Improving Current Knowledge on Seroprevalence and Genetic Characterization of Swine Influenza Virus in Croatian Pig Farms: A Retrospective Study
Abstract
1. Introduction
2. Results
2.1. Serology
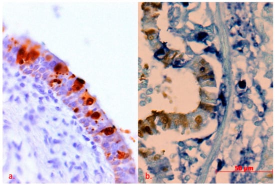
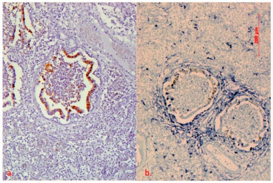
2.2. Immunohistochemistry (IHC)
2.3. M Gene Detection
2.4. swIAV Subtyping
2.5. Phylogenetic Analysis
2.6. Virus Isolation
3. Discussion
4. Materials and Methods
4.1. Samples
4.2. Serology
4.3. Immunohistochemistry
4.4. Molecular Methods
4.4.1. RNA Extraction
4.4.2. Real-Time RT-qPCR
4.4.3. RT-PCR
4.4.4. Sequence Analysis
4.5. Virus Isolation
4.6. Statistics
Supplementary Materials
Author Contributions
Funding
Institutional Review Board Statement
Informed Consent Statement
Data Availability Statement
Acknowledgments
Conflicts of Interest
References
- Van Reeth, K.; Pensaert, M. Prevalence of infections with enzootic respiratory and enteric viruses in feeder pigs entering fattening herds. Vet. Rec. 1994, 135, 594–597. [Google Scholar] [PubMed]
- Van Reeth, K.; Pensaert, M.B. Porcine respiratory coronavirus-mediated interference against influenza virus replication in the respiratory tract of feeder pigs. Am. J. Vet. Res. 1994, 55, 1275–1281. [Google Scholar]
- Van Reeth, K.; Nauwynck, H.; Pensaert, M. Dual infections of feeder pigs with porcine reproductive and respiratory syndrome virus followed by porcine respiratory coronavirus or swine influenza virus: A clinical and virological study. Vet. Microbiol. 1996, 48, 325–335. [Google Scholar] [CrossRef]
- Loeffen, W.L.; Kamp, E.M.; Stockhofe-Zurwieden, N.; van Nieuwstadt, A.P.; Bongers, J.H.; Hunneman, W.A.; Elbers, A.R.; Baars, J.; Nell, T.; van Zijderveld, F.G. Survey of infectious agents involved in acute respiratory disease in finishing pigs. Vet. Rec. 1999, 145, 123–129. [Google Scholar] [CrossRef] [PubMed]
- Wesley, R.D. Exposure of sero-positive gilts to swine influenza virus may cause a few stillbirths per litter. Can. J. Vet. Res. 2004, 68, 215–217. [Google Scholar]
- Kwit, K.; Pomorska-Mól, M.; Markowska-Daniel, I. Pregnancy outcome and clinical status of gilts following experimental infection by H1N2, H3N2 and H1N1pdm09 influenza A viruses during the last month of gestation. Arch. Virol. 2015, 160, 2415–2425. [Google Scholar] [CrossRef]
- De Vlugt, C.; Sikora, D.; Rocheleau, L.; Pelchat, M. Priming and realignment by the influenza a virus RdRp is dependent on the length of the host primers and the extent of base pairing to viral RNA. Virology 2019, 536, 91–100. [Google Scholar] [CrossRef] [PubMed]
- Brown, I.H. History and epidemiology of Swine influenza in Europe. Curr. Top. Microbiol. Immunol. 2013, 370, 133–146. [Google Scholar] [CrossRef]
- Van de Sandt, C.E.; Kreijtz, J.H.C.M.; Rimmelzwaan, G.F. Evasion of influenza A viruses from innate and adaptive immune responses. Viruses 2012, 4, 1438–1476. [Google Scholar] [CrossRef]
