Involvement of Campylobacter Species in Spotty Liver Disease-like Lesions in Broiler Chickens Detected at Meat Inspections in Miyazaki Prefecture, Japan
Abstract
1. Introduction
2. Materials and Methods
2.1. Sample Collection
2.2. Isolation of Campylobacter Species
2.3. Multiplex PCR for Detection of Campylobacter Species
2.4. Pathological Examination
2.5. ELISA Detection of Serum IgG Antibody Against C. jejuni
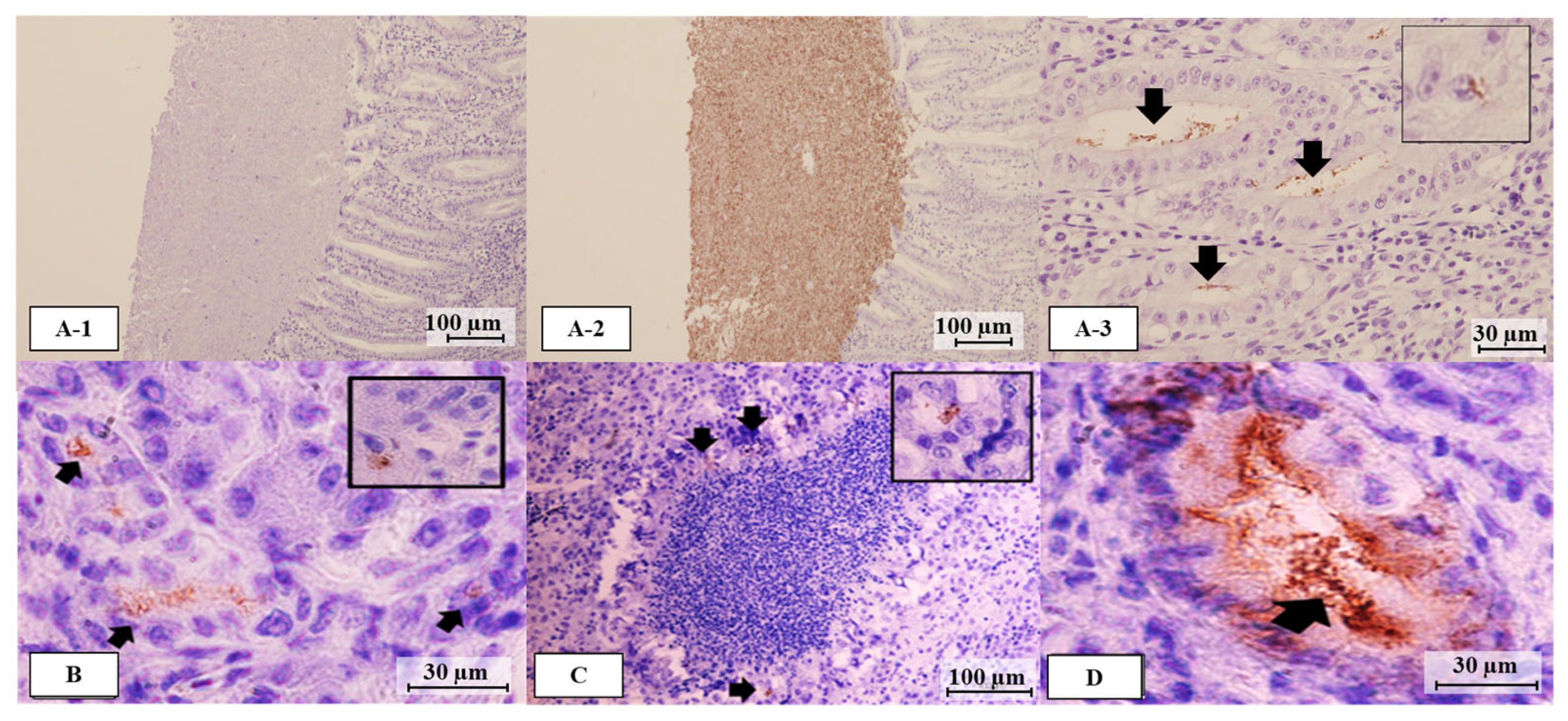
2.6. Immunohistopathological Examination
2.7. Statistical Analysis
3. Results
3.1. Isolation of Campylobacter spp.
3.2. Pathological Observations
3.3. Serum IgG Antibody Against C. jejuni
3.4. Immunohistochemical Examination
4. Discussion
5. Conclusions
Author Contributions
Funding
Data Availability Statement
Acknowledgments
Conflicts of Interest
References
- Black, R.E.; Levine, M.M.; Clements, M.L.; Hughes, T.P.; Blaser, M.J. Experimental Campylobacter jejuni infection in humans. J. Infect. Dis. 1988, 157, 472–479. [Google Scholar] [CrossRef] [PubMed]
 - Harris, N.V.; Weiss, N.S.; Nolan, C.M. The role of poultry and meats in the etiology of Campylobacter jejuni/coli enteritis. Am. J. Public Health 1986, 76, 407–411. [Google Scholar] [CrossRef] [PubMed]
 - Doyle, M.P.; Roman, D.J. Prevalence and survival of Campylobacter jejuni in unpasteurized milk. Appl. Environ. Microbiol. 1982, 44, 1154–1158. [Google Scholar] [CrossRef] [PubMed]
 - Palmer, S.; Gully, P.; White, J.; Pearson, A.; Suckling, W.; Jones, D.; Rawes, J.; Penner, J. Water-borne outbreak of Campylobacter gastroenteritis. Lancet 1983, 321, 287–290. [Google Scholar] [CrossRef]
 - Boyanova, L.; Gergova, G.; Spassova, Z.; Koumanova, R.; Yaneva, P.; Mitov, I.; Derejian, S.; Krastev, Z. Campylobacter infection in 682 Bulgarian patients with acute enterocolitis, inflammatory bowel disease, and other chronic intestinal diseases. Diagn. Microbiol. Infect. Dis. 2004, 49, 71–74. [Google Scholar] [CrossRef]
 - Pigrau, C.; Bartolome, R.; Almirante, B.; Planes, A.M.; Gavalda, J.; Pahissa, A. Bacteremia due to Campylobacter species: Clinical findings and antimicrobial susceptibility patterns. Clin. Infect. Dis. 1997, 25, 1414–1420. [Google Scholar] [CrossRef]
