Suitability of the Nisin Z-producer Lactococcus lactis subsp. lactis CBM 21 to be Used as an Adjunct Culture for Squacquerone Cheese Production
Simple Summary
Abstract
1. Introduction
2. Materials and Methods
2.1. Microbial Strain Conditions
2.2. Production of Squacquerone Cheese
2.3. Microbiological Analyses and pH
2.4. Proteolysis, Lipolysis, Volatile Profiles
2.5. Textural Profile Analyses
2.6. Sensory Evaluation
2.7. Statistical Analysis
3. Results
3.1. Microbiological Analyses and pH
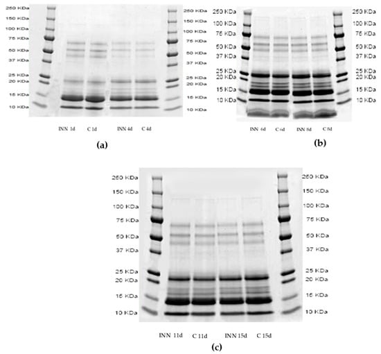
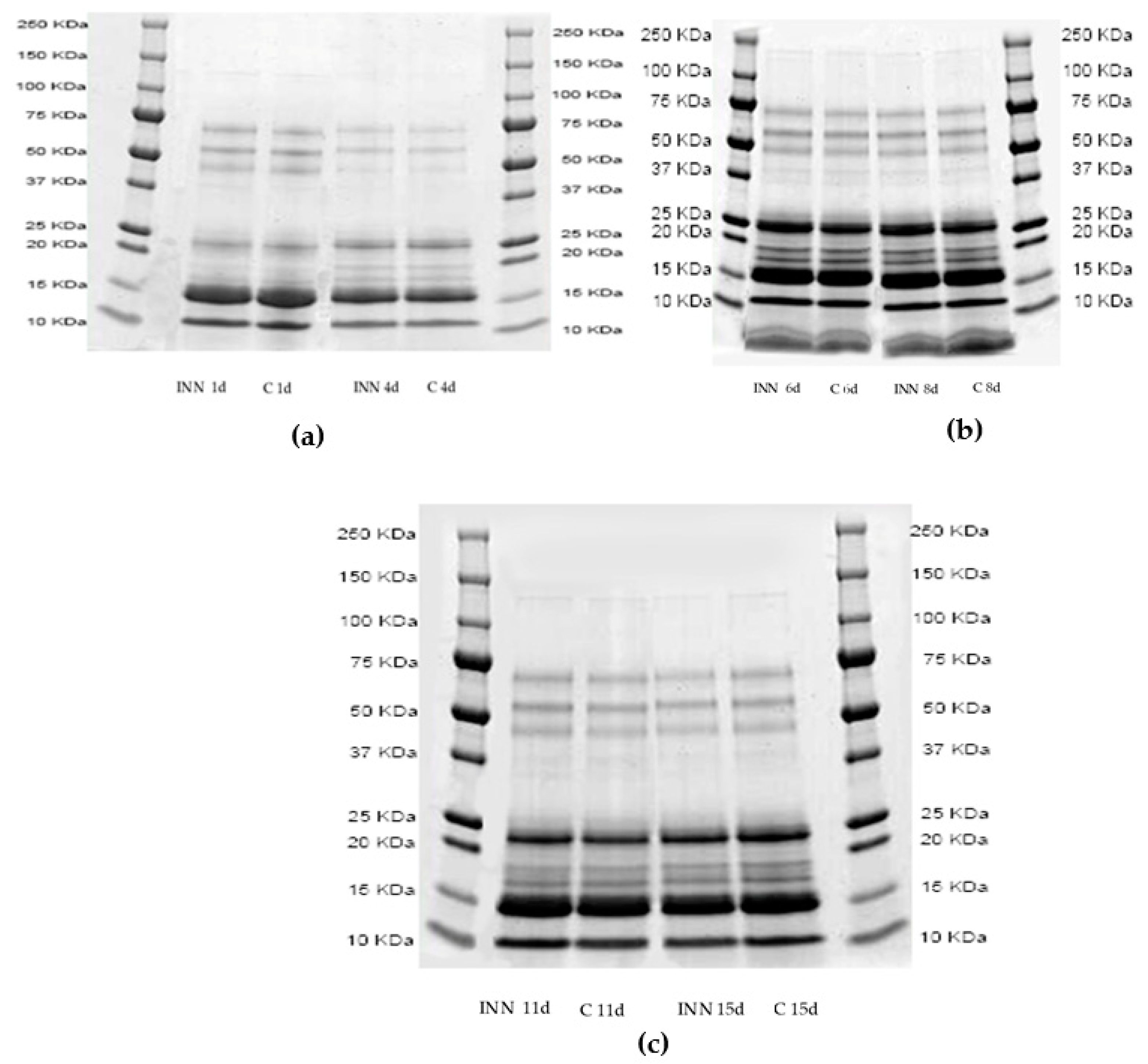
3.2. Lipolysis, Proteolysis, and Volatile Profile
3.3. Texture Analyses
3.4. Sensory Analysis
4. Discussion
5. Conclusions
Author Contributions
Conflicts of Interest
References
- Annunziata, A.; Vecchio, R. Agri-food Innovation and the Functional Food Market in Europe: Concerns and Challenges. EuroChoices 2013, 12, 12–19. [Google Scholar] [CrossRef]
- Akkerman, R.; Farahani, P.; Grunow, M. Quality, safety and sustainability in food distribution: A review of quantitative operations management approaches and challenges. OR Spectr. 2010, 32, 863–904. [Google Scholar] [CrossRef]
- Da Silva Ferrari, I.; de Souza, J.V.; Ramos, C.L.; da Costa, M.M.; Schwan, R.F.; Dias, F.S. Selection of autochthonous lactic acid bacteria from goat dairies and their addition to evaluate the inhibition of Salmonella typhi in artisanal cheese. Food Microbiol. 2016, 60, 29–38. [Google Scholar] [CrossRef]
- Kondrotiene, K.; Kasnauskyte, N.; Serniene, L.; Gölz, G.; Alter, T.; Kaskoniene, V.; Maruska, A.S.; Malakauskas, M. Characterization and application of newly isolated nisin producing Lactococcus lactis strains for control of Listeria monocytogenes growth in fresh cheese. LWT 2018, 87, 507–514. [Google Scholar] [CrossRef]
- Van Hoorde, K.; Van Leuven, I.; Dirinck, P.; Heyndrickx, M.; Coudijzer, K.; Vandamme, P.; Huys, G. Selection, application and monitoring of Lactobacillus paracasei strains as adjunct cultures in the production of Gouda-type cheeses. Int. J. Food Microbiol. 2010, 144, 226–235. [Google Scholar] [CrossRef]
- Benkerroum, N.; Oubel, H.; Zahar, M.; Dlia, S.; Filali-Maltouf, A. Isolation of a bacteriocin-producing Lactococcus lactis subsp. lactis and applicatin to control Listeria monocytogenes in Moroccan jben. J. Appl. Microbiol. 2000, 89, 960–968. [Google Scholar] [CrossRef] [PubMed]
- Dal Bello, B.; Cocolin, L.; Zeppa, G.; Field, D.; Cotter, P.D.; Hill, C. Technological characterization of bacteriocin producing Lactococcus lactis strains employed to control Listeria monocytogenes in Cottage cheese. Int. J. Food Microbiol. 2012, 153, 58–65. [Google Scholar] [CrossRef] [PubMed]
- Ho, V.T.T.; Lo, R.; Bansal, N.; Turner, M.S. Characterisation of Lactococcus lactis isolates from herbs, fruits and vegetables for use as biopreservatives against Listeria monocytogenes in cheese. Food Control 2018, 85, 472–483. [Google Scholar] [CrossRef]
- Rodríguez, E.; Calzada, J.; Arqués, J.L.; Rodríguez, J.M.; Nuñez, M.; Medina, M. Antimicrobial activity of pediocin-producing Lactococcus lactis on Listeria monocytogenes, Staphylococcus aureus and Escherichia coli O157:H7 in cheese. Int. Dairy J. 2005, 15, 51–57. [Google Scholar] [CrossRef]