- Greenbaum, B.D.; Li, O.T.W.; Poon, L.L.M.; Levine, A.J.; Rabadan, R. Viral reassortment as an information exchange between viral segments. Proc. Natl. Acad. Sci. USA 2012, 109, 3341–3346. [Google Scholar] [CrossRef]
- Lu, L.; Lycett, S.J.; Leigh Brown, A.J. Reassortment patterns of avian influenza virus internal segments among different subtypes. BMC Evol. Biol. 2014, 14, 16. [Google Scholar] [CrossRef]
- Garten, R.J.; Davis, C.T.; Russell, C.A.; Shu, B.; Lindstrom, S.; Balish, A.; Sessions, W.M.; Xu, X.; Skepner, E.; Deyde, V.; et al. Antigenic and Genetic Characteristics of Swine-Origin 2009 A(H1N1) Influenza Viruses Circulating in Humans. Science 2009, 325, 197–201. [Google Scholar] [CrossRef]
- Smith, G.J.D.; Bahl, J.; Vijaykrishna, D.; Zhang, J.; Poon, L.L.M.; Chen, H.; Webster, R.G.; Peiris, J.S.M.; Guan, Y. Dating the emergence of pandemic influenza viruses. Proc. Natl. Acad. Sci. USA 2009, 106, 11709–11712. [Google Scholar] [CrossRef] [PubMed]
- Simon, G.; Larsen, L.E.; Dürrwald, R.; Foni, E.; Harder, T.; Van Reeth, K.; Markowska-Daniel, I.; Reid, S.M.; Dan, A.; Maldonado, J.; et al. European surveillance network for influenza in pigs: Surveillance programs, diagnostic tools and Swine influenza virus subtypes identified in 14 European countries from 2010 to 2013. PLoS ONE 2014, 9, e115815. [Google Scholar] [CrossRef] [PubMed]
- Watson, S.J.; Langat, P.; Reid, S.M.; Lam, T.T.-Y.; Cotten, M.; Kelly, M.; Van Reeth, K.; Qiu, Y.; Simon, G.; Bonin, E.; et al. Molecular Epidemiology and Evolution of Influenza Viruses Circulating within European Swine between 2009 and 2013. J. Virol. 2015, 89, 9920–9931. [Google Scholar] [CrossRef] [PubMed]
- Henritzi, D.; Petric, P.P.; Lewis, N.S.; Graaf, A.; Pessia, A.; Starick, E.; Breithaupt, A.; Strebelow, G.; Luttermann, C.; Parker, L.M.K.; et al. Surveillance of European Domestic Pig Populations Identifies an Emerging Reservoir of Potentially Zoonotic Swine Influenza A Viruses. Cell Host Microbe 2020, 28, 614–627.e6. [Google Scholar] [CrossRef] [PubMed]
- Roić, B.; Jungić, A.; Jemeršić, L.; Terzić, S.; Balatinec, J.; Keros, T. Detection of influenza virus antibodies in domestic pigs in Croatia. In Proceedings of the 32. Jahrestagung der Österreichischen Gesellschaft für Hygiene, Mikrobiologie und Präventivmedizin (ÖGHMP), Vienna, Austria, 17–20 May 2010; pp. 27–28. [Google Scholar]
- Roic, B.; Jemersic, L.; Savić, V.; Terzic, S.; Keros, T.; Jungic, A.; Balatinec, J. Seroprevalence of antibodies against swine influenza virus in farm swines of different age in Croatia. In Proceedings of the International Symposium on Emerging and Re-emerging Pig Diseases, Barcelona, Spain, 12–15 June 2011; p. 259. [Google Scholar]
- Župančić, Ž.; Kovač, S.; Draženović, V.; Jukić, B.; Milas, Z.; Janicki, Z.; Starešina, V. A serologic survey of hemagglutination-inhibition antibodies to human type A and B influenza viruses in wild pigs in Croatia. Vet. Med. 2000, 45, 347–351. [Google Scholar]
