Delayed Diagnosis of Acute Appendicitis in the Third Trimester of Pregnancy: Diagnostic Pitfalls, Multisurgical Management, and a Prolonged Postoperative Course—A Multidisciplinary Case Report
Abstract
1. Introduction
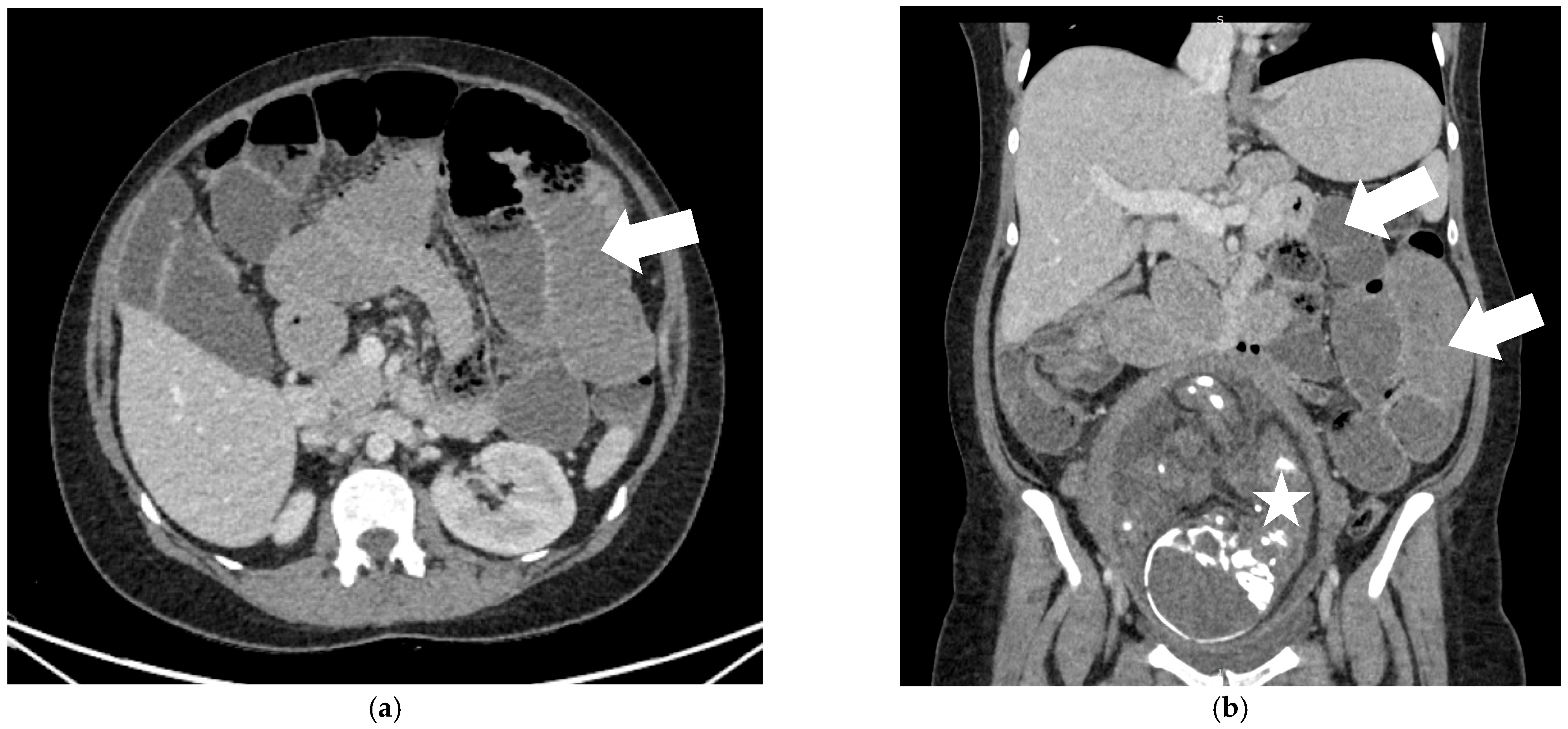
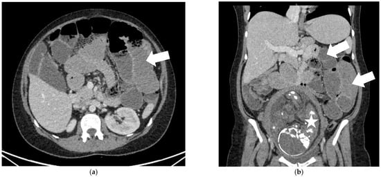
2. Case Report
3. Discussion
4. Conclusions
Author Contributions
Funding
Institutional Review Board Statement
Informed Consent Statement
Data Availability Statement
Acknowledgments
Conflicts of Interest
References
- Şimşek, D.; Turan, Ö.D.; Ergenoğlu, A.M.; Demir, H.B.; Sezer, T.Ö.; Şahin, Ç. Pregnancy Outcomes and Surgical Management of Pregnancy Complicated by Appendicitis: Obstetrician View. Meandros Med. Dent. J. 2015, 16, 43–49. [Google Scholar] [CrossRef]
- Al-Shuwayman, A.A.; Hamad Aldawsari, H.F.; Mufreh Al-Shahri, S.B.S.; Abdullah Al-Qarni, F.K.; Bin Saeed, S.M.; Al-Harkan, M.S. Appendicitis: A medical serious condition—An updated review. Int. J. Health Sci. 2023, 7, 3624–3639. [Google Scholar] [CrossRef]
- Moris, D.; Paulson, E.K.; Pappas, T.N. Diagnosis and Management of Acute Appendicitis in Adults: A Review. J. Am. Med. Assoc. 2021, 326, 2299. [Google Scholar] [CrossRef]
- Guňková, P.; Tulinský, L.; Toman, D.; Martínek, L.; Vrtková, A.; Špaček, R.; Šimetka, O. Acute appendicitis in pregnancy—Do we treat correctly, or do we delay unnecessarily? Ginekol. Pol. 2024, 95, 126–131. [Google Scholar] [CrossRef]
- Wickramasinghe, D.P.; Xavier, C.; Samarasekera, D.N. The Worldwide Epidemiology of Acute Appendicitis: An Analysis of the Global Health Data Exchange Dataset. World J. Surg. 2021, 45, 1999–2008. [Google Scholar] [CrossRef]
- Kozan, R.; Bayhan, H.; Soykan, Y.; Anadol, A.Z.; Sare, M.; Aytac, A.B. Acute Appendicitis in Pregnancy: How to Manage? Sisli Etfal Hastan. Tip. Bul. 2020, 54, 457–462. [Google Scholar] [CrossRef] [PubMed]
