Molecular, Immunomodulatory, and Histopathological Role of Mesenchymal Stem Cells and Beetroot Extract on Cisplatin Induced Testicular Damage in Albino Rats
Abstract
Simple Summary
Abstract
1. Introduction
2. Materials and Methods
2.1. Materials
2.2. Preparation of Extract
2.3. Stem Cells
2.4. Experimental Design
2.5. Collection of Blood and Testicular Tissues
2.6. Evaluating the Levels of Serum Testosterone
2.7. Determination of Testicular Enzymes Levels
2.8. Assessment of Inflammation Markers
2.9. Determination of Testicular Oxidative Stress Levels
2.10. Histological Examination of Testis
2.11. Immuno-Histochemical Study
2.11.1. Proliferating Cell Nuclear Antigen (PCNA)
2.11.2. Caspase-3
2.12. Gene Expression Analysis
2.13. Statistical Analysis
3. Results
3.1. Changes in Sperm Count
3.2. Biochemical Results
3.2.1. Serum Levels of Testosterone
3.2.2. Testicular Enzymes Levels
3.2.3. Cytokine Interleukin-6 (IL-6) Levels
3.2.4. Oxidative Stress Levels
3.3. Histopathological Analysis
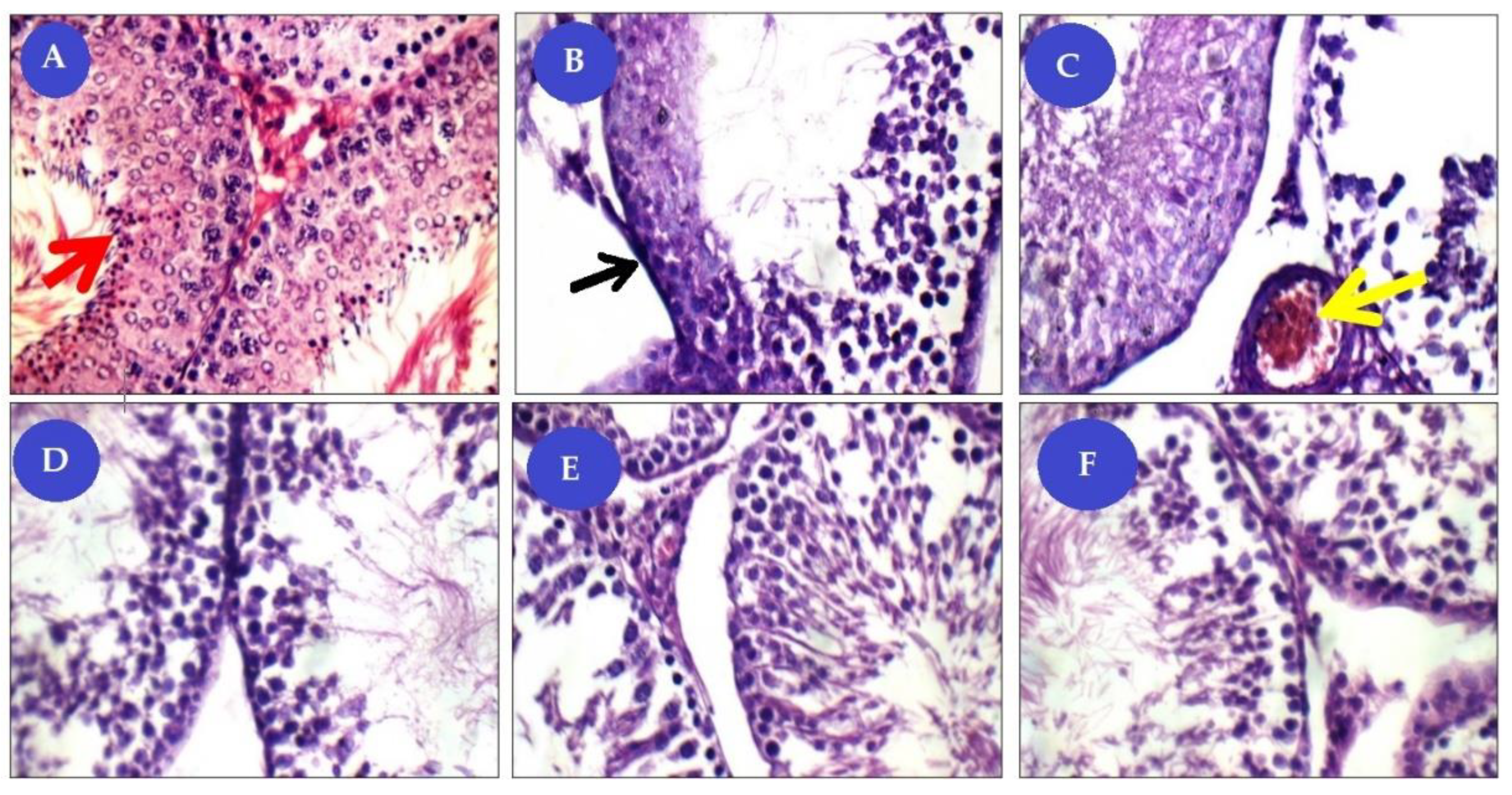
3.3.1. Haematoxylin and EOSIN (H&E)
3.3.2. Immuno-Histochemical Studies
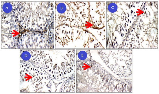
Immuno-Staining for the Proliferating Cell Nuclear Antigen (PCNA)
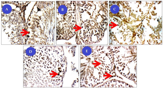
Immuno-Staining for Caspase-3
3.4. Gene Expression
3.4.1. iNOS Gene mRNA Expression Analysis
3.4.2. Caspase Gene Expression Analysis
3.4.3. StAR Gene Expression Analysis
4. Discussion
5. Conclusions
Author Contributions
Funding
Institutional Review Board Statement
Data Availability Statement
Acknowledgments
Conflicts of Interest
References
- Ebisch, I.M.; Thomas, C.M.; Peters, W.H.; Braat, D.D.; Steegers-Theunissen, R.P. The importance of folate, zinc and antioxidants in the pathogenesis and prevention of subfertility. Hum. Reprod. Update 2007, 13, 163–174. [Google Scholar] [CrossRef] [PubMed]
- Amin, A.; Hamza, A.A. Effects of Roselle and Ginger on cisplatin-induced reproductive toxicity in rats. Asian J. Androl. 2006, 8, 607–612. [Google Scholar] [CrossRef] [PubMed]
- Agarwal, A.; Virk, G.; Ong, C.; du Plessis, S.S. Effect of oxidative stress on male reproduction. World J. Mens Health 2014, 32, 1–17. [Google Scholar] [CrossRef]
- Reddy, K.P.; Madhu, P.; Reddy, P.S. Protective effects of resveratrol against cisplatin-induced testicular and epididymal toxicity in rats. Food Chem. Toxicol. 2016, 91, 65–72. [Google Scholar] [CrossRef] [PubMed]
- Fallahzadeh, A.R.; Rezaei, Z.; Rahimi, H.R.; Barmak, M.J.; Sadeghi, H.; Mehrabi, S.; Rabani, S.M.; Kashani, I.R.; Barati, V.; Mahmoudi, R. Evaluation of the Effect of Pentoxifylline on Cisplatin-Induced Testicular Toxicity in Rats. Toxicol. Res. 2017, 33, 255–263. [Google Scholar] [CrossRef]
