Pregnancy Outcomes, Immunophenotyping and Immunohistochemical Findings in a Cohort of Pregnant Patients with COVID-19—A Prospective Study
Abstract
1. Introduction
2. Materials and Methods
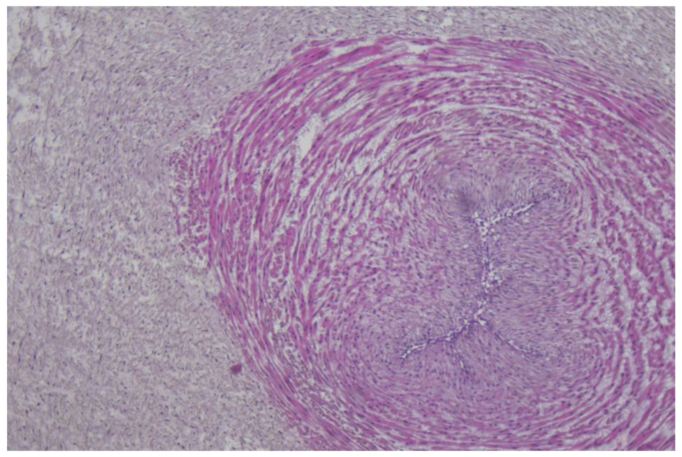
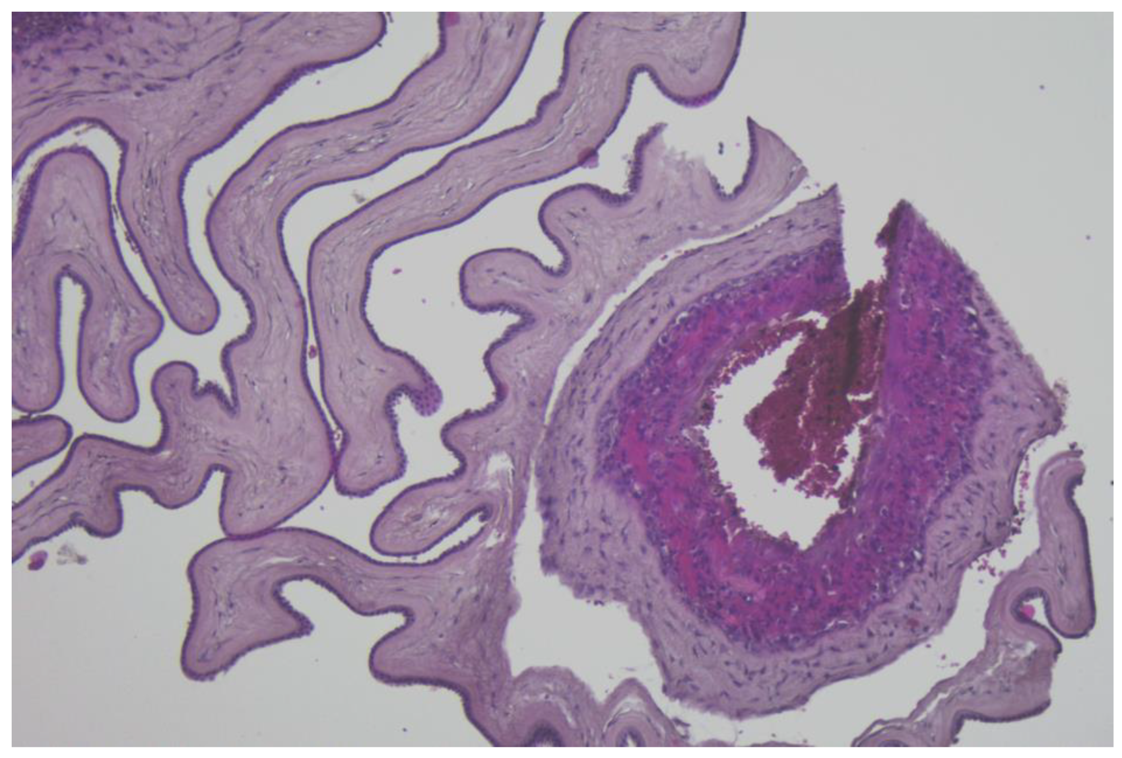
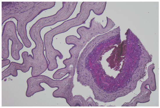
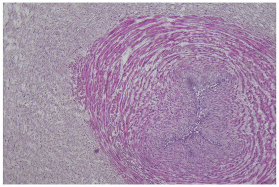
3. Results
4. Discussion
Author Contributions
Funding
Institutional Review Board Statement
Informed Consent Statement
Data Availability Statement
Conflicts of Interest
References
- Muralidar, S.; Ambi, S.V.; Sekaran, S.; Krishnan, U.M. The emergence of COVID-19 as a global pandemic: Understanding the epidemiology, immune response and potential therapeutic targets of SARS-CoV-2. Biochimie 2020, 179, 85–100. [Google Scholar] [CrossRef] [PubMed]
- Cucinotta, D.; Vanelli, M. WHO declares COVID-19 a pandemic. Acta Bio Med. Atenei Parm. 2020, 91, 157. [Google Scholar]
- LaCourse, S.M.; Kachikis, A.; Blain, M.; Simmons, L.E.; Mays, J.A.; Pattison, A.D.; Salerno, C.C.; McCartney, S.A.; Kretzer, N.M.; Resnick, R. Low prevalence of severe acute respiratory syndrome coronavirus 2 among pregnant and postpartum patients with universal screening in Seattle, Washington. Clin. Infect. Dis. 2021, 72, 869–872. [Google Scholar] [CrossRef] [PubMed]
- Vintzileos, W.S.; Muscat, J.; Hoffmann, E.; John, N.S.; Vertichio, R.; Vintzileos, A.M.; Vo, D. Screening all pregnant women admitted to labor and delivery for the virus responsible for coronavirus disease 2019. Am. J. Obstet. Gynecol. 2020, 223, 284–286. [Google Scholar] [CrossRef] [PubMed]
- Săndulescu, M.S.; Văduva, C.C.; Siminel, M.A.; Dijmărescu, A.L.; Vrabie, S.C.; Camen, I.V.; Tache, D.E.; Neamţu, S.D.; Nagy, R.D.; Carp-Velişcu, A.; et al. Impact of COVID-19 on fertility and assisted reproductive technology (ART): A systematic review. Rom. J. Morphol. Embryol. 2022, 63, 503–510. [Google Scholar] [CrossRef] [PubMed]
- Wang, C.L.; Liu, Y.Y.; Wu, C.H.; Wang, C.Y.; Wang, C.H.; Long, C.Y. Impact of COVID-19 on Pregnancy. Int. J. Med. Sci. 2021, 18, 763–767. [Google Scholar] [CrossRef]
- Di Toro, F.; Gjoka, M.; Di Lorenzo, G.; De Santo, D.; De Seta, F.; Maso, G.; Risso, F.M.; Romano, F.; Wiesenfeld, U.; Levi-D’Ancona, R.; et al. Impact of COVID-19 on maternal and neonatal outcomes: A systematic review and meta-analysis. Clin. Microbiol. Infect. 2021, 27, 36–46. [Google Scholar] [CrossRef] [PubMed]
