Stain Normalization of Histopathological Images Based on Deep Learning: A Review
Abstract
1. Introduction
2. Tissue Preparation and Digitization Process
2.1. Specimen Collection and Fixation
2.2. Dehydration and Clearing
2.3. Paraffin Infiltration and Embedding
2.4. Sectioning
2.5. Staining
2.6. Mounting
2.7. Digitization
3. Materials and Methods
4. Datasets and Evaluation Metrics
4.1. Datasets
4.1.1. Datasets for Quantitative Evaluation of Stain Normalization
4.1.2. Classification and Segmentation Datasets
4.2. Evaluation Metrics
4.2.1. Peak Signal-to-Noise Ratio (PSNR)
4.2.2. Structural Similarity Index (SSIM)
4.2.3. Normalized Median Intensity (NMI)
4.2.4. Pearson Correlation Coefficient (PCC)
4.2.5. Feature Similarity Index (FSIM)
4.2.6. Analysis of the Clinical Relevance of Metrics
5. Deep Learning-Based Stain Normalization in Histopathology
5.1. Supervised Methods
5.1.1. Generative Adversarial Network (GAN) Methods
5.1.2. Other Methods
5.1.3. Data Partitioning Strategies
5.2. Unsupervised Methods
5.2.1. Generative Adversarial Network (GAN) Methods
5.2.2. Other Methods
5.3. Self-Supervised Methods
5.3.1. Generative Adversarial Network (GAN) Methods
5.3.2. Other Methods
6. Discussion and Future Directions
6.1. Current Challenges
6.1.1. Difficulty in Data Acquisition
6.1.2. Limitations of Evaluation Metrics
6.1.3. Artifacts and Information Loss
6.2. Future Directions
6.2.1. Development of Lightweight Models
6.2.2. Arbitrary-Domain Stain Normalization
6.2.3. Reinforcement Learning and Optimization Algorithms
7. Conclusions
Author Contributions
Funding
Institutional Review Board Statement
Informed Consent Statement
Data Availability Statement
Conflicts of Interest
Abbreviations
| Abbreviation | Full Form |
| H&E | Hematoxylin and eosin |
| CAD | Computer-aided diagnosis |
| OD | Optical density |
| GAN | Generative Adversarial Network |
| AE | Autoencoder |
| DM | Diffusion Model |
| WHO | World Health Organization |
| WSIs | Whole-Slide Images |
| PSNR | Peak Signal-to-Noise Ratio |
| MSE | Mean squared error |
| SSIM | Structural Similarity Index |
| NMI | Normalized Median Intensity |
| PCC | Pearson Correlation Coefficient |
| FSIM | Feature Similarity Index |
| GPU | Graphics Processing Unit |
| DCNN | Deep convolutional neural network |
| CNGAN | Color normalization GAN |
| TAN | Transitive adversarial network |
| SAASN | Self-attentive adversarial stain normalization |
| RRAGAN | Regional realness-aware generative adversarial network |
| SAE | Sparse AutoEncoder |
| StaNoSa | Stain normalization using sparse autoencoders |
| ASNN | Adversarial stain normalization network |
| GMM | Gaussian mixture model |
| OOT | One-to-one transfer |
| MMT | Many-to-many transfer |
| TredMiL | Truncated normal Mixture-based Latent model |
| SSC | Stain standardization capsule |
| INN | Invertible neural network |
| DPM | Diffusion probabilistic model |
| DDPM | Denoising diffusion probabilistic model |
| MS-SST | Multi-domain single image reconstruction stain style transfer |
| STST | Stain-to-stain translation |
| TESGAN | Texture-enhanced Pix2pix generative adversarial network |
| SDN | Self-supervised disentanglement network |
| CLD | Conditional Latent Diffusion |
| FL | Federated Learning |
| ViT | Vision Transformer |
| Swin Transformer | Shifted Window Transformer |
| HRNet | High-Resolution Network |
| DSCSI | Directional statistics-based color similarity index |
| SA-GAN | Stain acclimation generative adversarial network |
| cGAN | conditional Generative Adversarial Network |
| SST | Stain style transfer |
| F-SN | Fourier stain normalization |
| F-SA | Fourier stain augmentation |
| NLP | Natural Language Processing |
| CNN | Convolutional neural network |
| MUNIT | Multimodal unsupervised image-to-image translation |
| DR | Dynamic routing |
| N1 | Sub-network 1 (identity transformation) |
| N2 | Sub-network 2 (stain normalization) |
References
- Sung, H.; Ferlay, J.; Siegel, R.L.; Laversanne, M.; Soerjomataram, I.; Jemal, A.; Bray, F. Global cancer statistics 2020: GLOBOCAN estimates of incidence and mortality worldwide for 36 cancers in 185 countries. CA Cancer J. Clin. 2021, 71, 209–249. [Google Scholar] [CrossRef]
- Xu, J.; Xiang, L.; Liu, Q.; Gilmore, H.; Wu, J.; Tang, J.; Madabhushi, A. Stacked sparse autoencoder (SSAE) for nuclei detection on breast cancer histopathology images. IEEE Trans. Med Imaging 2015, 35, 119–130. [Google Scholar] [CrossRef] [PubMed]
- Bug, D.; Schneider, S.; Grote, A.; Oswald, E.; Feuerhake, F.; Schüler, J.; Merhof, D. Context-based normalization of histological stains using deep convolutional features. In Proceedings of the Deep Learning in Medical Image Analysis and Multimodal Learning for Clinical Decision Support: Third International Workshop, DLMIA 2017, and 7th International Workshop, ML-CDS 2017, Held in Conjunction with MICCAI 2017, Québec City, QC, Canada, 14 September 2017; Proceedings 3. Springer: Berlin/Heidelberg, Germany, 2017; pp. 135–142. [Google Scholar]
- Hanna, M.G.; Reuter, V.E.; Samboy, J.; England, C.; Corsale, L.; Fine, S.W.; Agaram, N.P.; Stamelos, E.; Yagi, Y.; Hameed, M.; et al. Implementation of digital pathology offers clinical and operational increase in efficiency and cost savings. Arch. Pathol. Lab. Med. 2019, 143, 1545–1555. [Google Scholar] [CrossRef] [PubMed]