 - Delans, R.J.; Biuso, J.D.; Saba, S.R.; Ramirez, G. Hemolytic uremic syndrome after Campylobacter-induced diarrhea in an adult. Arch. Intern. Med. 1984, 144, 1074–1076. [Google Scholar] [CrossRef]
 - Thomas, K.; Chan, K.N.; Ribeiro, C.D. Campylobacter jejuni/coli meningitis in a neonate. Br. Med. J. 1980, 280, 1301–1302. [Google Scholar] [CrossRef][Green Version]
 - Pacanowski, J.; Lalande, V.; Lacombe, K.; Boudraa, C.; Lesprit, P.; Legrand, P.; Trystram, D.; Kassis, N.; Arlet, G.; Mainardi, J.L.; et al. Campylobacter bacteremia: Clinical features and factors associated with fatal outcome. Clin. Infect. Dis. 2008, 47, 790–796. [Google Scholar] [CrossRef]
 - Allos, B.M. Association between Campylobacter jejuni infection and Guillain-Barré syndrome. J. Infect. Dis. 1997, 176 (Suppl. 2), S125–S128. [Google Scholar] [CrossRef]
 - Newell, D.; Fearnley, C. Sources of Campylobacter colonization in broiler chickens. Appl. Environ. Microbiol. 2003, 69, 4343–4351. [Google Scholar] [CrossRef] [PubMed]
 - Tudor, D.C. A liver degeneration of unknown origin in chickens. J. Am. Vet. Med. Assoc. 1954, 125, 219–220. [Google Scholar] [PubMed]
 - Hofstad, M.; McGehee, E.; Bennett, P. Avian infectious hepatitis. Avian Dis. 1958, 2, 358–364. [Google Scholar] [CrossRef]
 - Sevoian, M.; Winterfield, R.W.; Goldman, C.L. Avian infectious hepatitis. I. Clinical and pathological manifestations. Avian Dis. 1958, 2, 358–364. [Google Scholar] [CrossRef]
 - Whenham, G.R.; Carlson, H.C.; Aksel, A. Avian vibrionic hepatitis in Alberta. Can. Vet. J. 1991, 2, 3–7. [Google Scholar]
 - Gardiner, M.R. Vibrionic hepatitis in fowls. Aust. Vet. J. 1964, 40, 242. [Google Scholar] [CrossRef]
 - Bogdanov, V.G.; Baranik, V.M. Preventive measures against hepatitis caused by vibrios in laying hens. Ptakhivnitstvo. 1975, 20, 71–73. [Google Scholar]
 - Shanker, S.; Lee, A.; Sorrell, T.C. Campylobacter jejuni in broilers: The role of vertical transmission. Epidemiol. Infect. 1986, 96, 153–159. [Google Scholar]
 - Shane, S.M.; Gifford, D.H.; Yogasundram, K. Campylobacter jejuni contamination of eggs. Vet. Res. Commun. 1986, 10, 487–492. [Google Scholar] [CrossRef]