- Frountzas, M.; Nikolaou, C.; Stergios, K.; Kontzoglou, K.; Toutouzas, K.; Pergialiotis, V. Is the laparoscopic approach a safe choice for the management of acute appendicitis in pregnant women? A meta-analysis of observational studies. Ann. R. Coll. Surg. Engl. 2019, 101, 235–248. [Google Scholar] [CrossRef]
- Moltubak, E.; Landerholm, K.; Blomberg, M.; Andersson, R.E. Validation of the Appendicitis Inflammatory Response (AIR) score during pregnancy: A nested case–control study. Acad. Emerg. Med. 2024, 31, 894–902. [Google Scholar] [CrossRef]
- Andersen, B.; Nielsen, T.F. Appendicitis in pregnancy, Diagnosis, management and complications. Acta Obstet. Gynecol. Scand. 1999, 78, 758–762. [Google Scholar] [CrossRef]
- Choi, Y.S.; Seo, J.H.; Yi, J.W.; Choe, Y.-M.; Heo, Y.S.; Choi, S.K. Clinical Characteristics of Acute Appendicitis in Pregnancy: 10-Year Experience at a Single Institution in South Korea. J. Clin. Med. 2023, 12, 3277. [Google Scholar] [CrossRef] [PubMed]
- Jamieson, D.J.; Theiler, R.N.; Rasmussen, S.A. Emerging Infections and Pregnancy. Emerg. Infect. Dis. 2006, 12, 1638–1643. [Google Scholar] [CrossRef]
- Dilday, E.A.; Allen, R.L.; Manning, S.A.; Chao, L. Omental evisceration in a gravid woman following second-trimester laparoscopy: A case report. Case Rep. Women’s Health 2021, 29, e00283. [Google Scholar] [CrossRef]
- Mukherjee, R.; Samanta, S. Surgical emergencies in pregnancy in the era of modern diagnostics and treatment. Taiwan. J. Obstet. Gynecol. 2019, 58, 177–182. [Google Scholar] [CrossRef]
- Chakraborty, J.; Kong, J.C.; Su, W.K.; Gourlas, P.; Gillespie, C.; Slack, T.; Morris, B.; Lutton, N. Safety of laparoscopic appendicectomy during pregnancy: A systematic review and meta-analysis. ANZ J. Surg. 2019, 89, 1373–1378. [Google Scholar] [CrossRef]
- Pundzius, J. Chirurgija II Tomas. Specialioji Dalis [Internet]. 2012. 664p. Available online: https://ebooks.vitaelitera.lt/einfo/2250/chirurgija-ii-tomas-specialioji-dalis/ (accessed on 21 October 2024).
