Antibacterial Activity of Trypsin-Hydrolyzed Camel and Cow Whey and Their Fractions
Simple Summary
Abstract
1. Introduction
2. Materials and Methods
2.1. Materials
2.2. Camel Whey (CaW) and Cow Whey (CoW) Enzymatic Hydrolysis
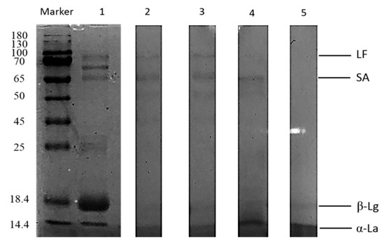
2.3. Sodium Dodecyl Sulphate-Polyacrylamide Gel Electrophoresis
2.4. Fractionation of CaW and CoW Hydrolysate
2.4.1. Ultrafiltration
2.4.2. Dextran Gel Filtration Chromatography
2.5. Antibacterial Activity
2.5.1. Bacterial Strains Used
2.5.2. Disc Diffusion Assay
2.5.3. Determining the Minimum Inhibitory Concentration
2.6. Transmission Electron Microscopy
2.6.1. Preparation and Fixation of Bacteriostatic Solution
2.6.2. Embedding of Bacteriostatic Solution
2.6.3. Section Staining Observation
2.7. Amino Acid Composition Determination
3. Results and Discussion
3.1. Preparation of CaWH and CoWH
3.2. Ultrafiltration Fractionation (UF) of CaWH and CoWH
3.3. CaWH-III and CoWH-III Gel Filtration Chromatography
3.4. Minimum Inhibitory Concentrations (MICs) of CaWH-III-Fr.A2 and CoWH-III-Fr.B1
3.5. Transmission Electron Microscopy
3.6. Fr.A2 and Fr.B1 Amino Acid Compositions
4. Conclusions
Author Contributions
Funding
Acknowledgments
Conflicts of Interest
References
- Osman, A.O.; Mahgoub, S.A.; Sitohy, M.Z. Preservative action of 11S (glycinin) and 7S (β-conglycinin) soy globulin on bovine raw milk stored either at 4 or 25 °C. J. Dairy Res. 2013, 80, 174–183. [Google Scholar] [CrossRef] [PubMed]
- Jrad, Z.; El, H.H.; Adt, I.; Girardet, J.; Celine, C.K.; Jardin, J.; Degraeve, P.; Khorchani, T.; Oulahal, N. Effect of digestive enzymes on antimicrobial, radical scavenging and angiotensin I-converting enzyme inhibitory activities of camel colostrum and milk proteins. Dairy Sci. Technol. 2014, 94, 205–224. [Google Scholar] [CrossRef]
- Almaas, H.; Eriksen, E.; Sekse, C.; Comi, I.; Flengsrud, R.; Holm, H.; Jensen, E.; Jacobsen, M.; Langsrud, T.; Vegarud, G.E. Antibacterial peptides derived from caprine whey proteins, by digestion with human gastrointestinal juice. Brit. J. Nutr. 2011, 106, 896–905. [Google Scholar] [CrossRef] [PubMed]
- Almaas, H.; Berner, V.; Holm, H.; Langsrud, T.; Vegarud, G.E. Degradation of whey from caprine milk by human proteolytic enzymes, and the resulting antibacterial effect against Listeria monocytogenes. Small Ruminant Res. 2008, 79, 11–15. [Google Scholar] [CrossRef]
- Bellamy, W.R.; Takase, M.; Wakabayashi, H.; Kawase, K.; Tomita, M. Antibacterial spectrum of lactoferricin B, a potent bactericidal peptide derived from the N-terminal region of bovine lactoferrin. J. Appl. Microbiol. 1993, 73, 472–479. [Google Scholar] [CrossRef]
- Pellegrini, A.; Dettling, C.; Thomas, U.; Hunziker, P. Isolation and characterization of four bactericidal domains in the bovine β-lactoglobulin. Biochim. Biophys. Acta 2001, 1526, 131–140. [Google Scholar] [CrossRef]
