N-Terminal Sequences of Signal Peptides Assuming Critical Roles in Expression of Heterologous Proteins in Bacillus subtilis
Abstract
1. Introduction
2. Materials and Methods
2.1. Bacterial Strains, Plasmids and Chemicals
2.2. Screening of the Signal Peptides for Extracellular Production of APL
2.3. Construction of the Recombinant Signal Peptides
2.4. Enzyme Assay and SDS-PAGE
2.5. Transcription Detection by Quantitative Real-Time PCR (qRT-PCR)
2.6. Fed-Batch Fermentation of the Engineered Strain to Produce Extracellular APL
3. Results
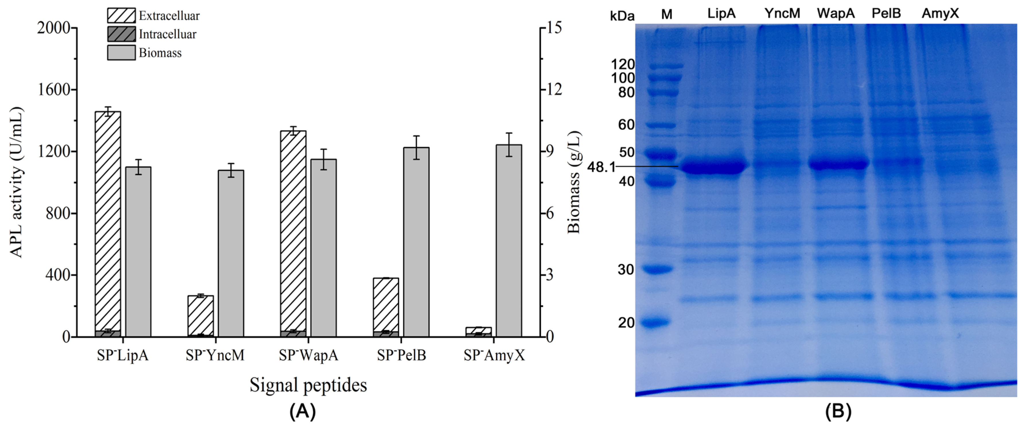
3.1. Effects of Different Signal Peptides on the Secretory Expression of APL in B. subtilis
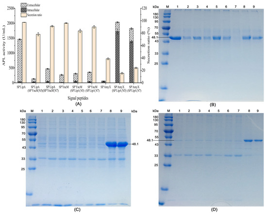
3.2. Effects of the N-Terminal 5–7 Amino acid Sequences of the Signal Peptides on the Secretory Expression of APL in B. subtilis
3.3. Effects of the N-Terminal 5 Amino Acid Sequences of the Signal Peptides on the Gene Transcript in B. subtilis
3.4. High Yield of APL through Fermentation of the Recombinant Strain in a 5-L Reactor
4. Discussion
5. Conclusions
Supplementary Materials
Author Contributions
Funding
Data Availability Statement
Acknowledgments
Conflicts of Interest
References
- Yang, H.; Qu, J.; Zou, W.; Shen, W.; Chen, X. An overview and future prospects of recombinant protein production in Bacillus subtilis. Appl. Microbiol. Biotechnol. 2021, 105, 6607–6626. [Google Scholar] [CrossRef] [PubMed]
 - Ejaz, S.; Khan, H.; Sarwar, N.; Aqeel, S.M.; Al-Adeeb, A.; Liu, S. A Review on Recent Advancement in Expression Strategies Used in Bacillus subtilis. Protein Pept. Lett. 2022, 29, 733–743. [Google Scholar] [CrossRef] [PubMed]
 - Stülke, J.; Grüppen, A.; Bramkamp, M.; Pelzer, S. Bacillus subtilis, a Swiss Army Knife in Science and Biotechnology. J. Bacteriol. 2023, 205, e0010223. [Google Scholar] [CrossRef]
 - Zhang, K.; Su, L.; Wu, J. Enhancing extracellular pullulanase production in Bacillus subtilis through dltB disruption and signal peptide optimization. Appl. Biochem. Biotechnol. 2022, 194, 1206–1220. [Google Scholar] [CrossRef] [PubMed]
 - Arnett, C.; Lange, J.; Boyd, A.; Page, M.; Cropek, D. Expression and secretion of active Moringa oleifera coagulant protein in Bacillus subtilis. Appl. Microbiol. Biot. 2019, 103, 9411–9422. [Google Scholar] [CrossRef] [PubMed]
 - Scheidler, C.M.; Vrabel, M.; Schneider, S. Genetic Code Expansion, Protein Expression, and Protein Functionalization in Bacillus subtilis. ACS Synth. Biol. 2020, 9, 486–493. [Google Scholar] [CrossRef]
 - Nguyen, H.D.; Phan, T.T.P. A Protocol to Enhance Soluble Protein Expression in the Cytoplasm of Bacillus subtilis. In Insoluble Proteins; Methods in Molecular Biology; Springer: New York, NY, USA, 2022; pp. 233–243. [Google Scholar]
 - Harwood, C.R.; Cranenburgh, R. Bacillus protein secretion: An unfolding story. Trends Microbiol. 2008, 16, 73–79. [Google Scholar] [CrossRef] [PubMed]
 - Liu, P.; Guo, J.; Miao, L.; Liu, H. Enhancing the secretion of a feruloyl esterase in Bacillus subtilis by signal peptide screening and rational design. Protein Expr. Purif. 2022, 200, 106165. [Google Scholar] [CrossRef] [PubMed]