- Chinwe, G.S.; Azuka, O.I.; Adaeze, N.C. Resveratrol supplementation rescues pool of growing follicles and ovarian stroma from Cisplatin-induced toxicity on the ovary in Sprague-Dawley rats: An experimental study. Int. J. Reprod. Biomed. 2018, 16, 19–30. [Google Scholar]
- Cherry, S.M.; Hunt, P.A.; Hassold, T.J. Cisplatin disrupts mammalian spermatogenesis, but does not affect recombination or chromosome segregation. Mutat. Res. 2004, 564, 115–128. [Google Scholar] [CrossRef] [PubMed]
- Kinkead, T.; Flores, C.; Carboni, A.A.; Menon, M.; Seethalakshmi, L. Short Term Effects of Cis-Platinum on Male Reproduction, Fertility and Pregnancy Outcome. J. Urol. 1992, 147, 201–206. [Google Scholar] [CrossRef]
- Afsar, T.; Razak, S.; Khan, M.R.; Almajwal, A. Acacia hydaspica ethyl acetate extract protects against cisplatin-induced DNA damage, oxidative stress and testicular injuries in adult male rats. BMC Cancer 2017, 17, 883. [Google Scholar] [CrossRef]
- Hassan, I.; Chibber, S.; Naseem, I. Ameliorative effect of riboflavin on the cisplatin induced nephrotoxicity and hepatotoxicity under photoillumination. Food Chem. Toxicol. 2010, 48, 2052–2058. [Google Scholar] [CrossRef] [PubMed]
- Hassan, A.I.; Alam, S.S. Evaluation of mesenchymal stem cells in treatment of infertility in male rats. Stem Cell Res. Ther. 2014, 5, 131. [Google Scholar] [CrossRef] [PubMed]
- Han, Y.; Li, X.; Zhang, Y.; Han, Y.; Chang, F.; Ding, J. Mesenchymal Stem Cells for Regenerative Medicine. Cells 2019, 8, 886. [Google Scholar] [CrossRef] [PubMed]
- Squillaro, T.; Peluso, G.; Galderisi, U. Clinical Trials With Mesenchymal Stem Cells: An Update. Cell Transplant. 2016, 25, 829–848. [Google Scholar] [CrossRef]
- Faten Zahran, A.N.; El Karef, A.; Lotfy, A.; Mahmoud, K.; Hozayen, W.G.; Sobh, M. Effect of antioxidants and mesenchymal stem cells on cisplatin induced renal fibrosis in rats. J. Stem Cell Res. Ther. 2016, 1, 150–158. [Google Scholar]
- Nayernia, K.; Nolte, J.; Michelmann, H.W.; Lee, J.H.; Rathsack, K.; Drusenheimer, N.; Dev, A.; Wulf, G.; Ehrmann, I.E.; Elliott, D.J.; et al. In vitro-differentiated embryonic stem cells give rise to male gametes that can generate offspring mice. Dev. Cell 2006, 11, 125–132. [Google Scholar] [CrossRef]
- Yazawa, T.; Mizutani, T.; Yamada, K.; Kawata, H.; Sekiguchi, T.; Yoshino, M.; Kajitani, T.; Shou, Z.; Umezawa, A.; Miyamoto, K. Differentiation of Adult Stem Cells Derived from Bone Marrow Stroma into Leydig or Adrenocortical Cells. Endocrinology 2006, 147, 4104–4111. [Google Scholar] [CrossRef]
