Pathogenesis of Velogenic Genotype VII.1.1 Newcastle Disease Virus Isolated from Chicken in Egypt via Different Inoculation Routes: Molecular, Histopathological, and Immunohistochemical Study
Abstract
Simple Summary
Abstract
1. Introduction
2. Material and Methods
2.1. Ethical Considerations
2.2. Study Area and Collection of Clinical Specimens
2.3. Molecular Identification of NDV
2.3.1. Viral RNA Extraction
2.3.2. Real Time RT-PCR (RRT-PCR)
2.3.3. RT-PCR
| Primer | Sequence (5′–3′) | Product Size (bp) | Reference |
|---|---|---|---|
| F+4839 | TCCGGAGGATACAAGGGTCT | 101 | [25] |
| F+4894 | [FAM]AAGCGTTTCTGTCTCCTTCCTCCA[TAMRA] | ||
| F−4939 | AGCTGTTGCAACCCCAAG | ||
| F 330 | AGGAAGGAGACAAAAACGTTTTATAGG | 370 | [24] |
| R700 | TCAGCTGAGTTAATGCAGGGGAGG |
2.3.4. Sequencing and Phylogenetic Analysis
2.4. Propagation of NDV in Embryonated Chicken Eggs
2.5. Pathogenicity Testing of NDV-CH-EGYPT-F42-DAKAHLIA-2019 Isolate
2.5.1. Mean Death Time (MDT)
2.5.2. Intracerebral Pathogenicity Index (ICPI)
2.6. Comparative Assessment of Velogenic NDV (Sub-Genotype VII.1.1) Pathogenicity in Chickens Using Different Inoculation Routes
2.6.1. Experimental Chicks
2.6.2. NDV Strains
2.6.3. Virus Titration
2.6.4. Experimental Design
2.6.5. Histopathological Examination
2.6.6. Immunohistochemical Examination (IHC)
2.6.7. Anti-NDV Antibody Titer Detection
2.6.8. Statistical Analysis
3. Results
3.1. Clinical Signs and Postmortem Lesions in Naturally Diseased Birds
3.2. Molecular Identification of NDV
3.2.1. Real-Time RT-PCR
3.2.2. RT-PCR
3.2.3. Sequencing and Phylogenetic Analysis
3.3. Propagation of NDV in Embryonated Chicken Eggs
3.4. Pathogenicity Testing of NDV-CH-EGYPT-F42-DAKAHLIA-2019 Isolate
3.5. Comparative Assessment of Velogenic NDV Pathogenicity in Chickens Using Different Inoculation Routes
3.5.1. Clinical Signs of Experimentally Infected Chickens
3.5.2. Gross Lesions of Experimentally Infected Chickens
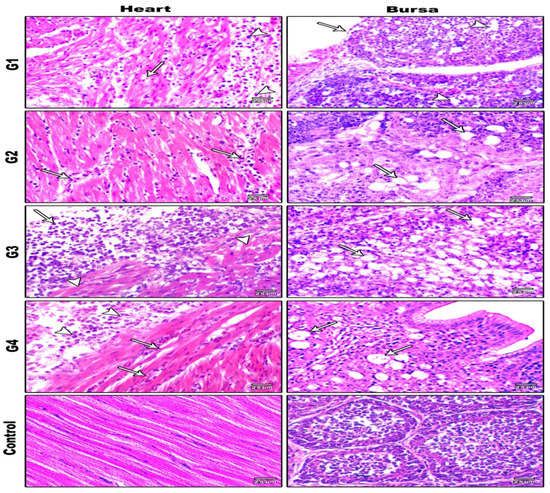
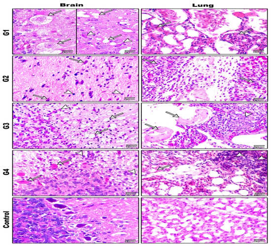
3.5.3. Histopathological Examination
3.5.4. Immunohistochemical Examination
3.5.5. Anti-NDV Antibody Titer Detection
4. Discussion
5. Conclusions
Supplementary Materials
Author Contributions
Funding
Institutional Review Board Statement
Informed Consent Statement
Data Availability Statement
Acknowledgments
Conflicts of Interest
References
- Alexander, D.J.; Senne, D.A. Newcastle disease, other avian paramyxoviruses, and pneumovirus infections. In Disease of Poultry, 12th ed.; Saif, Y.M., Fadly, A.M., Glisson, J.R., McDougald, L.R., Nolan, L.K., Swayne, D.E., Eds.; Blackwell Publishing: Ames, IA, USA, 2008; pp. 75–115. [Google Scholar]
- Cattoli, G.; Susta, L.; Terregino, C.; Brown, C. Newcastle disease: A review of field recognition and current methods of laboratory detection. J. Vet. Diagn. Investig. 2011, 23, 637–656. [Google Scholar] [CrossRef]
- Elfatah, K.A.; Elabasy, M.; El-Khyate, F.; Elmahallawy, E.; Mosad, S.; El-Gohary, F.; Abdo, W.; Al-Brakati, A.; Seadawy, M.; Tahoon, A.; et al. Molecular Characterization of Velogenic Newcastle Disease Virus (Sub-Genotype VII.1.1) from Wild Birds, with Assessment of Its Pathogenicity in Susceptible Chickens. Animals 2021, 11, 505. [Google Scholar] [CrossRef] [PubMed]
- International Committee on Taxonomy of Viruses (ICTV), 2018 Release. 2019. Available online: https://talk.ictvonline.org/taxonomy/ (accessed on 5 October 2021).