- Tomita, M.; Wakabayashi, H.; Shin, K.; Yamauchi, K.; Yaeshima, T.; Iwatsuki, K. Twenty-five years of research on bovine lactoferrin applications. Biochimie 2009, 91, 52–57. [Google Scholar] [CrossRef]
- Mati, A.; Senoussi-Ghezali, C.; Zennia, S.S.A.; Almi-Sebbane, D.; El-Hatmi, H.; Girardet, J. Dromedary camel milk proteins, a source of peptides having biological activities—A review. Int. Dairy J. 2016, 73, 25–37. [Google Scholar] [CrossRef]
- El-Agamy, E.I.; Nawar, M.; Shamsia, S.M.; Awad, S.; Haenlein, G.F.W. Are camel milk proteins convenient to the nutrition of cow milk allergic children? Small Ruminant Res. 2009, 82, 1–6. [Google Scholar] [CrossRef]
- Salami, M.; Moosavi-Movahedi, A.A.; Ehsani, M.R.; Yousefi, R.; Haertlé, T.; Chobert, J.J.M.; Razavi, S.H.; Heinrich, R.; Balalaie, S.; Ebadi, A.; et al. Improvement of the Antimicrobial and Antioxidant Activities of Camel and Bovine Whey Proteins by Limited Proteolysis. J. Agric. Food Chem. 2010, 58, 3297–3302. [Google Scholar] [CrossRef] [PubMed]
- Conesa, C.; Sánchez, L.; Rota, C.; Perez, M.D.; Calvo, M.; Farnaud, S.; Evans, R.W. Isolation of lactoferrin from milk of different species: Calorimetric and antimicrobial studies. Comp. Biochem. Physiol. B 2008, 150, 131–139. [Google Scholar] [CrossRef] [PubMed]
- Kumar, D.; Chatli, M.K.; Singh, R.; Mehta, N.; Kumar, P. Antioxidant and antimicrobial activity of camel milk casein hydrolysates and its fractions. Small Ruminant Res. 2016, 139, 20–25. [Google Scholar] [CrossRef]
- El-Hatmi, H.; Girardet, J.M.; Gaillard, J.L.; Yahyaoui, M.H.; Attia, H. Characterisation of whey proteins of camel (Camelus dromedarius) milk and colostrum. Small Ruminant Res. 2007, 70, 267–271. [Google Scholar] [CrossRef]
- Merin, U.; Bernstein, S.; Blochdamti, A.; Yagil, R.; Creveld, C.; Lindner, P.; Gollop, N. A comparative study of milk serum proteins in camel (Camelus dromedarius) and bovine colostrum. Livest. Prod. Sci. 2001, 67, 297–301. [Google Scholar] [CrossRef]
- Tian-Yun, G.; Li-Fang, W.; Yi-Ping, Y.; Xing, H.; Sana, I. Detection of Fat and Protein in Milk by Using Milk Composition Analyzer and Nearinfrared Spectrometer. AHFS 2014, 35, 6–9. [Google Scholar]
- Schmidt, D.G.; Robben, A.J.P.M. OPA method for the determination of the degree of hydrolysis in whey protein hydrolysates. Voed. Technol. 1994, 26, 13–15. [Google Scholar]
- Laemmli, B.U.K. Cleavage of Structural Proteins during Assembly of Head of Bacteriophage-T4. Nature 1970, 227, 680–685. [Google Scholar] [CrossRef]
- O’Regan, J.; Mulvihill, D.M. Preparation, characterisation and selected functional properties of sodium caseinate–maltodextrin conjugates. Food Chem. 2009, 115, 1257–1267. [Google Scholar] [CrossRef]
- Bauer, J.A.; Turck, M.D.; Kirby, C.W.; Sherris, J.C. Antibiotic susceptibility testing by a standardized single disk method. Tech. Bull Regist. Med. Technol. 1966, 36, 49–52. [Google Scholar]
