Ultrasound-Guided Injection of Autologous Platelet-Rich Plasma for Refractory Lateral Epicondylitis of Humerus: Case Series
Abstract
1. Introduction
2. Materials and Methods
2.1. Patient Information
2.1.1. Case One Description
Physical Examination
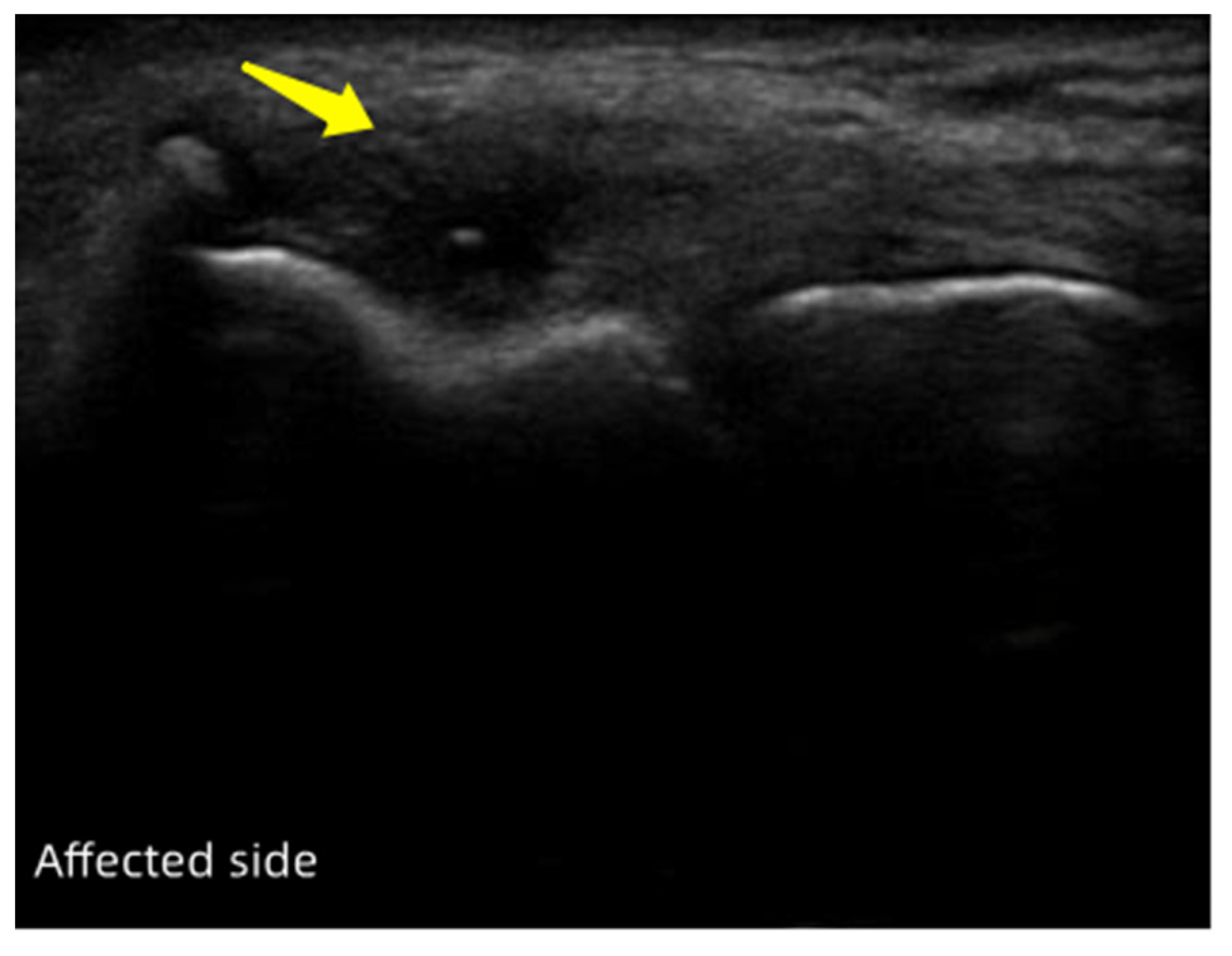
Characteristic of Ultrasonography
2.1.2. Case Two Description
Physical Examination
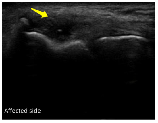
Characteristic of Ultrasonography
2.2. Diagnostic Assessment
2.3. Therapeutic Intervention
2.3.1. Preparation of PRP
- A total of 20 mL of the patient’s autologous whole blood was evenly distributed into two 10-mL EDTA (ethylenediaminetetraacetic acid)-coated tubes. The platelet concentration was determined, and the tubes were centrifuged at 500× g for 8 min.
