A Structural Analysis of Host–Parasite Interactions in Achatina fulica (Giant African Snail) Infected with Angiostrongylus cantonensis
Abstract
:1. Introduction
2. Materials and Methods
2.1. Experimental Infection
2.2. Light Microscopy
2.3. Scanning Electron Microscopy (SEM)
3. Results
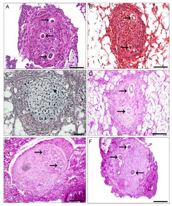
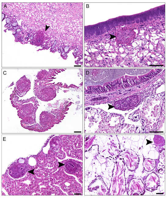
3.1. Histopathology
3.2. Scanning Electron Microscopy and Immunofluorescence
4. Discussion
5. Conclusions
Author Contributions
Funding
Institutional Review Board Statement
Informed Consent Statement
Data Availability Statement
Acknowledgments
Conflicts of Interest
References
- Wang, Q.P.; Wu, Z.-D.; Wei, J.; Owen, R.L.; Lun, Z.-R. Human Angiostrongylus cantonensis: An update. Eur. J. Clin. Microbiol. Infect. Dis. 2012, 31, 389–395. [Google Scholar] [CrossRef] [PubMed]
 - Cowie, R.H. Biology, systematics, life cycle, and distribution of Angiostrongylus cantonensis, the cause of rat lungworm disease. Hawaii J. Med. Public Health 2013, 72, 6–9. [Google Scholar] [PubMed]
 - Carvalho, O.S.; Scholte, R.G.C.; Mendonça, C.L.F.; Passos, L.K.J.; Caldeira, R.L. Angiostrongylus cantonensis (Nematode: Metastrongyloidea) in molluscs from harbour areas in Brazil. Mem. Inst. Oswaldo Cruz 2012, 10, 740–746. [Google Scholar] [CrossRef] [PubMed]
 - Kim, J.R.; Hayes, K.A.; Yeung, W.N.; Cowie, R.H. Diverse Gastropod Hosts of Angiostrongylus cantonensis, the Rat Lungworm, Globally and with a Focus on the Hawaiian Islands. PLoS ONE 2014, 96, 101. [Google Scholar] [CrossRef] [PubMed]
 - Morassutti, A.L.; Thiengo, S.C.; Fernades, M.; Sawanyawisuth, K.; Graeff-Teixeira, C. Eosinophilic meningitis caused by Angiostrongylus cantonensis: An emergent disease in Brazil. Mem. Inst. Oswaldo Cruz 2014, 109, 399–407. [Google Scholar] [CrossRef]
 - Thiengo, S.C.; Fernandez, M.A. Moluscos como intermediários de Angiostrongylus cantonensis em Brasil. In Angiostrongylus cantonensis Emergencia en America; Robles, L.M., Contreras, A.J.D., Eds.; Editorial Academia: Havana, Cuba, 2016; pp. 270–277. [Google Scholar]
 - Turck, H.C.; Fox, M.T.; Cowie, R.H. Paratenic hosts of Angiostrongylus cantonensis and their relation to human neuroangiostrongyliasis globally. One Health 2022, 15, 100426. [Google Scholar] [CrossRef] [PubMed]
 - Wang, Q.P.; Lai, D.H.; Zhu, X.Q.; Chen, X.G.; Lun, Z.R. Human angiostrongyliasis. Lancet Infect. Dis. 2008, 8, 621–630. [Google Scholar] [CrossRef]
 - Guerino, L.R.; Pecora, I.L.; Miranda, M.S.; Aguiar-Silva, C.; Carvalho, O.D.S.; Caldeira, R.L.; Silva, R.J.D. Prevalence and distribution of Angiostrongylus cantonensis (Nematoda, Angiostrongylidae) in Achatina fulica (Mollusca, Gastropoda) in Baixada Santista, São Paulo, Brazil. Rev. Soc. Bras. Med. Trop. 2017, 50, 92–98. [Google Scholar] [CrossRef]
 - Valente, R.; Robles, M.R.; Navone, G.T.; Diaz, J.I. Angiostrongylus spp. in the Americas: Geographical and chronological distribution of definitive hosts versus disease reports. Mem. Inst. Oswaldo Cruz 2018, 113, 143–152. [Google Scholar] [CrossRef]