 - Moore, R.W. Studies of an agent causing hepatitis in chickens. Avian Dis. 1958, 2, 39–54. [Google Scholar] [CrossRef]
 - Peckham, M.C. Avian vibrionic hepatitis. Avian Dis. 1958, 2, 348–358. [Google Scholar] [CrossRef]
 - Crawshaw, T.; Young, S. Increased mortality on a free-range layer site. Vet. Rec. 2003, 153, 664. [Google Scholar] [PubMed]
 - Crawshaw, T.; Hunter, S.; Wilkinson, D.A.; Rogers, L.E.; Christensen, N.H.; Midwinter, A.C. Isolation of Campylobacter hepaticus from free-range poultry with spotty liver disease in New Zealand. N. Z. Vet. J. 2021, 69, 58–64. [Google Scholar] [CrossRef] [PubMed]
 - Crawshaw, T.R.; Irvine, R. Spotty liver syndrome in poultry in Great Britain. Vet. Rec. 2012, 170, 317–318. [Google Scholar] [CrossRef]
 - Grimes, T.; Reece, R. Spotty liver disease—An emerging disease in free range egg layers in Australia. In Proceedings of the 60th Western Poultry Disease Conference, Modesto, CA, USA, 20–23 March 2011. [Google Scholar]
 - Gregory, M.; Klein, B.; Sahin, O.; Girgis, G. Isolation and characterization of Campylobacter hepaticus from layer chickens with spotty liver disease in the United States. Avian Dis. 2018, 62, 79–85. [Google Scholar] [CrossRef]
 - Van, T.T.; Elshagmania, E.; Gor, M.C.; Anwar, A.; Scott, P.C.; Moore, R.J. Induction of spotty liver disease in layer hens by infection with Campylobacter hepaticus. Vet. Microbiol. 2017, 199, 85–90. [Google Scholar] [CrossRef]
 - Van, T.T.; Elshagmani, E.; Gor, M.C.; Scott, P.C.; Moore, R.J. Campylobacter hepaticus sp. nov., isolated from chickens with spotty liver disease. Int. J. Syst. Evol. Microbiol. 2016, 66, 4518–4524. [Google Scholar] [CrossRef]
 - Ministry of Agriculture, Forestry and Fisheries. The 97th Statistical Yearbook of the Ministry of Agriculture, Forestry and Fisheries Agency, Fiscal Year 2022. Available online: https://www.maff.go.jp/e/data/stat/97th/index.html#8 (accessed on 30 January 2024).
 - Ministry of Health, Labour and Welfare. Poultry Slaughtering Business Control and Poultry Meat Inspection Act (Tentative Translation) Act No.70. Available online: https://www.japaneselawtranslation.go.jp/en/laws/view/4494/en (accessed on 30 January 2024).