- Lotfollahzadeh, S.; Lopez, R.A.; Deppen, J.G. Appendicitis. In StatPearls; StatPearls Publishing: Treasure Island, FL, USA, 2024. Available online: http://www.ncbi.nlm.nih.gov/books/NBK493193/ (accessed on 21 October 2024).
- Aptilon Duque, G.; Oladipo, A.F.; Lotfollahzadeh, S. Appendicitis in Pregnancy. In StatPearls; StatPearls Publishing: Treasure Island, FL, USA, 2024. Available online: http://www.ncbi.nlm.nih.gov/books/NBK551642/ (accessed on 21 October 2024).
- Augustin, G. Acute Appendicitis. In Acute Abdomen During Pregnancy; Springer International Publishing: Cham, Switherland, 2023; pp. 371–419. Available online: https://link.springer.com/10.1007/978-3-031-26021-6_15 (accessed on 24 October 2024).
- Hoffmann, M.; Anthuber, L.; Silva, A.H.D.; Mair, A.; Wolf, S.; Dannecker, C.; Anthuber, M.; Schrempf, M. Appendectomy for suspected appendicitis during pregnancy–a retrospective comparative study of 99 pregnant and 1796 non-pregnant women. Langenbecks Arch. Surg. 2024, 409, 326. [Google Scholar] [CrossRef] [PubMed]
- Abbas, O.F.; Abbas, M.I.; Khudhair, I.H. Acute Appendicitis in Pregnancy in Baghdad Teaching Hospital. Int. J. Pharma Med. Biol. Sci. 2024, 4, 681–686. [Google Scholar] [CrossRef]
- Kave, M.; Parooie, F.; Salarzaei, M. Pregnancy and appendicitis: A systematic review and meta-analysis on the clinical use of MRI in diagnosis of appendicitis in pregnant women. World J. Emerg. Surg. 2019, 14, 37. [Google Scholar] [CrossRef] [PubMed]
- Badr, D.A.; Selsabil, M.-H.; Thill, V.; Dobos, S.; Ostrovska, A.; Jani, J.C.; Cannie, M.M. Acute appendicitis and pregnancy: Diagnostic performance of magnetic resonance imaging. J. Matern. Fetal Neonatal Med. 2022, 35, 8107–8110. [Google Scholar] [CrossRef]
- Nazir, A.; Farooqi, S.A.; Chaudhary, N.A.; Bhatti, H.W.; Waqar, M.; Sadiq, A. Comparison of Open Appendectomy and Laparoscopic Appendectomy in Perforated Appendicitis. Cureus 2019, 11, e5105. [Google Scholar] [CrossRef]
- Smolkin, C.; Kiridly, A.; Pryor, A. Appendicitis During Pregnancy: Best Surgical Practices and Clinical Management. Open Access Surg. 2023, 16, 95–103. [Google Scholar] [CrossRef]
- Zhang, J.; Wang, M.; Xin, Z.; Li, P.; Feng, Q. Updated Evaluation of Laparoscopic vs. Open Appendicectomy During Pregnancy: A Systematic Review and Meta-Analysis. Front. Surg. 2021, 8. [Google Scholar] [CrossRef]
- Juhasz-Böss, I.; Solomayer, E.; Strik, M.; Raspé, C. Abdominal Surgery in Pregnancy. Dtsch. Ärzteblatt Int. 2014, 111, 465–472. [Google Scholar] [CrossRef]
- Walsh, C.A.; Tang, T.; Walsh, S.R. Laparoscopic versus open appendicectomy in pregnancy: A systematic review. Int. J. Surg. 2008, 6, 339–344. [Google Scholar] [CrossRef]
- Pearl, J.P.; Price, R.R.; Tonkin, A.E.; Richardson, W.S.; Stefanidis, D. SAGES guidelines for the use of laparoscopy during pregnancy. Surg. Endosc. 2017, 31, 3767–3782. [Google Scholar] [CrossRef]
- Di Saverio, S.; Podda, M.; De Simone, B.; Ceresoli, M.; Augustin, G.; Gori, A.; Boermeester, M.; Sartelli, M.; Coccolini, F.; Tarasconi, A.; et al. Diagnosis and treatment of acute appendicitis: 2020 update of the WSES Jerusalem guidelines. World J. Emerg. Surg. 2020, 15, 27. [Google Scholar] [CrossRef]
