The Recombinase Polymerase Amplification Test for Strongyloides stercoralis Is More Sensitive than Microscopy and Real-Time PCR in High-Risk Communities of Cusco, Peru
Abstract
1. Introduction
2. Materials and Methods
2.1. Sample Procurement and Processing
2.2. DNA Extraction
2.3. Real-Time PCR for Strongyloides stercoralis
2.4. RPA for Strongyloides stercoralis
2.5. Lateral Flow Detection (RPA-LFA)
2.6. Limit of Detection and Analytic Specificity of PCR and RPA-LFA
2.7. Clinical Sensitivity and Specificity of RPA-LFA
2.8. Data Analysis
2.9. Ethical Statement
3. Results
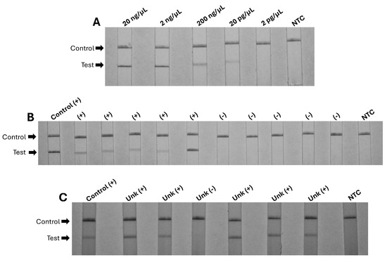
3.1. Analytical Characteristics of Strongyloides Real-Time PCR and RPA
3.2. Testing of Clinical Samples
4. Discussion
Supplementary Materials
Author Contributions
Funding
Institutional Review Board Statement
Informed Consent Statement
Data Availability Statement
Acknowledgments
Conflicts of Interest
References
- Olsen, A.; van Lieshout, L.; Marti, H.; Polderman, T.; Polman, K.; Steinmann, P.; Stothard, R.; Thybo, S.; Verweij, J.J.; Magnussen, P. Strongyloidiasis—The most neglected of the neglected tropical diseases? Trans. R. Soc. Trop. Med. Hyg. 2009, 103, 967–972. [Google Scholar] [CrossRef] [PubMed]
- Castelletto, M.L.; Akimori, D.; Patel, R.; Schroeder, N.E.; Hallem, E.A. Introduction to Strongyloides stercoralis Anatomy. J. Nematol. 2024, 56, 20240019. [Google Scholar] [CrossRef]
- Buonfrate, D.; Bisanzio, D.; Giorli, G.; Odermatt, P.; Fürst, T.; Greenaway, C.; French, M.; Reithinger, R.; Gobbi, F.; Montresor, A.; et al. The Global Prevalence of Strongyloides stercoralis Infection. Pathogens 2020, 9, 468. [Google Scholar] [CrossRef] [PubMed]
- Henriquez-Camacho, C.; Gotuzzo, E.; Echevarria, J.; White, A.C., Jr.; Terashima, A.; Samalvides, F.; Petrez-Molina, J.A.; Plana, M.N. Ivermectin versus albendazole or thiabendazole for Strongyloides stercoralis infection. Cochrane Database Syst. Rev. 2016, 2016, CD007745. [Google Scholar] [CrossRef] [PubMed]
- Bisoffi, Z.; Buonfrate, D.; Montresor, A.; Requena-Méndez, A.; Muñoz, J.; Krolewiecki, A.J.; Gotuzzo, E.; Mena, M.A.; Chiodini, P.L.; Anselmi, M.; et al. Strongyloides stercoralis: A Plea for Action. PLoS Negl. Trop. Dis. 2013, 7, e2214. [Google Scholar] [CrossRef] [PubMed]
- Genta, R.M. Global Prevalence of Strongyloidiasis: Critical Review with Epidemiologic Insights into the Prevention of Disseminated Disease. Clin. Infect. Dis. 1989, 11, 755–767. [Google Scholar] [CrossRef] [PubMed]
- Sato, Y.; Kobayashi, J.; Toma, H.; Shiroma, Y. Efficacy of Stool Examination for Detection of Strongyloides Infection. Am. J. Trop. Med. Hyg. 1995, 53, 248–250. [Google Scholar] [CrossRef]
- Lopez, M.; Morales, M.L.; Konana, M.; Hoyer, P.; Pineda-Reyes, R.; White, A.C.; Garcia, H.H.; Lescano, A.G., Jr.; Gotuzzo, E.; Cabada, M.M. Kato-Katz and Lumbreras rapid sedimentation test to evaluate helminth prevalence in the setting of a school-based deworming program. Pathog. Glob. Health 2016, 110, 130–134. [Google Scholar] [CrossRef]