- Ninfali, P.; Angelino, D. Nutritional and functional potential of Beta vulgaris cicla and rubra. Fitoterapia 2013, 89, 188–199. [Google Scholar] [CrossRef] [PubMed]
- Georgiev, V.G.; Weber, J.; Kneschke, E.M.; Denev, P.N.; Bley, T.; Pavlov, A.I. Antioxidant activity and phenolic content of betalain extracts from intact plants and hairy root cultures of the red beetroot Beta vulgaris cv. Detroit dark red. Plant Foods Hum. Nutr. 2010, 65, 105–111. [Google Scholar] [CrossRef]
- Vulić, J.J.; Ćebović, T.N.; Čanadanović-Brunet, J.M.; Ćetković, G.S.; Čanadanović, V.M.; Djilas, S.M.; Tumbas Šaponjac, V.T. In vivo and in vitro antioxidant effects of beetroot pomace extracts. J. Funct. Foods 2014, 6, 168–175. [Google Scholar] [CrossRef]
- Clifford, T.; Howatson, G.; West, D.J.; Stevenson, E.J. The potential benefits of red beetroot supplementation in health and disease. Nutrients 2015, 7, 2801–2822. [Google Scholar] [CrossRef]
- Sharma, N.; Tanwer, B.S.; Vijayvergia, R. Study of medicinal plants in Aravali regions of Rajasthan for treatment of Kidney stone and Urinary tract troubles. Int. J. Pharmtech Res. 2011, 3, 110–113. [Google Scholar]
- Struck, M.B.; Andrutis, K.A.; Ramirez, H.E.; Battles, A.H. Effect of a short-term fast on ketamine-xylazine anesthesia in rats. J. Am. Assoc. Lab. Anim. Sci. JAALAS 2011, 50, 344–348. [Google Scholar] [PubMed]
- Sherif, I.O.; Abdel-Aziz, A.; Sarhan, O.M. Cisplatin-induced testicular toxicity in rats: The protective effect of arjunolic acid. J. Biochem. Mol. Toxicol. 2014, 28, 515–521. [Google Scholar] [CrossRef]
- Hayfa, H.; Hijazi, A.A.R.; Elgazar, A.F. Studying Anti-inflammatory and Anti-Peptic Ulcer Effects of Aqueous Extract of Red Beetroots on Male Rats. Int. J. Pharm. Life Sci. 2018, 9, 5741–5747. [Google Scholar]
- Sherif, I.O.; Al-Mutabagani, L.A.; Alnakhli, A.M.; Sobh, M.A.; Mohammed, H.E. Renoprotective effects of angiotensin receptor blocker and stem cells in acute kidney injury: Involvement of inflammatory and apoptotic markers. Exp. Biol. Med. 2015, 240, 1572–1579. [Google Scholar] [CrossRef] [PubMed]
- Bearden, H.J.; Fuquay, J.W. Applied Animal Reproduction; Restore Publishing Co. Inc.: Reston, VA, USA, 1980; pp. 158–160. [Google Scholar]
- Kim, H.K.; Yadav, R.K.; Bhattarai, K.R.; Jung, H.W.; Kim, H.R.; Chae, H.J. Transmembrane BAX Inhibitor Motif-6 (TMBIM6) protects against cisplatin-induced testicular toxicity. Hum. Reprod. 2018, 33, 378–389. [Google Scholar] [CrossRef]
- Piszczek, P.; Radtke, A.; Ehlert, M.; Jędrzejewski, T.; Sznarkowska, A.; Sadowska, B.; Bartmański, M.; Erdoğan, Y.K.; Ercan, B.; Jedrzejczyk, W. Comprehensive Evaluation of the Biological Properties of Surface-Modified Titanium Alloy Implants. J. Clin. Med. 2020, 9, 342. [Google Scholar] [CrossRef] [PubMed]