- Mahon, P.J.; Mirza, A.M.; Iorio, R.M. Role of the Two Sialic Acid Binding Sites on the Newcastle Disease Virus HN Protein in Triggering the Interaction with the F Protein Required for the Promotion of Fusion. J. Virol. 2011, 85, 12079–12082. [Google Scholar] [CrossRef] [PubMed]
- Seal, B.S.; King, D.J.; Sellers, H.S. The avian response to Newcastle disease virus. Dev. Comp. Immunol. 2000, 24, 257–268. [Google Scholar] [CrossRef]
- Dimitrov, K.M.; Abolnik, C.; Afonso, C.L.; Albina, E.; Bahl, J.; Berg, M.; Briand, F.-X.; Brown, I.H.; Choi, K.-S.; Chvala, I.; et al. Updated unified phylogenetic classification system and revised nomenclature for Newcastle disease virus. Infect. Genet. Evol. 2019, 74, 103917. [Google Scholar] [CrossRef] [PubMed]
- Megahed, M.; Mohamed, W.; Hassanin, O. A Complex Genetic Diversity of Newcastle Disease Virus (Ndv) In Africa Continent: An Updated Review. J. Anim. Health Prod. 2020, 9, 97–109. [Google Scholar] [CrossRef]
- Radwan, M.M.; Darwish, S.F.; El-Sabagh, I.M.; El-Sanousi, A.A.; Shalaby, M.A. Isolation and molecular characterization of Newcastle disease virus genotypes II and VIId in Egypt between 2011 and 2012. Virus Genes 2013, 47, 311–316. [Google Scholar] [CrossRef] [PubMed]
- De Leeuw, O.S.; Koch, G.; Hartog, L.; Ravenshorst, N.; Peeters, B.P.H. Virulence of Newcastle disease virus is determined by the cleavage site of the fusion protein and by both the stem region and globular head of the haemagglutinin–neuraminidase protein. J. Gen. Virol. 2005, 86, 1759–1769. [Google Scholar] [CrossRef]
- OIE. Newcastle disease, chapter 2.3.14. In OIE Terrestrial Manual 2012: Manual2012 of Diagnostic Tests and Vaccines for Terrestrial Animals; World organization for Animal Health: Paris, France, 2012; pp. 576–589. [Google Scholar]
- Aldous, E.W.; Mynn, J.K.; Banks, J.; Alexander, D. A molecular epidemiological study of avian paramyxovirus type 1 (Newcastle disease virus) isolates by phylogenetic analysis of a partial nucleotide sequence of the fusion protein gene. Avian Pathol. 2003, 32, 239–257. [Google Scholar] [CrossRef]
- Panda, A.; Huang, Z.; Elankumaran, S.; Rockemann, D.D.; Samal, S.K. Role of fusion protein cleavage site in the virulence of Newcastle disease virus. Microb. Pathog. 2004, 36, 1–10. [Google Scholar] [CrossRef]
- Dortmans, J.C.F.M.; Rottier, P.J.M.; Koch, G.; Peeters, B.P.H. Passaging of a Newcastle disease virus pigeon variant in chickens results in selection of viruses with mutations in the polymerase complex enhancing virus replication and virulence. J. Gen. Virol. 2011, 92, 336–345. [Google Scholar] [CrossRef]
- OIE. Manual of Diagnostic Tests and Vaccines for Terrestrial Animals, 6th ed.; OIE: Paris, France, 2008. [Google Scholar]
- Alexander, D.J.; Senne, D.A. Newcastle disease and other avian paramyxoviruses. In A Laboratory Manual for the Isolation, Identification and Characterization of Avian Pathogens, 4th ed.; Dufour-Zavala, L., Ed.; Association of Avian Pathologists: Athens, GA, USA, 2008; pp. 135–141. [Google Scholar]
- Susta, L.; Miller, P.J.; Afonso, C.L.; Brown, C.C. Clinicopathological Characterization in Poultry of Three Strains of Newcastle Disease Virus Isolated from Recent Outbreaks. Vet. Pathol. 2011, 48, 349–360. [Google Scholar] [CrossRef]
- Ecco, R.; Susta, L.; Afonso, C.L.; Miller, P.J.; Brown, C. Neurological lesions in chickens experimentally infected with virulent Newcastle disease virus isolates. Avian Pathol. 2011, 40, 145–152. [Google Scholar] [CrossRef]
