Atypical Staphylococcal Septic Arthritis in a Native Hip: A Case Report and Review
Abstract
1. Introduction
2. Materials and Methods
3. Case Presentation
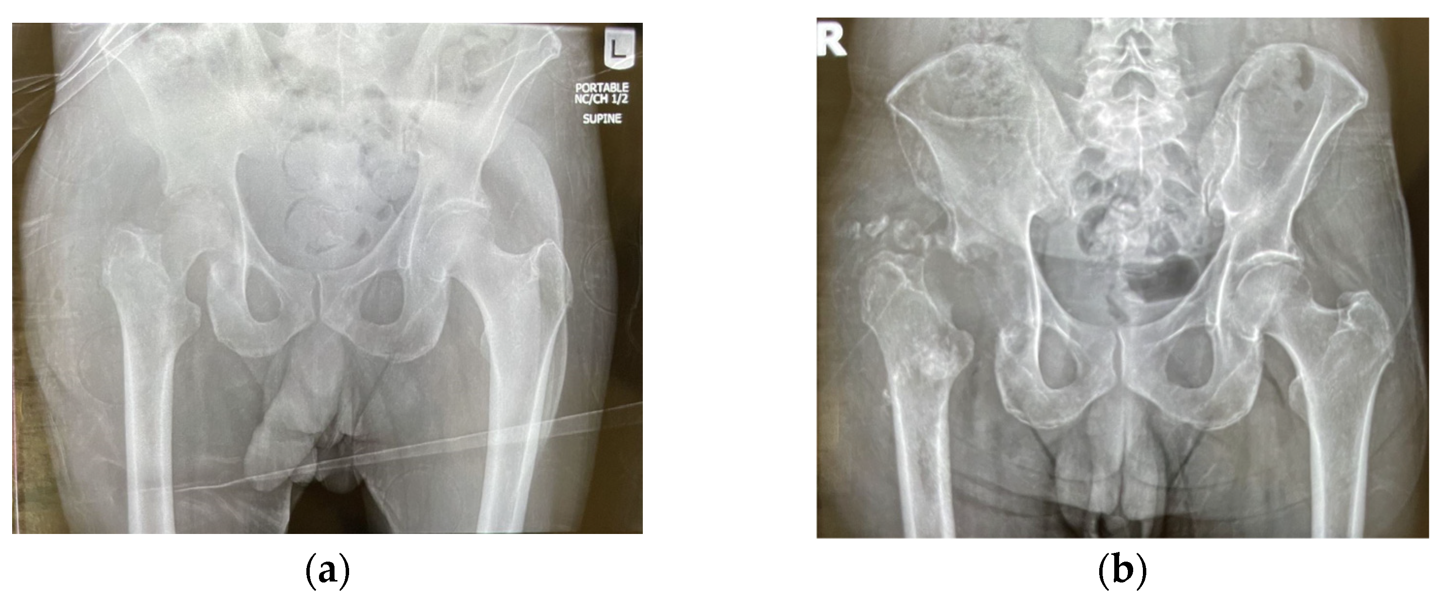
3.1. Case History
3.2. Antimicrobial Susceptibility Testing
4. Discussion
5. Conclusions
Author Contributions
Funding
Institutional Review Board Statement
Informed Consent Statement
Data Availability Statement
Acknowledgments
Conflicts of Interest
References
- Murray, C.J.L.; Ikuta, K.S.; Sharara, F.; Swetschinski, L.; Robles Aguilar, G.; Gray, A.; Han, C.; Bisignano, C.; Rao, P.; Wool, E.; et al. Global burden of bacterial antimicrobial resistance in 2019: A systematic analysis. Lancet 2022, 399, 629–655. [Google Scholar] [CrossRef]
- Kourtis, A.P.; Hatfield, K.; Baggs, J.; Mu, Y.; See, I.; Epson, E.; Nadle, J.; Kainer, M.A.; Dumyati, G.; Petit, S.; et al. Vital Signs: Epidemiology and Recent Trends in Methicillin-Resistant and in Methicillin-Susceptible Staphylococcus aureus Bloodstream Infections—United States. MMWR Morb. Mortal. Wkly. Rep. 2019, 68, 214–219. [Google Scholar] [CrossRef] [PubMed]
- Momodu, I.I.; Savaliya, V. Septic arthritis. In StatPearls; StatPearls Publishing LLC.: Treasure Island, FL, USA, 2022. [Google Scholar]
- Voss, A.; Pfeifer, C.G.; Kerschbaum, M.; Rupp, M.; Angele, P.; Alt, V. Post-operative septic arthritis after arthroscopy: Modern diagnostic and therapeutic concepts. Knee Surg. Sport. Traumatol. Arthrosc. 2021, 29, 3149–3158. [Google Scholar] [CrossRef] [PubMed]
- Elsissy, J.G.; Liu, J.N.; Wilton, P.J.; Nwachuku, I.; Gowd, A.K.; Amin, N.H. Bacterial Septic Arthritis of the Adult Native Knee Joint: A Review. JBJS Rev. 2020, 8, e0059. [Google Scholar] [CrossRef] [PubMed]
- Richebé, P.; Coiffier, G.; Guggenbuhl, P.; Mulleman, D.; Couderc, M.; Dernis, E.; Deprez, V.; Salliot, C.; Urien, S.; Brault, R.; et al. Management and outcome of native joint septic arthritis: A nationwide survey in French rheumatology departments, 2016–2017. Ann. Rheum. Dis. 2022. [Google Scholar] [CrossRef]
- Earwood, J.S.; Walker, T.R.; Sue, G.J.C. Septic Arthritis: Diagnosis and Treatment. Am. Fam. Physician 2021, 104, 589–597. [Google Scholar]
- Kennedy, N.; Chambers, S.T.; Nolan, I.; Gallagher, K.; Werno, A.; Browne, M.; Stamp, L.K. Native Joint Septic Arthritis: Epidemiology, Clinical Features, and Microbiological Causes in a New Zealand Population. J. Rheumatol. 2015, 42, 2392–2397. [Google Scholar] [CrossRef]
- Fattore, J.; Goh, D.S.L.; Al-Hindawi, A.; Andresen, D. Revisiting the important role of magnetic resonance imaging (MRI) in long bone acute osteomyelitis: A case report of methicillin resistant Staphylococcus aureus acute tibial osteomyelitis with conventional radiography, computed tomography, and MRI. Radiol. Case Rep. 2020, 15, 2003–2008. [Google Scholar] [CrossRef]
