Phase II Trial of LINAC-Based STereotactic Arrhythmia Radioablation (STAR) for Paroxysmal Atrial Fibrillation in Elderly: Planning and Dosimetric Point of View
Abstract
1. Introduction
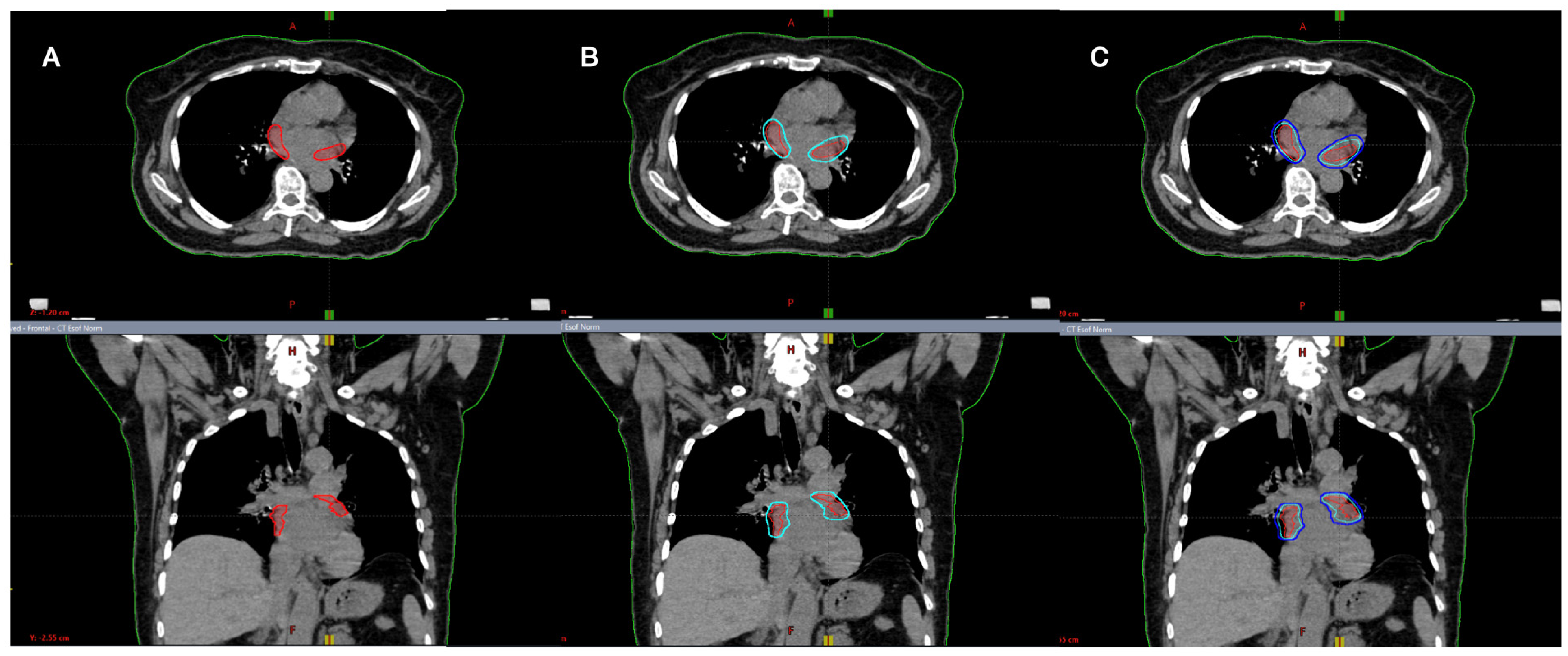
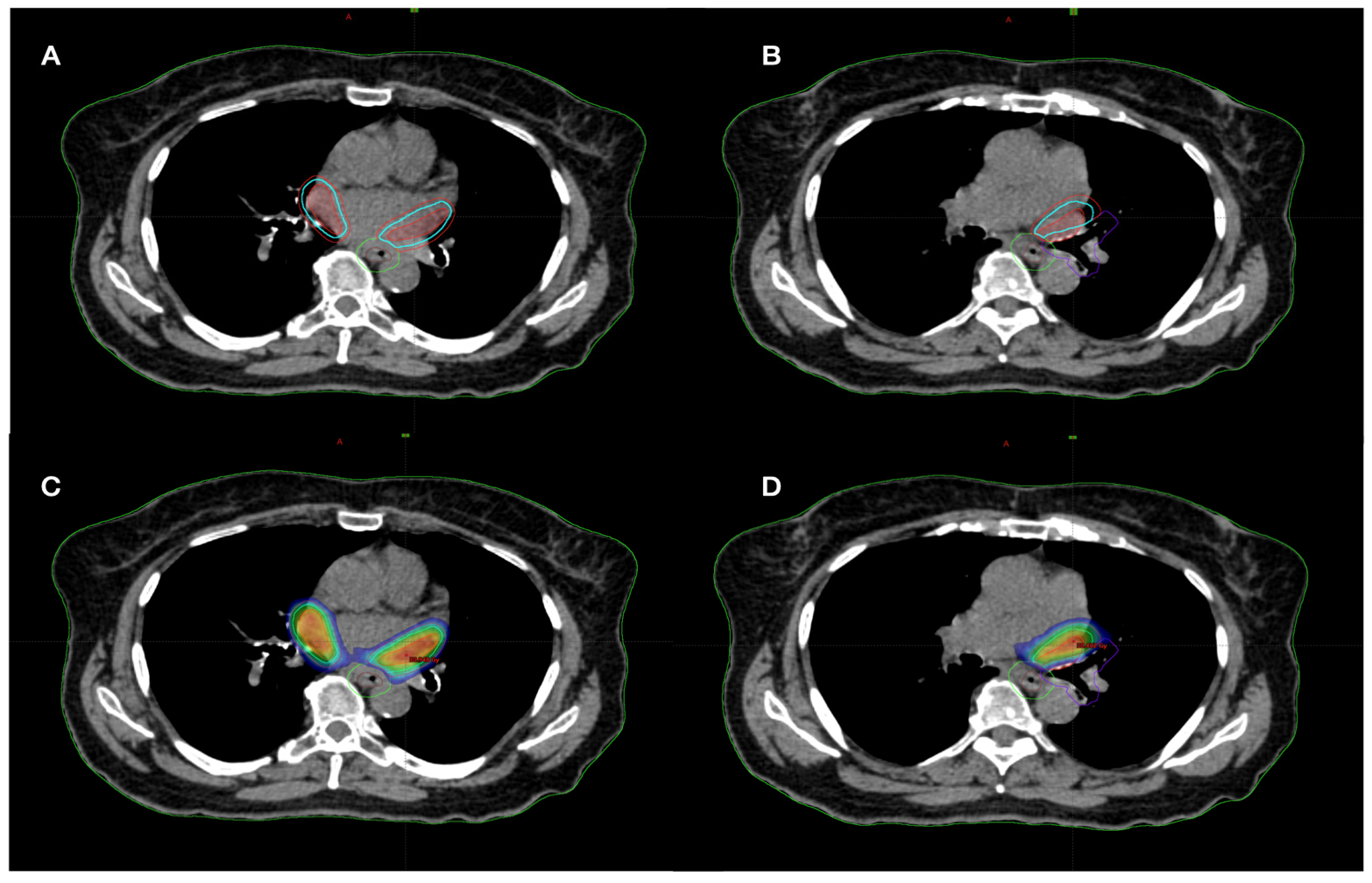
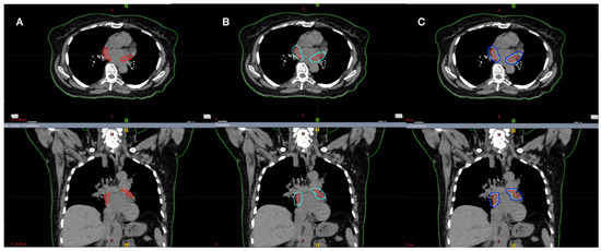
2. Methods
3. Results
4. Discussion
5. Conclusions
Author Contributions
Funding
Institutional Review Board Statement
Informed Consent Statement
Data Availability Statement
Conflicts of Interest
References
- Hindricks, G.; Potpara, T.; Dagres, N.; Arbelo, E.; Bax, J.J.; Blomström-Lundqvist, C.; Boriani, G.; Castella, M.; Dan, G.-A.; Dilaveris, P.E.; et al. ESC Guidelines for the diagnosis and management of atrial fibrillation developed in collaboration with the European Association for Cardio-Thoracic Surgery (EACTS): The Task Force for the diagnosis and management of atrial fibrillation of the European Society of Cardiology (ESC) Developed with the special contribution of the European Heart Rhythm Association (EHRA) of the ESC. Eur. Heart J. 2021, 42, 4194. [Google Scholar] [CrossRef] [PubMed]
- Kennedy, R.; Oral, H. Catheter ablation of atrial fibrillation in the elderly: Does the benefit outweigh the risk? Expert. Rev. Cardiovasc. Ther. 2013, 11, 697–704. [Google Scholar] [CrossRef] [PubMed]
- Fiorentino, A.; Gregucci, F.; Bonaparte, I.; Vitulano, N.; Surgo, A.; Mazzola, R.; Di Monaco, A.; Carbonara, R.; Alongi, F.; Langialonga, T.; et al. Stereotactic Ablative radiation therapy (SABR) for cardiac arrhythmia: A new therapeutic option? Radiol. Med. 2021, 126, 155–162. [Google Scholar] [CrossRef]
- Bonaparte, I.; Gregucci, F.; Surgo, A.; Di Monaco, A.; Vitulano, N.; Ludovico, E.; Carbonara, R.; Ciliberti, M.P.; Quadrini, F.; Grimaldi, M.; et al. Linac-based STereotactic Arrhythmia Radioablation (STAR) for ventricular tachycardia: A treatment planning study. Jpn. J. Radiol. 2021, 39, 1223–1228. [Google Scholar] [CrossRef]