- The upper layer (blood plasma) was pipetted into a sterile tube and mixed. The platelet concentration (a) was assessed in the pipetted plasma volume (b), followed by centrifugation at 1900× g for 12 min.
- The upper layer (platelet-poor plasma with an approximate volume of a × b/1000) was discarded, leaving a thin layer of plasma above the platelet pellet. The pellet was resuspended with a sterile pipette, and the platelet concentration was calculated (approximately 1000 × 109/L). A syringe was used to draw 3 mL of PRP, which was mixed with 0.5 mL of lidocaine for subsequent injection. The PRP preparation should be completed within 30 min after the blood draw to preserve the activity of PRP. Likewise, PRP should be administered immediately after the preparation. ([a] and [b] represent the platelet concentration and plasma volume in the upper layer obtained after the first centrifugation).
2.3.2. Ultrasound-Guided Injection Technique
3. Results
3.1. Pain and Functional Outcome
3.1.1. Case One
3.1.2. Case Two
3.2. Ultrasonography Evaluation
3.2.1. Case One
3.2.2. Case Two
3.3. Complications and Adverse Events
4. Discussion
5. Conclusions
Author Contributions
Funding
Institutional Review Board Statement
Informed Consent Statement
Data Availability Statement
Conflicts of Interest
References
- Shiri, R.; Viikari-Juntura, E.; Varonen, H.; Heliovaara, M. Prevalence and determinants of lateral and medial epicondylitis: A population study. Am. J. Epidemiol. 2006, 164, 1065–1074. [Google Scholar] [CrossRef] [PubMed]
- Ahmad, Z.; Siddiqui, N.; Malik, S.S.; Abdus-Samee, M.; Tytherleigh-Strong, G.; Rushton, N. Lateral epicondylitis: A review of pathology and management. Bone Jt. J. 2013, 95, 1158–1164. [Google Scholar] [CrossRef] [PubMed]
- Nirschl, R.P.; Pettrone, F.A. Tennis elbow. The surgical treatment of lateral epicondylitis. J. Bone Jt. Surg. Am. 1979, 61, 832–839. [Google Scholar] [CrossRef]
- Lai, W.C.; Erickson, B.J.; Mlynarek, R.A.; Wang, D. Chronic lateral epicondylitis: Challenges and solutions. Open Access J. Sports Med. 2018, 9, 243–251. [Google Scholar] [CrossRef]
- Gregory, B.P.; Wysocki, R.W.; Cohen, M.S. Controversies in Surgical Management of Recalcitrant Enthesopathy of the Extensor Carpi Radialis Brevis. J. Hand Surg. Am. 2016, 41, 856–859. [Google Scholar] [CrossRef] [PubMed]
- McClure, M.J.; Garg, K.; Simpson, D.G.; Ryan, J.J.; Sell, S.A.; Bowlin, G.L.; Ericksen, J.J. The influence of platelet-rich plasma on myogenic differentiation. J. Tissue Eng. Regen. Med. 2016, 10, E239–E249. [Google Scholar] [CrossRef] [PubMed]
- Hastie, G.; Soufi, M.; Wilson, J.; Roy, B. Platelet rich plasma injections for lateral epicondylitis of the elbow reduce the need for surgical intervention. J. Orthop. 2018, 15, 239–241. [Google Scholar] [CrossRef]
- Brkljac, M.; Conville, J.; Sonar, U.; Kumar, S. Long-term follow-up of platelet-rich plasma injections for refractory lateral epicondylitis. J. Orthop. 2019, 16, 496–499. [Google Scholar] [CrossRef]
- Li, A.; Wang, H.; Yu, Z.; Zhang, G.; Feng, S.; Liu, L.; Gao, Y. Platelet-rich plasma vs corticosteroids for elbow epicondylitis: A systematic review and meta-analysis. Medicine 2019, 98, e18358. [Google Scholar] [CrossRef]
