Effects of Probiotics, Prebiotics and Synbiotics Injected in Ovo on the Microstructure of the Breast Muscle in Different Chicken Genotypes
Abstract
:Simple Summary
Abstract
1. Introduction
2. Materials and Methods
2.1. Animals and in Ovo Injections
2.2. Breast Muscle Microstructure Evaluation
2.3. Haematoxylin and Eosin Staining (H + E)
2.4. Statistical Analysis
3. Results and Discussion
3.1. Effect of In-Ovo-Delivered Bioactive Compounds on Chicken Growth
3.2. Breast Muscle Microstructure in Broilers and Native Chickens
3.3. Effect of in Ovo Injection of Bioactive Compounds on Breast Muscle Microstructure
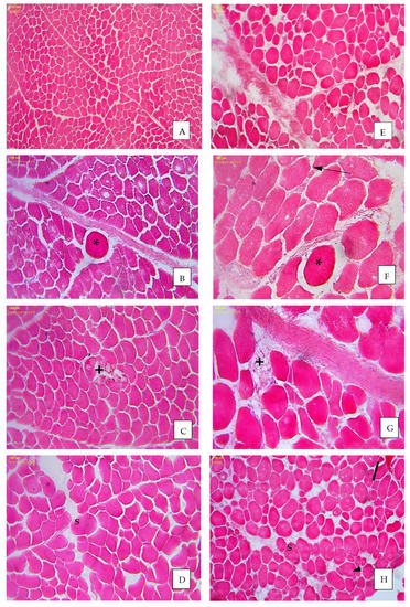
3.4. Histopathological Changes in the Breast Muscle in Broilers and Native Chickens Injected in Ovo with Bioactive Compounds
3.4.1. Fibre Atrophy
3.4.2. Giant Fibres
3.4.3. Necrotic Fibres
3.4.4. Fibre Splitting
4. Conclusions
Author Contributions
Funding
Institutional Review Board Statement
Informed Consent Statement
Data Availability Statement
Conflicts of Interest
References
- Guaadaoui, A.; Benaicha, S.; Elmajdoub, N.; Bellaoui, M.; Hamal, A. What is a bioactive compound? A combined definition for a preliminary consensus. Int. J. Food Nutr. Sci. 2014, 3, 174–179. [Google Scholar] [CrossRef]
- Hume, H.E. Historic perspective: Prebiotics, probiotics and other alternatives to antibiotics. Poult Sci. 2011, 90, 2663–2669. [Google Scholar] [CrossRef] [PubMed]
- Young, I.; Rajic, A.; Wilhelm, B.J.; Waddell, L.; Parkew, S.; Mcewen, S.A. Comparison of the prevalence of bacterial enteropathogens, potentially zoonotic bacteria and bacterial resistance to antimicrobials in organic and conventional poultry, swine and beef production: A systematic review and meta-analysis. Epidemiol. Infect. 2009, 137, 1217–1232. [Google Scholar] [CrossRef] [PubMed]
- Fioramonti, J.; Theodorou, V.; Bueno, L. Probiotics: What are they? What are their effects on gut physiology? Best Pract. Res. Clin. Gastroenterol. 2003, 17, 711–724. [Google Scholar] [CrossRef]
- Siragusa, G.R.; Ricke, S.C. Probiotics as pathogen control agents for organic meat production. In Organic Meat Production and Processing; Ricke, S.C., van Loo, E.J., Johnson, M.G., O’Bryan, C.A., Eds.; Wiley-Blackwell: Oxford, UK, 2012; pp. 331–349. [Google Scholar]
- Havenaar, R.; Huis in’t Veld, J.H.J. Probiotics: A general view. In The Lactic Acid Bacteria; Wood, B.J.B., Ed.; Elsevier Applied Science: London, UK, 1992; Volume I, pp. 151–170. [Google Scholar]
- Bozkrut, M.; Küçükyilmaz, V.A.; Çabuk, M.; Çatli, A.U. Performance of layer or broiler breeder hens varies in response to different probiotic preparations. Ital. J. Anim. Sci. 2011, 10, 162–169. [Google Scholar] [CrossRef] [Green Version]
- Younis, T.M.; El-Shafei, A.A.; Al-Gamal, M.A.; El-Sayed, A.L. Effects of commercial probiotics on productive and physiological performance of broiler chickens. J. Appl. Sci. Res. 2013, 9, 6643–6654. [Google Scholar]
- Gibson, G.R.; Roberfroid, M.B. Dietary modulation of the human colonic microbiota: Introducing the concept of prebiotics. J. Nutr. 1995, 125, 1401–1412. [Google Scholar] [CrossRef]
