Non-Operative Management of Polytraumatized Patients: Body Imaging beyond CT
Abstract
1. Introduction
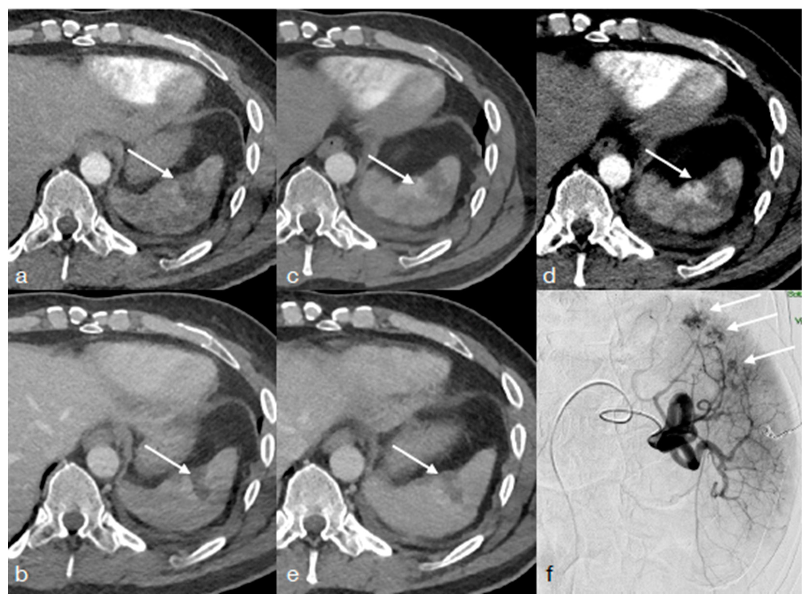
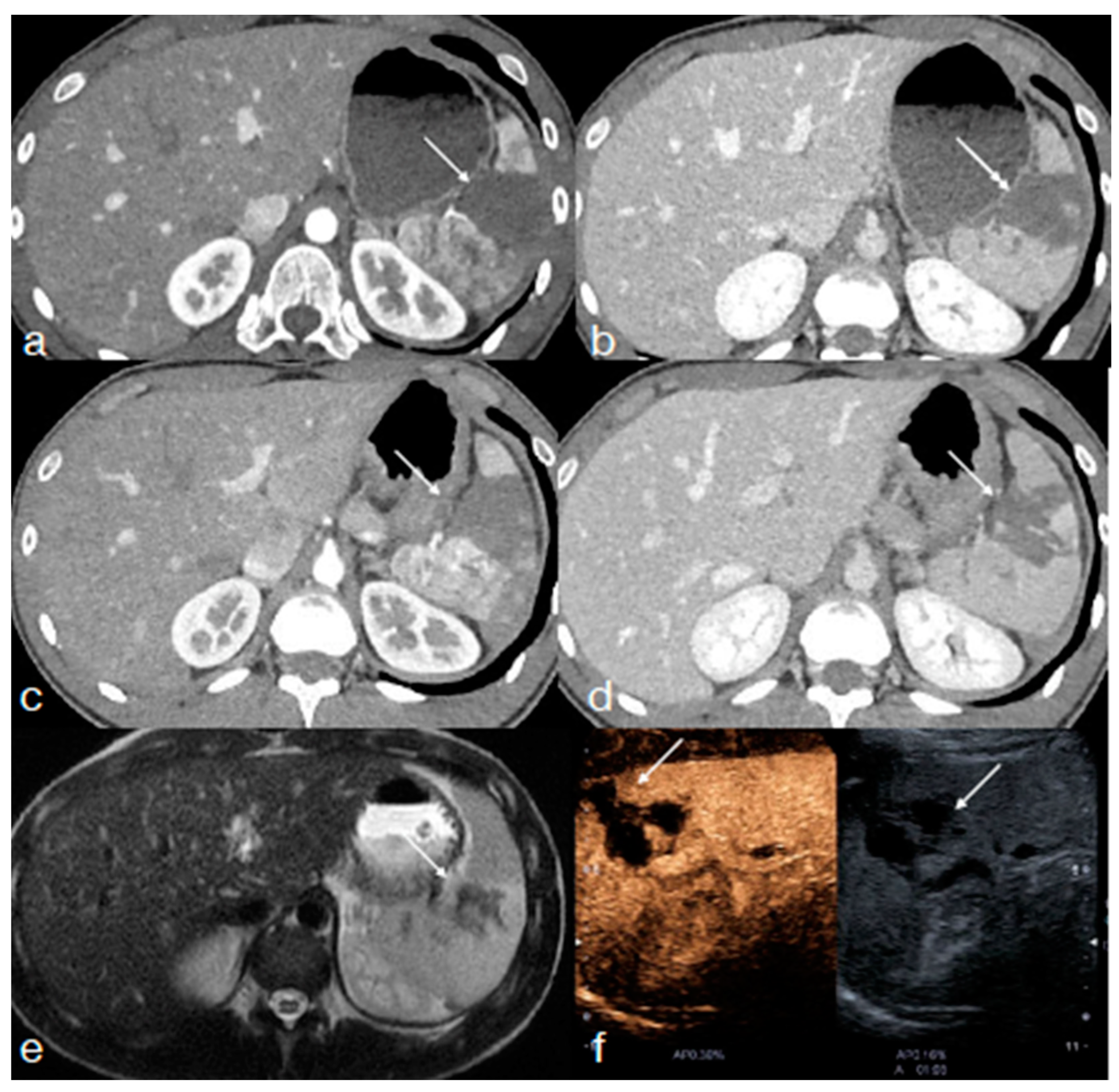
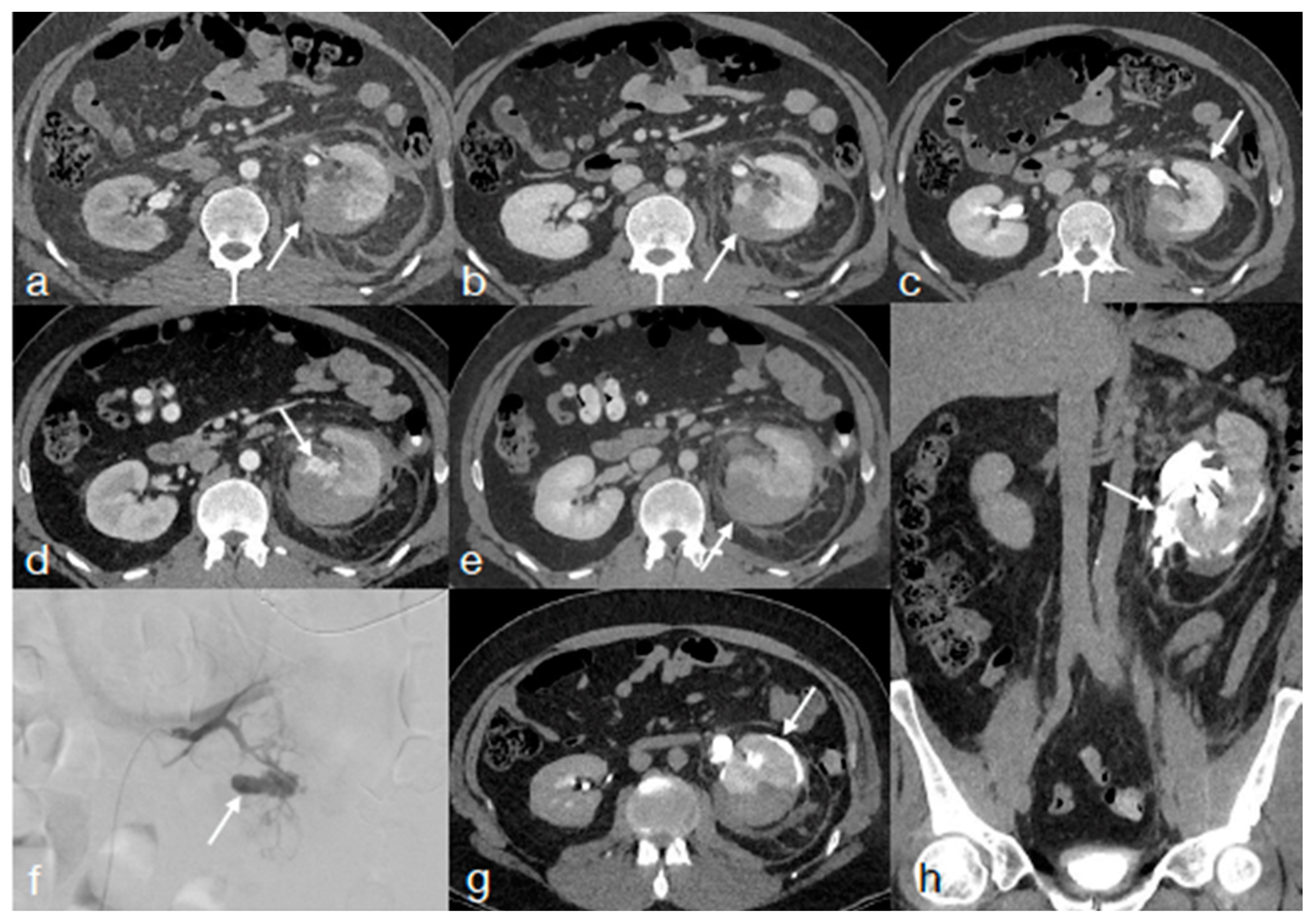
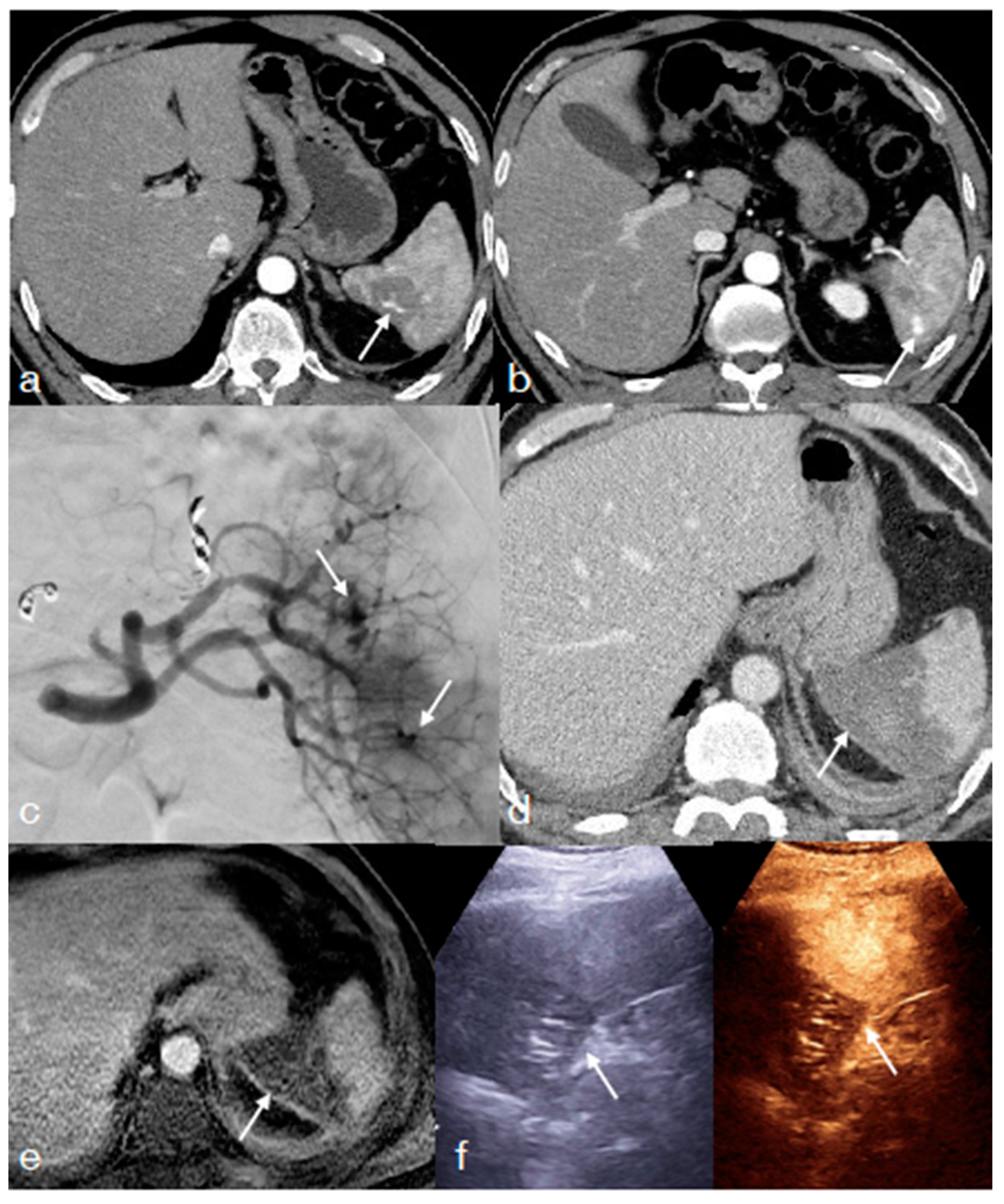
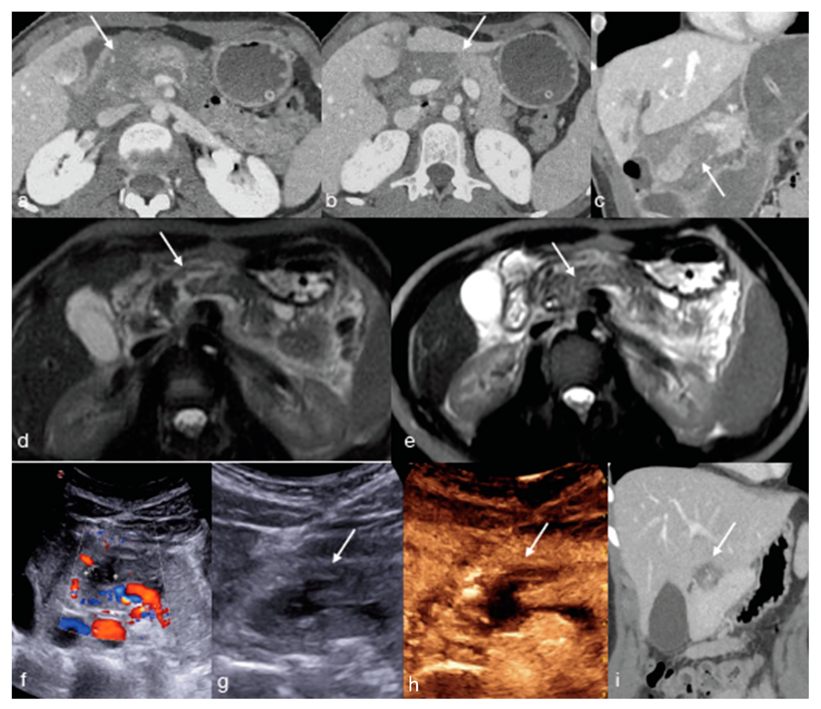
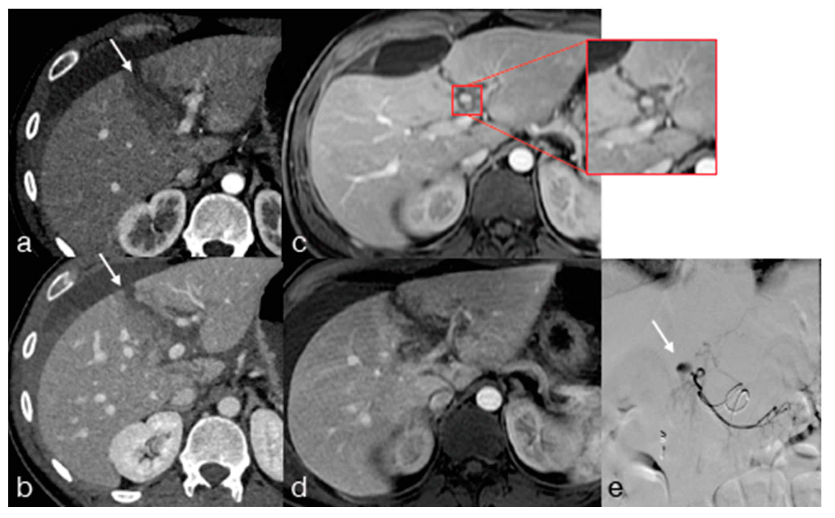
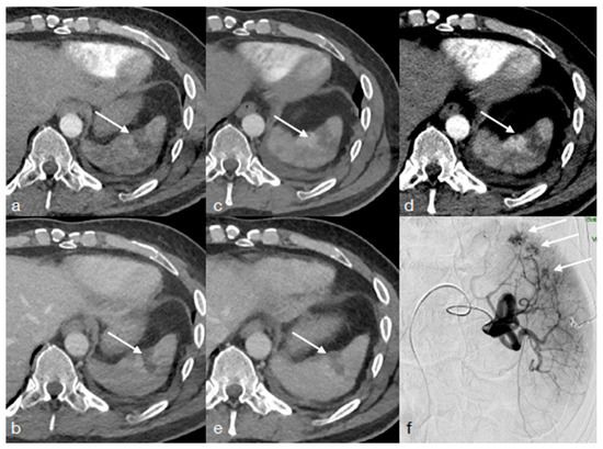
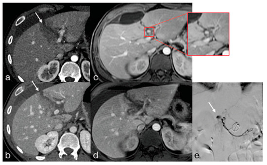
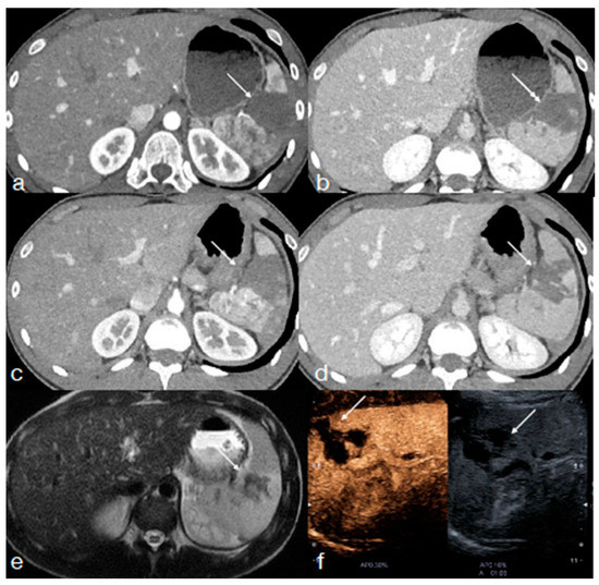
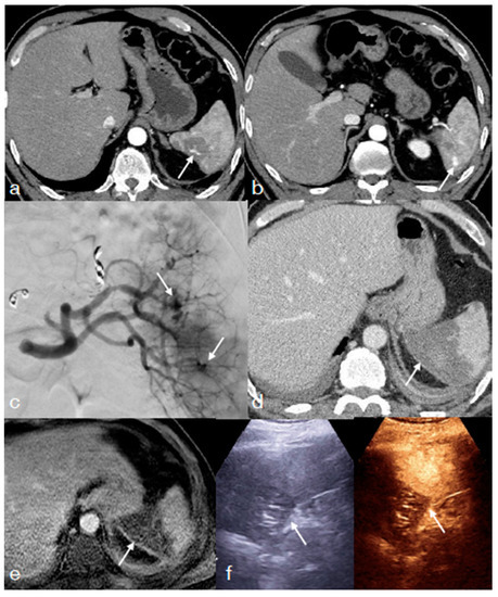
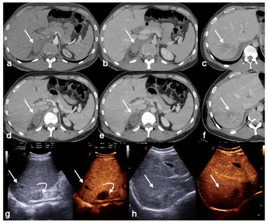
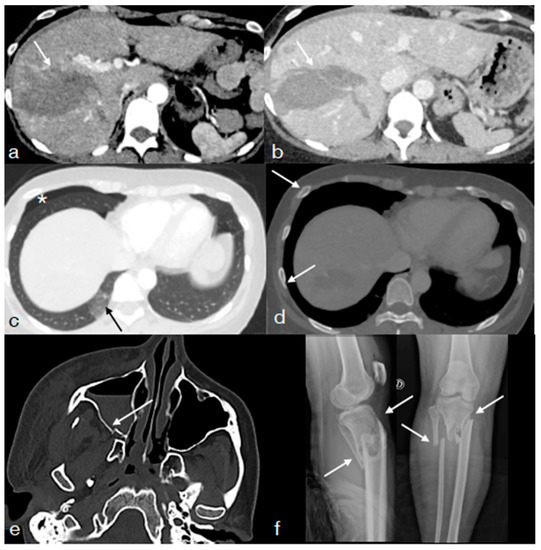
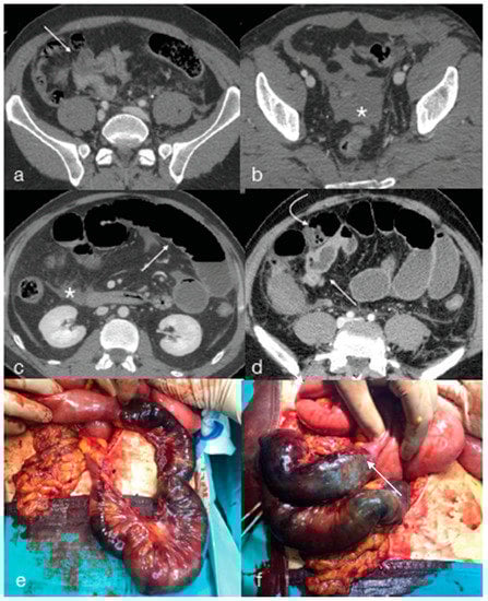
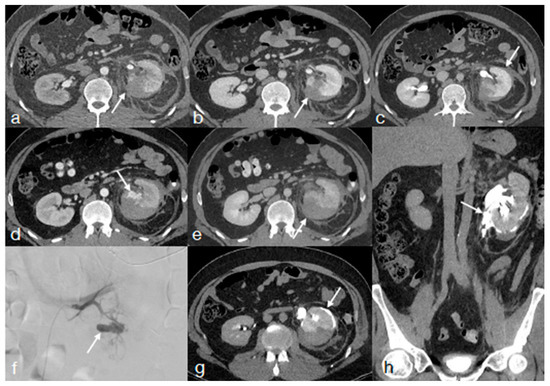
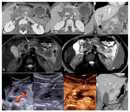
2. Computed Tomography (CT)
3. Ultrasound (US)
4. Magnetic Resonance (MR)
5. Conclusions
Author Contributions
Funding
Institutional Review Board Statement
Informed Consent Statement
Data Availability Statement
Acknowledgments
Conflicts of Interest
References
- Iacobellis, F.; Abu-Omar, A.; Crivelli, P.; Galluzzo, M.; Danzi, R.; Trinci, M.; Orabona, G.D.; Conti, M.; Romano, L.; Scaglione, M. Current Standards for and Clinical Impact of Emergency Radiology in Major Trauma. Int. J. Environ. Res. Public Health 2022, 19, 539. [Google Scholar] [CrossRef] [PubMed]