- Fiorentino, A.; Di Monaco, A.; Surgo, A.; Vitulano, N.; Gregucci, F.; Ludovico, E.; Carbonara, R.; Quadrini, F.; Rubini, G.; Bonaparte, I.; et al. Linac-based STereotactic Arrhythmia Radioablation (STAR) of ventricular tachycardia: Case report and literature review. Clin. Case Rep. 2020, 9, 362–366. [Google Scholar] [CrossRef] [PubMed]
- Blanck, O.; Bode, F.; Gebhard, M.; Hunold, P.; Brandt, S.; Bruder, R.; Grossherr, M.; Vonthein, R.; Rades, D.; Dunst, J. Dose-escalation study for cardiac radiosurgery in a porcine model. Int. J. Radiat. Oncol. Biol. Phys. 2014, 89, 590–598. [Google Scholar] [CrossRef] [PubMed]
- Bode, F.; Blanck, O.; Gebhard, M.; Hunold, P.; Grossherr, M.; Brandt, S.; Vonthein, R.; Thiele, H.; Dunst, J.; Rades, D. Pulmonary vein isolation by radiosurgery: Implications for non-invasive treatment of atrial fibrillation. Europace 2015, 17, 1868–1874. [Google Scholar] [CrossRef]
- Chang, J.H.; Cha, M.-J.; Seo, J.-W.; Kim, H.J.; Park, S.-Y.; Kim, B.H.; Lee, E.; Kim, M.-K.; Yoon, H.-S.; Oh, S. Feasibility study on stereotactic radiotherapy for total pulmonary vein isolation in a canine model. Sci. Rep. 2021, 11, 12369. [Google Scholar] [CrossRef]
- Zhang, D.M.; Navara, R.; Yin, T.; Szymanski, J.; Goldsztejn, U.; Kenkel, C.; Lang, A.; Mpoy, C.; Lipovsky, C.E.; Qiao, Y.; et al. Cardiac radiotherapy induces electrical conduction reprogramming in the absence of transmural fibrosis. Nat. Commun. 2021, 12, 5558. [Google Scholar] [CrossRef]
- Cha, M.J.; Seo, J.W.; Kim, H.J.; Kim, M.K.; Yoon, H.S.; Jo, S.W.; Oh, S.; Chang, J.H. Early Changes in Rat Heart After High-Dose Irradiation: Implications for Antiarrhythmic Effects of Cardiac Radioablation. J. Am. Heart Assoc. 2021, 10, e019072. [Google Scholar] [CrossRef]
- Di Monaco, A.; Gregucci, F.; Bonaparte, I.; Troisi, F.; Surgo, A.; Di Molfetta, D.; Vitulano, N.; Quadrini, F.; Carbonara, R.; Martinelli, G.; et al. Paroxysmal Atrial Fibrillation in Elderly: Worldwide Preliminary Data of LINAC-Based Stereotactic Arrhythmia Radioablation Prospective Phase II Trial. Front. Cardiovasc. Med. 2022, 9, 832446. [Google Scholar] [CrossRef] [PubMed]