- Gibson, G.R. Dietary modulation of the human gut microflora using the prebiotics oligofructose and inulin. J. Nutr. 1999, 129, 1438–1441. [Google Scholar] [CrossRef] [Green Version]
- Szymańska-Czerwińska, M.; Bednarek, D. Beta-glucans as an alternative to antibiotic growth promoters. Życie Wet. 2007, 82, 842–843. [Google Scholar]
- Collins, M.D.; Gibson, G.R. Probiotics, prebiotics, and synbiotics: Approaches for modulating the microbial ecology of the gut. Am. J. Clin. Nutr. 1999, 69, 1052–1057. [Google Scholar] [CrossRef] [PubMed] [Green Version]
- Dunislawska, A.; Slawinska, A.; Stadnicka, K.; Bednarczyk, M.; Gulewicz, P.; Józefiak, D.; Siwek, M. Synbiotics for broiler chickens–in vitro design and evaluation of the influence on host and selected microbiota populations following in ovo delivery. PLoS ONE 2017, 12, e0168587. [Google Scholar] [CrossRef] [PubMed] [Green Version]
- Pruszyńska-Oszmalek, E.; Kolodziejski, P.A.; Stadnicka, K.; Sassek, M.; Chalupka, D.; Kuston, B.; Nogowski, L.; Mackowiak, P.; Maiorano, G.; Jankowski, J.; et al. In ovo injection of prebiotics and synbiotics affects the digestive potency of the pancreas in growing chickens. Poult. Sci. 2015, 94, 1909–1916. [Google Scholar] [CrossRef] [PubMed]
- Siwek, M.; Slawinska, A.; Stadnicka, K.; Bogucka, J.; Dunislawska, A.; Bednarczyk, M. Prebiotics and synbiotics—In ovo delivery for improved lifespan condition in chicken. BMC Vet. Res. 2018, 14, 1–17. [Google Scholar] [CrossRef]
- De Vrese, M.; Schrezenmeir, J. Probiotics, prebiotics, and synbiotics. Adv. Biochem. Eng. Biotechnol. 2008, 111, 1–66. [Google Scholar]
- Tavaniello, S.; Maiorano, G.; Stadnicka, K.; Mucci, R.; Bogucka, J.; Bednarczyk, M. Prebiotics offered to broiler chicken exert positive effect on meat quality traits irrespective of delivery route. Poult. Sci. 2018, 97, 2979–2987. [Google Scholar] [CrossRef] [PubMed]
- Sansonetti, P.J.; Di Santo, J.P. Debugging how bacteria manipulate the immune response. Immunity 2007, 26, 149–161. [Google Scholar] [CrossRef] [Green Version]
- Bar-Shira, E.; Sklan, D.; Friedman, A. Establishment of immune competence in the avian GALT during the immediate post-hatch period. Dev. Comp. Immunol. 2003, 27, 147–157. [Google Scholar] [CrossRef]
- Sławińska, A.; Siwek, M.Z.; Bednarczyk, M.F. Effects of synbiotics injected in ovo on regulation of immune-related gene expression in adult chickens. Am. J. Vet. Res. 2014, 75, 997–1003. [Google Scholar] [CrossRef]
- Maiorano, G.; Stadnicka, K.; Tavaniello, S.; Abiuso, C.; Bogucka, J.; Bednarczyk, M. In ovo validation model to assess the efficacy of commercial prebiotics on broiler performance and oxidative stability of meat. Poult. Sci. 2017, 96, 511–518. [Google Scholar] [CrossRef]
- Tavaniello, S.; Mucci, R.; Stadnicka, K.; Acaye, O.; Bednarczyk, M.; Maiorano, G. Effect of in ovo administration of different synbiotics on carcass and meat quality traits in broiler chickens. Poult. Sci. 2019, 98, 464–472. [Google Scholar] [CrossRef]
