med. 2013, 19, 233–240. [Google Scholar] [CrossRef] [PubMed]
- Wang, Y.; Xie, C.L.; Fu, D.L.; Lu, L.; Lin, Y.; Dong, Q.Q.; Wang, X.T.; Zheng, G.Q. Clinical efficacy and safety of Chinese herbal medicine for Wilson’s disease: A systematic review of 9 randomized controlled trials. Complement. Ther. Med. 2012, 20, 143–154. [Google Scholar] [CrossRef] [PubMed]
- Xu, M.B.; Rong, P.Q.; Jin, T.Y.; Zhang, P.P.; Zheng, G.Q. Chinese Herbal Medicine for Wilson’s Disease: A Systematic Review and Meta-Analysis. Front. Pharmacol. 2019, 10, 277. [Google Scholar] [CrossRef] [PubMed]
- Yang, R.M. Treatment of hepatolenticular degeneration with integrated traditional Chinese and Western medicine. Chin. J. Integr. Tradit. West. Med. 2007, 27, 773–775. [Google Scholar]
- Zhang, J.; Tang, L.L.; Li, L.Y.; Cui, S.W.; Jin, S.; Chen, H.Z.; Yang, W.M.; Xie, D.J.; Yu, G.R. Gandouling Tablets Inhibit Excessive Mitophagy in Toxic Milk (TX) Model Mouse of Wilson Disease via Pink1/Parkin Pathway. Evid. -Based Complement. Altern. Med. 2020, 2020, 3183714. [Google Scholar] [CrossRef] [PubMed]
- Wang, D.; Zhang, M.; Wang, T.; Liu, T.; Guo, Y.; Granato, D. Green tea polyphenols mitigate the plant lectins-induced liver inflammation and immunological reaction in C57BL/6 mice via NLRP3 and Nrf2 signaling pathways. Food Chem. Toxicol. 2020, 144, 111576. [Google Scholar] [CrossRef] [PubMed]
- Momen, A.A.; Zachariadis, G.A.; Anthemidis, A.N.; Stratis, J.A. Investigation of four digestion procedures for multi-element determination of toxic and nutrient elements in legumes by inductively coupled plasma-optical emission spectrometry. Anal. Chim. Acta 2006, 565, 81–88. [Google Scholar] [CrossRef]
- Wang, D.; Gao, Q.; Zhao, G.; Kan, Z.; Wang, X.; Wang, H.; Huang, J.; Wang, T.; Qian, F.; Ho, C.T.; et al. Protective Effect and Mechanism of Theanine on Lipopolysaccharide-Induced Inflammation and Acute Liver Injury in Mice. J. Agric. Food Chem. 2018, 66, 7674–7683. [Google Scholar] [CrossRef]
- Xu, W.; Fu, Y.; Jiang, L.; Yang, Z.; Wang, Y.; Tang, W.; Fang, X. Cardiopulmonary resuscitation ameliorates myocardial mitochondrial dysfunction in a cardiac arrest rat model. Am. J. Emerg. Med. 2020, 38, 65–72. [Google Scholar] [CrossRef] [PubMed]
- Che, Y.; Shen, D.F.; Wang, Z.P.; Jin, Y.G.; Wu, Q.Q.; Wang, S.S.; Yuan, Y. Protective role of berberine in isoprenaline-induced cardiac fibrosis in rats. MC Cardiovasc. Disord. 2019, 19, 219. [Google Scholar] [CrossRef]
- Yang, R.H.; Yao, W.P.; Liu, Y.F.; Wang, X.J.; Liang, J.G.; Liu, J.C. Salvia miltiorrhiza injection ameliorates myocardial ischemia-reperfusion injury via downregulation of PECAM-1. Trop. J. Pharm. Res. 2019, 18, 1467–1473. [Google Scholar]
- Lin, R.; Duan, J.; Mu, F.; Bian, H.; Zhao, M.; Zhou, M.; Li, Y.; Wen, A.; Yang, Y.; Xi, M. Cardioprotective effects and underlying mechanism of Radix Salvia miltiorrhiza and Lignum Dalbergia odorifera in a pig chronic myocardial ischemia model. Int. J. Mol. Med. 2018, 42, 2628–2640. [Google Scholar] [CrossRef] [PubMed]
- Guo, A.M.; Ya-Jun, L.I.; Cao, H.; Zhou, H.T.; Cao, J.M.; Ge, H.U.; Niu, Y.L.; Ren, Y. Protective Effect of Curcumin on Cardiomyocyte Apoptosis Induced by Overtraining in Rats. Sci. Technol. Food Ind. 2019, 40, 304–310. [Google Scholar]
- Hahalis, G.N.; Leopoulou, M.; Tsigkas, G.; Xanthopoulou, I.; Patsilinakos, S.; Patsourakos, N.G.; Ziakas, A.; Kafkas, N.; Koutouzis, M.; Tsiafoutis, I.; et al. Multicenter Randomized Evaluation of High Versus Standard Heparin Dose on Incident Radial Arterial Occlusion After Transradial Coronary Angiography The SPIRIT OF ARTEMIS Study. JACC Cardiovasc. Interv. 2018, 11, 2241–2250. [Google Scholar] [CrossRef] [PubMed]
- Keihanian, F.; Saeidinia, A.; Bagheri, R.K.; Johnston, T.P.; Sahebkar, A. Curcumin, hemostasis, thrombosis, and coagulation. J. Cell. Physiol. 2018, 233, 4497–4511. [Google Scholar] [CrossRef] [PubMed]
- Zhang, J.; Chen, H.; Bao, Y.C.; Xie, D.J.; Yang, W.M.; Jiang, H.Z.; Dong, T.; Han, H. System Pharmacology-Based Strategy to Decode the Synergistic Mechanism of GanDouLing for Wilson’s Disease. Evid. Based Complement. Altern. Med. 2021, 2021, 1248920. [Google Scholar] [CrossRef] [PubMed]
