Multi-Parametric Portfolio to Assess the Fitness and Gonadal Maturation in Four Key Reproductive Phases of Brown Trout
Abstract
Simple Summary
Abstract
1. Introduction
2. Methods
2.1. Study Species
2.2. Sampling Procedures
2.3. Blood, Plasma, and Serum Quantifications
2.3.1. Biochemical Analyses
2.3.2. Hormone Plasma Levels
2.4. Histological Analyses of the Gonads
2.4.1. Paraffin Procedures
2.4.2. Methacrylate Procedures
2.5. Qualitative and Semi-Quantitative Grading of Gonadal Maturation Stages
2.6. Immunohistochemistry
2.7. Statistical Analysis
3. Results
3.1. Physico-Chemical Parameters of Water
3.2. Biometric Measurements
3.3. Biochemical Analyses
3.4. Quantification of Plasma Hormones
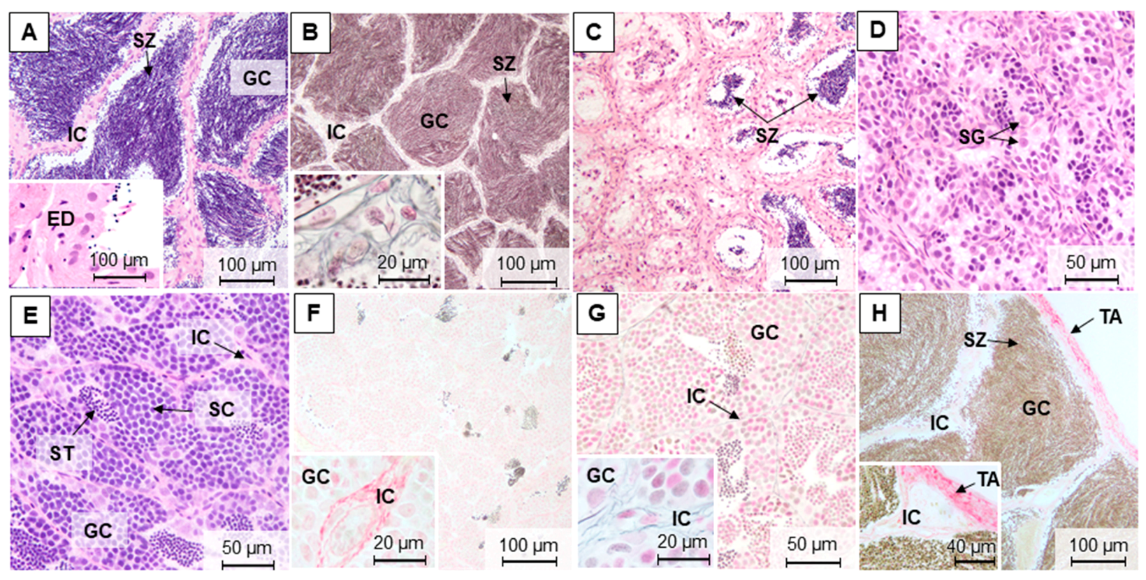
3.5. Qualitative and Semi-Quantitative Grading of Gonadal Maturation Stages
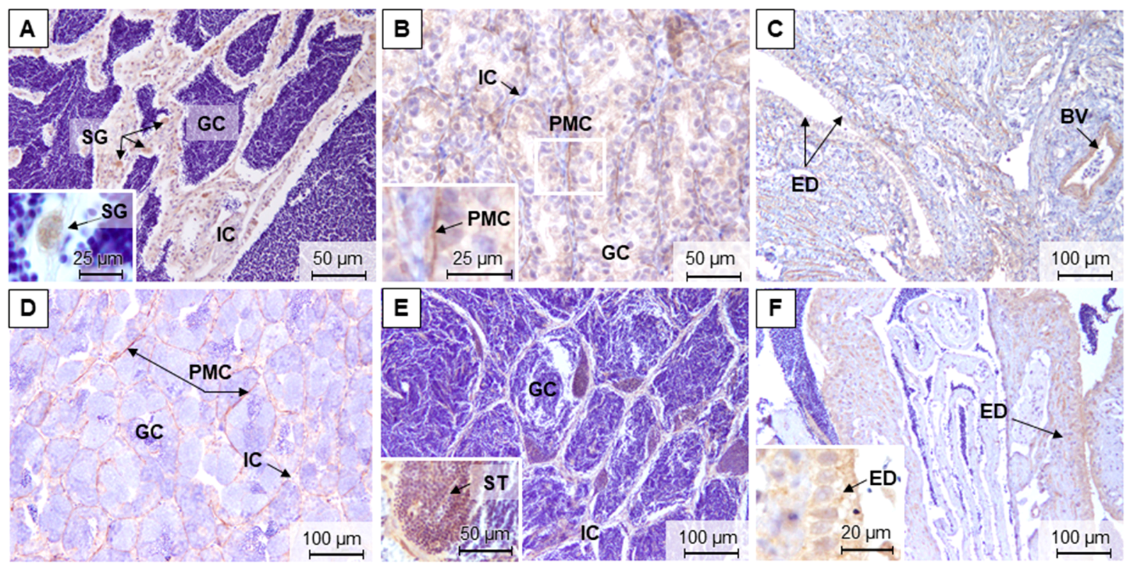
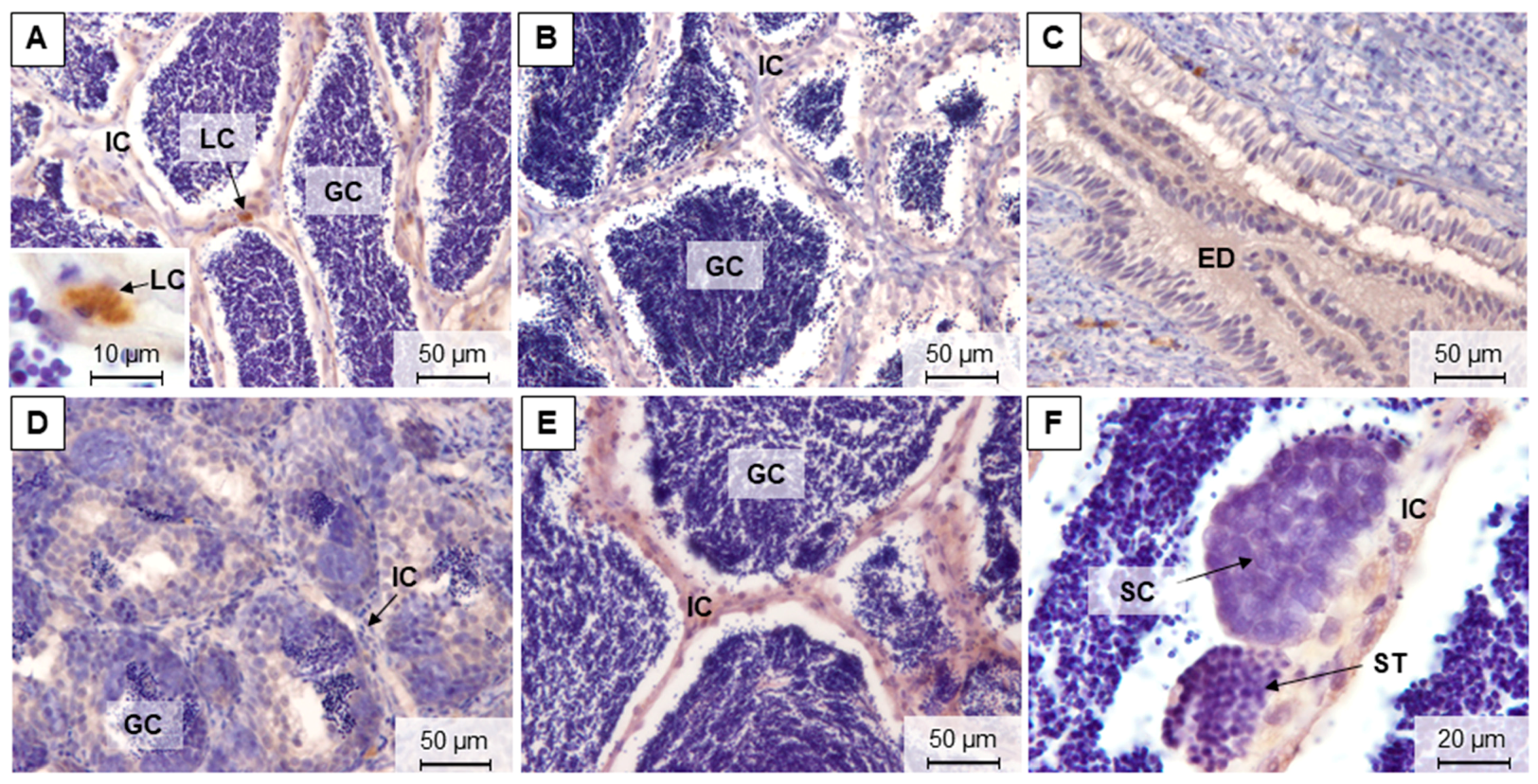
3.6. Immunohistochemistry of Brown Trout Gonads
3.6.1. CYP19
3.6.2. CYP17-I
3.6.3. 17β-HSD
4. Discussion
4.1. Biometric Parameters
4.2. Biochemical Analyses
4.3. Hormonal Concentrations
4.4. Immunohistochemistry
4.5. Gonadal Histology
5. Conclusions
Supplementary Materials
Author Contributions
Funding
Institutional Review Board Statement
Informed Consent Statement
Data Availability Statement
Acknowledgments
Conflicts of Interest
References
- Bromage, N.; Porter, M.; Randall, C. The environmental regulation of maturation in farmed finfish with special reference to the role of photoperiod and melatonin. Aquaculture 2001, 197, 63–98. [Google Scholar] [CrossRef]
- Scott, A.P.; Bye, V.J.; Baynes, S.M. Seasonal variations in sex steroids of female rainbow trout (Salmo gairdneri Richardson). J. Fish Biol. 1980, 17, 587–592. [Google Scholar] [CrossRef]
- Fitzpatrick, M.S.; Van Der Kraak, G.; Schreck, C.B. Profiles of plasma sex steroids and gonadotropin in coho salmon, Oncorhynchus kisutch, during final maturation. Gen. Comp. Endocrinol. 1986, 62, 437–451. [Google Scholar] [CrossRef]
- Slater, C.H.; Schreck, C.B.; Swanson, P. Plasma profiles of the sex steroids and gonadotropins in maturing female spring chinook salmon (Oncorhynchus tshawytscha). Comp. Biochem. Physiol. 1994, 109A, 167–175. [Google Scholar] [CrossRef]
- Kagawa, H.; Young, G.; Adachi, S.; Nagahama, Y. Estradiol-17β production in amago salmon (Oncorhynchus rhodurus) ovarian follicles: Role of the thecal and granulosa cells. Gen. Comp. Endocrinol. 1982, 47, 440–448. [Google Scholar] [CrossRef]
- Reading, B.; Sullivan, C.; Schilling, J. The reproductive organs and processes: Vitellogenesis in fishes. In Encyclopedia of Fish Physiology: From Genome to Environment; Ferrell, A.P., Ed.; Elsevier: Maryland Heights, MO, USA, 2017; pp. 1–12. [Google Scholar] [CrossRef]