- Park, J.H.; Kim, I.H. Supplemental effect of probiotic Bacillus subtilis B2A on productivity, organ weight, intestinal Salmonella microflora, and breast meat quality of growing broiler chicks. Poult. Sci. 2014, 93, 2054–2059. [Google Scholar] [CrossRef]
- Maiorano, G.; Sobolewska, A.; Cianciullo, D.; Walasik, K.; Elminowska-Wenda, G.; Sławińska, A.; Tavaniello, S.; Żylińska, J.; Bardowski, J.; Bednarczyk, M. Influence of in ovo prebiotic and synbiotics administration on meat quality of broiler chickens. Poult. Sci. 2012, 91, 2963–2969. [Google Scholar] [CrossRef] [PubMed]
- Bogucka, J.; Ribeiro, D.M.; da Costa, R.P.; Bednarczyk, M. Effect of synbiotic dietary supplementation on histological and histopathological parameters of Pectoralis Major muscle of broiler chickens. Czech J. Anim. Sci. 2018, 63, 263–271. [Google Scholar] [CrossRef] [Green Version]
- Angwech, H.; Tavaniello, S.; Ongwech, A.; Kaaya, A.N.; Maiorano, G. Efficacy of in ovo delivered prebiotics on growth performance, meat quality and gut health of kuroiler chickens in the face of a natural coccidiosis challenge. Animals 2019, 9, 876. [Google Scholar] [CrossRef] [Green Version]
- Dankowiakowska, A.; Bogucka, J.; Szczerba, A.; Sobolewska, A.; Kozlowska, I.; Maiorano, G.; Tavaniello, S.; Bednarczyk, M. Assessment of intramuscular fat content and cholesterol content in M. pectoralis superficialis of chicken injected in ovo with bioactive substances. In Book of Abstracts XXVI PO WPSA 8-10.09; PB WPSA: Kazimierz Dolny, Poland, 2014; p. 59. [Google Scholar]
- Bednarczyk, M.; Stadnicka, K.; Kozłowska, I.; Abiuso, C.; Tavaniello, S.; Dankowiakowska, A.; Sławińska, A.; Maiorano, G. Influence of different prebiotics and mode of their administration on broiler chicken performance. Animal 2016, 10, 1271–1279. [Google Scholar] [CrossRef] [PubMed] [Green Version]
- Slawinska, A.; Dunislawska, A.; Plowiec, A.; Radomska, M.; Lachmanska, J.; Siwek, M.; Tavaniello, S.; Maiorano, G. Modulation of microbial communities and mucosal gene expression in chicken intestines after galactooligosaccharides delivery in ovo. PLoS ONE 2019, 14, e0212318. [Google Scholar] [CrossRef] [PubMed]
- Reiter, K.; Bessei, W. Effect of locomotor activity on bone development and leg disorders in broiler. Arch. Geflügelk. 1998, 62, 247–253. [Google Scholar]
- Bosco, A.D.; Mugnai, C.; Amato, M.G.; Piottoli, L.; Cartoni, A.; Castellini, C. Effect of slaughtering age in different commercial chicken genotypes reared according to the organic system: 1. Welfare, carcass and meat traits. Ital. J. Anim. Sci. 2014, 13, 467–472. [Google Scholar] [CrossRef] [Green Version]
- Siwek, M.; Wragg, D.; Sławińska, A.; Malek, M.; Hanotte, O.; Mwacharo, J.M. Insights into the genetic history of Green-legged Partridgelike fowl: mtDNA and genome-wide SNP analysis. Anim. Genet. 2013, 44, 522–532. [Google Scholar] [CrossRef] [Green Version]