- Yamamoto, Y.; Togawa, Y.; Shimosaka, M.; Okazaki, M. Purification and Characterization of a Novel Bacteriocin Produced by Enterococcus faecalis Strain RJ-11. Appl. Environ. Microb. 2003, 69, 5746–5753. [Google Scholar] [CrossRef]
- Sitohy, M.; Osman, A.; El-Masry, R. Extent and Mode of Action of Cationic Legume Proteins against Listeria monocytogenes and Salmonella Enteritidis. Probiotics Antimicrob. Proteins 2013, 5, 195–205. [Google Scholar] [CrossRef] [PubMed]
- Siswoyo, T.A.; Mardiana, E.; Lee, K.O.; Hoshokawa, K. Isolation and Characterization of Antioxidant Protein Fractions from Melinjo (Gnetum gnemon) Seeds. J. Agric. Food Chem. 2011, 59, 5648–5656. [Google Scholar] [CrossRef] [PubMed]
- Salami, M.; Yousefi, R.; Ehsani, M.R.; Dalgalarrondo, M.; Chobert, G.M.; Haertlé, T.; Razavi, S.H.; Saboury, A.A.; Niasari-Naslaji, A.; Moosavi-Movahedi, A.A. Kinetic characterization of hydrolysis of camel and bovine milk proteins by pancreatic enzymes. Int. Dairy J. 2008, 18, 1097–1102. [Google Scholar] [CrossRef]
- Saliha, S.A.Z.; Dalila, A.; Chahra, S.; Boudjenah, S.; Mati, A. Separation and characterization of major milk proteins from Algerian Dromedary (Camelus dromedarius). Emir. J. Food Agric. 2013, 25, 283–288. [Google Scholar] [CrossRef]
- Tagliazucchi, D.; Shamsia, S.; Conte, A. Release of angiotensin converting enzyme-inhibitory peptides during in vitro gastro-intestinal digestion of camel milk. Int. Dairy J. 2016, 56, 119–128. [Google Scholar] [CrossRef]
- Beg, O.U.; Bahr-Lindström, H.V.; Zaidi, Z.H.; Jörnvall, H. A camel milk whey protein rich in half-cystine Primary structure, assessment of variations, internal repeat patterns, and relationships with neurophysin and other active polypeptides. Eur. J. Biochem. 1985, 159, 195–201. [Google Scholar] [CrossRef]
- El-Hatm, E.H.H. Comparison of composition and whey protein fractions of human, camel, donkey, goat and cow milk. Mljekarstvo 2015, 65, 159–167. [Google Scholar] [CrossRef]
- Jridi, M.; Lassoued, I.; Nasri, R.; Ayadi, M.A.; Nasri, M.; Souissi, N. Characterization and potential use of cuttlefish skin gelatin hydrolysates prepared by different microbial proteases. BioMed Res. Int. 2014, 2014, 461–728. [Google Scholar] [CrossRef]
- Jrad, Z.; Oulahal, N.; Isabelle, A.; Khorchani, T.; Degraeve, P.; Halima, E.H.H. Camel colostrum: Nutritional composition and improvement of the antimicrobial activity after enzymatic hydrolysis. Emir. J. Food Agric. 2015, 27. [Google Scholar] [CrossRef]
- Memarpooryazdi, M.; Mahaki, H.; Zarezardini, H. Antioxidant activity of protein hydrolysates and purified peptides from Zizyphus jujuba fruits. J. Funct. Foods 2013, 5, 62–70. [Google Scholar] [CrossRef]
