Diagnostic Value of Simple Ultrasound Features and Inflammatory Markers in Postmenopausal Ovarian Cysts
Abstract
1. Introduction
2. Materials and Methods
2.1. Study Design and Population
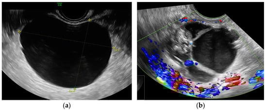
2.2. Ultrasound Acquisition and Morphology Definition
- 1.
- Simple cysts—Unilocular, anechoic cysts with smooth walls and no papillary projections.
- 2.
- Complex cysts—Cystic lesions with additional features such as septations, solid components, internal echogenicity, or vascularity.
2.3. Biomarkers and Calculations
2.4. Reference Standard and Outcomes
2.5. Statistical Analysis
3. Results
4. Discussion
4.1. Principal Findings
4.2. Clinical Implications
4.3. Comparison with Existing Literature
4.4. Strengths and Limitations
4.5. Future Directions
5. Conclusions
Author Contributions
Funding
Institutional Review Board Statement
Informed Consent Statement
Data Availability Statement
Conflicts of Interest
References
- Ekerhovd, E.; Wienerroith, H.; Staudach, A.; Granberg, S. Preoperative assessment of unilocular adnexal cysts by transvaginal ultrasonography: A comparison between ultrasonographic morphologic imaging and histopathologic diagnosis. Am. J. Obstet. Gynecol. 2001, 184, 48–54. [Google Scholar] [CrossRef]
- Clarke-Pearson, D.L. Clinical practice. Screening for ovarian cancer. N. Engl. J. Med. 2009, 361, 170–177. [Google Scholar] [CrossRef]
- Prat, J. Pathology of borderline and invasive cancers. Best Pract. Res. Clin. Obstet. Gynaecol. 2017, 41, 15–30. [Google Scholar] [CrossRef]
- Nebgen, D.R.; Lu, K.H.; Bast, R.C., Jr. Novel Approaches to Ovarian Cancer Screening. Curr. Oncol. Rep. 2019, 21, 75. [Google Scholar] [CrossRef]
- Einhorn, N.; Sjovall, K.; Knapp, R.C.; Hall, P.; Scully, R.E.; Bast, R.C., Jr.; Zurawski, V.R., Jr. Prospective evaluation of serum CA 125 levels for early detection of ovarian cancer. Obstet. Gynecol. 1992, 80, 14–18. [Google Scholar] [CrossRef]
- Jacobs, I.J.; Skates, S.J.; MacDonald, N.; Menon, U.; Rosenthal, A.N.; Davies, A.P.; Woolas, R.; Jeyarajah, A.R.; Sibley, K.; Lowe, D.G.; et al. Screening for ovarian cancer: A pilot randomised controlled trial. Lancet 1999, 353, 1207–1210. [Google Scholar] [CrossRef]
- Collins, W.P.; Bourne, T.H.; Campbell, S. Screening strategies for ovarian cancer. Curr. Opin. Obstet. Gynecol. 1998, 10, 33–39. [Google Scholar] [CrossRef]
- Kaijser, J.; Van Gorp, T.; Smet, M.E.; Van Holsbeke, C.; Sayasneh, A.; Epstein, E.; Bourne, T.; Vergote, I.; Van Calster, B.; Timmerman, D. Are serum HE4 or ROMA scores useful to experienced examiners for improving characterization of adnexal masses after transvaginal ultrasonography? Ultrasound Obstet. Gynecol. 2014, 43, 89–97. [Google Scholar] [CrossRef]
- Goldstein, S.R.; Subramanyam, B.; Snyder, J.R.; Beller, U.; Raghavendra, B.N.; Beckman, E.M. The postmenopausal cystic adnexal mass: The potential role of ultrasound in conservative management. Obstet. Gynecol. 1989, 73, 8–10. [Google Scholar] [CrossRef]
- Sassone, A.M.; Timor-Tritsch, I.E.; Artner, A.; Westhoff, C.; Warren, W.B. Transvaginal sonographic characterization of ovarian disease: Evaluation of a new scoring system to predict ovarian malignancy. Obstet. Gynecol. 1991, 78, 70–76. [Google Scholar]