- Ohkawa, H.; Ohishi, N.; Yagi, K. Assay for lipid peroxides in animal tissues by thiobarbituric acid reaction. Anal. Biochem. 1979, 95, 351–358. [Google Scholar] [CrossRef]
- Türk, G.; Ateşşahin, A.; Sönmez, M.; Ceribaşi, A.O.; Yüce, A. Improvement of cisplatin-induced injuries to sperm quality, the oxidant-antioxidant system, and the histologic structure of the rat testis by ellagic acid. Fertil. Steril. 2008, 89, 1474–1481. [Google Scholar] [CrossRef] [PubMed]
- Ateşşahin, A.; Sahna, E.; Türk, G.; Ceribaşi, A.O.; Yilmaz, S.; Yüce, A.; Bulmuş, O. Chemoprotective effect of melatonin against cisplatin-induced testicular toxicity in rats. J. Pineal Res. 2006, 41, 21–27. [Google Scholar] [CrossRef]
- Dillasamola, D.; Helmi, A.; Dhila, S. The effect of ethanol extract of beetroot (L.) on the number, morphology spermatozoa and testis weigh in Male Mice (Mus musculus) by exposure to heat. Res. Pharm. Biol. Chem. Sci. 2016, 7, 746–751. [Google Scholar]
- Tesoriere, L.; Fazzari, M.; Angileri, F.; Gentile, C.; Livrea, M.A. In vitro digestion of betalainic foods. Stability and bioaccessibility of betaxanthins and betacyanins and antioxidative potential of food digesta. J. Agric. Food Chem. 2008, 56, 10487–10492. [Google Scholar] [CrossRef]
- Tousson, E.; Hafez, E.; Masoud, A.; Hassan, A.A. Abrogation by Curcumin on Testicular Toxicity Induced by Cisplatin in Rats. J. Cancer Res. Treat. 2014, 2, 64–68. [Google Scholar]
- Mohammadi, F.; Nikzad, H.; Taghizadeh, M.; Taherian, A.; Azami-Tameh, A.; Hosseini, S.M.; Moravveji, A. Protective effect of Zingiber officinale extract on rat testis after cyclophosphamide treatment. Andrologia 2014, 46, 680–686. [Google Scholar] [CrossRef]
- Yang, J.; Wu, G.; Feng, Y.; Lv, Q.; Lin, S.; Hu, J. Effects of taurine on male reproduction in rats of different ages. J. Biomed. Sci. 2010, 17, 51–59. [Google Scholar] [CrossRef] [PubMed]
- Winkler, C.; Wirleitner, B.; Kurz, K.; Aids-Research, I. In vitro Effects of Beet Root Juice on Stimulated and Unstimulated Peripheral Blood Mononuclear Cells. Am. J. Biochem. Biotechnol. 2005, 1. [Google Scholar] [CrossRef]
- El Gamal, A.A.; AlSaid, M.S.; Raish, M.; Al-Sohaibani, M.; Al-Massarani, S.M.; Ahmad, A.; Hefnawy, M.; Al-Yahya, M.; Basoudan, O.A.; Rafatullah, S. Beetroot (Beta vulgaris L.) extract ameliorates gentamicin-induced nephrotoxicity associated oxidative stress, inflammation, and apoptosis in rodent model. Mediat. Inflamm. 2014, 2014, 983952. [Google Scholar] [CrossRef]
