Sign in to use this feature.

Years

Between: -

Subjects

remove_circle_outline
remove_circle_outline
remove_circle_outline
remove_circle_outline
remove_circle_outline
remove_circle_outline
remove_circle_outline
remove_circle_outline
remove_circle_outline

Journals

remove_circle_outline
remove_circle_outline
remove_circle_outline
remove_circle_outline
remove_circle_outline
remove_circle_outline
remove_circle_outline
remove_circle_outline
remove_circle_outline
remove_circle_outline
remove_circle_outline
remove_circle_outline
remove_circle_outline
remove_circle_outline
remove_circle_outline
remove_circle_outline

Article Types

Countries / Regions

remove_circle_outline
remove_circle_outline
remove_circle_outline
remove_circle_outline
remove_circle_outline

Search Results (1,152)

Search Parameters:
Keywords = stain normalization

Order results
Result details
Results per page
Select all
Export citation of selected articles as:
12 pages, 1415 KB  
Article
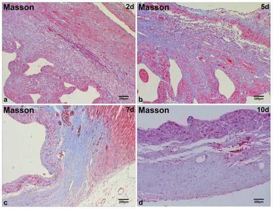
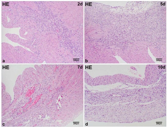
Sympathetic Biomarker Dynamics Post-Myocardial Infarction: TH, PGP9.5, and SYN Expression Discordance in Murine Hearts
by Tianshui Yu, Baoqing Pei and Dong Zhao
Int. J. Mol. Sci. 2025, 26(19), 9456; https://doi.org/10.3390/ijms26199456 - 27 Sep 2025
Abstract
Myocardial infarction (MI) and its sequelae continue to be the leading cause of mortality globally. Following MI, a series of structural pathophysiological changes occur in the myocardium, including sympathetic remodeling. Tyrosine hydroxylase (TH), protein gene product 9.5 (PGP9.5), and synaptophysin (SYN) are recognized [...] Read more.
Myocardial infarction (MI) and its sequelae continue to be the leading cause of mortality globally. Following MI, a series of structural pathophysiological changes occur in the myocardium, including sympathetic remodeling. Tyrosine hydroxylase (TH), protein gene product 9.5 (PGP9.5), and synaptophysin (SYN) are recognized as key markers of sympathetic nerves. However, the expression patterns of these biomarkers during sympathetic remodeling, particularly their temporal profiles, remain insufficiently characterized. A cohort of 60 healthy adult male C57BL/6 mice was randomly divided into a control group (n = 12) and four MI groups with postoperative intervals of 2, 5, 7, and 10 days (n = 12/group). MI was induced via permanent ligation of the left anterior descending coronary artery (LAD). Cardiac tissues were subjected to histological analyses (HE and Masson’s trichrome staining), immunohistochemical profiling, and quantitative reverse-transcriptase PCR (qRT-PCR) (TH, PGP9.5, and SYN). Immunohistochemical staining revealed that TH-, PGP9.5-, and SYN-immunopositive sympathetic nerves were present in the epicardium, myocardial interstitium, and the periphery of small blood vessels in normal mice. Normal cardiomyocytes were negative for TH but exhibited focal expression of PGP9.5 and SYN. In the myocardial infarction tissue, TH-positive staining indicated sympathetic nerve proliferation in the epicardium, myocardial infarction border zone, and infarct zone, with peak expression occurring at 7 days post-MI. In contrast to TH, PGP9.5 exhibited prominent immunoreactivity, specifically localized to the infarct core and peri-infarct zone cardiomyocytes, while SYN was primarily located in fibroblast-like cells within the same region. qRT-PCR analyses revealed that the time-dependent trends of TH, PGP9.5, and SYN mRNAs exhibited similarities, peaking between 5 and 7 days post-MI. TH demonstrates higher specificity than PGP9.5 and SYN in sympathetic nerve identification, solidifying its role as the optimal biomarker for post-MI sympathetic remodeling. The ectopic expression of PGP9.5 and SYN in non-neuronal cells within myocardial infarction tissue remains speculative and requires further mechanistic studies for validation. Full article
(This article belongs to the Section Molecular Pathology, Diagnostics, and Therapeutics)
Show Figures