- Roic, B.; Jemersic, L.; Terzic, S.; Keros, T.; Balatinec, J.; Florijancic, T. Prevalence of antibodies to selected viral pathogens in wild boars (Sus scrofa) in Croatia in 2005-06 and 2009-10. J. Wildl. Dis. 2012, 48, 131–137. [Google Scholar] [CrossRef] [PubMed][Green Version]
- Anderson, T.K.; Macken, C.A.; Lewis, N.S.; Scheuermann, R.H.; Van Reeth, K.; Brown, I.H.; Swenson, S.L.; Simon, G.; Saito, T.; Berhane, Y.; et al. A Phylogeny-Based Global Nomenclature System and Automated Annotation Tool for H1 Hemagglutinin Genes from Swine Influenza A Viruses. MSphere 2016, 1, e00275-16. [Google Scholar] [CrossRef] [PubMed]
- Kralik, I.; Tolušić, Z.; Jelić, S. Proizvodnja svinjskog mesa u Republici Hrvatskoj i u zemljama Europske unije. Agroecon. Croat. 2017, 7, 66–78. [Google Scholar]
- Novosel, D.; Tuboly, T.; Csagola, A.; Lorincz, M.; Cubric-Curik, V.; Jungic, A.; Curik, I.; Segalés, J.; Cortey, M.; Lipej, Z. Origin of porcine circovirus type 2 (PCV2) from swine affected by PCV2-associated diseases in Croatia. Vet. Rec. 2014, 174, 431. [Google Scholar] [CrossRef]
- Rose, N.; Hervé, S.; Eveno, E.; Barbier, N.; Eono, F.; Dorenlor, V.; Andraud, M.; Camsusou, C.; Madec, F.; Simon, G. Dynamics of influenza A virus infections in permanently infected pig farms: Evidence of recurrent infections, circulation of several swine influenza viruses and reassortment events. Vet. Res. 2013, 44, 72. [Google Scholar] [CrossRef]
- de Boer, G.F.; Back, W.; Osterhaus, A.D. An ELISA for detection of antibodies against influenza A nucleoprotein in humans and various animal species. Arch. Virol. 1990, 115, 47–61. [Google Scholar] [CrossRef]
- Strutzberg-Minder, K.; Boehmer, J.; Fischer, S. Monitoring influenza A virus infection in pigs by using a competitive enzyme-linked immunosorbent assay to detect virus antibodies in pen-based oral-fluid specimens. J. Swine Health Prod. 2015, 23, 126–131. [Google Scholar]
- Tinoco, Y.O.; Montgomery, J.M.; Kasper, M.R.; Nelson, M.I.; Razuri, H.; Guezala, M.C.; Azziz-Baumgartner, E.; Widdowson, M.-A.; Barnes, J.; Gilman, R.H.; et al. Transmission dynamics of pandemic influenza A(H1N1)pdm09 virus in humans and swine in backyard farms in Tumbes, Peru. Influenza Other Respi. Viruses 2016, 10, 47–56. [Google Scholar] [CrossRef] [PubMed]
- McCune, S.; Arriola, C.S.; Gilman, R.H.; Romero, M.A.; Ayvar, V.; Cama, V.A.; Montgomery, J.M.; Gonzales, A.E.; Bayer, A.M. Interspecies interactions and potential Influenza A virus risk in small swine farms in Peru. BMC Infect. Dis. 2012, 12, 58. [Google Scholar] [CrossRef] [PubMed]
- Maldonado, J.; Van Reeth, K.; Riera, P.; Sitjà, M.; Saubi, N.; Espuña, E.; Artigas, C. Evidence of the concurrent circulation of H1N2, H1N1 and H3N2 influenza A viruses in densely populated pig areas in Spain. Vet. J. 2006, 172, 377–381. [Google Scholar] [CrossRef] [PubMed]
