Semi-Field Evaluation and Genotoxicity of Chlorophyllin Applied Against Aedes aegypti Larvae (Diptera, Culicidae)
Simple Summary
Abstract
1. Introduction
2. Materials and Methods
2.1. Pesticides Used
2.1.1. Chlorophyll Derivative Preparation (Ch-L)
2.1.2. Pheophorbide
2.1.3. Bacillus sphaericus (Bs)
2.2. Fourier-Transform Infrared Spectroscopy (FTIR)
2.3. Singlet Oxygen (1O2) Quantum Yield QΔ of Chlorophyllin
2.4. Mosquito Rearing
2.5. Laboratory Evaluation of Used Bio-Pesticides
2.6. Field Evaluation of Used Pesticides
2.7. Calculating the Toxicity Index and Relative Potency
Toxicity index = ---------------------------------------------------------- × 100
LC50 of (less toxic) tested insecticides used
Relative potency = ----------------------------------------------------------------
LC50 for other insecticides tested
2.8. Genotoxicity Studies
2.9. Histopathological Changes
2.10. Statistical Analysis
3. Results
3.1. Chlorophyllin Characterization (FTIR Analysis)
3.2. Singlet Oxygen Quantum Yield of Chlorophyllin
3.3. Toxicity of Tested Bio-Pesticides
3.4. Genotoxicity Studies
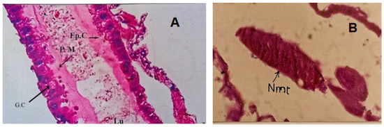
3.5. Histopathological Changes
4. Discussion
5. Conclusions
Author Contributions
Funding
Data Availability Statement
Conflicts of Interest
Abbreviations
| 1O2 | Singlet oxygen |
| Ch-L | Chlorophyllin |
| ROS | Reactive oxygen species |
| Bs | Bacillus sphaericus |
References
- Lippi, C.A.; Mundis, S.J.; Sippy, R.; Flenniken, J.M.; Chaudhary, A.; Hecht, G.; Carlson, C.J.; Ryan, S.J. Trends in mosquito species distribution modeling: Insights for vector surveillance and disease control. Parasites Vectors 2023, 16, 302. [Google Scholar] [PubMed]
- Zhang, Y.; Wang, M.; Huang, M.; Zhao, J. Innovative strategies and challenges in mosquito-borne disease control amidst climate change. Front. Microbiol. 2024, 15, 1488106. [Google Scholar] [CrossRef] [PubMed]
- Rady, M.H.; El-Magd, I.A.; Kamal, M.; Zaky, A.H.; Youssef, E.; Dahesh, S.; Yones, M.S. Potential establishment and prevalence of the dengue vector, Aedes sp., and its risk map in Hurghada region, Red Sea, Egypt. Egypt. J. Aquat. Biol. Fish. 2024, 28, 5. [Google Scholar]
- Soliman, M.M.; Samy, A.M.; El-Hawagry, M.S. Re-emergence of Aedes aegypti (Linnaeus) in Egypt under climate changes. Dryad 2024, 123, 456–470. [Google Scholar] [CrossRef]
- Morsy, T.A.; El Bahnasawy, M.M.; Morsy, A.T.; Massoud, Y. Climatic changes increase global disasters of dengue hemorrhagic virus fever: Is Egypt again at dengue risk? J. Egypt. Soc. Parasitol. 2024, 54, 143–156. [Google Scholar] [CrossRef]
- Zhou, W.; Li, M.; Achal, V. A comprehensive review on environmental and human health impacts of chemical pesticide usage. Emerg. Contam. 2024, 11, 100410. [Google Scholar] [CrossRef]
- Azizullah, A.; Murad, W. Chlorophyll derivatives for pest and disease control: Are they safe? Environ. Impact Assess. Rev. 2015, 50, 156–157. [Google Scholar] [CrossRef]