- Albasher, G.; Albrahim, T.; Alsultan, N.; Alfaraj, S.; Alharthi, M.S.; Kassab, R.B.; Abdel Moneim, A.E. Red beetroot extract mitigates chlorpyrifos-induced reprotoxicity associated with oxidative stress, inflammation, and apoptosis in rats. Environ. Sci. Pollut. Res. Int. 2020, 27, 3979–3991. [Google Scholar] [CrossRef] [PubMed]
- Adejuwon, S.A.; Femi-Akinlosotu, O.M.; Omirinde, J.O. Cisplatin-induced testicular dysfunction and its amelioration by Launaea taraxacifolia leaf extract. Andrologia 2015, 47, 553–559. [Google Scholar] [CrossRef] [PubMed]
- Nita, M.; Grzybowski, A. The Role of the Reactive Oxygen Species and Oxidative Stress in the Pathomechanism of the Age-Related Ocular Diseases and Other Pathologies of the Anterior and Posterior Eye Segments in Adults. Oxid. Med. Cell. Longev. 2016, 2016, 3164734. [Google Scholar] [CrossRef]
- Eid, A.H.; Abdelkader, N.F.; Abd El-Raouf, O.M.; Fawzy, H.M.; El-Denshary, E.S. Carvedilol alleviates testicular and spermatological damage induced by cisplatin in rats via modulation of oxidative stress and inflammation. Arch. Pharmacal Res. 2016, 39, 1693–1702. [Google Scholar] [CrossRef] [PubMed]
- Beytur, A.; Ciftci, O.; Oguz, F.; Oguzturk, H.; Yilmaz, F. Montelukast attenuates side effects of cisplatin including testicular, spermatological, and hormonal damage in male rats. Cancer Chemother. Pharmacol. 2012, 69, 207–213. [Google Scholar] [CrossRef]
- Elshiekh, A.A.; Elkolaly, H.R.; Tawfeek, N.M.; Mohamed, A.A.; Mohamed, A.A. Possible Protective Effect of Ginger Extract and Beetroot Juice Against Cisplatin Induced Testicular and Cytogenetic Toxicity in Adult Male Albino Rats. Egypt. J. Hosp. Med. 2019, 76, 4046–4054. [Google Scholar] [CrossRef]
- Lorizola, I.M.; Furlan, C.P.B.; Portovedo, M.; Milanski, M.; Botelho, P.B.; Bezerra, R.M.N.; Sumere, B.R.; Rostagno, M.A.; Capitani, C.D. Beet Stalks and Leaves (Beta vulgaris L.) Protect Against High-Fat Diet-Induced Oxidative Damage in the Liver in Mice. Nutrients 2018, 10, 872. [Google Scholar] [CrossRef] [PubMed]
- Mirmiran, P.; Houshialsadat, Z.; Gaeini, Z.; Bahadoran, Z.; Azizi, F. Functional properties of beetroot (Beta vulgaris) in management of cardio-metabolic diseases. Nutr. Metab. 2020, 17, 3. [Google Scholar] [CrossRef]
- Burova, E.; Borodkina, A.; Shatrova, A.; Nikolsky, N. Sublethal Oxidative Stress Induces the Premature Senescence of Human Mesenchymal Stem Cells Derived from Endometrium. Oxid. Med. Cell. Longev. 2013, 2013, 474931. [Google Scholar] [CrossRef]
- Afifi, N.M.; Reyad, O.N. Role of mesenchymal stem cell therapy in restoring ovarian function in a rat model of chemotherapy-induced ovarian failure: A histological and immunohistochemical study. Egypt. J. Histol. 2013, 36, 114–126. [Google Scholar] [CrossRef]