 - Delgado-Serra, S.; Sola, J.; Negre, N.; Paredes-Esquive, C. Angiostrongylus cantonensis Nematode Invasion Pathway, Mallorca, Spain. Emerg. Infect. Dis. 2022, 28, 1163–1169. [Google Scholar] [CrossRef]
 - Rachford, F.W. Potential intermediate and paratenic hosts for Angiostrongylus cantonensis. J. Parasitol. 1975, 61, 1117–1119. [Google Scholar] [CrossRef] [PubMed]
 - Ash, L.R. Observations on the role of mollusks and planarians in the transmission of Angiostrongylus cantonensis infection to man in New Caledônia. Rev. Biol. Trop. 1976, 24, 163–174. [Google Scholar]
 - Slom, T.J.; Cortese, M.M.; Gerber, S.I.; Jones, R.C.; Holtz, T.H.; Lopez, A.S.; Zambrano, C.H.; Sufit, R.L.; Sakolvaree, Y.; Chaicumpa, W.; et al. An outbreak of eosinophilic meningitis caused by Angiostrongylus cantonensis in travelers returning from the Caribbean. N. Engl. J. Med. 2002, 346, 668–675. [Google Scholar] [CrossRef] [PubMed]
 - Tsai, H.C.; Lee, S.S.; Huang, C.K.; Yen, C.M.; Chen, E.R. Outbreak of eosinophilic meningitis associated with drinking raw vegetable juice in southern Taiwan. Am. J. Trop. Med. Hyg. 2004, 71, 222–226. [Google Scholar] [CrossRef] [PubMed]
 - Caldeira, R.L.; Mendonça, C.L.; Goveia, C.O.; Lenzi, H.L.; Graeff-Teixeira, C.; Lima, W.S.; Mota, E.M.; Pecora, I.L.; Medeiros, A.M.Z.; Carvalho, O.D.S. First record of molluscs naturally infected with Angiostrongylus cantonensis (Chen, 1935)(Nematoda: Metastrongylidae) in Brazil. Mem. Inst. Oswaldo Cruz 2007, 102, 887–889. [Google Scholar] [CrossRef] [PubMed]
 - Cognato, B.B.; Morassutti, A.L.; da Silva, A.C.A.; Graeff-Teixeira, C. First report of Angiostrongylus cantonensis in Porto Alegre, state of Rio Grande do Sul, southern Brazil. Rev. Soc. Bras. Med. Trop. 2013, 46, 664–665. [Google Scholar] [CrossRef]
 - Vitta, A.; Polseela, R.; Nateeworanartb, S.; Tattiyapongc, M. Survey of Angiostrongylus cantonensis in rats and giant African land snails in Phitsanulok province, Thailand. Asian Pac. J. Trop. Med. 2011, 4, 597–599. [Google Scholar] [CrossRef]
 - Alicata, J.E. The presence of Angiostrongylus cantonensis in the islands of the Indian Ocean and probable role of the Giant African snail, Achatina fulica, indispersal of the parasite to the Pacific islands. Can. J. Zool. 1966, 44, 1041–1049. [Google Scholar] [CrossRef]
 - Thiengo, S.C.; Maldonado, A.; Mota, E.M.; Torres, E.J.; Caldeira, R.; Carvalho, O.S.; Oliveira, A.P.; Simões, R.O.; Fernandez, M.A.; Lanfredi, R.M. The giant African snail Achatina fulica as natural intermediate host of Angiostrongylus cantonensis in Pernambuco, northeast Brazil. Acta Trop. 2010, 115, 194–199. [Google Scholar] [CrossRef]
 - Cardoso, C.V.; Vaccas, D.C.; Bondan, E.F.; Martins, M.F.M. Prevalence of Angiostrongylus cantonensis and Angiostrongylus costaricensis in Achatina fulica snails in the municipality of São Bernardo do Campo (SP, Brazil). Arq. Bras. Med. Vet. Zootec. 2020, 72, 273–276. [Google Scholar] [CrossRef]