- Di Mascio, D.; Khalil, A.; Saccone, G.; Rizzo, G.; Buca, D.; Liberati, M.; Vecchiet, J.; Nappi, L.; Scambia, G.; Berghella, V.; et al. Outcome of coronavirus spectrum infections (SARS, MERS, COVID-19) during pregnancy: A systematic review and meta-analysis. Am. J. Obs. Gynecol. MFM 2020, 2, 100107. [Google Scholar] [CrossRef] [PubMed]
- Adam, A.M.; Vasilache, I.A.; Socolov, D.; Stuparu Cretu, M.; Georgescu, C.V.; Vicoveanu, P.; Mihalceanu, E.; Harabor, A.; Socolov, R. Risk Factors Associated with Severe Disease and Intensive Care Unit Admission of Pregnant Patients with COVID-19 Infection-A Retrospective Study. J. Clin. Med. 2022, 11, 55. [Google Scholar] [CrossRef]
- Mullins, E.; Hudak, M.L.; Banerjee, J.; Getzlaff, T.; Townson, J.; Barnette, K.; Playle, R.; Perry, A.; Bourne, T.; Lees, C.C. Pregnancy and neonatal outcomes of COVID-19: Coreporting of common outcomes from PAN-COVID and AAP-SONPM registries. Ultrasound Obs. Gynecol. 2021, 57, 573–581. [Google Scholar] [CrossRef]
- Wei, S.Q.; Bilodeau-Bertrand, M.; Liu, S.; Auger, N. The impact of COVID-19 on pregnancy outcomes: A systematic review and meta-analysis. Cmaj 2021, 193, E540–E548. [Google Scholar] [CrossRef] [PubMed]
- Ko, J.Y.; DeSisto, C.L.; Simeone, R.M.; Ellington, S.; Galang, R.R.; Oduyebo, T.; Gilboa, S.M.; Lavery, A.M.; Gundlapalli, A.V.; Shapiro-Mendoza, C.K. Adverse Pregnancy Outcomes, Maternal Complications, and Severe Illness Among US Delivery Hospitalizations With and Without a Coronavirus Disease 2019 (COVID-19) Diagnosis. Clin. Infect. Dis. 2021, 73, S24–S31. [Google Scholar] [CrossRef] [PubMed]
- La Verde, M.; Riemma, G.; Torella, M.; Cianci, S.; Savoia, F.; Licciardi, F.; Scida, S.; Morlando, M.; Colacurci, N.; De Franciscis, P. Maternal death related to COVID-19: A systematic review and meta-analysis focused on maternal co-morbidities and clinical characteristics. Int. J. Gynaecol. Obs. 2021, 154, 212–219. [Google Scholar] [CrossRef] [PubMed]
- Karimi, L.; Makvandi, S.; Vahedian-Azimi, A.; Sathyapalan, T.; Sahebkar, A. Effect of COVID-19 on Mortality of Pregnant and Postpartum Women: A Systematic Review and Meta-Analysis. J. Pregnancy 2021, 2021, 8870129. [Google Scholar] [CrossRef] [PubMed]