- Relling, D.P.; Esberg, L.B.; Johnson, W.T.; Murphy, E.J.; Carlson, E.C.; Lukaski, H.C.; Saari, J.T.; Ren, J. Dietary interaction of high fat and marginal copper deficiency on cardiac contractile function. Obesity 2007, 15, 1242–1257. [Google Scholar] [CrossRef]
- Wold, L.E.; Saari, J.T.; Ren, J. Isolated ventricular myocytes from copper-deficient rat hearts exhibit enhanced contractile function. Am. J. Physiol Heart Circ. Physiol. 2001, 281, H476–H481. [Google Scholar] [CrossRef]
- Liu, Y.; Miao, J. An Emerging Role of Defective Copper Metabolism in Heart Disease. Nutrients 2022, 14, 700. [Google Scholar] [CrossRef]
- Tural, K.; Ozden, O.; Bilgi, Z.; Kubat, E.; Ermutlu, C.S.; Merhan, O.; Findik Guvendi, K.; Kucuker, S.A. The protective effect of betanin and copper on heart and lung in endorgan ischemia reperfusion injury. Bratisl. Med. J. Bratisl. Lek. Listy 2020, 121, 211–217. [Google Scholar] [CrossRef] [PubMed]
- Bakula, M.; Milicevic, G.; Bakula, M.; Kozic, I.; Rumenjak, V.; Dominkovic, A. Kinetics of Ischemia-Modified Albumin Following Exercise-Induced Myocardial Ischemia. Clin. Lab. 2016, 62, 563–571. [Google Scholar] [CrossRef] [PubMed]
- Chek, J.; Dusek, J.; Stasek, J.; Vojacek, J.; Bis, J.; Ulrychova, M.; Tichy, M.; Tomko, T.; Bukac, J. Role of ischemia-modified albumin in estimating the extent and scope of cardiac ischemia in patients with ST elevation myocardial infarction. Heart Vessel. 2011, 26, 622–627. [Google Scholar] [CrossRef]
- Muehlschlegel, J.D.; Perry, T.E.; Liu, K.Y.; Fox, A.A.; Collard, C.D.; Shernan, S.K.; Body, S.C. Heart-Type Fatty Acid Binding Protein Is an Independent Predictor of Death and Ventricular Dysfunction After Coronary Artery Bypass Graft Surgery. Anesth. Analg. 2010, 111, 1101–1109. [Google Scholar] [CrossRef]
- Gu, W.; Tang, W.; Zhang, Z.J.; Xu, M.Y. Two different troponin isoforms for detecting early myocardial injury after curative resection of oesophageal cancer. J. Cardiothorac. Surg. 2020, 15, 189. [Google Scholar] [CrossRef]
- Dhir, S.; Dhir, A. Cardiovascular Risk Assessment for Noncardiac Surgery: Are We Ready for Biomarkers? J. Cardiothor. Vas. An. 2020, 34, 1914–1924. [Google Scholar] [CrossRef]
- Zhang, S.H.; Lu, S.; Ge, J.B.; Guo, J.X.; Chen, P.; Li, T.; Zhang, P.; Jia, Z.Q.; Ma, K.T.; Liu, Y.G.; et al. Increased heme oxygenase-1 expression in infarcted rat hearts following human bone marrow mesenchymal cell transplantation. Microvasc. Res. 2005, 69, 64–70. [Google Scholar] [CrossRef]
- Liu, X.; Lin, X.; Zhang, S.; Guo, C.; Li, J.; Mi, Y.; Zhang, C. Lycopene ameliorates oxidative stress in the aging chicken ovary via activation of Nrf2/HO-1 pathway. Aging 2018, 10, 2016–2036. [Google Scholar] [CrossRef]
- Xie, K.; Wang, W.; Chen, H.; Han, H.; Liu, D.; Wang, G.; Yu, Y. Hydrogen-Rich Medium Attenuated Lipopolysaccharide-Induced Monocyte-Endothelial Cell Adhesion and Vascular Endothelial Permeability via Rho-Associated Coiled-Coil Protein Kinase. Shock 2015, 44, 58–64. [Google Scholar] [CrossRef]






Publisher’s Note: MDPI stays neutral with regard to jurisdictional claims in published maps and institutional affiliations. |
© 2022 by the authors. Licensee MDPI, Basel, Switzerland. This article is an open access article distributed under the terms and conditions of the Creative Commons Attribution (CC BY) license (https://creativecommons.org/licenses/by/4.0/).
Share and Cite
Fang, S.; Yang, W.; Zhang, K.; Peng, C. Gandouling Mitigates CuSO4-Induced Heart Injury in Rats. Animals 2022, 12, 2703. https://doi.org/10.3390/ani12192703
Fang S, Yang W, Zhang K, Peng C. Gandouling Mitigates CuSO4-Induced Heart Injury in Rats. Animals. 2022; 12(19):2703. https://doi.org/10.3390/ani12192703
Chicago/Turabian StyleFang, Shuzhen, Wenming Yang, Kangyi Zhang, and Chuanyi Peng. 2022. "Gandouling Mitigates CuSO4-Induced Heart Injury in Rats" Animals 12, no. 19: 2703. https://doi.org/10.3390/ani12192703
APA StyleFang, S., Yang, W., Zhang, K., & Peng, C. (2022). Gandouling Mitigates CuSO4-Induced Heart Injury in Rats. Animals, 12(19), 2703. https://doi.org/10.3390/ani12192703