 - Moreira, V.L.C.; Giese, E.G.; Melo, F.T.V.; Simões, R.O.; Thiengo, S.C.; Maldonado, A., Jr.; Santos, J.N. Endemic Angiostrongyliasis in the Brazilian Amazon. Natural parasitism of Angiostrongylus cantonensis in Rattus rattus and R. norvegicus, and sympatric giant African land snails, Achatina fulica. Acta Trop. 2013, 125, 90–97. [Google Scholar] [CrossRef] [PubMed]
 - Barbosa, T.A.; Thiengo, S.C.; Fernandez, M.A.; Graeff-Teixeira, C.; Morassutti, A.L.; Mourão, F.R.P.; Gomes, S.R. Infection by Angiostrongylus cantonensis in both humans and the snail Achatina (Lissachatina) fulica in the city of Macapá, in the Amazon Region of Brazil. Mem. Inst. Oswaldo Cruz 2020, 115, e200115. [Google Scholar] [CrossRef] [PubMed]
 - Arruda, J.O.; Santos, L. First record of Achatina fulica Bowdich, 1822 (Mollusca, Achatinidae), for the state of Rio Grande do Sul, Brazil. Biotemas 2022, 35, 1–6. [Google Scholar] [CrossRef]
 - Lindo, J.F.; Waugh, C.; Hall, J.; Cunningham-Myrie, C.; Ashley, D.; Eberhard, M.L.; Bishop, H.S.; Robinson, D.G.; Holtz, T.; Robinson, R.D. Enzootic Angiostrongylus cantonensis in rats and snails after an outbreak of human eosinophilic meningitis, Jamaica. Emerg. Infect. Dis. 2002, 8, 324–326. [Google Scholar] [CrossRef] [PubMed]
 - Simões, R.O.; Monteiro, F.A.; Sanchez, E.; Thiengo, S.C.; Garcia, J.S.; Costa-Neto, S.F.; Luque, J.L.; Maldonado Jr, A. Endemic angiostrongyliasis, Rio de Janeiro, Brazil. Emerg. Infect. Dis. 2011, 17, 1331–1333. [Google Scholar] [CrossRef]
 - Thompson, R.A. Parasite zoonoses and wildlife: One health, spillover and human activity. Int. J. Parasitol. 2013, 43, 1079–1088. [Google Scholar] [CrossRef]
 - Blake, D.P.; Betson, M. One Health: Parasites and beyond. Parasitology 2017, 144, 1–6. [Google Scholar] [CrossRef]
 - Bidaisee, S.; Macpherson, C.N. Zoonoses and one health: A review of the literature. J. Parasitol. Res. 2014, 2014, 874345. [Google Scholar] [CrossRef]
 - Valente, R.; Diaz, J.I.; Salomón, O.D.; Navone, G.T. Natural infection of the feline lungworm Aelurostrongylus abstrusus in the invasive snail Achatina fulica from Argentina. Vet. Parasitol. 2017, 235, 17–19. [Google Scholar] [CrossRef]
 - Ramos-de-Souza, J.; Maldonado, A., Jr.; Vilela, R.V.; Andrade-Silva, B.E.; Barbosa, H.S.; Gomes, S.R.; Thiengo, S.C. First report of the nematode Cruzia tentaculata using molluscs as natural intermediate hosts, based on morphology and genetic markers. Int. J. Parasitol. Parasites Wildl. 2021, 15, 105–111. [Google Scholar] [CrossRef]
 - Sauerlãnder, R. Histologische Verãnderungen bei experimentell mit Angiostrongylus vasorum oder Angiostrongylus cantonensis (Nematoda) infizierten Achatsehneeken (Achatina fulica). Z. Parasitenk. 1976, 49, 263–280. [Google Scholar] [CrossRef] [PubMed]
 - Tunholi-Alves, V.M.; Tunholi, V.M.; Amaral, L.S.; Mota, E.M.; Júnior, A.M.; Pinheiro, J.; Garcia, J. Biochemical profile of Achatina fulica (Mollusca: Gastropoda) after infection by different parasitic loads of Angiostrongylus cantonensis (Nematoda, Metastrongylidae). J. Invert. Pathol. 2015, 124, 1–5. [Google Scholar] [CrossRef] [PubMed]