- Iacobellis, F.; Brillantino, A.; Di Serafino, M.; Orabona, G.D.; Grassi, R.; Cappabianca, S.; Scaglione, M.; Romano, L. Economic and clinical benefits of immediate total-body CT in the diagnostic approach to polytraumatized patients: A descriptive analysis through a literature review. Radiol. Med. 2022, 127, 637–644. [Google Scholar] [CrossRef] [PubMed]
- Van Vugt, R.; Keus, F.; Kool, D.; Deunk, J.; Edwards, M. Selective computed tomography (CT) versus routine thoracoabdominal CT for high-energy blunt-trauma patients. Cochrane Database Syst. Rev. 2013, 2013, CD009743. [Google Scholar] [CrossRef]
- Iacobellis, F.; Di Serafino, M.; Brillantino, A.; Mottola, A.; Del Giudice, S.; Stavolo, C.; Festa, P.; Patlas, M.N.; Scaglione, M.; Romano, L. Role of MRI in early follow-up of patients with solid organ injuries: How and why we do it? Radiol. Med. 2021, 126, 1328–1334. [Google Scholar] [CrossRef] [PubMed]
- Brillantino, A.; Iacobellis, F.; Festa, P.; Mottola, A.; Acampora, C.; Corvino, F.; Del Giudice, S.; Lanza, M.; Armellino, M.; Niola, R.; et al. Non-Operative Management of Blunt Liver Trauma: Safety, Efficacy and Complications of a Standardized Treatment Protocol. Bull. Emerg. Trauma 2019, 7, 49–54. [Google Scholar] [CrossRef] [PubMed]
- Brillantino, A.; Iacobellis, F.; Robustelli, U.; Villamaina, E.; Maglione, F.; Colletti, O.; De Palma, M.; Paladino, F.; Noschese, G. Non operative management of blunt splenic trauma: A prospective evaluation of a standardized treatment protocol. Eur. J. Trauma Emerg. Surg. 2015, 42, 593–598. [Google Scholar] [CrossRef]
- Kanlerd, A.; Auksornchart, K.; Boonyasatid, P. Non-Operative Management for Abdominal Solidorgan Injuries: A Literature Review. Chin. J. Traumatol.—Engl. Ed. 2022, 25, 249–256. [Google Scholar] [CrossRef]
- Di Serafino, M.; Iacobellis, F.; Schillirò, M.L.; Ronza, R.; Verde, F.; Grimaldi, D.; Dell’Aversano Orabona, G.; Caruso, M.; Sabatino, V.; Rinaldo, C.; et al. The Technique and Advantages of Contrast-Enhanced Ultrasound in the Diagnosis and Follow-Up of Traumatic Abdomen Solid Organ Injuries. Diagnostics 2022, 12, 435. [Google Scholar] [CrossRef] [PubMed]
