Deglycosylation Differentially Regulates Weaned Porcine Gut Alkaline Phosphatase Isoform Functionality along the Longitudinal Axis
Abstract
1. Introduction
2. Results
2.1. Genomic Identification of Multiple Porcine AP Genes and AP Isoforms in the Porcine Gut
2.2. Biochemical Characterization of the Porcine AP Isoform Activity along the Porcine Intestinal Longitudinal Axis
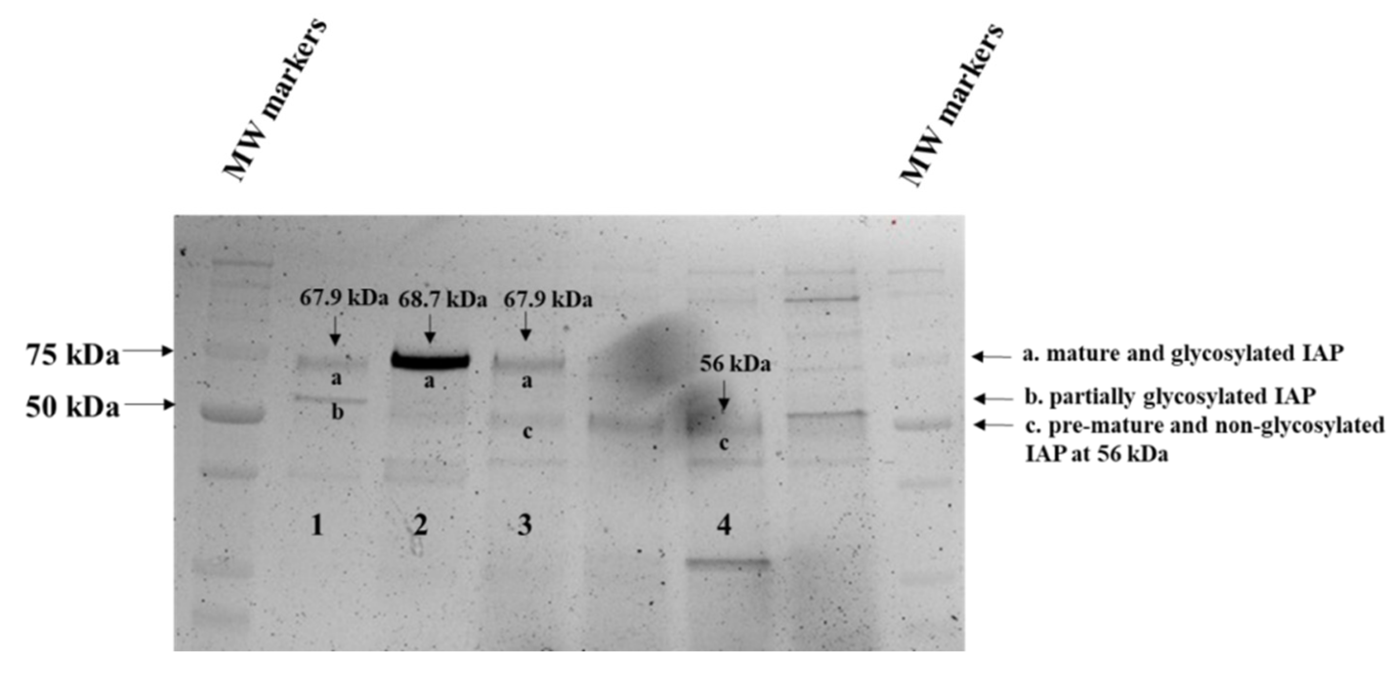
2.3. The Approach-1-Glycosylation and the Weaned Porcine Jejunal IAP Functionality Examined by the Fast Protein-Liquid Chromatograph Purification in Combination with Kinetic Analyses
2.4. The Approach-2-the Role of N-Glycosylation in Modulation of AP Isoform Kinetics along the Weaned Porcine Intestinal Longitudinal Axis
2.5. The Approach-3-Kinetic Characterizing the Impact of Lack of Glycosylation and IAP Functionality in the Recombinant Porcine IAPX1 Isoform Overexpressed in the ClearColiBL21 (DE3)
3. Discussion
4. Materials and Methods
4.1. Animals, Study Diets, Handling and Sample Collections
4.2. The AP Isoform Inhibition Experiments
4.3. The Approach-1-Purification of the Weaned Porcine Jejunal IAP Isoform by FPLC
4.4. The Approach-2-Peptide N-Glycosidase F Treatment of the Porcine Intestinal Homogenates
4.5. The Approach-3-Overexpression of the Recombinant Porcine IAPX1 Isoform in the ClearColi BL21 (DE3)
4.6. Enzyme Activity Assay and Kinetic Experiments
4.7. Thermostability of the Porcine Recombinant AP Isoform IAPX1
4.8. SDS-PAGE for the Porcine Jejunal IAP Isoform Fractions
4.9. Identification of AP Isoform Genes in the Porcine Genome (Sscrofa11.1) and the Prediction of the AP Protein Post-Translational N-Glycosylation Modifications
4.10. Modeling of Porcine AP Isoforms’ N-Glycosylation Sites and Architecture of Catalytic Sites
4.11. Kinetic Calculations and Statistical Analyses
Supplementary Materials
Author Contributions
Funding
Institutional Review Board Statement
Informed Consent Statement
Data Availability Statement
Acknowledgments
Conflicts of Interest
Abbreviations
| AA | amino acids |
| AP | alkaline phosphatases |
| BW | body weight |
| FPLC | fast protein-liquid chromatography |
| L-hArg | L-homoarginine |
| IAP | intestinal-type AP |
| Ic | mean enzyme activity of control group |
| IMAX | maximal magnitude of inhibition in the enzyme activity |
| IMIN | minimal residual enzyme activity |
| Km | enzyme catalytic affinity |
| LPS | lipopolysaccharides |
| MW | molecular weight |
| PAMPs | pathogen-associated-molecular patterns |
| L-Phe | L-phenylalanine |
| PNGase F | peptide N-glycosidase F |
| pNP | p-nitrophenol |
| pNPP | p-nitrophenyl phosphate |
| TC50 | temperature in Celsius (°C) at half of the maximal inhibited AP activity |
| TNAP | tissue-nonspecific AP |
| Vmax | maximal enzyme activity |
References
- VanderWaal, K.; Deen, J. Global trends in infectious diseases of swine. Proc. Natl. Acad. Sci. USA 2018, 115, 11495–11500. [Google Scholar] [CrossRef] [PubMed]
- Sun, H.; Xiao, Y.; Liu, J.; Wang, D.; Li, F.; Wang, C.; Li, C.; Zhu, J.; Song, J.; Sun, H.; et al. Prevalent Eurasian avian-like H1N1 swine influenza virus with 2009 pandemic viral genes facilitating human infection. Proc. Natl. Acad. Sci. USA 2020, 117, 17204–17210. [Google Scholar] [CrossRef] [PubMed]