- Sadek, E.M.; Afifi, N.M.; Elfattah, L.I.; Mohsen, M.A. Histological study on effect of mesenchymal stem cell therapy on experimental renal injury induced by ischemia/reperfusion in male albino rat. Int. J. Stem Cells 2013, 6, 55–66. [Google Scholar] [CrossRef] [PubMed]
- Saral, S.; Ozcelik, E.; Cetin, A.; Saral, O.; Basak, N.; Aydın, M.; Ciftci, O. Protective role of Diospyros lotus on cisplatin-induced changes in sperm characteristics, testicular damage and oxidative stress in rats. Andrologia 2016, 48, 308–317. [Google Scholar] [CrossRef] [PubMed]
- Anand, H.; Misro, M.M.; Sharma, S.B.; Prakash, S. Protective effects of Eugenia jambolana extract versus N-acetyl cysteine against cisplatin-induced damage in rat testis. Andrologia 2015, 47, 194–208. [Google Scholar] [CrossRef] [PubMed]
- Mehrabani, D.; Hassanshahi, M.A.; Tamadon, A.; Zare, S.; Keshavarz, S.; Rahmanifar, F.; Dianatpour, M.; Khodabandeh, Z.; Jahromi, I.; Tanideh, N.; et al. Adipose tissue-derived mesenchymal stem cells repair germinal cells of seminiferous tubules of busulfan-induced azoospermic rats. J. Hum. Reprod. Sci. 2015, 8, 103–110. [Google Scholar] [CrossRef]
- Gao, F.; Chiu, S.M.; Motan, D.A.L.; Zhang, Z.; Chen, L.; Ji, H.L.; Tse, H.F.; Fu, Q.L.; Lian, Q. Mesenchymal stem cells and immunomodulation: Current status and future prospects. Cell Death Dis. 2016, 7, e2062. [Google Scholar] [CrossRef]
- Monsefi, M.; Fereydouni, B.; Rohani, L.; Talaei, T. Mesenchymal stem cells repair germinal cells of seminiferous tubules of sterile rats. Iran. J. Reprod. Med. 2013, 11, 537–544. [Google Scholar] [PubMed]
- Kanter, M.; Aktas, C.; Erboga, M. Curcumin attenuates testicular damage, apoptotic germ cell death, and oxidative stress in streptozotocin-induced diabetic rats. Mol. Nutr. Food Res. 2013, 57, 1578–1585. [Google Scholar] [CrossRef] [PubMed]
- Kaplanoglu, G.T.; Bahcelioglu, M.; Gozil, R.; Helvacioglu, F.; Buru, E.; Tekindal, M.A.; Erdogan, D.; Calguner, E. Effects of green tea and vitamin E in the testicular tissue of streptozotocin-induced diabetic rats. Saudi. Med. J. 2013, 34, 734–743. [Google Scholar]
- Cinelli, M.A.; Do, H.T.; Miley, G.P.; Silverman, R.B. Inducible nitric oxide synthase: Regulation, structure, and inhibition. Med. Res. Rev. 2020, 40, 158–189. [Google Scholar] [CrossRef] [PubMed]
- Yu, Y.-N.; Chen, H.; Li, Y. Effect of Bicyclol on Cisplatin-Induced Hepatotoxicity in the Hepatocarcinoma 22 Tumour-Bearing Mice. Basic Clin. Pharmacol. Toxicol. 2009, 104, 300–305. [Google Scholar] [CrossRef] [PubMed]
- Bogdan, C. The multiplex function of nitric oxide in (auto)immunity. J. Exp. Med. 1998, 187, 1361–1365. [Google Scholar] [CrossRef] [PubMed]