- Suarez, D.L.; Miller, P.J.; Koch, G.; Mundt, E.; Rautenschlein, S. Newcastle Disease, Other Avian Paramyxoviruses, and Avian Metapneumovirus Infections. In Diseases of Poultry; WILEY Blackwell: Ames, IA, USA, 2013; pp. 87–138. [Google Scholar]
- Pandarangga, P.; Brown, C.C.; Miller, P.J.; Haddas, R.; Rehmani, S.F.; Afonso, C.L.; Susta, L. Pathogenesis of New Strains of Newcastle Disease Virus from Israel and Pakistan. Vet. Pathol. 2016, 53, 792–796. [Google Scholar] [CrossRef]
- Dai, Y.; Cheng, X.; Liu, M.; Shen, X.; Li, J.; Yu, S.; Zou, J.; Ding, C. Experimental infection of duck origin virulent Newcastle disease virus strain in ducks. BMC Vet. Res. 2014, 10, 1–9. [Google Scholar] [CrossRef] [PubMed]
- Spackman, E.; Pedersen, J.C.; McKinley, E.T.; Gelb, J. Optimal specimen collection and transport methods for the detection of avian influenza virus and Newcastle disease virus. BMC Vet. Res. 2013, 9, 1–12. [Google Scholar] [CrossRef]
- Awad, M.; Mosad, S.; El-Kenawy, A. Molecular differentiation between velogenic isolates and lentogenic LaSota strain of Newcastle disease virus. Mansoura Vet. Med. J. 2020, 21, 193–198. [Google Scholar] [CrossRef]
- Selim, K.M.; Selim, A.; Arafa, A.; Hussein, H.A.; Elsanousi, A.A. Molecular characterization of full fusion protein (F) of Newcastle disease virus genotype VIId isolated from Egypt during 2012–2016. Vet. World 2018, 11, 930–938. [Google Scholar] [CrossRef] [PubMed]
- Wise, M.G.; Suarez, D.L.; Seal, B.S.; Pedersen, J.C.; Senne, D.A.; King, D.J.; Kapczynski, D.R.; Spackman, E. Development of a Real-Time Reverse-Transcription PCR for Detection. J. Clin. Microbiol. 2004, 42, 329–338. [Google Scholar] [CrossRef]
- Kumar, S.; Stecher, G.; Li, M.; Knyaz, C.; Tamura, K. MEGA X: Molecular Evolutionary Genetics Analysis across Computing Platforms. Mol. Biol. Evol. 2018, 35, 1547. [Google Scholar] [CrossRef]
- Hall, T. BioEdit: A User-Friendly Biological Sequence Alignment Editor and Analysis Program for Windows 95/98/NT; Nucleic Acids Symposium Series; Information Retrieval Ltd.: London, UK, 1999; pp. 95–98. [Google Scholar]
- McGinnes, L.W.; Pantua, H.; Reitter, J.; Morrison, T.G. Newcastle disease virus: Propagation, quantification, and storage. Curr. Protoc. Microbiol. 2006, 1, 15F.2.11–15F.2.18. [Google Scholar] [CrossRef] [PubMed]
- Alexander, D.; Swayne, D. A Laboratory Manual for The Isolation and Identification of Avian Pathogens; American Association of Avian Pathologists: Kennett Square, PA, USA, 1998. [Google Scholar]
- OIE/FAO International Reference Laboratory for ND. Newcastle Disease Virus: The Intracerebral Pathogenicity (ICPI) Test for Newcastle Disease Virus (NDV); VI.438 Edition 10; SOP: 2019; pp. 1–8. Available online: https://science.vla.gov.uk/flu-lab-net/docs/protocol_IntracerebralPathogenicity.pdf (accessed on 29 October 2021).
- Reed, L.J.; Muench, H. A simple method of estimating fifty per cent endpoints. Am. J. Epidemiol. 1938, 27, 493–497. [Google Scholar] [CrossRef]
- Vasan, P.; Tiwary, R.; Maiti, S.; Dutta, A. Xylazine, diazepam and midazolam premedicated ketamine anaesthesia in White Leghorn cockerels for typhlectomy. J. S. Afr. Vet. Assoc. 2006, 77, 12–18. [Google Scholar]
- Bancroft, J.D.; Gamble, M. Theory and Practice of Histological Techniques, 6th ed. Churchill Livingstone, Elsevier, China. 2008. Available online: https://www.scirp.org/(S(vtj3fa45qm1ean45vvffcz55))/reference/ReferencesPapers.aspx?ReferenceID=1582193 (accessed on 29 October 2021).