 - Misawa, N.; Kawashima, K.; Kawamoto, H.; Kondo, F. Development of a combined filtration-enrichment culture followed by a one-step duplex PCR technique for the rapid detection of Campylobacter jejuni and C. coli in human faecal samples. J. Med. Microbiol. 2002, 51, 86–89. [Google Scholar] [CrossRef]
 - Stone, G.G.; Oberst, R.D.; Hays, M.P.; McVey, S.; Chengappa, M.M. Detection of Salmonella serovars from clinical samples by enrichment broth cultivation-PCR procedure. J. Clin. Microbiol. 1994, 32, 1742–1749. [Google Scholar] [CrossRef]
 - Linton, D.; Owen, R.J.; Stanley, J. Rapid identification by PCR of the genus Campylobacter and of five Campylobacter species enteropathogenic for man and animals. Res. Microbiol. 1996, 147, 707–718. [Google Scholar] [CrossRef]
 - Wang, G.; Clark, C.G.; Taylor, T.M.; Pucknell, C.; Barton, C.; Price, L.; Woodward, D.L.; Rodgers, F.G. Colony multiplex PCR assay for identification and differentiation of Campylobacter jejuni, C. coli, C. lari, C. upsaliensis, and C. fetus subsp. fetus. J. Clin. Microbiol. 2002, 40, 4744–4747. [Google Scholar] [CrossRef] [PubMed]
 - Linton, D.; Lawson, A.J.; Owen, R.J.; Stanley, J.P. PCR detection, identification to species level, and fingerprinting of Campylobacter jejuni and Campylobacter coli direct from diarrheic samples. J. Clin. Microbiol. 1997, 35, 2568–2572. [Google Scholar] [CrossRef] [PubMed]
 - Van, T.T.; Gor, M.C.; Anwar, A.; Scott, P.C.; Moore, R.J. Campylobacter hepaticus, the cause of spotty liver disease in chickens, is present throughout the small intestine and caeca of infected birds. Vet. Microbiol. 2017, 207, 226–230. [Google Scholar] [CrossRef] [PubMed]
 - Serhan, C.N.; Ward, P.A.; Gilroy, D.W. Fundamentals of Inflammation, 1st ed.; Cambridge University Press: New York, NY, USA, 2010; pp. 1–16. [Google Scholar]
 - Lior, H.; Woodward, D.L.; Edgar, J.A.; Laroche, L.J.; Gill, P. Serotyping of Campylobacter jejuni by slide agglutination based on heat-labile antigenic factors. J. Clin. Microbiol. 1982, 15, 761–768. [Google Scholar] [CrossRef]
 - Penner, J.L.; Hennessy, J. Passive hemagglutination technique for serotyping Campylobacter fetus subsp. jejuni on the basis of soluble heat-stable antigens. J. Clin. Microbiol. 1980, 12, 732–737. [Google Scholar] [CrossRef]
 - Tangkonda, E.; Kubo, M.; Sekiguchi, S.; Shinki, T.; Sasaki, S.; Yamada, K.; Taniguchi, T.; Vetchapitak, T.; Misawa, N. Work-related increases in titer of Campylobacter jejuni antibody among workers at a chicken processing plant in Miyazaki prefecture, Japan, independent of individual ingestion of edible raw chicken meat. J. Vet. Med. Sci. 2021, 83, 1306–1314. [Google Scholar] [CrossRef]
 - Haines, D.M.; Chelack, B.J. Technical considerations for developing enzyme immunohistochemical staining procedures on formalin-fixed paraffin-embedded tissues for diagnostic pathology. J. Vet. Diagn. Investig. 1991, 3, 101–112. [Google Scholar] [CrossRef]
 - Whyte, R.; Hudson, J.A.; Graham, C. Campylobacter in chicken livers and their destruction by pan frying. Lett. Appl. Microbiol. 2006, 43, 591–595. [Google Scholar] [CrossRef]