- Ling, Y.; Tan, W.; Yan, B. Self-supervised digital histopathology image disentanglement for arbitrary domain stain transfer. IEEE Trans. Med. Imaging 2023, 42, 3625–3638. [Google Scholar] [CrossRef] [PubMed]
- Badano, A.; Revie, C.; Casertano, A.; Cheng, W.C.; Green, P.; Kimpe, T.; Krupinski, E.; Sisson, C.; Skrøvseth, S.; Treanor, D.; et al. Consistency and standardization of color in medical imaging: A consensus report. J. Digit. Imaging 2015, 28, 41–52. [Google Scholar] [CrossRef]
- Ciompi, F.; Geessink, O.; Bejnordi, B.E.; De Souza, G.S.; Baidoshvili, A.; Litjens, G.; Van Ginneken, B.; Nagtegaal, I.; Van Der Laak, J. The importance of stain normalization in colorectal tissue classification with convolutional networks. In Proceedings of the 2017 IEEE 14th International Symposium on Biomedical Imaging (ISBI 2017), Beijing, China, 22–24 July 2017; pp. 160–163. [Google Scholar]
- Tellez, D.; Litjens, G.; Bándi, P.; Bulten, W.; Bokhorst, J.M.; Ciompi, F.; Van Der Laak, J. Quantifying the effects of data augmentation and stain color normalization in convolutional neural networks for computational pathology. Med. Image Anal. 2019, 58, 101544. [Google Scholar] [CrossRef]
- de Bel, T.; Bokhorst, J.M.; van der Laak, J.; Litjens, G. Residual cyclegan for robust domain transformation of histopathological tissue slides. Med. Image Anal. 2021, 70, 102004. [Google Scholar] [CrossRef]
- Roux, L.; Racoceanu, D.; Capron, F.; Calvo, J.; Attieh, E.; Le Naour, G.; Gloaguen, A. MITOS & ATYPIA-Detection of mitosis and evaluation of nuclear atypia score in breast cancer histological images. Technol. Res. Inst. Infocom Res. Singapore Tech. Rep. 2014, 1, 1–6. [Google Scholar]
- Litjens, G.; Bandi, P.; Ehteshami Bejnordi, B.; Geessink, O.; Balkenhol, M.; Bult, P.; Halilovic, A.; Hermsen, M.; Van de Loo, R.; Vogels, R.; et al. 1399 H&E-stained sentinel lymph node sections of breast cancer patients: The CAMELYON dataset. GigaScience 2018, 7, giy065. [Google Scholar]
- Zhou, N.; Cai, D.; Han, X.; Yao, J. Enhanced cycle-consistent generative adversarial network for color normalization of H&E stained images. In Proceedings of the Medical Image Computing and Computer Assisted Intervention–MICCAI 2019: 22nd International Conference, Shenzhen, China, 13–17 October 2019; Proceedings, Part I 22. Springer: Berlin/Heidelberg, Germany, 2019; pp. 694–702. [Google Scholar]
- Cong, C.; Liu, S.; Di Ieva, A.; Pagnucco, M.; Berkovsky, S.; Song, Y. Colour adaptive generative networks for stain normalisation of histopathology images. Med. Image Anal. 2022, 82, 102580. [Google Scholar] [CrossRef]
- Salehi, P.; Chalechale, A. Pix2pix-based stain-to-stain translation: A solution for robust stain normalization in histopathology images analysis. In Proceedings of the 2020 International Conference on Machine Vision and Image Processing (MVIP), Qom, Iran, 18–20 February 2020; pp. 1–7. Available online: https://github.com/artemis1919/Stain-to-Stain-Translation (accessed on 10 April 2025).
- Ortega, S.; Halicek, M.; Fabelo, H.; Callico, G.M.; Fei, B. Hyperspectral and multispectral imaging in digital and computational pathology: A systematic review. Biomed. Opt. Express 2020, 11, 3195–3233. [Google Scholar] [CrossRef]
- Kang, H.; Luo, D.; Chen, L.; Hu, J.; Cheng, S.; Quan, T.; Zeng, S.; Liu, X. Paramnet: A parameter-variable network for fast stain normalization. arXiv 2023, arXiv:2305.06511. [Google Scholar]
- Cong, C.; Liu, S.; Di Ieva, A.; Pagnucco, M.; Berkovsky, S.; Song, Y. Semi-supervised adversarial learning for stain normalisation in histopathology images. In Proceedings of the Medical Image Computing and Computer Assisted Intervention–MICCAI 2021: 24th International Conference, Strasbourg, France, 27 September–1 October 2021; Proceedings, Part VIII 24. Springer: Berlin/Heidelberg, Germany, 2021; pp. 581–591. [Google Scholar]
- Goodfellow, I.; Pouget-Abadie, J.; Mirza, M.; Xu, B.; Warde-Farley, D.; Ozair, S.; Courville, A.; Bengio, Y. Generative adversarial networks. Commun. ACM 2020, 63, 139–144. [Google Scholar] [CrossRef]
- Bengio, Y.; Lamblin, P.; Popovici, D.; Larochelle, H. Greedy layer-wise training of deep networks. Adv. Neural Inf. Process. Syst. 2006, 19. [Google Scholar]
- Ho, J.; Jain, A.; Abbeel, P. Denoising diffusion probabilistic models. Adv. Neural Inf. Process. Syst. 2020, 33, 6840–6851. [Google Scholar]
- Bilgin, C.C.; Rittscher, J.; Filkins, R.; Can, A. Digitally adjusting chromogenic dye proportions in brightfield microscopy images. J. Microsc. 2012, 245, 319–330. [Google Scholar] [CrossRef]
- Kiernan, J. Histological and Histochemical Methods; Scion Publishing Ltd.: Banbury, UK, 2015. [Google Scholar]
- Nayak, R. Histopathology Techniques and Its Management; JP Medical Ltd.: Wong Chuk Hang, Hong Kong, 2017. [Google Scholar]
- Al-Sabawy, H.B.; Rahawy, A.M.; Al-Mahmood, S.S. Standard techniques for formalin-fixed paraffin-embedded tissue: A pathologist’s perspective. Iraqi J. Vet. Sci. 2021, 35, 127–135. [Google Scholar] [CrossRef]
- Knoblaugh, S.E.; Randolph-Habecker, J. Necropsy and histology. In Comparative Anatomy and Histology; Elsevier: Amsterdam, The Netherlands, 2018; pp. 23–51. [Google Scholar]