- Pluske, J.R.; Pethick, D.W.; Hopwood, D.E.; Hampson, D.J. Nutritional influences on some major enteric bacterial diseases of pig. Nutr. Res. Rev. 2002, 15, 333–371. [Google Scholar] [CrossRef] [PubMed]
- Hayhoe, M.A.; Archbold, T.; Wang, Q.; Yang, X.J.; Fan, M.Z. Prebiotics and β-Glucan as gut modifier feed additives in modulation of growth performance, protein utilization status and dry matter and lactose digestibility in weanling pigs. Front. Anim. Sci. 2022, 3, 855846. [Google Scholar] [CrossRef]
- Fan, M.Z.; Chiba, L.I.; Matzat, P.D.; Yang, X.; Yin, Y.L.; Mine, Y.; Stein, H.H. Measuring synthesis rates of nitrogen-containing polymers by using stable isotope tracers. J. Anim. Sci. 2006, 84 (Suppl. S13), E79–E93. [Google Scholar] [CrossRef] [PubMed]
- Lackeyram, D.; Yang, C.; Archbold, T.; Swanson, K.C.; Fan, M.Z. Early Weaning Reduces Small Intestinal Alkaline Phosphatase Expression in Pigs. J. Nutr. 2010, 140, 461–468. [Google Scholar] [CrossRef] [PubMed]
- Fan, M.Z.; Archbold, T. Novel and disruptive biological strategies for resolving gut health challenges in monogastric food animal production. Anim. Nutr. 2015, 1, 138–143. [Google Scholar] [CrossRef]
- Lallès, J.-P. Intestinal alkaline phosphatase: Multiple biological roles in maintenance of intestinal homeostasis and modulation by diet. Nutr. Rev. 2010, 68, 323–332. [Google Scholar] [CrossRef]
- Melo, A.D.B.; Silveira, H.; Luciano, F.B.; Andrade, C.; Costa, L.B.; Rostagno, M.H. Intestinal Alkaline Phosphatase: Potential Roles in Promoting Gut Health in Weanling Piglets and Its Modulation by Feed Additives—A Review. Asian-Australas. J. Anim. Sci. 2016, 29, 16–22. [Google Scholar] [CrossRef]
- Geddes, K.; Philpott, D.J. A New Role for Intestinal Alkaline Phosphatase in Gut Barrier Maintenance. Gastroenterology 2008, 135, 8–12. [Google Scholar] [CrossRef]
- Iebba, V.; Totino, V.; Gagliardi, A.; Santangelo, F.; Cacciotti, F.; Trancassini, M.; Mancini, C.; Cicerone, C.; Corazziari, E.; Pantanella, F.; et al. Eubiosis and dysbiosis: The two sides of the microbiota. New Microbiol. 2016, 39, 1–12. [Google Scholar] [PubMed]
- Bates, J.M.; Akerlund, J.; Mittge, E.; Guillemin, K. Intestinal Alkaline Phosphatase Detoxifies Lipopolysaccharide and Prevents Inflammation in Zebrafish in Response to the Gut Microbiota. Cell Host Microbe 2007, 2, 371–382. [Google Scholar] [CrossRef] [PubMed]
- Malo, M.S.; Alam, S.N.; Mostafa, G.; Zeller, S.J.; Johnson, P.V.; Mohammad, N.; Chen, K.T.; Moss, A.K.; Ramasamy, S.; Faruqui, A.; et al. Intestinal alkaline phosphatase preserves the normal homeostasis of gut microbiota. Gut 2010, 59, 1476–1484. [Google Scholar] [CrossRef]
- Lallès, J.-P. Luminal ATP: The missing link between intestinal alkaline phosphatase, the gut microbiota, and inflammation? Am. J. Physiol. Liver Physiol. 2014, 306, G824–G825. [Google Scholar] [CrossRef] [PubMed]
- Malo, M.S.; Moaven, O.; Muhammad, N.; Biswas, B.; Alam, S.N.; Economopoulos, K.; Gul, S.S.; Hamarneh, S.R.; Malo, N.S.; Teshager, A.; et al. Intestinal alkaline phosphatase promotes gut bacterial growth by reducing the concentration of luminal nucleotide triphosphates. Am. J. Physiol. 2014, 306, G826–G838. [Google Scholar] [CrossRef] [PubMed]