- Adriano, D.O.T.C.; Meire, C.S.; Tiago, W.P.M.; Jayme, A.P.; Laura, M.K.; Mario, H.A.; Jyan, L.B.; Priscila, I.; Aramis, A.P.; Carrasco, A.D.O.T.; et al. Use of immunohistochemistry (IHC) in the detection of Newcastle disease virus (NDV) in experimentally and naturally infected birds. Afr. J. Microbiol. Res. 2015, 9, 2225–2231. [Google Scholar] [CrossRef][Green Version]
- Brown, C.; King, D.; Seal, B. Comparison of Pathology-based Techniques for Detection of Viscerotropic Velogenic Newcastle Disease Virus in Chickens. J. Comp. Pathol. 1999, 120, 383–389. [Google Scholar] [CrossRef]
- Rue, C.A.; Susta, L.; Cornax, I.; Brown, C.C.; Kapczynski, D.R.; Suarez, D.; King, D.J.; Miller, P.J.; Afonso, C.L. Virulent Newcastle disease virus elicits a strong innate immune response in chickens. J. Gen. Virol. 2011, 92, 931–939. [Google Scholar] [CrossRef] [PubMed]
- Zenglei, H.; Liu, X. NDV induced immune-pathology in chickens. Hosts Viruses 2015, 2, 25. [Google Scholar]
- Bello, M.B.; Yusoff, K.; Ideris, A.; Hair-Bejo, M.; Peeters, B.P.H.; Omar, A.R. Diagnostic and Vaccination Approaches for Newcastle Disease Virus in Poultry: The Current and Emerging Perspectives. BioMed Res. Int. 2018, 2018, 7278459. [Google Scholar] [CrossRef] [PubMed]
- Beguas, R.M.C.; Umali, D.V. Genetic characterization of Newcastle Disease virus from broiler flocks in selected areas in Central Luzon, Philippines. Philipp. J. Vet. Med. 2018, 55, 25–34. [Google Scholar]
- Bhadouriya, S.; Kapoor, S.; Sharma, B.K.; Chhabra, R. Isolation and Characterization of the Newcastle Disease Virus (NDV) of Haryana Region Based on F-gene Sequence. J. Anim. Res. 2018, 8, 999–1003. [Google Scholar] [CrossRef]
- Grimes, S.E. A Basic Laboratory Manual for the Small-Scale Production and Testing of I-2 Newcastle Disease Vaccine. RAP publication: 2002; ISBN 974-7946-26-2. Available online: https://www.fao.org/3/ac802e/ac802e00.htm#Contents (accessed on 11 December 2021).
- Tirumurugaan, K.G.; Vinupriya, M.K.; Vijayarani, K.; Kumanan, K. Analysis of the Fusion Protein Cleavage Site of Newcastle disease virus Isolates from India Reveals Preliminary Evidence for the Existence of II, VI and VII Genotypes. Indian J. Virol. 2011, 22, 131–137. [Google Scholar] [CrossRef][Green Version]
- Miller, P.J.; Afonso, C.L.; El Attrache, J.; Dorsey, K.M.; Courtney, S.C.; Guo, Z.; Kapczynski, D.R. Effects of Newcastle disease virus vaccine antibodies on the shedding and transmission of challenge viruses. Dev. Comp. Immunol. 2013, 41, 505–513. [Google Scholar] [CrossRef]
- Courtney, S.C.; Susta, L.; Gomez, D.; Hines, N.L.; Pedersen, J.C.; Brown, C.C.; Miller, P.J.; Afonso, C.L. Highly Divergent Virulent Isolates of Newcastle Disease Virus from the Dominican Republic Are Members of a New Genotype That May Have Evolved Unnoticed for Over 2 Decades. J. Clin. Microbiol. 2013, 51, 508–517. [Google Scholar] [CrossRef] [PubMed]
- Dhaygude, V.S.; Sawale, G.K.; Chawak, M.M.; Bulbule, N.R.; Moregaonkar, S.D.; Gavhane, D.S. Molecular characterization of velogenic viscerotropic Ranikhet (Newcastle) disease virus from different outbreaks in desi chickens. Vet. World 2017, 10, 319–323. [Google Scholar] [CrossRef]
- Mariappan, A.K.; Munusamy, P.; Kumar, D.; Latheef, S.K.; Singh, S.D.; Singh, R.; Dhama, K. Pathological and molecular investigation of velogenic viscerotropic Newcastle disease outbreak in a vaccinated chicken flocks. VirusDisease 2018, 29, 180–191. [Google Scholar] [CrossRef] [PubMed]
- Moharam, I.; El Razik, A.A.; Sultan, H.; Ghezlan, M.; Meseko, C.; Franzke, K.; Harder, T.; Beer, M.; Grund, C. Investigation of suspected Newcastle disease (ND) outbreaks in Egypt uncovers a high virus velogenic ND virus burden in small-scale holdings and the presence of multiple pathogens. Avian Pathol. 2019, 48, 406–415. [Google Scholar] [CrossRef]