- Péju, E.; Belicard, F.; Silva, S.; Hraiech, S.; Painvin, B.; Kamel, T.; Thille, A.W.; Goury, A.; Grimaldi, D.; Jung, B.; et al. Management and outcomes of pregnant women admitted to intensive care unit for severe pneumonia related to SARS-CoV-2 infection: The multicenter and international COVIDPREG study. Intensive Care Med. 2022, 48, 1185–1196. [Google Scholar] [CrossRef] [PubMed]
- Kalafat, E.; Prasad, S.; Birol, P.; Tekin, A.B.; Kunt, A.; Di Fabrizio, C.; Alatas, C.; Celik, E.; Bagci, H.; Binder, J.; et al. An internally validated prediction model for critical COVID-19 infection and intensive care unit admission in symptomatic pregnant women. Am. J. Obs. Gynecol. 2022, 226, e401–e403. [Google Scholar] [CrossRef] [PubMed]
- Prasad, S.; Kalafat, E.; Blakeway, H.; Townsend, R.; O’Brien, P.; Morris, E.; Draycott, T.; Thangaratinam, S.; Le Doare, K.; Ladhani, S.; et al. Systematic review and meta-analysis of the effectiveness and perinatal outcomes of COVID-19 vaccination in pregnancy. Nat. Commun. 2022, 13, 2414. [Google Scholar] [CrossRef] [PubMed]
- Kalafat, E.; Heath, P.; Prasad, S.; P, O.B.; Khalil, A. COVID-19 vaccination in pregnancy. Am. J. Obs. Gynecol. 2022, 227, 136–147. [Google Scholar] [CrossRef] [PubMed]
- Fell, D.B.; Dhinsa, T.; Alton, G.D.; Török, E.; Dimanlig-Cruz, S.; Regan, A.K.; Sprague, A.E.; Buchan, S.A.; Kwong, J.C.; Wilson, S.E.; et al. Association of COVID-19 Vaccination in Pregnancy With Adverse Peripartum Outcomes. Jama 2022, 327, 1478–1487. [Google Scholar] [CrossRef] [PubMed]
- Shimabukuro, T.T.; Kim, S.Y.; Myers, T.R.; Moro, P.L.; Oduyebo, T.; Panagiotakopoulos, L.; Marquez, P.L.; Olson, C.K.; Liu, R.; Chang, K.T.; et al. Preliminary Findings of mRNA Covid-19 Vaccine Safety in Pregnant Persons. N. Engl. J. Med. 2021, 384, 2273–2282. [Google Scholar] [CrossRef]
- Wastnedge, E.A.; Reynolds, R.M.; Van Boeckel, S.R.; Stock, S.J.; Denison, F.C.; Maybin, J.A.; Critchley, H.O. Pregnancy and COVID-19. Physiol. Rev. 2021, 101, 303–318. [Google Scholar] [CrossRef] [PubMed]
- Pathangey, G.; Fadadu, P.P.; Hospodar, A.R.; Abbas, A.E. Angiotensin-converting enzyme 2 and COVID-19: Patients, comorbidities, and therapies. Am. J. Physiol. Lung Cell. Mol. Physiol. 2021, 320, L301–L330. [Google Scholar] [CrossRef] [PubMed]
- Gengler, C.; Dubruc, E.; Favre, G.; Greub, G.; de Leval, L.; Baud, D. SARS-CoV-2 ACE-receptor detection in the placenta throughout pregnancy. Clin. Microbiol. Infect. 2021, 27, 489–490. [Google Scholar] [CrossRef] [PubMed]
