The Morphology of the Dorsal Part of the First Rib in Neurogenic Thoracic Outlet Syndrome Patients: A Retrospective Clinical Study
Abstract
1. Introduction
- Local findings: Symptoms are consistent with irritation or inflammation in the area of compression, such as the scalene triangle. Complaints may be reported in the chest wall, axilla, neck, shoulder, upper back, or head. Palpation of the affected area will be painful.
- Peripheral findings: Symptoms in the hand or arm consistent with compression of central nerves are noted. Symptoms include numbness, paresthesia, pain, and muscle weakness. Often these symptoms can be aggravated by specific maneuvers or reproduced by palpation of the affected region (e.g., scalene triangle).
- Other diagnoses that could explain the complaints (cervical disc prolapse, orthopedic disorders of the shoulder, carpal tunnel syndrome, complex regional pain syndrome, brachial neuritis) have been excluded.
- Positive test injection into the pectoralis minor muscle and/or scalene muscle.
2. Material and Methods
3. Results
4. Discussion
Author Contributions
Funding
Institutional Review Board Statement
Informed Consent Statement
Data Availability Statement
Conflicts of Interest
References
- Illig, K.A.; Donahue, D.; Duncan, A.; Freischlag, J.; Gelabert, H.; Johansen, K.; Jordan, S.; Sanders, R.; Thompson, R. Reporting standards of the Society for Vascular Surgery for thoracic outlet syndrome. J. Vasc. Surg. 2016, 64, e23–e35. [Google Scholar] [CrossRef]
- Prescher, A.; Schuster, D. Anatomy of the lateral cervical region with emphasis on thoracic outlet syndrome. Handchir. Mikrochir. Plast. Chir. 2006, 38, 6–13. [Google Scholar] [CrossRef]
- Illig, K.A.; Rodriguez-Zoppi, E.; Bland, T.; Muftah, M.; Jospitre, E. The Incidence of Thoracic Outlet Syndrome. Ann. Vasc. Surg. 2021, 70, 263–272. [Google Scholar] [CrossRef]
- Gelberman, R.H. Operative Nerve Repair and Reconstruction; Lippincott: Philadelphia, PA, USA, 1991; Volume 2. [Google Scholar]
- Goeteyn, J.; Pesser, N.; Houterman, S.; Sambeek, M.; Nuenen, B.F.L.; Teijink, J. Surgery versus Continued Conservative Treatment for Neurogenic Thoracic Outlet Syndrome: The First Randomised Clinical Trial (STOPNTOS Trial). J. Vasc. Surg. 2022, 76, 848. [Google Scholar] [CrossRef]
- Pesser, N.; Bruijn, B.; Goeteyn, J.; Houterman, S.; Sambeek, M.; Thompson, R.; Teijink, J.; Nuenen, B. Reliability and Validity of the Elevated Arm Stress Test in the Diagnosis of Neurogenic Thoracic Outlet Syndrome. J. Vasc. Surg. 2022, 76, 814–820. [Google Scholar] [CrossRef]
- Goeteyn, J.; Van Der Sanden, L.; Pesser, N.; Houterman, S.; van Sambeek, M.; van Nuenen, B.F.L.; Teijink, J.A.W. Redo surgery for neurogenic thoracic outlet syndrome is useful. J. Vasc. Surg. 2022, 76, 531–537.e531. [Google Scholar] [CrossRef] [PubMed]
- Povlsen, B.; Hansson, T.; Povlsen, S.D. Treatment for thoracic outlet syndrome. Cochrane Database Syst. Rev. 2014, 11. [Google Scholar] [CrossRef] [PubMed]
- Kuschner, S.H.; Fechter, J.D. Thoracic outlet syndrome: Diagnosisand treatment. Oper. Tech. Sports Med. 1996, 4, 2–7. [Google Scholar] [CrossRef]