- Burdorf, B.T. Comparing magnetic resonance imaging and computed tomography machine accessibility among urban and rural county hospitals. J. Public Health Res. 2021, 11. [Google Scholar] [CrossRef]
- Hariharan, P.; Kabrhel, C. Sensitivity of erythrocyte sedimentation rate and C-reactive protein for the exclusion of septic arthritis in emergency department patients. J. Emerg. Med. 2011, 40, 428–431. [Google Scholar] [CrossRef]
- Kocher, M.S.; Zurakowski, D.; Kasser, J.R. Differentiating between septic arthritis and transient synovitis of the hip in children: An evidence-based clinical prediction algorithm. J. Bone Jt. Surg. Am. 1999, 81, 1662–1670. [Google Scholar] [CrossRef]
- Sulovari, A.; Ninomiya, M.J.; Beck, C.A.; Ricciardi, B.F.; Ketonis, C.; Mesfin, A.; Kaplan, N.B.; Soin, S.P.; McDowell, S.M.; Mahmood, B.; et al. Clinical utilization of species-specific immunoassays for identification of Staphylococcus aureus and Streptococcus agalactiae in orthopedic infections. J. Orthop. Res. 2021, 39, 2141–2150. [Google Scholar] [CrossRef]
- Balato, G.; de Matteo, V.; Ascione, T.; de Giovanni, R.; Marano, E.; Rizzo, M.; Mariconda, M. Management of septic arthritis of the hip joint in adults. A systematic review of the literature. BMC Musculoskelet. Disord. 2021, 22 (Suppl. 2), 1006. [Google Scholar] [CrossRef]
- Cipriano, A.; Santos, F.V.; Dias, R.; Carvalho, A.; Reis, E.; Pereira, C.; Santos, A.C.; Sousa, R.; Abreu, M.A. Adult Native Joint Septic Arthritis: A Nine-Year Retrospective Analysis in a Portuguese University Hospital. Acta Med. Port. 2021, 34, 826–832. [Google Scholar] [CrossRef]
- Daynes, J.; Roth, M.F.; Zekaj, M.; Hudson, I.; Pearson, C.; Vaidya, R. Adult Native Septic Arthritis in an Inner City Hospital: Effects on Length of Stay. Orthopedics 2016, 39, e674–e679. [Google Scholar] [CrossRef] [PubMed]
- McBride, S.; Mowbray, J.; Caughey, W.; Wong, E.; Luey, C.; Siddiqui, A.; Alexander, Z.; Playle, V.; Askelund, T.; Hopkins, C.; et al. Epidemiology, Management, and Outcomes of Large and Small Native Joint Septic Arthritis in Adults. Clin. Infect. Dis. 2020, 70, 271–279. [Google Scholar] [CrossRef] [PubMed]
- Hunter, J.G.; Gross, J.M.; Dahl, J.D.; Amsdell, S.L.; Gorczyca, J.T. Risk factors for failure of a single surgical debridement in adults with acute septic arthritis. J. Bone Jt. Surg. Am. 2015, 97, 558–564. [Google Scholar] [CrossRef] [PubMed]
- CLSI. CLSI Supplement M100. Performance Standards for Antimicrobial Susceptibility Testing, 28th ed.; CLSI: Wayne, PA, USA, 2018. [Google Scholar]
- Missiakas, D.M.; Schneewind, O. Growth and laboratory maintenance of Staphylococcus aureus. Curr. Protoc. Microbiol. 2013, 28, 9C.1. [Google Scholar] [CrossRef]