Figure 1

22 pages, 2710 KB  
Article
Divergent Hepatic Outcomes of Chronic Ketone Supplementation: Ketone Salts Preserve Liver Health While Ketone Esters and Precursors Drive Inflammation and Steatosis
by Csilla Ari and Dominic P. D’Agostino
Pharmaceuticals 2025, 18(10), 1436; https://doi.org/10.3390/ph18101436 - 25 Sep 2025
Abstract
Background/Objectives: Exogenous ketone supplements elevate circulating ketones without carbohydrate restriction, but their long-term hepatic safety remains unclear. This study evaluated the formulation-dependent impact of chronic ketone supplementation on liver histopathology, inflammatory signaling, and systemic biomarkers in rats. Methods: Male Sprague-Dawley rats were orally [...] Read more.
Background/Objectives: Exogenous ketone supplements elevate circulating ketones without carbohydrate restriction, but their long-term hepatic safety remains unclear. This study evaluated the formulation-dependent impact of chronic ketone supplementation on liver histopathology, inflammatory signaling, and systemic biomarkers in rats. Methods: Male Sprague-Dawley rats were orally administered 1,3-butanediol (BD), medium-chain triglycerides (MCTs), ketone ester (KE), ketone electrolytes/salts (KSs), or a ketone salt–MCT combination (KSMCT) for 4 weeks. In a separate arm, animals received standard diet (SD), or SD supplemented with low-dose KE (LKE) or high-dose KE (HKE), for 83 days. Liver structure was assessed by hematoxylin and eosin staining with quantification of red blood cell density and lipid accumulation. Inflammatory and metabolic responses were evaluated by TNF-α and arginase immunohistochemistry. Serum biochemistry included glucose, proteins, electrolytes, and liver and kidney function markers. Results: BD and KE induced macrovesicular steatosis, vascular congestion, and elevated TNF-α and arginase expression, consistent with hepatic stress. MCT caused moderate hepatocellular ballooning and lipid deposition, whereas KS preserved near-normal hepatic morphology. KSMCT produced intermediate effects, reducing lipid accumulation and TNF-α compared with MCT or KE alone. KE supplementation caused dose-dependent reductions in globulin and elevations in creatinine, while HKE reduced sodium and glucose levels. Conclusions: Chronic hepatic responses to exogenous ketones are highly formulation dependent. KS demonstrated the most favorable safety profile under the tested conditions, maintaining normal hepatic structure, while BD and KE elicited adverse changes. Formulation choice is critical for the safe long-term use of exogenous ketones. Full article
(This article belongs to the Section Pharmacology)
Show Figures

Graphical abstract

14 pages, 4062 KB  
Article
Acute and Subchronic Exposure to Hemp (Cannabis sativa L.) Leaf Oil: Impacts on Vital Organs in Sprague-Dawley Rats
by Putcharawipa Maneesai, Monchai Duangjinda, Chanon Labjit, Juthamas Khamseekaew, Prapassorn Potue, Anuson Poasakate and Poungrat Pakdeechote
Pharmaceuticals 2025, 18(10), 1437; https://doi.org/10.3390/ph18101437 - 25 Sep 2025
Abstract
Background/Objectives: Hemp (Cannabis sativa L. subsp. sativa) is a plant within the Cannabis sativa species and utilized for several applications, including antioxidation, antihypertension, and anti-inflammation. To our knowledge, no prior study has assessed the acute and sub-chronic oral safety of [...] Read more.
Background/Objectives: Hemp (Cannabis sativa L. subsp. sativa) is a plant within the Cannabis sativa species and utilized for several applications, including antioxidation, antihypertension, and anti-inflammation. To our knowledge, no prior study has assessed the acute and sub-chronic oral safety of hemp leaf oil in Sprague-Dawley rats under Thailand-compliant THC levels. This study investigates the acute and sub-chronic effects of Hemp leaf oil (HLO) on the heart, liver, and kidneys of male and female Sprague-Dawley rats. Methods: Six-week-old male and female Sprague-Dawley rats were administered HLO (1.5 mL/kg) intragastrically, either as a single dose or a repeat dose over 28 days. Results: No changes in body or organ weights were observed following acute and sub-chronic HLO administration in sex-matched groups. Moreover, blood pressure and heart rate remained comparable across groups after acute and sub-chronic HLO treatment. Both acute and sub-chronic administration of HLO did not influence electrolyte balance, liver enzymes, total protein, albumin, blood urea nitrogen, or creatinine levels. Hematoxylin and eosin staining revealed the normal morphology of the heart, liver, and kidneys in rats subjected to HLO, during both acute and sub-chronic treatment. Conclusions: In conclusion, our data suggested that both acute and sub-chronic administration of HLO at 1.5 mL/kg could be safe for the vital organs. These findings support the potential use of HLO in therapeutic applications, particularly in scenarios when the safety of essential organs is at stake. Full article
(This article belongs to the Section Natural Products)
Show Figures