- Lotfipour, S.; Jason, M.; Liu, V.J.; Helmy, M.; Hoonpongsimanont, W.; McCoy, C.E.; Chakravarthy, B. Latest Considerations in Diagnosis and Treatment of Appendicitis During Pregnancy. Clin. Pract. Cases Emerg. Med. 2018, 2, 112–115. [Google Scholar] [CrossRef][Green Version]
- Aggenbach, L.; Zeeman, G.G.; Cantineau, A.E.P.; Gordijn, S.J.; Hofker, H.S. Impact of appendicitis during pregnancy: No delay in accurate diagnosis and treatment. Int. J. Surg. 2015, 15, 84–89. [Google Scholar] [CrossRef]
- Cai, Y.-L.; Yang, S.-S.; Peng, D.-Z.; Jia, Q.-B.; Li, F.-Y.; Ye, H.; Cheng, N.-S. Laparoscopic appendectomy is safe and feasible in pregnant women during second trimester: A retrospective study in a top-level Chinese center. Medicine 2020, 99, e21801. [Google Scholar] [CrossRef] [PubMed]
- Tanrıdan Okcu, N.; Banlı Cesur, İ.; İrkörücü, O. Acute appendicitis in pregnancy: 50 case series, maternal and neonatal outcomes. Ulus. Travma Acil Cerrahi Derg. 2021, 27, 255–259. [Google Scholar] [CrossRef] [PubMed]
- Rahim, S.; Young, B.C. Surgical Management of Appendicitis During Pregnancy. Neoreviews 2024, 25, e519–e522. [Google Scholar] [CrossRef] [PubMed]
- Krot, I.F.; Eynysh, E.A.; Prizentsov, A.A. Acute Appendicitis During Late Pregnancy. Health Ecol. Issues 2014, 4, 148–153. [Google Scholar] [CrossRef]
- Laamiri, G.; Ghalleb, M.; Ammar, N.B.; Zribi, S.; Mighri, M.; Bouassida, M.; Touinsi, H. Bowel obstruction due to the tightening of a loose bowel adhesion with uterus enlargement during pregnancy. J. Clin. Investig. Surg. 2020, 5, 109–112. [Google Scholar] [CrossRef]
- Zapletal, J.; Sehnal, B.; Dvorak, R.; Drienko, M.; Vlk, R.; Halaska, M.J.; Rob, L. Abdominal wound dehiscence after appendectomy during pregnancy treated by negative pressure wound therapy with subsequent vaginal delivery: A case report and literature review. Int. J. Gynecol. Obstet. 2025, 170, 150–156. [Google Scholar] [CrossRef]
- Martin, L.F.; Barry, M.G.; Peeno, D.O.; Fry, D.E. Abdominal wall repair with polypropylene mesh in pregnancy. Obstet. Gynecol. 1985, 66, 141–143. [Google Scholar]
- Nirenjen, S.; Narayanan, J.; Tamilanban, T.; Subramaniyan, V.; Chitra, V.; Fuloria, N.K.; Wong, L.S.; Ramachawolran, G.; Sekar, M.; Gupta, G.; et al. Exploring the contribution of pro-inflammatory cytokines to impaired wound healing in diabetes. Front. Immunol. 2023, 14, 1216321. [Google Scholar] [CrossRef]
- Burgess, J.L.; Wyant, W.A.; Abdo Abujamra, B.; Kirsner, R.S.; Jozic, I. Diabetic Wound-Healing Science. Medicina 2021, 57, 1072. [Google Scholar] [CrossRef] [PubMed]
- Ito, K.; Ito, H.; Whang, E.E.; Tavakkolizadeh, A. Appendectomy in pregnancy: Evaluation of the risks of a negative appendectomy. Am. J. Surg. 2012, 203, 145–150. [Google Scholar] [CrossRef] [PubMed]
- Yadav, S.; Rawal, G.; Baxi, M. Vacuum assisted closure technique: A short review. Pan Afr. Med. J. 2017, 28, 246. [Google Scholar] [CrossRef] [PubMed]
- Rencuzogullari, A. Retention of vacuum-assisted closure device sponge leading to a perianal abscess and fistula. Int. Wound J. 2015, 12, 739–740. [Google Scholar] [CrossRef]
- Webb, L.X.; Schmidt, U. Wundbehandlung mit der Vakuumtherapie. Unfallchirurg 2001, 104, 918–926. [Google Scholar] [CrossRef]