- Brody, T. Food and Dietary Supplement Package Labeling—Guidance from FDA’s Warning Letters and Title 21 of the Code of Federal Regulations. Compr. Rev. Food Sci. Food Saf. 2016, 15, 92–129. [Google Scholar] [CrossRef]
- Jones, E.; Salin, V.; Williams, G.W. NISIN and the Market for Commercial Bacteriocins; TAMRC Consumer and Product 2005, Research Report CP-01-05; Texas Agribusiness Mark Research Center: Lubbock, TX, USA, 2005. [Google Scholar]
- Siroli, L.; Patrignani, F.; Serrazanetti, D.I.; Vernocchi, P.; Del Chierico, F.; Russo, A.; Torriani, S.; Putignani, L.; Gardini, F.; Lanciotti, R. Effect of thyme essential oil and Lactococcus lactis CBM21 on the microbiota composition and quality of minimally processed lamb’s lettuce. Food Microbiol. 2017, 68, 61–70. [Google Scholar] [CrossRef]
- Siroli, L.; Patrignani, F.; Serrazanetti, D.I.; Vannini, L.; Salvetti, E.; Torriani, S.; Gardini, F.; Lanciotti, R. Use of a nisin-producing Lactococcus lactis strain, combined with natural antimicrobials, to improve the safety and shelf-life of minimally processed sliced apples. Food Microbiol. 2016, 54, 11–19. [Google Scholar] [CrossRef]
- Cleveland, J.; Montville, T.J.; Nes, I.F.; Chikindas, M.L. Bacteriocins: Safe, natural antimicrobials for food preservation. Int. J. Food Microbiol. 2001, 71, 1–20. [Google Scholar] [CrossRef]
- Cosentino, S.; Fadda, M.E.; Deplano, M.; Melis, R.; Pomata, R.; Pisano, M.B. Antilisterial activity of nisin-like bacteriocin-producing Lactococcus lactis subsp. lactis isolated from traditional Sardinian dairy products. J. Biomed. Biotechnol. 2012, 2012, 376428. [Google Scholar] [CrossRef] [PubMed]
- De Arauz, L.J.; Jozala, A.F.; Mazzola, P.G.; Vessoni Penna, T.C. Nisin biotechnological production and application: A review. Trends Food Sci. Technol. 2009, 20, 146–154. [Google Scholar] [CrossRef]
- Gharsallaoui, A.; Oulahal, N.; Joly, C.; Degraeve, P. Nisin as a Food Preservative: Part 1: Physicochemical Properties, Antimicrobial Activity, and Main Uses. Crit. Rev. Food Sci. Nutr. 2016, 56, 1262–1274. [Google Scholar] [CrossRef]
- Jamuna, M.; Babusha, S.T.; Jeevaratnam, K. Inhibitory efficacy of nisin and bacteriocins from Lactobacillus isolates against food spoilage and pathogenic organisms in model and food systems. Food Microbiol. 2005, 22, 449–454. [Google Scholar] [CrossRef]
- Loessner, M.; Guenther, S.; Steffan, S.; Scherer, S. A pediocin-producing Lactobacillus plantarum strain inhibits Listeria monocytogenes in a multispecies cheese surface microbial ripening consortium. Appl. Environ. Microbiol. 2003, 69, 1854–1857. [Google Scholar] [CrossRef]
- Molinos, A.C.; Abriouel, H.; Ben Omar, N.; Valdivia, E.; López, R.L.; Maqueda, M.; Cañamero, M.M.; Gálvez, A. Effect of immersion solutions containing enterocin AS-48 on Listeria monocytogenes in vegetable foods. Appl. Environ. Microbiol. 2005, 71, 7781–7787. [Google Scholar] [CrossRef]
- Yang, E.; Fan, L.; Jiang, Y.; Doucette, C.; Fillmore, S. Antimicrobial activity of bacteriocin-producing lactic acid bacteria isolated from cheeses and yogurts. AMB Express 2012, 2, 48. [Google Scholar] [CrossRef]