Graphical abstract

12 pages, 830 KB  
Article
Can PSMA-Targeting Radiopharmaceuticals Be Useful for Detecting Brain Metastasis of Various Tumors Using Positron Emission Tomography?
by Esra Arslan, Nurhan Ergül, Rahime Şahin, Ediz Beyhan, Özge Erol Fenercioğlu, Yeşim Karagöz, Arzu Algün Gedik, Yakup Bozkaya and Tevfik Fikret Çermik
Cancers 2025, 17(18), 3088; https://doi.org/10.3390/cancers17183088 - 22 Sep 2025
Viewed by 169
Abstract
Objective: The high expression of prostate-specific membrane antigen (PSMA) associated with neovascularization in non-prostatic malignant tumors and metastatic lesions has been documented in many studies. By taking advantage of the absence of PSMA-related background activity in brain tissue, in recent years, PSMA has [...] Read more.
Objective: The high expression of prostate-specific membrane antigen (PSMA) associated with neovascularization in non-prostatic malignant tumors and metastatic lesions has been documented in many studies. By taking advantage of the absence of PSMA-related background activity in brain tissue, in recent years, PSMA has been used for the imaging of glial tumors, especially for postoperative follow-up. The aim of this prospective study was to investigate the diagnostic value of 68Ga-PSMA-11 PET/CT by comparing 68Ga-PSMA-11 PET/CT, 18F-FDG PET/CT, and MRI findings in patients with brain metastases (BM). Materials and Method: In this prospective study, 27 cases, 11 female and 16 male, with a mean age of 59.48 ± 12.21 years, were included. Patients diagnosed with BM on 18F-FDG PET/CT or CT/MRI at initial diagnosis or in the follow-up period were included in the study. PET findings of BM lesions obtained from 18F-FDG and 68Ga-PSMA-11 PET/CT imaging, demographic characteristics, histopathological data of the primary foci, and other clinical features were evaluated together. Results: Twenty-four (89%) patients were included in the study for restaging, two (7%) patients for local recurrence assessment, and one (4%) patient for local recurrence and suspicion of additional lesions. The indications for 18F-FDG PET/CT were breast carcinoma for 37% (n:10), followed by lung carcinoma for 26% (n:7), colorectal adenocarcinoma for 14% (n:4), squamous cell larynx carcinoma for 7% (n:2), gastric signet ring cell carcinoma for 4% (n:1), pancreatic NET3 for 4% (n:1), thyroid papillary carcinoma for 4% (n:1), and malignant melanoma for 4% (n:1). In total, 26/27 included patients had PSMA-positive brain metastases but only one patient had PSMA-negative brain metastases with 68Ga-PSMA-11 PET/CT imaging. This patient was followed with a diagnosis of primary larynx squamous carcinoma and had a mass suspected of brain metastases. Further tests and an MRI revealed that the lesion in this patient was a hemorrhagic metastasis. The smallest metastatic focus on 68Ga-PSMA-11 PET/CT imaging was 0.22 cm, also confirmed by MRI (range: 0.22–2.81 cm). The mean ± SD SUVmax of the BM lesions was 17.9 ± 8.6 and 6.8 ± 5.2 on 18F-FDG PET/CT and 68Ga-PSMA-11 PET/CT imaging, respectively. Metastatic foci that could not be detected by 18F-FDG PET/CT imaging were successfully detected with 68Ga-PSMA-11 PET/CT imaging in 11 cases (42%). The distribution and number of metastatic lesions observed on cranial MRI and 68Ga-PSMA-11 PET/CT were compatible with each other for all patients. Immunohistochemical staining was performed in the primary tumor of 10 (38%) cases, and positive IHC staining with PSMA was detected in 5 patients. In addition, positive IHC staining with PSMA was detected in all of the four surgically excised brain metastatic tumor foci. Conclusions: In this study,68Ga-PSMA-11 PET/CT appears to be superior to 18F-FDG in detecting BM from various tumors, largely due to its high expression associated with neovascularization and the absence of PSMA expression in normal brain parenchyma. This lack of physiological uptake in healthy brain tissue provides excellent tumor-to-background contrast, further supporting the advantage of 68Ga-PSMA-11 over 18F-FDG for BM imaging. However, larger studies are required to confirm these findings, particularly through comparisons across tumor types and histopathological subgroups, integrating PSMA immunohistochemistry (IHC) scores with 68Ga-PSMA-11 uptake levels. Beyond its diagnostic potential, our results may also inform PSMA-targeted therapeutic strategies, offering new perspectives for the management of patients with brain metastases from diverse primary tumors. Full article
Show Figures

Figure 1

13 pages, 4774 KB  
Article
Comparative Study of DTMUV and LPS on Duck Liver Disease
by Zhenghui Lan, Zhigang Sun, Yi Wang, Huatao Li and Xuejing Sun
Vet. Sci. 2025, 12(9), 900; https://doi.org/10.3390/vetsci12090900 - 17 Sep 2025
Viewed by 265
Abstract
This study investigated the structural features of adult duck liver and compared pathological alterations induced by duck Tembusu virus (DTMUV, strain XZ-2012) and lipopolysaccharide (LPS). Histological techniques (HE, reticular fiber, and trichrome staining) revealed normal duck liver exhibited reddish-brown coloration with indistinct lobule [...] Read more.
This study investigated the structural features of adult duck liver and compared pathological alterations induced by duck Tembusu virus (DTMUV, strain XZ-2012) and lipopolysaccharide (LPS). Histological techniques (HE, reticular fiber, and trichrome staining) revealed normal duck liver exhibited reddish-brown coloration with indistinct lobule boundaries and no prominent bile ducts. Kupffer cell distribution was mapped via jugular ink injection. DTMUV infection caused liver swelling, congestion, and yellowish discoloration. Histopathology showed lymphocyte infiltration around central veins and portal areas, increased reticular fibers, thickened basement membranes, hepatocyte vacuolation, and erythrocyte accumulation in sinusoids. In contrast, LPS exposure led to mild hepatic enlargement without vacuolar degeneration but with marked perivascular lymphocyte aggregation and reticular fiber proliferation. Both treatments elevated Kupffer cell numbers. These findings demonstrate distinct liver injury patterns: DTMUV induces direct hepatocellular damage with inflammatory responses, while LPS triggers intense immune cell recruitment without significant hepatocyte degeneration. The study provides insights into avian viral versus bacterial pathogenesis and liver defense mechanisms, offering a foundation for further research into waterfowl infectious diseases. Full article
Show Figures