- Kaliannan, K.; Hamarneh, S.R.; Economopoulos, K.P.; Alam, S.N.; Moaven, O.; Patel, P.; Malo, N.S.; Ray, M.; Abtahi, S.M.; Muhammad, N.; et al. Intestinal alkaline phosphatase prevents metabolic syndrome in mice. Proc. Natl. Acad. Sci. USA 2013, 110, 7003–7008. [Google Scholar] [CrossRef] [PubMed]
- Kaliannan, K.; Wang, B.; Li, X.-Y.; Kim, K.-J.; Kang, J.X. A host-microbiome interaction mediates the opposing effects of omega-6 and omega-3 fatty acids on metabolic endotoxemia. Sci. Rep. 2015, 5, 11276. [Google Scholar] [CrossRef]
- Eisenthal, R.; Danson, M.J.; Hough, D.W. Catalytic efficiency and Kcat/Km: A useful comparator? Trends Biotechnol. 2007, 25, 247–249. [Google Scholar] [CrossRef]
- Guo, S.; Al-Sadi, R.; Said, H.M.; Ma, T.Y. Lipopolysaccharide Causes an Increase in Intestinal Tight Junction Permeability In Vitro and In Vivo by Inducing Enterocyte Membrane Expression and Localization of TLR-4 and CD14. Am. J. Pathol. 2013, 182, 375–387. [Google Scholar] [CrossRef]
- Traut, T.W. Physiological concentrations of purines and pyrimidines. Mol. Cell Biochem. 1994, 140, 1–22. [Google Scholar] [CrossRef]
- Kiffer-Moreira, T.; Sheen, C.R.; Gasque, K.C.D.S.; Bolean, M.; Ciancaglini, P.; van Elsas, A.; Hoylaerts, M.F.; Millán, J.L. Catalytic Signature of a Heat-Stable, Chimeric Human Alkaline Phosphatase with Therapeutic Potential. PLoS ONE 2014, 9, e89374. [Google Scholar] [CrossRef] [PubMed]
- Burello, N.; Zhang, H.; Wang, W.; Archbold, T.; Tsao, R.; Fan, M.Z. Comparative characterization of intestinal alkaline phosphatase kinetics in young piglets and human Caco-2 cells. J. Anim. Sci. 2019, 97 (Suppl. S3), 282–283. [Google Scholar] [CrossRef]
- Millán, J.L. Alkaline phosphatases: Structure, substrate specificity and functional relatedness to other members of a large superfamily of enzymes. Purinergic Signal 2006, 2, 335–341. [Google Scholar] [CrossRef] [PubMed]
- Millán, J.L. Mammalian Alkaline Phosphatases: From Biology to Applications in Medicine and Biotechnology; John Wiley & Sons: Hoboken, NJ, USA, 2006. [Google Scholar]
- Manes, T.; Hoylaerts, M.F.; Müller, R.; Lottspeich, F.; Hölke, W.; Millán, J.L. Genetic Complexity, Structure, and Characterization of Highly Active Bovine Intestinal Alkaline Phosphatases. J. Biol. Chem. 1998, 273, 23353–23360. [Google Scholar] [CrossRef] [PubMed]
- Le Du, M.H.; Stigbrand, T.; Taussig, M.J.; Ménez, A.; Stura, E. Crystal Structure of Alkaline Phosphatase from Human Placenta at 1.8 Å Resolution: Implication for substrate specificity. J. Biol. Chem. 2001, 276, 9158–9165. [Google Scholar] [CrossRef] [PubMed]
- Le Du, M.-H.; Millán, J.L. Structural Evidence of Functional Divergence in Human Alkaline Phosphatases. J. Biol. Chem. 2002, 277, 49808–49814. [Google Scholar] [CrossRef]
- Sharp, C.A.; Linder, C.; Magnusson, P. Analysis of human bone alkaline phosphatase isoforms: Comparison of isoelectric focusing and ion-exchange high-performance liquid chromatography. Clin. Chim. Acta 2007, 379, 105–112. [Google Scholar] [CrossRef]