- Iacobellis, F.; Iacobellis, F.; Scaglione, M.; Scaglione, M.; Brillantino, A.; Brillantino, A.; Scuderi, M.G.; Scuderi, M.G.; Giurazza, F.; Giurazza, F.; et al. The additional value of the arterial phase in the CT assessment of liver vascular injuries after high-energy blunt trauma. Emerg. Radiol. 2019, 26, 647–654. [Google Scholar] [CrossRef]
- Wirth, S.; Hebebrand, J.; Basilico, R.; Berger, F.H.; Blanco, A.; Calli, C.; Dumba, M.; Linsenmaier, U.; Mück, F.; Nieboer, K.H.; et al. European Society of Emergency Radiology: Guideline on radiological polytrauma imaging and service (short version). Insights Into Imaging 2020, 11, 1–18. [Google Scholar] [CrossRef]
- Deak, Z.; Brummund, L.; Kirchhoff, S.; Körner, M.; Geyer, L.; Mück, F.; Scaglione, M.; Reiser, M.; Linsenmaier, U. Is It Possible to Replace Conventional Radiography (CR) with a Dose Neutral Computed Tomography (CT) of the Cervical Spine in Emergency Radiology—An Experimental Cadaver Study. Diagnostics 2022, 12, 1872. [Google Scholar] [CrossRef] [PubMed]