Figure 1

15 pages, 5356 KB  
Article
Decoding TRIP13’s Role in Gastric Cancer: Implications for Prognosis and Immune Response
by Tongguo Shi, Yu Shen, Anjing Zhao, Rufang Dong, Fan Chen and Suhua Xia
Biomedicines 2025, 13(9), 2268; https://doi.org/10.3390/biomedicines13092268 - 15 Sep 2025
Viewed by 257
Abstract
Background/Objectives: Gastric cancer (GC), a prevalent global malignancy and a leading cause of cancer-related mortality, has a poorly understood prognosis related to TRIP13 expression. TRIP13 has a recognized part in driving tumor progression across different cancer types, yet its precise role in GC [...] Read more.
Background/Objectives: Gastric cancer (GC), a prevalent global malignancy and a leading cause of cancer-related mortality, has a poorly understood prognosis related to TRIP13 expression. TRIP13 has a recognized part in driving tumor progression across different cancer types, yet its precise role in GC remains beyond our full comprehension. Our study aimed to explore TRIP13’s prognostic value and function in GC patients. Methods: We extensively explored TRIP13’s influence on GC prognosis, functionality, and immune response by examining various cancer-related databases like UALCAN, GEPIA, GEO, and TIMER. Immunohistochemistry (IHC) staining was also conducted to assess the link between TRIM13 and GC patient survival. Results: TRIP13 expression levels were found to be significantly elevated in GC tissues compared to normal tissues through analysis of mRNA data from multiple public databases. IHC analysis exposed elevated TRIP13 protein levels in GC tissues and connected it with tumor depth. Prognostic evaluation demonstrated that GC patients exhibiting heightened TRIP13 expression endured a diminished overall survival rate. Gene Ontology (GO) and Kyoto Encyclopedia of Genes and Genomes (KEGG) analyses showed that genes related to TRIP13 are involved in processes such as the cell cycle and DNA repair. Additionally, TRIP13 expression was found to correlate with ferroptosis-related genes and may play a role in regulating ferroptosis. Immune cell infiltration analysis demonstrated that TRIP13 expression is negatively correlated with the infiltration of CD4+ T cells, CD8+ T cells, and B cells. Conclusions: TRIP13 emerges as a candidate independent prognostic indicator and a promising intervention point for GC treatment. Full article
(This article belongs to the Section Immunology and Immunotherapy)
Show Figures

Figure 1

28 pages, 8444 KB  
Article
The Prognostic Role of IL-6 and RBP4 in Colorectal Cancer
by Małgorzata Żulicka, Daria Piątkowska, Dariusz Grzanka, Klaudia Bonowicz, Dominika Jerka, Maciej Gagat and Paulina Antosik
Biomedicines 2025, 13(9), 2257; https://doi.org/10.3390/biomedicines13092257 - 13 Sep 2025
Viewed by 421
Abstract
Background/Objectives: Colorectal cancer (CRC) is one of the leading causes of cancer-related mortality worldwide. Inflammation and metabolic dysregulation, particularly those related to obesity, have emerged as critical contributors to CRC progression. Interleukin-6 (IL-6) and retinol-binding protein 4 (RBP4), an adipokine involved in metabolic [...] Read more.
Background/Objectives: Colorectal cancer (CRC) is one of the leading causes of cancer-related mortality worldwide. Inflammation and metabolic dysregulation, particularly those related to obesity, have emerged as critical contributors to CRC progression. Interleukin-6 (IL-6) and retinol-binding protein 4 (RBP4), an adipokine involved in metabolic regulation, may be key mediators of these processes. This study aimed to evaluate the expression levels of IL-6 and RBP4 in CRC tissues and their associations with clinicopathological features and overall survival. Furthermore, in silico analyses were performed to explore the molecular networks and signaling pathways related to both biomarkers. Methods: Immunohistochemical staining of IL-6 and RBP4 was conducted in 118 CRC and matched adjacent normal tissues. Expression levels were assessed using the H-score system and correlated with clinical parameters. Survival analysis was performed using Kaplan–Meier curves. In silico analyses were based on RNA-seq data from TCGA and included pathway enrichment, gene co-expression, and protein–protein interaction networks. Results: IL-6 and RBP4 expression were significantly elevated in tumor tissue compared to adjacent normal mucosa. High IL-6 expression correlated with age and obesity measures, while RBP4 expression showed significant associations with pT stage, lymph node involvement, TNM stage, and obesity-related parameters. Kaplan–Meier analyses indicated shorter overall survival in patients with high IL-6 or RBP4 expression. In silico analysis confirmed upregulation of IL6 and RBP4 in CRC and highlighted immune-related pathways for IL-6 and developmental signaling for RBP4. Conclusions: Elevated expression of IL-6 and RBP4 in CRC tissue is associated with adverse clinical features and reduced survival, underscoring their potential role as prognostic biomarkers. These findings support the involvement of inflammation and metabolic dysfunction in CRC progression and suggest IL-6 and RBP4 as candidates for future targeted therapeutic approaches. Full article
(This article belongs to the Section Cancer Biology and Oncology)
Show Figures