- Kukuruzinska, M.; Lennon, K. Protein N-Glycosylation: Molecular Genetics and Functional Significance. Crit. Rev. Oral Biol. Med. 1998, 9, 415–448. [Google Scholar] [CrossRef]
- Reily, C.; Stewart, T.J.; Renfrow, M.B.; Novak, J. Glycosylation in health and disease. Nat. Rev. Nephrol. 2019, 15, 346–366. [Google Scholar] [CrossRef]
- Nosjean, O.; Koyama, I.; Goseki, M.; Roux, B.; Komoda, T. Human tissue non-specific alkaline phosphatases: Sugar-moiety-induced enzymic and antigenic modulations and genetic aspects. Biochem. J. 1997, 321, 297–303. [Google Scholar] [CrossRef]
- Linder, C.H.; Narisawa, S.; Millán, J.L.; Magnusson, P. Glycosylation differences contribute to distinct catalytic properties among bone alkaline phosphatase isoforms. Bone 2009, 45, 987–993. [Google Scholar] [CrossRef] [PubMed]
- Komaru, K.; Satou, Y.; Al-Shawafi, H.A.; Numa-Kinjoh, N.; Sohda, M.; Oda, K. Glycosylation-deficient mutations in tissue-nonspecific alkaline phosphatase impair its structure and function and are linked to infantile hypophosphatasia. FEBS J. 2016, 283, 1168–1179. [Google Scholar] [CrossRef] [PubMed]
- Bublitz, R.; Hoppe, H.; Cumme, G.A.; Thiele, M.; Attey, A.; Horn, A. Structural study on the carbohydrate moiety of calf intestinal alkaline phosphatase. J. Mass Spectrom. 2001, 36, 960–972. [Google Scholar] [CrossRef] [PubMed]
- López-Posadas, R.; González, R.; Ballester, I.; Martínez-Moya, P.; Romero-Calvo, I.; Suárez, M.D.; Zarzuelo, A.; Martínez-Augustin, O.; de Medina, F.S. Tissue-nonspecific alkaline phosphatase is activated in enterocytes by oxidative stress via changes in glycosylation. Inflamm. Bowel Dis. 2011, 17, 543–556. [Google Scholar] [CrossRef]
- Forsberg, C.W.; Meidinger, R.G.; Murray, D.; Keirstead, N.D.; Hayes, M.A.; Fan, M.Z.; Ganeshapillai, J.; Monteiro, M.A.; Golovan, S.P.; Phillips, J.P. Phytase properties and locations in tissues of transgenic pigs secreting phytase in the saliva. J. Anim. Sci. 2014, 92, 3375–3387. [Google Scholar] [CrossRef]
- Goldberg, R.F.; Austen, W.G.; Zhang, X.; Munene, G.; Mostafa, G.; Biswas, S.; McCormack, M.; Eberlin, K.R.; Nguyen, J.T.; Tatlidede, H.S.; et al. Intestinal alkaline phosphatase is a gut mucosal defense factor maintained by enteral nutrition. Proc. Natl. Acad. Sci. USA 2008, 105, 3551–3556. [Google Scholar] [CrossRef]
- Stoll, B.; Chang, X.; Fan, M.Z.; Reeds, P.J.; Burrin, D.G. Enteral nutrient intake level determines intestinal protein synthesis and accretion rates in neonatal pigs. Am. J. Physiol. Gastrointest. Liver Physiol. 2000, 279, G288–G294. [Google Scholar] [CrossRef]
- Kim, C.J.; Kovacs-Nolan, J.A.; Yang, C.; Archbold, T.; Fan, M.Z.; Mine, Y. l-Tryptophan exhibits therapeutic function in a porcine model of dextran sodium sulfate (DSS)-induced colitis. J. Nutr. Biochem. 2010, 21, 468–475. [Google Scholar] [CrossRef]
- Dell, A.; Galadari, A.; Sastre, F.; Hitchen, P. Similarities and Differences in the Glycosylation Mechanisms in Prokaryotes and Eukaryotes. Int. J. Microbiol. 2010, 2010, 148178. [Google Scholar] [CrossRef]
- Mamat, U.; Wilke, K.; Bramhill, D.; Schromm, A.B.; Lindner, B.; Kohl, T.A.; Corchero, J.L.; Villaverde, A.; Schaffer, L.; Head, S.R.; et al. Detoxifying Escherichia coli for endotoxin-free production of recombinant proteins. Microb. Cell Factories 2015, 14, 57. [Google Scholar] [CrossRef]