- Ilbey, Y.O.; Ozbek, E.; Simsek, A.; Otunctemur, A.; Cekmen, M.; Somay, A. Potential chemoprotective effect of melatonin in cyclophosphamide- and cisplatin-induced testicular damage in rats. Fertil. Steril. 2009, 92, 1124–1132. [Google Scholar] [CrossRef]
- Stavely, R.; Nurgali, K. The emerging antioxidant paradigm of mesenchymal stem cell therapy. Stem Cells Transl. Med. 2020, 9, 985–1006. [Google Scholar] [CrossRef]
- Miller, W.L. StAR Search—What We Know about How the Steroidogenic Acute Regulatory Protein Mediates Mitochondrial Cholesterol Import. Mol. Endocrinol. 2007, 21, 589–601. [Google Scholar] [CrossRef] [PubMed]
- Manna, P.R.; Stetson, C.L.; Slominski, A.T.; Pruitt, K. Role of the steroidogenic acute regulatory protein in health and disease. Endocrine 2016, 51, 7–21. [Google Scholar] [CrossRef]
- Montaser, M.; Mahmoud, S.; Mahdi, E.; El-Hallous, E.; Ebiya, R.A. Molecular and histopathological assessment of Arabic Coffee effect on fertility in Male Albino Rats. Res. J. Pharm. Biol. Chem. Sci. 2017, 8, 666–677. [Google Scholar]
- Montaser, M.; Abiya, R.A.; Afifi, M.; Saddick, S.; Allogmani, A.S.; Almaghrabi, O.A. Effect of natural and synthetic food colorants on spermatogenesis and the expression of its controlling genes. Slov. Vet. Res. 2018, 55, 187–199. [Google Scholar] [CrossRef]
- Ebiya, R.A.; Montaser, M.M.; Darwish, S.M. Downregulated StAR gene and male reproductive dysfunction caused by nifedipine and ethosuximide. J. Basic Appl. Zool. 2016, 76, 42–51. [Google Scholar] [CrossRef]
- Woo, M.; Hakem, R.; Soengas, M.S.; Duncan, G.S.; Shahinian, A.; Kägi, D.; Hakem, A.; McCurrach, M.; Khoo, W.; Kaufman, S.A.; et al. Essential contribution of caspase 3/CPP32 to apoptosis and its associated nuclear changes. Genes Dev. 1998, 12, 806–819. [Google Scholar] [CrossRef]
- Brock, C.K.; Wallin, S.T.; Ruiz, O.E.; Samms, K.M.; Mandal, A.; Sumner, E.A.; Eisenhoffer, G.T. Stem cell proliferation is induced by apoptotic bodies from dying cells during epithelial tissue maintenance. Nat. Commun. 2019, 10, 1044. [Google Scholar] [CrossRef] [PubMed]












| Group | Sperm Count × 106 |
|---|---|
| NG | 48.07 ± 0.73 |
| CG | 3.33 ± 0.59 |
| CBG | 27.1 ± 0.79 |
| CMG | 33.87 ± 1.23 |
| CMBG | 45.1 ± 0.57 |
| LSD | 1.154 |
| Group | Serum Testosterone (ng/mL) |
|---|---|
| NG | 1.89 ± 0.03 |
| CG | 0.39 ± 0.06 |
| CBG | 0.78 ± 0.04 |
| CMG | 1.09 ± 0.04 |
| CMBG | 1.62 ± 0.04 |
| LSD | 0.057 |
| Group | SDH (U/mg Protein) | AKP (U/mg Protein) |
|---|---|---|
| NG | 0.18 ± 0.02 A | 38.33 ± 2.02 A |
| CG | 0.58 ± 0.06 | 8.50 ± 0.52 |
| CBG | 0.38 ± 0.01 B | 19.23 ± 0.31 |
| CMG | 0.29 ± 0.01 B | 26.07 ± 1.10 |