 - Lange, M.K.; Penagos-Tabares, F.; Muñoz-Caro, T.; Gärtner, U.; Mejer, H.; Schaper, R.; Hermosilla, C.; Taubert, A. Gastropod-derived haemocyte extracellular traps entrap metastrongyloid larval stages of Angiostrongylus vasorum, Aelurostrongylus abstrusus and Troglostrongylus brevior. Parasit. Vectors 2017, 10, 50. [Google Scholar] [CrossRef] [PubMed]
 - Coaglio, A.L.; Ferreira, M.A.N.D.; Santos Lima, W.; Jesus Pereira, C.A. Identification of a phenoloxidase-and melanin-dependent defence mechanism in Achatina fulica infected with Angiostrongylus vasorum. Parasit. Vectors 2018, 11, 113. [Google Scholar] [CrossRef] [PubMed]
 - Bessa, E.C.A.; Araújo, J.L.B. Oviposição, tamanho de ovos e medida do comprimento da concha em diferentes fases do desenvolvimento de Subulina octona (Brugüière) (Pulmonata, Subulinidae) em condições de laboratório. Rev. Bras. de Zool. 1995, 12, 647–654. [Google Scholar] [CrossRef]
 - Pan, C.T. Studies on the host-parasite relationship between Schistosoma mansoni and the snail Australorbis glabratus. Am. J. Trop. Med. Hyg. 1965, 14, 931–976. [Google Scholar] [CrossRef] [PubMed]
 - Richards, C.; Merritt, J. Studies on Angiostrongylus cantonensis in molluscan intermediate hosts. J Parasitol. 1967, 5, 382–588. [Google Scholar] [CrossRef]
 - Karuthapandi, M. Studies on hemocytes of Achatina fulica. Ind. J. Multi. Res. 2010, 6, 207–214. [Google Scholar]
 - Loker, E.S.; Bayne, C.J. Molluscan Immnunobiology: Challenges in the Anthropocenic Epoch. In Advances in Comparative Immunology; Cooper, E., Ed.; Springer: Cham, Swizerland, 2018; pp. 343–407. [Google Scholar]
 - Schultz, J.H.; Adema, C.M. Comparative immunogenomics of molluscs. Dev. Comp. Immunol. 2017, 75, 3–15. [Google Scholar] [CrossRef]
 - Tunholi-Alves, V.M.; Tunholi, V.M.; Amaral, L.S.; Garcia, J.S.; Lima, M.G.; DaMatta, R.A.; Pinheiro, J. Alterations in the mitochondrial physiology of Biomphalaria glabrata (Mollusca: Gastropoda) after experimental infection by Angiostrongylus cantonensis (Nematoda: Metastrongylidae). Acta Parasitol. 2019, 64, 693–699. [Google Scholar] [CrossRef]
 - Lima, M.G.; Augusto, R.D.C.; Pinheiro, J.; Thiengo, S.C. Physiology and immunity of the invasive giant African snail, Achatina (Lissachatina) fulica, intermediate host of Angiostrongylus cantonensis. Dev. Comp. Immunol. 2020, 105, 103579. [Google Scholar] [CrossRef] [PubMed]
 - Tunholi-Alves, V.M.; Tunholi, V.M.; Gracia, J.; Mota, E.; Castro, R.; Pontes, E.; Pinheiro, J. Unveiling the oxidative metabolism of Achatina fulica (Mollusca:Gastropoda) experimentally infected to Angiostrongylus cantonensis (Nematoda: Metastrongylidae). Parasitol. Res. 2018, 117, 1773–1781. [Google Scholar] [CrossRef] [PubMed]
 - Brockelman, C.R.; Chusatayanond, W.; Baidikul, V. Growth and localization of Angiostrogylus cantonensis in the molluscan host, Achatina fulica. Southeast Asian J. Trop. Med. Public Health 1976, 7, 30–37. [Google Scholar]
 - Barçante, T.A.; Barçante, J.M.P.; Cardoso, L.; Remedio, R.N.; Lima, W.S. The Chronology of Angiostrongylus vasorum (Baillet, 1866), Kamensky, 1905: Infection in Biomphalaria glabrata (Say, 1818). J. Parasitol Res. 2020, 2020, 4627158. [Google Scholar] [CrossRef] [PubMed]
