Surgical Management of Groove Pancreatitis: A Case Report
Abstract
1. Introduction
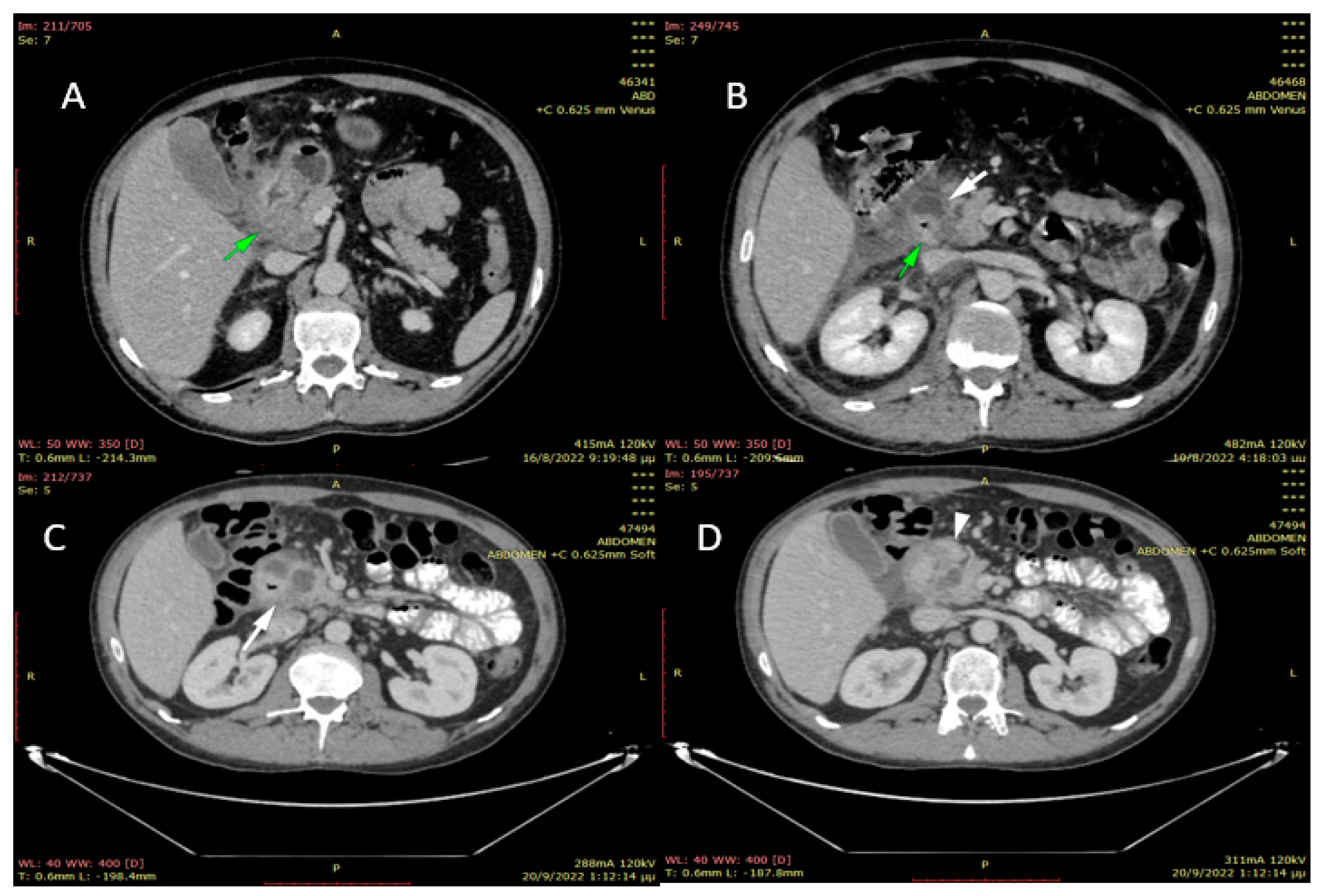
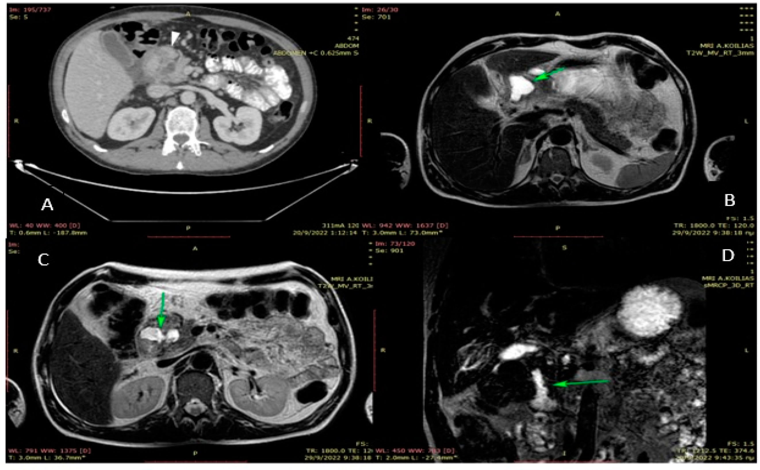
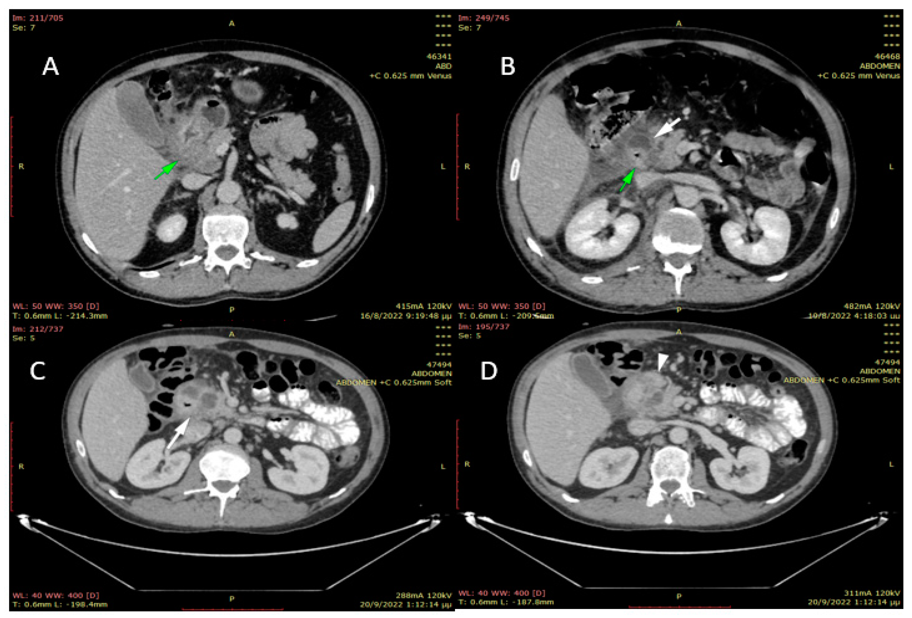
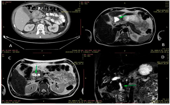
2. Case Presentation
3. Discussion
4. Conclusions
Author Contributions
Funding
Institutional Review Board Statement
Informed Consent Statement
Data Availability Statement
Conflicts of Interest
References
- Stolte, M.; Weiss, W.; Volkholz, H.; Rösch, W. A special form of segmental pancreatitis: “groove pancreatitis”. Hepato-Gastroenterology 1982, 29, 198–208. [Google Scholar] [PubMed]
- Tezuka, K.; Makino, T.; Hirai, I.; Kimura, W. Groove Pancreatitis. Dig. Surg. 2010, 27, 149–152. [Google Scholar] [CrossRef] [PubMed]
- Becker, V.; Mischke, U. Groove pancreatitis. Int. J. Pancreatol. 1991, 10, 173–182. [Google Scholar] [CrossRef] [PubMed]
- Bacalbasa, N.; Balescu, I.; Dima, S.; Popescu, I. Pancreatoduodenectomy for groove pancreatitis: A case report and literature review. Exp. Ther. Med. 2021, 22, 1455. [Google Scholar] [CrossRef] [PubMed]
- Tahara, K.; Kanamori, Y.; Miyake, K.; Kudo, Y.; Fujita, T.; Kutsukake, M.; Mori, T.; Yamada, Y.; Fujino, A.; Shimizu, H.; et al. Groove pancreatitis treated by duodenal and biliary bypass. J. Pediatr. Surg. Case Rep. 2020, 59, 101540. [Google Scholar] [CrossRef]
- Manzelli, A.; Petrou, A.; Lazzaro, A.; Brennan, N.; Soonawalla, Z.; Friend, P. Groove Pancreatitis. A Mini-Series Report and Review of the Literature. JOP J. Pancreas 2011, 12, 230–233. [Google Scholar] [CrossRef]
- Casetti, L.; Bassi, C.; Salvia, R.; Butturini, G.; Graziani, R.; Falconi, M.; Frulloni, L.; Crippa, S.; Zamboni, G.; Pederzoli, P. “Paraduodenal” Pancreatitis: Results of Surgery on 58 Consecutives Patients from a Single Institution. World J. Surg. 2009, 33, 2664–2669. [Google Scholar] [CrossRef]