- Santos, E.M.; Rand-Weaver, M.; Tyler, C.R. Follicle-stimulating hormone and its α and β subunits in rainbow trout (Oncorhynchus mykiss): Purification, characterization, development of specific radioimmunoassays, and their seasonal plasma and pituitary concentrations in females. Biol. Reprod. 2001, 65, 288–294. [Google Scholar] [CrossRef] [PubMed]
- Breton, B.; Govoroun, M.; Mikolajczyk, T. GTH I and GTH II secretion profiles during the reproductive cycle in female rainbow trout: Relationship with pituitary responsiveness to GnRH-A stimulation. Gen. Comp. Endocrinol. 1998, 111, 38–50. [Google Scholar] [CrossRef] [PubMed]
- Estay, F.; Díaz, A.; Pedrazza, R.; Colihueque, N. Oogenesis and plasma levels of sex steroids in cultured females of brown trout (Salmo trutta Linnaeus, 1758) in Chile. J. Exp. Zool. 2003, 298A, 60–66. [Google Scholar] [CrossRef] [PubMed]
- Jamalzadeh, H.R.; Hajirezaee, S.; Nazeri, S.; Khara, H.; Mirrasuli, E. Identification of follicular vitellogenesis stage by monitoring of plasma calcium and estradiol-17β concentrations in the cultured Caspian brown trout, Salmo trutta caspius Kessler, 1877. Biologia 2012, 67, 796–799. [Google Scholar] [CrossRef]
- Wallaert, C.; Babin, P.J. Age-related, sex-related, and seasonal changes of plasma lipoprotein concentrations in trout. J. Lipid Res. 1994, 35, 1619–1633. [Google Scholar] [CrossRef]
- Kaya, Y.; Erdem, M.E. Seasonal comparison of wild and farmed brown trout (Salmo trutta forma fario L., 1758): Crude lipid, gonadosomatic index and fatty acids. Int. J. Food Sci. Nutr. 2009, 60, 413–423. [Google Scholar] [CrossRef]
- Klemetsen, A.; Amundsen, P.A.; Dempson, J.B.; Jonsson, B.; Jonsson, N.; O’Connell, M.F.; Mortensen, E. Atlantic salmon Salmo salar L., brown trout Salmo trutta L. and Arctic charr Salvelinus alpinus (L.): A review of aspects of their life histories. Ecol. Freshw. Fish 2003, 12, 1–59. [Google Scholar] [CrossRef]
- Rossi, A.R.; Petrosino, G.; Milana, V.; Martinoli, M.; Rakaj, A.; Tancioni, L. Genetic identification of native populations of Mediterranean brown trout Salmo trutta L. complex (Osteichthyes: Salmonidae) in central Italy. Eur. Zool. J. 2019, 86, 424–431. [Google Scholar] [CrossRef]
- Stelkens, R.B.; Jaffuel, G.; Escher, M.; Wedekind, C. Genetic and phenotypic population divergence on a microgeographic scale in brown trout. Mol. Ecol. 2012, 21, 2896–2915. [Google Scholar] [CrossRef] [PubMed]
- Lobon-Cervia, J.; Montañés, C.; de Sostoa, A. Reproductive ecology and growth of a population of brown trout (Salmo trutta L.) in an aquifer-fed stream of Old Castile (Spain). Hydrobiologia 1986, 135, 81–94. [Google Scholar] [CrossRef]
