Effect of Bismuth Content and Heating Rate on MnS Inclusions in Free-Cutting Steel
Abstract
1. Introduction
2. Materials and Methods
2.1. Experimental Materials
2.2. Metallographic Experiment
2.3. Three-Dimensional Electrolysis Characterization of Inclusions
2.4. High-Temperature In Situ Observation Experiment
3. Experimental Results and Discussion
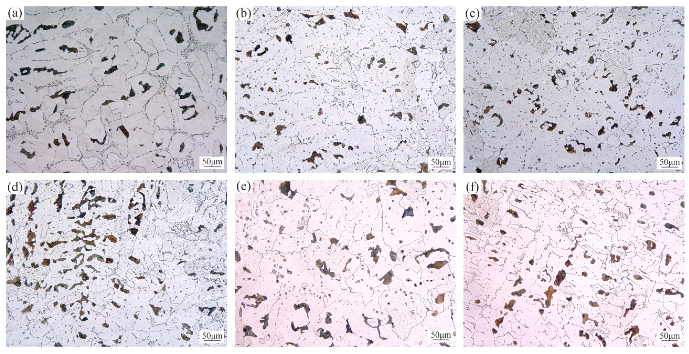
3.1. Metallographic Observation of Nonmetallic Inclusions in Bismuth-Containing Free-Cutting Steel
3.2. Three-Dimensional Morphology Analysis of Nonmetallic Inclusions in Bismuth-Containing Free-Cutting Steel
3.2.1. Three-Dimensional Morphology of Nonmetallic Inclusions in Bismuth-Free Free-Cutting Steel
3.2.2. Three-Dimensional Morphology of Nonmetallic Inclusions in Bismuth-Containing Free-Cutting Steel
3.2.3. The Discussion of Bismuth Content on the Morphology and Distribution of MnS Inclusions
3.3. In Situ CSLM Observation of MnS Inclusions in Bismuth-Containing Free-Cutting Steel during Heating
3.3.1. Experimental Scheme
3.3.2. Influence of Bismuth Content on MnS Inclusions in Bismuth-Series Free-Cutting Steel
3.3.3. Influence of Heating Rate on MnS Inclusions in Bismuth-Series Free-Cutting Steel
3.3.4. Discussion of Evolution Mechanism of MnS Inclusions during Heating
4. Conclusions
Author Contributions
Funding
Data Availability Statement
Conflicts of Interest
References
- Matsui, N.; Hasegawa, T.; Fujiwara, J. Effect of sulfide inclusion morphology on machinability and tool wear mechanism in low carbon free cutting steel. J. Jpn. Soc. Precis. Eng. 2011, 77, 322–326. [Google Scholar] [CrossRef]
- Wang, Y.; Chen, X.; Zuo, P.P.; Wu, X.C. Influence of copper and sulfur on the cutting performance of P20-type plastic mold steel. Met. Met. Matrix Compos. 2022, 36, 173–179. [Google Scholar]
- Kurka, V.; Kuboň, Z.; Kander, L.; Jonšta, P.; Kotásek, O. The effect of bismuth on technological and material characteristics of low-alloyed automotive steels with a good machinability. Metals 2022, 12, 301. [Google Scholar] [CrossRef]
- Jia, Y.J.; Wang, F.M.; Wang, S.J.; Fan, D.D.; Li, J. Composition and microstructure analysis of domestic and foreign sulphur-containing free-cutting non-tempered steels. Steelmaking 2013, 29, 58–61. (In Chinese) [Google Scholar]
- Liu, N.; Xie, J.; Shen, P.; Xu, X.; Fu, J. In-situ study of microstructures and sulphides and machinability of Bi-bearing free-cutting steels. Ironmak. Steelmak. 2023, 50, 310–320. [Google Scholar] [CrossRef]
- VRyabov, A. Medium-carbon free-cutting steel. Mater. Sci. Forum 2019, 946, 47–52. [Google Scholar] [CrossRef]
- Rečnik, S.; Vončina, M.; Nagode, A.; Medved, J. Thermodynamic and microstructural analysis of lead-free machining aluminium alloys with indium and bismuth additions. Materials 2023, 16, 6241. [Google Scholar] [CrossRef]
- Liu, H.T.; Chen, W.Q. Research on recovery for adding low melting point metal bismuth to eco-friendly Bi–S based free cutting steel. Ironmak. Steelmak. 2014, 41, 355–359. [Google Scholar] [CrossRef]
- Liu, H.; Chen, W.; Li, W.; Yu, Y. Solubility of bismuth in liquid Bi-S based free cutting steel. High Temp. Mater. Process. 2014, 33, 187–191. [Google Scholar] [CrossRef]