- Hanna, M.G.; Parwani, A.; Sirintrapun, S.J. Whole slide imaging: Technology and applications. Adv. Anat. Pathol. 2020, 27, 251–259. [Google Scholar] [CrossRef]
- Bejnordi, B.E.; Veta, M.; Van Diest, P.J.; Van Ginneken, B.; Karssemeijer, N.; Litjens, G.; Van Der Laak, J.A.; Hermsen, M.; Manson, Q.F.; Balkenhol, M.; et al. Diagnostic assessment of deep learning algorithms for detection of lymph node metastases in women with breast cancer. JAMA 2017, 318, 2199–2210. [Google Scholar] [CrossRef]
- Sirinukunwattana, K.; Pluim, J.P.; Chen, H.; Qi, X.; Heng, P.A.; Guo, Y.B.; Wang, L.Y.; Matuszewski, B.J.; Bruni, E.; Sanchez, U.; et al. Gland segmentation in colon histology images: The glas challenge contest. Med. Image Anal. 2017, 35, 489–502. [Google Scholar] [CrossRef]
- Kumar, N.; Verma, R.; Sharma, S.; Bhargava, S.; Vahadane, A.; Sethi, A. A dataset and a technique for generalized nuclear segmentation for computational pathology. IEEE Trans. Med. Imaging 2017, 36, 1550–1560. [Google Scholar] [CrossRef] [PubMed]
- Wilm, F.; Fragoso, M.; Bertram, C.A.; Stathonikos, N.; Öttl, M.; Qiu, J.; Klopfleisch, R.; Maier, A.; Breininger, K.; Aubreville, M. Multi-scanner canine cutaneous squamous cell carcinoma histopathology dataset. In BVM Workshop; Springer: Berlin/Heidelberg, Germany, 2023; pp. 206–211. [Google Scholar]
- Veta, M.; Heng, Y.J.; Stathonikos, N.; Bejnordi, B.E.; Beca, F.; Wollmann, T.; Rohr, K.; Shah, M.A.; Wang, D.; Rousson, M.; et al. Predicting breast tumor proliferation from whole-slide images: The TUPAC16 challenge. Med. Image Anal. 2019, 54, 111–121. [Google Scholar] [CrossRef] [PubMed]
- Aresta, G.; Araújo, T.; Kwok, S.; Chennamsetty, S.S.; Safwan, M.; Alex, V.; Marami, B.; Prastawa, M.; Chan, M.; Donovan, M.; et al. Bach: Grand challenge on breast cancer histology images. Med. Image Anal. 2019, 56, 122–139. [Google Scholar] [CrossRef]
- Spanhol, F.A.; Oliveira, L.S.; Petitjean, C.; Heutte, L. A dataset for breast cancer histopathological image classification. IEEE Trans. Biomed. Eng. 2015, 63, 1455–1462. [Google Scholar] [CrossRef]
- Wang, Z.; Bovik, A.C.; Sheikh, H.R.; Simoncelli, E.P. Image quality assessment: From error visibility to structural similarity. IEEE Trans. Image Process. 2004, 13, 600–612. [Google Scholar] [CrossRef]
- Vahadane, A.; Peng, T.; Sethi, A.; Albarqouni, S.; Wang, L.; Baust, M.; Steiger, K.; Schlitter, A.M.; Esposito, I.; Navab, N. Structure-preserving color normalization and sparse stain separation for histological images. IEEE Trans. Med Imaging 2016, 35, 1962–1971. [Google Scholar] [CrossRef] [PubMed]
- Ahlgren, P.; Jarneving, B.; Rousseau, R. Requirements for a cocitation similarity measure, with special reference to Pearson’s correlation coefficient. J. Am. Soc. Inf. Sci. Technol. 2003, 54, 550–560. [Google Scholar] [CrossRef]
- Zhang, L.; Zhang, L.; Mou, X.; Zhang, D. FSIM: A feature similarity index for image quality assessment. IEEE Trans. Image Process. 2011, 20, 2378–2386. [Google Scholar] [CrossRef]
- Altini, N.; Marvulli, T.M.; Zito, F.A.; Caputo, M.; Tommasi, S.; Azzariti, A.; Brunetti, A.; Prencipe, B.; Mattioli, E.; De Summa, S.; et al. The role of unpaired image-to-image translation for stain color normalization in colorectal cancer histology classification. Comput. Methods Programs Biomed. 2023, 234, 107511. [Google Scholar] [CrossRef]
- LeCun, Y.; Bengio, Y.; Hinton, G. Deep learning. Nature 2015, 521, 436–444. [Google Scholar] [CrossRef]
- BenTaieb, A.; Hamarneh, G. Adversarial stain transfer for histopathology image analysis. IEEE Trans. Med Imaging 2017, 37, 792–802. [Google Scholar] [CrossRef] [PubMed]
- Nishar, H.; Chavanke, N.; Singhal, N. Histopathological stain transfer using style transfer network with adversarial loss. In Proceedings of the Medical Image Computing and Computer Assisted Intervention–MICCAI 2020: 23rd International Conference, Lima, Peru, 4–8 October 2020; Proceedings, Part V 23. Springer: Berlin/Heidelberg, Germany, 2020; pp. 330–340. [Google Scholar]
- Liang, H.; Plataniotis, K.N.; Li, X. Stain style transfer of histopathology images via structure-preserved generative learning. In Proceedings of the Machine Learning for Medical Image Reconstruction: Third International Workshop, MLMIR 2020, Held in Conjunction with MICCAI 2020, Lima, Peru, 8 October 2020; Proceedings 3. Springer: Berlin/Heidelberg, Germany, 2020; pp. 153–162. Available online: https://github.com/hanwen0529/DSCSI-GAN (accessed on 10 April 2025).
- Kausar, T.; Kausar, A.; Ashraf, M.A.; Siddique, M.F.; Wang, M.; Sajid, M.; Siddique, M.Z.; Haq, A.U.; Riaz, I. SA-GAN: Stain acclimation generative adversarial network for histopathology image analysis. Appl. Sci. 2021, 12, 288. [Google Scholar] [CrossRef]
- Cho, H.; Lim, S.; Choi, G.; Min, H. Neural stain-style transfer learning using GAN for histopathological images. arXiv 2017, arXiv:1710.08543. [Google Scholar]
- Li, Y.; Zhou, H.; Liu, N.; Shen, Y. Stain Normalization and Augmentation in Frequency Space for Histology Analysis. In Proceedings of the 2023 IEEE International Conference on Bioinformatics and Biomedicine (BIBM), Istanbul, Turkey, 5–8 December 2023; pp. 2031–2035. Available online: https://github.com/Windyskys/FSNFSA (accessed on 10 April 2025).