- Belfiore, C.; Castellano, P.; Vignolo, G. Reduction of Escherichia coli population following treatment with bacteriocins from lactic acid bacteria and chelators. Food Microbiol. 2007, 24, 223–229. [Google Scholar] [CrossRef] [PubMed]
- Fernández, E.; Alegría, Á.; Delgado, S.; Martín, M.C.; Mayo, B. Comparative phenotypic and molecular genetic profiling of wild Lactococcus lactis subsp. lactis strains of the L. lactis subsp. lactis and L. lactis subsp. cremoris genotypes, isolated from starter-free cheeses made of raw milk. Appl. Environ. Microbiol. 2011, 77, 5324–5335. [Google Scholar] [CrossRef] [PubMed]
- Wouters, J.T.M.; Ayad, E.H.E.; Hugenholtz, J.; Smit, G. Microbes from raw milk for fermented dairy products. Int. Dairy J. 2002, 12, 91–109. [Google Scholar] [CrossRef]
- Smit, G.; Smit, B.A.; Engels, W.J.M. Flavour formation by lactic acid bacteria and biochemical flavour profiling of cheese products. FEMS Microbiol. Rev. 2005, 29, 591–610. [Google Scholar] [CrossRef]
- Ruggirello, M.; Cocolin, L.; Dolci, P. Fate of Lactococcus lactis starter cultures during late ripening in cheese models. Food Microbiol. 2016, 59, 112–118. [Google Scholar] [CrossRef] [PubMed]
- Alessandria, V.; Ferrocino, I.; De Filippis, F.; Fontana, M.; Rantsiou, K.; Ercolini, D.; Cocolin, L. Microbiota of an Italian Grana-like cheese during manufacture and ripening, unraveled by 16S rRNA-based approaches. Appl. Environ. Microbiol. 2016, 82, 3988–3995. [Google Scholar] [CrossRef]
- Desfossés-Foucault, É.; LaPointe, G.; Roy, D. Dynamics and rRNA transcriptional activity of lactococci and lactobacilli during Cheddar cheese ripening. Int. J. Food Microbiol. 2013, 166, 117–124. [Google Scholar] [CrossRef]
- Dolci, P.; Alessandria, V.; Rantsiou, K.; Bertolino, M.; Cocolin, L. Microbial diversity, dynamics and activity throughout manufacturing and ripening of Castelmagno PDO cheese. Int. J. Food Microbiol. 2010, 143, 71–75. [Google Scholar] [CrossRef]
- Flórez, A.B.; Mayo, B. Microbial diversity and succession during the manufacture and ripening of traditional, Spanish, blue-veined Cabrales cheese, as determined by PCR-DGGE. Int. J. Food Microbiol. 2006, 110, 165–171. [Google Scholar] [CrossRef]
- Masoud, W.; Takamiya, M.; Vogensen, F.K.; Lillevang, S.; Al-Soud, W.A.; Sørensen, S.J.; Jakobsen, M. Characterization of bacterial populations in Danish raw milk cheeses made with different starter cultures by denaturating gradient gel electrophoresis and pyrosequencing. Int. Dairy J. 2011, 21, 142–148. [Google Scholar] [CrossRef]
- Rantsiou, K.; Urso, R.; Dolci, P.; Comi, G.; Cocolin, L. Microflora of Feta cheese from four Greek manufacturers. Int. J. Food Microbiol. 2008, 126, 36–42. [Google Scholar] [CrossRef] [PubMed]
- Ruggirello, M.; Dolci, P.; Cocolin, L. Detection and viability of Lactococcus lactis throughout cheese ripening. PLoS ONE 2014, 9, e114280. [Google Scholar] [CrossRef] [PubMed]
- Cretenet, M.; Laroute, V.; Ulvé, V.; Jeanson, S.; Nouaille, S.; Even, S.; Piot, M.; Girbal, L.; Le Loir, Y.; Loubière, P.; et al. Dynamic analysis of the Lactococcus lactis transcriptome in cheeses made from milk concentrated by ultrafiltration reveals multiple strategies of adaptation to stresses. Appl. Environ. Microbiol. 2011, 77, 247–257. [Google Scholar] [CrossRef] [PubMed]