- Toulfatzis, A.I.; Pantazopoulos, G.A.; David, C.N.; Sagris, D.S.; Paipetis, A.S. Machinability of eco-friendly lead-free brass alloys: Cutting-force and surface-roughness optimization. Metals 2018, 8, 250. [Google Scholar] [CrossRef]
- Zhitenev, A.; Rovbo, A.; Nechaev, D.; Shaposhnikov, N.; Ryaboshuk, S.; Alkhimenko, A. Control of bismuth and manganese sulfide inclusions in free-cutting steels of different classes. Metals 2022, 12, 2076. [Google Scholar] [CrossRef]
- Xu, X.; Chung, T.F.; Hu, S.; Zhu, Q.; Fu, J.; Yang, J.R.; Tian, Q. Effect of tin microalloying on the microstructure of low-carbon free-machining steels. J. Mater. Res. Technol. 2022, 20, 1172–1185. [Google Scholar] [CrossRef]
- Masuda, K.; Ishihara, S.; Oguma, N.; Ishiguro, M.; Sakamoto, Y.; Iwasaki, M. Study on the fatigue crack initiation and growth behavior in bismuth-and lead-based free-cutting brasses. Materials 2022, 15, 7488. [Google Scholar] [CrossRef] [PubMed]
- Yang, Y.; Zhan, D.; Qiu, G.; Li, X.; Jiang, Z.; Zhang, H. Inclusion evolution in solid steel during rolling deformation: A review. J. Mater. Res. Technol. 2022, 18, 5103–5115. [Google Scholar] [CrossRef]
- Xu, X.Y.; Zeng, Z.Q.; Tian, Q.R.; Cao, C.W.; Shen, P.; Fu, J.X. Application of fractal theory to study morphology of manganese sulfide inclusion in resulfurized free-cutting steels. J. Iron Steel Res. Int. 2023, 30, 137–149. [Google Scholar] [CrossRef]
- Shen, C.; Yang, Z.; Guo, J.B.; Lu, Q. Laboratory study on the precipitation of MnS in solid low-sulfur steel. Steelmaking 2022, 38, 49–55. (In Chinese) [Google Scholar]
- Liu, W.; Yang, S.F.; Li, J. Research progress on motion behavior of nonmetallic inclusions at steel-slag interface. Chin. J. Eng. Sci. 2021, 43, 1647–1655. (In Chinese) [Google Scholar]
- Shen, C.; Zheng, F.Z.; Chen, J.; Yang, Z. In-situ observation of Al2O3 inclusion formation and aggregation in steel. Vanadium Titan. Steel 2020, 41, 128–131+142. (In Chinese) [Google Scholar]
- Shao, X.; Wang, X.C.; Jiang, M.; Wang, W.J.; Huang, F.X.; Ji, Y.Q. Dynamic in-situ observation of Mns inclusions behavior in sulfur series free-cutting steel during heating. Acta Met. Sin. 2011, 47, 1210–1215. (In Chinese) [Google Scholar]
- Shao, X.J.; Wang, X.C.; Wang, W.J.; Huang, F.X.; Jiang, M. In-situ observation of the behavior of manganese sulfide inclusions in YF45MnV steel. J. Univ. Sci. Technol. Beijing 2010, 32, 570–573. (In Chinese) [Google Scholar]
- Zhao, Y.; Li, T.; Tang, G.; Guo, H.; Yan, J.; Guo, X.; Zhu, Y. Characterization of the morphological evolution of MnS inclusions in free-cutting steel during heating. Mater. Res. Technol. 2022, 17, 1427–1437. [Google Scholar] [CrossRef]
- Liu, J.Y.; Liu, C.S.; Bai, R.J.; Wang, W.; Wang, Q.B.; Zhang, H.; Ni, H.W. Morphological transformation of elongated MnS inclusions in non-quenched and tempered steel during isothermal heating. J. Iron Steel Res. Int. 2022, 30, 525–536. [Google Scholar] [CrossRef]
- Hu, S.; Li, Z.; Fan, T.; Fu, J. Effect of bismuth on sulfide in high sulfur free-cutting steel. Mater. Sci. Eng. 2019, 611, 012017. [Google Scholar] [CrossRef]
- Wang, X.; Zhang, H.; Wang, J.; Zhu, R.; Zhu, Y.; Lu, F.; Li, J.; Jiang, Z. Effect of bismuth and telluride on the inclusions of sulfur free-cutting steel. Metals 2023, 13, 486. [Google Scholar] [CrossRef]