- Kong, F.M.; Ritter, T.; Quint, D.J.; Senan, S.; Gaspar, L.E.; Komaki, R.U.; Hurkmans, C.W.; Timmerman, R.; Bezjak, A.; Bradley, J.D.; et al. Consideration of dose limits for organs at risk of thoracic radiotherapy: Atlas for lung, proximal bronchial tree, esophagus, spinal cord, ribs, and brachial plexus. Int. J. Radiat. Oncol. Biol. Phys. 2011, 81, 1442–1457. [Google Scholar] [CrossRef] [PubMed]
- Milo, M.L.H.; Offersen, B.V.; Bechmann, T.; Diederichsen, A.C.P.; Hansen, C.R.; Holtved, E.; Josipovic, M.; Lörincz, T.; Maraldo, M.V.; Nielsen, M.H.; et al. Delineation of whole heart and substructures in thoracic radiation therapy: National guidelines and contouring atlas by the Danish Multidisciplinary Cancer Groups. Radiother. Oncol. 2020, 150, 121–127. [Google Scholar] [CrossRef] [PubMed]
- Duane, F.; Aznar, M.C.; Bartlett, F.; Cutter, D.J.; Darby, S.C.; Jagsi, R.; Lorenzen, E.L.; McArdle, O.; McGale, P.; Myerson, S.; et al. A cardiac contouring atlas for radiotherapy. Radiother. Oncol. 2017, 122, 416–422. [Google Scholar] [CrossRef] [PubMed]
- Bahig, H.; De Guise, J.; Vu, T.; Chartrand-Lefebvre, C.; Blais, D.; Lebeau, M.; Nguyen, N.T.; Roberge, D. Analysis of Pulmonary Vein Antrums Motion with Cardiac Contraction Using Dual-Source Computed Tomography. Cureus 2016, 8, e712. [Google Scholar]
- Benedict, S.H.; Yenice, K.M.; Followill, D.; Galvin, J.M.; Hinson, W.; Kavanagh, B.; Keall, P.; Lovelock, M.; Meeks, S.; Papiez, L.; et al. Stereotactic body radiation therapy: The report of AAPM Task Group 101. Med. Phys. 2010, 37, 4078–4101. [Google Scholar] [CrossRef]
- Boda-Heggemann, J.; Blanck, O.; Mehrhof, F.; Ernst, F.; Buergy, D.; Fleckenstein, J.; Tülümen, E.; Krug, D.; Siebert, F.-A.; Zaman, A.; et al. Interdisciplinary Clinical Target Volume Generation for Cardiac Radioablation: Multicenter Benchmarking for the RAdiosurgery for VENtricular TAchycardia (RAVENTA) Trial. Int. J. Radiat. Oncol. Biol. Phys. 2021, 110, 745–756. [Google Scholar] [CrossRef]
- Franzetti, J.; Volpe, S.; Catto, V.; Conte, E.; Piccolo, C.; Pepa, M.; Piperno, G.; Camarda, A.M.; Cattani, F.; Andreini, D.; et al. Stereotactic Radiotherapy Ablation and Atrial Fibrillation: Technical Issues and Clinical Expectations Derived From a Systematic Review. Front. Cardiovasc. Med. 2022, 9, 849201. [Google Scholar] [CrossRef]