- Dankowiakowska, A.; Bogucka, J.; Sobolewska, A.; Tavaniello, S.; Maiorano, G.; Bednarczyk, M. Effects of in ovo injection of prebiotics and synbiotics on the productive performance and microstructural features of the superficial pectoral muscle in broiler chickens. Poult. Sci. 2019, 98, 5157–5165. [Google Scholar] [CrossRef]
- Sobolewska, A.; Bogucka, J.; Dankowiakowska, A.; Elminowska-Wenda, G.; Stadnicka, K.; Bednarczyk, M. The impact of synbiotic administration through in ovo technology on the microstructure of a broiler chicken small intestine tissue on the 1st and 42nd day of rearing. J. Anim. Sci. Biotechnol. 2017, 8, 1–8. [Google Scholar] [CrossRef] [Green Version]
- Milczarek, A.; Osek, M.; Olkowski, B.; Klocek, B. Effect of probiotic, prebiotic and synbiotic on weight and pH of gastrointestinal tract in broiler chickens fed diets based on different cereals. Rocz. Nauk. Zootech. 2012, 39, 119–128. [Google Scholar]
- Abdel-Hafeez, H.M.; Saleh, E.S.E.; Tawfeek, S.S.; Youssef, I.M.L.; Abdel-Daim, A.S.A. Effects of probiotic, prebiotic, and synbiotic with and without feed restriction on performance, hematological indices and carcass characteristics of broiler chickens. Asian-Australas J. Anim. Sci. 2017, 30, 672–682. [Google Scholar] [CrossRef]
- Rehfeldt, C.; Stickland, N.C.; Fiedler, I.; Wegner, J. Environmental and genetic factors as sources of variation on skeletal muscle fiber number. Basic Appl. Myol. 1999, 9, 235–253. [Google Scholar]
- Karlsson, A.H.; Enfalt, A.; Essen-Gustavsson, B.; Lundstrom, K.; Rydhmer, I.; Stern, S. Muscle histochemical and biochemical properties in relation to meat quality during selection for increased lean tissue growth rate in pigs. J. Anim. Sci. 1993, 71, 930–938. [Google Scholar] [CrossRef] [PubMed] [Green Version]
- Zhou, X.; Jin, E.; Shenghe, L.; Wang, C.; Qiao, E.; Guozhong, W. Effects of dietary supplementation of probiotics (Bacillus subtilis, Bacillus licheniformis and Bacillus nato) on broiler muscle development and meat quality. Turk. J. Vet. Anim. Sci. 2015, 39, 1–8. [Google Scholar] [CrossRef]
- Cianciullo, D. Effect of Prebiotic and Synbiotic Injected in ovo on Performance, Meat Quality and Histopathological Changes in Muscle of Broiler Chickens. Ph.D. Thesis, University of Molise, Molise, Italy, 2012. Available online: http://road.unimol.it/bitstream/2192/235/1/Tesi_D_Cianciullo.pdf (accessed on 11 April 2021).
- Górska, M.; Wojtysiak, D. Pathological Changes in the Microstructure of Pale, Soft, Exudative (PSE) and Normal Turkey Breast Muscle. Folia Biol. 2017, 65, 149–154. [Google Scholar] [CrossRef]
- Elminowska-Wenda, G.; Rosinski, A.; Baeza, E. Histopathological changes in Pectoralis muscle of Landaise geese kept in different feeding system. Zesz. Nauk. AR Wroclaw. Zootech. L 2004, 488, 97–102. [Google Scholar]
- Dransfield, E.; Sośnicki, A.A. Relationship between muscle growth and poultry meat quality. Poult. Sci. 1999, 78, 743–746. [Google Scholar] [CrossRef]