- Simon-Grifé, M.; Martín-Valls, G.E.; Vilar, M.J.; García-Bocanegra, I.; Mora, M.; Martín, M.; Mateu, E.; Casal, J. Seroprevalence and risk factors of swine influenza in Spain. Vet. Microbiol. 2011, 149, 56–63. [Google Scholar] [CrossRef] [PubMed]
- Simon-Grifé, M.; Martín-Valls, G.E.; Vilar, M.J.; Busquets, N.; Mora-Salvatierra, M.; Bestebroer, T.M.; Fouchier, R.A.; Martín, M.; Mateu, E.; Casal, J. Swine influenza virus infection dynamics in two pig farms; results of a longitudinal assessment. Vet. Res. 2012, 43, 24. [Google Scholar] [CrossRef]
- Ryt-Hansen, P.; Larsen, I.; Kristensen, C.S.; Krog, J.S.; Larsen, L.E. Limited impact of influenza A virus vaccination of piglets in an enzootic infected sow herd. Res. Vet. Sci. 2019, 127, 47–56. [Google Scholar] [CrossRef] [PubMed]
- Chastagner, A.; Bonin, E.; Fablet, C.; Quéguiner, S.; Hirchaud, E.; Lucas, P.; Gorin, S.; Barbier, N.; Béven, V.; Garin, E.; et al. Virus persistence in pig herds led to successive reassortment events between swine and human influenza A viruses, resulting in the emergence of a novel triple-reassortant swine influenza virus. Vet. Res. 2019, 50, 77. [Google Scholar] [CrossRef] [PubMed]
- Chepkwony, S.; Parys, A.; Vandoorn, E.; Stadejek, W.; Xie, J.; King, J.; Graaf, A.; Pohlmann, A.; Beer, M.; Harder, T.; et al. Genetic and antigenic evolution of H1 swine influenza A viruses isolated in Belgium and the Netherlands from 2014 through 2019. Sci. Rep. 2021, 11, 11276. [Google Scholar] [CrossRef] [PubMed]
- Ryt-Hansen, P.; Pedersen, A.G.; Larsen, I.; Kristensen, C.S.; Krog, J.S.; Wacheck, S.; Larsen, L.E. Substantial Antigenic Drift in the Hemagglutinin Protein of Swine Influenza A Viruses. Viruses 2020, 12, 248. [Google Scholar] [CrossRef] [PubMed]
- Chiapponi, C.; Ebranati, E.; Pariani, E.; Faccini, S.; Luppi, A.; Baioni, L.; Manfredi, R.; Carta, V.; Merenda, M.; Affanni, P.; et al. Genetic analysis of human and swine influenza A viruses isolated in Northern Italy during 2010–2015. Zoonoses Public Health 2017, 65, 114–123. [Google Scholar] [CrossRef] [PubMed]
- Zell, R.; Groth, M.; Krumbholz, A.; Lange, J.; Philipps, A.; Dürrwald, R. Cocirculation of Swine H1N1 Influenza A Virus Lineages in Germany. Viruses 2020, 12, 762. [Google Scholar] [CrossRef] [PubMed]
- Zell, R.; Groth, M.; Krumbholz, A.; Lange, J.; Philipps, A.; Dürrwald, R. Novel reassortant swine H3N2 influenza A viruses in Germany. Sci. Rep. 2020, 10, 14296. [Google Scholar] [CrossRef]
- Krog, J.S.; Hjulsager, C.K.; Larsen, M.A.; Larsen, L.E. Triple-reassortant influenza A virus with H3 of human seasonal origin, NA of swine origin, and internal A(H1N1) pandemic 2009 genes is established in Danish pigs. Influenza Other Respi. Viruses 2017, 11, 298–303. [Google Scholar] [CrossRef] [PubMed]
- OIE Influenza A Virus of Swine. Available online: https://www.oie.int/fileadmin/Home/eng/Health_standards/tahm/3.09.07_INF_A_SWINE.pdf (accessed on 30 June 2021).