- Etriwati, D.R.; Handharyani, E.; Setiyaningsih, S. Pathology and immunohistochemistry study of Newcastle disease field case in chicken in Indonesia. Vet. World 2017, 10, 1066–1071. [Google Scholar] [CrossRef]
- de Moura, V.M.B.D.; Susta, L.; Garcia, S.C.; Stanton, J.B.; Miller, P.J.; Afonso, C.L.; Brown, C.C. Neuropathogenic Capacity of Lentogenic, Mesogenic, and Velogenic Newcastle Disease Virus Strains in Day-Old Chickens. Vet. Pathol. 2016, 53, 53–64. [Google Scholar] [CrossRef] [PubMed]
- Brown, C.; King, D.J.; Seal, B.S. Pathogenesis of Newcastle Disease in Chickens Experimentally Infected with Viruses of Different Virulence. Vet. Pathol. 1999, 36, 125–132. [Google Scholar] [CrossRef]
- Anis, Z.; Morita, T.; Azuma, K.; Ito, H.; Ito, T.; Shimada, A. Comparative Study on the Pathogenesis of the Generated 9a5b Newcastle Disease Virus Mutant Isolate Between Chickens and Waterfowl. Vet. Pathol. 2013, 50, 638–647. [Google Scholar] [CrossRef]
- Nakamura, K.; Ohta, Y.; Abe, Y.; Imai, K.; Yamada, M. Pathogenesis of conjunctivitis caused by Newcastle disease viruses in specific-pathogen-free chickens. Avian Pathol. 2004, 33, 371–376. [Google Scholar] [CrossRef]
- Wang, Y.; Duan, Z.; Hu, S.; Kai, Y.; Wang, X.; Song, Q.; Zhong, L.; Sun, Q.; Wang, X.; Wu, Y.; et al. Lack of detection of host associated differences in Newcastle disease viruses of genotype VIId isolated from chickens and geese. Virol. J. 2012, 9, 197. [Google Scholar] [CrossRef]
- Hassanzadeh, M.; Abdoshah, M.; Yousefi, A.R.; Masoudi, S. Comparison of the Impact of Different Administration Routes on the Efficacy of a Thermoresistant Newcastle Disease Vaccine in Chickens. Viral Immunol. 2020, 33, 361–366. [Google Scholar] [CrossRef] [PubMed]
- Hu, Z.; Hu, J.; Hu, S.; Song, Q.; Ding, P.; Zhu, J.; Liu, X.; Wang, X.; Liu, X. High levels of virus replication and an intense inflammatory response contribute to the severe pathology in lymphoid tissues caused by Newcastle disease virus genotype VIId. Arch. Virol. 2015, 160, 639–648. [Google Scholar] [CrossRef]
- El Aziz, M.A.; El-Hamid, H.A.; Ellkany, H.; Nasef, S.; Nasr, S.; El Bestawy, A. Biological and Molecular Characterization of Newcastle Disease Virus Circulating in Chicken Flocks, Egypt, during 2014–2015. Zagazig Vet. J. 2016, 44, 9–20. [Google Scholar] [CrossRef]
- Ezema, W.S.; Eze, D.C.; Shoyinka, S.V.O.; Okoye, J.O.A. Atrophy of the lymphoid organs and suppression of antibody response caused by velogenic Newcastle disease virus infection in chickens. Trop. Anim. Heal. Prod. 2016, 48, 1703–1709. [Google Scholar] [CrossRef] [PubMed]
- Suarez, D.L.; Miller, P.J.; Koch, G.; Mundt, E.; Rautenschlein, S. Newcastle Disease, Other Avian Paramyxoviruses, and Avian Metapneumovirus Infections. In Diseases of Poultry; WILEY Blackwell: Ames, IA, USA, 2020; pp. 109–166. [Google Scholar]
- Butt, S.L.; Moura, V.M.B.D.; Susta, L.; Miller, P.J.; Hutcheson, J.M.; Cardenas-Garcia, S.; Brown, C.C.; West, F.D.; Afonso, C.L.; Stanton, J.B. Tropism of Newcastle disease virus strains for chicken neurons, astrocytes, oligodendrocytes, and microglia. BMC Vet. Res. 2019, 15, 317. [Google Scholar] [CrossRef]
- Terregino, C.; Capua, I. Clinical traits and pathology of Newcastle disease infection and guidelines for farm visit and differential diagnosis. In Avian Influenza and Newcastle Disease; Springer: Cham, Switzerland, 2009; pp. 113–122. [Google Scholar]
- Bergfeld, J.; Meers, J.; Bingham, J.; Harper, J.; Payne, J.; Lowther, S.; Marsh, G.; Tachedjian, M.; Middleton, D. An Australian Newcastle Disease Virus with a Virulent Fusion Protein Cleavage Site Produces Minimal Pathogenicity in Chickens. Vet. Pathol. 2017, 54, 649–660. [Google Scholar] [CrossRef]