 - Boukraa, L.; Messier, S.; Robinson, Y. Isolation of Campylobacter from livers of broiler chickens with and without necrotic hepatitis lesions. Avian. Dis. 1991, 35, 714–717. [Google Scholar] [CrossRef]
 - Knudsen, K.N.; Bang, D.D.; Andresen, L.O.; Madsen, M. Campylobacter jejuni strains of human and chicken origin are invasive in chickens after oral challenge. Avian. Dis. 2006, 50, 10–14. [Google Scholar] [CrossRef]
 - Chaloner, G.; Wigley, P.; Humphrey, S.; Kemmett, K.; Lacharme-Lora, L.; Humphrey, T.; Williams, N. Dynamics of dual infection with Campylobacter jejuni strains in chickens reveals distinct strain-to-strain variation in infection ecology. Appl. Environ. Microbiol. 2014, 80, 6366–6372. [Google Scholar] [CrossRef] [PubMed]
 - Lamb-Rosteski, J.M.; Kalischuk, L.D.; Inglis, G.D.; Buret, A.G. Epidermal growth factor inhibits Campylobacter jejuni-induced claudin-4 disruption, loss of epithelial barrier function, and Escherichia coli translocation. Infect. Immun. 2008, 76, 3390–3398. [Google Scholar] [CrossRef] [PubMed]
 - Lanier, W.A.; Hale, K.R.; Geissler, A.L.; Dewey-Mattia, D. Chicken liver–Associated outbreaks of campylobacteriosis and salmonellosis, United States, 2000–2016: Identifying opportunities for prevention. Foodborne Pathog. Dis. 2018, 15, 726–733. [Google Scholar] [CrossRef] [PubMed]
 - Fitzgeorge, R.B.; Baskerville, A.; Lander, K.P. Experimental infection of rhesus monkeys with a human strain of Campylobacter jejuni. Epidemiol. Infect. 1981, 86, 343–351. [Google Scholar]
 - Enokimoto, M.; Kubo, M.; Bozono, Y.; Mieno, Y.; Misawa, N. Enumeration and identification of Campylobacter species in the liver and bile of slaughtered cattle. Int. J. Food Microbiol. 2007, 118, 259–263. [Google Scholar] [CrossRef]
 - Misawa, N.; Ohnishi, T.; Uchida, K.; Nakai, M.; Nasu, T.; Itoh, K.; Takahashi, E. Experimental hepatitis induced by Campylobacter jejuni infection in Japanese quail (Coturnix coturnix japonica). J. Vet. Med. Sci. 1996, 58, 205–210. [Google Scholar] [CrossRef]
 - Yoon, J.G.; Lee, S.N.; Hyun, H.J.; Choi, M.J.; Jeon, J.H.; Jung, E.; Kang, S.; Kim, J.; Noh, J.Y.; Choi, W.S.; et al. Campylobacter jejuni bacteremia in a liver cirrhosis patient and review of literature: A case study. J. Infect. Chemother. 2017, 49, 230. [Google Scholar] [CrossRef]
 - Mandal, R.K.; Jiang, T.; Wideman, R.F., Jr.; Lohrmann, T.; Kwon, Y.M. Microbiota Analysis of Chickens Raised Under Stressed Conditions. Front. Vet. Sci. 2020, 7, 482637. [Google Scholar] [CrossRef]
 - Kiehlbauch, J.A.; Albach, R.A.; Baum, L.L.; Chang, K.P. Phagocytosis of Campylobacter jejuni and its intracellular survival in mononuclear phagocytes. Infect. Immun. 1985, 48, 446–451. [Google Scholar] [CrossRef]
 - De Melo, M.A.; Gabbiani, G.; Pechere, J.C. Cellular events and intracellular survival of Campylobacter jejuni during infection of HEp-2 cells. Infect. Immun. 1989, 57, 2214–2222. [Google Scholar] [CrossRef]