- Kalinka, J.; Hachmeister, M.; Geraci, J.; Sordelli, D.; Hansen, U.; Niemann, S.; Oetermann, S.; Peters, G.; Löffler, B.; Tuchscherr, L. Staphylococcus aureus isolates from chronic osteomyelitis are characterized by high host cell invasion and intracellular adaptation, but still induce inflammation. Int. J. Med. Microbiol. 2014, 304, 1038–1049. [Google Scholar] [CrossRef]
- Trouillet-Assant, S.; Lelièvre, L.; Martins-Simões, P.; Gonzaga, L.; Tasse, J.; Valour, F.; Rasigade, J.P.; Vandenesch, F.; Muniz Guedes, R.L.; Ribeiro de Vasconcelos, A.T.; et al. Adaptive processes of Staphylococcus aureus isolates during the progression from acute to chronic bone and joint infections in patients. Cell Microbiol. 2016, 18, 1405–1414. [Google Scholar] [CrossRef]
- Zhao, J.; Zhang, S.; Zhang, L.; Dong, X.; Li, J.; Wang, Y.; Yao, Y. Serum procalcitonin levels as a diagnostic marker for septic arthritis: A meta-analysis. Am. J. Emerg. Med. 2017, 35, 1166–1171. [Google Scholar] [CrossRef]
- Akdoğan, D.; Güzel, M.; Kuzucu, E.A.; Çalışkan, E.; Kuzucu, Y.; Erdem, G.; Akpınar, O. Diagnostic values of HNP 1-3 and procalcitonin levels in synovial fluid aspirates in the differential diagnosis between septic arthritis and noninfectious arthritis. J. Infect. Chemother. 2021, 27, 1591–1595. [Google Scholar] [CrossRef]
- Kuo, F.C.; Chien, C.C.; Lee, M.S.; Wang, J.W.; Lin, P.C.; Lee, C.H. Rapid diagnosis of periprosthetic joint infection from synovial fluid in blood culture bottles by direct matrix-assisted laser desorption ionization time-of-flight mass spectrometry. PLoS ONE 2020, 15, e0239290. [Google Scholar] [CrossRef]
- Biendo, M.; Mammeri, H.; Pluquet, E.; Guillon, H.; Rousseau, F.; Canarelli, B.; Belmekki, M.; Eb, F. Value of Xpert MRSA/SA blood culture assay on the Gene Xpert ® Dx System for rapid detection of Staphylococcus aureus and coagulase-negative staphylococci in patients with staphylococcal bacteremia. Diagn. Microbiol. Infect. Dis. 2013, 75, 139–143. [Google Scholar] [CrossRef] [PubMed]
- Vemu, L.; Sudhaharan, S.; Mamidi, N.; Chavali, P. Need for appropriate specimen for microbiology diagnosis of chronic osteomyelitis. J. Lab. Physicians 2018, 10, 21–25. [Google Scholar] [CrossRef] [PubMed]
- Coiffier, G.; David, C.; Gauthier, P.; Le Bars, H.; Guggenbuhl, P.; Jolivet-Gougeon, A.; Albert, J.D. Broad-range 16 s rDNA PCR in synovial fluid does not improve the diagnostic performance of septic arthritis in native joints in adults: Cross-sectional single-center study in 95 patients. Clin. Rheumatol. 2019, 38, 1985–1992. [Google Scholar] [CrossRef] [PubMed]