- Monroy, E.; Azpiri, J.; De La Peña, C.; Cardona, C.; Hinojosa, M.; Zamarripa, R.; Assad, J. Late Gadolinium Enhancement Cardiac Magnetic Resonance Imaging Post-robotic Radiosurgical Pulmonary Vein Isolation (RRPVI): First Case in the World. Cureus 2016, 8, e738. [Google Scholar] [CrossRef]
- Cox, B.W.; Jackson, A.; Hunt, M.; Bilsky, M.; Yamada, Y. Esophageal toxicity from high-dose, single-fraction paraspinal stereotactic radiosurgery. Int. J. Radiat. Oncol. Biol. Phys. 2012, 83, e661–e667. [Google Scholar] [CrossRef]
- Qian, P.C.; Azpiri, J.R.; Assad, J.; Aceves, E.N.G.; Ibarra, C.E.C.; De La Pena, C.; Bs, M.H.; Wong, D.; Fogarty, T.; Maguire, P.; et al. Noninvasive stereotactic radioablation for the treatment of atrial fibrillation: First-in-man experience. J. Arrhyth. 2020, 36, 67–74. [Google Scholar] [CrossRef]
- Jumeau, R.; Ozsahin, M.; Schwitter, J.; Elicin, O.; Reichlin, T.; Roten, L.; Andratschke, N.; Mayinger, M.; Saguner, A.M.; Steffel, J.; et al. Stereotactic Radiotherapy for the Management of Refractory Ventricular Tachycardia: Promise and Future Directions. Front. Cardiovasc. Med. 2020, 7, 108. [Google Scholar] [CrossRef] [PubMed]
- Hoeller, U.; Borgmann, K.; Oertel, M.; Haverkamp, U.; Budach, V.; Eich, H.T. Late Sequelae of Radiotherapy. Dtsch. Arztebl. Int. 2021, 118, 205–211. [Google Scholar] [CrossRef] [PubMed]
- De Gonzalez, A.B.; Curtis, R.E.; Kry, S.F.; Gilbert, E.; Lamart, S.; Berg, C.D.; Stovall, M.; Ron, E. Proportion of second cancers attributable to radiotherapy treatment in adults: A cohort study in the US SEER cancer registries. Lancet Oncol. 2011, 12, 353–360. [Google Scholar] [CrossRef] [PubMed]
- Preston, D.L.; Ron, E.; Tokuoka, S.; Funamoto, S.; Nishi, N.; Soda, M.; Mabuchi, K.; Kodama, K. Solid cancer incidence in atomic bomb survivors: 1958–1998. Radiat. Res. 2007, 168, 1–64. [Google Scholar] [CrossRef]
- Bhatia, S.; Robison, L.L.; Oberlin, O.; Greenberg, M.; Bunin, G.; Fossati-Bellani, F.; Meadows, A.T. Breast cancer and other second neoplasms after childhood Hodgkin’s disease. N. Engl. J. Med. 1996, 334, 745–751. [Google Scholar] [CrossRef]