- Abdel-Kader, M.H.; Eltayeb, T.A. Photodynamic control of malaria vector, noxious insects, and parasites. In Photodynamic Therapy: From Theory to Application; Springer: Berlin/Heidelberg, Germany, 2014; pp. 269–291. [Google Scholar]
- Richter, P.R.; Strauch, S.M.; Azizullah, A.; Häder, D.P. Chlorophyllin as a possible measure against vectors of human parasites and fish parasites. Front. Environ. Sci. 2014, 2, 18. [Google Scholar] [CrossRef]
- Lucantoni, L.; Magaraggia, M.; Lupidi, G.; Ouedraogo, R.K.; Coppellotti, O.; Esposito, F.; Fabris, C.; Jori, G.; Habluetzel, A. Novel meso-substituted cationic porphyrin molecule for photo-mediated larval control of the dengue vector Aedes aegypti. PLoS Negl. Trop. Dis. 2011, 5, e1434. [Google Scholar] [CrossRef]
- Lima, A.R.; Dias, L.D.; Garbuio, M.; Inada, N.M.; Bagnato, V.S. A look at photodynamic inactivation as a tool for pests and vector-borne diseases control. Laser Phys. Lett. 2022, 19, 025601. [Google Scholar] [CrossRef]
- Martins, T.; Barros, A.N.; Rosa, E.; Antunes, L. Enhancing health benefits through chlorophylls and chlorophyll-rich agro-food: A comprehensive review. Molecules 2023, 28, 5344. [Google Scholar] [CrossRef] [PubMed]
- Dashwood, R. Chlorophylls as anticarcinogens. Int. J. Oncol. 1997, 10, 721–727. [Google Scholar] [PubMed]
- Liu, X.; Beaudoin, G.; Zhang, H.; Esquivel Guzmán, J.A.; Le Roux, É.; Pellerin, C.; Rivera, E.; Lavertu, M.; Zhu, X.X. Chlorophyllin-containing copolymers and their responsive properties. ACS Appl. Bio Mater. 2023, 7, 124–130. [Google Scholar] [CrossRef] [PubMed]
- Jubert, C.; Mata, J.; Bench, G.; Dashwood, R.; Pereira, C.; Tracewell, W.; Turteltaub, K.; Williams, D.; Bailey, G. Effects of chlorophyll and chlorophyllin on low-dose aflatoxin B1 pharmacokinetics in human volunteers. Cancer Prev. Res. 2009, 2, 1015–1022. [Google Scholar] [CrossRef]
- Baker, M.J.; Trevisan, J.; Bassan, P.; Bhargava, R.; Butler, H.J.; Dorling, K.M.; Fielden, P.R.; Fogarty, S.W.; Fullwood, N.J.; Heys, K.A.; et al. Using Fourier transform IR spectroscopy to analyze biological materials. Nat. Protoc. 2014, 9, 1771–1791. [Google Scholar] [CrossRef]
- Khan, M.A.; Khan, S.; Ding, X.; Khan, A.; Alam, M. The effects of biochar and rice husk on adsorption and desorption of cadmium on to soils with different water conditions (upland and saturated). Chemosphere 2018, 193, 1120–1126. [Google Scholar] [CrossRef]
- Akl, H.N.; Salah, D.; Abdel-Samad, H.S.; Aziz, A.A.; Abdel-Shafi, A.A. Fractional dependence of the free energy of activation on the driving force of charge transfer in the quenching of the excited states of substituted phenanthroline homoleptic ruthenium (ii) complexes in aqueous medium. RSC Adv. 2023, 13, 13223–13314. [Google Scholar] [CrossRef]