 - Van Der Pol, E.; Böing, A.N.; Harrison, P.; Sturk, A.; Nieuwland, R. Classification, functions, and clinical relevance of extracellular vesicles. Pharmacol Rev. 2012, 64, 676–705. [Google Scholar] [CrossRef] [PubMed]
 - Ohlweiler, F.P.; Guimarães, M.C.D.A.; Takahashi, F.Y.; Eduardo, J.M. Current distribution of Achatina fulica, in the State of São Paulo including records of Aelurostrongylus abstrusus (Nematoda) larvae infestation. Rev. Inst. Med. Trop. São Paulo 2010, 52, 211–214. [Google Scholar] [CrossRef]
 - Álava, L.F.S.; Pilozo, C.B.; Amador, F.S.; Zerna, J.P.; Guacho, C.C.; Cabrera, F.; Alvarez, H.H.; Rodriguez, M.; Rivero, L.R. Angiostrongylus cantonensis en Achatina fulica en la provincia del Napo, Ecuador y el riesgo incrementado de angiostrongiliasis. Bol. Malariol. y Salud Ambient. 2022, 62, 591–598. [Google Scholar] [CrossRef]
 - Tunholi-Alves, V.M.; Tunholi, V.M.; Castro, R.N.; Sant’Ana, L.; Santos-Amaral, L.; Oliveira, A.P.; Garcia, J.; Thiengo, S.C.; Pinheiro, J.; Maldonado, A., Jr. Activation of anaerobic metabolism in Biomphalaria glabrata (Mollusca: Gastropoda) experimentally infected by Angiostrongylus cantonensis (Nematoda, Metastrongylidae) by high-performance liquid chromatography. Parasitol. Int. 2014, 63, 64–68. [Google Scholar] [CrossRef]
 - Andrade, Z.A.; Grimaud, J.A. Morphology of chronic collagen resorption. (A study on the late stages of schistosomal granuloma involution). Am. J. Pathol. 1988, 132, 389–399. [Google Scholar]
 - Kim, Y.S.; Jo, Y.Y.; Chang, M.; Toida, T.; Parks, Y.; Linhardt, R.J. A new glycosaminoglycans from the Giant African snail Achantina fulica. J. Biol. Chem. 1996, 271, 11750–11755. [Google Scholar] [CrossRef]
 - Mendonça, C.L.G.F.; Carvalho, O.S.; Mota, E.M.; Pelajo-Machado, M.; Caputo, L.F.G.; Lenzi, H.L. Penetration sites and migratory routes of Angiostrongylus costaricensis in the experimental intermediate host (Sarasinula marginata). Mem. Inst. Oswaldo Cruz 1999, 94, 549–556. [Google Scholar] [CrossRef] [PubMed]
 - Harris, K.R.; Cheng, T.C. The encapsulation process in Biomphalaria glabrata experimentally infected with the metastrongylid Angiostrongylus cantonensis: Light microscopy. Int. J. Parasitol. 1975, 5, 521–528. [Google Scholar] [CrossRef] [PubMed]
 - Gillis-Germitsch, N.; Kockmann, T.; Asmis, L.M.; Tritten, L.; Schnyder, M. The Angiostrongylus vasorum excretory/secretory and surface proteome contains putative modulators of the host coagulation. Front. Cell. Infect. Microbiol. 2021, 11, 753320. [Google Scholar] [CrossRef] [PubMed]
 - Lopes-Torres, E.J.; Girard-Dias, W.; De Souza, W.; Miranda, K. On the structural organization of the bacillary band of Trichuris muris under cryopreparation protocols and three-dimensional electron microscopy. J. Struct. Biol. 2020, 212, 107611. [Google Scholar] [CrossRef]
 - Von Litcherenberg, F. Studies on granuloma formation. III. Antigen sequestration and destruction in the schistosome pseudotubercle. Am. J. Parasitol. 1964, 45, 74–93. [Google Scholar]