- Beresford, T.P.; Fitzsimons, N.A.; Brennan, N.L.; Cogan, T.M. Recent advances in cheese microbiology. Int. Dairy J. 2001, 11, 259–274. [Google Scholar] [CrossRef]
- Leroy, F.; De Vuyst, L. Lactic acid bacteria as functional starter cultures for the food fermentation industry. Trends Food Sci. Technol. 2004, 15, 67–78. [Google Scholar] [CrossRef]
- Pisano, M.B.; Fadda, M.E.; Melis, R.; Ciusa, M.L.; Viale, S.; Deplano, M.; Cosentino, S. Molecular identification of bacteriocins produced by Lactococcus lactis dairy strains and their technological and genotypic characterization. Food Control 2015, 51, 1–8. [Google Scholar] [CrossRef]
- Tarazanova, M.; Huppertz, T.; Beerthuyzen, M.; van Schalkwijk, S.; Janssen, P.; Wels, M.; Kok, J.; Bachmann, H. Cell surface properties of Lactococcus lactis reveal milk protein binding specifically evolved in dairy isolates. Front. Microbiol. 2017, 8. [Google Scholar] [CrossRef]
- Lante, A.; Lomolino, G.; Cagnin, M.; Spettoli, P. Content and characterisation of minerals in milk and in Crescenza and Squacquerone Italian fresh cheeses by ICP-OES. Food Control 2006, 17, 229–233. [Google Scholar] [CrossRef]
- De Angelis, M.; Siragusa, S.; Berloco, M.; Caputo, L.; Settanni, L.; Alfonsi, G.; Amerio, M.; Grandi, A.; Ragni, A.; Gobbetti, M. Selection of potential probiotic lactobacilli from pig feces to be used as additives in pelleted feeding. Res. Microbiol. 2006, 157, 792–801. [Google Scholar] [CrossRef]
- Kuchroo, C.N.; Fox, P.F. Soluble nitrogen in Cheddar cheese: Comparison of extraction procedures. Milchwissenschaft 1982, 37, 331–335. [Google Scholar]
- Tofalo, R.; Schirone, M.; Fasoli, G.; Perpetuini, G.; Patrignani, F.; Manetta, A.C.; Lanciotti, R.; Corsetti, A.; Martino, G.; Suzzi, G. Influence of pig rennet on proteolysis, organic acids content and microbiota of Pecorino di Farindola, a traditional Italian ewe’s raw milk cheese. Food Chem. 2015, 175, 121–127. [Google Scholar] [CrossRef] [PubMed]
- Vannini, L.; Patrignani, F.; Iucci, L.; Ndagijimana, M.; Vallicelli, M.; Lanciotti, R.; Guerzoni, M.E. Effect of a pre-treatment of milk with high pressure homogenization on yield as well as on microbiological, lipolytic and proteolytic patterns of “Pecorino” cheese. Int. J. Food Microbiol. 2008, 128, 329–335. [Google Scholar] [CrossRef] [PubMed]
- Burns, P.G.; Patrignani, F.; Tabanelli, G.; Vinderola, G.C.; Siroli, L.; Reinheimer, J.A.; Gardini, F.; Lanciotti, R. Potential of high pressure homogenisation on probiotic Caciotta cheese quality and functionality. J. Funct. Foods 2015, 13, 126–136. [Google Scholar] [CrossRef]
- Patrignani, F.; Serrazanetti, D.I.; Mathara, J.M.; Siroli, L.; Gardini, F.; Holzapfel, W.H.; Lanciotti, R. Use of homogenisation pressure to improve quality and functionality of probiotic fermented milks containing Lactobacillus rhamnosus BFE 5264. Int. J. Dairy Technol. 2016, 69, 262–271. [Google Scholar] [CrossRef]
- Gallardo-Escamilla, F.J.; Kelly, A.L.; Delahunty, C.M. Mouthfeel and flavour of fermented whey with added hydrocolloids. Int. Dairy J. 2007, 17, 308–315. [Google Scholar] [CrossRef]