 - Kita, E.; Oku, D.; Hamuro, A.; Nishikawa, F.; Emoto, M.; Yagyu, Y.; Katsui, N.; Kashiba, S. Hepatotoxic activity of Campylobacter jejuni. J. Med. Microbiol. 1990, 33, 171–182. [Google Scholar] [CrossRef] [PubMed]
 - Van, T.T.; Phung, C.; Anwar, A.; Wilson, T.B.; Scott, P.C.; Moore, R.J. Campylobacter bilis, the second novel Campylobacter species isolated from chickens with Spotty Liver Disease, can cause the disease. Vet. Microbiol. 2023, 276, 109603. [Google Scholar] [CrossRef] [PubMed]
 - Sarker, S. Characterization of a novel complete-genome sequence of a galliform Chaphamaparvovirus from a free-range laying chicken clinically diagnosed with spotty liver disease. Microbiol. Resour. Announc. 2022, 11, e0101722. [Google Scholar] [CrossRef] [PubMed]
 - Tahseen, A.A.; Oscar, J.F.; John, B.H. Avian Histopathology, 4th ed.; American Association of Avian Pathologists: Madison, WI, USA, 2016; pp. 355–422. [Google Scholar]
 - Mast, J.; Goddeeris, B. Development of immunocompetence of broiler chickens. Vet. Immunol. Immunopathol. 1999, 70, 245–256. [Google Scholar] [CrossRef]
 




| Species | Liver | Bile | Cecum Content | |||||||||
|---|---|---|---|---|---|---|---|---|---|---|---|---|
| Non-SLD (n = 53) | SLD (n = 66) | Non-SLD (n = 53) | SLD (n = 66) | Non-SLD (n = 33) | SLD (n = 35) | |||||||
| Isolation * | PCR ** | Isolation * | PCR ** | Isolation * | PCR ** | Isolation * | PCR ** | Isolation * | PCR ** | Isolation * | PCR ** | |
| C. jejuni (%)  | 23 (43.4)  | 23 (43.4)  | 27 (40.9)  | 30 (45.5)  | 10 (18.9)  | 17 (32.1)  | 10 (15.2)  | 12 (18.2)  | 12 (36.4)  | 15 (45.5)  | 8 (22.9)  | 10 (28.6) | 
| C. coli (%)  | 1 (1.9)  | 6 (11.3)  | 1 (1.5)  | 2 (3.0)  | 0 (0.0)  | 0 (0.0)  | 0 (0.0)  | 0 (0.0)  | 2 (6.1)  | 4 (12.1) | 0 (0.0)  | 1 (2.9)  | 
| C. hepaticus (%)  | 0 (0.0)  | 0 (0.0)  | 0 (0.0)  | 0 (0.0)  | 0 (0.0)  | 0 (0.0)  | 0 (0.0)  | 0 (0.0)  | 0 (0.0)  | 0 (0.0)  | 0 (0.0)  | 0 (0.0)  | 
| Chicken | Gross Pathological Findings | Hepatitis Stage | Histopathological  Findings  | No. of Liver (%) | C. jejuni | |
|---|---|---|---|---|---|---|
| Isolation (%) | PCR (%) | |||||
| Non-SLD (n = 53)  | None | No hepatitis | None | 19 (35.8) | 0 (0.0) * | 0 (0.0) * | 
| None | Subclinical | Ery, Lym, Het, Mac | 34 (64.2) | 23 (43.4) ** | 23 (43.4) ** | |
| SLD (n = 66)  | Mild-grade SLD | Acute | MNH with Ery, Lym, Het, Mac, FB, FT(±) | 17 (25.8) | 10 (15.2) *** | 10 (15.2) *** | 
| Moderate-grade SLD | Chronic | MNH with Ery, Lym, Het, Mac, FB, FT(+) | 28 (42.4) | 10 (15.2) *** | 11 (16.7) *** | |
| Severe-grade SLD | MNH with Ery, Lym, Het, Mac, FB, FT(++) | 21 (31.8) | 7 (10.6) *** | 9 (13.6) *** | ||
| Liver | Hepatitis Stage | Sample No. | C. jejuni | ELISA(OD429) | Antigen Distribution Area | |||||
|---|---|---|---|---|---|---|---|---|---|---|
| Isolation | PCR | Necrotic Area  | Normal Area  | Hepatocyte | Macrophage | Bile Duct | ||||
| Non- SLD (n = 10)  | No hepatitis (n = 5) | 128L | − | − | 0.1 | − | − | − | − | − | 
| 129L | − | − | 0.2 | − | − | − | − | − | ||
| 125L | − | − | 0.3 | − | − | − | − | − | ||
| 116L | − | − | 0.3 | − | − | − | − | − | ||