- Hassan, H.; Badr, A.; Abdelhalim, M.B. Prediction of O-glycosylation Sites Using Random Forest and GA-Tuned PSO Technique. Bioinform. Biol. Insights 2015, 9, 103–109. [Google Scholar] [CrossRef] [PubMed]
- Taherzadeh, G.; Dehzangi, A.; Golchin, M.; Zhou, Y.; Campbell, M.P. SPRINT-Gly: Predicting N- and O-linked glycosylation sites of human and mouse proteins by using sequence and predicted structural properties. Bioinformatics 2019, 35, 4140–4146. [Google Scholar] [CrossRef] [PubMed]
- Cyboron, G.; Wuthier, R. Purification and initial characterization of intrinsic membrane-bound alkaline phosphatase from chicken epiphyseal cartilage. J. Biol. Chem. 1981, 256, 7262–7268. [Google Scholar] [CrossRef] [PubMed]
- Baoudene-Assali, F.; Baratti, J.; Michel, G.P.F. Purification and properties of a phosphate-irrepressible membrane-bound alkaline phosphatase from Zymomonas mobilis. J. Gen. Microbiol. 1993, 139, 229–235. [Google Scholar] [CrossRef]
- Upadhyay, L.S.B.; Verma, N. A three step approach for the purification of alkaline phosphatase from non-pasteurized milk. J. Food Sci. Technol. 2015, 52, 3140–3146. [Google Scholar] [CrossRef]
- Seah, S.Y.K.; Ke, J.; Denis, G.; Horsman, G.P.; Fortin, P.D.; Whiting, C.J.; Eltis, L.D. Characterization of a C—C Bond Hydrolase from Sphingomonas wittichii RW1 with Novel Specificities towards Polychlorinated Biphenyl Metabolites. J. Bacteriol. 2007, 189, 4038–4045. [Google Scholar] [CrossRef]
- Varki, A. Biological roles of glycans. Glycobiology 2017, 27, 3–49. [Google Scholar] [CrossRef]
- Helenius, A.; Aebi, M. Intracellular Functions of N-Linked Glycans. Science 2001, 291, 2364–2369. [Google Scholar] [CrossRef]
- Molinari, M. N-glycan structure dictates extension of protein folding or onset of disposal. Nat. Chem. Biol. 2007, 3, 313–320. [Google Scholar] [CrossRef]
- Skropeta, D. The effect of individual N-glycans on enzyme activity. Bioorg. Med. Chem. 2009, 17, 2645–2653. [Google Scholar] [CrossRef]
- Goto, Y.; Obata, T.; Kunisawa, J.; Sato, S.; Ivanov, I.I.; Lamichhane, A.; Takeyama, N.; Kamioka, M.; Sakamoto, M.; Matsuki, T.; et al. Innate lymphoid cells regulate intestinal epithelial cell glycosylation. Science 2014, 345, 1254009. [Google Scholar] [CrossRef] [PubMed]
- Lallès, J.-P. Recent advances in intestinal alkaline phosphatase, inflammation, and nutrition. Nutr. Rev. 2019, 77, 710–724. [Google Scholar] [CrossRef] [PubMed]
- Fan, M.Z.; Adeola, O.; Asem, E.K. Characterization of brush border membrane-bound alkaline phosphatase activity in different segments of the porcine small intestine. J. Nutr. Biochem. 1999, 10, 299–305. [Google Scholar] [CrossRef] [PubMed]
- Malo, M.S. A High Level of Intestinal Alkaline Phosphatase Is Protective Against Type 2 Diabetes Mellitus Irrespective of Obesity. Ebiomedicine 2015, 2, 2016–2023. [Google Scholar] [CrossRef] [PubMed]
- Lenoir, D.; Ruggiero-Lopez, D.; Louisot, P.; Biol, M.-C. Developmental changes in intestinal glycosylation: Nutrition-dependent multi-factor regulation of the fucosylation pathway at weaning time. Biochim. Biophys. Acta 1995, 1234, 29–36. [Google Scholar] [CrossRef]