- Gobbetti, M.; Corsetti, A.; Smacchi, E.; Zocchetti, A.; De Angelis, M. Production of Crescenza Cheese by Incorporation of Bifidobacteria. J. Dairy Sci. 1998, 81, 37–47. [Google Scholar] [CrossRef]
- Lanciotti, R.; Chaves-Lopez, C.; Patrignani, F.; Paparella, A.; Guerzoni, M.E.; Serio, A.; Suzzi, G. Effects of milk treatment with dynamic high pressure on microbial populations, and lipolytic and proteolytic profiles of Crescenza cheese. Int. J. Dairy Technol. 2004, 57, 19–25. [Google Scholar] [CrossRef]
- Cardinali, F.; Osimani, A.; Taccari, M.; Milanović, V.; Garofalo, C.; Clementi, F.; Polverigiani, S.; Zitti, S.; Raffaelli, N.; Mozzon, M.; et al. Impact of thistle rennet from Carlina acanthifolia All. subsp. acanthifolia on bacterial diversity and dynamics of a specialty Italian raw ewes’ milk cheese. Int. J. Food Microbiol. 2017, 255, 7–16. [Google Scholar] [CrossRef]
- Cardinali, F.; Taccari, M.; Milanović, V.; Osimani, A.; Polverigiani, S.; Garofalo, C.; Foligni, R.; Mozzon, M.; Zitti, S.; Raffaelli, N.; et al. Yeast and mould dynamics in Caciofiore della Sibilla cheese coagulated with an aqueous extract of Carlina acanthifolia All. Yeast 2016, 33, 403–414. [Google Scholar] [CrossRef]
- Deegan, L.H.; Cotter, P.D.; Hill, C.; Ross, P. Bacteriocins: Biological tools for bio-preservation and shelf-life extension. Int. Dairy J. 2006, 16, 1058–1071. [Google Scholar] [CrossRef]
- Kallinteri, L.D.; Kostoula, O.K.; Savvaidis, I.N. Efficacy of nisin and/or natamycin to improve the shelf-life of Galotyri cheese. Food Microbiol. 2013, 36, 176–181. [Google Scholar] [CrossRef] [PubMed]
- Sobrino-López, A.; Martín-Belloso, O. Use of nisin and other bacteriocins for preservation of dairy products. Int. Dairy J. 2008, 18, 329–343. [Google Scholar] [CrossRef]
- Partanen, L.; Marttinen, N.; Alatossava, T. Fats and fatty acids as growth factors for Lactobacillus delbrueckii. Syst. Appl. Microbiol. 2001, 24, 500–506. [Google Scholar] [CrossRef] [PubMed]
- Ávila, M.; Calzada, J.; Garde, S.; Nuñez, M. Effect of a bacteriocin-producing Lactococcus lactis strain and high-pressure treatment on the esterase activity and free fatty acids in Hispánico cheese. Int. Dairy J. 2007, 17, 1415–1423. [Google Scholar] [CrossRef]
- Ávila, M.; Calzada, J.; Garde, S.; Nuñez, M.; Nuñez Lipolysis, M.; NuñezNu, M. Lipolysis of semi-hard cheese made with a lacticin 481-producing Lactococcus lactis strain and a Lactobacillus helveticus strain. Lait 2007, 87, 575–585. [Google Scholar] [CrossRef]
- Banks, J.M.; Williams, A.G. The role of the nonstarter lactic acid bacteria in Cheddar cheese ripening. Int. J. Dairy Technol. 2004, 57, 145–152. [Google Scholar] [CrossRef]
- De Angelis, M.; Corsetti, A.; Tosti, N.; Rossi, J.; Corbo, M.R.; Gobbetti, M. Characterization of Non-Starter Lactic Acid Bacteria from Italian Ewe Cheeses Based on Phenotypic, Genotypic, and Cell Wall Protein Analyses. Appl. Environ. Microbiol. 2001, 67, 2011–2020. [Google Scholar] [CrossRef]
- Mannion, D.T.; Furey, A.; Kilcawley, K.N. Free fatty acids quantification in dairy products. Int. J. Dairy Technol. 2016, 69, 1–12. [Google Scholar] [CrossRef]