- Ueland, F.R.; DePriest, P.D.; Pavlik, E.J.; Kryscio, R.J.; van Nagell, J.R., Jr. Preoperative differentiation of malignant from benign ovarian tumors: The efficacy of morphology indexing and Doppler flow sonography. Gynecol. Oncol. 2003, 91, 46–50. [Google Scholar] [CrossRef]
- Granberg, S.; Wikland, M.; Jansson, I. Macroscopic characterization of ovarian tumors and the relation to the histological diagnosis: Criteria to be used for ultrasound evaluation. Gynecol. Oncol. 1989, 35, 139–144. [Google Scholar] [CrossRef]
- Timmerman, D.; Ameye, L.; Fischerova, D.; Epstein, E.; Melis, G.B.; Guerriero, S.; Van Holsbeke, C.; Savelli, L.; Fruscio, R.; Lissoni, A.A.; et al. Simple ultrasound rules to distinguish between benign and malignant adnexal masses before surgery: Prospective validation by IOTA group. BMJ 2010, 341, c6839. [Google Scholar] [CrossRef] [PubMed]
- Hiett, A.K.; Sonek, J.D.; Guy, M.; Reid, T.J. Performance of IOTA Simple Rules, Simple Rules risk assessment, ADNEX model and O-RADS in differentiating between benign and malignant adnexal lesions in North American women. Ultrasound Obstet. Gynecol. 2022, 59, 668–676. [Google Scholar] [CrossRef] [PubMed]
- Tan, P.L.; Willatt, J.M.; Lindsell, D. The ability of ultrasound to detect gynaecological neoplasms and their ultrasound morphological features. Australas. Radiol. 2007, 51, 260–266. [Google Scholar] [CrossRef]
- Kurjak, A.; Prka, M.; Arenas, J.M.; Sparac, V.; Merce, L.T.; Corusic, A.; Ivancic-Kosuta, M. Three-dimensional ultrasonography and power Doppler in ovarian cancer screening of asymptomatic peri- and postmenopausal women. Croat. Med. J. 2005, 46, 757–764. [Google Scholar] [PubMed]
- Timor-Tritsch, I.E.; Goldstein, S.R. The complexity of a “complex mass” and the simplicity of a “simple cyst”. J. Ultrasound Med. 2005, 24, 255–258. [Google Scholar] [CrossRef][Green Version]
- Erdodi, B.; Szollosi, G.J.; Toth, Z.; Krasznai, Z.T.; Jakab, A. The Clinical Relevance of Distinguishing Between Simple and Complex Adnexal Cystic Structures by Ultrasound in Peri- and Postmenopause. Cancers 2025, 17, 1370. [Google Scholar] [CrossRef]
- Van Calster, B.; Timmerman, D.; Valentin, L.; McIndoe, A.; Ghaem-Maghami, S.; Testa, A.C.; Vergote, I.; Bourne, T. Triaging women with ovarian masses for surgery: Observational diagnostic study to compare RCOG guidelines with an International Ovarian Tumour Analysis (IOTA) group protocol. BJOG 2012, 119, 662–671. [Google Scholar] [CrossRef]
- Kaijser, J.; Bourne, T.; Valentin, L.; Sayasneh, A.; Van Holsbeke, C.; Vergote, I.; Testa, A.C.; Franchi, D.; Van Calster, B.; Timmerman, D. Improving strategies for diagnosing ovarian cancer: A summary of the International Ovarian Tumor Analysis (IOTA) studies. Ultrasound Obstet. Gynecol. 2013, 41, 9–20. [Google Scholar] [CrossRef]
- Froyman, W.; Timmerman, D. Methods of Assessing Ovarian Masses: International Ovarian Tumor Analysis Approach. Obstet. Gynecol. Clin. N. Am. 2019, 46, 625–641. [Google Scholar] [CrossRef]
- Arneth, B. Tumor Microenvironment. Medicina 2019, 56, 15. [Google Scholar] [CrossRef]