- Cayuela, M.F. Microbial modulation of host intestinal glycosylation patterns. Microb. Ecol. Health Dis. 2000, 12, 165–178. [Google Scholar] [CrossRef]
- Tarentino, A.L.; Plummer, T.H., Jr. Enzymatic deglycosylation of asparagine-linked glycans: Purification, properties, and specificity of oligosaccharide-cleaving enzymes from Flavobacterium meningosepticum. Methods Enzymol. 1994, 230, 44–57. [Google Scholar] [CrossRef]
- Zheng, J.; Yuan, X.; Cheng, G.; Jiao, S.; Feng, C.; Zhao, X.; Yin, H.; Du, Y.; Liu, H. Chitosan oligosaccharides improve the disturbance in glucose metabolism and reverse the dysbiosis of gut microbiota in diabetic mice. Carbohydr. Polym. 2018, 190, 77–86. [Google Scholar] [CrossRef]
- Alessandri, G.; Milani, C.; Duranti, S.; Mancabelli, L.; Ranjanoro, T.; Modica, S.; Carnevali, L.; Statello, R.; Bottacini, F.; Turroni, F.; et al. Ability of bifidobacteria to metabolize chitin-glucan and its impact on the gut microbiota. Sci. Rep. 2019, 9, 5755. [Google Scholar] [CrossRef]
- Guan, G.; Azad, M.A.K.; Lin, Y.; Kim, S.W.; Tian, Y.; Liu, G.; Wang, H. Biological Effects and Applications of Chitosan and Chito-Oligosaccharides. Front. Physiol. 2019, 10, 516. [Google Scholar] [CrossRef]
- Ohtsubo, K.; Marth, J.D. Glycosylation in Cellular Mechanisms of Health and Disease. Cell 2006, 126, 855–867. [Google Scholar] [CrossRef] [PubMed]
- Sharma, U.; Pal, D.; Prasad, R. Alkaline Phosphatase: An Overview. Indian J. Clin. Biochem. 2014, 29, 269–278. [Google Scholar] [CrossRef] [PubMed]
- Komoda, T.; Sakagishi, Y. The function of carbohydrate moiety and alteration of carbohydrate composition in human alkaline phosphatase isoenzymes. Biochim. Biophys. Acta 1978, 523, 395–406. [Google Scholar] [CrossRef] [PubMed]
- Harris, H. The Harvey Lectures; Series 76; Academic: Cambridge, MA, USA, 1986; pp. 95–123. [Google Scholar]
- Moss, D.W. Perspectives in Alkaline Phosphatase Research. Clin. Chem. 1992, 38, 2486–2492. [Google Scholar] [CrossRef] [PubMed]
- Eider, J.H.; Alexander, S. Endo-ß-N-acetylglucosaminidase F: Endoglycosidase from Flavobacterium meningosepticum that cleaves both high mannose and complex glycoproteins. Proc. Natl. Acad. Sci. USA 1982, 79, 4540–4544. [Google Scholar]
- Puri, A.; Neelamegham, S. Understanding Glycomechanics Using Mathematical Modeling: A Review of Current Approaches to Simulate Cellular Glycosylation Reaction Networks. Ann. Biomed. Eng. 2012, 40, 816–827. [Google Scholar] [CrossRef]
- Fisher, P.; Thomas-Oates, J.; Wood, A.J.; Ungar, D. The N-Glycosylation Processing Potential of the Mammalian Golgi Apparatus. Front. Cell Dev. Biol. 2019, 7, 157. [Google Scholar] [CrossRef]
- Kotidis, P.; Kontoravdi, C. Harnessing the potential of artificial neural networks for predicting protein glycosylation. Metab. Eng. Commun. 2020, 10, e00131. [Google Scholar] [CrossRef]
- Zhao, M.; Xiong, X.; Ren, K.; Xu, B.; Cheng, M.; Sahu, C.; Wu, K.; Nie, Y.; Huang, Z.; Blumberg, R.S.; et al. Deficiency in intestinal epithelial O-GlcNAcylation predisposes to gut inflammation. EMBO Mol. Med. 2018, 10, e8736. [Google Scholar] [CrossRef]
- Gething, M.-J. Protein folding. The difference with prokaryotes. Nature 1997, 388, 329–331. [Google Scholar] [CrossRef]