- Fleitas, P.E.; Travacio, M.; Martí-Soler, H.; Socías, M.E.; Lopez, W.R.; Krolewiecki, A.J. The Strongyloides stercoralis-hookworms association as a path to the estimation of the global burden of strongyloidiasis: A systematic review. PLoS Negl. Trop. Dis. 2020, 14, e0008184. [Google Scholar] [CrossRef]
- Tamarozzi, F.; Martello, E.; Giorli, G.; Fittipaldo, A.; Staffolani, S.; Montresor, A.; Bisoffi, Z.; Buonfratet, D. Morbidity Associated with Chronic Strongyloides stercoralis Infection: A Systematic Review and Meta-Analysis. Am. J. Trop. Med. Hyg. 2019, 100, 1305–1311. [Google Scholar] [CrossRef]
- Gordon, C.A.; Utzinger, J.; Muhi, S.; Becker, S.L.; Keiser, J.; Khieu, V.; Gray, D.J. Strongyloidiasis. Nat. Rev. Dis. Primers 2024, 10, 6. [Google Scholar] [CrossRef] [PubMed]
- Assefa, T.; Woldemichael, T.; Seyoum, T. Evaluation of the modified Baermann’s method in the laboratory diagnosis of Strongyloides stercoralis. Ethiop. Med. J. 1991, 29, 193–198. [Google Scholar] [PubMed]
- Campo Polanco, L.; Gutiérrez, L.A.; Cardona Arias, J. Diagnosis of Strongyloides stercoralis infection: Meta-analysis on evaluation of conventional parasitological methods (1980–2013). Rev. Esp. Salud Publica 2014, 88, 581–600. [Google Scholar] [CrossRef] [PubMed]
- Nieves, E.; Fleitas, P.; Juárez, M.; Almazán, C.; Flores, G.; Alani, J.; Diaz, R.; Martos, J.; Cajal, P.; Cimino, R.; et al. Comparison of parasitological methods for the identification of soil-transmitted helminths, including Strongyloides stercoralis, in a regional reference laboratory in northwestern Argentina: An observational study. Parasite Epidemiol. Control 2024, 26, e00370. [Google Scholar] [CrossRef] [PubMed]
- Gelaye, W.; Williams, N.A.; Kepha, S.; Junior, A.M.; Fleitas, P.E.; Marti-Soler, H.; Damtie, D.; Menkir, S.; Krolewiecki, A.J.; van Lieshout, L.; et al. Performance evaluation of Baermann techniques: The quest for developing a microscopy reference standard for the diagnosis of Strongyloides stercoralis. PLoS Negl. Trop. Dis. 2021, 15, e0009076. [Google Scholar] [CrossRef]
- Kalantari, N.; Chehrazi, M.; Ghaffari, S.; Gorgani-Firouzjaee, T. Serological assays for the diagnosis of Strongyloides stercoralis infection: A systematic review and meta-analysis of diagnostic test accuracy. Trans. R. Soc. Trop. Med. Hyg. 2020, 114, 459–469. [Google Scholar] [CrossRef]
- Luvira, V.; Trakulhun, K.; Mungthin, M.; Naaglor, T.; Chantawat, N.; Pakdee, W.; Phiboonbanakit, D.; Detkumyoy, P. Comparative Diagnosis of Strongyloidiasis in Immunocompromised Patients. Am. Soc. Trop. Med. Hyg. 2016, 95, 401–404. [Google Scholar] [CrossRef]
- Bisoffi, Z.; Buonfrate, D.; Sequi, M.; Mejia, R.; Cimino, R.O.; Krolewiecki, A.J.; Albonico, M.; Gobbo, M.; Bonafini, S.; Angheben, A.; et al. Diagnostic Accuracy of Five Serologic Tests for Strongyloides stercoralis Infection. PLoS Negl. Trop. Dis. 2014, 8, e2640. [Google Scholar] [CrossRef]
