Three-Dimensional Microscopic Characteristics of the Human Uterine Cervix Evaluated by Microtomography
Abstract
1. Introduction
2. Methods
2.1. Specimens
2.2. MicroCT
2.3. MicroCT Parameters
3. Results
3.1. Contrast
3.2. Evaluation of Specimen Images
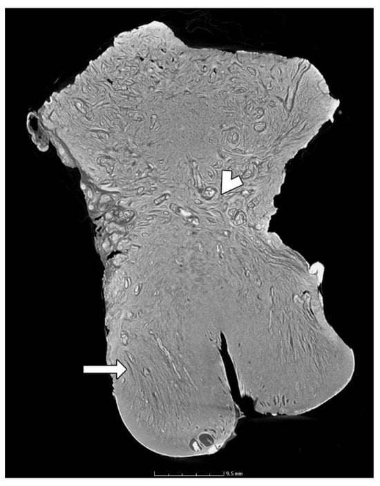
3.3. The Anatomy of the Uterine Cervix
3.4. Transformation of the Endocervical Epithelium—Metaplastic Transformation
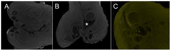
3.5. The Endocervical Anatomy
3.6. The Endocervical Canal Beyond the External os
4. Discussion
5. Conclusions
Supplementary Materials
Author Contributions
Funding
Institutional Review Board Statement
Informed Consent Statement
Data Availability Statement
Conflicts of Interest
References
- Martyn, F.; McAuliffe, F.M.; Wingfield, M. The role of the cervix in fertility: Is it time for a reappraisal? Hum. Reprod. 2014, 29, 2092–2098. [Google Scholar] [CrossRef]
- Temkin, O.; Eastman, N.J.; Edelstein, L.; Guttmacher, A.F., Translators; Soranus’ Gynecology; Johns Hopkins University Press: Baltimore, MD, USA, 1956; Available online: https://books.google.com.br/books?redir_esc=y&hl=pt-BR&id=YsKWfh31gxwC&q=neck#v=snippet&q=neck&f=false (accessed on 24 September 2024).
- Ahmed, A.I.; Aldhaheri, S.R.; Rodriguez-Kovacs, J.; Narasimhulu, D.; Putra, M.; Minkoff, H.; Haberman, S. Sonographic Measurement of Cervical Volume in Pregnant Women at High Risk of Preterm Birth Using a Geometric Formula for a Frustum Versus 3-Dimensional Automated Virtual Organ Computer-Aided Analysis. J. Ultrasound Med. 2017, 36, 2209–2217. [Google Scholar] [CrossRef]
- Peters, R.; Castro, P.T.; Matos, A.P.P.; Ribeiro, G.; Lopes Dos Santos, J.; Araujo Júnior, E.; Werner, H. Virtual segmentation of three-dimensional ultrasound images of morphological structures of an ex vivo ectopic pregnancy inside a fallopian tube. J. Clin. Ultrasound 2022, 50, 535–539. [Google Scholar] [CrossRef]
- WHO. Cancer Fact Sheet No. 297. 2015. Available online: http://www.who.int/mediacentre/factsheets/fs297/en/ (accessed on 23 September 2024).