- Dörr, W.; Herrmann, T. Second primary tumors after radiotherapy for malignancies, Treatment related parameters. Strahlenther. Onkol. 2002, 178, 357–362. [Google Scholar]
- Di Monaco, A.; Gregucci, F.; Bonaparte, I.; Troisi, F.; Surgo, A.; Di Molfetta, D.; Vitulano, N.; Quadrini, F.; Carbonara, R.; Ludovico, E.; et al. First pulmonary vein isolation using LINAC Based STAR. Arryth. Electrophysiol. 2022, 15, e010880. [Google Scholar] [CrossRef]



| PT 1 | PT 2 | PT 3 | PT 4 | PT 5 | PT 6 | PT 7 | PT 8 | PT 9 | PT 10 | |
|---|---|---|---|---|---|---|---|---|---|---|
| Age (years) | 72 | 78 | 84 | 90 | 80 | 86 | 75 | 83 | 77 | 79 |
| Sex | F | F | F | M | F | M | F | F | M | F |
| CTV tot (right plus left) (cc) | 25.31 | 12.4 | 16.3 | 15.86 | 25.12 | 15.83 | 28.95 | 18.68 | 48.05 | 29.81 |
| ITV tot (cc) | 59.10 | 37.3 | 38.7 | 44.55 | 50.56 | 32.58 | 36.57 | 31.26 | 68.09 | 44.65 |
| ITV tot cropped (cc) | 54.10 | 35.2 | 36 | 40.22 | 39.7 | 28.21 | 29.19 | 25.58 | 63.9 | 39.13 |
| PTV tot (right plus left) (cc) | 78.24 | 55 | 58.9 | 56.6 | 90.69 | 49 | 48.2 | 43.11 | 90.15 | 59.46 |
| PTV tot cropped (cc) | 69.88 | 47.3 | 53.5 | 51.71 | 71.89 | 42.3 | 43.8 | 38 | 89.6 | 56.8 |
| Dose 2% (Gy) | 31.45 | 30.6 | 30.3 | 30.3 | 30.2 | 31 | 32.6 | 31.4 | 33 | 33 |
| CI | 1.80 | 1.06 | 1.99 | 2.82 | 1.14 | 1.15 | 1.09 | 1.07 | 1.01 | 1.00 |
| GM (cm) | 1.34 | 1.28 | 1.28 | 1.44 | 1.60 | 1.24 | 1.28 | 1.31 | 1.45 | 1.35 |
| OTT (minutes) | 3 | 3 | 3 | 3 | 3 | 3 | 3 | 3 | 3 | 3 |
| Plan # | Collimator Degree | Beam Energy (MeV) | Arcs (Number and Degree) | Couch Angle (Degree) | Monitor Units |
|---|---|---|---|---|---|
| #1 | 25–335–105 | 10 × FFF | 3 arcs 240–110 | 0 | 8559 |
| #2 | 75–35–335 | 10 × FFF | 3 arcs 250–110 50–250 320–110 | 0–7–353 | 7622 |
| #3 | 75–35–335 | 10 × FFF | 3 arcs 250–110 50–250 320–110 | 0–7–353 | 7028 |
| #4 | 75–35–335 | 10 × FFF | 3 arcs 250–110 50–250 320–110 | 0–7–353 | 7990 |
| #5 | 75–35–335 | 10 × FFF | 3 arcs 250–110 50–250 320–110 | 0–7–353 | 8014 |