- Rosell, C.; Segalés, J.; Plana-Durán, J.; Balasch, M.; Rodríguez-Arrioja, G.M.; Kennedy, S.; Allan, G.M.; McNeilly, F.; Latimer, K.S.; Domingo, M. Pathological, immunohistochemical, and in-situ hybridization studies of natural cases of postweaning multisystemic wasting syndrome (PMWS) in pigs. J. Comp. Pathol. 1999, 120, 59–78. [Google Scholar] [CrossRef]
- Pérez-Martín, E.; Rovira, A.; Calsamiglia, M.; Mankertz, A.; Rodríguez, F.; Segalés, J. A new method to identify cell types that support porcine circovirus type 2 replication in formalin-fixed, paraffin-embedded swine tissues. J. Virol. Methods 2007, 146, 86–95. [Google Scholar] [CrossRef]
- World Health Organization (WHO). CDC Protocol of Realtime RTPCR for Swine Influenza A (H1N1); WHO: Geneva, Switzerland, 2009; 7p. [Google Scholar]
- Toussaint, J.F.; Sailleau, C.; Breard, E.; Zientara, S.; De Clercq, K. Bluetongue virus detection by two real-time RT-qPCRs targeting two different genomic segments. J. Virol. Methods 2007, 140, 115–123. [Google Scholar] [CrossRef]
- Chiapponi, C.; Moreno, A.; Barbieri, I.; Merenda, M.; Foni, E. Multiplex RT-PCR assay for differentiating European swine influenza virus subtypes H1N1, H1N2 and H3N2. J. Virol. Methods 2012, 184, 117–120. [Google Scholar] [CrossRef]
- Phipps, L.P.; Essen, S.C.; Brown, I.H. Genetic subtyping of influenza A viruses using RT-PCR with a single set of primers based on conserved sequences within the HA2 coding region. J. Virol. Methods 2004, 122, 119–122. [Google Scholar] [CrossRef]
- Drummond, A.J.; Suchard, M.A.; Xie, D.; Rambaut, A. Bayesian phylogenetics with BEAUti and the BEAST 1.7. Mol. Biol. Evol. 2012, 29, 1969–1973. [Google Scholar] [CrossRef] [PubMed]
- Lanave, C.; Preparata, G.; Saccone, C.; Serio, G. A new method for calculating evolutionary substitution rates. J. Mol. Evol. 1984, 20, 86–93. [Google Scholar] [CrossRef] [PubMed]
- Drummond, A.J.; Ho, S.Y.W.; Phillips, M.J.; Rambaut, A. Relaxed phylogenetics and dating with confidence. PLoS Biol. 2006, 4, e88. [Google Scholar] [CrossRef] [PubMed]
- Rozas, J.; Ferrer-Mata, A.; Sanchez-DelBarrio, J.C.; Guirao-Rico, S.; Librado, P.; Ramos-Onsins, S.E.; Sanchez-Gracia, A. DnaSP 6: DNA Sequence Polymorphism Analysis of Large Data Sets. Mol. Biol. Evol. 2017, 34, 3299–3302. [Google Scholar] [CrossRef] [PubMed]
- Bandelt, H.J.; Forster, P.; Röhl, A. Median-joining networks for inferring intraspecific phylogenies. Mol. Biol. Evol. 1999, 16, 37–48. [Google Scholar] [CrossRef] [PubMed]
- World Health Organization (WHO). Manual on Animal Influenza Diagnosis and Surveillance; WHO: Geneva, Switzerland, 2002. [Google Scholar]