- Wang, C.; Li, S.; Ke, J.; Zhang, C.; Shen, Y. RandStainNA++: Enhance Random Stain Augmentation and Normalization through Foreground and Background Differentiation. IEEE J. Biomed. Health Inform. 2024, 28, 3660–3671. [Google Scholar] [CrossRef]
- Kablan, E.B.; Ayas, S. StainSWIN: Vision transformer-based stain normalization for histopathology image analysis. Eng. Appl. Artif. Intell. 2024, 133, 108136. [Google Scholar] [CrossRef]
- Gatys, L.A.; Ecker, A.S.; Bethge, M. Image style transfer using convolutional neural networks. In Proceedings of the IEEE Conference on Computer Vision and Pattern Recognition, Las Vegas, NV, USA, 26 June–1 July 2016; pp. 2414–2423. [Google Scholar]
- Sun, K.; Xiao, B.; Liu, D.; Wang, J. Deep high-resolution representation learning for human pose estimation. In Proceedings of the IEEE/CVF Conference on Computer Vision and Pattern Recognition, Long Beach, CA, USA, 16–20 June 2019; pp. 5693–5703. [Google Scholar]
- Lee, D.; Plataniotis, K.N. Towards a full-reference quality assessment for color images using directional statistics. IEEE Trans. Image Process. 2015, 24, 3950–3965. [Google Scholar]
- Hoque, M.Z.; Keskinarkaus, A.; Nyberg, P.; Seppänen, T. Stain normalization methods for histopathology image analysis: A comprehensive review and experimental comparison. Inf. Fusion 2024, 102, 101997. [Google Scholar] [CrossRef]
- Mirza, M. Conditional generative adversarial nets. arXiv 2014, arXiv:1411.1784. [Google Scholar]
- Kala, S.; Nalesh, S.; Jose, B.R.; Mathew, J. Image reconstruction using novel two-dimensional fourier transform. In Advances in Soft Computing and Machine Learning in Image Processing; Springer: Berlin/Heidelberg, Germany, 2017; pp. 699–718. [Google Scholar]
- Vaswani, A. Attention is all you need. In Advances in Neural Information Processing Systems; MIT Press: Cambridge, MA, USA, 2017. [Google Scholar]
- Dosovitskiy, A. An image is worth 16x16 words: Transformers for image recognition at scale. arXiv 2020, arXiv:2010.11929. [Google Scholar]
- Liu, Z.; Lin, Y.; Cao, Y.; Hu, H.; Wei, Y.; Zhang, Z.; Lin, S.; Guo, B. Swin transformer: Hierarchical vision transformer using shifted windows. In Proceedings of the IEEE/CVF International Conference on Computer Vision, Online, 11–17 October 2021; pp. 10012–10022. [Google Scholar]
- Kim, J.; Lee, J.K.; Lee, K.M. Deeply-recursive convolutional network for image super-resolution. In Proceedings of the IEEE Conference on Computer Vision and Pattern Recognition, Las Vegas, NV, USA, 26 June–1 July 2016; pp. 1637–1645. [Google Scholar]
- Goodfellow, I.; Bengio, Y.; Courville, A.; Bengio, Y. Deep Learning; MIT Press: Cambridge, MA, USA, 2016; Volume 1. [Google Scholar]
- Zanjani, F.G.; Zinger, S.; Bejnordi, B.E.; van der Laak, J.A.; de With, P.H. Stain normalization of histopathology images using generative adversarial networks. In Proceedings of the 2018 IEEE 15th International Symposium on Biomedical Imaging (ISBI 2018), Washington, DC, USA, 4–7 April 2018; pp. 573–577. [Google Scholar]
- Nazki, H.; Arandjelovic, O.; Um, I.H.; Harrison, D. MultiPathGAN: Structure preserving stain normalization using unsupervised multi-domain adversarial network with perception loss. In Proceedings of the 38th ACM/SIGAPP Symposium on Applied Computing, Tallinn, Estonia, 27–31 March 2023; pp. 1197–1204. [Google Scholar]
- Shen, Y.; Sowmya, A.; Luo, Y.; Liang, X.; Shen, D.; Ke, J. A federated learning system for histopathology image analysis with an orchestral stain-normalization GAN. IEEE Trans. Med Imaging 2022, 42, 1969–1981. [Google Scholar] [CrossRef]
- Shaban, M.T.; Baur, C.; Navab, N.; Albarqouni, S. Staingan: Stain style transfer for digital histological images. In Proceedings of the 2019 IEEE 16th International Symposium on Biomedical Imaging (Isbi 2019), Wisconsin, WI, USA, 8–11 April 2019; pp. 953–956. Available online: https://github.com/xtarx/StainGAN (accessed on 10 April 2025).
- Cai, S.; Xue, Y.; Gao, Q.; Du, M.; Chen, G.; Zhang, H.; Tong, T. Stain style transfer using transitive adversarial networks. In Proceedings of the Machine Learning for Medical Image Reconstruction: Second International Workshop, MLMIR 2019, Held in Conjunction with MICCAI 2019, Shenzhen, China, 17 October 2019; Proceedings 2. Springer: Berlin/Heidelberg, Germany, 2019; pp. 163–172. [Google Scholar]
- Shrivastava, A.; Adorno, W.; Sharma, Y.; Ehsan, L.; Ali, S.A.; Moore, S.R.; Amadi, B.; Kelly, P.; Syed, S.; Brown, D.E. Self-attentive adversarial stain normalization. In Proceedings of the Pattern Recognition. ICPR International Workshops and Challenges, Virtual Event, 10–15 January 2021; Proceedings, Part I. Springer: Berlin/Heidelberg, Germany, 2021; pp. 120–140. Available online: https://github.com/4m4n5/saasn-stain-normalization (accessed on 10 April 2025).