- El-Naggar, K.; Abdel-Samad, H.S.; Ramadan, R.M.; El-Khouly, M.E.; Abdel-Shafi, A.A. Participation of fractional charge transfer on the efficiency of singlet oxygen production: Heteroleptic ruthenium (II) bipyridine derivatives. J. Photochem. Photobiol. A Chem. 2023, 436, 114405. [Google Scholar] [CrossRef]
- Schmidt, R.; Tanielian, C.; Dunsbach, R.; Wolff, C. Phenalenone, a universal reference compound for the determination of quantum yields of singlet oxygen O2 (1Δg) sensitization. J. Photochem. Photobiol. A Chem. 1994, 79, 11–17. [Google Scholar] [CrossRef]
- Abdel Haleem, D.R.; Badr, E.E.; Samy, A.M.; Baker, S.A. Larvicidal evaluation of two novel cationic gemini surfactants against the potential vector of West Nile virus Culex pipiens Linnaeus (Diptera: Culicidae). Med. Vet. Entomol. 2023, 37, 483–490. [Google Scholar] [CrossRef]
- Praulins, G.; McDermott, D.P.; Spiers, A.; Lees, R.S. Reviewing the WHO tube bioassay methodology: Accurate method reporting and numbers of mosquitoes are key to producing robust results. Insects 2022, 13, 544. [Google Scholar] [CrossRef] [PubMed]
- Elshemy, H.M.; Rady, M.H.; Adly, E.; Khalil, M.M.H.; Sayed, H.A.E.; Al-Ashaal, S.A. Genotoxicity of Chlorophyllin Compared with Other Pesticides Used to Control Culex pipiens Larvae (Diptera: Culicidae). Egypt. J. Aquat. Biol. Fish. 2024, 28. [Google Scholar] [CrossRef]
- Sun, Y.P. Toxicity index—An improved method of comparing the relative toxicity of insecticides. J. Econ. Entomol. 1950, 43, 45–53. [Google Scholar] [CrossRef]
- Nieman, C.C.; Yamasaki, Y.; Collier, T.C.; Lee, Y. A DNA extraction protocol for improved DNA yield from individual mosquitoes. F1000Research 2015, 4, 1314. [Google Scholar] [CrossRef]
- Williams, K.; Taylor, S.; Bogacki, P.; Pallotta, M.; Bariana, H.; Wallwork, H. Mapping of the root lesion nematode (Pratylenchus neglectus) resistance gene Rlnn1 in wheat. Theor. Appl. Genet. 2002, 104, 874–879. [Google Scholar] [CrossRef] [PubMed]
- Nei, M.; Li, W.H. Mathematical model for studying genetic variation in terms of restriction endonucleases. Proc. Natl. Acad. Sci. USA 1979, 76, 5269–5273. [Google Scholar] [CrossRef]
- Farida, B.; Sonia, H.; Hakima, M.K.; Fatma, B.; Fatma, H. Histological changes in the larvae of the domestic mosquito Culex pipiens treated with the entomopathogenic fungus Beauveria bassiana. Sci. Res. Essays 2018, 13, 1–10. [Google Scholar]
- Abbott, W.S. A method of computing the effectiveness of an insecticide. J. Econ. Entomol. 1925, 18, 265–267. [Google Scholar] [CrossRef]
- Finney, D.J. Probit Analysis, 3rd ed.; Cambridge University Press: Cambridge, UK, 1971. [Google Scholar]
- Karg, C.A.; Taniguchi, M.; Lindsey, J.S.; Moser, S. Phyllobilins–Bioactive natural products derived from chlorophyll: Plant origins, structures, absorption spectra, and biomedical properties. Planta Med. 2023, 89, 637–662. [Google Scholar] [CrossRef]