- Malinowski, A.K.; Noureldin, A.; Othman, M. COVID-19 susceptibility in pregnancy: Immune/inflammatory considerations, the role of placental ACE-2 and research considerations. Reprod. Biol. 2020, 20, 568–572. [Google Scholar] [CrossRef] [PubMed]
- Azinheira Nobrega Cruz, N.; Stoll, D.; Casarini, D.E.; Bertagnolli, M. Role of ACE2 in pregnancy and potential implications for COVID-19 susceptibility. Clin. Sci. (Lond) 2021, 135, 1805–1824. [Google Scholar] [CrossRef]
- Resta, L.; Vimercati, A.; Cazzato, G.; Fanelli, M.; Scarcella, S.V.; Ingravallo, G.; Colagrande, A.; Sablone, S.; Stolfa, M.; Arezzo, F.; et al. SARS-CoV-2, Placental Histopathology, Gravity of Infection and Immunopathology: Is There an Association? Viruses 2022, 14, 1330. [Google Scholar] [CrossRef] [PubMed]
- Ezechukwu, H.C.; Shi, J.; Fowora, M.A.; Diya, C.A.; Elfaki, F.; Adegboye, O.A. Fetoplacental transmission and placental response to SARS-CoV-2: Evidence from the literature. Front. Med. (Lausanne) 2022, 9, 962937. [Google Scholar] [CrossRef] [PubMed]
- Tallarek, A.-C.; Urbschat, C.; Fonseca Brito, L.; Stanelle-Bertram, S.; Krasemann, S.; Frascaroli, G.; Thiele, K.; Wieczorek, A.; Felber, N.; Lütgehetmann, M. Inefficient placental virus replication and absence of neonatal cell-specific immunity upon sars-CoV-2 infection during pregnancy. Front. Immunol. 2021, 12, 698578. [Google Scholar] [CrossRef] [PubMed]
- Peiris, S.; Mesa, H.; Aysola, A.; Manivel, J.; Toledo, J.; Borges-Sa, M.; Aldighieri, S.; Reveiz, L. Pathological findings in organs and tissues of patients with COVID-19: A systematic review. PLoS ONE 2021, 16, e0250708. [Google Scholar] [CrossRef]
- Heath. RNIoP. Analiza Epidemiologică a 385 de Cazuri de COVID-19 Confirmate cu noi Varianteale SARS-CoV-2. 2021. Available online: http://www.cnscbt.ro/index.php/analiza-cazuri-confirmate-covid19/2329-cazuri-covid-19-cu-noi-variante-analiza-epidemiologica-a-385-cazuri/file (accessed on 10 February 2023).
- (ECDC). ECfDPaC. Variants of Interest and Concern in the EU/EE. 2020. Available online: https://gis.ecdc.europa.eu/portal/apps/opsdashboard/index.html#/25b6e879c076412aaa9ae7adb78d3241 (accessed on 10 February 2023).
- Romanian Health Ministry. PROTOCOL din 1 iulie 2021 Pentru Suportul Respirator Non-Invaziv Al Pacienților Adulți Diagnosticați cu COVID-19 în Afara Secțiilor ATI. MONITORUL OFICIAL nr. 661 bis din 5 iulie 2021. Available online: https://legislatie.just.ro/Public/DetaliiDocument/244114 (accessed on 20 December 2022).