- Arirachakaran, A.; Sukthuayat, A.; Sisayanarane, T.; Laoratanavoraphong, S.; Kanchanatawan, W.; Kongtharvonskul, J. Platelet-rich plasma versus autologous blood versus steroid injection in lateral epicondylitis: Systematic review and network meta-analysis. J. Orthop. Traumatol. 2016, 17, 101–112. [Google Scholar] [CrossRef]
- Calandruccio, J.H.; Steiner, M.M. Autologous Blood and Platelet-Rich Plasma Injections for Treatment of Lateral Epicondylitis. Orthop. Clin. N. Am. 2017, 48, 351–357. [Google Scholar] [CrossRef] [PubMed]
- Gagnier, J.J.; Kienle, G.; Altman, D.G.; Moher, D.; Sox, H.; Riley, D.; Group, C. The CARE guidelines: Consensus-based clinical case reporting guideline development. BMJ Case Rep. 2013, 7, 223. [Google Scholar] [CrossRef]
- Rompe, J.D.; Overend, T.J.; MacDermid, J.C. Validation of the Patient-rated Tennis Elbow Evaluation Questionnaire. J. Hand Ther. 2007, 20, 3–10; quiz 11. [Google Scholar] [CrossRef] [PubMed]
- Cohen, M.S.; Romeo, A.A. Open and arthroscopic management of lateral epicondylitis in the athlete. Hand Clin. 2009, 25, 331–338. [Google Scholar] [CrossRef] [PubMed]
- Geburek, F.; Gaus, M.; van Schie, H.T.; Rohn, K.; Stadler, P.M. Effect of intralesional platelet-rich plasma (PRP) treatment on clinical and ultrasonographic parameters in equine naturally occurring superficial digital flexor tendinopathies—A randomized prospective controlled clinical trial. BMC Vet. Res. 2016, 12, 191. [Google Scholar] [CrossRef] [PubMed]
- Creaney, L.; Wallace, A.; Curtis, M.; Connell, D. Growth factor-based therapies provide additional benefit beyond physical therapy in resistant elbow tendinopathy: A prospective, single-blind, randomised trial of autologous blood injections versus platelet-rich plasma injections. Br. J. Sports Med. 2011, 45, 966–971. [Google Scholar] [CrossRef]
- Mishra, A.; Pavelko, T. Treatment of chronic elbow tendinosis with buffered platelet-rich plasma. Am. J. Sports Med. 2006, 34, 1774–1778. [Google Scholar] [CrossRef]
- Peerbooms, J.C.; Sluimer, J.; Bruijn, D.J.; Gosens, T. Positive effect of an autologous platelet concentrate in lateral epicondylitis in a double-blind randomized controlled trial: Platelet-rich plasma versus corticosteroid injection with a 1-year follow-up. Am. J. Sports Med. 2010, 38, 255–262. [Google Scholar] [CrossRef]
- de Vos, R.J.; Windt, J.; Weir, A. Strong evidence against platelet-rich plasma injections for chronic lateral epicondylar tendinopathy: A systematic review. Br. J. Sports Med. 2014, 48, 952–956. [Google Scholar] [CrossRef]
- Krogh, T.P.; Fredberg, U.; Stengaard-Pedersen, K.; Christensen, R.; Jensen, P.; Ellingsen, T. Treatment of lateral epicondylitis with platelet-rich plasma, glucocorticoid, or saline: A randomized, double-blind, placebo-controlled trial. Am. J. Sports Med. 2013, 41, 625–635. [Google Scholar] [CrossRef]
- Gosens, T.; Peerbooms, J.C.; van Laar, W.; den Oudsten, B.L. Ongoing positive effect of platelet-rich plasma versus corticosteroid injection in lateral epicondylitis: A double-blind randomized controlled trial with 2-year follow-up. Am. J. Sports Med. 2011, 39, 1200–1208. [Google Scholar] [CrossRef] [PubMed]
- Chen, X.; Jones, I.A.; Park, C.; Vangsness, C.T., Jr. The Efficacy of Platelet-Rich Plasma on Tendon and Ligament Healing: A Systematic Review and Meta-analysis With Bias Assessment. Am. J. Sports Med. 2018, 46, 2020–2032. [Google Scholar] [CrossRef] [PubMed]