- Schmidt-Posthaus, H.; Bernet, D.; Wahli, T.; Burkhardt-Holm, P. Morphological organ alterations and infectious diseases in brown trout Salmo trutta and rainbow trout Oncorhynchus mykiss exposed to polluted river water. Dis. Aquat. Organ. 2001, 44, 161–170. [Google Scholar] [CrossRef]
- Alp, A.; Kara, C.; Büyükçapar, H. Reproductive biology of brown trout, Salmo trutta macrostigma Dumeril 1858, in a tributary of the Ceyhan River which flows into the Eastern Mediterranean Sea. J. Appl. Ichthyol. 2003, 19, 346–351. [Google Scholar] [CrossRef]
- Caputo, V.; Giovannotti, M.; Splendiani, A. Pattern of gonad maturation in a highly stocked population of brown trout (Salmo trutta L., 1758) from Central Italy. Ital. J. Zool. 2010, 77, 14–22. [Google Scholar] [CrossRef]
- Garcia, A.; Florentino, B. Reproductive biology of brown trout (Salmo trutta L.) in the Aller River (Asturias, Northern Spain). Pol. Arch. Hydrobiol. 1988, 35, 361–373. [Google Scholar]
- Billard, R. The reproductive cycle of male and female brown trout (Salmo trutta fario): A quantitative study. Reprod. Nutr. Dev. 1987, 27, 29–44. [Google Scholar] [CrossRef]
- Hao, F.; Chen, Y. The reproductive traits of brown trout (Salmo trutta fario L.) from the Yadong river, Tibet. Environ. Biol. Fishes 2009, 86, 89–96. [Google Scholar] [CrossRef]
- Brown-Peterson, N.J.; Wyanski, D.M.; Saborido-Rey, F.; Macewicz, B.J.; Lowerre-Barbieri, S.K. A standardized terminology for describing reproductive development in fishes. Mar. Coast. Fish. 2011, 3, 52–70. [Google Scholar] [CrossRef]
- Ricker, W.E. Computation and interpretation of biological statistics of fish populations. Bull. Fish Res. Board Can. 1975, 191, 2003–2010. [Google Scholar]
- Pšenička, M.; Saito, T.; Linhartová, Z.; Gazo, I. Isolation and transplantation of sturgeon early-stage germ cells. Theriogenology 2015, 83, 1085–1092. [Google Scholar] [CrossRef] [PubMed]
- Friedewald, W.T.; Levy, R.I.; Fredrickson, D.S. Estimation of the concentration of low-density lipoprotein cholesterol in plasma, without use of the preparative ultracentrifuge. Clin. Chem. 1972, 18, 499–502. [Google Scholar] [CrossRef] [PubMed]
- Sharpe, R.L.; MacLatchy, D.L. Lipid dynamics in goldfish (Carassius auratus) during a period of gonadal recrudescence: Effects of β-sitosterol and 17β-estradiol exposure. Comp. Biochem. Physiol. C Toxicol. Pharmacol. 2007, 145, 507–517. [Google Scholar] [CrossRef]
- Kiernan, J.A. Sirius Red Staining Protocol for Collagen. Available online: https://www.ihcworld.com/_protocols/special_stains/sirius_red.htm (accessed on 30 September 2018).