- Netzer, W.J.; Hartl, F.U. Recombination of protein domains facilitated by co-translational folding in eukaryotes. Nature 1997, 388, 343–349. [Google Scholar] [CrossRef]
- Gilbert, C.; Cooney, G. Thermostability of feed enzymes and their practical application in the feed mill. In Enzymes in Farm Animal Nutrition; CAB International: Oxfordshire, UK, 2010; pp. 249–259. [Google Scholar] [CrossRef]
- Murphy, J.E.; Kantrowitz, E.R. Why are mammalian alkaline phosphatases much more active than bacterial alkaline phosphatases? Mol. Microbiol. 1994, 12, 351–357. [Google Scholar] [CrossRef]
- Martinez, M.B.; Schendel, F.J.; Flickinger, M.C.; Nelsestuen, G.L. Kinetic properties of enzyme populations in vivo: Alkaline phosphatase of the Escherichia coli periplasm. Biochemistry 1992, 31, 11500–11509. [Google Scholar] [CrossRef] [PubMed]
- Canadian Council on Animal Care (CCAC). Guide to the Care and Use of Experimental Animals; Canadian Council on Animal Care: Ottawa, ON, Canada, 1993. [Google Scholar]
- National Research Council (NRC). Nutrient Requirements of Swine, 11th ed.; National Academies Press: Washington, DC, USA, 2012. [Google Scholar]
- Fan, M.Z.; Adeola, O.; Asem, E.K. Estimation of apparent L-amino acid diffusion in porcine jejunal enterocyte brush border membrane vesicles. Physiol. Res. 2001, 50, 373–381. [Google Scholar]
- Schäffer, C.; Messner, P. Emerging facets of prokaryotic glycosylation. FEMS Microbiol. Rev. 2017, 41, 49–91. [Google Scholar] [CrossRef] [PubMed]
- Wang, W.; Archbold, T.; Lam, J.S.; Kimber, M.S.; Fan, M.Z. A processive endoglucanase with multi-substrate specificity is characterized from porcine gut microbiota. Sci. Rep. 2019, 9, 13630. [Google Scholar] [CrossRef]
- Arnold, K.; Bordoli, L.; Kopp, J.; Schwede, T. The SWISS-MODEL workspace: A web-based environment for protein structure homology modelling. Bioinformatics 2006, 22, 195–201. [Google Scholar] [CrossRef] [PubMed]
- Tsang, R.; Ao, Z.; Cheeseman, C. Influence of vascular and luminal hexoses on rat intestinal basolateral glucose transport. Can. J. Physiol. Pharmacol. 1994, 72, 317–326. [Google Scholar] [CrossRef] [PubMed]
- Byrkit, D.R. Statistics Today a Comprehensive Introduction; Byrkit, D.R., Ed.; Benjamin/Cummings Publishing Company Inc.: San Francisco, CA, USA, 1987; pp. 1–89. [Google Scholar]









| Isoform 1 | NCBI Protein Accession Code | Predicted Signal Peptide Motif | Predicted GPI-Anchoring Site | N-Glycosylation Sites | Pre-Mature AP MW 2 |
|---|---|---|---|---|---|
| IAPX1 | XP_003133773.1 | 1-19 | C-30 | N141 | 52.7 kDa |
| IAPX2 | XP_020930975.1 | 1-19 | C-31 | N141 | 52.8 kDa |
| IAPX3 | XP_003133777.1 | 1-19 | C-31 | N141, N421 | 52.8 kDa |
| TNAPX1 | XP_020953340.1 | No | C-26 | N279, N320, N352, N479 | 60.8 kDa |
| TNAPX2 | XP_020953343.1 | 1-17 | C-26 | N230, N271, N303, N430 | 53.3 kDa |
| IAP Fraction 1 | Km, µmol/L | Vmax, nmol/(mg protein·min) |
|---|---|---|
| Fraction-1-IAP | 22.28 ± 5.32 a | 89.26 ± 3.98 a |
| Fraction-2-IAP | 53.12 ± 8.47 b | 56.75 ± 2.28 b |
| Fraction-3-IAP | 327.0 ± 27.20 c | 349.1 ± 13.00 c |
| Fraction-4-IAP | 233.7 ± 21.30 d | 131.2 ± 4.80 d |