- Au Yeung, S.L.; Li, A.M.; He, B.; Kwok, K.O.; Schooling, C.M. Association of smoking, lung function and COPD in COVID-19 risk: A two-step Mendelian randomization study. Addiction 2022, 117, 2027–2036. [Google Scholar] [CrossRef]
- Radzikowska, U.; Ding, M.; Tan, G.; Zhakparov, D.; Peng, Y.; Wawrzyniak, P.; Wang, M.; Li, S.; Morita, H.; Altunbulakli, C.; et al. Distribution of ACE2, CD147, CD26, and other SARS-CoV-2 associated molecules in tissues and immune cells in health and in asthma, COPD, obesity, hypertension, and COVID-19 risk factors. Allergy 2020, 75, 2829–2845. [Google Scholar] [CrossRef] [PubMed]
- Tanasa, I.A.; Manciuc, C.; Carauleanu, A.; Navolan, D.B.; Bohiltea, R.E.; Nemescu, D. Anosmia and ageusia associated with coronavirus infection (COVID-19)-what is known? Exp. Ther. Med. 2020, 20, 2344–2347. [Google Scholar] [CrossRef] [PubMed]
- Lassi, Z.S.; Ana, A.; Das, J.K.; Salam, R.A.; Padhani, Z.A.; Irfan, O.; Bhutta, Z.A. A systematic review and meta-analysis of data on pregnant women with confirmed COVID-19: Clinical presentation, and pregnancy and perinatal outcomes based on COVID-19 severity. J. Glob. Health 2021, 11, 05018. [Google Scholar] [CrossRef] [PubMed]
- Zaigham, M.; Andersson, O. Maternal and perinatal outcomes with COVID-19: A systematic review of 108 pregnancies. Acta Obs. Gynecol. Scand. 2020, 99, 823–829. [Google Scholar] [CrossRef] [PubMed]
- Vakili, S.; Savardashtaki, A.; Jamalnia, S.; Tabrizi, R.; Nematollahi, M.H.; Jafarinia, M.; Akbari, H. Laboratory Findings of COVID-19 Infection are Conflicting in Different Age Groups and Pregnant Women: A Literature Review. Arch. Med. Res. 2020, 51, 603–607. [Google Scholar] [CrossRef] [PubMed]
- Yamamoto, R.; Asano, H.; Umazume, T.; Takaoka, M.; Noshiro, K.; Saito, Y.; Nakagawa, K.; Chiba, K.; Nakakubo, S.; Nasuhara, Y.; et al. C-reactive protein level predicts need for medical intervention in pregnant women with SARS-CoV2 infection: A retrospective study. J. Obs. Gynaecol. Res. 2022, 48, 938–945. [Google Scholar] [CrossRef] [PubMed]
- Fisher, S.A.; Goldstein, J.A.; Mithal, L.B.; Isaia, A.L.; Shanes, E.D.; Otero, S.; Miller, E.S. Laboratory analysis of symptomatic and asymptomatic pregnant patients with SARS-CoV-2 infection. Am. J. Obs. Gynecol. MFM 2021, 3, 100458. [Google Scholar] [CrossRef]
- Gandini, O.; Criniti, A.; Ballesio, L.; Giglio, S.; Galardo, G.; Gianni, W.; Santoro, L.; Angeloni, A.; Lubrano, C. Serum Ferritin is an independent risk factor for Acute Respiratory Distress Syndrome in COVID-19. J. Infect. 2020, 81, 979–997. [Google Scholar] [CrossRef]
- Oncel, M.Y.; Akın, I.M.; Kanburoglu, M.K.; Tayman, C.; Coskun, S.; Narter, F.; Er, I.; Oncan, T.G.; Memisoglu, A.; Cetinkaya, M.; et al. A multicenter study on epidemiological and clinical characteristics of 125 newborns born to women infected with COVID-19 by Turkish Neonatal Society. Eur. J. Pediatr. 2021, 180, 733–742. [Google Scholar] [CrossRef]
- Vila-Candel, R.; González-Chordá, V.M.; Soriano-Vidal, F.J.; Castro-Sánchez, E.; Rodríguez-Blanco, N.; Gómez-Seguí, A.; Andreu-Pejó, L.; Martínez-Porcar, C.; Rodríguez Gonzálvez, C.; Torrent-Ramos, P.; et al. Obstetric-Neonatal Care during Birth and Postpartum in Symptomatic and Asymptomatic Women Infected with SARS-CoV-2: A Retrospective Multicenter Study. Int. J. Env. Res. Public. Health 2022, 19, 5482. [Google Scholar] [CrossRef]