- Iacobellis, F.; Romano, L.; Rengo, A.; Danzi, R.; Scuderi, M.G.; Brillantino, A.; Scaglione, M. CT Protocol Optimization in Trauma Imaging: A Review of Current Evidence. Curr. Radiol. Rep. 2020, 8, 1–9. [Google Scholar] [CrossRef]
- Lee, J.T.; Slade, E.; Uyeda, J.; Steenburg, S.D.; Chong, S.T.; Tsai, R.; Raptis, D.; Linnau, K.F.; Chinapuvvula, N.R.; Dattwyler, M.P.; et al. American Society of Emergency Radiology Multicenter Blunt Splenic Trauma Study: CT and Clinical Findings. Radiology 2021, 299, 122–130. [Google Scholar] [CrossRef]
- Uyeda, J.W.; LeBedis, C.A.; Penn, D.R.; Soto, J.A.; Anderson, S.W. Active Hemorrhage and Vascular Injuries in Splenic Trauma: Utility of the Arterial Phase in Multidetector CT. Radiology 2014, 270, 99–106. [Google Scholar] [CrossRef] [PubMed]
- Sun, E.X.; Wortman, J.R.; Uyeda, J.W.; Lacson, R.; Sodickson, A.D. Virtual monoenergetic dual-energy CT for evaluation of hepatic and splenic lacerations. Emerg. Radiol. 2019, 26, 419–425. [Google Scholar] [CrossRef] [PubMed]
- Bodanapally, U.K.; Fleiter, T.R.; Aarabi, B.; Malhotra, A.; Gandhi, D. Dual-energy CT imaging of chronic subdural hematoma membranes: Technical note. Eur. Radiol. 2022, 33, 797–802. [Google Scholar] [CrossRef]