 - Napoli, E.; Sfacteria, A.; Rifici, C.; Mazzullo, G.; Gaglio, G.; Brianti, E. Reaction of Cornu aspersum Immune System against Different Aelurostrongylus abstrusus Developmental Stages. Pathogens 2023, 12, 542. [Google Scholar] [CrossRef]
 - Conejo, M.E.; Morera, P. Influência de la edad de los veronicelideos en la infección con Angiostrongylus costaricensis. Rev. Biol. Trop. 1988, 36, 519–526. [Google Scholar]
 - Mendonça, C.L.G.F.; Carvalho, O.S.; Lenzi, H.L. Angiostrongylus costaricensis life cycle in the intermediate host Sarasinula marginata Semper, 1885 (Mollusca: Soleolifera). Rev. Soc. Bras. Med. Trop. 2002, 35, 199–200. [Google Scholar] [CrossRef]
 - Hahn, U.K.; Bender, R.C.; Bayne, C.J. Involvement of nitric oxide in killing of Schistosoma mansoni sporocysts by hemocytes from resistant Biomphalaria glabrata. J. Parasitol. 2001, 187, 778–785. [Google Scholar] [CrossRef]
 - Ottaviani, E. Molluscan immunorecognition. Invertebr. Surviv. J. 2006, 3, 50–63. [Google Scholar]
 - Guaraldo, A.M.A.; Magalhães, L.A.; Rangel, H.A.; Pareja, G. Evolução dos esporocistos de Schistosoma. mansoni (Sambon, 1907) em Biomphalaria glabrata (Say, 1818) e Biomphalaria. tenagophila (D’Orbigny, 1835). Rev. Saúde Pública 1981, 15, 436–448. [Google Scholar] [CrossRef] [PubMed]
 




Disclaimer/Publisher’s Note: The statements, opinions and data contained in all publications are solely those of the individual author(s) and contributor(s) and not of MDPI and/or the editor(s). MDPI and/or the editor(s) disclaim responsibility for any injury to people or property resulting from any ideas, methods, instructions or products referred to in the content.  | 
© 2023 by the authors. Licensee MDPI, Basel, Switzerland. This article is an open access article distributed under the terms and conditions of the Creative Commons Attribution (CC BY) license (https://creativecommons.org/licenses/by/4.0/).
Share and Cite
Lopes-Torres, E.J.; de Oliveira Simões, R.; Mota, E.M.; Thiengo, S.C. A Structural Analysis of Host–Parasite Interactions in Achatina fulica (Giant African Snail) Infected with Angiostrongylus cantonensis. Pathogens 2024, 13, 34. https://doi.org/10.3390/pathogens13010034
Lopes-Torres EJ, de Oliveira Simões R, Mota EM, Thiengo SC. A Structural Analysis of Host–Parasite Interactions in Achatina fulica (Giant African Snail) Infected with Angiostrongylus cantonensis. Pathogens. 2024; 13(1):34. https://doi.org/10.3390/pathogens13010034
Chicago/Turabian StyleLopes-Torres, Eduardo J., Raquel de Oliveira Simões, Ester M. Mota, and Silvana Carvalho Thiengo. 2024. "A Structural Analysis of Host–Parasite Interactions in Achatina fulica (Giant African Snail) Infected with Angiostrongylus cantonensis" Pathogens 13, no. 1: 34. https://doi.org/10.3390/pathogens13010034
APA StyleLopes-Torres, E. J., de Oliveira Simões, R., Mota, E. M., & Thiengo, S. C. (2024). A Structural Analysis of Host–Parasite Interactions in Achatina fulica (Giant African Snail) Infected with Angiostrongylus cantonensis. Pathogens, 13(1), 34. https://doi.org/10.3390/pathogens13010034
        
                                                