- Onuh, J.O.; Girgih, A.T.; Aluko, R.E.; Aliani, M. In vitro antioxidant properties of chicken skin enzymatic protein hydrolysates and membrane fractions. Food Chem. 2014, 150, 366–373. [Google Scholar] [CrossRef] [PubMed]
- Wang, B.; Li, Z.R.; Chi, C.F.; Zhang, Q.H.; Luo, H.Y. Preparation and evaluation of antioxidant peptides from ethanol-soluble proteins hydrolysate of Sphyrna lewini muscle. Peptides 2012, 36, 240–250. [Google Scholar] [CrossRef] [PubMed]
- He, R.; Girgih, A.T.; Malomo, S.A.; Ju, X.R.; Aluko, R. Antioxidant activities of enzymatic rapeseed protein hydrolysates and the membrane ultrafiltration fractions. J. Funct. Foods 2013, 5, 219–227. [Google Scholar] [CrossRef]
- You, L.; Zhao, M.; Regenstein, J.M.; Ren, J.Y. Purification and identification of antioxidant peptides from loach (Misgurnus anguillicaudatus) protein hydrolysate by consecutive chromatography and electrospray ionization-mass spectrometry. Food Res. Int. 2010, 43, 1167–1173. [Google Scholar] [CrossRef]
- Abdel-Hamid, M.; Goda, H.A.; De Gobba, C.; Jenssen, H.; Osman, A. Antibacterial activity of papain hydrolysed camel whey and its fractions. Int. Dairy J. 2016. [Google Scholar] [CrossRef]
- Pag, U.; Oedenkoven, M.; Sass, V.; Shai, V.; Shamova, O.; Antcheva, N.; Tossi, A.; Sahl, H.G. Analysis of in vitro activities and modes of action of synthetic antimicrobial peptides derived from an α-helical ‘sequence template’. J. Antimicrob. Chemoth. 2007, 61, 341–352. [Google Scholar] [CrossRef]
- Hartmann, M.; Berditsch, M.; Hawecker, J.; Ardakani, M.F.; Gerthsen, D.; Ulrich, A.S. Damage of the Bacterial Cell Envelope by Antimicrobial Peptides Gramicidin S and PGLa as Revealed by Transmission and Scanning Electron Microscopy. Antimicrob. Agents Chemother. 2010, 54, 3132–3142. [Google Scholar] [CrossRef]
- Reddy, K.V.; Yedery, R.D.; Aranha, C. Antimicrobial peptides: Premises and promises. Int. J. Antimicrob. Agric. 2004, 24, 536–547. [Google Scholar] [CrossRef]
- Marco, G.; Fabio, M.; Carlo, G.R. AngiotensinI-converting-enzyme -inhibitory and antimicrobial bioactive peptides. Int. J. Dairy Technol. 2004, 57, 173–188. [Google Scholar]
- Hancock, R.E.; Rozek, A. Role of membranes in the activities of antimicrobial cationic peptides. FEMS Microbiol. Lett. 2002, 206, 143–152. [Google Scholar] [CrossRef]
- Jenssen, H.; Hamill, P.; Hancock, R.E.W. Peptide Antimicrobial Agents. Clin. Microbiol. Rev. 2006, 19, 491–511. [Google Scholar] [CrossRef] [PubMed]






| Strains | Inhibition Zone Diameter (mm) | |||||||
|---|---|---|---|---|---|---|---|---|
| CaWH | CoWH | |||||||
| CaWH | CaWH-Ⅰ | CaWH-Ⅱ | CaWH-Ⅲ | CoWH | CoWH-Ⅰ | CoWH-Ⅱ | CoWH-Ⅲ | |
| A | 11.90 b ± 0.30 | 4.03 a ± 0.10 | 10.60 b ± 0.40 | 16.30 c ± 0.20 | 10.32 b ± 0.30 | 3.21 a ± 0.10 | 13.60 b ± 0.20 | 15.90 c ± 0.40 |
| B | 14.53 b ± 0.40 | 6.90 a ± 0.20 | 13.99 b ± 0.30 | 19.20 c ± 0.40 | 13.15 b ± 0.30 | 5.30 a ± 0.20 | 11.33 b ± 0.30 | 18.63 c ± 0.40 |