- Herscovici, D.; Sanders, R.W.; Scaduto, J.M.; Infante, A.; DiPasquale, T. Vacuum-Assisted Wound Closure (VAC Therapy) for the Management of Patients With High-Energy Soft Tissue Injuries. J. Orthop. Trauma 2003, 17, 683–688. [Google Scholar] [CrossRef]
- Gomoll, A.H.; Lin, A.; Harris, M.B. Incisional Vacuum-Assisted Closure Therapy. J. Orthop. Trauma 2006, 20, 705–709. [Google Scholar] [CrossRef]
- Schimp, V.L.; Worley, C.; Brunello, S.; Levenback, C.C.; Wolf, J.K.; Sun, C.C.; Bodurka, D.C.; Ramirez, P.T. Vacuum-assisted closure in the treatment of gynecologic oncology wound failures. Gynecol. Oncol. 2004, 92, 586–591. [Google Scholar] [CrossRef] [PubMed]
- Topdagi Yilmaz, E.P.; Yapca, O.E.; Cimilli Senocak, G.N.; Topdağı, Y.E.; Al, R.A. Use of vacuum-assisted closure in massive puerperal genital hematoma. Obstet. Gynecol. Sci. 2019, 62, 186. [Google Scholar] [CrossRef] [PubMed]
- Malkov, I.S.; Mamedov, T.A.; Shakirov, M.I.; Filippov, V.A. Complicated destructive appendicitis: Finding the optimal treatment method. Kazan. Med. J. 2021, 102, 751–756. [Google Scholar] [CrossRef]
- Colozzi, S. Early Postoperative Eventration: Surgical Treatment with Use of Biological Prosthesis. J. Clin. Case Rep. 2016, 6, 773. [Google Scholar] [CrossRef]


Disclaimer/Publisher’s Note: The statements, opinions and data contained in all publications are solely those of the individual author(s) and contributor(s) and not of MDPI and/or the editor(s). MDPI and/or the editor(s) disclaim responsibility for any injury to people or property resulting from any ideas, methods, instructions or products referred to in the content. |
© 2025 by the authors. Licensee MDPI, Basel, Switzerland. This article is an open access article distributed under the terms and conditions of the Creative Commons Attribution (CC BY) license (https://creativecommons.org/licenses/by/4.0/).
Share and Cite
Didžiokaitė, G.; Kuznecovaitė, A.; Šileikis, A.; Paliulytė, V. Delayed Diagnosis of Acute Appendicitis in the Third Trimester of Pregnancy: Diagnostic Pitfalls, Multisurgical Management, and a Prolonged Postoperative Course—A Multidisciplinary Case Report. Diagnostics 2025, 15, 2593. https://doi.org/10.3390/diagnostics15202593
Didžiokaitė G, Kuznecovaitė A, Šileikis A, Paliulytė V. Delayed Diagnosis of Acute Appendicitis in the Third Trimester of Pregnancy: Diagnostic Pitfalls, Multisurgical Management, and a Prolonged Postoperative Course—A Multidisciplinary Case Report. Diagnostics. 2025; 15(20):2593. https://doi.org/10.3390/diagnostics15202593
Chicago/Turabian StyleDidžiokaitė, Gabija, Aida Kuznecovaitė, Audrius Šileikis, and Virginija Paliulytė. 2025. "Delayed Diagnosis of Acute Appendicitis in the Third Trimester of Pregnancy: Diagnostic Pitfalls, Multisurgical Management, and a Prolonged Postoperative Course—A Multidisciplinary Case Report" Diagnostics 15, no. 20: 2593. https://doi.org/10.3390/diagnostics15202593
APA StyleDidžiokaitė, G., Kuznecovaitė, A., Šileikis, A., & Paliulytė, V. (2025). Delayed Diagnosis of Acute Appendicitis in the Third Trimester of Pregnancy: Diagnostic Pitfalls, Multisurgical Management, and a Prolonged Postoperative Course—A Multidisciplinary Case Report. Diagnostics, 15(20), 2593. https://doi.org/10.3390/diagnostics15202593