- Gobbettia, M.; Lanciotti, R.; De Angelis, M.; Rosaria Corbo, M.; Massini, R.; Fox, P. Study of the effects of temperature, pH, NaCl, and a(w) on the proteolytic and lipolytic activities of cheese-related lactic acid bacteria by quadratic response surface methodology. Enzyme Microb. Technol. 1999, 25, 795–809. [Google Scholar] [CrossRef]
- Guinee, T.P.; Wilkinson, M.G.; Mulholland, E.O.; Fox, P.F. Influence of Ripening Temperature, Added Commercial Enzyme Preparations and Attenuated Mutant (Lac−) Lactococcus lactis Starter on the Proteolysis and Maturation of Cheddar Cheese. Irish J. Food Sci. Technol. 1991, 15, 27–52. [Google Scholar]
- Hannon, J.A.; Wilkinson, M.G.; Delahunty, C.M.; Wallace, J.M.; Morrissey, P.A.; Beresford, T.P. Application of descriptive sensory analysis and key chemical indices to assess the impact of elevated ripening temperatures on the acceleration of Cheddar cheese ripening. Int. Dairy J. 2005, 15, 263–273. [Google Scholar] [CrossRef]
- Sahingil, D.; Hayaloglu, A.A.; Simsek, O.; Ozer, B. Changes in volatile composition, proteolysis and textural and sensory properties of white-brined cheese: Effects of ripening temperature and adjunct culture. Dairy Sci. Technol. 2014, 94, 603–623. [Google Scholar] [CrossRef]
- Cheng, H. Volatile flavor compounds in yogurt: A review. Crit. Rev. Food Sci. Nutr. 2010, 50, 938–950. [Google Scholar] [CrossRef] [PubMed]
- Durlu-Özkaya, F.; Gün, İ. Aroma Compounds of Some Traditional Turkish Cheeses and Their Importance for Turkish Cuisine. Food Nutr. Sci. 2014, 5, 425–434. [Google Scholar] [CrossRef]
- Clark, S.; Winter, C.K. Diacetyl in Foods: A Review of Safety and Sensory Characteristics. Compr. Rev. Food Sci. Food Saf. 2015, 14, 634–643. [Google Scholar] [CrossRef]
- St-Gelais, D.; Lessard, J.; Champagne, C.P.; Vuillemard, J.C. Production of fresh Cheddar cheese curds with controlled postacidification and enhanced flavor. J. Dairy Sci. 2009, 92, 1856–1863. [Google Scholar] [CrossRef] [PubMed]
- Milesi, M.M.; Wolf, I.V.; Bergamini, C.V.; Hynes, E.R. Two strains of nonstarter lactobacilli increased the production of flavor compounds in soft cheeses. J. Dairy Sci. 2010, 93, 5020–5031. [Google Scholar] [CrossRef] [PubMed]
- Passerini, D.; Laroute, V.; Coddeville, M.; Le Bourgeois, P.; Loubière, P.; Ritzenthaler, P.; Cocaign-Bousquet, M.; Daveran-Mingot, M.L. New insights into Lactococcus lactis diacetyl- and acetoin-producing strains isolated from diverse origins. Int. J. Food Microbiol. 2013, 160, 329–336. [Google Scholar] [CrossRef] [PubMed]
- Sallami, L.; Kheadr, E.E.; Fliss, I.; Vuillemard, J.C. Impact of autolytic, proteolytic, and nisin-producing adjunct cultures on biochemical and textural properties of cheddar cheese. J. Dairy Sci. 2004, 87, 1585–1594. [Google Scholar] [CrossRef]




| Time (days) | INN 1 | C 2 |
|---|---|---|
| 1 | 5.60 ± 0.02 | 5.60 ± 0.01 |
| 6 | 5.46 ± 0.13 | 5.43 ± 0.11 |
| 8 | 5.57 ± 0.03 | 5.62 ± 0.01 |
| 11 | 5.30 ± 0.12 | 5.28 ± 0.04 |
| 15 | 5.42 ± 0.01 | 5.39 ± 0.02 |
| Time (days) | INN 1 | C 2 | |
|---|---|---|---|
| S. thermophilus | L. lactis CBM 21 | S. thermophilus | |