- Simonetti, I.; Verde, F.; Palumbo, L.; Di Pietto, F.; Puglia, M.; Scaglione, M.; Ragozzino, A.; Romano, S. Dual energy computed tomography evaluation of skeletal traumas. Eur. J. Radiol. 2020, 134, 109456. [Google Scholar] [CrossRef]
- Joshi, R.; LeBedis, C.; Dao, K.; Qureshi, M.; Gupta, A. Dual energy CT angiography for lower extremity trauma: Comparison with conventional CT. Emerg. Radiol. 2022, 29, 471–477. [Google Scholar] [CrossRef]
- Lodhia, J.V.; Eyre, L.; Smith, M.; Toth, L.; Troxler, M.; Milton, R.S. Management of thoracic trauma. Anaesthesia 2022, 78, 225–235. [Google Scholar] [CrossRef]
- Požgain, Z.; Kristek, D.; Lovrić, I.; Kondža, G.; Jelavić, M.; Kocur, J.; Danilović, M. Pulmonary contusions after blunt chest trauma: Clinical significance and evaluation of patient management. Eur. J. Trauma Emerg. Surg. 2017, 44, 773–777. [Google Scholar] [CrossRef]
- Gupta, V.; Sodha, V.S.; Kumar, N.; Gupta, V.; Pate, R.; Chandra, A. Missed pancreatic injury in patients undergoing conservative management of blunt abdominal trauma: Causes, sequelae and management. Turk. J. Surg. 2021, 37, 286–293. [Google Scholar] [CrossRef] [PubMed]