- Thompson, R.W. Diagnosis of Neurogenic Thoracic Outlet Syndrome: 2016 Consensus Guidelines and Other Strategies. In Thoracic Outlet Syndrome; Illig, K.A., Thompson, R.W., Freischlag, J.A., Donahue, D.M., Jordan, S.E., Lum, Y.W., Gelabert, H.A., Eds.; Springer International Publishing: Cham, Switzerland, 2021; pp. 67–97. [Google Scholar]
- Sanders, R.J.; Donahue, D.M. Pathology and Pathophysiology of NTOS. In Thoracic Outlet Syndrome; Illig, K.A., Thompson, R.W., Freischlag, J.A., Donahue, D.M., Jordan, S.E., Lum, Y.W., Gelabert, H.A., Eds.; Springer International Publishing: Cham, Switzerland, 2021; pp. 53–60. [Google Scholar]
- Teijink, S.; Pesser, N.; Goeteyn, J.; Barnhoorn, R.; Sambeek, M.; Nuenen, B.; Gelabert, H.; Teijink, J. General Overview and Diagnostic (Imaging) Techniques for Neurogenic Thoracic Outlet Syndrome. Diagnostics 2023, 13, 1625. [Google Scholar] [CrossRef] [PubMed]
- Kuhn, J.E.; Lebus, V.G.; Bible, J.E. Thoracic outlet syndrome. J. Am. Acad. Orthop. Surg. 2015, 23, 222–232. [Google Scholar] [CrossRef]
- Goeteyn, J.; van Nuenen, B.; van Sambeek, M.; Teijink, J. Diagnosis and Treatment of Thoracic Outlet Syndrome in The Netherlands. In Thoracic Outlet Syndrome; Illig, K.A., Thompson, R.W., Freischlag, J.A., Donahue, D.M., Jordan, S.E., Lum, Y.W., Gelabert, H.A., Eds.; Springer International Publishing: Cham, Switzerland, 2021; pp. 467–476. [Google Scholar]
- Thompson, R.W.; Ohman, J.W.; Earley, J.A.; Henderson, K.M. Pathways of Care and Treatment Options for Patients with Neurogenic TOS. In Thoracic Outlet Syndrome; Illig, K.A., Thompson, R.W., Freischlag, J.A., Donahue, D.M., Jordan, S.E., Lum, Y.W., Gelabert, H.A., Eds.; Springer International Publishing: Cham, Switzerland, 2021; pp. 201–210. [Google Scholar]
- Lassner, F.; Becker, M.; Prescher, A. Relevance of Costovertebral Exarticulation of the First Rib in Neurogenic Thoracic Outlet Syndrome: A Retrospective Clinical Study. J. Pers. Med. 2023, 13, 144. [Google Scholar] [CrossRef] [PubMed]
- Atasoy, E. A hand surgeon’s advanced experience with thoracic outlet compression syndrome. Handchir. Mikrochir. Plast. Chir. 2013, 45, 131–150. [Google Scholar] [CrossRef]
- Koo, T.K.; Li, M.Y. A Guideline of Selecting and Reporting Intraclass Correlation Coefficients for Reliability Research. J. Chiropr. Med. 2016, 15, 155–163. [Google Scholar] [CrossRef]
- Field, A. Discovering Statistics Using SPSS.; Sage: New York, NY, USA, 2009. [Google Scholar]
- Shapiro, S.S.; Wilk, M.B. An analysis of variance test for normality (complete samples). Biometrika 1965, 52, 591–611. [Google Scholar] [CrossRef]
- Levene, H. Robust tests for equality of variances. In Contributions to Probability and Statistics: Essays in Honor of Harold Hotelling; Olkin, I., Ghurye, G.S., Hoeffding, W., Madow, G.W., Mann, B.H., Eds.; Stanford University Press: Stanford, CA, USA, 1961; Volume 3, pp. 278–292. [Google Scholar]
- Kuwayama, D.P.; Lund, J.R.; Brantigan, C.O.; Glebova, N.O. Choosing Surgery for Neurogenic TOS: The Roles of Physical Exam, Physical Therapy, and Imaging. Diagnostics 2017, 7, 37. [Google Scholar] [CrossRef]