- Tanaka, A.; Ito, H. Chlorophyll degradation and its physiological function. Plant Cell Physiol. 2024, 65, 123–135. [Google Scholar] [CrossRef]
- Wohllebe, S.; Ulbrich, C.; Grimm, D.; Pietsch, J.; Erzinger, G.; Richter, R.; Häder, D.-P. Photodynamic treatment of Chaoborus crystallinus larvae with chlorophyllin induces necrosis and apoptosis. Photochem. Photobiol. 2011, 87, 1113–1122. [Google Scholar] [CrossRef] [PubMed]
- Younis, M.; Khater, H.H.; Hussein, A.; Farag, S.; Aboelela, H.; Rashed, G. The potential role of photosensitizers in the fight against mosquitoes: Phototoxicity of rose bengal against Culex pipiens larvae. Benha Med. J. 2020, 38, 1–10. [Google Scholar] [CrossRef]
- Meier, C.J.; Hillyer, J.F. Larvicidal activity of the photosensitive insecticides, methylene blue and rose bengal, in Aedes aegypti and Anopheles gambiae mosquitoes. Pest. Manag. Sci. 2024, 80, 296–306. [Google Scholar] [CrossRef]
- El-Sayed, M.K.; El-Shahawi, M.M.; Ali, Y.M.; Abdel-Haleem, D.R.; El-Azm, F.S. Synthesis, larvicidal efficiency and molecular docking studies of novel annulated pyrano [2, 3-c] pyrazoles against Culex pipiens L. and Musca domestica L. larvae. Bioorg. Chem. 2023, 130, 106258. [Google Scholar] [CrossRef]
- Erzinger, G.S.; Häder, D.P.; Richter, P.; Souza, S.C.; Wohllebe, S. New perspectives for the control of mosquito larvae using chlorophyll derivatives as photosensitizers. InISEE Conf. Abstr. 2013, 25, 2972. [Google Scholar] [CrossRef]
- Jori, G. Photosensitization: Basic principles. In CRC Handbook of Organic Photochemistry and Photobiology, 3rd ed.; Two Volume Set; CRC Press: Boca Raton, FL, USA, 2019; pp. 1105–1115. [Google Scholar]
- Przygoda, M.; Bartusik-Aebisher, D.; Dynarowicz, K.; Cieślar, G.; Kawczyk-Krupka, A.; Aebisher, D. Cellular mechanisms of singlet oxygen in photodynamic therapy. Int. J. Mol. Sci. 2023, 24, 16890. [Google Scholar] [CrossRef] [PubMed]
- Uchoa, A.F.; Konopko, A.M.; Baptista, M.S. Chlorophyllin derivatives as photosensitizers: Synthesis and photodynamic properties. J. Braz. Chem. Soc. 2015, 26, 2615–2622. [Google Scholar] [CrossRef]
- Gupta, S.; Preet, S. Protocol optimization for genomic DNA extraction and RAPD-PCR in mosquito larvae (Diptera: Culicidae). Ann. Biol. Res. 2012, 3, 1553–1561. [Google Scholar]
- Abdel-Nasser, E.; Hafez, J.A.; Badawy, R.M.; Rizk, S.A.; Hefni, H.H.; Azmy, R.M. Histopathological alterations in the larvae of Culex pipiens L. (Diptera: Culicidae) induced by nanoemulsion of Pimpinella anisum L. essential oil. Egypt. J. Aquat. Biol. Fish. 2024, 28, 1131. [Google Scholar]
- Adrianto, H.; Rambung, E.; Silitonga, H.T. Histopathology of the midgut (longitudinal section) of Aedes aegypti larvae after exposure to kaffir lime leaf extract from Bali, Indonesia. Res. J. Pharm. Technol. 2024, 17, 1346–1351. [Google Scholar] [CrossRef]