 - Gustafsson, C.; Minshull, J.; Govindarajan, S.; Ness, J.; Villalobos, A.; Welch, M. Engineering genes for predictable protein expression. Protein Expr. Purif. 2012, 83, 37–46. [Google Scholar] [CrossRef]
 - Grasso, S.; Dabene, V.; Hendriks, M.; Zwartjens, P.; Pellaux, R.; Held, M.; Panke, S.; van Dijl, J.M.; Meyer, A.; van Rij, T. Signal Peptide Efficiency: From High-Throughput Data to Prediction and Explanation. ACS Synth. Biol. 2023, 12, 390–404. [Google Scholar] [CrossRef]
 - Huang, X.; Cao, L.; Qin, Z.; Li, S.; Kong, W.; Liu, Y. Tat-Independent Secretion of Polyethylene Terephthalate Hydrolase PETase in Bacillus subtilis 168 Mediated by Its Native Signal Peptide. J. Agric. Food Chem. 2018, 66, 13217–13227. [Google Scholar] [CrossRef] [PubMed]
 - Liu, R.; Zuo, Z.; Xu, Y.; Song, C.; Jiang, H.; Qiao, C.; Xu, P.; Zhou, Q.; Yang, C. Twin-arginine signal peptide of Bacillus subtilis YwbN can direct Tat-dependent secretion of methyl parathion hydrolase. J. Agric. Food Chem. 2014, 62, 2913–2918. [Google Scholar] [CrossRef]
 - Smets, D.; Smit, J.; Xu, Y.; Karamanou, S.; Economou, A. Signal Peptide-rheostat Dynamics Delay Secretory Preprotein Folding. J. Mol. Biol. 2022, 434, 167790. [Google Scholar] [CrossRef] [PubMed]
 - Frain, K.M.; Robinson, C.; van Dijl, J.M. Transport of Folded Proteins by the Tat System. Protein J. 2019, 38, 377–388. [Google Scholar] [CrossRef] [PubMed]
 - Kaushik, S.; He, H.; Dalbey, R.E. Bacterial Signal Peptides- Navigating the Journey of Proteins. Front. Physiol. 2022, 13, 933153. [Google Scholar] [CrossRef]
 - Zandsalimi, F.; Hajihassan, Z.; Hamidi, R. Denovo designing: A novel signal peptide for tat translocation pathway to transport activin A to the periplasmic space of E. coli. Biotechnol. Lett. 2019, 42, 45–55. [Google Scholar] [CrossRef]
 - Palmer, T.; Stansfeld, P.J. Targeting of proteins to the twin-arginine translocation pathway. Mol. Microbiol. 2020, 113, 861–871. [Google Scholar] [CrossRef]
 - Su, L.; Li, Y.; Wu, J. Efficient secretory expression of Bacillus stearothermophilus alpha/beta-cyclodextrin glycosyltransferase in Bacillus subtilis. J. Biotechnol. 2021, 331, 74–82. [Google Scholar] [CrossRef]
 - Wang, S.; Yang, Z.; Li, Z.; Tian, Y. Heterologous Expression of Recombinant Transglutaminase in Bacillus subtilis SCK6 with Optimized Signal Peptide and Codon, and Its Impact on Gelatin Properties. J. Microbiol. Biotechnol. 2020, 30, 1082–1091. [Google Scholar] [CrossRef]
 - Wang, N.; Guan, F.; Lv, X.; Han, D.; Zhang, Y.; Wu, N.; Xia, X.; Tian, J. Enhancing secretion of polyethylene terephthalate hydrolase PETase in Bacillus subtilis WB600 mediated by the SP(amy) signal peptide. Lett. Appl. Microbiol. 2020, 71, 235–241. [Google Scholar] [CrossRef]
 - Kang, X.M.; Cai, X.; Huang, Z.H.; Liu, Z.Q.; Zheng, Y.G. Construction of a highly active secretory expression system in Bacillus subtilis of a recombinant amidase by promoter and signal peptide engineering. Int. J. Biol. Macromol. 2020, 143, 833–841. [Google Scholar] [CrossRef] [PubMed]