- Cramer, D.W.; Benjamin Iv, W.J.; Vitonis, A.F.; Berkowitz, R.; Goodman, A.; Matulonis, U. Differential blood count as triage tool in evaluation of pelvic masses. Int. J. Gynecol. Cancer 2021, 31, 733–743. [Google Scholar] [CrossRef]
- Yun, T.H.; Jeong, Y.Y.; Lee, S.J.; Choi, Y.S.; Ryu, J.M. Neutrophil-Lymphocyte and Platelet-Lymphocyte Ratios in Preoperative Differential Diagnosis of Benign, Borderline, and Malignant Ovarian Tumors. J. Clin. Med. 2022, 11, 1355. [Google Scholar] [CrossRef] [PubMed]
- Cho, H.; Hur, H.W.; Kim, S.W.; Kim, S.H.; Kim, J.H.; Kim, Y.T.; Lee, K. Pre-treatment neutrophil to lymphocyte ratio is elevated in epithelial ovarian cancer and predicts survival after treatment. Cancer Immunol. Immunother. 2009, 58, 15–23. [Google Scholar] [CrossRef]
- Bizon, M.; Olszewski, M.; Krason, B.; Kochanowicz, E.; Safiejko, K.; Borowka, A.; Sekita-Krzak, J.; Pruc, M.; Drozd, A.; Feduniw, S.; et al. The Diagnostic Role of the Platelet-to-Lymphocyte Ratio in Ovarian Cancer: A Systematic Review and Meta-Analysis. Int. J. Mol. Sci. 2025, 26, 1841. [Google Scholar] [CrossRef] [PubMed]
- Wang, Y.Q.; Jin, C.; Zheng, H.M.; Zhou, K.; Shi, B.B.; Zhang, Q.; Zheng, F.Y.; Lin, F. A novel prognostic inflammation score predicts outcomes in patients with ovarian cancer. Clin. Chim. Acta 2016, 456, 163–169. [Google Scholar] [CrossRef] [PubMed]
- Zhang, C.L.; Jiang, X.C.; Li, Y.; Pan, X.; Gao, M.Q.; Chen, Y.; Pang, B. Independent predictive value of blood inflammatory composite markers in ovarian cancer: Recent clinical evidence and perspective focusing on NLR and PLR. J. Ovarian Res. 2023, 16, 36. [Google Scholar] [CrossRef]
- Yildirim, M.A.; Seckin, K.D.; Togrul, C.; Baser, E.; Karsli, M.F.; Gungor, T.; Gulerman, H.C. Roles of neutrophil/lymphocyte and platelet/lymphocyte ratios in the early diagnosis of malignant ovarian masses. Asian. Pac. J. Cancer Prev. 2014, 15, 6881–6885. [Google Scholar] [CrossRef][Green Version]
- Yildirim, M.; Demir Cendek, B.; Filiz Avsar, A. Differentiation between benign and malignant ovarian masses in the preoperative period using neutrophil-to-lymphocyte and platelet-to-lymphocyte ratios. Mol. Clin. Oncol. 2015, 3, 317–321. [Google Scholar] [CrossRef]
- Huang, K.; Xu, S.; Wang, J.; Ge, L.; Xu, J.; Jia, X. Combined use of CA125, neutrophil/lymphocyte ratio and platelet/lymphocyte ratio for the diagnosis of borderline and malignant epithelial ovarian tumors. J. Ovarian Res. 2023, 16, 37. [Google Scholar] [CrossRef]
- Song, L.; Wu, Q.; Bai, S.; Zhao, J.; Qi, J.; Zhang, J. Comparison of the diagnostic efficacy of systemic inflammatory indicators in the early diagnosis of ovarian cancer. Front. Oncol. 2024, 14, 1381268. [Google Scholar] [CrossRef]
- Ye, L.; Zhou, G.; Zhou, L.; Wang, D.; Xiong, S.; Liu, C.; Zhang, G. Diagnostic roles of neutrophil-to-lymphocyte ratio, monocyte-to-lymphocyte ratio, platelet-to-lymphocyte ratio, C-reactive protein, and cancer antigen 125 for ovarian cancer. J. Int. Med. Res. 2023, 51, 3000605231218557. [Google Scholar] [CrossRef]