- Gardner, M.J.; Altman, D.G. Estimating with confidence. Br. Med. J. Clin. Res. Ed. 1988, 296, 1210–1211. [Google Scholar] [CrossRef] [PubMed]









| County | F/BF | IAV Ab ELISA | ||
|---|---|---|---|---|
| n Samples Tested | n Positive/Seroprevalence (%) | CI (95%) | ||
| Brod-Posavina | BF | 58 | 52 (89.7%) | 79.22–95.17 |
| Dubrovnik–Neretva | BF | 22 | 10 (45.5%) | 26.9–65.34 |
| Istria | BF | 9 | 4 (44.4%) | 18.87–73.33 |
| Karlovac | BF | 37 | 6 (16.2%) | 7.65–31.14 |
| Osijek–Baranja | F1 | 215 | 49 (22.8%) | 17.69–28.85 |
| F2 | 60 | 22 (36.7%) | 25.62–49.32 | |
| F3 | 10 | 10 (100%) | 72.25–100 | |
| F4 | 35 | 25 (71.4%) | 54.95–83.67 | |
| F5 | 5 | 3 (60%) | 23.07–88.24 | |
| F6 | 30 | 11 (36.7%) | 21.88–54.49 | |
| F7 | 30 | 16 (53.3%) | 36.14–69.76 | |
| F8 | 68 | 7 (10.3%) | 5.07–19.75 | |
| F9 | 90 | 62 (68.9%) | 58.72–77.52 | |
| F10 | 40 | 3 (7.5%) | 2.58–19.86 | |
| BF | 2 | 1 (50%) | n.a. | |
| Sisak–Moslavina | BF | 9 | 1 (11.1%) | 1.99–43.5 |
| Šibenik–Knin | BF | 33 | 5 (15.2%) | 6.65–30.92 |
| Varaždin | F17 | 34 | 4 (11.8%) | 4.67–26.62 |
| Virovitica–Podravina | F11 | 10 | 7 (70%) | 39.68–89.22 |
| Vukovar–Srijem | F12 | 95 | 23 (24.2%) | 16.71–33.72 |
| F13 | 349 | 134 (38.4%) | 33.45–43.6 | |
| F14 | 24 | 10 (41.7%) | 24.47–61.17 | |
| Zagreb | F15 | 156 | 1 (0.6%) | 0.11–3.54 |
| F16 | 105 | 0 | 0 | |
| BF | 10 | 0 | 0 | |
| Total: | 1536 | 466 (30.3%) | 28.09–32.69 | |
| County | F/BF | HI Test | |||
|---|---|---|---|---|---|
| n Positive Subtype/% Positive Subtype | n Tested Samples | ||||
| H1N1 | H3N2 | H1N2 | |||
| Brod–Posavina | BF | 10 (17.9%) | 1 (1.8%) | 1 (1.8%) | 56 |
| Dubrovnik–Neretva | BF | nd | |||
| Istria | BF | 1 (25%) | 1 (25%) | 0 | 4 |
| Karlovac | BF | 4 (66.7%) | 0 | 0 | 6 |
| Osijek–Baranja | F1 | 34 (72.3%) | 40 (85.1%) | 32 (68.1%) | 47 |
| F2 | 4 (18.2%) | 9 (40.9%) | 1 (4.5%) | 22 | |
| F3 | nd | ||||
| F4 | 8 (40%) | 5 (25%) | 0 | 20 | |
| F5 | 0 | 0 | 0 | 0 | |
| F6 | 1 (16.7%) | 1 (16.7%) | 1 (16.7%) | 6 | |
| F7 | 2 (18.2%) | 2 (18.2%) | 2 (18.2%) | 11 | |
| F8 | 7 (77.8%) | 1 (11.1%) | 0 | 9 | |
| F9 | 16 (34.8%) | 6 (13%) | 6 (13%) | 46 | |
| F10 | 0 | 0 | 0 | 3 | |
| BF | 1 (100%) | 1 (100%) | 1 (100%) | 1 | |
| Sisak–Moslavina | BF | nd | |||
| Šibenik-Knin | BF | 1 (20%) | 0 | 0 | 5 |
| Varaždin | F17 | 0 | 0 | 0 | 4 |
| Virovitica–Podravina | F11 | 1 (14.3%) | 7 (100%) | 0 | 7 |
| Vukovar–Srijem | F12 | 10 (41.7%) | 7 (29.2%) | 8 (33.3%) | 24 |
| F13 | 82 (59.4%) | 94 (68.1%) | 55 (39.9%) | 138 | |
| F14 | nd | ||||
| Zagreb | F15 | 1 (100%) | 0 | 1 (100%) | 1 |
| F16 | nd | ||||
| BF | nd | ||||
| Total: | 183 (44.6%) | 175 (42.7%) | 108 (26.3%) | 410 | |