 - Heinrich, J.; Drewniok, C.; Neugebauer, E.; Kellner, H.; Wiegert, T. The YoaW signal peptide directs efficient secretion of different heterologous proteins fused to a StrepII-SUMO tag in Bacillus subtilis. Microb. Cell Fact. 2019, 18, 31. [Google Scholar] [CrossRef] [PubMed]
 - Verma, M.; Choi, J.; Cottrell, K.A.; Lavagnino, Z.; Thomas, E.N.; Pavlovic-Djuranovic, S.; Szczesny, P.; Piston, D.W.; Zaher, H.S.; Puglisi, J.D.; et al. A short translational ramp determines the efficiency of protein synthesis. Nat. Commun. 2019, 10, 5774. [Google Scholar] [CrossRef] [PubMed]
 - Gao, J.; Qian, H.; Guo, X.; Mi, Y.; Guo, J.; Zhao, J.; Xu, C.; Zheng, T.; Duan, M.; Tang, Z.; et al. The signal peptide of Cry1Ia can improve the expression of eGFP or mCherry in Escherichia coli and Bacillus thuringiensis and enhance the host’s fluorescent intensity. Microb. Cell Factories 2020, 19, 112. [Google Scholar] [CrossRef] [PubMed]
 - Zhang, X.Z.; You, C.; Zhang, Y.H. Transformation of Bacillus subtilis. Methods Mol. Biol. 2014, 1151, 95–101. [Google Scholar] [CrossRef] [PubMed]
 - Zhen, J.; Tan, M.; Fu, X.; Shu, W.; Zhao, X.; Yang, S.; Xu, J.; Ma, Y.; Zheng, H.; Song, H. High-level extracellular production of an alkaline pectate lyase in E. coli BL21 (DE3) and its application in bioscouring of cotton fabric. 3 Biotech 2020, 10, 49. [Google Scholar] [CrossRef] [PubMed]
 - Yang, Y.; Fu, X.; Zhao, X.; Xu, J.; Liu, Y.; Zheng, H.; Bai, W.; Song, H. Overexpression of a thermostable α-amylase through genome integration in Bacillus subtilis. Fermentation 2023, 9, 139. [Google Scholar] [CrossRef]
 - Zhao, X.; Zheng, H.; Zhen, J.; Shu, W.; Yang, S.; Xu, J.; Song, H.; Ma, Y. Multiplex genetic engineering improves endogenous expression of mesophilic alpha-amylase gene in a wild strain Bacillus amyloliquefaciens 205. Int. J. Biol. Macromol. 2020, 165, 609–618. [Google Scholar] [CrossRef] [PubMed]
 - Niu, T.; Lv, X.; Liu, Y.; Li, J.; Du, G.; Ledesma-Amaro, R.; Liu, L. The elucidation of phosphosugar stress response in Bacillus subtilis guides strain engineering for high N-acetylglucosamine production. Biotechnol. Bioeng. 2020, 118, 383–396. [Google Scholar] [CrossRef]
 - Ul Haq, I.; Müller, P.; Brantl, S. Investigation of sRNA-mRNA Interactions in Bacillus subtilis In Vivo. In Bacterial Regulatory RNA; Methods in Molecular Biology; Springer: New York, NY, USA, 2024; pp. 117–144. [Google Scholar]
 






| Signal Peptide | Nucleotide Sequence | Amino Acid Sequence | 
|---|---|---|
| SP-LipA | ATGAAATTTGTGAAACGCAGAATTATTGCGCTGGTGACAATTCTGATGCTGAGCGTGACAAGCCTGTTTGCGCTGCAACCGAGCGCGAAAGCG | MKFVKRRIIALVTILMLSVTSLFALQPSAKA | 
| SP-YncM | ATGGCTAAACCGCTGTCAAAAGGCGGCATTCTGGTTAAAAAAGTTCTGATTGCAGGCGCAGTTGGCACAGCAGTCCTGTTTGGCACGCTGAGTAGCGGCATTCCGGGACTGCCAGCAGCTGATGCG | MAKPLSKGGILVKKVLIAGAVGTAVLFGTLSSGIPGLPAADA | 
| SP-WapA | ATGAAAAAACGCAAACGCAGAAATTTTAAACGCTTTATTGCGGCGTTTCTGGTTCTGGCGCTGATGATTAGCCTGGTTCCGGCGGATGTGCTGGCG | MKKRKRRNFKRFIAAFLVLALMISLVPADVLA | 
| SP-PelB | ATGAAATACCTGCTGCCGACCGCTGCTGCTGGTCTGCTGCTCCTCGCTGCCCAGCCGGCGATGGCC | MKYLLPTAAAGLLLLAAQPAMA | 