- Li, L.; Tian, J.; Zhang, L.; Liu, L.; Sheng, C.; Huang, Y.; Zheng, H.; Song, F.; Chen, K. Utility of Preoperative Inflammatory Markers to Distinguish Epithelial Ovarian Cancer from Benign Ovarian Masses. J. Cancer 2021, 12, 2687–2693. [Google Scholar] [CrossRef]
- Erdodi, B.; Szollosi, G.; Varadi, L.; Bozsa, S.; Krasznai, Z.; Jakab, A. EP30.16: Simple ultrasound features and composite serum markers in the diagnosis of ovarian cancer: Can they improve the diagnostic efficacy in postmenopause? Ultrasound Obstet. Gynecol. 2023, 62, 295–296. [Google Scholar] [CrossRef]
- Padilla, L.A.; Radosevich, D.M.; Milad, M.P. Accuracy of the pelvic examination in detecting adnexal masses. Obstet. Gynecol. 2000, 96, 593–598. [Google Scholar] [CrossRef] [PubMed]
- Hartge, P.; Hayes, R.; Reding, D.; Sherman, M.E.; Prorok, P.; Schiffman, M.; Buys, S. Complex ovarian cysts in postmenopausal women are not associated with ovarian cancer risk factors: Preliminary data from the prostate, lung, colon, and ovarian cancer screening trial. Am. J. Obstet. Gynecol. 2000, 183, 1232–1237. [Google Scholar] [CrossRef]
- Siegel, R.L.; Miller, K.D.; Jemal, A. Cancer statistics, 2020. CA Cancer J. Clin. 2020, 70, 7–30. [Google Scholar] [CrossRef]
- Sung, H.; Ferlay, J.; Siegel, R.L.; Laversanne, M.; Soerjomataram, I.; Jemal, A.; Bray, F. Global Cancer Statistics 2020: GLOBOCAN Estimates of Incidence and Mortality Worldwide for 36 Cancers in 185 Countries. CA Cancer J. Clin. 2021, 71, 209–249. [Google Scholar] [CrossRef]
- Timmerman, D.; Van Calster, B.; Testa, A.; Savelli, L.; Fischerova, D.; Froyman, W.; Wynants, L.; Van Holsbeke, C.; Epstein, E.; Franchi, D.; et al. Predicting the risk of malignancy in adnexal masses based on the Simple Rules from the International Ovarian Tumor Analysis group. Am. J. Obstet. Gynecol. 2016, 214, 424–437. [Google Scholar] [CrossRef] [PubMed]
- Van Calster, B.; Van Hoorde, K.; Froyman, W.; Kaijser, J.; Wynants, L.; Landolfo, C.; Anthoulakis, C.; Vergote, I.; Bourne, T.; Timmerman, D. Practical guidance for applying the ADNEX model from the IOTA group to discriminate between different subtypes of adnexal tumors. Facts Views Vis. Obgyn 2015, 7, 32–41. [Google Scholar] [PubMed]
- Kovacs, A.R.; Sulina, A.; Kovacs, K.S.; Lukacs, L.; Torok, P.; Lampe, R. Prognostic Significance of Preoperative NLR, MLR, and PLR Values in Predicting the Outcome of Primary Cytoreductive Surgery in Serous Epithelial Ovarian Cancer. Diagnostics 2023, 13, 2268. [Google Scholar] [CrossRef]
- El Bairi, K.; Al Jarroudi, O.; Afqir, S. Inexpensive Systemic Inflammatory Biomarkers in Ovarian Cancer: An Umbrella Systematic Review of 17 Prognostic Meta-Analyses. Front. Oncol. 2021, 11, 694821. [Google Scholar] [CrossRef]
- Stephens, A.N.; Hobbs, S.J.; Kang, S.-W.; Oehler, M.K.; Jobling, T.W.; Allman, R. Utility of a Multi-Marker Panel with Ultrasound for Enhanced Classification of Adnexal Mass. Cancers 2024, 16, 2048. [Google Scholar] [CrossRef] [PubMed]
- Forget, P.; Khalifa, C.; Defour, J.P.; Latinne, D.; Van Pel, M.C.; De Kock, M. What is the normal value of the neutrophil-to-lymphocyte ratio? BMC Res. Notes 2017, 10, 12. [Google Scholar] [CrossRef] [PubMed]



| Outcome (Fisher’s Exact Test, p = 0.001) | |||