- Iacobellis, F.; Laccetti, E.; Tamburrini, S.; Altiero, M.; Iaselli, F.; DI Serafino, M.; Gagliardi, N.; Danzi, R.; Rengo, A.; Romano, L.; et al. Role of multidetector computed tomography in the assessment of pancreatic injuries after blunt trauma: A multicenter experience. Gland. Surg. 2019, 8, 184–196. [Google Scholar] [CrossRef] [PubMed]
- Raharimanantsoa, M.; Zingg, T.; Thiery, A.; Brigand, C.; Delhorme, J.-B.; Romain, B. Proposal of a new preliminary scoring tool for early identification of significant blunt bowel and mesenteric injuries in patients at risk after road traffic crashes. Eur. J. Trauma Emerg. Surg. 2017, 44, 779–785. [Google Scholar] [CrossRef]
- Cinquantini, F.; Tugnoli, G.; Piccinini, A.; Coniglio, C.; Mannone, S.; Biscardi, A.; Gordini, G.; Di Saverio, S. Educational Review of Predictive Value and Findings of Computed Tomography Scan in Diagnosing Bowel and Mesenteric Injuries after Blunt Trauma: Correlation with Trauma Surgery Findings in 163 Patients. Can. Assoc. Radiol. J. 2017, 68, 276–285. [Google Scholar] [CrossRef] [PubMed]