- Gao, Y.D.; Ding, M.; Dong, X.; Zhang, J.J.; Kursat Azkur, A.; Azkur, D.; Gan, H.; Sun, Y.L.; Fu, W.; Li, W.; et al. Risk factors for severe and critically ill COVID-19 patients: A review. Allergy 2021, 76, 428–455. [Google Scholar] [CrossRef]
- Al-Saadi, E.; Abdulnabi, M.A. Hematological changes associated with COVID-19 infection. J. Clin. Lab. Anal. 2022, 36, e24064. [Google Scholar] [CrossRef] [PubMed]
- Lasser, D.M.; Chervenak, J.; Moore, R.M.; Li, T.; Knight, C.; Teo, H.O.; Malhotra, Y. Severity of COVID-19 Respiratory Complications during Pregnancy are Associated with Degree of Lymphopenia and Neutrophil to Lymphocyte Ratio on Presentation: A Multicenter Cohort Study. Am. J. Perinatol. 2021, 38, 1236–1243. [Google Scholar] [CrossRef] [PubMed]
- Covali, R.; Socolov, D.; Socolov, R.; Pavaleanu, I.; Carauleanu, A.; Akad, M.; Boiculese, V.L.; Adam, A.M. Complete Blood Count Peculiarities in Pregnant SARS-CoV-2-Infected Patients at Term: A Cohort Study. Diagnostics 2021, 12, 80. [Google Scholar] [CrossRef] [PubMed]
- Covali, R.; Socolov, D.; Pavaleanu, I.; Carauleanu, A.; Boiculese, V.L.; Socolov, R. SARS-CoV-2 Infection Susceptibility of Pregnant Patients at Term Regarding ABO and Rh Blood Groups: A Cohort Study. Medicina 2021, 57, 499. [Google Scholar] [CrossRef]
- Wang, F.; Nie, J.; Wang, H.; Zhao, Q.; Xiong, Y.; Deng, L.; Song, S.; Ma, Z.; Mo, P.; Zhang, Y. Characteristics of Peripheral Lymphocyte Subset Alteration in COVID-19 Pneumonia. J. Infect. Dis. 2020, 221, 1762–1769. [Google Scholar] [CrossRef] [PubMed]
- André, S.; Picard, M.; Cezar, R.; Roux-Dalvai, F.; Alleaume-Butaux, A.; Soundaramourty, C.; Cruz, A.S.; Mendes-Frias, A.; Gotti, C.; Leclercq, M.; et al. T cell apoptosis characterizes severe Covid-19 disease. Cell. Death Differ. 2022, 29, 1486–1499. [Google Scholar] [CrossRef] [PubMed]
- Dhanya, C.R.; Shailaja, A.; Mary, A.S.; Kandiyil, S.P.; Savithri, A.; Lathakumari, V.S.; Veettil, J.T.; Vandanamthadathil, J.J.; Madhavan, M. RNA Viruses, Pregnancy and Vaccination: Emerging Lessons from COVID-19 and Ebola Virus Disease. Pathogens 2022, 11, 800. [Google Scholar] [CrossRef] [PubMed]
- Levitan, D.; London, V.; McLaren, R.A., Jr.; Mann, J.D.; Cheng, K.; Silver, M.; Balhotra, K.S.; McCalla, S.; Loukeris, K. Histologic and Immunohistochemical Evaluation of 65 Placentas From Women With Polymerase Chain Reaction–Proven Severe Acute Respiratory Syndrome Coronavirus 2 (SARS-CoV-2) Infection. Arch. Pathol. Lab. Med. 2021, 145, 648–656. [Google Scholar] [CrossRef]
- Zhao, S.; Xie, T.; Shen, L.; Liu, H.; Wang, L.; Ma, X.; Wu, J.; Yuan, S.; Mor, G.; Liao, A. An Immunological Perspective: What Happened to Pregnant Women After Recovering From COVID-19? Front. Immunol. 2021, 12, 631044. [Google Scholar] [CrossRef]
- Juttukonda, L.J.; Wachman, E.M.; Boateng, J.; Jain, M.; Benarroch, Y.; Taglauer, E.S. Decidual immune response following COVID-19 during pregnancy varies by timing of maternal SARS-CoV-2 infection. J. Reprod. Immunol. 2022, 151, 103501. [Google Scholar] [CrossRef] [PubMed]



| Product Number | Name | Species | Clone |
|---|---|---|---|