- Ginsburg, O.; Bray, F.; Coleman, M.P.; Vanderpuye, V.; Eniu, A.; Kotha, S.R.; Sarker, M.; Huong, T.T.; Allemani, C.; Dvaladze, A.; et al. The global burden of women’s cancers: A grand challenge in global health. Lancet 2016, 16, 31392–31397. [Google Scholar] [CrossRef]
- Kusakabe, M.; Taguchi, A.; Sone, K.; Mori, M.; Osuga, Y. Carcinogenesis and management of human papillomavirus-associated cervical cancer. Int. J. Clin. Oncol. 2023, 28, 965–974. [Google Scholar] [CrossRef]
- Papazoglou, A.S.; Karagiannidis, E.; Liatsos, A.; Bompoti, A.; Moysidis, D.V.; Arvanitidis, C.; Tsolaki, F.; Tsagkaropoulos, S.; Theocharis, S.; Tagarakis, G.; et al. Volumetric Tissue Imaging of Surgical Tissue Specimens Using Micro-Computed Tomography: An Emerging Digital Pathology Modality for Nondestructive, Slide-Free Microscopy-Clinical Applications of Digital Pathology in 3 Dimensions. Am. J. Clin. Pathol. 2023, 159, 242–254. [Google Scholar] [CrossRef]
- Werner, M.; Chott, A.; Fabiano, A.; Battifora, H. Effect of formalin tissue fixation and processing on immunohistochemistry. Am. J. Surg. Pathol. 2000, 24, 1016–1019. [Google Scholar] [CrossRef]
- Corton, M.M.; DeLancey, J.O.L. Surgical anatomy of the female pelvis. In Te Linde’s Operative Gynecology, 12th ed.; Handa, V.L., Van Lee, L., Eds.; Lippincott Williams & Wilkins: Philadelphia, PA, USA, 2020; pp. 2–42. [Google Scholar]
- Reiss, H.E. The cervix in hysterosalpingography. J. Obstet. Gynaecol. Br. Emp. 1959, 66, 317–318. [Google Scholar] [CrossRef]
- Castro, P.T.; Aranda, O.L.; Matos, A.P.P.; Marchiori, E.; de Araújo, L.F.B.; Alves, H.D.L.; Machado, A.S.; Lopes, R.T.; Werner, H.; Araujo Júnior, E. The human endosalpinx: Anatomical three-dimensional study and reconstruction using confocal microtomography. Pol. J. Radiol. 2019, 84, e281–e288. [Google Scholar] [CrossRef]
- Rony, L.; Chappard, D. Necrosis of the femoral head, X-ray microtomography (microCT) and histology of retrieved human femoral heads. Morphologie 2021, 105, 134–142. [Google Scholar] [CrossRef]
- Pommerenke, W.T. Cyclic changes in the physical and chemical properties of cervical mucus. Am. J. Obstet. Gynecol. 1946, 52, 1023–1031. [Google Scholar] [CrossRef]
- Odeblad, E. Micro-NMR in high permanent magnetic fields. Theoretical and experimental investigations with an application to the secretions from single glandular units in the human uterine cervix. Acta Obstet. Gynecol. Scand. 1966, 45 (Suppl. 2), 1–188. [Google Scholar] [PubMed]
- Fluhmann, C.F. The Cervix Uteri and Its Diseases, 3rd ed.; W.B. Saunders: Philadelphia, PA, USA, 1961. [Google Scholar]
- Myers, K.; Socrate, S.; Tzeranis, D.; House, M. Changes in the biochemical constituents and morphologic appearance of the human cervical stroma during pregnancy. Eur. J. Obstet. Gynecol. Reprod. Biol. 2009, 144 (Suppl. 1), S82–S89. [Google Scholar] [CrossRef]
- Ferenczy, A. Ultrastructue of the uterine cervix. In Physiology & Biochemistry of Uterus in Pregnancy & Labor, 1st ed.; Huszar, G., Ed.; CRC Press: Boca Raton, FL, USA, 1986; p. 22. [Google Scholar]
- Novikova, T. Optical techniques for cervical neoplasia detection. Beilstein J. Nanotechnol. 2017, 8, 1844–1862. [Google Scholar] [CrossRef]
- Garry, R. Pressure-controlled hysteroscopy during menstruation. J. Minim. Invasive Gynecol. 2010, 17, 337–343. [Google Scholar] [CrossRef]
- Mizutani, R.; Takeuchi, A.; Uesugi, K.; Ohyama, M.; Takekoshi, S.; Osamura, R.Y.; Suzuki, Y. Three-dimensional microtomographic imaging of human brain cortex. Brain Res. 2008, 1199, 53–61. [Google Scholar] [CrossRef]
- Lombardi, C.M.; Zambelli, V.; Botta, G.; Moltrasio, F.; Cattoretti, G.; Lucchini, V.; Fesslova, V.; Cuttin, M.S. Postmortem microcomputed tomography (micro-CT) of small fetuses and hearts. Ultrasound Obstet. Gynecol. 2014, 44, 600–609. [Google Scholar] [CrossRef]
- Metscher, B.D. MicroCT for comparative morphology: Simple staining methods allow high-contrast 3D imaging of diverse non-mineralized animal tissues. BMC Physiol. 2009, 9, 11. [Google Scholar] [CrossRef]