- Kang, H.; Luo, D.; Feng, W.; Zeng, S.; Quan, T.; Hu, J.; Liu, X. Stainnet: A fast and robust stain normalization network. Front. Med. 2021, 8, 746307. [Google Scholar] [CrossRef]
- Lee, C.C.; Kuo, P.T.P.; Peng, C.H. H&E stain normalization using U-net. In Proceedings of the 2022 IEEE 22nd International Conference on Bioinformatics and Bioengineering (BIBE), Qingdao, China, 19–21 July 2022; pp. 29–32. [Google Scholar]
- Baykal Kablan, E. Regional realness-aware generative adversarial networks for stain normalization. Neural Comput. Appl. 2023, 35, 17915–17927. [Google Scholar] [CrossRef]
- Hetz, M.J.; Bucher, T.C.; Brinker, T.J. Multi-domain stain normalization for digital pathology: A cycle-consistent adversarial network for whole slide images. Med. Image Anal. 2024, 94, 103149. [Google Scholar] [CrossRef] [PubMed]
- Janowczyk, A.; Basavanhally, A.; Madabhushi, A. Stain normalization using sparse autoencoders (StaNoSA): Application to digital pathology. Comput. Med Imaging Graph. 2017, 57, 50–61. [Google Scholar] [CrossRef] [PubMed]
- Jia, Q.; Guo, J.; Du, F.; Yang, P.; Yang, Y. A fast texture-to-stain adversarial stain normalization network for histopathological images. In Proceedings of the 2022 IEEE International Conference on Bioinformatics and Biomedicine (BIBM), Qingdao, China, 19–21 July 2022; pp. 2294–2301. [Google Scholar]
- Ghazvinian Zanjani, F.; Zinger, S.; de With, P.H. Deep convolutional gaussian mixture model for stain-color normalization of histopathological images. In Proceedings of the Medical Image Computing and Computer Assisted Intervention–MICCAI 2018: 21st International Conference, Granada, Spain, 16–20 September 2018; Proceedings, Part II 11. Springer: Berlin/Heidelberg, Germany, 2018; pp. 274–282. [Google Scholar]
- Xiang, Y.; Chen, J.; Liu, Q.; Liang, Y. Disentangled representation learning based multidomain stain normalization for histological images. In Proceedings of the 2020 IEEE International Conference on Image Processing (ICIP), Online, 25–28 October 2020; pp. 360–364. [Google Scholar]
- Moghadam, A.Z.; Azarnoush, H.; Seyyedsalehi, S.A.; Havaei, M. Stain transfer using generative adversarial networks and disentangled features. Comput. Biol. Med. 2022, 142, 105219. [Google Scholar] [CrossRef]
- Mahapatra, S.; Maji, P. Truncated normal mixture prior based deep latent model for color normalization of histology images. IEEE Trans. Med Imaging 2023, 42, 1746–1757. [Google Scholar] [CrossRef] [PubMed]
- Zheng, Y.; Jiang, Z.; Zhang, H.; Xie, F.; Hu, D.; Sun, S.; Shi, J.; Xue, C. Stain standardization capsule for application-driven histopathological image normalization. IEEE J. Biomed. Health Inform. 2020, 25, 337–347. [Google Scholar] [CrossRef]
- Lan, J.; Cai, S.; Xue, Y.; Gao, Q.; Du, M.; Zhang, H.; Wu, Z.; Deng, Y.; Huang, Y.; Tong, T.; et al. Unpaired stain style transfer using invertible neural networks based on channel attention and long-range residual. IEEE Access 2021, 9, 11282–11295. [Google Scholar] [CrossRef]
- Shen, Y.; Ke, J. StainDiff: Transfer Stain Styles of Histology Images with Denoising Diffusion Probabilistic Models and Self-ensemble. In Proceedings of the International Conference on Medical Image Computing and Computer-Assisted Intervention, Vancouver, BC, Canada, 8 October 2023; Springer: Berlin/Heidelberg, Germany, 2023; pp. 549–559. [Google Scholar]
- Kweon, J.; Kim, M.; Yun, G.; Kwon, S.; Yoo, J. MS-SST: Single Image Reconstruction-Based Stain-Style Transfer for Multi-Domain Hematoxylin & Eosin Stained Pathology Images. IEEE Access 2023, 11, 50090–50097. [Google Scholar]
- Choi, Y.; Choi, M.; Kim, M.; Ha, J.W.; Kim, S.; Choo, J. Stargan: Unified generative adversarial networks for multi-domain image-to-image translation. In Proceedings of the IEEE Conference on Computer Vision and Pattern Recognition, Salt Lake City, UT, USA, 18–22 June 2018; pp. 8789–8797. [Google Scholar]
- McMahan, B.; Moore, E.; Ramage, D.; Hampson, S.; y Arcas, B.A. Communication-efficient learning of deep networks from decentralized data. In Proceedings of the Artificial Intelligence and Statistics, Fort Lauderdale, FL, USA, 20–22 April 2017; pp. 1273–1282. [Google Scholar]
- Zhu, J.Y.; Park, T.; Isola, P.; Efros, A.A. Unpaired image-to-image translation using cycle-consistent adversarial networks. In Proceedings of the IEEE International Conference on Computer Vision, Venice, Italy, 22–29 October 2017; pp. 2223–2232. [Google Scholar]
- Hinton, G. Distilling the Knowledge in a Neural Network. arXiv 2015, arXiv:1503.02531. [Google Scholar]
- Ronneberger, O.; Fischer, P.; Brox, T. U-net: Convolutional networks for biomedical image segmentation. In Proceedings of the Medical Image Computing and Computer-Assisted Intervention–MICCAI 2015: 18th International Conference, Munich, Germany, 5–9 October 2015; Proceedings, Part III 18. Springer: Berlin/Heidelberg, Germany, 2015; pp. 234–241. [Google Scholar]
- Parikh, A.P.; Täckström, O.; Das, D.; Uszkoreit, J. A decomposable attention model for natural language inference. arXiv 2016, arXiv:1606.01933. [Google Scholar]