- Ferreira, H.; Taylor, T.L.; Dimitrov, K.M.; Sabra, M.; Afonso, C.L.; Suarez, D.L. Virulent Newcastle disease viruses from chicken origin are more pathogenic and transmissible to chickens than viruses normally maintained in wild birds. Vet. Microbiol. 2019, 235, 25–34. [Google Scholar] [CrossRef]
- Wakamatsu, N.; King, D.J.; Kapczynski, D.R.; Seal, B.S.; Brown, C.C. Experimental Pathogenesis for Chickens, Turkeys, and Pigeons of Exotic Newcastle Disease Virus from an Outbreak in California during 2002–2003. Vet. Pathol. 2006, 43, 925–933. [Google Scholar] [CrossRef] [PubMed]
- Harrison, L.; Brown, C.; Afonso, C.; Zhang, J.; Susta, L. Early Occurrence of Apoptosis in Lymphoid Tissues from Chickens Infected with Strains of Newcastle Disease Virus of Varying Virulence. J. Comp. Pathol. 2011, 145, 327–335. [Google Scholar] [CrossRef]
- Nakamura, K.; Ito, M.; Nakamura, T.; Yamamoto, Y.; Yamada, M.; Mase, M.; Imai, K. Pathogenesis of Newcastle Disease in Vaccinated Chickens: Pathogenicity of Isolated Virus and Vaccine Effect on Challenge of Its Virus. J. Vet. Med. Sci. 2013, 76, 31–36. [Google Scholar] [CrossRef] [PubMed]
- Abdel-Glil, M.Y.; Mor, S.K.; Sharafeldin, T.A.; Porter, R.E.; Goyal, S.M. Detection and Characterization of Newcastle Disease Virus in Formalin-Fixed, Paraffin-Embedded Tissues from Commercial Broilers in Egypt. Avian Dis. 2014, 58, 118–123. [Google Scholar] [CrossRef]
- Manzoor, A.W.; Rizvi, F.; Javed, M.; Numan, M.; Khan, A.; Rehman, S.U. Pathotyping of Newcastle disease virus using multiplex reverse transcription polymerase chain reaction and pathological studies in naturally infected broiler chicks. Pak. J. Life Soc. Sci. 2013, 11, 225–232. [Google Scholar]
- Zachary, J.F. Nervous system. In Pathologic Basis of Veterinary Disease, 5th ed.; McGavin, M.D., Zachary, J.F., Eds.; Mosby Elsivier: St. Louis, MO, USA, 2012; pp. 771–870. [Google Scholar]
- El-Bahrawy, A.; Zaid, A.; Sunden, Y.; Sakurai, M.; Ito, H.; Ito, T.; Morita, T. Pathogenesis of Pancreatitis in Chickens after Experimental Infection with 9a5b Newcastle Disease Virus Mutant Isolate. J. Comp. Pathol. 2015, 153, 315–323. [Google Scholar] [CrossRef]
- Susta, L.; Jones, M.E.B.; Cattoli, G.; Garcia, S.C.; Miller, P.J.; Brown, C.C.; Afonso, C.L. Pathologic Characterization of Genotypes XIV and XVII Newcastle Disease Viruses and Efficacy of Classical Vaccination on Specific Pathogen-Free Birds. Vet. Pathol. 2015, 52, 120–131. [Google Scholar] [CrossRef] [PubMed]
- Abd El Aziem, A.; Abd-Ellatieff, H.; Elbestawy, A.; Belih, S.; El-Hamid, A.; Abou-Rawash, A.-R. Susceptibility of Japanese Quail and Chickens to Infection with Newcastle disease Virus Genotype VIId. Damanhour J. Vet. Sci. 2020, 3, 27–31. [Google Scholar]
- El-Bahrawy, A.; Zaid, A.; Sunden, Y.; Sakurai, M.; Ito, H.; Ito, T.; Morita, T. Pathogenesis of Renal Lesions in Chickens After Experimental Infection with 9a5b Newcastle Disease Virus Mutant Isolate. Vet. Pathol. 2017, 54, 94–98. [Google Scholar] [CrossRef]
- El-Mandrawy, S.A.M.; Ismail, S.A.A. Selective Hematological, Biochemical and Pathological Alterations of Newcastle Virus in Naturally Infected and Vaccinated Broilers in Damietta Governorate of Egypt. Bull. Univ. Agric. Sci. Vet. Med. Cluj-Napoca. Vet. Med. 2017, 74, 1–10. [Google Scholar] [CrossRef][Green Version]
- Okpe, G.C.; Ezema, W.S.; Shoyinka, S.V.O.; Okoye, J.O.A. Vitamin A dietary supplementation reduces the mortality of velogenic Newcastle disease significantly in cockerels. Int. J. Exp. Pathol. 2015, 96, 326–331. [Google Scholar] [CrossRef]