| Pig Category | Piglets 1–4 Weeks | Piglets 5–10 Weeks | Piglets 11–20 Weeks | Fatteners ˃20 Weeks | Gilts | First Parity Sows | Sows | Boars | Pigs of Unknown Category |
|---|---|---|---|---|---|---|---|---|---|
| n examined samples | 8 | 38 | 13 | 91 | 74 | 43 | 62 | 19 | 62 |
| IAV subtypes | IAV positive (highest Ab titre) | ||||||||
| H1N1 | 6 (1:16) | 14 (1:64) | 4 (1:32) | 22 (1:128) | 41 (1:128) | 20 (1:512) | 40 (1:512) | 9 (1:256) | 22 (1:16) |
| H3N2 | 7 (1:64) | 18 (1:128) | 4 (1:512) | 9 (1:128) | 45 (1:128) | 30 (1:2048) | 51 (1:512) | 2 (1:128) | 9 (1:16) |
| H1N2 | 5 (1:32) | 16 (1:128) | 4 (1:32) | 8 (1:128) | 31 (1:128) | 20 (1:512) | 14 (1:512) | 1 (1:128) | 9 (1:16) |
| H1N1 + H3N2 | 1 | 0 | 1 | 1 | 25 | 6 | 19 | 1 | 1 |
| H3N2 + H1N2 | 0 | 5 | 1 | 0 | 8 | 4 | 8 | 0 | 1 |
| H1N1 + H1N2 | 0 | 1 | 2 | 0 | 5 | 0 | 0 | 0 | 4 |
| H1N1 + H3N2 + H1N2 | 5 | 11 | 1 | 6 | 7 | 13 | 9 | 1 | 3 |
| Negative | 1 | 15 | 7 | 65 | 5 | 10 | 8 | 14 | 34 |
Publisher’s Note: MDPI stays neutral with regard to jurisdictional claims in published maps and institutional affiliations. |
© 2021 by the authors. Licensee MDPI, Basel, Switzerland. This article is an open access article distributed under the terms and conditions of the Creative Commons Attribution (CC BY) license (https://creativecommons.org/licenses/by/4.0/).
Share and Cite
Jungić, A.; Savić, V.; Madić, J.; Barbić, L.; Roić, B.; Brnić, D.; Prpić, J.; Jemeršić, L.; Novosel, D. Improving Current Knowledge on Seroprevalence and Genetic Characterization of Swine Influenza Virus in Croatian Pig Farms: A Retrospective Study. Pathogens 2021, 10, 1527. https://doi.org/10.3390/pathogens10111527
Jungić A, Savić V, Madić J, Barbić L, Roić B, Brnić D, Prpić J, Jemeršić L, Novosel D. Improving Current Knowledge on Seroprevalence and Genetic Characterization of Swine Influenza Virus in Croatian Pig Farms: A Retrospective Study. Pathogens. 2021; 10(11):1527. https://doi.org/10.3390/pathogens10111527
Chicago/Turabian StyleJungić, Andreja, Vladimir Savić, Josip Madić, Ljubo Barbić, Besi Roić, Dragan Brnić, Jelena Prpić, Lorena Jemeršić, and Dinko Novosel. 2021. "Improving Current Knowledge on Seroprevalence and Genetic Characterization of Swine Influenza Virus in Croatian Pig Farms: A Retrospective Study" Pathogens 10, no. 11: 1527. https://doi.org/10.3390/pathogens10111527
APA StyleJungić, A., Savić, V., Madić, J., Barbić, L., Roić, B., Brnić, D., Prpić, J., Jemeršić, L., & Novosel, D. (2021). Improving Current Knowledge on Seroprevalence and Genetic Characterization of Swine Influenza Virus in Croatian Pig Farms: A Retrospective Study. Pathogens, 10(11), 1527. https://doi.org/10.3390/pathogens10111527