- Sandercock, D.A.; Barker, Z.E.; Mitchel, M.A.; Hocking, P.M. Changes in muscle cell cation regulation and meat quality traits are associated with genetic selection for high body weight and meat yield in broiler chickens. Genet. Sel. Evol. 2009, 41, 8. [Google Scholar] [CrossRef] [PubMed] [Green Version]
- Mazzoni, M.; Petracci, M.; Meluzzi, A.; Cavani, C.; Clavenzani, P.; Sirri, F. Relationship between pectoralis major muscle histology and quality traits of chicken meat. Poult. Sci. 2015, 94, 123–130. [Google Scholar] [CrossRef] [PubMed]
- Borisov, A.B.; Dedkov, E.I.; Carlson, B.M. Interrelations of myogenic response, progressive atrophy of muscle fibers and cell death in denervated skeletal muscle. Anat. Rec. 2001, 264, 203–218. [Google Scholar] [CrossRef] [PubMed] [Green Version]
- Remignon, H.; Zanusso, J.; Gaelle, A.; Babile, R. Occurrence of giant myofibres according to muscle type, pre- or postrigor state and genetic background in turkeys. Meat Sci. 2000, 56, 337–343. [Google Scholar] [CrossRef]
- Marcu, A.; Vacaru-Opris, I.; Dumitrescu, G.; Marcu, A.; Ciochina, L.P.; Nicula, M.; Dronca, M.; Kelciov, B. Effect of diets with different energy and protein levels on breast muscle characteristics of broiler chickens. J. Anim. Sci. Biotechnol. 2013, 46, 333–340. [Google Scholar]
- MacRae, V.E.; Mahon, M.; Gilpin, S.; Sandercock, D.A.; Mitchell, M.A. Skeletal muscle fiber growth and growth associated myopathy in the domestic chicken (Gallus domesticus). Br. Poult. Sci. 2006, 47, 264–272. [Google Scholar] [CrossRef]

| Items | Broilers Ross 308 | Green-Legged Partridge | ||||
|---|---|---|---|---|---|---|
| Starter (Days 1–10) | Grower I (Days 11–21) | Grower II (Days 22–33) | Finisher (Days 34–42) | Starter (Days 1–28) | Grower (Days 19–42) | |
| MEN (MJ/kg) | 12.50 | 12.95 | 13.35 | 13.41 | 11.9 | 11.7 |
| Crude protein (g/kg) | 220 | 200 | 190 | 184 | 200 | 185 |
| Crude fibre (g/kg) | 28.00 | 30.00 | 31.00 | 32.00 | 34.00 | 35.00 |
| Lysine (g/kg) | 13.8 | 12.5 | 11.3 | 10.5 | 11.0 | 10.0 |
| Methionine + cystine (g/kg) | 10.3 | 9.5 | 8.8 | 8.2 | 8.2 | 7.2 |
| Threonine (g/kg) | 9.2 | 8.3 | 7.6 | 7.2 | 7.6 | 7.0 |
| Tryptophan (g/kg) | 2.2 | 2.0 | 1.9 | 1.9 | 2.1 | 2.0 |
| Breed/Group | 1 Week | 2 Week | 3 Week | 4 Week | 5 Week | 6 Week | |
|---|---|---|---|---|---|---|---|
| Broilers Ross 308 | C | 194.3 b ± 16.3 | 522.1 b ± 56.5 | 990.5 bc ± 93.1 | 1723.8 bc ± 120.3 | 2565.9 bc ± 165.8 | 3129.4 b ± 219.6 |
| PRO | 204.9 a ± 17.7 | 556.2 a ± 52.2 | 1049.7 a ± 95.2 | 1799.6 a ± 109.5 | 2702.6 a ± 163.8 | 3229.7 ab ± 320.7 | |
| PRE | 195.6 b ± 23.0 | 544.1 ab ± 73.4 | 1019.0 ab ± 135.9 | 1782.9 ab ± 148.1 | 2621.4 ab ± 284.1 | 3277.1 a ± 325.2 | |
| SYN | 198.7 ab ± 18.9 | 529.0 b ± 56.5 | 972.7 c ± 102.5 | 1712.4 c ± 128.1 | 2492.6 c ± 178.2 | 2978.5 c ± 243.7 | |
| Green-legged Partridge | C | 83.2 ab ± 8.8 | 150.1 a ± 21.0 | 230.4 a ± 36.9 | 325.9 a ± 53.8 | 419.1 ± 72.0 | 446.2 ± 77.7 |
| PRO | 83.4 ab ± 8.8 | 154.7 a ± 14.4 | 239.5 a ± 19.6 | 331.3 a ± 29.3 | 437.4 ± 39.8 | 448.8 ± 47.4 | |
| PRE | 85.2 a ± 8.0 | 150.2 a ± 24.6 | 238.5 a ± 31.2 | 314.0 ab ± 43.6 | 418.3 ± 79.2 | 465.3 ± 57.1 | |