Figure 1

15 pages, 828 KB  
Article
Micropolyps, Plasma Cells, and Pregnancy: Reevaluating Diagnostic and Therapeutic Strategies in Chronic Endometritis
by Monika Szafarowska, Martyna Chirzyńska, Karolina Kurlenko, Magdalena Biela, Jacek Doniec, Krzysztof Łuszczyński, Aneta Ścieżyńska and Paweł Kamiński
J. Clin. Med. 2025, 14(18), 6435; https://doi.org/10.3390/jcm14186435 - 12 Sep 2025
Viewed by 379
Abstract
Background/Objectives: Chronic endometritis (CE) is a subclinical inflammation of the endometrium that affects female fertility. Although awareness of its impact on reproductive outcomes has increased significantly, clinical management—especially the diagnostic value of hysteroscopy and the effectiveness of perioperative antibiotic prophylaxis in improving fertility—remains [...] Read more.
Background/Objectives: Chronic endometritis (CE) is a subclinical inflammation of the endometrium that affects female fertility. Although awareness of its impact on reproductive outcomes has increased significantly, clinical management—especially the diagnostic value of hysteroscopy and the effectiveness of perioperative antibiotic prophylaxis in improving fertility—remains unclear. Methods: This retrospective analysis involved 136 infertile women (30–44 years) who underwent diagnostic hysteroscopy between 2022 and 2023 at the Military Institute of Medicine in Warsaw. Women with intrauterine pathologies or other infertility factors were excluded. Hysteroscopic indicators of chronic endometritis (CE) included micropolyps and endometrial hyperemia. Endometrial biopsies were stained with CD138 and CE was diagnosed based on ≥5 plasma cells per 10 high-power fields. A single oral dose of azithromycin was administered post-procedure and pregnancy outcomes were assessed 12 months later. Results: CE was histologically confirmed in 29.2% of patients. The presence of micropolyps demonstrated a strong correlation with CE (p < 0.0001), although CE was also found in 21% of patients with normal hysteroscopic findings. While CE status did not significantly influence pregnancy rates, patients who received azithromycin exhibited a significantly higher conception rate (53% vs. 21%, p = 0.022). Additionally, secondary infertility was associated with higher reproductive success compared to primary infertility (54% vs. 24%, p = 0.022). Conclusions: Micropolyps are a specific hysteroscopic marker of CE. However, histologic inflammation markers may be present even in the absence of abnormal hysteroscopic findings. Furthermore, the routine use of antibiotic prophylaxis is associated with improved reproductive outcomes. Full article
(This article belongs to the Special Issue Female Infertility: Clinical Diagnosis and Treatment)
Show Figures

Figure 1

19 pages, 38450 KB  
Article
Color Normalization in Breast Cancer Immunohistochemistry Images Based on Sparse Stain Separation and Self-Sparse Fuzzy Clustering
by Attasuntorn Traisuwan, Somchai Limsiroratana, Pornchai Phukpattaranont, Phiraphat Sutthimat and Pichaya Tandayya
Diagnostics 2025, 15(18), 2316; https://doi.org/10.3390/diagnostics15182316 - 12 Sep 2025
Viewed by 386
Abstract
Background and Objective: The color normalization of breast cancer immunohistochemistry (IHC)-stained images helps change the color distribution of undesirable IHC-stained images to be more interpretable for the pathologists. This will affect the Allred score that the pathologists use to estimate the drug [...] Read more.
Background and Objective: The color normalization of breast cancer immunohistochemistry (IHC)-stained images helps change the color distribution of undesirable IHC-stained images to be more interpretable for the pathologists. This will affect the Allred score that the pathologists use to estimate the drug quantity for treating breast cancer patients. Methods: A new color normalization technique based on sparse stain separation and self-sparse fuzzy clustering is proposed. Results: The quaternion structural similarity was used to measure the quality of the normalization algorithm. Our technique has a structural similarity score lower than other techniques, and the color distribution similarity is closer to the target. We applied automated and unsupervised nuclei classification with Automatic Color Deconvolution (ACD) to test the color features extracted from normalized images. Conclusions: The classification result from our unsupervised nuclei classification with ACD is similar to other normalization methods, but it offers an easier perception to the pathologists. Full article
(This article belongs to the Special Issue Medical Images Segmentation and Diagnosis)
Show Figures