- Labetoulle, R.; Rigaill, J.; Lleres-Vadeboin, M.; Grattard, F.; Pozzetto, B.; Cazorla, C.; Botelho-Nevers, E.; Boyer, B.; Dupieux-Chabert, C.; Laurent, F.; et al. Evaluation of the MRSA/SA ELITe MGB Assay for the Detection of Staphylococcus aureus in Bone and Joint Infections. J. Clin. Microbiol. 2022, 60, e0083521. [Google Scholar] [CrossRef]
- Sigmund, I.K.; Holinka, J.; Sevelda, F.; Staats, K.; Heisinger, S.; Kubista, B.; McNally, M.A.; Windhager, R. Performance of automated multiplex polymerase chain reaction (mPCR) using synovial fluid in the diagnosis of native joint septic arthritis in adults. Bone Jt. J. 2019, 101, 288–296. [Google Scholar] [CrossRef]
- Tarabichi, S.; Goh, G.S.; Zanna, L.; Qadiri, Q.S.; Baker, C.M.; Gehrke, T.; Citak, M.; Parvizi, J. Time to Positivity of Cultures Obtained for Periprosthetic Joint Infection. J. Bone Jt. Surg. Am. 2023, 105, 107–112. [Google Scholar] [CrossRef]
- Morgenstern, C.; Renz, N.; Cabric, S.; Perka, C.; Trampuz, A. Multiplex Polymerase Chain Reaction and Microcalorimetry in Synovial Fluid: Can Pathogen-based Detection Assays Improve the Diagnosis of Septic Arthritis? J. Rheumatol. 2018, 45, 1588–1593. [Google Scholar] [CrossRef]
- Saeed, K.; Ahmad-Saeed, N.; Annett, R.; Barlow, G.; Barrett, L.; Boyd, S.E.; Boran, N.; Davies, P.; Hughes, H.; Jones, G.; et al. A multicentre evaluation and expert recommendations of use of the newly developed BioFire Joint Infection polymerase chain reaction panel. Eur. J. Clin. Microbiol. Infect. Dis. 2023, 42, 169–176. [Google Scholar] [CrossRef]
- Schoenmakers, J.W.A.; de Boer, R.; Gard, L.; Kampinga, G.A.; van Oosten, M.; van Dijl, J.M.; Jutte, P.C.; Wouthuyzen-Bakker, M. First evaluation of a commercial multiplex PCR panel for rapid detection of pathogens associated with acute joint infections. J. Bone Jt. Infect. 2023, 8, 45–50. [Google Scholar] [CrossRef]
- Palmer, M.P.; Melton-Kreft, R.; Nistico, L.; Hiller, N.L.; Kim, L.H.; Altman, G.T.; Altman, D.T.; Sotereanos, N.G.; Hu, F.Z.; De Meo, P.J.; et al. Polymerase Chain Reaction-Electrospray-Time-of-Flight Mass Spectrometry Versus Culture for Bacterial Detection in Septic Arthritis and Osteoarthritis. Genet. Test. Mol. Biomark. 2016, 20, 721–731. [Google Scholar] [CrossRef] [PubMed]
- Nishitani, K.; Beck, C.A.; Rosenberg, A.F.; Kates, S.L.; Schwarz, E.M.; Daiss, J.L. A Diagnostic Serum Antibody Test for Patients with Staphylococcus aureus Osteomyelitis. Clin. Orthop. Relat. Res. 2015, 473, 2735–2749. [Google Scholar] [CrossRef] [PubMed]
- Miller, L.S.; Fowler, V.G.; Shukla, S.K.; Rose, W.E.; Proctor, R.A. Development of a vaccine against Staphylococcus aureus invasive infections: Evidence based on human immunity, genetics and bacterial evasion mechanisms. FEMS Microbiol. Rev. 2020, 44, 123–153. [Google Scholar] [CrossRef] [PubMed]