- Klauser, A.S.; Pamminger, M.; Halpern, E.J.; Abd Ellah, M.M.H.; Moriggl, B.; Taljanovic, M.S.; Deml, C.; Sztankay, J.; Klima, G.; Jaschke, W.R. Extensor tendinopathy of the elbow assessed with sonoelastography: Histologic correlation. Eur. Radiol. 2017, 27, 3460–3466. [Google Scholar] [CrossRef] [PubMed]
- Hsu, W.K.; Mishra, A.; Rodeo, S.R.; Fu, F.; Terry, M.A.; Randelli, P.; Canale, S.T.; Kelly, F.B. Platelet-rich plasma in orthopaedic applications: Evidence-based recommendations for treatment. J. Am. Acad. Orthop. Surg. 2013, 21, 739–748. [Google Scholar] [CrossRef]
- Duncan, J.; Duncan, R.; Bansal, S.; Davenport, D.; Hacker, A. Lateral epicondylitis: The condition and current management strategies. Br. J. Hosp. Med. 2019, 80, 647–651. [Google Scholar] [CrossRef] [PubMed]





| Changes in VAS Score and PRTEE Score of Case One | |||||
|---|---|---|---|---|---|
| VAS (at Rest) (0–10) | VAS (during Activity) (0–10) | PRTEE (0–100) | Pain Subscale of PRTEE (0–50) | Functional Subscale of PRTEE (0–50) | |
| Baseline (before the first PRP injection) | 4 | 7 | 53.5 | 27 | 26.5 |
| 4 weeks after baseline (Day 28) | 2 | 3 | 15.5 | 9 | 6.5 |
| 3 months after baseline (Day 90) | 0 | 2 | 6.5 | 4 | 2.5 |
| Changes in VAS Score and PRTEE Score of Case Two | |||||
|---|---|---|---|---|---|
| VAS (at Rest) (0–10) | VAS (during Activity) (0–10) | PRTEE (0–100) | Pain Subscale of PRTEE (0–50) | Functional Subscale of PRTEE (0–50) | |
| Baseline (before the first PRP injection) | 4 | 8 | 65.5 | 30 | 30.5 |
| 4 weeks after baseline (Day 28) | 2 | 4 | 18 | 10 | 8 |
| 3 months after baseline (Day 90) | 0 | 2 | 9 | 5 | 4 |
Disclaimer/Publisher’s Note: The statements, opinions and data contained in all publications are solely those of the individual author(s) and contributor(s) and not of MDPI and/or the editor(s). MDPI and/or the editor(s) disclaim responsibility for any injury to people or property resulting from any ideas, methods, instructions or products referred to in the content. |
© 2022 by the authors. Licensee MDPI, Basel, Switzerland. This article is an open access article distributed under the terms and conditions of the Creative Commons Attribution (CC BY) license (https://creativecommons.org/licenses/by/4.0/).
Share and Cite
Huang, G.; Zhang, J.; Wei, Z.; Mai, Y.; Guo, J.; Jiang, L. Ultrasound-Guided Injection of Autologous Platelet-Rich Plasma for Refractory Lateral Epicondylitis of Humerus: Case Series. J. Pers. Med. 2023, 13, 66. https://doi.org/10.3390/jpm13010066
Huang G, Zhang J, Wei Z, Mai Y, Guo J, Jiang L. Ultrasound-Guided Injection of Autologous Platelet-Rich Plasma for Refractory Lateral Epicondylitis of Humerus: Case Series. Journal of Personalized Medicine. 2023; 13(1):66. https://doi.org/10.3390/jpm13010066
Chicago/Turabian StyleHuang, Guohang, Jiangshan Zhang, Zhenhai Wei, Yiying Mai, Jisheng Guo, and Li Jiang. 2023. "Ultrasound-Guided Injection of Autologous Platelet-Rich Plasma for Refractory Lateral Epicondylitis of Humerus: Case Series" Journal of Personalized Medicine 13, no. 1: 66. https://doi.org/10.3390/jpm13010066
APA StyleHuang, G., Zhang, J., Wei, Z., Mai, Y., Guo, J., & Jiang, L. (2023). Ultrasound-Guided Injection of Autologous Platelet-Rich Plasma for Refractory Lateral Epicondylitis of Humerus: Case Series. Journal of Personalized Medicine, 13(1), 66. https://doi.org/10.3390/jpm13010066