- Bancroft, J.D.; Layton, C.; Suvarna, S.K. Bancroft’s Theory and Practice of Histological Techniques, 3rd ed.; Churchill Livingstone: London, UK, 2013; p. 141. [Google Scholar]
- Johnson, R.; Wolf, J.; Braunbeck, T. OECD Guidance Document for the Diagnosis of Endocrine-Related Histopathology of Fish Gonads; Organization for Economic Co-operation and Development: Paris, France, 2009. [Google Scholar]
- Hinfray, N.; Baudiffier, D.; Leal, M.C.; Porcher, J.-M.; Aït-Aïssa, S.; Le Gac, F.; Schulz, R.W.; Brion, F. Characterization of testicular expression of P450 17α-hydroxylase, 17,20-lyase in zebrafish and its perturbation by the pharmaceutical fungicide clotrimazole. Gen. Comp. Endocrinol. 2011, 174, 309–317. [Google Scholar] [CrossRef]
- Hammer, Ø.; Harper, D.A.T.; Ryan, P.D. PAST: Paleontological Statistics software package for education and data analysis. Palaeontol. Electron. 2001, 4, 9. [Google Scholar]
- Billard, R. A quantitative analysis of spermatogenesis in the trout, Salmo trutta fario. Cell Tissue Res. 1983, 230, 495–502. [Google Scholar] [CrossRef][Green Version]
- Bon, E.; Corraze, G.; Kaushik, S.; Le Menn, F. Effects of accelerated photoperiod regimes on the reproductive cycle of the female rainbow trout: I-seasonal variations of plasma lipids correlated with vitellogenesis. Comp. Biochem. Physiol. 1997, 118A, 183–190. [Google Scholar] [CrossRef]
- Wallace, R.A.; Selman, K. Major protein changes during vitellogenesis and maturation of Fundulus oocytes. Dev. Biol. 1985, 110, 492–498. [Google Scholar] [CrossRef]
- Habibi, H.R.; Andreu-Vieyra, C.V. Hormonal regulation of follicular atresia in teleost fish. In The Fish Oocyte; Babin, P.J., Cerdà, J., Lubzens, E., Eds.; Springer: Dordrecht, The Netherlands, 2007; p. 242. [Google Scholar] [CrossRef]
- Frémont, L.; Marion, D. A comparison of the lipoprotein profiles in male trout (Salmo gairdneri) before maturity and during spermiation. Comp. Biochem. Physiol. B 1982, 73, 849–855. [Google Scholar] [CrossRef]
- Rasoarahona, J.R.E.; Barnathan, G.; Bianchini, J.-P.; Gaydou, E.M. Influence of season on the lipid content and fatty acid profiles of three tilapia species (Oreochromis niloticus, O. macrochir and Tilapia rendalli) from Madagascar. Food Chem. 2005, 91, 683–694. [Google Scholar] [CrossRef]
- Gauthey, Z.; Freychet, M.; Manicki, A.; Herman, A.; Lepais, O.; Panserat, S.; Elosegi, A.; Tentelier, C.; Labonne, J. The concentration of plasma metabolites varies throughout reproduction and affects offspring number in wild brown trout (Salmo trutta). Comp. Biochem. Physiol. A Mol. Integr. Physiol. 2015, 184, 90–96. [Google Scholar] [CrossRef] [PubMed]
- Lubzens, E.; Young, G.; Bobe, J.; Cerdà, J. Oogenesis in teleosts: How fish eggs are formed. Gen. Comp. Endocrinol. 2010, 165, 367–389. [Google Scholar] [CrossRef] [PubMed]
- Hiramatsu, N.; Cheek, A.O.; Sullivan, C.V.; Matsubara, T.; Hara, A. Chapter 16 Vitellogenesis and endocrine disruption. In Biochemistry and Molecular Biology of Fishes; Mommsen, T.P., Moon, T.W., Eds.; Elsevier: Amsterdam, The Netherlands, 2005; Volume 6, pp. 431–471. [Google Scholar]
- LaFleur, G.J.; Thomas, P. Evidence for a role of Na+,K+-ATPase in the hydration of Atlantic croaker and spotted seatrout oocytes during final maturation. J. Exp. Zool. 1991, 258, 126–136. [Google Scholar] [CrossRef] [PubMed]
- Finn, R.; Østby, G.; Norberg, B.; Fyhn, H.J. In vivo oocyte hydration in Atlantic halibut (Hippoglossus hippoglossus); proteolytic liberation of free amino acids, and ion transport, are driving forces for osmotic water influx. J. Exp. Biol. 2002, 205, 211–224. [Google Scholar] [CrossRef]
- Manera, M.; Britti, D. Assessment of blood chemistry normal ranges in rainbow trout. J. Fish Biol. 2006, 69, 1427–1434. [Google Scholar] [CrossRef]