- Clegg, J.; Soldaini, E.; McLoughlin, R.M.; Rittenhouse, S.; Bagnoli, F.; Phogat, S. Staphylococcus aureus Vaccine Research and Development: The Past, Present and Future, Including Novel Therapeutic Strategies. Front. Immunol. 2021, 12, 705360. [Google Scholar] [CrossRef] [PubMed]
- Teymournejad, O.; Li, Z.; Beesetty, P.; Yang, C.; Montgomery, C.P. Toxin expression during Staphylococcus aureus infection imprints host immunity to inhibit vaccine efficacy. NPJ Vaccines 2023, 8, 3. [Google Scholar] [CrossRef]
- Pan, N.; Liu, Y.; Zhang, H.; Xu, Y.; Bao, X.; Sheng, S.; Liang, Y.; Liu, B.; Lyu, Y.; Li, H.; et al. Oral Vaccination with Engineered Probiotic Limosilactobacillus reuteri Has Protective Effects against Localized and Systemic Staphylococcus aureus Infection. Microbiol. Spectr. 2023, e03673-22. [Google Scholar] [CrossRef]


| Days since Initial Symptoms | CRP (mg/dL) | ESR (mm/hr) |
|---|---|---|
| 5 d (Pre-I&D) | 21 | 104 |
| 35 d (Post-I&D/Pre-Girdlestone) | 4.4 | 135 |
| 82 d (Post-Girdlestone) | 2 | 47 |
| 90 d (Post-Girdlestone) | 4 | 26 |
Disclaimer/Publisher’s Note: The statements, opinions and data contained in all publications are solely those of the individual author(s) and contributor(s) and not of MDPI and/or the editor(s). MDPI and/or the editor(s) disclaim responsibility for any injury to people or property resulting from any ideas, methods, instructions or products referred to in the content. |
© 2023 by the authors. Licensee MDPI, Basel, Switzerland. This article is an open access article distributed under the terms and conditions of the Creative Commons Attribution (CC BY) license (https://creativecommons.org/licenses/by/4.0/).
Share and Cite
Glassman, I.; Nguyen, K.H.; Booth, M.; Minasyan, M.; Cappadona, A.; Venketaraman, V. Atypical Staphylococcal Septic Arthritis in a Native Hip: A Case Report and Review. Pathogens 2023, 12, 408. https://doi.org/10.3390/pathogens12030408
Glassman I, Nguyen KH, Booth M, Minasyan M, Cappadona A, Venketaraman V. Atypical Staphylococcal Septic Arthritis in a Native Hip: A Case Report and Review. Pathogens. 2023; 12(3):408. https://doi.org/10.3390/pathogens12030408
Chicago/Turabian StyleGlassman, Ira, Kevin H. Nguyen, Michelle Booth, Marine Minasyan, Abby Cappadona, and Vishwanath Venketaraman. 2023. "Atypical Staphylococcal Septic Arthritis in a Native Hip: A Case Report and Review" Pathogens 12, no. 3: 408. https://doi.org/10.3390/pathogens12030408
APA StyleGlassman, I., Nguyen, K. H., Booth, M., Minasyan, M., Cappadona, A., & Venketaraman, V. (2023). Atypical Staphylococcal Septic Arthritis in a Native Hip: A Case Report and Review. Pathogens, 12(3), 408. https://doi.org/10.3390/pathogens12030408