Figure 1

11 pages, 1679 KB  
Article
Use of 4-Nitroquinoline 1-Oxide (4NQO) in Dysplastic and Malignant Induction: In Vitro and In Vivo Studies
by Daniela Oliveira Meneses, Brunna da Silva Nobrega Souza, Mateus José Dutra, Isabella Souza Malta, Bruna Oliveira Silva, Isis Moraes Cançado, Nathan Stevan Cezar Conceição, Maria Leticia de Almeida Lança, Luana Marotta Reis de Vasconcellos and Estela Kaminagakura
Biomedicines 2025, 13(9), 2223; https://doi.org/10.3390/biomedicines13092223 - 10 Sep 2025
Viewed by 281
Abstract
Objectives: Tobacco has been associated with the development of oral leukoplakia (OL) and oral squamous cell carcinoma (OSCC). This study aimed to evaluate the in vitro and in vivo changes caused by carcinogen 4-nitroquinoline 1-oxide (4NQO), simulating smoking conditions. Materials and Methods: In [...] Read more.
Objectives: Tobacco has been associated with the development of oral leukoplakia (OL) and oral squamous cell carcinoma (OSCC). This study aimed to evaluate the in vitro and in vivo changes caused by carcinogen 4-nitroquinoline 1-oxide (4NQO), simulating smoking conditions. Materials and Methods: In the in vitro study, normal keratinocytes were exposed to 1.3 µM and 2.6 µM concentrations of 4NQO to induce dysplastic transformation (H-DISP) and malignant transformation (H-SCC), respectively. The cells were collected and subjected to hematoxylin and eosin (H&E) staining and immunocytochemistry with Ki-67. For the in vivo study, female C57BL/6J mice were divided into a pure control (PC) group and experimental groups exposed to 50 µg/mL (NQ) and 100 µg/mL (CM) of 4NQO in autoclaved drinking water. Each group was euthanized after 8, 12, 16, and 20 weeks of exposure. The tongues were collected, processed, stained with H&E, and analyzed using conventional light microscopy. Results: In vitro, significant morphological changes were observed in the H-DISP and H-SCC groups, with a cell proliferation index exceeding 30% in the H-DISP group. In vivo, the CM group showed greater progression to severe dysplasia/carcinoma within a shorter treatment period compared to the NQ group. Conclusions: We established critical doses and exposure durations for 4NQO, both in vitro and in vivo, to induce cellular changes and the formation of OL and OSCC, providing a standardized model for studies related to oral carcinogenesis. Full article
(This article belongs to the Special Issue Molecular Mechanisms and Therapeutic Approaches for Oral Disorders)
Show Figures

Figure 1

20 pages, 3404 KB  
Article
Clinical Significance of Nuclear Yin-Yang Overexpression Evaluated by Immunohistochemistry in Tissue Microarrays and Digital Pathology Analysis: A Useful Prognostic Tool for Breast Cancer
by Mayra Montecillo-Aguado, Giovanny Soca-Chafre, Gabriela Antonio-Andres, Belen Tirado-Rodriguez, Daniel Hernández-Cueto, Clara M. Rivera-Pazos, Marco A. Duran-Padilla, Sandra G. Sánchez-Ceja, Berenice Alcala-Mota-Velazco, Anel Gomez-Garcia, Sergio Gutierrez-Castellanos and Sara Huerta-Yepez
Int. J. Mol. Sci. 2025, 26(18), 8777; https://doi.org/10.3390/ijms26188777 - 9 Sep 2025
Viewed by 474
Abstract
Yin Yang 1 (YY1) is a multifunctional transcription factor implicated in gene regulation, cell proliferation, and survival. While its role in breast cancer (BC) has been explored, its prognostic significance remains controversial. In this study, we evaluated nuclear YY1 expression in 276 BC [...] Read more.
Yin Yang 1 (YY1) is a multifunctional transcription factor implicated in gene regulation, cell proliferation, and survival. While its role in breast cancer (BC) has been explored, its prognostic significance remains controversial. In this study, we evaluated nuclear YY1 expression in 276 BC tissue samples using immunohistochemistry (IHC), tissue microarrays (TMAs), and digital pathology (DP). Nuclear staining was quantified using Aperio ImageScope software, focusing on tumor regions to avoid confounding from stromal or non-tumor tissues. This selective and standardized approach enabled precise quantification of YY1 expression. Our results show elevated median YY1 expression in tumor vs. normal matched tissues (p < 0.001). The optimal cutoff for medium-intensity nuclear YY1 expression in tumor areas for overall survival (OS) was established by a receiver operating characteristic (ROC) curve (AUC = 0.718, 95% CI: 0.587–0.849, p = 0.008). In contrast, ROC curves showed no prognostic impact (AUC and p-value) for YY1 quantification in whole spots (tumor + normal). As a categorical variable, high YY1 expression was correlated with more aggressive BC features, including tumor size > 3 cm (57.7% vs. 44.2% p = 0.037), the triple-negative breast cancer (TNBC) molecular subtype (27.3% vs. 13.9% p = 0.026), and advanced prognostic stage (III) (31.8% vs. 16.7% p = 0.003), while as a continuous variable, YY1 was associated with higher histological (p = 0.003) and nuclear grades (p = 0.022). High YY1 expression was significantly associated with a reduced OS of BC patients, as shown by Kaplan–Meier curves (HR = 2.227, p = 0.002). Since YY1 was significantly enriched in TNBC, we evaluated its prognostic resolution in this subgroup. But, probably due to the small number of patients within this subset, our results were not statistically significant (HR = 1.317, 95% CI: 0.510–3.405, p = 0.566). Next, we performed multivariate Cox regression, confirming YY1 as an independent prognostic factor for overall survival (HR = 1.927, 95% CI: 1.144–3.247, p = 0.014). In order to improve prognostic value, we constructed a mathematical model derived from the multivariate Cox regression results, including YYI, AJCC prognostic stage (STA), and axillary lymph node dissection (ALN), with the following equation: h(t) = h0(t) × exp (0.695 × YY1 + 1.103 × STA − 0.503 × ALN). ROC analysis of this model showed a better AUC of 0.915, similar sensitivity (83.3%), and much higher specificity (92%). Bioinformatic analysis of public datasets supported these findings in BC, showing YY1 overexpression in multiple cancer types and its association with poor outcomes in BC. These results suggest that YY1 may play a role in tumor progression and serve as a valuable prognostic biomarker in BC. DP combined with molecular data enhanced biomarker accuracy, supporting clinical applications of YY1 in routine diagnostics and personalized therapy. Additionally, developing a combined score based on the modeling of multiple prognostic factors significantly enhanced survival predictions, representing a practical tool for risk stratification and the guidance of therapeutic decisions. Full article
(This article belongs to the Special Issue Advances and Mechanisms in Breast Cancer—2nd Edition)
Show Figures