- He, K.; Zhang, X.; Ren, S.; Sun, J. Deep residual learning for image recognition. In Proceedings of the IEEE Conference on Computer Vision and Pattern Recognition, Las Vegas, NV, USA, 27 June–2 July 2016; pp. 770–778. [Google Scholar]
- Hinton, G.E.; Salakhutdinov, R.R. Reducing the dimensionality of data with neural networks. Science 2006, 313, 504–507. [Google Scholar] [CrossRef]
- Vincent, P.; Larochelle, H.; Bengio, Y.; Manzagol, P.A. Extracting and composing robust features with denoising autoencoders. In Proceedings of the 25th International Conference on Machine Learning, Helsinki, Finland, 5–9 July 2008; pp. 1096–1103. [Google Scholar]
- Dempster, A.P.; Laird, N.M.; Rubin, D.B. Maximum likelihood from incomplete data via the EM algorithm. J. R. Stat. Soc. Ser. B (Methodol.) 1977, 39, 1–22. [Google Scholar] [CrossRef]
- Huang, X.; Liu, M.Y.; Belongie, S.; Kautz, J. Multimodal unsupervised image-to-image translation. In Proceedings of the European Conference on Computer Vision (ECCV), Munich, Germany, 8–14 September 2018; pp. 172–189. [Google Scholar]
- Locatello, F.; Bauer, S.; Lucic, M.; Raetsch, G.; Gelly, S.; Schölkopf, B.; Bachem, O. Challenging common assumptions in the unsupervised learning of disentangled representations. In Proceedings of the International Conference on Machine Learning, Long Beach, CA, USA, 10–15 June 2019; pp. 4114–4124. [Google Scholar]
- Gonzalez-Garcia, A.; Van De Weijer, J.; Bengio, Y. Image-to-image translation for cross-domain disentanglement. Adv. Neural Inf. Process. Syst. 2018, 31, 223–240. [Google Scholar]
- Sabour, S.; Frosst, N.; Hinton, G.E. Dynamic routing between capsules. Adv. Neural Inf. Process. Syst. 2017, 30, 551–560. [Google Scholar]
- Gomez, A.N.; Ren, M.; Urtasun, R.; Grosse, R.B. The reversible residual network: Backpropagation without storing activations. Adv. Neural Inf. Process. Syst. 2017, 30, 1234–1243. [Google Scholar]
- Woo, S.; Park, J.; Lee, J.Y.; Kweon, I.S. Cbam: Convolutional block attention module. In Proceedings of the European Conference on Computer Vision (ECCV), Munich, Germany, 8–14 September 2018; pp. 3–19. [Google Scholar]
- Sohl-Dickstein, J.; Weiss, E.; Maheswaranathan, N.; Ganguli, S. Deep unsupervised learning using nonequilibrium thermodynamics. In Proceedings of the International Conference on Machine Learning, Lille, France, 6–11 July 2015; pp. 2256–2265. [Google Scholar]
- Kazerouni, A.; Aghdam, E.K.; Heidari, M.; Azad, R.; Fayyaz, M.; Hacihaliloglu, I.; Merhof, D. Diffusion models in medical imaging: A comprehensive survey. Med. Image Anal. 2023, 88, 102846. [Google Scholar] [CrossRef]
- Yoo, J.; Chen, Q. Sinir: Efficient general image manipulation with single image reconstruction. In Proceedings of the International Conference on Machine Learning, Online, 18–24 July 2021; pp. 12040–12050. [Google Scholar]
- Johnson, J.; Alahi, A.; Li, F.-F. Perceptual losses for real-time style transfer and super-resolution. In Proceedings of the Computer Vision–ECCV 2016: 14th European Conference, Amsterdam, The Netherlands, 11–14 October 2016; Proceedings, Part II 14. Springer: Berlin/Heidelberg, Germany, 2016; pp. 694–711. [Google Scholar]
- Shurrab, S.; Duwairi, R. Self-supervised learning methods and applications in medical imaging analysis: A survey. PeerJ Comput. Sci. 2022, 8, e1045. [Google Scholar] [CrossRef]
- Zhao, B.; Han, C.; Pan, X.; Lin, J.; Yi, Z.; Liang, C.; Chen, X.; Li, B.; Qiu, W.; Li, D.; et al. RestainNet: A self-supervised digital re-stainer for stain normalization. Comput. Electr. Eng. 2022, 103, 108304. [Google Scholar] [CrossRef]
- Cong, C.; Liu, S.; Di Ieva, A.; Pagnucco, M.; Berkovsky, S.; Song, Y. Texture enhanced generative adversarial network for stain normalisation in histopathology images. In Proceedings of the 2021 IEEE 18th International Symposium on Biomedical Imaging (ISBI), Online, 14–17 June 2021; pp. 1949–1952. [Google Scholar]
- Mahapatra, D.; Bozorgtabar, B.; Thiran, J.P.; Shao, L. Structure preserving stain normalization of histopathology images using self supervised semantic guidance. In Proceedings of the Medical Image Computing and Computer Assisted Intervention–MICCAI 2020: 23rd International Conference, Lima, Peru, 4–8 October 2020; Proceedings, Part V 23. Springer: Berlin/Heidelberg, Germany, 2020; pp. 309–319. [Google Scholar]
- Gehlot, S.; Gupta, A. Self-supervision based dual-transformation learning for stain normalization, classification andsegmentation. In Proceedings of the Machine Learning in Medical Imaging: 12th International Workshop, MLMI 2021, Held in Conjunction with MICCAI 2021, Strasbourg, France, 27 September 2021; Proceedings 12. Springer: Berlin/Heidelberg, Germany, 2021; pp. 477–486. [Google Scholar]
- Ke, J.; Shen, Y.; Liang, X.; Shen, D. Contrastive learning based stain normalization across multiple tumor in histopathology. In Proceedings of the Medical Image Computing and Computer Assisted Intervention–MICCAI 2021: 24th International Conference, Strasbourg, France, 27 September–1 October 2021; Proceedings, Part VIII 24. Springer: Berlin/Heidelberg, Germany, 2021; pp. 571–580. [Google Scholar]
- Gutiérrez Pérez, J.C.; Otero Baguer, D.; Maass, P. StainCUT: Stain Normalization with Contrastive Learning. J. Imaging 2022, 8, 202. [Google Scholar] [CrossRef]