| IR65661-2 | CD19 | Mouse mAb | LE-CD19 |
| IR50361-2 | CD3 | Mouse mAb | F7.2.38 |
| IR64961-2 | CD4 | Mouse mAb | 4B12 |
| IR62361-2 | CD8 | Mouse mAb | C8/144B |
| IR62861-2 | CD56 | Mouse mAb | 123C3 |
| Patient’s Data | Group 1 (with COVID-19, n = 26 Patients) | Group 2 (without COVID-19, n = 26 Patients) | p Value | |
|---|---|---|---|---|
| Demographics | Maternal age, years (mean and standard deviation) | 29.73 ± 5.86 | 29.69 ± 6.74 | 0.98 |
| Medium (n/%) | Rural = 13 (50%) Urban = 13 (50%) | Rural = 11 (42.3%) Urban = 15 (57.7%) | 0.39 | |
| Clinical parameters | BMI, kg/m2, (mean and standard deviation) | 30.05 ± 5.99 | 29.93 ± 6.11 | 0.47 |
| Smoking (n/%) | Yes = 5 (19.2%) | Yes = 2 (7.7%) | 0.037 | |
| Pulmonary disease (n/%) | Yes = 4 (15.4%) | Yes = 0 (0%) | 0.038 | |
| Personal history of thrombosis (n/%) | Yes = 2 (7.7%) | Yes = 0 (0%) | 0.14 | |
| Diabetes (n/%) | Yes = 1 (3.8%) | Yes = 0 (0%) | 0.31 | |
| Thrombophilia (n/%) | Yes = 4 (15.4%) | Yes = 2 (7.7%) | 0.38 | |
| Lower limb varicose veins (n/%) | Yes = 2 (7.7%) | Yes = 1 (3.8%) | 0.55 | |
| Laboratory Parameters | Group 1 (with COVID-19, n = 26 Patients) | Group 2 (without COVID-19, n = 26 Patients) | p Value |
|---|---|---|---|
| Leucocytes/mm3 (mean, standard deviation) | 9730 ± 3173.48 | 8900 ± 1839.83 | 0.57 |
| Neutrophils, %, (mean, standard deviation) | 76.48 ± 6.99 | 72.36 ± 6.80 | 0.11 |
| Lymphocytes, %, (mean, standard deviation) | 11.96 ± 6.46 | 13.2 ± 4.96 | 0.34 |
| Monocytes, %, (mean, standard deviation) | 5.70 ± 1.59 | 6.62 ± 0.98 | 0.22 |
| Eosinophils, %, (mean, standard deviation) | 0.93 ± 0.66 | 1.06 ± 0.60 | 0.35 |
| Basophils, %, (mean, standard deviation) | 0.98 ± 0.33 | 1.18 ± 0.37 | 0.12 |
| Thrombocytes/mm3 (mean, standard deviation) | 264,692.3 ± 124,452 | 208,200 ± 79,948.1 | 0.17 |
| C-reactive protein, mg/dL (mean, standard deviation) | 13.2 ± 7.35 | 1.47 ± 0.29 | <0.001 |
| Procalcitonin, ng/mL (mean, standard deviation) | 5.7 ± 6.85 | 0.14 ± 0.06 | <0.001 |
| Glutamic-oxaloacetic transaminase (TGO), U/L (mean, standard deviation) | 55.5 ± 6.82 | 39.4 ± 2.95 | 0.38 |
| Glutamic pyruvic transaminase (TGP), U/L (mean, standard deviation) | 63.73 ± 1.53 | 18.91 ± 17.44 | 0.43 |
| Ferritin, ng/mL (mean, standard deviation) | 620.05 ± 248.89 | 1344.58 ± 444.92 | <0.001 |
| Pregnancy Outcomes | Group 1 (with COVID-19, n = 26 Patients) | Group 2 (without COVID-19, n = 26 Patients) | OR and 95%CI | p Value |
|---|---|---|---|---|
| Gestational age, weeks (mean, standard deviation) | 38.19 ± 1.91 | 38.53 ± 1.10 | 0.99 (0.998–1.001) | 0.42 |
| Birth weight, g (mean, standard deviation) | 3151.92 ± 564.70 | 3189.23 ± 406.08 | 0.70 (0.46–1.06) | 0.39 |
| Apgar score 5 min (mean, standard deviation) | 8.38 ± 0.63 | 8.88 ± 0.58 | 4.11 (1.211–13.974) | 0.005 |
| Mode of delivery (n/%) | Cesarean = 15 (57.7%) Vaginal = 11 (42.3%) | Cesarean = 17 (65.4%) Vaginal = 9 (34.6%) | 1.12 (0.320–3.924) | 0.56 |
| Intrauterine growth restriction (n/%) | Yes = 4 (15.4%) | Yes = 2 (7.7%) | 0.32 (0.03–3.12) | 0.38 |
| Preterm labor (n/%) | Yes = 5 (19.2%) | Yes = 2 (7.7%) | 0.98 (0.96–1.00) | 0.22 |
| Neonatal intensive care unit admission (n/%) | Yes = 1 (3.8%) | Yes = 0 (0%) | 1.01 (0.98–1.05) | 0.31 |