- Ragavendran, K.; Selvakumaran, J.; MuthuKanagavel, M.; Ignacimuthu, S.; Alharbi, N.S.; Thiruvengadam, M.; Mutheeswaran, S.; Ganesan, P. Effect of mosquitocidal, histopathological alteration, and non-target effects of Sigesbeckia orientalis L. on Anopheles stephensi Liston, Culex quinquefasciatus Say, and Aedes aegypti L. Vet. Parasitol. Reg. Stud. Rep. 2024, 49, 100997. [Google Scholar] [CrossRef] [PubMed]
- Yang, Z.; Li, F.; Shen, S.; Wang, X.; Nihmot Ibrahim, A.; Zheng, H.; Zhang, J.; Ji, X.; Liao, X.; Zhang, Y. Natural chlorophyll: A review of analysis methods, health benefits, and stabilization strategies. Crit. Rev. Food Sci. Nutr. 2024, 65, 1–15. [Google Scholar] [CrossRef] [PubMed]





| Primer Name | Sequence |
|---|---|
| Operon (OP)-A9 | 5′-GGGTAACGC-3′ |
| OP-B17 | 5′-GGTGACGCAG-3′ |
| OP-B7 | 5′-GGTGACGCAG-3′ |
| OP-A20 | 5′-GTTGCGATCC-3′ |
| Tasted Compounds | Concentration (ppm) | Percentage Mortality (%) | LC50 (ppm) (Co. Limit) | LC90 (ppm) (Co. Limit) | Slope ± SE | χ2 | p | Toxicity Index | Relative Potency |
|---|---|---|---|---|---|---|---|---|---|
| Chlorophyllin | 0.1 | 23.33 | 0.47 (0.37–0.6) | 4.88 (3.4–8.1) | 1.26 ± 0.12 | 12.18 | 0.005 | 100 | 4.40 |
| 0.5 | 46.77 | ||||||||
| 1 | 61.25 | ||||||||
| 2 | 75 | ||||||||
| 3 | 92 | ||||||||
| Pheophorbide | 1 | 31.77 | 1.87 (1.6–2.12) | 6.8 (5.55–9.28) | 2.28 ± 0.25 | 9.55 | 0.02 | 25.11 | 1.10 |
| 2 | 46.77 | ||||||||
| 3 | 61.77 | ||||||||
| 4 | 76.77 | ||||||||
| 5 | 90.77 | ||||||||
| Bacillus sphaericus | 1 | 22.500 | 2.07 (1.8–2.3) | 6.1 (5.2–7.7) | 2.7 ± 0.3 | 3.6 | 0.3 | 22.71 | 1 |
| 2 | 45 | ||||||||
| 3 | 63.333 | ||||||||
| 4 | 76.666 | ||||||||
| 5 | 90 |
| Tasted Compounds | Concentration (ppm) | Percentage Mortality (%) | LC50 (ppm) (Co. Limit) | LC90 (ppm) (Co. Limit) | Slope ± SE | χ2 | p | Toxicity Index | Relative Potency |
|---|---|---|---|---|---|---|---|---|---|
| Chlorophyllin | 10 | 13.33 | 93.3 (75.9–114.56) | 810.07 (545.76–1420.010) | 1.36 ± 0.14 | 12.72 | 0.059 | 100 | 4.31 |
| 50 | 26.77 | ||||||||
| 100 | 48.33 | ||||||||
| 200 | 73.33 | ||||||||
| 300 | 76.6 | ||||||||
| Pheophorbide | 20 | 16.77 | 92.77 (77.49–110.89) | 622.35 (440.82–1016.5) | 1.5 ± 0.15 | 1.47 | 0.68 | 100.56 | 4.34 |
| 50 | 31.77 | ||||||||
| 100 | 51.77 | ||||||||
| 200 | 66.77 | ||||||||
| 300 | 81.77 | ||||||||
| Bacillus sphaericus | 200 | 13.333 | 402.41 (376.04–431.6) | 830.45 (724.74–1007.74) | 4.07 ± 0.39 | 2.34 | 0.5 | 23.19 | 1 |
| 300 | 27.500 | ||||||||
| 400 | 46.667 | ||||||||
| 500 | 63.333 | ||||||||
| 600 | 80 |
| Bands | Control | Chlorophyllin | Pheophorbide | Bs |
|---|---|---|---|---|
| 1 | - | - | - | - |
| 2 | 1680 | 1680 | 1765 | |
| 3 | - | - | 1670 | 1075 |
| 4 | 932 | 932 | 932 | 932 |
| 5 | 765 | 765 | 765 | 765 |
| 6 | 650 | - | - | 650 |
| 7 | - | 670 | 670 | - |
| 8 | 365 | 365 | - | 365 |
| 9 | 315 | 315 | ||
| 10 | - | - | 245 | 245 |