| #6 | 75–35–335 | 10 × FFF | 3 arcs 250–110 50–250 320–110 | 0–7–353 | 8100 |
| #7 | 75–35–335 | 10 × FFF | 3 arcs 250–110 50–250 320–110 | 0–7–353 | 8500 |
| #8 | 75–35–335 | 10 × FFF | 3 arcs 250–110 50–250 320–110 | 0–7–353 | 8040 |
| #9 | 75–35–335 | 10 × FFF | 3 arcs 250–110 50–250 320–110 | 0–7–353 | 6679 |
| #10 | 75–35–335 | 10 × FFF | 3 arcs 180–179 179–330 30–180 | 0–5–355 | 6679 |
| Plan # | Heart Dmean | LAD Dmean | LAD Dmax | Spinal Cord Dmax | Left Bronchus Dmax | Right Bronchus Dmax | Esophagus Dmax | Esophagus D2.5 | Esophagus V12 |
|---|---|---|---|---|---|---|---|---|---|
| #1 | 4.7 Gy | 4.5 Gy | 6.5 Gy | 4 Gy | 10.8 Gy | 4.6 Gy | 11.8 Gy | 9.37 Gy | / |
| #2 | 3.9 Gy | 6.5 Gy | 12 Gy | 8.3 Gy | 8.1 Gy | 18 Gy | 10.7 Gy | 8.59 Gy | / |
| #3 | 3.8 Gy | 7.8 Gy | 13 Gy | 7.1 Gy | 15 Gy | 14 Gy | 12.9 Gy | 10.96 Gy | 0.25 cc |
| #4 | 4 Gy | 6.3 Gy | 9 Gy | 7.1 Gy | 19 Gy | 6.7 Gy | 13.2 Gy | 9.38 Gy | 0.12 cc |
| #5 | 4.2 Gy | 4.1 Gy | 11.2 Gy | 8.9 Gy | 19 Gy | 16.4 Gy | 14.1 Gy | 11.4 Gy | 0.91 cc |
| #6 | 3.7 Gy | 8 Gy | 18 Gy | 7.7 Gy | 10 Gy | 7.5 Gy | 15.4 Gy | 11.48 Gy | 1.38 cc |
| #7 | 3.4 Gy | 8.9 Gy | 14.8 Gy | 7.7 Gy | 15.7 Gy | 16.1 Gy | 14.2 Gy | 11.46 Gy | 0.94 cc |
| #8 | 3.84 Gy | 3.9 Gy | 8.3 Gy | 6 Gy | 19 Gy | 12.6 Gy | 15.2 Gy | 12.07 Gy | 2.76 cc |
| #9 | 3.7 Gy | 8 Gy | 11 Gy | 10.4 Gy | 15 Gy | 15 Gy | 14.6 Gy | 11.03 Gy | 0.91 cc |
| #10 | 4.4 Gy | 5 Gy | 8.6 Gy | 8.4 Gy | 11.2 Gy | 13 Gy | 14.7 Gy | 11.74 Gy | 1.55 cc |
| Plan # | Dmean (Gy) | V5 (%) | V10 (%) |
|---|---|---|---|
| #1 | 0.7 | 3.9 | 0.85 |
| #2 | 0.68 | 4 | 0.9 |
| #3 | 0.58 | 3 | 0.7 |
| #4 | 0.7 | 3.9 | 0.8 |
| #5 | 0.9 | 5.8 | 1.3 |
| #6 | 0.7 | 3.4 | 0.8 |
| #7 | 0.65 | 3 | 0.7 |
| #8 | 0.65 | 2.9 | 0.7 |
| #9 | 0.5 | 2.7 | 0.6 |
| #10 | 0.6 | 3.7 | 0.9 |
Disclaimer/Publisher’s Note: The statements, opinions and data contained in all publications are solely those of the individual author(s) and contributor(s) and not of MDPI and/or the editor(s). MDPI and/or the editor(s) disclaim responsibility for any injury to people or property resulting from any ideas, methods, instructions or products referred to in the content. |