| Log CFU/g | Log CFU/g | Log CFU/g | |
| 1 | 7.6 ± 0.3 a | 7.0 ± 0.5 | 7.5 ± 0.2 a |
| 6 | 8.1 ± 0.3 a | 7.6 ± 0.4 | 7.6 ± 0.2 a |
| 8 | 8.0 ± 0.3 a | 7.9 ± 0.2 | 7.1 ± 0.3 b |
| 11 | 8.1 ± 0.2 a | 8.2 ± 0.3 | 7.3 ± 0.2 b |
| 15 | 7.3 ± 0.3 a | 8.0 ± 0.4 | 6.7 ± 0.3 a |
| Time (days) | INN 1 | C 2 | ||
|---|---|---|---|---|
| Yeasts | Total Coliforms | Yeasts | Total Coliforms | |
| Log CFU/g | Log CFU/g | Log CFU/g | Log CFU/g | |
| 1 | - * | 1.2 ± 0.2 a | 1.3 ± 0.2 a | 2.3 ± 0.2 b |
| 6 | - * | - * | 1.8 ± 0.3 a | 2.4 ± 0.3 a |
| 8 | 1.0 ± 0.1 a | 1.0 ± 0.1 a | 1.9 ± 0.1 b | 1.9 ± 0.2 b |
| 11 | 1.2 ± 0.2 a | - * | 2.2 ± 0.2 b | 2.1 ± 0.3 b |
| 15 | - * | 1.0 ± 0.1 a | 2.8 ± 0.2 c | 2.0 ± 0.1 b |
| FFA | INN 1 | C 2 | ||||||
|---|---|---|---|---|---|---|---|---|
| 1d | 6d | 11d | 15d | 1d | 6d | 11d | 15d | |
| C14:0 | 2.0 ± 0.2 a | 1.9 ± 0.2 a | 3.3 ± 0.3 b | 3.0 ± 0.4 b | 1.9 ± 0.4 a | 2.3 ± 0.2 a | 3.4 ± 0.4 b | 4.0 ± 0.6 b |
| C16:0 | 44.2 ± 2.3 a | 93.4 ± 4.5 c | 152.0 ± 7.8 e | 183.0 ± 9.8 f | 45.0 ± 1.9 a | 73.5 ± 6.7 b | 123.1 ± 9.3 d | 185.0 ± 10.5 f |
| a-C17:0 | -* | - | - | 1.5 ± 0.2 | - | - | - | - |
| C17:0 | - | - | - | 3.5 ± 0.5 | - | - | - | - |
| C18:2 | - | - | - | - | - | - | 1.1 ± 0.1 | - |
| (C18:1 d9) | 2.0 ± 0.2 a | 2.3 ± 0.2 a | 4.2 ± 0.4 b | 7.6 ± 0.7 d | 1.5 ± 0.3 a | 2.1 ± 0.4 a | 4.3 ± 0.6 b | 6.0 ± 0.4 c |
| C18:0 | 30.0 ± 1.5 a | 27.0 ± 2.3 a | 82.1 ± 9.8 c | 172.7 ±1 2.4 d | 28.0 ± 1.7 a | 42.0 ± 3.9 b | 96.3 ± 8.7 c | 96.0 ± 10.7 c |
| C20:0 | - | - | - | 2.0 ± 0.3 | - | - | - | - |
| total FFAs | 78.2 ± 4.1 a | 124.6 ± 8.1 b | 241.6 ± 18.2 c | 373.3 ±2 4.9 e | 76.4 ± 4.3 a | 119.9 ± 11.1 b | 228. 2 ± 19.2 c | 291.0 ± 22.1 d |
| Volatile Molecule | INN 1 | C 2 | ||||||
|---|---|---|---|---|---|---|---|---|
| 1d | 6d | 11d | 15d | 1d | 6d | 11d | 15d | |
| 1-Pentene, 2,4,4-trimethyl- | 1.63 | 0.35 | 3.36 | 2.71 | 5.09 | 0.59 | 1.70 | 5.31 |
| Thiophene | 0.00 | 0.57 | 0.29 | 0.23 | 3.56 | 1.09 | 1.16 | 0.00 |
| TOTAL HYDROCARBONS | 1.63 | 0.92 | 3.65 | 2.93 | 8.65 | 1.68 | 2.86 | 5.31 |
| Acetone | 7.26 | 2.21 | 3.84 | 4.81 | 3.20 | 2.10 | 4.02 | 6.92 |
| 2-Butanone | 4.45 | 6.93 | 4.71 | 7.26 | 4.83 | 9.97 | 4.99 | 2.73 |
| 2,3-Butanedione | 13.87 | 12.10 | 14.33 | 10.14 | 13.86 | 11.63 | 17.61 | 13.33 |
| 2,3-Pentanedione | 6.38 | 7.61 | 6.10 | 4.93 | 3.22 | 5.08 | 1.87 | 5.11 |
| 3-Hexanone | 6.81 | 0.72 | 0.62 | 0.00 | 9.48 | 1.05 | 0.00 | 0.61 |
| Hexanone | 2.32 | 1.15 | 0.46 | 0.00 | 0.52 | 0.76 | 0.00 | 0.00 |
| 3-Pentanone, 2-methyl- | 0.00 | 2.99 | 0.62 | 0.28 | 1.38 | 0.88 | 0.38 | 0.55 |
| 2-Pentanone, 3-methyl- | 0.00 | 2.33 | 0.18 | 0.42 | 1.04 | 1.50 | 0.17 | 0.54 |
| 2-Butanone, 3-hydroxy- | 16.29 | 13.44 | 16.36 | 9.03 | 7.98 | 12.82 | 7.95 | 12.24 |
| Cyclohexanone,2-chloro-2-methyl- | 9.79 | 0.00 | 3.25 | 1.12 | 0.72 | 0.00 | 2.08 | 2.87 |
| TOTAL KETONES | 67.17 | 49.47 | 50.48 | 37.99 | 46.23 | 45.80 | 39.08 | 44.90 |
| Ethyl acetate | 0.00 | 1.60 | 2.10 | 7.43 | 0.00 | 1.34 | 3.09 | 1.91 |
| Propanoic acid, ethyl ester | 0.00 | 0.00 | 0.23 | 0.23 | 0.00 | 0.00 | 0.19 | 0.33 |
| Acetic acid ethenyl ester | 11.01 | 2.37 | 1.79 | 0.28 | 19.59 | 2.04 | 0.20 | 1.17 |