- Miller III, W.; Hendricks, A.; Cairns, J.J. Normal ranges for diagnostically important hematological and blood chemistry characteristics of rainbow trout (Salmo gairdneri). Can. J. Fish. Aquat. Sci. 1983, 40, 420–425. [Google Scholar] [CrossRef]
- Johnson, L.L.; Casillas, E.; Myers, M.S.; Rhodes, L.D.; Olson, O.P. Patterns of oocyte development and related changes in plasma 17-β estradiol, vitellogenin, and plasma chemistry in English sole Parophrys vetulus Girard. J. Exp. Mar. Bio. Ecol. 1991, 152, 161–185. [Google Scholar] [CrossRef]
- Lone, G.N.; Shammi, Q.J.; Mir, S.A.; Sheikh, I.A.; Chalkoo, S.R. Rainbow trout hematology coinciding with metabolic requirement. Walailak J. Sci. Tech. 2012, 9, 309–316. [Google Scholar]
- Gomez, J.M.; Weil, C.; Ollitrault, M.; Le Bail, P.-Y.; Breton, B.; Le Gac, F. Growth hormone (GH) and gonadotropin subunit gene expression and pituitary and plasma changes during spermatogenesis and oogenesis in rainbow trout (Oncorhynchus mykiss). Gen. Comp. Endocrinol. 1999, 113, 413–428. [Google Scholar] [CrossRef]
- Prat, F.; Sumpter, J.P.; Tyler, C.R. Validation of radioimmunoassays for two salmon gonadotropins (GTH I and GTH II) and their plasma concentrations throughout the reproductive cycle in male and female rainbow trout (Oncorhynchus mykiss). Biol. Reprod. 1996, 54, 1375–1382. [Google Scholar] [CrossRef] [PubMed]
- Hassin, S.; Claire, M.; Holland, H.; Zohar, Y. Ontogeny of follicle-stimulating hormone and luteinizing hormone gene expression during pubertal development in the female striped bass, Morone saxatilis (Teleostei). Biol. Reprod. 1999, 61, 1608–1615. [Google Scholar] [CrossRef] [PubMed]
- Planas, J.V.; Swanson, P. Maturation-associated changes in the response of the salmon testis to the steroidogenic actions of gonadotropins (GTH-I and GTH-II) in vitro. Biol. Reprod. 1995, 52, 697–704. [Google Scholar] [CrossRef] [PubMed]
- Chauvigné, F.; Verdura, S.; Mazón, M.J.; Duncan, N.; Zanuy, S.; Gómez, A.; Cerdà, J. Follicle-stimulating hormone and luteinizing hormone mediate the androgenic pathway in leydig cells of an evolutionary advanced teleost. Biol. Reprod. 2012, 87, 1–11. [Google Scholar] [CrossRef] [PubMed]
- Ueda, H.; Kambegawa, A.; Nagahama, Y. Involvement of gonadotrophin and steroid hormones in spermiation in the amago salmon, Oncorhynchus rhodurus, and goldfish, Carassius auratus. Gen. Comp. Endocrinol. 1985, 59, 24–30. [Google Scholar] [CrossRef]
- Nagahama, Y.; Yamashita, M. Regulation of oocyte maturation in fish. Dev. Growth Differ. 2008, 50, S195–S219. [Google Scholar] [CrossRef]
- Scott, A.P.; Sumpter, J.P.; Stacey, N. The role of the maturation-inducing steroid, 17,20β-dihydroxypregn-4-en-3-one, in male fishes: A review. J. Fish Biol. 2010, 76, 183–224. [Google Scholar] [CrossRef]
- Sakai, N.; Ueda, H.; Suzuki, N.; Nagahamam, Y. Involvement of sperm in the production of 17α,20β-dihydroxy-4-pregnen-3-one in the testis of spermiating rainbow trout, Salmo gairdneri. Biomed. Res. 1989, 10, 131–138. [Google Scholar] [CrossRef][Green Version]
- Lokman, M.P.; Harris, B.; Kusakabe, M.; Kime, D.E.; Schulz, R.W.; Adachi, S.; Young, G. 11-Oxygenated androgens in female teleosts: Prevalence, abundance, and life history implications. Gen. Comp. Endocrinol. 2002, 129, 1–12. [Google Scholar] [CrossRef]
- Kagawa, H.; Young, G.; Nagahama, Y. Relationship between seasonal plasma estradiol-17β and testosterone levels and in vitro production by ovarian follicles of amago salmon (Oncorhynchus rhodurus). Biol. Reprod. 1983, 29, 301–309. [Google Scholar] [CrossRef] [PubMed]
- Yaron, Z.; Sivan, B. Endocrine regulation of fish reproduction. In Encyclopedia of Fish Physiology; Farrell, A.P., Ed.; Academic Press: San Diego, CA, USA, 2011; pp. 1500–1508. [Google Scholar] [CrossRef]