- Onyema, I.; Eze, D.C.; Abba, Y.; Emennaa, P.E.; Shoyinka, S.V.O.; Okwor, E.C.; Ezema, W.S.; Ihedioha, J.I.; Okoye, J.O.A. Lesions of velogenic viscerotropic Newcastle disease virus infection were more severe in broilers than pullets. J. Appl. Anim. Res. 2019, 47, 189–194. [Google Scholar] [CrossRef]
- Mousa, M.; Mohammed, F.; Khalefah, H.; El-Deeb, A.; Ahmed, K. Comparative serological, histopathological and immunohistochemical evaluation of immune status of broiler chickens experimentally infected with velogenic Newcastle disease virus in different ages. Int. J. Vet. Sci. 2019, 8, 143–150. [Google Scholar]
- Brar, R.; Leishangthem, G.D.; Gadhave, P.; Singh, N.; Banga, H.; Mahajan, V.; Sodhi, S. Diagnosis of Newcastle disease in broiler by histopathology and immunohistochemistyr. Indian J. Vet. Pathol. 2017, 41, 60–62. [Google Scholar] [CrossRef]









| % Diversity | ||||||||||||||
|---|---|---|---|---|---|---|---|---|---|---|---|---|---|---|
| 1 | 2 | 3 | 4 | 5 | 6 | 7 | 8 | 9 | 10 | 11 | 12 | |||
| % Identity | 1 | MT887290/Egypt/F42-DAKAHLIA | 99.3 | 99.3 | 99.3 | 99.07 | 99.07 | 96.68 | 96.19 | 94.68 | 94.43 | 90.35 | 90.07 | |
| 2 | KY075882/Egypt/Damietta9 | 0.7 | 100 | 100 | 99.77 | 99.77 | 96.93 | 96.44 | 94.94 | 94.69 | 90.94 | 90.37 | ||
| 3 | KY075884/Egypt/Qualyobia11 | 0.7 | 0 | 100 | 99.77 | 99.77 | 96.93 | 96.44 | 94.94 | 94.69 | 90.94 | 90.37 | ||
| 4 | KY075881/Egypt/Ismailia8 | 0.7 | 0 | 0 | 99.77 | 99.77 | 96.93 | 96.44 | 94.94 | 94.69 | 90.94 | 90.37 | ||
| 5 | KY075887/Egypt/El-Arish15 | 0.93 | 0.23 | 0.23 | 0.23 | 99.54 | 96.68 | 96.19 | 94.69 | 94.44 | 90.67 | 90.09 | ||
| 6 | KY075891/Egypt/Dakahlia28 | 0.93 | 0.23 | 0.23 | 0.23 | 0.46 | 96.68 | 96.19 | 94.69 | 94.44 | 91.21 | 90.65 | ||
| 7 | DQ485230/China/Guangxi9 | 3.32 | 3.07 | 3.07 | 3.07 | 3.32 | 3.32 | 99.07 | 97.65 | 96.93 | 93.09 | 92.55 | ||
| 8 | DQ485229/China/Guangxi7 | 3.81 | 3.56 | 3.56 | 3.56 | 3.81 | 3.81 | 0.93 | 97.17 | 96.44 | 92.57 | 92.98 | ||
| 9 | DQ839397/South Korea/KBNP-4152 | 5.32 | 5.06 | 5.06 | 5.06 | 5.31 | 5.31 | 2.35 | 2.83 | 95.44 | 92.01 | 91.45 | ||
| 10 | AY562985/Indonesia/Cockatoo | 5.57 | 5.31 | 5.31 | 5.31 | 5.56 | 5.56 | 3.07 | 3.56 | 4.56 | 94.65 | 94.12 | ||
| 11 | HQ697254/Indonesia/Banjarmasin | 9.35 | 9.06 | 9.06 | 9.06 | 9.33 | 8.79 | 6.91 | 7.43 | 7.99 | 5.35 | 99.53 | ||
| 12 | JX532092/Pakistan/MM19 | 9.93 | 9.63 | 9.63 | 9.63 | 9.91 | 9.35 | 7.45 | 7.98 | 8.55 | 5.88 | 0.47 | 9.93 | |
| Conjunctival Route (G1) | Choanal Slit (G2) | Nasal Route (G3) | Mixed Conjunctival and Nasal Routes (G4) | ||||||
|---|---|---|---|---|---|---|---|---|---|
| Days pi | 5th Day pi | 10th Day pi | 5th Day pi | 10th Day pi | 5th Day pi | 10th Day pi | 5th Day pi | 10th Day pi | |
| Brain | Cerebrum | ++ N.V | + absent P.V, HEM, N.N, G | + P.C, G, P.C, N.N | ++ | ++ PC DEG, M, N.N, N.V | - | ++ HEM meningo-encephalitis | +++ ventricle INFL |
| Cerebellum | ++/+++ HEM, P.L P.V, CON, N.N, SPN, stellatosis vasculitis | ++ CON, G, P.L, M | + P.L, CON, N.V, G, SPN | ++ P.L, SPN | ++ N.N P.L N.V | - | ++ M, N.V, HEM meningo-encephalitis | +++ | |
| Pones | ++/+++ | ++ HEM, N.N, G | + N.N, CON, N.V, G, meningitis | ++ N.N, CON, G meningitis | + | - | ++ meningo-encephalitis | +++ | |
| Medulla | ++/+++ | ++ HEM, M, N.N, G | + N.N, CON, G, meningitis | ++ N.N, CON, G meningitis | + | - | ++ N.V, meningo-encephalitis | +++ | |
| Conjunctiva | ++ | + | − | − | −/+ | − | +++ | + REG | |
| Skin | −/+ | + | − | − | − | − | +++ | + | |
| Nostril | ++ N, INF, CON, EPITH Sloughing, Erosion | + INF | ++ | ++ | +++ H.INFL, INF, I.B | + REG | +++ | ++ maybe focal | |
| Trachea | ++ CON, ulcer | −/+ EPITH sloughing, INF | +/++ N, INF, CON, EDEMA | +/++ N, INF, CON, EDEMA | +++ | +/++ REG | +++ FIB | +/++ | |