- Jewsbury, R.; Wang, R.; Bhalerao, A.; Rajpoot, N.; Vu, Q.D. StainFuser: Controlling Diffusion for Faster Neural Style Transfer in Multi-Gigapixel Histology Images. arXiv 2024, arXiv:2403.09302. [Google Scholar]
- Isola, P.; Zhu, J.Y.; Zhou, T.; Efros, A.A. Image-to-image translation with conditional adversarial networks. In Proceedings of the IEEE Conference on Computer Vision and Pattern Recognition, Honolulu, HI, USA, 21–26 July 2017; pp. 1125–1134. [Google Scholar]
- Liu, X.; Zhang, F.; Hou, Z.; Mian, L.; Wang, Z.; Zhang, J.; Tang, J. Self-supervised learning: Generative or contrastive. IEEE Trans. Knowl. Data Eng. 2021, 35, 857–876. [Google Scholar] [CrossRef]
- Park, T.; Efros, A.A.; Zhang, R.; Zhu, J.Y. Contrastive learning for unpaired image-to-image translation. In Proceedings of the Computer Vision–ECCV 2020: 16th European Conference, Glasgow, UK, 23–28 August 2020; Proceedings, Part IX 16. Springer: Berlin/Heidelberg, Germany, 2020; pp. 319–345. [Google Scholar]
- Yellapragada, S.; Graikos, A.; Prasanna, P.; Kurc, T.; Saltz, J.; Samaras, D. Pathldm: Text conditioned latent diffusion model for histopathology. In Proceedings of the IEEE/CVF Winter Conference on Applications of Computer Vision, Waikoloa, HI, USA, 4–8 January 2024; pp. 5182–5191. [Google Scholar]
- Gatys, L.A. A neural algorithm of artistic style. arXiv 2015, arXiv:1508.06576. [Google Scholar] [CrossRef]
- Zoph, B. Neural architecture search with reinforcement learning. arXiv 2016, arXiv:1611.01578. [Google Scholar]
- Tan, M.; Le, Q. Efficientnetv2: Smaller models and faster training. In Proceedings of the International Conference on Machine Learning, Online, 18–24 July 2021; pp. 10096–10106. [Google Scholar]
- Han, K.; Wang, Y.; Tian, Q.; Guo, J.; Xu, C.; Xu, C. Ghostnet: More features from cheap operations. In Proceedings of the IEEE/CVF Conference on Computer Vision and Pattern Recognition, Online, 14–19 June 2020; pp. 1580–1589. [Google Scholar]
- Wang, X.; Luo, Z.; Hu, J.; Feng, C.; Hu, S.; Zhu, B.; Wu, X.; Zhu, H.; Li, X.; Lyu, S. RL-I2IT: Image-to-Image Translation with Deep Reinforcement Learning. arXiv 2023, arXiv:2309.13672. [Google Scholar]











| Type | Dataset | Body Parts | Format | Data Volume | Image Details |
|---|---|---|---|---|---|
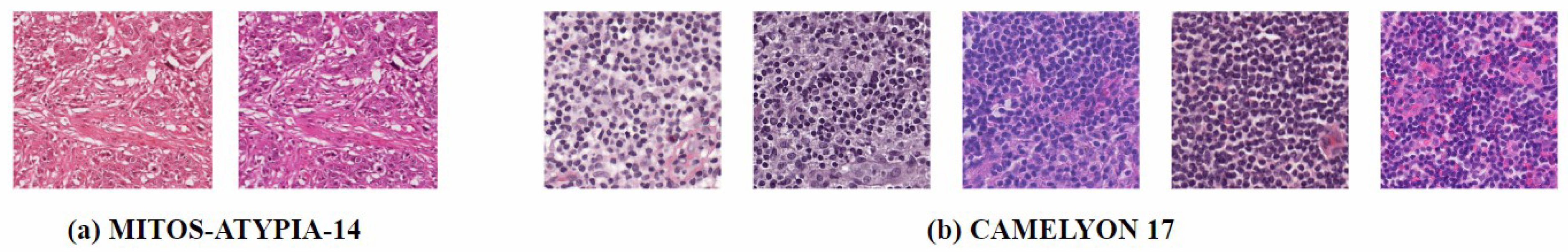
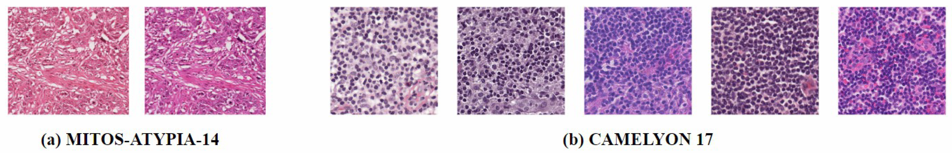
| Stain normalization | MITOS-ATYPIA-14 [10] | Breast | TIFF | Training: 11 WSIs Testing: 5 WSIs | Two sets of images with different staining styles from two scanners. |
| SCC [30] | Canine cutaneous | TIFF | 220 WSIs | 44 samples scanned using 5 different scanners, resulting in 220 WSIs. | |
| Classification | CAMELYON 16 [27] | Lymph node | TIFF | Training: 270 WSIs Testing: 130 WSIs | WSIs from two medical centers, different staining styles at each center. |
| CAMELYON 17 [11] | Lymph node | TIFF | Training: 500 WSIs Testing: 500 WSIs | pN-stage classification of breast cancer metastasis from five centers. | |
| TUPAC 2016 [31] | Breast | SVS | Training: 500 WSIs Testing: 321 WSIs | Images from 73 breast cancer patients across three pathology centers. | |
| BACH ICIAR 2018 [32] | Breast | TIFF | 400 patches | 100 images each of normal, benign, in situ carcinoma, and invasive carcinoma. | |
| BreakHis [33] | Breast | PNG | Benign: 2480 patches Malignant: 5429 patches | 9109 images from 82 patients. Image size: px. | |
| Segmentation | MICCAI2015 GlaS [28] | Colorectum | BMP | Training: 85 patches Testing: 80 patches | 165 patches ( px @0.62 μm/px, 20×), validated for gland segmentation [28]. |
| MoNegSeg [29] | 7 organs | TIFF | 30 patches | Includes seven organs: breast, kidney, liver, prostate, bladder, colon, and stomach. |
| Author | Model Name | Year | Technology | Journal/Conference | Datasets | Cls | Seg |
|---|---|---|---|---|---|---|---|
| Bentaieb et al. [40] | - | 2018 | GAN | IEEE Trans. Med. Imaging | MITOS-ATYPIA-14MICCAI’2015 GlaSprivate dataset | √ | - |
| Nishar et al. [41] | HRNet | 2020 | GAN | MICCAI 2020 | MITOS-ATYPIA-14 | √ | - |
| Liang et al. [42] | SSIM-GAN & DSCSI-GAN | 2020 | GAN | MLMIR 2020 | CAMELYON 16 | - | √ |
| Kausar et al. [43] | SA-GAN | 2022 | GAN | Appl. Sci. | MITOS-ATYPIA-14TUPAC 2016BACH ICIAR 2018MICCAI’2015 GlaS | √ | - |
| Cho et al. [44] | SST | 2017 | cGAN | arxiv | CAMELYON 16 | √ | - |
| Li et al. [45] | F-SN, F-SA | 2023 | Frequency domain method | IEEE BIBM 2023 | NCT-CRC-HE-100KNONORMMoNuSeg | √ | - |
| Wang et al. [46] | RandStainNA++ | 2024 | Random stain augmentation and normalization | IEEE J. Biomed. Health Inform. | CAMELYON 17NCT-CRCMoNuSegprivate dataset | √ | √ |
| Kablan et al. [47] | StainSWIN | 2024 | ViT | Eng. Appl. Artif. Intell. | MITOS-ATYPIA-14MICCAI’2015 GlaS | - | √ |
| Author | Model Name | Year | Technology | Journal/Conference | Datasets | Cls | Seg |
|---|---|---|---|---|---|---|---|
| Zanjani et al. [59] | - | 2018 | GAN | IEEE ISBI 2018 | private dataset | - | - |
| Nazki et al. [60] | MultiPathGAN | 2023 | GAN | ACM/SIGAPP SAC 2023 | private dataset | - | - |
| Shen et al. [61] | - | 2023 | cGAN | IEEE Trans. Med. Imaging | TCGA-COADCRC-VALHE-7KNCT-CRC-HE-100K | √ | - |