- Nagahama, Y. Endocrine regulation of gametogenesis in fish. Int. J. Dev. Biol. 1994, 38, 217–229. [Google Scholar] [PubMed]
- Nagahama, Y. 17α,20β-Dihydroxy-4-pregnen-3-one, a maturation-inducing hormone in fish oocytes: Mechanisms of synthesis and action. Steroids 1997, 62, 190–196. [Google Scholar] [CrossRef]
- Baudiffier, D.; Hinfray, N.; Vosges, M.; Creusot, N.; Chadili, E.; Porcher, J.-M.; Schulz, R.W.; Brion, F. A critical role of follicle-stimulating hormone (FSH) in mediating the effect of clotrimazole on testicular steroidogenesis in adult zebrafish. Toxicology 2012, 298, 30–39. [Google Scholar] [CrossRef]
- Baudiffier, D.; Hinfray, N.; Ravaud, C.; Creusot, N.; Chadili, E.; Porcher, J.-M.; Schulz, R.W.; Brion, F. Effect of in vivo chronic exposure to clotrimazole on zebrafish testis function. Environ. Sci. Pollut. Res. 2013, 20, 2747–2760. [Google Scholar] [CrossRef]
- Zhou, L.-Y.; Wang, D.-S.; Shibata, Y.; Paul-Prasanth, B.; Suzuki, A.; Nagahama, Y. Characterization, expression and transcriptional regulation of P450c17-I and -II in the medaka, Oryzias latipes. Biochem. Biophys. Res. Commun. 2007, 362, 619–625. [Google Scholar] [CrossRef]
- Zhou, L.-Y.; Wang, D.-S.; Kobayashi, T.; Yano, A.; Paul-Prasanth, B.; Suzuki, A.; Sakai, F.; Nagahama, Y. A novel type of p450c17 lacking the lyase activity is responsible for C21-steroid biosynthesis in the fish ovary and head kidney. Endocrinology 2007, 148, 4282–4291. [Google Scholar] [CrossRef] [PubMed]
- Kobayashi, T.; Nakamura, M.; Kajiura-Kobayashi, H.; Young, G.; Nagahama, Y. Immunolocalization of steroidogenic enzymes (P450scc, P450c17, P450arom, and 3β-HSD) in immature and mature testes of rainbow trout (Oncorhynchus mykiss). Cell Tissue Res. 1998, 292, 573–577. [Google Scholar] [CrossRef] [PubMed]
- Ijiri, S.; Takei, N.; Andachi, S.; Yamauchi, K. Immunolocalization of steroidogenic enzymes (P450scc, P450c17, P450arom) in gonad of japanese eel. Fish Physiol. Biochem. 2003, 28, 209–210. [Google Scholar] [CrossRef]
- Caulier, M.; Brion, F.; Chadili, E.; Turies, C.; Piccini, B.; Porcher, J.-M.; Guiguen, Y.; Hinfray, N. Localization of steroidogenic enzymes and Foxl2a in the gonads of mature zebrafish (Danio rerio). Comp. Biochem. Physiol. A Mol. Integr. Physiol. 2015, 188, 96–106. [Google Scholar] [CrossRef]
- Hinfray, N.; Nóbrega, R.H.; Caulier, M.; Baudiffier, D.; Maillot-Maréchal, E.; Chadili, E.; Palluel, O.; Porcher, J.-M.; Schulz, R.; Brion, F. Cyp17a1 and Cyp19a1 in the zebrafish testis are differentially affected by oestradiol. J. Endocrinol. 2013, 216, 375–388. [Google Scholar] [CrossRef]
- Kotula-Balak, M.; Zielińska, R.; Glogowski, J.; Kowalski, R.K.; Sarosiek, B.; Bilińska, B. Aromatase expression in testes of XY, YY, and XX rainbow trout (Oncorhynchus mykiss). Comp. Biochem. Physiol. A Mol. Integr. Physiol. 2008, 149, 188–196. [Google Scholar] [CrossRef] [PubMed]
- Tsubota, T.; Howell-Skalla, L.; Nitta, H.; Osawa, Y.; Mason, J.I.; Meiers, P.G.; Nelson, R.A.; Bahr, J.M. Seasonal changes in spermatogenesis and testicular steroidogenesis in the male black bear Ursus americanus. J. Reprod. Fertil. 1997, 109, 21–27. [Google Scholar] [CrossRef]
- Cauty, C.; Loir, M. The interstitial cells of the trout testis (Oncorhynchus mykiss): Ultrastructural characterization and changes throughout the reproductive cycle. Tissue Cell 1995, 27, 383–395. [Google Scholar] [CrossRef]
- Peltoketo, H.; Luu-The, V.; Simard, J.; Adamski, J. 17 beta-Hydroxysteroid dehydrogenase (HSD)/17-ketosteroid reductase (KSR) family; nomenclature and main characteristics of the 17HSD/KSR enzymes. J. Mol. Endocrinol. 1999, 23, 1–11. [Google Scholar] [CrossRef] [PubMed]
- Prisco, M.; Liguoro, A.; Ricchiari, L.; Del Giudice, G.; Angelini, F.; Andreuccetti, P. Immunolocalization of 3b-HSD and 17b-HSD in the testis of the spotted ray Torpedo Marmorata. Gen. Comp. Endocrinol. 2008, 155, 157–163. [Google Scholar] [CrossRef] [PubMed]