|---|---|---|---|
| Benign | Malignant | Total | |
| Simple N | 26 | 1 | 27 |
| Simple % | 96.3 | 3.7 | 100 |
| Total % | 35.14 | 3.45 | 26.21 |
| Complex N | 48 | 28 | 76 |
| Complex % | 63.16 | 36.84 | 100 |
| Total % | 64.86 | 96.55 | 73.79 |
| Total N | 74 | 29 | 103 |
| Total % | 71.84 | 28.16 | 100 |
| All Patient Data | Benign | Malignant | Benign vs. Malignant p-Value | |
|---|---|---|---|---|
| NLR | 2.31 (1.78–3.72) | 2.18 (1.62–3.04) | 3.74 (2.63–4.5) | <0.001 |
| PLR | 150.57 (123.13–218.44) | 145.9 (119.57–184.23) | 225.33 (145.54–280.43) | <0.001 |
| Age | 62 (55–67) | 60.5 (55–66) | 65 (59–72) | 0.019 |
| Size | 70 (53–120) | 70 (55–106) | 85 (53–130) | 0.248 |
| NLR Median (IQR) | PLR Median (IQR) | n | Benign n (%) | Malignant n (%) | p-Value (NLR) Benign vs. Malignant | p-Value (PLR) Benign vs. Malignant | |
|---|---|---|---|---|---|---|---|
| Simple < 5 cm | 2.16 (2.05–2.44) | 130.44 (108.59–172.46) | 6 | 6 (100) | 0 (0) | <0.001 | <0.001 |
| Simple ≥ 5 cm | 2.04 (1.61–2.62) | 130.77 (111.26–175.14) | 21 | 20 (95.24) | 1 (4.76) | ||
| Complex < 5 cm | 2.48 (2.17–3.74) | 172.31 (120.10–248.48) | 10 | 8 (80) | 2 (20) | ||
| Complex ≥ 5 cm | 2.68 (1.75–3.82) | 158.04 (130.74–225.33) | 66 | 40 (60.61) | 26 (39.39) |
| OR | p Value | |
|---|---|---|
| NLR | 1.43 | 0.14 |
| PLR | 1.00 | 0.66 |
| Age | 1.05 | 0.09 |
| Size | 1.00 | 0.95 |
| Complex/Simple | 11.93 | 0.02 |
Disclaimer/Publisher’s Note: The statements, opinions and data contained in all publications are solely those of the individual author(s) and contributor(s) and not of MDPI and/or the editor(s). MDPI and/or the editor(s) disclaim responsibility for any injury to people or property resulting from any ideas, methods, instructions or products referred to in the content. |
© 2025 by the authors. Licensee MDPI, Basel, Switzerland. This article is an open access article distributed under the terms and conditions of the Creative Commons Attribution (CC BY) license (https://creativecommons.org/licenses/by/4.0/).
Share and Cite
Erdodi, B.; Szollosi, G.J.; Ratonyi, D.; Varadi, L.; Krasznai, Z.T.; Jakab, A. Diagnostic Value of Simple Ultrasound Features and Inflammatory Markers in Postmenopausal Ovarian Cysts. Diagnostics 2025, 15, 2220. https://doi.org/10.3390/diagnostics15172220
Erdodi B, Szollosi GJ, Ratonyi D, Varadi L, Krasznai ZT, Jakab A. Diagnostic Value of Simple Ultrasound Features and Inflammatory Markers in Postmenopausal Ovarian Cysts. Diagnostics. 2025; 15(17):2220. https://doi.org/10.3390/diagnostics15172220
Chicago/Turabian StyleErdodi, Balazs, Gergo Jozsef Szollosi, David Ratonyi, Laszlo Varadi, Zoard Tibor Krasznai, and Attila Jakab. 2025. "Diagnostic Value of Simple Ultrasound Features and Inflammatory Markers in Postmenopausal Ovarian Cysts" Diagnostics 15, no. 17: 2220. https://doi.org/10.3390/diagnostics15172220
APA StyleErdodi, B., Szollosi, G. J., Ratonyi, D., Varadi, L., Krasznai, Z. T., & Jakab, A. (2025). Diagnostic Value of Simple Ultrasound Features and Inflammatory Markers in Postmenopausal Ovarian Cysts. Diagnostics, 15(17), 2220. https://doi.org/10.3390/diagnostics15172220