| Shaban et al. [62] | StainGAN | 2019 | CycleGAN | IEEE ISBI 2019 | MITOS-ATYPIA-14CAMELYON 16 | - | - |
| Shaban et al. [62] | StainGAN | 2019 | CycleGAN | IEEE ISBI 2019 | MITOS-ATYPIA-14CAMELYON 16 | - | - |
| Zhou et al. [12] | CNGAN | 2019 | CycleGAN | MICCAI 2019 | CAMELYON 16CAMELYON 17TUPAC 2016MITOS-ATYPIA-14MICCAI’15 GlaS | √ | - |
| Cai et al. [63] | TAN | 2019 | CycleGAN | MLMIR 2019 | MITOS-ATYPIA-14 | - | - |
| Shrivastava et al. [64] | SASAN | 2021 | CycleGAN | ICPR 2021 | MITOS-ATYPIA-14private dataset | - | - |
| De Bel et al. [9] | - | 2021 | CycleGAN | Med. Image Anal. | private dataset | √ | - |
| Kang et al. [65] | StainNet | 2021 | CycleGAN | Front. Med. | MITOS-ATYPIA-14CAMELYON 16private dataset | √ | - |
| Lee et al. [66] | - | 2022 | CycleGAN | IEEE BIBE 2022 | private dataset | - | - |
| Kang et al. [16] | ParamNet | 2023 | CycleGAN | arxiv | MITOS-ATYPIA-14CAMELYON 16CAMELYON 17private dataset | √ | - |
| Baykal et al. [67] | RRAGAN | 2023 | CycleGAN | Neural Comput. Appl. | MITOS-ATYPIA-14CAMELYON 16MICCAI2015 GlaS | √ | - |
| Hetz et al. [68] | MultiStain-CycleGAN | 2024 | CycleGAN | Med. Image Anal. | CAMELYON 17 SCC | √ | - |
| Janowczyk et al. [69] | StaNoSA | 2017 | AE | Comput. Med. Imaging Graph. | private dataset | - | - |
| Jia et al. [70] | ASNN | 2022 | AE | IEEE BIBM 2022 | MITOS-ATYPIA-14CAMELYON 16 | √ | - |
| Zanjani et al. [71] | - | 2018 | GMM | MICCAI 2018 | private dataset | - | - |
| Xiang et al. [72] | RRAGAN | 2020 | Disentangled representation | IEEE ICIP 2020 | CAMELYON 17 | - | - |
| Moghadam et al. [73] | OOT, MMT | 2022 | Disentangled representation | Comput. Biol. Med. | MITOS-ATYPIA-14CAMELYON 16DigestPath | - | - |
| Mahapatra et al. [74] | TredMIL | 2023 | Disentangled representation | IEEE Trans. Med. Imaging | UCSB DataCMU Data | √ | - |
| Zheng et al. [75] | SSC | 2021 | Capsule network | IEEE J. Biomed. Health Inform. | CAMELYON 16ACDC-LungHPprivate dataset | - | - |
| Lan et al. [76] | - | 2021 | INN | IEEE Access | MITOS-ATYPIA-14 | - | - |
| Shen et al. [77] | StainDiff | 2023 | Diffusion Model | MICCAI 2023 | MITOS-ATYPIA-14TCGA | √ | - |
| Kweon et al. [78] | MS-SST | 2024 | Image reconstruction-based | IEEE Access | MITOS-ATYPIA-14CAMELYON 17 | - | √ |
| Author | Model Name | Year | Technology | Journal/Conference | Datasets | Cls | Seg |
|---|---|---|---|---|---|---|---|
| Zhao et al. [100] | RestainNet | 2022 | GAN | Comput. Electr. Eng. | MITOS-ATYPIA-14TSR-CRCMICCAI’16 GlaS | √ | √ |
| Salehi et al. [14] | STST | 2020 | Pix2pix | MVIP 2020 | MITOS-ATYPIA-14 | - | √ |
| Cong et al. [101] | TESGAN | 2021 | Pix2pix | IEEE ISBI 2021 | TCGA LGGTCGA GBM | √ | - |
| Mahapatra et al. [102] | SegCN-Net | 2021 | CycleGAN | MICCAI 2020 | CAMELYON 16CAMELYON 17MICCAI’16 GlaS | √ | √ |
| Gehlot et al. [103] | AION | 2021 | Coupling Network | MLMI 2021 | CAMELYON 17PCamData Science Bowl (DSB)CVC-ClinicDB (CVC) | √ | √ |
| Ke et al. [104] | - | 2021 | Contrastive Learning | MICCAI 2021 | TCGA-COADTCGA-READTCGA-STADCAMELYON 16NCT-CRC-HE-100K-NORM | - | - |
| Gutiérrez et al. [105] | StainCUT | 2022 | Contrastive Learning | J. Imaging | MITOS-ATYPIA-14CAMELYON 16 | - | √ |
| Ling et al. [5] | SDN | 2023 | Disentangled Representation | IEEE Trans. Med. Imaging | MITOS-ATYPIA-14CAMELYON 17 | √ | - |
| Jewsbury et al. [106] | StainFuser | 2024 | Diffusion Model | arxiv | TCGA-STADTCGA-COADTCGA-READCoNIC | - | √ |
Disclaimer/Publisher’s Note: The statements, opinions and data contained in all publications are solely those of the individual author(s) and contributor(s) and not of MDPI and/or the editor(s). MDPI and/or the editor(s) disclaim responsibility for any injury to people or property resulting from any ideas, methods, instructions or products referred to in the content. |
© 2025 by the authors. Licensee MDPI, Basel, Switzerland. This article is an open access article distributed under the terms and conditions of the Creative Commons Attribution (CC BY) license (https://creativecommons.org/licenses/by/4.0/).
Share and Cite
Xu, C.; Sun, Y.; Zhang, Y.; Liu, T.; Wang, X.; Hu, D.; Huang, S.; Li, J.; Zhang, F.; Li, G. Stain Normalization of Histopathological Images Based on Deep Learning: A Review. Diagnostics 2025, 15, 1032. https://doi.org/10.3390/diagnostics15081032
Xu C, Sun Y, Zhang Y, Liu T, Wang X, Hu D, Huang S, Li J, Zhang F, Li G. Stain Normalization of Histopathological Images Based on Deep Learning: A Review. Diagnostics. 2025; 15(8):1032. https://doi.org/10.3390/diagnostics15081032
Chicago/Turabian StyleXu, Chuanyun, Yisha Sun, Yang Zhang, Tianqi Liu, Xiao Wang, Die Hu, Shuaiye Huang, Junjie Li, Fanghong Zhang, and Gang Li. 2025. "Stain Normalization of Histopathological Images Based on Deep Learning: A Review" Diagnostics 15, no. 8: 1032. https://doi.org/10.3390/diagnostics15081032
APA StyleXu, C., Sun, Y., Zhang, Y., Liu, T., Wang, X., Hu, D., Huang, S., Li, J., Zhang, F., & Li, G. (2025). Stain Normalization of Histopathological Images Based on Deep Learning: A Review. Diagnostics, 15(8), 1032. https://doi.org/10.3390/diagnostics15081032