- Ings, J.S.; Van Der Kraak, G.J. Characterization of the mRNA expression of StAR and steroidogenic enzymes in zebrafish ovarian follicles. Mol. Reprod. Dev. 2006, 73, 943–954. [Google Scholar] [CrossRef]
- Hajirezaee, S.; Mojazi Amiri, B.; Mehrpoosh, M.; Jafaryan, H.; Mirrasuli, E.; Golpour, A. Gonadal development and associated changes in gonadosomatic index and sex steroids during the reproductive cycle of cultured male and female Caspian brown trout, Salmo trutta caspius (Kessler, 1877). J. Appl. Anim. Res. 2012, 40, 1–9. [Google Scholar] [CrossRef]
- de Siqueira-Silva, D.H.; da Silva Rodrigues, M.; Nóbrega, R.H. Testis structure, spermatogonial niche and Sertoli cell efficiency in Neotropical fish. Gen. Comp. Endocrinol. 2019, 273, 218–226. [Google Scholar] [CrossRef]
- Santana, J.C.O.; Quagio-Grassiotto, I. Extracellular matrix remodeling of the testes through the male reproductive cycle in Teleostei fish. Fish Physiol. Biochem. 2014, 40, 1863–1875. [Google Scholar] [CrossRef] [PubMed]
- Wildner, D.D.; Grier, H.J.; Quagio-Grassiotto, I. Female germ cell renewal during the annual reproductive cycle in Ostariophysians fish. Theriogenology 2013, 79, 709–724. [Google Scholar] [CrossRef] [PubMed]











| Season | Physico-Chemical Parameters of Water | ||||||
|---|---|---|---|---|---|---|---|
| Temperature (°C) | pH | O2 (%) | NO2 (mg/L) | NO3 (mg/L) | NH3 (mg/L) | Hardness (°dGH) | |
| December | 7.55 ± 0.49 | 6.44 ± 0.20 | 95.05 ± 2.05 | 0 | 0 | 0 | 1 ± 0 |
| March | 9.80 ± 1.27 | 6.56 ± 0.08 | 95.80 ± 2.55 | 0.03 ± 0.04 | 0 | 0 | 1 ± 0 |
| July | 16.40 ± 0.00 | 6.38 ± 0.11 | 84.90 ± 1.27 | 0.05 ± 0.00 | 0 | 0 | 1 ± 0 |
| November | 9.20 ± 0.57 | 6.07 ± 1.70 | 93.20 ± 1.70 | 0 | 0 | 0 | 1 ± 0 |
| Gender | Season | Total Weight (g) | Total Length (cm) | Standard Length (cm) | Condition Factor (K) | Gonad Weight (g) | GSI (%) | Liver Weight (g) | HSI (%) |
|---|---|---|---|---|---|---|---|---|---|
| Females | December | 660 a 440−880 | 38.5 a 34.0−43.5 | 35.0 31.5−40.0 | 1.11 1.02−1.32 | 142.00 a 81.78−162.61 | 19.62 a 16.90−23.78 | 5.57 a 3.79−18.18 | 0.86 0.68−2.07 |
| March | 1280 b 880−2000 | 48.3 b 41.0−53.0 | 44.0 38.0−49.5 | 1.26 1.13−1.34 | 5.40 b 3.43−12.45 | 0.42 b 0.37−0.73 | 18.38 b 11.06−22.30 | 1.22 1.12−1.69 | |
| July | 1240 b 680−2180 | 46.0 b 39.5−54.5 | 42.3 36.0−50.0 | 1.23 1.10−1.35 | 20.64 c 8.95−62.83 | 1.52 c 1.01−2.88 | 17.80 b 9.62−22.51 | 1.22 1.03−1.63 | |
| November | 810 a,b 620−900 | 41.7 a,b 38.0−43.4 | 38.1 35.0−40.2 | 1.12 1.01−1.23 | 152.44 a 124.99−202.86 | 20.54 a 17.02−23.05 | 12.25 a,b 7.43−17.88 | 1.67 0.84−1.99 | |
| Males | December | 750 a 680−980 | 40.5 a 39.4−43.5 | 36.4 a 35.5−40.0 | 1.14 a 1.05−1.20 | 32.04 a 21.82−41.38 | 4.18 a 2.92−5.91 | 8.05 a 5.55−9.56 | 1.02 0.82−1.20 |
| March | 1300 a,b 800−1880 | 45.8 a,b 38.0−50.5 | 42.3 a,b 35.5−47.5 | 1.36 b 1.27−1.46 | 5.07 b 2.83−8.95 | 0.44 b 0.15−0.84 | 15.96 b,c 8.13−21.85 | 1.19 1.02−1.43 | |
| July | 1710 b 800−2040 | 52.3 b 41.0−54.5 | 48.3 b 38.0−50.5 | 1.23 a,b 0.75−1.44 | 3.80 b 0.64−11.21 | 0.29 b 0.08−0.55 | 16.69 c 8.39−20.87 | 0.99 0.77−1.60 | |
| November | 840 a 580−1320 | 40.8 a 36.5−48.5 | 37.5 a 33.5−44.5 | 1.19 a,b 1.05−1.28 | 36.19 a 25.30−47.04 | 4.26 a 3.56−5.59 | 9.35 a,b 7.35−12.89 | 1.10 0.97−1.31 |
| Gender | Season | Chol (mg/dL) | Trigl (mg/dL) | LDL (mg/dL) | VLDL (mg/dL) | Chol/HDL | Glu (mg/dL) | Hb (g/dL) | Htc (%) | TProt (g/dL) | TCa (mg/dL) | ICa (mg/dL) | P (mg/dL) | Na (mEq/L) | Cl (mEq/L) | Mg (mg/dL) | K (mmol/L) |
|---|---|---|---|---|---|---|---|---|---|---|---|---|---|---|---|---|---|