- Cohen, J. Statistical Power Analysis for the Behavioral Sciences, 2nd ed.; Lawrence Earlbaum Associates: New York, NY, USA, 1988. [Google Scholar]
- Annest, S.J.; Melendez, B.A.; Sanders, R.J. Recurrent and Residual Neurogenic Thoracic Outlet Syndrome. In Thoracic Outlet Syndrome; Illig, K.A., Thompson, R.W., Freischlag, J.A., Donahue, D.M., Jordan, S.E., Lum, Y.W., Gelabert, H.A., Eds.; Springer International Publishing: Cham, Switzerland, 2021; pp. 333–340. [Google Scholar]
- Urschel, H.C.; Razzuk, M.A. The Failed Operation for Thoracic Outlet Syndrome: The Difficulty of Diagnosis and Management. Ann. Thorac. Surg. 1986, 42, 523–528. [Google Scholar] [CrossRef]
- Gelabert, H.A.; Jabori, S.; Barleben, A.; Kiang, S.; O’Connell, J.; Jimenez, J.C.; Derubertis, B.; Rigberg, D. Regrown first rib in patients with recurrent thoracic outlet syndrome. Ann. Vasc. Surg. 2014, 28, 933–938. [Google Scholar] [CrossRef] [PubMed]
- Likes, K.; Dapash, T.; Rochlin, D.H.; Freischlag, J.A. Remaining or Residual First Ribs Are the Cause of Recurrent Thoracic Outlet Syndrome. Ann. Vasc. Surg. 2014, 28, 939–945. [Google Scholar] [CrossRef] [PubMed]
- Ambrad-Chalela, E.; Thomas, G.I.; Johansen, K.H. Recurrent neurogenic thoracic outlet syndrome. Am. J. Surg. 2004, 187, 505–510. [Google Scholar] [CrossRef] [PubMed]
- Gadiwalla, Q.; Dong, S.; Recarey, M.; Nguyen, B.; Lala, S. Recurrent arterial and new-onset neurogenic thoracic outlet syndrome as a complication after previously inadequately excised first and cervical ribs. J. Vasc. Surg. Cases Innov. Tech. 2022, 8, 328–330. [Google Scholar] [CrossRef] [PubMed]
- Phillips, W.W.; Donahue, D.M. Reoperation for Persistent or Recurrent Neurogenic Thoracic Outlet Syndrome. Thorac. Surg. Clin. 2021, 31, 89–96. [Google Scholar] [CrossRef]
- Piechowiak, E.I.; Peter, J.F.; Kleb, B.; Klose, K.J.; Heverhagen, J.T. Intravenous Iodinated Contrast Agents Amplify DNA Radiation Damage at CT. Radiology 2015, 275, 692–697. [Google Scholar] [CrossRef] [PubMed]
- Shin, E.; Lee, S.; Kang, H.; Kim, J.; Kim, K.; Youn, H.; Jin, Y.W.; Seo, S.; Youn, B. Organ-Specific Effects of Low Dose Radiation Exposure: A Comprehensive Review. Front. Genet. 2020, 11, 566244. [Google Scholar] [CrossRef] [PubMed]
- Sanders, R.J.; Annest, S.J. Does the First Rib Always Need to Be Removed? In Thoracic Outlet Syndrome; Illig, K.A., Thompson, R.W., Freischlag, J.A., Donahue, D.M., Jordan, S.E., Lum, Y.W., Gelabert, H.A., Eds.; Springer International Publishing: Cham, Switzerland, 2021; pp. 387–389. [Google Scholar]
- Sanders, R.J.; Pearce, W.H. The treatment of thoracic outlet syndrome: A comparison of different operations. J. Vasc. Surg. 1989, 10, 626–634. [Google Scholar] [CrossRef] [PubMed]
- Cheng, S.W.; Reilly, L.M.; Nelken, N.A.; Ellis, W.V.; Stoney, R.J. Neurogenic thoracic outlet decompression: Rationale for sparing the first rib. Cardiovasc. Surg. 1995, 3, 617–623; discussion 624. [Google Scholar] [CrossRef]








| Stage | Symptoms |
|---|---|
| 0 | None, no limitations for physical load. |