Figure 1

22 pages, 11257 KB  
Article
Teashirt and C-Terminal Binding Protein Interact to Regulate Drosophila Eye Development
by Surya Jyoti Banerjee, Jennifer Curtiss, Chase Drucker and Harley Hines
Genes 2025, 16(9), 1045; https://doi.org/10.3390/genes16091045 - 5 Sep 2025
Viewed by 509
Abstract
Background and Objectives: The Drosophila retinal determination network comprises the transcription factor Teashirt (Tsh) and the transcription co-regulator C-terminal Binding Protein (CtBP), both of which are essential for normal adult eye development. Both Tsh and CtBP show a pattern of co-expression in [...] Read more.
Background and Objectives: The Drosophila retinal determination network comprises the transcription factor Teashirt (Tsh) and the transcription co-regulator C-terminal Binding Protein (CtBP), both of which are essential for normal adult eye development. Both Tsh and CtBP show a pattern of co-expression in the proliferating cells anterior to the morphogenetic furrow that demarcates the boundary between the anteriorly placed proliferating eye precursor cells and the posteriorly placed differentiating photoreceptor cells in the larval eye-precursor tissue, the eye–antennal disc. The disc ultimately develops into the adult compound eyes, antenna, and other head structures. Both Tsh and CtBP were found to interact genetically during ectopic eye formation in Drosophila, and both were present in molecular complexes purified from gut and cultured cells. However, it remained unknown whether Tsh and CtBP molecules could interact in the eye–antennal discs and elicit an effect on eye development. The present study answers these questions. Methods: 5′ GFP-tagging of the tsh gene in the Drosophila genome and 5′ FLAG-tagging of the ctbp gene were accomplished by the CRISPR-Cas9 and BAC recombineering methods, respectively, to produce GFP-Tsh- and FLAG-CtBP-fused proteins in specific transgenic Drosophila strains. Verification of these proteins’ expression in the larval eye–antennal discs was performed by immunohistological staining and confocal microscopy. Genetic screening was performed to establish functional interaction between Tsh and CtBP during eye development. Scanning Electron Microscopy was performed to image the adult eye structure. Co-immunoprecipitation and GST pulldown assays were performed to show that Tsh and CtBP interact in the cells of the third instar eye–antennal discs. Results: This study reveals that Tsh and CtBP interact genetically and physically in the Drosophila third instar larval eye–antennal disc to regulate adult eye development. This interaction is likely to limit the population of the eye precursor cells in the larval eye disc of Drosophila. Conclusions: The relative abundance of Tsh and CtBP in the third instar larval eye–antennal disc can dictate the outcome of their interaction on the Drosophila eye formation. Full article
(This article belongs to the Special Issue Genetics and Genomics of Retinal Development and Diseases)
Show Figures

Figure 1

19 pages, 5577 KB  
Article
Comparative Analysis of the Effects of Acidic and Alkaline Beverages on the Optical Properties, Surface Topography, and Bacterial Activity of Zirconia Materials
by Nasser M. Alahmari
J. Funct. Biomater. 2025, 16(9), 329; https://doi.org/10.3390/jfb16090329 - 5 Sep 2025
Viewed by 521
Abstract
This study aimed to evaluate how acidic and alkaline staining solutions affect the optical properties (mean color change, ΔE*), geometric characteristics (surface roughness, Ra), and bacterial adhesion of zirconia Ceramill Zolid PS computer-aided design/computer-aided manufacture (CAD/CAM) material after 21 days of immersion. Ninety-six [...] Read more.
This study aimed to evaluate how acidic and alkaline staining solutions affect the optical properties (mean color change, ΔE*), geometric characteristics (surface roughness, Ra), and bacterial adhesion of zirconia Ceramill Zolid PS computer-aided design/computer-aided manufacture (CAD/CAM) material after 21 days of immersion. Ninety-six zirconia CAD/CAM Ceramill Zolid multilayer PS specimens were prepared and allocated to eight groups based on the pH values of the immersion solutions; the acidic solutions included Mirinda Citrus, CodeRed, yerba mate tea, Saudi coffee, and Nescafe (A–E), and the alkaline solutions included artificial saliva, DZRT (tobacco-free nicotine pouches), and smokeless tobacco (F–H). The specimens were immersed for 21 days at 37 °C, with the solutions replaced every 12 h to ensure consistency. Color changes were measured using a VITA Easyshade V spectrophotometer, and Ra was evaluated via white-light interferometric microscopy. The bacterial adhesion of Streptococcus mutans was quantified by counting colony-forming units (CFUs, CFU/mm2). Statistical analyses included the Shapiro–Wilk test for normality, one-way ANOVA with Tukey’s HSD post hoc test for group comparisons, and paired t-tests, with significance set at <0.05. The recorded pH values of the staining materials ranged from acidic (Mirinda Citrus: 3.23) to alkaline (smokeless tobacco: 8.54). Smokeless tobacco caused the most unacceptable mean color change (ΔE* = 6.84), followed by DZRT (ΔE* = 6.46), whereas artificial saliva produced the least discoloration (ΔE* = 2.15), with statistically significant differences among the solutions (p < 0.001). The Ra measurements varied significantly (p < 0.001), with Nescafe demonstrating the lowest value (0.486 µm) and DZRT the highest (0.748 µm). S. mutans adhesion was the highest for CodeRed (546.75 CFU) and the lowest for smokeless tobacco (283.92 CFU), demonstrating significant variation across groups (ANOVA, p < 0.001). The acidic and alkaline solutions significantly altered the optical properties, Ra, and bacterial adhesion of zirconia Ceramill Zolid PS CAD/CAM, with acidic solutions leading to higher bacterial adhesion. Full article
(This article belongs to the Section Dental Biomaterials)
Show Figures