| Butanoic acid, ethyl ester | 0.00 | 0.86 | 0.42 | 4.54 | 0.26 | 1.37 | 3.40 | 0.63 |
| Pentanoic acid, ethyl ester | 0.00 | 0.00 | 0.00 | 1.65 | 1.19 | 0.00 | 0.73 | 0.32 |
| Pentanoic acid, 4-methyl-, ethyl ester | 0.00 | 0.00 | 0.00 | 0.23 | 0.00 | 0.00 | 0.00 | 0.00 |
| TOTAL ESTERS | 11.01 | 4.84 | 4.54 | 14.35 | 21.04 | 4.76 | 7.62 | 4.35 |
| Ethanol | 2.06 | 20.68 | 17.00 | 16.76 | 6.42 | 30.31 | 35.14 | 22.62 |
| 1-Propanol, 2-methyl- | 0.15 | 0.76 | 0.25 | 2.40 | 0.67 | 3.00 | 1.95 | 0.50 |
| Cyclopropanemethanol, (1-methylethyl)- | 1.04 | 0.94 | 2.83 | 2.00 | 0.56 | 0.85 | 1.31 | 2.88 |
| 2-Hexanol, 2,3-dimethyl- | 0.14 | 0.66 | 1.15 | 1.52 | 4.11 | 0.65 | 0.58 | 1.34 |
| 1-Butanol, 3-methyl- | 1.17 | 1.46 | 2.93 | 6.76 | 1.60 | 1.20 | 2.92 | 1.02 |
| 3-Pentanol, 2-methyl- | 1.86 | 0.48 | 3.00 | 0.00 | 1.00 | 0.00 | 0.75 | 1.68 |
| 2-Octanol, | 2.07 | 0.00 | 2.42 | 0.00 | 0.92 | 2.13 | 1.81 | 1.15 |
| Phenylethyl Alcohol | 0.54 | 0.00 | 0.00 | 2.41 | 0.09 | 0.00 | 0.11 | 2.08 |
| TOTAL ALCOHOLS | 9.04 | 24.98 | 29.57 | 31.86 | 15.37 | 38.14 | 44.56 | 33.28 |
| Benzaldehyde | 1.98 | 0.00 | 0.00 | 1.19 | 1.54 | 0.00 | 1.00 | 2.21 |
| TOTAL ALDEHYDES | 1.98 | 0.00 | 0.00 | 1.19 | 1.54 | 0.00 | 1.00 | 2.21 |
| Butanoic acid | 0.00 | 9.78 | 3.01 | 3.65 | 0.00 | 2.70 | 0.00 | 2.78 |
| hexanoic acid | 0.68 | 4.16 | 3.51 | 3.01 | 1.01 | 2.95 | 1.49 | 2.33 |
| Heptanoic acid | 0.16 | 0.65 | 0.00 | 0.76 | 0.66 | 0.00 | 0.13 | 0.59 |
| Octanoic Acid | 7.44 | 5.20 | 4.22 | 3.64 | 4.27 | 2.55 | 2.26 | 3.11 |
| TOTAL ACIDS | 8.28 | 19.78 | 10.74 | 11.06 | 5.94 | 8.20 | 3.89 | 8.81 |
| TOTAL MOLECULES | 99.11 | 100.00 | 98.99 | 99.40 | 98.76 | 98.57 | 99.00 | 98.86 |
© 2020 by the authors. Licensee MDPI, Basel, Switzerland. This article is an open access article distributed under the terms and conditions of the Creative Commons Attribution (CC BY) license (http://creativecommons.org/licenses/by/4.0/).
Share and Cite
Siroli, L.; Patrignani, F.; D’Alessandro, M.; Salvetti, E.; Torriani, S.; Lanciotti, R. Suitability of the Nisin Z-producer Lactococcus lactis subsp. lactis CBM 21 to be Used as an Adjunct Culture for Squacquerone Cheese Production. Animals 2020, 10, 782. https://doi.org/10.3390/ani10050782
Siroli L, Patrignani F, D’Alessandro M, Salvetti E, Torriani S, Lanciotti R. Suitability of the Nisin Z-producer Lactococcus lactis subsp. lactis CBM 21 to be Used as an Adjunct Culture for Squacquerone Cheese Production. Animals. 2020; 10(5):782. https://doi.org/10.3390/ani10050782
Chicago/Turabian StyleSiroli, Lorenzo, Francesca Patrignani, Margherita D’Alessandro, Elisa Salvetti, Sandra Torriani, and Rosalba Lanciotti. 2020. "Suitability of the Nisin Z-producer Lactococcus lactis subsp. lactis CBM 21 to be Used as an Adjunct Culture for Squacquerone Cheese Production" Animals 10, no. 5: 782. https://doi.org/10.3390/ani10050782
APA StyleSiroli, L., Patrignani, F., D’Alessandro, M., Salvetti, E., Torriani, S., & Lanciotti, R. (2020). Suitability of the Nisin Z-producer Lactococcus lactis subsp. lactis CBM 21 to be Used as an Adjunct Culture for Squacquerone Cheese Production. Animals, 10(5), 782. https://doi.org/10.3390/ani10050782