| Item | Untreated 1 | No Enzyme | PNGase F | SEM 2 | p Values |
|---|---|---|---|---|---|
| Jejunum | |||||
| Km, µmol/L | 25.47 | 29.55 | 29.21 | 4.75 | 0.7985 |
| Vmax, nmol/(mg protein·min) | 27.74 a | 43.26 b | 12.05 c | 4.04 | 0.0001 |
| Ileum | |||||
| Km, µmol/L | 24.67 | 32.96 | 20.59 | 3.95 | 0.1035 |
| Vmax, nmol/(mg protein·min) | 21.26 a | 39.30 b | 11.73 ac | 2.81 | <0.0001 |
| Cecum | |||||
| Km, µmol/L | 22.08 | 45.85 | 182.30 | 50.81 | 0.0787 |
| Vmax, nmol/(mg protein·min) | 3.08 | 5.54 | 3.99 | 0.82 | 0.1248 |
| Colon | |||||
| Km, µmol/L | 39.50 ab | 23.58 a | 59.51 b | 6.88 | 0.0054 |
| Vmax, nmol/(mg protein·min) | 10.00 | 15.50 | 11.04 | 2.52 | 0.2841 |
| Item | Km, µmol/L | Vmax, nmol/(mg protein·min) |
|---|---|---|
| IAPX1-overexpressed E. coli cell lysate 1 | 3064.0 ± 339.5 a | 1.64 ± 0.07 a |
| The E. coli cell lysate without the IAPX1 overexpression 2 | 4068.0 ± 525.0 b | 0.89 ± 0.05 b |
| The IAPX1-specific kinetics partitioned 3 | 2102.0 ± 450.8 c | 0.75 ± 0.05 c |
| J 1 | Thermostability Kinetic Parameter Estimates | |||
|---|---|---|---|---|
| TC50 2 | IMIN 3 | IMAX 4 | IC 5 | |
| Residual AP activity, nmol/(mg protein·min) | ||||
| The E. coli alone | NS 6 | NS | NS | 1.16 ± 0.03 |
| The IAPX1-specific | 31.12 ± 3.70 | 0 7 | 1.20 ± 0.08 | 1.36 ± 0.08 |
| Relative enzyme activity, % of the corresponding control | ||||
| The E. coli alone | NS | NS | NS | 100.00 ± 2.59 |
| IAPX1-specific | 31.11 ± 3.71 | 0 8 | 100.00 ± 5.58 | 100.00 ± 5.58 |
Disclaimer/Publisher’s Note: The statements, opinions and data contained in all publications are solely those of the individual author(s) and contributor(s) and not of MDPI and/or the editor(s). MDPI and/or the editor(s) disclaim responsibility for any injury to people or property resulting from any ideas, methods, instructions or products referred to in the content. |
© 2023 by the authors. Licensee MDPI, Basel, Switzerland. This article is an open access article distributed under the terms and conditions of the Creative Commons Attribution (CC BY) license (https://creativecommons.org/licenses/by/4.0/).
Share and Cite
Yin, X.; Wang, W.; Seah, S.Y.K.; Mine, Y.; Fan, M.Z. Deglycosylation Differentially Regulates Weaned Porcine Gut Alkaline Phosphatase Isoform Functionality along the Longitudinal Axis. Pathogens 2023, 12, 407. https://doi.org/10.3390/pathogens12030407
Yin X, Wang W, Seah SYK, Mine Y, Fan MZ. Deglycosylation Differentially Regulates Weaned Porcine Gut Alkaline Phosphatase Isoform Functionality along the Longitudinal Axis. Pathogens. 2023; 12(3):407. https://doi.org/10.3390/pathogens12030407
Chicago/Turabian StyleYin, Xindi, Weijun Wang, Stephen Y. K. Seah, Yoshinori Mine, and Ming Z. Fan. 2023. "Deglycosylation Differentially Regulates Weaned Porcine Gut Alkaline Phosphatase Isoform Functionality along the Longitudinal Axis" Pathogens 12, no. 3: 407. https://doi.org/10.3390/pathogens12030407
APA StyleYin, X., Wang, W., Seah, S. Y. K., Mine, Y., & Fan, M. Z. (2023). Deglycosylation Differentially Regulates Weaned Porcine Gut Alkaline Phosphatase Isoform Functionality along the Longitudinal Axis. Pathogens, 12(3), 407. https://doi.org/10.3390/pathogens12030407