Figure 1

17 pages, 2143 KB  
Article
Application of StarDist to Diagnostic-Grade White Blood Cells Segmentation in Whole Slide Images
by Julius Bamwenda, Mehmet Siraç Özerdem, Orhan Ayyildiz and Veysi Akpolat
Electronics 2025, 14(17), 3538; https://doi.org/10.3390/electronics14173538 - 4 Sep 2025
Viewed by 555
Abstract
Accurate and automated segmentation of white blood cells (WBCs) in whole slide images (WSIs) is a critical step in computational pathology. This study presents a comprehensive evaluation and enhancement of the StarDist algorithm, leveraging its star-convex polygonal modeling to improve segmentation precision in [...] Read more.
Accurate and automated segmentation of white blood cells (WBCs) in whole slide images (WSIs) is a critical step in computational pathology. This study presents a comprehensive evaluation and enhancement of the StarDist algorithm, leveraging its star-convex polygonal modeling to improve segmentation precision in complex WSI datasets. Our pipeline integrates tailored preprocessing, expert annotations from QuPath, and adaptive learning strategies for model training. Comparative analysis with U-Net and Mask R-CNN demonstrates StarDist’s superiority across multiple performance metrics, including Dice coefficient (0.89), precision (0.99), and IoU (0.95). Visual evaluations further highlight its robustness in handling overlapping cells and staining inconsistencies. The study establishes StarDist as a reliable tool for digital pathology, with potential integration into clinical decision-support systems. In addition to Dice and IoU, metrics such as Aggregated Jaccard Index and Boundary F1-Score are gaining popularity for biomedical segmentation. Preprocessing techniques like Macenko stain normalization and adaptive histogram equalization can further improve generalizability. QuPath, an open-source digital pathology platform, was utilized to perform accurate WBC annotations prior to training and evaluation. Full article
Show Figures

Figure 1

22 pages, 2356 KB  
Article
Category-Aware Two-Stage Divide-and-Ensemble Framework for Sperm Morphology Classification
by Aydın Kağan Turkoglu, Gorkem Serbes, Hakkı Uzun, Abdulsamet Aktas, Merve Huner Yigit and Hamza Osman Ilhan
Diagnostics 2025, 15(17), 2234; https://doi.org/10.3390/diagnostics15172234 - 3 Sep 2025
Viewed by 512
Abstract
Introduction: Sperm morphology is a fundamental parameter in the evaluation of male infertility, offering critical insights into reproductive health. However, traditional manual assessments under microscopy are limited by operator dependency and subjective interpretation caused by biological variation. To overcome these limitations, there is [...] Read more.
Introduction: Sperm morphology is a fundamental parameter in the evaluation of male infertility, offering critical insights into reproductive health. However, traditional manual assessments under microscopy are limited by operator dependency and subjective interpretation caused by biological variation. To overcome these limitations, there is a need for accurate and fully automated classification systems. Objectives: This study aims to develop a two-stage, fully automated sperm morphology classification framework that can accurately identify a wide spectrum of abnormalities. The framework is designed to reduce subjectivity, minimize misclassification between visually similar categories, and provide more reliable diagnostic support in reproductive healthcare. Methods: A novel two-stage deep learning-based framework is proposed utilizing images from three staining-specific versions of a comprehensive 18-class dataset. In the first stage, sperm images are categorized into two principal groups: (1) head and neck region abnormalities, and (2) normal morphology together with tail-related abnormalities. In the second stage, a customized ensemble model—integrating four distinct deep learning architectures, including DeepMind’s NFNet-F4 and vision transformer (ViT) variants—is employed for detailed abnormality classification. Unlike conventional majority voting, a structured multi-stage voting strategy is introduced to enhance decision reliability. Results: The proposed framework consistently outperforms single-model baselines, achieving accuracies of 69.43%, 71.34%, and 68.41% across the three staining protocols. These results correspond to a statistically significant 4.38% improvement over prior approaches in the literature. Moreover, the two-stage system substantially reduces misclassification among visually similar categories, demonstrating enhanced ability to detect subtle morphological variations. Conclusions: The proposed two-stage, ensemble-based framework provides a robust and accurate solution for automated sperm morphology classification. By combining hierarchical classification with structured decision fusion, the method advances beyond traditional and single-model approaches, offering a reliable and scalable tool for clinical decision-making in male fertility assessment. Full article
(This article belongs to the Section Machine Learning and Artificial Intelligence in Diagnostics)
Show Figures

Figure 1

Back to TopTop