| Total | 5 | 5 | 7 | 7 |
| Similarity Index | - | 0.8 | 0.5 | 0.6 |
| Bands | Control | Chlorophyllin | Pheophorbide | Bs |
|---|---|---|---|---|
| 1 | 1351 | 1351 | 1351 | - |
| 2 | - | - | 1270 | 1270 |
| 3 | - | - | - | - |
| 4 | 630 | 630 | 630 | 630 |
| 5 | 460 | 460 | - | |
| 6 | 375 | 375 | - | 375 |
| 7 | 235 | 235 | 235 | 235 |
| Total | 5 | 5 | 4 | 4 |
| Similarity Index | 1 | 0.6 | 0.4 |
| Bands | Control | Chlorophyllin | Pheophorbide | Bs |
|---|---|---|---|---|
| 1 | - | - | - | |
| 2 | - | - | - | 1477 |
| 3 | - | - | - | |
| 4 | - | - | - | 945 |
| 5 | 484 | 484 | 520 | 484 |
| 6 | 300 | 300 | 300 | 300 |
| Total | 2 | 2 | 2 | 4 |
| Similarity Index | 1 | 1 | 0.6 |
| Bands | Control | Chlorophyllin | Pheophorbide | Bs |
|---|---|---|---|---|
| 1 | - | - | - | 1535 |
| 2 | 1250 | 1250 | - | - |
| 3 | - | - | - | 1270 |
| 4 | - | - | 1020 | 1080 |
| 5 | 811 | 811 | 811 | 825 |
| 6 | - | - | - | 785 |
| 7 | 610 | 610 | 620 | |
| 8 | 400 | 400 | 400 | 400 |
| 9 | 300 | 300 | 300 | 300 |
| Total | 5 | 5 | 5 | 7 |
| Similarity Index | 1 | 0.8 | 0.5 |
Disclaimer/Publisher’s Note: The statements, opinions and data contained in all publications are solely those of the individual author(s) and contributor(s) and not of MDPI and/or the editor(s). MDPI and/or the editor(s) disclaim responsibility for any injury to people or property resulting from any ideas, methods, instructions or products referred to in the content. |
© 2025 by the authors. Licensee MDPI, Basel, Switzerland. This article is an open access article distributed under the terms and conditions of the Creative Commons Attribution (CC BY) license (https://creativecommons.org/licenses/by/4.0/).
Share and Cite
Rady, M.H.; Ammar, A.M.; Al-Khalaf, A.A.; Khalil, A.; Azzam, M.A.; Abdel-Shafi, A.A.; Farag, S.M. Semi-Field Evaluation and Genotoxicity of Chlorophyllin Applied Against Aedes aegypti Larvae (Diptera, Culicidae). Insects 2025, 16, 255. https://doi.org/10.3390/insects16030255
Rady MH, Ammar AM, Al-Khalaf AA, Khalil A, Azzam MA, Abdel-Shafi AA, Farag SM. Semi-Field Evaluation and Genotoxicity of Chlorophyllin Applied Against Aedes aegypti Larvae (Diptera, Culicidae). Insects. 2025; 16(3):255. https://doi.org/10.3390/insects16030255
Chicago/Turabian StyleRady, Magda H., Asmaa M. Ammar, Areej A. Al-Khalaf, Abdelwahab Khalil, May A. Azzam, Ayman A. Abdel-Shafi, and Shaimaa M. Farag. 2025. "Semi-Field Evaluation and Genotoxicity of Chlorophyllin Applied Against Aedes aegypti Larvae (Diptera, Culicidae)" Insects 16, no. 3: 255. https://doi.org/10.3390/insects16030255
APA StyleRady, M. H., Ammar, A. M., Al-Khalaf, A. A., Khalil, A., Azzam, M. A., Abdel-Shafi, A. A., & Farag, S. M. (2025). Semi-Field Evaluation and Genotoxicity of Chlorophyllin Applied Against Aedes aegypti Larvae (Diptera, Culicidae). Insects, 16(3), 255. https://doi.org/10.3390/insects16030255