| Females | December | 197 a,c 175−274 | 115.0 93.8−168.0 | 77.2 a 40.4−145.8 | 23.0 18.8−33.6 | 2.0 a,c 1.7−2.7 | 94.8 a,b 88.1−140.0 | N/A <5.0−5.6 | 38.0 28.0−51.0 | 3.7 a 3.2−4.4 | 14.8 10.7−18.9 | 6.1 5.2−6.9 | 10.9 a 7.9−12.3 | 151.0 149.0−158.0 | 134.0 a 129.0−139.0 | 2.9 a 2.5−3.2 | 2.5 a 2.0−3.1 |
| March | 367 b 307−500 | 97.7 86.7−115.0 | 244.1 b 185.0−380.7 | 19.5 17.3−23.0 | 3.6 b 3.0−5.0 | 198.5 a 130.0−>600.0 | N/A <5.0 | 46.5 36.0−64.0 | 5.2 b 4.7−5.7 | 13.4 10.7−17.3 | 5.8 4.8−7.6 | 13.9 a,b 12.0−16.2 | 144.5 106.0−163.0 | 117.5 b 76.0−131.0 | 3.6 b 3.1−4.0 | 3.4 a,b 2.8−4.6 | |
| July | 305 a,b 238−365 | 111.5 92.6−128.0 | 184.4 a,b 113.8−242.6 | 22.3 18.5−25.6 | 3.0 a,b 2.4−3.6 | 134.0 a 91.7−211.0 | N/A <5.0−12.7 | 35.0 25.0−55.0 | 5.8 b 4.8−6.4 | 17.8 13.3−20.4 | 6.2 4.9−7.6 | 14.3 b 12.9−15.8 | 160.0 145.0−176.0 | 129.0 a,b 125.0−141.0 | 3.5 b 3.2−3.7 | 4.2 b 3.1−6.6 | |
| November | 189 c 145−252 | 109.0 85.2−142.0 | 65.7 a 26.2−122.6 | 21.8 17.0−28.4 | 1.9 c 1.4−2.5 | 83.1 b 57.8−114.0 | N/A <5.0−11.6 | 42.0 23.0−50.0 | 3.4 a 3.2−4.7 | 15.2 12.7−19.2 | 5.9 5.0−6.3 | 11.3 a 10.6−11.8 | 154.0 148.0−157.0 | 134.0 a 126.0−136.0 | 3.3 a,b 2.6−3.5 | 3.3 a,b 2.2−3.5 | |
| Males | December | 175 a 133−237 | 97.4 90.8−106.0 | 55.3 a 12.3−116.0 | 19.5 18.2−21.2 | 1.7 a 1.3−2.3 | 73.1 a 66.8−141.0 | N/A <5.0 | 45.5 15.0−46.0 | 3.7 a 3.4−4.2 | 11.6 10.6−12.0 | 5.9 5.3−6.3 | 12.9 9.0−13.5 | 153.5 149.0−162.0 | 129.5 127.0−138.0 | 2.9 a 2.7−3.3 | 2.6 2.0−4.1 |
| March | 421 b 272−488 | 111.0 104.0−117.0 | 297.8 b 150.2−365.8 | 22.2 20.8−23.4 | 4.2 b 2.7−4.8 | 185.0 b 113.0−200.0 | N/A <5.0 | 46.5 40.0−51.0 | 5.3 b 4.6−5.8 | 13.5 12.8−14.8 | 6.7 6.2−7.0 | 15.4 12.6−16.0 | 154.5 137.0−156.0 | 124.0 105.0−131.0 | 3.5 b 3.3−4.1 | 3.3 2.9−3.9 | |
| July | 368 b,c 171−422 | 100.3 83.0−125.0 | 246.1 b,c 47.8−296.0 | 20.1 16.6−25.0 | 3.6 b,c 1.7−4.2 | 124.0 a,b 84.3−230.0 | N/A <5.0−12.4 | 54.0 45.0−65.0 | 4.6 b 4.4−5.4 | 12.3 11.2−13.8 | 6.1 5.6−6.3 | 13.2 11.4−17.9 | 155.5 141.0−165.0 | 128.0 110.0−134.0 | 3.0 a 0.2−3.6 | 3.6 2.5−6.6 | |
| November | 231 a,c 132−393 | 91.5 79.5−122.0 | 112.3 a,c 13.1−267.6 | 18.3 15.9−24.4 | 2.3 a,c 1.3−3.9 | 81.5 a,b 63.7−149.0 | N/A <5.0−13.4 | 47.0 42.0−55.0 | 4.4 a,b 3.9−5.5 | 10.9 10.8−13.9 | 5.9 4.4−6.1 | 12.1 10.1−14.1 | 154.5 153.0−157.0 | 127.5 122.0−131.0 | 4.2 b 3.4−4.8 | 2.3 2.0−3.1 |
Publisher’s Note: MDPI stays neutral with regard to jurisdictional claims in published maps and institutional affiliations. |
© 2021 by the authors. Licensee MDPI, Basel, Switzerland. This article is an open access article distributed under the terms and conditions of the Creative Commons Attribution (CC BY) license (https://creativecommons.org/licenses/by/4.0/).
Share and Cite
Santos, D.; Rocha, E.; Malhão, F.; Lopes, C.; Gonçalves, J.F.; Madureira, T.V. Multi-Parametric Portfolio to Assess the Fitness and Gonadal Maturation in Four Key Reproductive Phases of Brown Trout. Animals 2021, 11, 1290. https://doi.org/10.3390/ani11051290
Santos D, Rocha E, Malhão F, Lopes C, Gonçalves JF, Madureira TV. Multi-Parametric Portfolio to Assess the Fitness and Gonadal Maturation in Four Key Reproductive Phases of Brown Trout. Animals. 2021; 11(5):1290. https://doi.org/10.3390/ani11051290
Chicago/Turabian StyleSantos, Diana, Eduardo Rocha, Fernanda Malhão, Célia Lopes, José F. Gonçalves, and Tânia V. Madureira. 2021. "Multi-Parametric Portfolio to Assess the Fitness and Gonadal Maturation in Four Key Reproductive Phases of Brown Trout" Animals 11, no. 5: 1290. https://doi.org/10.3390/ani11051290
APA StyleSantos, D., Rocha, E., Malhão, F., Lopes, C., Gonçalves, J. F., & Madureira, T. V. (2021). Multi-Parametric Portfolio to Assess the Fitness and Gonadal Maturation in Four Key Reproductive Phases of Brown Trout. Animals, 11(5), 1290. https://doi.org/10.3390/ani11051290