- Buonfrate, D.; Requena-Mendez, A.; Angheben, A.; Cinquini, M.; Cruciani, M.; Fittipaldo, A.; Phiboonbanakit, D.; Detkumyoy, P. Accuracy of molecular biology techniques for the diagnosis of Strongyloides stercoralis infection—A systematic review and meta-analysis. PLoS Negl. Trop. Dis. 2018, 12, e0006229. [Google Scholar] [CrossRef]
- Verweij, J.J.; Canales, M.; Polman, K.; Ziem, J.; Brienen, E.A.T.; Polderman, A.M.; van Lieshout, L. Molecular diagnosis of Strongyloides stercoralis in faecal samples using real-time PCR. Trans. R. Soc. Trop. Med. Hyg. 2009, 103, 342–346. [Google Scholar] [CrossRef]
- Hailu, T.; Amor, A.; Nibret, E.; Munshea, A.; Anegagrie, M.; Flores-Chavez, M.D.; Tang, T.-H.T.; Saugar, J.M.; Benito, A. Evaluation of five diagnostic methods for Strongyloides stercoralis infection in Amhara National Regional State, northwest Ethiopia. BMC Infect. Dis. 2022, 22, 297. [Google Scholar] [CrossRef] [PubMed]
- Kristanti, H.; Meyanti, F.; Wijayanti, M.A.; Mahendradhata, Y.; Polman, K.; Chappuis, F.; Utzinger, J.; Becker, S.L.; Murhandarwati, E.E.H. Diagnostic comparison of Baermann funnel, Koga agar plate culture and polymerase chain reaction for detection of human Strongyloides stercoralis infection in Maluku, Indonesia. Parasitol. Res. 2018, 117, 3229–3235. [Google Scholar] [CrossRef] [PubMed]
- Tamarozzi, F.; Guevara, Á.G.; Anselmi, M.; Vicuña, Y.; Prandi, R.; Marquez, M.; Vivero, S.; Huerlo, F.R.; Racines, M.; Mazzi, C.; et al. Accuracy, acceptability, and feasibility of diagnostic tests for the screening of Strongyloides stercoralis in the field (ESTRELLA): A cross-sectional study in Ecuador. Lancet Glob. Health 2023, 11, e740–e748. [Google Scholar] [CrossRef] [PubMed]
- Zou, Y.; Mason, M.G.; Botella, J.R. Evaluation and improvement of isothermal amplification methods for point-of-need plant disease diagnostics. PLoS ONE 2020, 15, e0235216. [Google Scholar] [CrossRef] [PubMed]
- Cabada, M.M.; Malaga, J.L.; Castellanos-Gonzalez, A.; Bagwell, K.A.; Naeger, P.A.; Rogers, H.K.; Maharsi, S.; Mbaka, M.; Whitet, A.C., Jr. Recombinase Polymerase Amplification Compared to Real-Time Polymerase Chain Reaction Test for the Detection of Fasciola hepatica in Human Stool. Am. Soc. Trop. Med. Hyg. 2017, 96, 341–346. [Google Scholar] [CrossRef]
- Crannell, Z.; Castellanos-Gonzalez, A.; Nair, G.; Mejia, R.; White, A.C.; Richards-Kortum, R. Multiplexed Recombinase Polymerase Amplification Assay to Detect Intestinal Protozoa. Anal. Chem. 2016, 88, 1610–1616. [Google Scholar] [CrossRef]
- Morales, M.L.; Lopez, M.; Ly, P.; Anjum, S.; Fernandez-Baca, M.V.; Valdivia-Rodriguez, A.M.; Mamani-Licona, F.M.; Baca-Turpo, B.; Farfan-Gonzales, N.; Chaman-Illanes, Y.; et al. Strongyloides stercoralis Infection at Different Altitudes of the Cusco Region in Peru. Am. J. Trop. Med. Hyg. 2019, 101, 422–427. [Google Scholar] [CrossRef]
- Salazar, S.A.; Gutierrez, C.; Berk, S.L. Value of the agar plate method for the diagnosis of intestinal strongyloidiasis. Diagn. Microbiol. Infect. Dis. 1995, 23, 141–145. [Google Scholar] [CrossRef]