| 126L | − | − | 0.4 | − | − | − | − | − | ||
| Subclinical hepatitis (n = 5) | 113L | + | + | 0.9 | − | + | + | − | + | |
| 118L | + | + | 1.2 | − | + | + | + | − | ||
| 132L | + | + | 1.2 | − | ± | ± | + | − | ||
| 97L | + | + | 1.7 | − | + | + | + | − | ||
| 108L | + | + | 2.0 | − | + | ± | + | − | ||
| SLD (n = 10)  | Acute hepatitis (n = 5) | 110L | + | + | 0.8 | + | + | − | + | − | 
| 120L | + | + | 0.9 | − | ± | − | ± | − | ||
| 114L | + | + | 1.2 | + | ± | − | ± | − | ||
| 136L | + | + | 1.2 | − | + | − | + | − | ||
| 98L | + | + | 2.6 | ± | + | ± | ± | − | ||
| Chronic hepatitis (n = 5) | 107L | − | − | 0.4 | − | − | − | − | − | |
| 127L | − | − | 0.6 | − | − | − | − | − | ||
| 138L | − | − | 0.7 | − | − | − | − | − | ||
| 99L | − | + | 1.6 | − | − | − | − | − | ||
| 100L | − | + | 1.7 | − | − | − | − | − | ||
Disclaimer/Publisher’s Note: The statements, opinions and data contained in all publications are solely those of the individual author(s) and contributor(s) and not of MDPI and/or the editor(s). MDPI and/or the editor(s) disclaim responsibility for any injury to people or property resulting from any ideas, methods, instructions or products referred to in the content.  | 
© 2024 by the authors. Licensee MDPI, Basel, Switzerland. This article is an open access article distributed under the terms and conditions of the Creative Commons Attribution (CC BY) license (https://creativecommons.org/licenses/by/4.0/).
Share and Cite
Jiarpinitnun, P.; Iwakiri, A.; Fuke, N.; Pongsawat, P.; Miyanishi, C.; Sasaki, S.; Taniguchi, T.; Matsui, Y.; Luangtongkum, T.; Yamada, K.; et al. Involvement of Campylobacter Species in Spotty Liver Disease-like Lesions in Broiler Chickens Detected at Meat Inspections in Miyazaki Prefecture, Japan. Microorganisms 2024, 12, 2442. https://doi.org/10.3390/microorganisms12122442
Jiarpinitnun P, Iwakiri A, Fuke N, Pongsawat P, Miyanishi C, Sasaki S, Taniguchi T, Matsui Y, Luangtongkum T, Yamada K, et al. Involvement of Campylobacter Species in Spotty Liver Disease-like Lesions in Broiler Chickens Detected at Meat Inspections in Miyazaki Prefecture, Japan. Microorganisms. 2024; 12(12):2442. https://doi.org/10.3390/microorganisms12122442
Chicago/Turabian StyleJiarpinitnun, Piyarat, Akira Iwakiri, Naoyuki Fuke, Pornsawan Pongsawat, Chizuru Miyanishi, Satomi Sasaki, Takako Taniguchi, Yuto Matsui, Taradon Luangtongkum, Kentaro Yamada, and et al. 2024. "Involvement of Campylobacter Species in Spotty Liver Disease-like Lesions in Broiler Chickens Detected at Meat Inspections in Miyazaki Prefecture, Japan" Microorganisms 12, no. 12: 2442. https://doi.org/10.3390/microorganisms12122442
APA StyleJiarpinitnun, P., Iwakiri, A., Fuke, N., Pongsawat, P., Miyanishi, C., Sasaki, S., Taniguchi, T., Matsui, Y., Luangtongkum, T., Yamada, K., & Misawa, N. (2024). Involvement of Campylobacter Species in Spotty Liver Disease-like Lesions in Broiler Chickens Detected at Meat Inspections in Miyazaki Prefecture, Japan. Microorganisms, 12(12), 2442. https://doi.org/10.3390/microorganisms12122442
        