- Isayama, H.; Kawabe, T.; Komatsu, Y.; Sasahira, N.; Toda, N.; Tada, M.; Nakai, Y.; Yamamoto, N.; Hirano, K.; Tsujino, T.; et al. Successful treatment for groove pancreatitis by endoscopic drainage via the minor papilla. Gastrointest. Endosc. 2005, 61, 175–178. [Google Scholar] [CrossRef]
- DeSouza, K.; Nodit, L. Groove Pancreatitis: A Brief Review of a Diagnostic Challenge. Arch. Pathol. Lab. Med. 2015, 139, 417–421. [Google Scholar] [CrossRef]
- Ismail, I.B.; Zenaidi, H.; Yahmadi, A.; Rebii, S.; Zoghlami, A. Surgical management of groove pancreatitis: A case report. Pan Afr. Med. J. 2020, 36, 99. [Google Scholar] [CrossRef]
- Balakrishnan, V.; Chatni, S.; Radhakrishnan, L.; Narayanan, V.A.; Nair, P. Groove pancreatitis: A case report and review of literature. JOP J. Pancreas 2007, 8, 592–597. [Google Scholar]
- Latham, J.; Sanjay, P.; Watt, D.; Walsh, S.; Tait, I. Groove pancreatitis: A case series and review of the literature. Scott. Med. J. 2013, 58, e28–e31. [Google Scholar] [CrossRef]
- Rebours, V.; Lévy, P.; Vullierme, M.-P.; Couvelard, A.; O’Toole, D.; Aubert, A.; Palazzo, L.; Sauvanet, A.; Hammel, P.; Maire, F.; et al. Clinical and Morphological Features of Duodenal Cystic Dystrophy in Heterotopic Pancreas. Am. J. Gastroenterol. 2007, 102, 871–879. [Google Scholar] [CrossRef]
- Joshi, S.S.; Dhok, A.; Mitra, K.; Onkar, P. Groove pancreatitis: A unique case of focal pancreatitis. J. Clin. Imaging Sci. 2022, 12, 54. [Google Scholar] [CrossRef]
- Kutty, S.A.; Chirukandath, R.; Babu, P.J.; Nimisha, C. Groove Pancreatitis: A Case Report and Review of a Hidden Type of Chronic Pancreatitis. Cureus 2022, 14, e27738. [Google Scholar] [CrossRef]
- Parga-Bermúdez, J.; Gómez, M. Groove pancreatitis mimicking pancreatic cancer: Case report and literature review. Rev. Colomb. Gastroenterol. 2021, 36, 19–25. [Google Scholar] [CrossRef]
- Gabata, T.; Kadoya, M.; Terayama, N.; Sanada, J.; Kobayashi, S.; Matsui, O. Groove pancreatic carcinomas: Radiological and pathological findings. Eur. Radiol. 2003, 13, 1679–1684. [Google Scholar] [CrossRef]