- Moghaddassani, H.; Mirhendi, H.; Hosseini, M.; Rokni, M.; Mowlavi, G.; Kia, E. Molecular Diagnosis of Strongyloides stercoralis Infection by PCR Detection of Specific DNA in Human Stool Samples. Iran. J. Parasitol. 2011, 6, 23–30. [Google Scholar]
- Cabada, M.M.; Morales, M.L.; Webb, C.M.; Yang, L.; Bravenec, C.A.; Lopez, M.; Bascope, R.; White, A.C., Jr.; Gotuzzo, E. Socioeconomic Factors Associated with Fasciola hepatica Infection Among Children from 26 Communities of the Cusco Region of Peru. Am. J. Trop. Med. Hyg. 2018, 99, 1180–1185. [Google Scholar] [CrossRef]
- Prediger, E. Calculations: Converting from Nanograms to Copy Number [Internet]. 2024. Available online: https://www.idtdna.com/pages/education/decoded/article/calculations-converting-from-nanograms-to-copy-number (accessed on 24 September 2024).
- Siddiqui, A.A.; Berk, S.L. Diagnosis of Strongyloides stercoralis Infection. Clin. Infect. Dis. 2001, 33, 1040–1047. [Google Scholar] [CrossRef] [PubMed]
- Nutmantb Human infection with Strongyloides stercoralis and other related Strongyloides species. Parasitology 2017, 144, 263–273. [CrossRef]
- Fernández-Soto, P.; Sánchez-Hernández, A.; Gandasegui, J.; Bajo Santos, C.; López-Abán, J.; Saugar, J.M.; Rodríguez, E.; Vicente, B.; Muro, A. Strong-LAMP: A LAMP Assay for Strongyloides spp. Detection in Stool and Urine Samples. Towards the Diagnosis of Human Strongyloidiasis Starting from a Rodent Model. PLoS Negl. Trop. Dis. 2016, 10, e0004836. [Google Scholar] [CrossRef] [PubMed]
- Crego-Vicente, B.; Febrer-Sendra, B.; Nindia, A.; Pessela, A.; Aixut, S.; Martínez-Campreciós, J.; Mediavilla, A.; Silgado, A.; Sulleiro, E.; Treviño, B.; et al. First field study using Strong-LAMP for diagnosis of strongyloidiasis in Cubal, Angola. Parasites Vectors 2023, 16, 393. [Google Scholar] [CrossRef] [PubMed]
- Piepenburg, O.; Williams, C.H.; Stemple, D.L.; Armes, N.A. DNA Detection Using Recombination Proteins. PLoS Biol. 2006, 4, e204. [Google Scholar] [CrossRef] [PubMed]
- Chankongsin, S.; Wampfler, R.; Ruf, M.T.; Odermatt, P.; Marti, H.; Nickel, B.; Keoluangkhot, V.; Neumayr, A. Strongyloides stercoralis prevalence and diagnostics in Vientiane, Lao People’s Democratic Republic. Infect. Dis. Poverty 2020, 9, 133. [Google Scholar] [CrossRef]
- Knopp, S.; Salim, N.; Schindler, T.; Karagiannis Voules, D.A.; Rothen, J.; Lweno, O.; Mohammed, A.S.; Singo, R.; Benninghoff, M.; Nsojo, A.A.; et al. Diagnostic Accuracy of Kato–Katz, FLOTAC, Baermann, and PCR Methods for the Detection of Light-Intensity Hookworm and Strongyloides stercoralis Infections in Tanzania. Am. Soc. Trop. Med. Hyg. 2014, 90, 535–545. [Google Scholar] [CrossRef]
- Dacal, E.; Saugar, J.M.; Soler, T.; Azcárate, J.M.; Jiménez, M.S.; Merino, F.J.; Rodríguez, E. Parasitological versus molecular diagnosis of strongyloidiasis in serial stool samples: How many? J. Helminthol. 2018, 92, 12–16. [Google Scholar] [CrossRef]