- Shen, P.; Zhang, D.; Zhang, H.; Ai, K.; Zhao, M.; Zeng, Z.; Fu, J. Study on the three-dimensional morphology of MnS inclusions in high sulphur steel. Ironmak. Steelmak. 2021, 48, 1179–1186. [Google Scholar] [CrossRef]
- Xie, J.B.; Li, J.; Li, Z.W.; Wu, L.P.; Zhang, P.P.; Fu, J.X. Forms of Bi-sulphide in 1215MS steel related to machining and mechanical performance. Ironmak. Steelmak. 2021, 48, 927–935. [Google Scholar] [CrossRef]
- Zhang, X.L.; Su, Y.Z.; Li, Y. Effect of matrix microstructure on machinability of low carbon and high sulfur free-cutting stee. Met. Prod. 2023, 49, 26–30. (In Chinese) [Google Scholar]
- Che, Z.C.; Liu, W.; Yang, S.F. Effect of tellurium treatment on sulfide inclusion modification in 15–5PH steel. Iron Steel 2022, 57, 36–43. (In Chinese) [Google Scholar]
- Yong, Q.L. Ostwald ripening of second phase particles in dilute solutions-Ⅰ. Universal differential equations. J. Iron Steel Res. 1991, 3, 51–60. (In Chinese) [Google Scholar]
- Nichols, F.A.; Mullins, W.W. Morphological changes of a surface of revolution due to capillarity-induced surface diffusion. J. Appl. Phys. 1965, 36, 1826–1835. [Google Scholar] [CrossRef]









| Sample | C | Si | Mn | P | S | Bi | Mn/S |
|---|---|---|---|---|---|---|---|
| 1# | 0.073 | 0.030 | 1.07 | 0.076 | 0.28 | —— | 3.82 |
| 2# | 0.064 | 0.035 | 0.90 | 0.081 | 0.28 | 0.010 | 3.21 |
| 3# | 0.065 | 0.012 | 0.89 | 0.079 | 0.22 | 0.013 | 4.05 |
| 4# | 0.068 | 0.031 | 1.06 | 0.081 | 0.31 | 0.022 | 3.42 |
| 5# | 0.067 | 0.016 | 1.14 | 0.058 | 0.29 | 0.026 | 3.93 |
| 6# | 0.072 | 0.032 | 1.08 | 0.078 | 0.31 | 0.031 | 3.48 |
| Sample | Heating Rate (°C/s) | Holding Time (s) | Holding Temperature (°C) | Cooling Rate (°C/s) |
|---|---|---|---|---|
| 1#–6# | 5 | 180 | 1250 | 2 |
| 4# | 1 5 10 | 180 | 1250 | 2 |
Disclaimer/Publisher’s Note: The statements, opinions and data contained in all publications are solely those of the individual author(s) and contributor(s) and not of MDPI and/or the editor(s). MDPI and/or the editor(s) disclaim responsibility for any injury to people or property resulting from any ideas, methods, instructions or products referred to in the content. |
© 2024 by the authors. Licensee MDPI, Basel, Switzerland. This article is an open access article distributed under the terms and conditions of the Creative Commons Attribution (CC BY) license (https://creativecommons.org/licenses/by/4.0/).
Share and Cite
Xie, C.; Zhang, H.; Zhao, G.; Li, X.; Li, H.; Yu, G.; Jiang, Z. Effect of Bismuth Content and Heating Rate on MnS Inclusions in Free-Cutting Steel. Metals 2024, 14, 713. https://doi.org/10.3390/met14060713
Xie C, Zhang H, Zhao G, Li X, Li H, Yu G, Jiang Z. Effect of Bismuth Content and Heating Rate on MnS Inclusions in Free-Cutting Steel. Metals. 2024; 14(6):713. https://doi.org/10.3390/met14060713
Chicago/Turabian StyleXie, Chunlu, Hongmei Zhang, Gang Zhao, Xiangyu Li, Hongnan Li, Guoao Yu, and Zhengyi Jiang. 2024. "Effect of Bismuth Content and Heating Rate on MnS Inclusions in Free-Cutting Steel" Metals 14, no. 6: 713. https://doi.org/10.3390/met14060713
APA StyleXie, C., Zhang, H., Zhao, G., Li, X., Li, H., Yu, G., & Jiang, Z. (2024). Effect of Bismuth Content and Heating Rate on MnS Inclusions in Free-Cutting Steel. Metals, 14(6), 713. https://doi.org/10.3390/met14060713