- Triantopoulou, C.; Dervenis, C.; Giannakou, N.; Papailiou, J.; Prassopoulos, P. Groove pancreatitis: A diagnostic challenge. Eur. Radiol. 2009, 19, 1736–1743. [Google Scholar] [CrossRef]
- Itoh, S.; Yamakawa, K.; Shimamoto, K.; Endo, T.; Ishigaki, T. CT Findings in Groove Pancreatitis: Correlation with histopathological findings. J. Comput. Assist. Tomogr. 1994, 18, 911–915. [Google Scholar] [CrossRef]
- Ray, S.; Ghatak, S.; Misra, D.; Dasgupta, J.; Biswas, J.; Khamrui, S.; Bandyopadhyay, D.; Ghosh, R. Groove Pancreatitis: Report of Three Cases with Brief Review of Literature. Indian J. Surg. 2017, 79, 344–348. [Google Scholar] [CrossRef]
- Blasbalg, R.; Baroni, R.H.; Costa, D.N.; Machado, M.C.C. MRI Features of Groove Pancreatitis. Am. J. Roentgenol. 2007, 189, 73–80. [Google Scholar] [CrossRef] [PubMed]
- Ferreira, A.C.; Ramalho, M.; Herédia, V.; Campos, R.; Marques, P. Groove pancreatitis: A Case Report and Review of the Literature. J. Radiol. Case Rep. 2010, 4, 9–17. [Google Scholar] [CrossRef] [PubMed]
- El-Nekidy, A.E.-A.M.; Ibrahim, M.E.; Abdelgawad, M.S.; Abouyoussef, R.A.; Abdelkader, A.A.; Elfaiomy, T.A. Groove pancreatitis: Imaging features and management. Egypt. J. Radiol. Nucl. Med. 2016, 47, 1175–1184. [Google Scholar] [CrossRef]
- Kalb, B.; Martin, D.R.; Sarmiento, J.M.; Erickson, S.H.; Gober, D.; Tapper, E.B.; Chen, Z.; Adsay, N.V. Paraduodenal Pancreatitis: Clinical Performance of MR Imaging in Distinguishing from Carcinoma. Radiology 2013, 269, 475–481. [Google Scholar] [CrossRef]
- Nanjaraj, C.P.; Basavaraj, B.S.; Manupratap, N.; Shashikumar, M.R.; Rajendrakumar, N.L.; Praveenkumar, M.; Rashmi, T.U. Groove pancreatitis—A great mimicker. BJR Case Rep. 2016, 2, 20150316. [Google Scholar] [CrossRef]
- Chantarojanasiri, T.; Isayama, H.; Nakai, Y.; Matsubara, S.; Yamamoto, N.; Takahara, N.; Mizuno, S.; Hamada, T.; Kogure, H.; Koike, K. Groove Pancreatitis: Endoscopic Treatment via the Minor Papilla and Duct of Santorini Morphology. Gut Liver 2018, 12, 208–213. [Google Scholar] [CrossRef]