| Lung | ++ INT PN/ HEM in ALV/INF in PA | +/++ INT PN, ALV EMPH/ INFL in (PA-BR) | +++ INT PN, Broncho- PN/ALV EMPH/(FIB, HEM) in (PA, ALV/INF inPA | +++ INT PN, Broncho- PN/ALV EMPH/(FIB, HEM) in (PA, ALV/INF inPA | +++ FIB Broncho-PN | +++ INT PN, Broncho- PN, lymphoid hyperplasia | +++ INT PN, Broncho- PN/VAS, HEM in (PA-BR) | +++ Broncho- PN/SeroFIB in (ALV-PA) | |
| Gizzard | −/+ CON, focal N, EPITH sloughing | −/+ INF, CON, gland N | −/+ | −/+ | + N. INFL | + | + INF, HEM focal N, EPITH sloughing | − | |
| Organs | Conjunctival Route (G1) | Choanal Route (G2) | Nasal Route (G3) | Mixed Oculonasal (G4) | ||||
|---|---|---|---|---|---|---|---|---|
| 5 | 10 | 5 | 10 | 5 | 10 | 5 | 10 | |
| Conjunctiva | +++ E., F. | +++ E. | − | − | − | − | +++ E., F. cell | +++ E., F. cell |
| Nostril | + M. (E., F.) | ++ M., L.P. | ++ M | ++ M., L.P. | +++ M., S.M. | +++ M., L.P. | +++ M., L.P. | +++ M., L.P. |
| Lung | + A. | ++ A., P.B | ++ A. | ++ A., F. | +++ A., P.B | +++ A., P.B | ++ A., P.B | ++ A., P.B |
| Brain | ++ P., G. | +++ P., G.,S | + P., G. | + P | ++ P., G | ++ P | ++ P., G. | +++ P., G., S |
| Liver | + F | ++ F | + F | + F | ++ F | +++ F | ++ F | +++ F |
| Proventriculus | ++ | ++ E. | ++ E., F. | ++ | ++ | ++ E., F. | ++ E. | ++ |
| Intestine | ++ E., F. | ++ | ++ E. (V., GL.), F. | ++ E., F. | ++ E., (V., GL.) | ++ E., F. | ++ E., (V., GL.), F. | ++ E. |
| Bursa | ++ | + | ++ | ++ | ++ | ++ | ++ | ++ |
| Route/Days pi | 5 | 10 | |
|---|---|---|---|
| G1 | Intraocular | 1.505 ± 0.301a | 2.408 ± 0.521 a |
| G2 | choanal slit | 1.605 ± 0.627 a | 2.308 ± 0.460 a |
| G3 | Intranasal | 1.405 ± 0.460 a | 2.408 ±0.301 a |
| G4 | Mixed (I/N &I/O) | 1.806 ± 0.301 a | 2.508 ± 0.348 a |
| G5 | Control | 0.301 ± 0.0 | 0.1 ± 0.173 |
Publisher’s Note: MDPI stays neutral with regard to jurisdictional claims in published maps and institutional affiliations. |
© 2021 by the authors. Licensee MDPI, Basel, Switzerland. This article is an open access article distributed under the terms and conditions of the Creative Commons Attribution (CC BY) license (https://creativecommons.org/licenses/by/4.0/).
Share and Cite
EL-Morshidy, Y.; Abdo, W.; Elmahallawy, E.K.; Abd EL-Dayem, G.A.; El-Sawak, A.; El-Habashi, N.; Mosad, S.M.; Lokman, M.S.; Albrakati, A.; Abou Asa, S. Pathogenesis of Velogenic Genotype VII.1.1 Newcastle Disease Virus Isolated from Chicken in Egypt via Different Inoculation Routes: Molecular, Histopathological, and Immunohistochemical Study. Animals 2021, 11, 3567. https://doi.org/10.3390/ani11123567
EL-Morshidy Y, Abdo W, Elmahallawy EK, Abd EL-Dayem GA, El-Sawak A, El-Habashi N, Mosad SM, Lokman MS, Albrakati A, Abou Asa S. Pathogenesis of Velogenic Genotype VII.1.1 Newcastle Disease Virus Isolated from Chicken in Egypt via Different Inoculation Routes: Molecular, Histopathological, and Immunohistochemical Study. Animals. 2021; 11(12):3567. https://doi.org/10.3390/ani11123567
Chicago/Turabian StyleEL-Morshidy, Yassmin, Walied Abdo, Ehab Kotb Elmahallawy, Ghada Allam Abd EL-Dayem, Ahmed El-Sawak, Nagwan El-Habashi, Samah M. Mosad, Maha S. Lokman, Ashraf Albrakati, and Samah Abou Asa. 2021. "Pathogenesis of Velogenic Genotype VII.1.1 Newcastle Disease Virus Isolated from Chicken in Egypt via Different Inoculation Routes: Molecular, Histopathological, and Immunohistochemical Study" Animals 11, no. 12: 3567. https://doi.org/10.3390/ani11123567
APA StyleEL-Morshidy, Y., Abdo, W., Elmahallawy, E. K., Abd EL-Dayem, G. A., El-Sawak, A., El-Habashi, N., Mosad, S. M., Lokman, M. S., Albrakati, A., & Abou Asa, S. (2021). Pathogenesis of Velogenic Genotype VII.1.1 Newcastle Disease Virus Isolated from Chicken in Egypt via Different Inoculation Routes: Molecular, Histopathological, and Immunohistochemical Study. Animals, 11(12), 3567. https://doi.org/10.3390/ani11123567