| SYN | 81.6 b ± 8.5 | 142.2 b ± 17.3 | 199.8 b ± 36.8 | 299.4 b ± 52.3 | 417.5 ± 54.1 | 419.2 ± 56.2 | |
| Breed/Group | Traits | ||||||||
|---|---|---|---|---|---|---|---|---|---|
| Fibre Dimeter (μm) | Muscle Fibre Dimeter (Fibre Number/1.5 mm2) | Normal Fibres (%) | Fibre Atrophy (%) | Giant Fibres (%) | Changes in the Shape of Fibres (%) | Necrotic Fibres (%) | Fibre Splitting (%) | ||
| Broilers Ross 308 | C | 57.63 x ± 5.38 | 239.13 y ± 42.40 | 93.02 aby ± 2.22 | 1.66 ax ± 0.55 | 0.70 ax ± 0.42 | 2.52 abx ± 0.78 | 1.22 ax ± 0.60 | 1.08 ax ± 0.47 |
| PRO | 51.52 x ± 6.76 | 244.75 y ± 50.46 | 93.32 aby ± 1.71 | 1.63 ax ± 0.63 | 0.88 ax ± 0.34 | 2.13 abx ± 0.48 | 0.97 ax ± 0.65 | 1.12 ax ± 0.60 | |
| PRE | 56.21 x ± 6.10 | 243.50 y ± 55.94 | 95.02 ay ± 1.30 | 1.08 ax ± 0.56 | 0.56 ax ± 0.25 | 1.68 bx ± 0.75 | 0.89 ax ± 0.53 | 0.77 ax ± 0.28 | |
| SYN | 53.82 x ± 5.68 | 244.86 y ± 43.73 | 92.60 by ± 1.03 | 1.74 ax ± 0.28 | 0.56 ax ± 0.37 | 3.03 ax ± 0.81 | 0.94 ax ± 0.46 | 1.26 ax ± 0.46 | |
| Green-legged Partridge | C | 25.65 y ± 1.77 | 871.38 x ± 108.50 | 96.32 ax ± 0.54 | 1.03 ay ± 0.10 | 0.43 ax ± 0.20 | 1.30 ay ± 0.37 | 0.47 ay ± 0.22 | 0.44 ay ± 0.19 |
| PRO | 23.09 y ± 2.72 | 897.38 x ± 95.48 | 98.21 ax ± 0.53 | 0.42 by ± 0.14 | 0.14 cy ± 0.17 | 0.48 by ± 0.30 | 0.23 by ± 0.11 | 0.51ay ± 0.29 | |
| PRE | 24.36 y ± 2.64 | 883.00 x ± 158.66 | 97.68 bx ± 0.86 | 0.82 cx ± 0.19 | 0.20 acy ± 0.12 | 0.73 bcy ± 0.36 | 0.29 aby ± 0.19 | 0.41ay ± 0.15 | |
| SYN | 24.19 y ± 2.29 | 878.00 x ± 113.37 | 97.73 ax ± 0.52 | 0.47 bdy ± 0.13 | 0.14 cdy ± 0.18 | 0.91 acy ± 0.20 | 0.13 by ± 0.07 | 0.62 ay ± 0.33 | |
Publisher’s Note: MDPI stays neutral with regard to jurisdictional claims in published maps and institutional affiliations. |
© 2021 by the authors. Licensee MDPI, Basel, Switzerland. This article is an open access article distributed under the terms and conditions of the Creative Commons Attribution (CC BY) license (https://creativecommons.org/licenses/by/4.0/).
Share and Cite
Stasiak, K.; Slawinska, A.; Bogucka, J. Effects of Probiotics, Prebiotics and Synbiotics Injected in Ovo on the Microstructure of the Breast Muscle in Different Chicken Genotypes. Animals 2021, 11, 2944. https://doi.org/10.3390/ani11102944
Stasiak K, Slawinska A, Bogucka J. Effects of Probiotics, Prebiotics and Synbiotics Injected in Ovo on the Microstructure of the Breast Muscle in Different Chicken Genotypes. Animals. 2021; 11(10):2944. https://doi.org/10.3390/ani11102944
Chicago/Turabian StyleStasiak, Karolina, Anna Slawinska, and Joanna Bogucka. 2021. "Effects of Probiotics, Prebiotics and Synbiotics Injected in Ovo on the Microstructure of the Breast Muscle in Different Chicken Genotypes" Animals 11, no. 10: 2944. https://doi.org/10.3390/ani11102944
APA StyleStasiak, K., Slawinska, A., & Bogucka, J. (2021). Effects of Probiotics, Prebiotics and Synbiotics Injected in Ovo on the Microstructure of the Breast Muscle in Different Chicken Genotypes. Animals, 11(10), 2944. https://doi.org/10.3390/ani11102944