- Repetto, S.A.; Ruybal, P.; Solana, M.E.; López, C.; Berini, C.A.; Alba Soto, C.D.A.; Cappa, S.M.G. Comparison between PCR and larvae visualization methods for diagnosis of Strongyloides stercoralis out of endemic area: A proposed algorithm. Acta Trop. 2016, 157, 169–177. [Google Scholar] [CrossRef]



| Microscopy | Microscopy/PCR | PCR | ||||
|---|---|---|---|---|---|---|
| Positive | Negative | Positive | Negative | Positive | Negative | |
| RPA LF Positive | 48 | 90 | 92 | 46 | 88 | 50 |
| RPA LF Negative | 33 | 129 | 47 | 115 | 26 | 136 |
| Sensitivity * | 59.3 (49.4–68.6) | 66.2 (60–71.9) | 77.2 (70.1–83.3) | |||
| Specificity * | 58.9 (55.2–62.4) | 71.4 (66–76.3) | 73.1 (68.8–76.8) | |||
| Kappa * | 0.149 (0.038–0.254) | 0.376 (0.26–0.482) | 0.483 (37.4–57.8) | |||
| McNemar | <0.001 | 1 | 0.008 | |||
Disclaimer/Publisher’s Note: The statements, opinions and data contained in all publications are solely those of the individual author(s) and contributor(s) and not of MDPI and/or the editor(s). MDPI and/or the editor(s) disclaim responsibility for any injury to people or property resulting from any ideas, methods, instructions or products referred to in the content. |
© 2024 by the authors. Licensee MDPI, Basel, Switzerland. This article is an open access article distributed under the terms and conditions of the Creative Commons Attribution (CC BY) license (https://creativecommons.org/licenses/by/4.0/).
Share and Cite
Malaga, J.L.; Fernandez-Baca, M.V.; Castellanos-Gonzalez, A.; Tanabe, M.B.; Tift, C.; Morales, M.L.; Lopez, M.; Valdivia-Rodriguez, A.; Mamani-Licona, F.; Cabada, M.M. The Recombinase Polymerase Amplification Test for Strongyloides stercoralis Is More Sensitive than Microscopy and Real-Time PCR in High-Risk Communities of Cusco, Peru. Pathogens 2024, 13, 869. https://doi.org/10.3390/pathogens13100869
Malaga JL, Fernandez-Baca MV, Castellanos-Gonzalez A, Tanabe MB, Tift C, Morales ML, Lopez M, Valdivia-Rodriguez A, Mamani-Licona F, Cabada MM. The Recombinase Polymerase Amplification Test for Strongyloides stercoralis Is More Sensitive than Microscopy and Real-Time PCR in High-Risk Communities of Cusco, Peru. Pathogens. 2024; 13(10):869. https://doi.org/10.3390/pathogens13100869
Chicago/Turabian StyleMalaga, Jose L., Martha V. Fernandez-Baca, Alejandro Castellanos-Gonzalez, Melinda B. Tanabe, Clara Tift, Maria Luisa Morales, Martha Lopez, Angela Valdivia-Rodriguez, Frecia Mamani-Licona, and Miguel M. Cabada. 2024. "The Recombinase Polymerase Amplification Test for Strongyloides stercoralis Is More Sensitive than Microscopy and Real-Time PCR in High-Risk Communities of Cusco, Peru" Pathogens 13, no. 10: 869. https://doi.org/10.3390/pathogens13100869
APA StyleMalaga, J. L., Fernandez-Baca, M. V., Castellanos-Gonzalez, A., Tanabe, M. B., Tift, C., Morales, M. L., Lopez, M., Valdivia-Rodriguez, A., Mamani-Licona, F., & Cabada, M. M. (2024). The Recombinase Polymerase Amplification Test for Strongyloides stercoralis Is More Sensitive than Microscopy and Real-Time PCR in High-Risk Communities of Cusco, Peru. Pathogens, 13(10), 869. https://doi.org/10.3390/pathogens13100869