| SP-AmyX | ATGGTCAGCATCCGCCGCAGCTTCGAAGCGTATGTCGATGACATGAATATCATTACTGTTCTGATTCCTGCTGAACAAAAGGAAATCATGACACCGCCG | MVSIRRSFEAYVDDMNIITVLIPAEQKEIMTPP | 
| SP-LipA(SP-YncM-N5) | ATGGCTAAACCGCTGCGCAGAATTATTGCGCTGGTGACAATTCTGATGCTGAGCGTGACAAGCCTGTTTGCGCTGCAACCGAGCGCGAAAGCG | MAKPLRRIIALVTILMLSVTSLFALQPSAKA | 
| SP-LipA(SP-YncM-N7) | ATGGCTAAACCGCTGTCAAAAATTATTGCGCTGGTGACAATTCTGATGCTGAGCGTGACAAGCCTGTTTGCGCTGCAACCGAGCGCGAAAGCG | MAKPLSKIIALVTILMLSVTSLFALQPSAKA | 
| SP-YncM(SP-LipA-N5) | ATGAAATTTGTGAAATCAAAAGGCGGCATTCTGGTTAAAAAAGTTCTGATTGCAGGCGCAGTTGGCACAGCAGTCCTGTTTGGCACGCTGAGTAGCGGCATTCCGGGACTGCCAGCAGCTGATGCG | MKFVKSKGGILVKKVLIAGAVGTAVLFGTLSSGIPGLPAADA | 
| SP-YncM(SP-LipA-N7) | ATGAAATTTGTGAAACGCAGAGGCGGCATTCTGGTTAAAAAAGTTCTGATTGCAGGCGCAGTTGGCACAGCAGTCCTGTTTGGCACGCTGAGTAGCGGCATTCCGGGACTGCCAGCAGCTGATGCG | MKFVKRRGGILVKKVLIAGAVGTAVLFGTLSSGIPGLPAADA | 
| SP-AmyX(SP-LipA-N5) | ATGAAATTTGTGAAACGCAGCTTCGAAGCGTATGTCGATGACATGAATATCATTACTGTTCTGATTCCTGCTGAACAAAAGGAAATCATGACACCGCCG | MKFVKRSFEAYVDDMNIITVLIPAEQKEIMTPP | 
| SP-AmyX(SP-LipA-N7) | ATGAAATTTGTGAAACGCAGATTCGAAGCGTATGTCGATGACATGAATATCATTACTGTTCTGATTCCTGCTGAACAAAAGGAAATCATGACACCGCCG | MKFVKRRFEAYVDDMNIITVLIPAEQKEIMTPP | 
Disclaimer/Publisher’s Note: The statements, opinions and data contained in all publications are solely those of the individual author(s) and contributor(s) and not of MDPI and/or the editor(s). MDPI and/or the editor(s) disclaim responsibility for any injury to people or property resulting from any ideas, methods, instructions or products referred to in the content.  | 
© 2024 by the authors. Licensee MDPI, Basel, Switzerland. This article is an open access article distributed under the terms and conditions of the Creative Commons Attribution (CC BY) license (https://creativecommons.org/licenses/by/4.0/).
Share and Cite
Zhang, M.; Zhen, J.; Teng, J.; Zhao, X.; Fu, X.; Song, H.; Zhang, Y.; Zheng, H.; Bai, W. N-Terminal Sequences of Signal Peptides Assuming Critical Roles in Expression of Heterologous Proteins in Bacillus subtilis. Microorganisms 2024, 12, 1275. https://doi.org/10.3390/microorganisms12071275
Zhang M, Zhen J, Teng J, Zhao X, Fu X, Song H, Zhang Y, Zheng H, Bai W. N-Terminal Sequences of Signal Peptides Assuming Critical Roles in Expression of Heterologous Proteins in Bacillus subtilis. Microorganisms. 2024; 12(7):1275. https://doi.org/10.3390/microorganisms12071275
Chicago/Turabian StyleZhang, Meijuan, Jie Zhen, Jia Teng, Xingya Zhao, Xiaoping Fu, Hui Song, Yeni Zhang, Hongchen Zheng, and Wenqin Bai. 2024. "N-Terminal Sequences of Signal Peptides Assuming Critical Roles in Expression of Heterologous Proteins in Bacillus subtilis" Microorganisms 12, no. 7: 1275. https://doi.org/10.3390/microorganisms12071275
APA StyleZhang, M., Zhen, J., Teng, J., Zhao, X., Fu, X., Song, H., Zhang, Y., Zheng, H., & Bai, W. (2024). N-Terminal Sequences of Signal Peptides Assuming Critical Roles in Expression of Heterologous Proteins in Bacillus subtilis. Microorganisms, 12(7), 1275. https://doi.org/10.3390/microorganisms12071275
        