| Parameters Evaluated | Moderate–Severe Form (Subgroup 1, n = 12 Patients) | Mild Form (Subgroup 2, n = 14 Patients) | p Value |
|---|---|---|---|
| Lymphocyte number/mm3 (mean, standard deviation) | 746.0 ± 429.75 | 1927.85 ± 717.30 | <0.001 |
| Lymphocyte percentage | 68.41 ± 6.76 | 79.21 ± 5.60 | 0.002 |
| CD4+ T cells number/mm3 (mean, standard deviation) | 531.08 ± 350.42 | 1538.78 ± 588.09 | <0.001 |
| CD4+ T cells percentage | 32.25 ± 11.17 | 47.92 ± 8.85 | 0.003 |
| CD8+ T cells number/mm3 (mean, standard deviation) | 275 ± 248.85 | 950.71 ± 393.79 | <0.001 |
| CD8+ T cells percentage | 30.16 ± 3.45 | 29.07 ± 7.16 | 0.31 |
| CD4+/CD8+ index | 1.12 ± 0.55 | 1.77 ± 0.63 | 0.005 |
| B lymphocytes number/mm3 (mean, standard deviation) | 101.08 ± 66.37 | 227.5 ± 141.77 | 0.004 |
| B lymphocytes percentage | 13.58 ± 3.67 | 11.14 ± 4.89 | 0.08 |
| Natural killer cells number/mm3 (mean, standard deviation) | 83.75 ± 28.96 | 134.85 ± 42.67 | 0.001 |
| Natural killer cells percentage | 12 ± 1.85 | 8.35 ± 4.74 | 0.02 |
Disclaimer/Publisher’s Note: The statements, opinions and data contained in all publications are solely those of the individual author(s) and contributor(s) and not of MDPI and/or the editor(s). MDPI and/or the editor(s) disclaim responsibility for any injury to people or property resulting from any ideas, methods, instructions or products referred to in the content. |
© 2023 by the authors. Licensee MDPI, Basel, Switzerland. This article is an open access article distributed under the terms and conditions of the Creative Commons Attribution (CC BY) license (https://creativecommons.org/licenses/by/4.0/).
Share and Cite
Adam, A.-M.; Popa, R.-F.; Vaduva, C.; Georgescu, C.V.; Adam, G.; Melinte-Popescu, A.-S.; Popa, C.; Socolov, D.; Nechita, A.; Vasilache, I.-A.; et al. Pregnancy Outcomes, Immunophenotyping and Immunohistochemical Findings in a Cohort of Pregnant Patients with COVID-19—A Prospective Study. Diagnostics 2023, 13, 1345. https://doi.org/10.3390/diagnostics13071345
Adam A-M, Popa R-F, Vaduva C, Georgescu CV, Adam G, Melinte-Popescu A-S, Popa C, Socolov D, Nechita A, Vasilache I-A, et al. Pregnancy Outcomes, Immunophenotyping and Immunohistochemical Findings in a Cohort of Pregnant Patients with COVID-19—A Prospective Study. Diagnostics. 2023; 13(7):1345. https://doi.org/10.3390/diagnostics13071345
Chicago/Turabian StyleAdam, Ana-Maria, Radu-Florin Popa, Cristian Vaduva, Costinela Valerica Georgescu, Gigi Adam, Alina-Sinziana Melinte-Popescu, Cristina Popa, Demetra Socolov, Aurel Nechita, Ingrid-Andrada Vasilache, and et al. 2023. "Pregnancy Outcomes, Immunophenotyping and Immunohistochemical Findings in a Cohort of Pregnant Patients with COVID-19—A Prospective Study" Diagnostics 13, no. 7: 1345. https://doi.org/10.3390/diagnostics13071345
APA StyleAdam, A.-M., Popa, R.-F., Vaduva, C., Georgescu, C. V., Adam, G., Melinte-Popescu, A.-S., Popa, C., Socolov, D., Nechita, A., Vasilache, I.-A., Mihalceanu, E., Harabor, A., Melinte-Popescu, M., Harabor, V., Neagu, A., & Socolov, R. (2023). Pregnancy Outcomes, Immunophenotyping and Immunohistochemical Findings in a Cohort of Pregnant Patients with COVID-19—A Prospective Study. Diagnostics, 13(7), 1345. https://doi.org/10.3390/diagnostics13071345