- Aranda, O.L.; Castro, P.T.; Matos, A.P.P.; Machado, A.S.; Alves, H.D.L.; Lopes, R.T.; Marchiori, E.; Werner, H.; Araujo Júnior, E. Micro-CT in an ectopic pregnancy: New radiological and microscopical perspectives (and level) in the study of the Fallopian tube. Eur. J. Radiol. 2018, 98, 171–173. [Google Scholar] [CrossRef]
- Castro, P.T.; Matos, A.P.P.; Aranda, O.L.; Marchiori, E.; Alves, H.D.L.; Machado, A.S.; Lopes, R.T.; Werner, H.; Araujo Júnior, E. Tuboperitoneal fistula, ectopic pregnancy, and remnants of fallopian tube: A confocal microtomography analysis and 3D reconstruction of human fallopian tube pathologies. J. Matern.-Fetal Neonatal Med. 2019, 32, 3082–3087. [Google Scholar] [CrossRef]
- Castro, P.T.; Aranda, O.L.; Ribeiro, G.; Araujo Júnior, E.; Machado, A.S.; Werner, H. Fallopian tube: Three-dimensional reconstruction and virtual navigation using microtomography. J. Clin. Ultrasound 2022, 50, 852–853. [Google Scholar] [CrossRef]
- Roesler, M.W.; Garrett, A.S.; Trew, M.L.; Gerneke, D.; Amirapu, S.; Cheng, L.K.; Clark, A.R. Three-dimensional virtual histology of the rat uterus musculature using micro-computed tomography. J. Anat. 2024, 246, 134–147. [Google Scholar] [CrossRef]
- Nott, J.P.; Pervolaraki, E.; Benson, A.P.; Bonney, E.A.; Pickering, J.D.; Wilkinson, N.; Simpson, N. Diffusion tensor imaging determines three-dimensional architecture of human cervix: A cross-sectional study. BJOG 2018, 125, 812–818. [Google Scholar] [CrossRef]
- Feltovich, H. The cervix: Is last century’s paradigm more fitting than today’s? BJOG 2019, 126, 544. [Google Scholar] [CrossRef]










| Acquisition Data | Voltage (kV) | Current (µA) | Exposure Time (ms) | Voxel Size (µm) | Number of Images | Number of Frames | Scan Time (Minute) |
|---|---|---|---|---|---|---|---|
| Result | 98 | 307 | 333 | 32 | 1425 | 5 | 56 |
Disclaimer/Publisher’s Note: The statements, opinions and data contained in all publications are solely those of the individual author(s) and contributor(s) and not of MDPI and/or the editor(s). MDPI and/or the editor(s) disclaim responsibility for any injury to people or property resulting from any ideas, methods, instructions or products referred to in the content. |
© 2025 by the authors. Licensee MDPI, Basel, Switzerland. This article is an open access article distributed under the terms and conditions of the Creative Commons Attribution (CC BY) license (https://creativecommons.org/licenses/by/4.0/).
Share and Cite
Matos, A.P.P.; Aranda, O.L.; Marchiori, E.; Machado, A.S.; Da Penha Moreira, A.J.; Werner, H.; Araujo Júnior, E.; Granese, R.; Calagna, G.; Castro, P.T. Three-Dimensional Microscopic Characteristics of the Human Uterine Cervix Evaluated by Microtomography. Diagnostics 2025, 15, 603. https://doi.org/10.3390/diagnostics15050603
Matos APP, Aranda OL, Marchiori E, Machado AS, Da Penha Moreira AJ, Werner H, Araujo Júnior E, Granese R, Calagna G, Castro PT. Three-Dimensional Microscopic Characteristics of the Human Uterine Cervix Evaluated by Microtomography. Diagnostics. 2025; 15(5):603. https://doi.org/10.3390/diagnostics15050603
Chicago/Turabian StyleMatos, Ana Paula Pinho, Osvaldo Luiz Aranda, Edson Marchiori, Alessandra Silveira Machado, Adriana José Da Penha Moreira, Heron Werner, Edward Araujo Júnior, Roberta Granese, Gloria Calagna, and Pedro Teixeira Castro. 2025. "Three-Dimensional Microscopic Characteristics of the Human Uterine Cervix Evaluated by Microtomography" Diagnostics 15, no. 5: 603. https://doi.org/10.3390/diagnostics15050603
APA StyleMatos, A. P. P., Aranda, O. L., Marchiori, E., Machado, A. S., Da Penha Moreira, A. J., Werner, H., Araujo Júnior, E., Granese, R., Calagna, G., & Castro, P. T. (2025). Three-Dimensional Microscopic Characteristics of the Human Uterine Cervix Evaluated by Microtomography. Diagnostics, 15(5), 603. https://doi.org/10.3390/diagnostics15050603