| 1 | Symptoms when submitted to a severe physical load, with corresponding occupational limitations; symptom-free in daily activities. |
| 2 | Symptoms when submitted to a moderate physical load, with limitations in daily activities. |
| 3 | Symptoms under a light physical load; severe limitations in daily activities. |
| 4 | Permanent symptoms; motor and sensory deficits. |
| Inclusion criteria |
|
| Exclusion criteria |
|
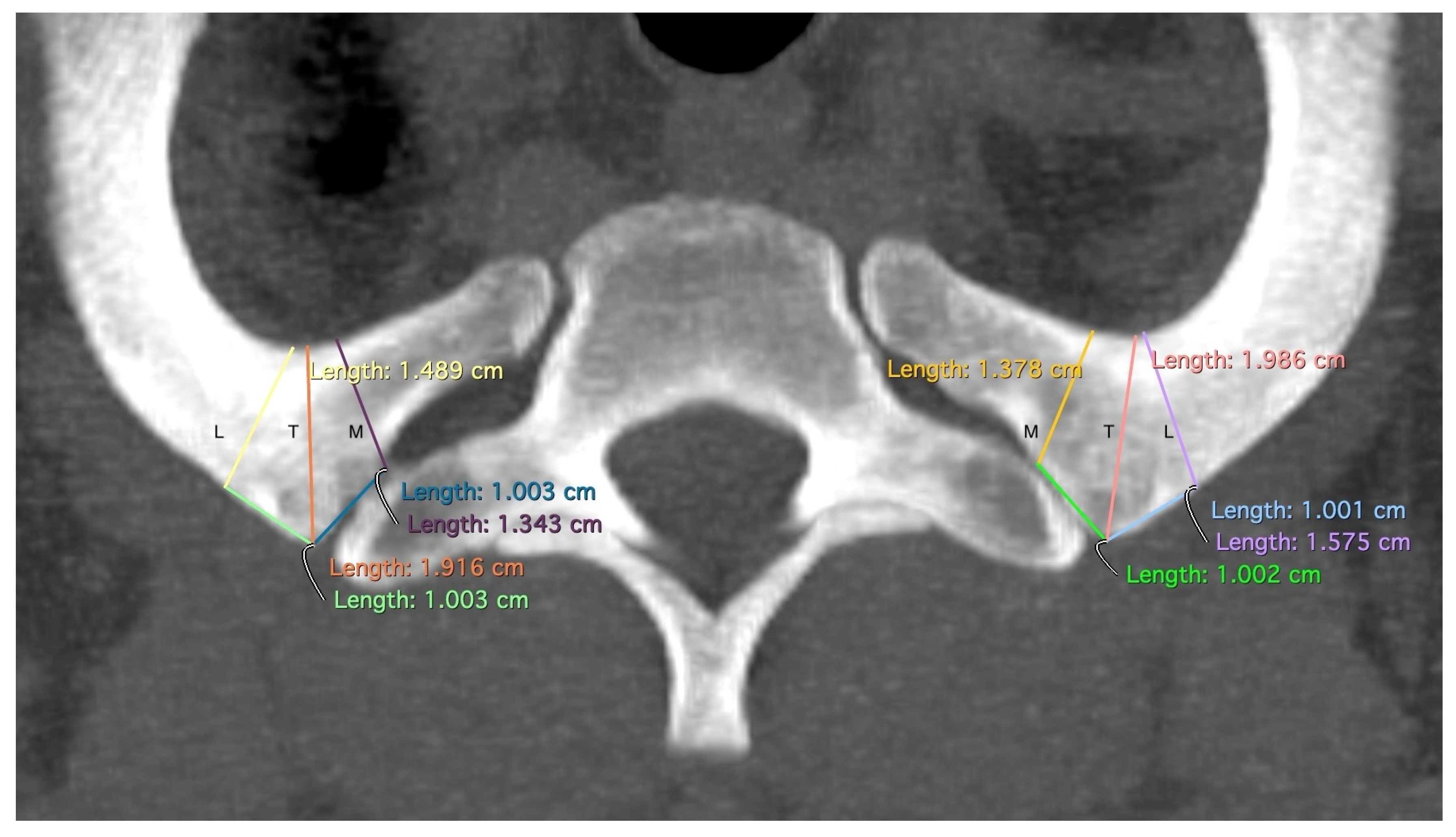
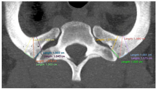
| Variable Name | Abbreviation | Description |
|---|---|---|
| Tuberculum | T | The minimal width of the rib at the level of the tuberculum costae 1 |
| Medial | M | The minimal width of the rib 1 cm medial to the tuberculum costae 1 |
| Lateral | L | The minimal width of the rib 1 cm lateral to the tuberculum costae 1 |
| Rib width | R | Minimal width of the rib at the height of the front edge of the first thoracic vertebral body. |
| Anterior to posterior rip extension | RAP | From the most ventral point of the caput costae 1, a perpendicular line to the tangent of the posterior edge of the first thoracic vertebral body. |
| Vertebral body width | VBW | Width of the first vertebral body at the level of the centre of the articulatio capitis costae 1 |
| Vertebral body depth | VBD | From anterior edge to posterior edge (most ventral point of vertebral foramen) of the first vertebral body |
Disclaimer/Publisher’s Note: The statements, opinions and data contained in all publications are solely those of the individual author(s) and contributor(s) and not of MDPI and/or the editor(s). MDPI and/or the editor(s) disclaim responsibility for any injury to people or property resulting from any ideas, methods, instructions or products referred to in the content. |
© 2024 by the authors. Licensee MDPI, Basel, Switzerland. This article is an open access article distributed under the terms and conditions of the Creative Commons Attribution (CC BY) license (https://creativecommons.org/licenses/by/4.0/).
Share and Cite
Fox, R.; Lassner, F.; Prescher, A. The Morphology of the Dorsal Part of the First Rib in Neurogenic Thoracic Outlet Syndrome Patients: A Retrospective Clinical Study. J. Pers. Med. 2024, 14, 150. https://doi.org/10.3390/jpm14020150
Fox R, Lassner F, Prescher A. The Morphology of the Dorsal Part of the First Rib in Neurogenic Thoracic Outlet Syndrome Patients: A Retrospective Clinical Study. Journal of Personalized Medicine. 2024; 14(2):150. https://doi.org/10.3390/jpm14020150
Chicago/Turabian StyleFox, Robert, Franz Lassner, and Andreas Prescher. 2024. "The Morphology of the Dorsal Part of the First Rib in Neurogenic Thoracic Outlet Syndrome Patients: A Retrospective Clinical Study" Journal of Personalized Medicine 14, no. 2: 150. https://doi.org/10.3390/jpm14020150
APA StyleFox, R., Lassner, F., & Prescher, A. (2024). The Morphology of the Dorsal Part of the First Rib in Neurogenic Thoracic Outlet Syndrome Patients: A Retrospective Clinical Study. Journal of Personalized Medicine, 14(2), 150. https://doi.org/10.3390/jpm14020150