| C | 8.36 a ± 0.30 | NI | 7.81 a ± 0.20 | 14.95 b ± 0.40 | 8.60 a ± 0.30 | NI | 9.01 a ± 0.10 | 12.30 b ± 0.20 |
| D | 5.60 a ± 0.20 | NI | 5.90 a ± 0.30 | 8.30 b ± 0.50 | 4.99 a ± 0.20 | NI | 4.30 a ± 0.20 | 9.60 b ± 0.30 |
| Strains | Inhibition Zone Diameter (mm) | |||
|---|---|---|---|---|
| CaWH-Ⅲ | CoWH-Ⅲ | Sterile Water | ||
| Fr.A1 | Fr.A2 | Fr.B1 | ||
| A | 17.34 ± 0.40 | 19.78 ± 0.30 | 18.35 ± 0.60 | NI |
| B | 22.63 ± 0.30 | 26.90 ± 0.30 | 24.53 ± 0.40 | NI |
| C | 12.80 ± 0.10 | 14.51 ± 0.20 | 11.92 ± 0.30 | NI |
| D | 9.96 ± 0.20 | 10.60 ± 0.40 | 11.13 ± 0.30 | NI |
| Strains | MIC (mg/mL) | |||
|---|---|---|---|---|
| CaW | Fr.A2 | CoW | Fr.B1 | |
| S.aureus (ATCC 25923) | 260 | 130 | 260 | 130 |
| E.coli (ATCC 25922) | 130 | 65 | 260 | 130 |
| Salmonella typhimurium (ATCC 50115) | NI | 260 | NI | 260 |
| Streptococcus mutans (ATCC 25175) | NI | 260 | NI | 260 |
| Amino Acid | Fr.A2 | Fr.B1 |
|---|---|---|
| Molar Percentage (%) | Molar Percentage (%) | |
| Arg | 10.30 ± 0.30 | 8.14 ± 0.30 |
| His | 9.59 ± 0.40 | 7.89 ± 0.20 |
| Lys | 8.24 ± 0.20 | 9.04 ± 0.30 |
| Phe | 3.50 ± 0.20 | 4.42 ± 0.30 |
| Tyr | 2.22 ± 0.20 | 1.37 ± 0.10 |
| Leu | 6.03 ± 0.30 | 9.69 ± 0.40 |
| Ile | 5.62 ± 0.40 | 7.37 ± 0.20 |
| Val | 4.91 ± 0.10 | 7.43 ± 0.20 |
| Met | 6.54 ± 0.10 | 9.57 ± 0.20 |
| Pro | 12.72 ± 0.30 | 8.43 ± 0.30 |
| Ser | 6.32 ± 0.20 | 5.78 ± 0.30 |
| Thr | 6.06 ± 0.10 | 5.93 ± 0.30 |
| Glu | 5.99 ± 0.10 | 4.17 ± 0.30 |
| Gly | 6.60 ± 0.10 | 3.09 ± 0.50 |
| Ala | 5.37 ± 0.40 | 7.69 ± 0.10 |
| Hydrophobic amino acids (%) | 51.29 | 57.69 |
| Alkaline amino acids (%) | 28.13 | 25.07 |
© 2020 by the authors. Licensee MDPI, Basel, Switzerland. This article is an open access article distributed under the terms and conditions of the Creative Commons Attribution (CC BY) license (http://creativecommons.org/licenses/by/4.0/).
Share and Cite
Wang, R.; Han, Z.; Ji, R.; Xiao, Y.; Si, R.; Guo, F.; He, J.; Hai, L.; Ming, L.; Yi, L. Antibacterial Activity of Trypsin-Hydrolyzed Camel and Cow Whey and Their Fractions. Animals 2020, 10, 337. https://doi.org/10.3390/ani10020337
Wang R, Han Z, Ji R, Xiao Y, Si R, Guo F, He J, Hai L, Ming L, Yi L. Antibacterial Activity of Trypsin-Hydrolyzed Camel and Cow Whey and Their Fractions. Animals. 2020; 10(2):337. https://doi.org/10.3390/ani10020337
Chicago/Turabian StyleWang, Ruixue, Zhihao Han, Rimutu Ji, Yuchen Xiao, Rendalai Si, Fucheng Guo, Jing He, Le Hai, Liang Ming, and Li Yi. 2020. "Antibacterial Activity of Trypsin-Hydrolyzed Camel and Cow Whey and Their Fractions" Animals 10, no. 2: 337. https://doi.org/10.3390/ani10020337
APA StyleWang, R., Han, Z., Ji, R., Xiao, Y., Si, R., Guo, F., He, J., Hai, L., Ming, L., & Yi, L. (2020). Antibacterial Activity of Trypsin-Hydrolyzed Camel and Cow Whey and Their Fractions. Animals, 10(2), 337. https://doi.org/10.3390/ani10020337