© 2023 by the authors. Licensee MDPI, Basel, Switzerland. This article is an open access article distributed under the terms and conditions of the Creative Commons Attribution (CC BY) license (https://creativecommons.org/licenses/by/4.0/).
Share and Cite
Bonaparte, I.; Gregucci, F.; Di Monaco, A.; Troisi, F.; Surgo, A.; Ludovico, E.; Carbonara, R.; Paulicelli, E.; Sanfrancesco, G.; De Pascali, C.; et al. Phase II Trial of LINAC-Based STereotactic Arrhythmia Radioablation (STAR) for Paroxysmal Atrial Fibrillation in Elderly: Planning and Dosimetric Point of View. J. Pers. Med. 2023, 13, 596. https://doi.org/10.3390/jpm13040596
Bonaparte I, Gregucci F, Di Monaco A, Troisi F, Surgo A, Ludovico E, Carbonara R, Paulicelli E, Sanfrancesco G, De Pascali C, et al. Phase II Trial of LINAC-Based STereotactic Arrhythmia Radioablation (STAR) for Paroxysmal Atrial Fibrillation in Elderly: Planning and Dosimetric Point of View. Journal of Personalized Medicine. 2023; 13(4):596. https://doi.org/10.3390/jpm13040596
Chicago/Turabian StyleBonaparte, Ilaria, Fabiana Gregucci, Antonio Di Monaco, Federica Troisi, Alessia Surgo, Elena Ludovico, Roberta Carbonara, Eleonora Paulicelli, Giuseppe Sanfrancesco, Christian De Pascali, and et al. 2023. "Phase II Trial of LINAC-Based STereotactic Arrhythmia Radioablation (STAR) for Paroxysmal Atrial Fibrillation in Elderly: Planning and Dosimetric Point of View" Journal of Personalized Medicine 13, no. 4: 596. https://doi.org/10.3390/jpm13040596
APA StyleBonaparte, I., Gregucci, F., Di Monaco, A., Troisi, F., Surgo, A., Ludovico, E., Carbonara, R., Paulicelli, E., Sanfrancesco, G., De Pascali, C., Vitulano, N., Quadrini, F., Ciliberti, M. P., Romanazzi, I., Di Guglielmo, F. C., Cusumano, D., Calbi, R., Grimaldi, M., & Fiorentino, A. (2023). Phase II Trial of LINAC-Based STereotactic Arrhythmia Radioablation (STAR) for Paroxysmal Atrial Fibrillation in Elderly: Planning and Dosimetric Point of View. Journal of Personalized Medicine, 13(4), 596. https://doi.org/10.3390/jpm13040596