Disclaimer/Publisher’s Note: The statements, opinions and data contained in all publications are solely those of the individual author(s) and contributor(s) and not of MDPI and/or the editor(s). MDPI and/or the editor(s) disclaim responsibility for any injury to people or property resulting from any ideas, methods, instructions or products referred to in the content. |
© 2023 by the authors. Licensee MDPI, Basel, Switzerland. This article is an open access article distributed under the terms and conditions of the Creative Commons Attribution (CC BY) license (https://creativecommons.org/licenses/by/4.0/).
Share and Cite
Ioannidis, A.; Menni, A.; Tzikos, G.; Ioannidou, E.; Makri, G.; Vouchara, A.; Goulas, P.; Karlafti, E.; Psoma, E.; Mavropoulou, X.; et al. Surgical Management of Groove Pancreatitis: A Case Report. J. Pers. Med. 2023, 13, 644. https://doi.org/10.3390/jpm13040644
Ioannidis A, Menni A, Tzikos G, Ioannidou E, Makri G, Vouchara A, Goulas P, Karlafti E, Psoma E, Mavropoulou X, et al. Surgical Management of Groove Pancreatitis: A Case Report. Journal of Personalized Medicine. 2023; 13(4):644. https://doi.org/10.3390/jpm13040644
Chicago/Turabian StyleIoannidis, Aristeidis, Alexandra Menni, Georgios Tzikos, Eleni Ioannidou, Georgia Makri, Angeliki Vouchara, Patroklos Goulas, Eleni Karlafti, Elizabeth Psoma, Xanthipi Mavropoulou, and et al. 2023. "Surgical Management of Groove Pancreatitis: A Case Report" Journal of Personalized Medicine 13, no. 4: 644. https://doi.org/10.3390/jpm13040644
APA StyleIoannidis, A., Menni, A., Tzikos, G., Ioannidou, E., Makri, G., Vouchara, A., Goulas, P., Karlafti, E., Psoma, E., Mavropoulou, X., & Paramythiotis, D. (2023). Surgical Management of Groove Pancreatitis: A Case Report. Journal of Personalized Medicine, 13(4), 644. https://doi.org/10.3390/jpm13040644