| CMBG | 0.20 ± 0.01 A | 35.50 ± 1.60 A |
| LSD | 0.043 | 1.81 |
| Group | IL-6 (pg/mL) |
|---|---|
| NG | 95.43 ± 1.75 |
| CG | 392.7 ± 7.02 |
| CBG | 327.4 ± 7.32 |
| CMG | 293.33 ± 4.12 |
| CMBG | 127.8 ± 9.3 |
| LSD (Least Significant Difference) | 9.15 |
| Group | MDA (m. mol/L) | TAC (m. mol/L) | Glutathione (m. mol/L) |
|---|---|---|---|
| NG | 0.08 ± 0.01 | 44.59 ± 0.22 | 30.03 ± 1.07 A |
| CG | 0.82 ± 0.04 | 12.99 ± 0.47 | 10.63 ± 0.75 |
| CBG | 0.62 ± 0.01 | 30.64 ± 0.50 | 19.03 ± 0.45 |
| CMG | 0.48 ± 0.07 | 34.9 ± 0.85 | 23.47 ± 0.55 |
| CMBG | 0.22 ± 0.1 | 40.21 ± 0.38 | 30.13 ± 0.80 A |
| LSD | 0.041 | 0.747 | 1.071 |
| Group | Caspase-3 | StAR | iNOS |
|---|---|---|---|
| NG | 1.13 ± 0.01 | 2.62 ± 0.05 A | 1 ± 0.00 |
| CG | 4.31 ± 0.02 | 0.80 ± 0.02 | 11.6 ± 0.89 |
| CBG | 2.85 ± 0.02 | 1.76 ± 0.06 | 5.48 ± 0.6 A |
| CMG | 2.21 ± 0.04 | 2.23 ± 0.03 | 8.54 ± 0.2 |
| CMBG | 1.64 ± 0.03 | 2.62 ± 0.04 A | 3.9 ± 0.44 A |
| LSD | 0.035 | 0.060 | 0.742 |
Publisher’s Note: MDPI stays neutral with regard to jurisdictional claims in published maps and institutional affiliations. |
© 2021 by the authors. Licensee MDPI, Basel, Switzerland. This article is an open access article distributed under the terms and conditions of the Creative Commons Attribution (CC BY) license (https://creativecommons.org/licenses/by/4.0/).
Share and Cite
Hassen, M.T.; Mohamed, H.K.; Montaser, M.M.; El-Sharnouby, M.E.; Awad, N.; Ebiya, R.A. Molecular, Immunomodulatory, and Histopathological Role of Mesenchymal Stem Cells and Beetroot Extract on Cisplatin Induced Testicular Damage in Albino Rats. Animals 2021, 11, 1142. https://doi.org/10.3390/ani11041142
Hassen MT, Mohamed HK, Montaser MM, El-Sharnouby ME, Awad N, Ebiya RA. Molecular, Immunomodulatory, and Histopathological Role of Mesenchymal Stem Cells and Beetroot Extract on Cisplatin Induced Testicular Damage in Albino Rats. Animals. 2021; 11(4):1142. https://doi.org/10.3390/ani11041142
Chicago/Turabian StyleHassen, Marwa T., Hanaa K. Mohamed, Metwally M. Montaser, Mohamed E. El-Sharnouby, Nabil Awad, and Rasha A. Ebiya. 2021. "Molecular, Immunomodulatory, and Histopathological Role of Mesenchymal Stem Cells and Beetroot Extract on Cisplatin Induced Testicular Damage in Albino Rats" Animals 11, no. 4: 1142. https://doi.org/10.3390/ani11041142
APA StyleHassen, M. T., Mohamed, H. K., Montaser, M. M., El-Sharnouby, M. E., Awad, N., & Ebiya, R. A. (2021). Molecular, Immunomodulatory, and Histopathological Role of Mesenchymal Stem Cells and Beetroot Extract on Cisplatin Induced Testicular Damage in Albino Rats. Animals, 11(4), 1142. https://doi.org/10.3390/ani11041142