- Smyth, L.; Bendinelli, C.; Lee, N.; Reeds, M.G.; Loh, E.J.; Amico, F.; Balogh, Z.J.; Di Saverio, S.; Weber, D.; Broek, R.P.T.; et al. WSES guidelines on blunt and penetrating bowel injury: Diagnosis, investigations, and treatment. World J. Emerg. Surg. 2022, 17, 1–15. [Google Scholar] [CrossRef] [PubMed]
- Podda, M.; De Simone, B.; Ceresoli, M.; Virdis, F.; Favi, F.; Wiik Larsen, J.; Coccolini, F.; Sartelli, M.; Pararas, N.; Beka, S.G.; et al. Follow-up strategies for patients with splenic trauma managed non-operatively: The 2022 World Society of Emergency Surgery consensus document. World J. Emerg. Surg. 2022, 17, 1–37. [Google Scholar] [CrossRef] [PubMed]
- Mebert, R.V.; Schnüriger, B.; Candinas, D.; Haltmeier, T. Follow-Up Imaging in Patients with Blunt Splenic or Hepatic Injury Managed Nonoperatively. Am. Surg. 2018, 84, 208–214. [Google Scholar] [CrossRef]
- Østerballe, L.; Helgstrand, F.; Axelsen, T.; Hillingsø, J.; Svendsen, L.B. Hepatic pseudoaneurysm after traumatic liver injury; is CT follow-up warranted. J. Trauma Manag. Outcomes 2014, 8, 1–5. [Google Scholar] [CrossRef]
- Lindner, A.K.; Luger, A.K.; Fritz, J.; Stäblein, J.; Radmayr, C.; Aigner, F.; Rehder, P.; Tulchiner, G.; Horninger, W.; Pichler, R. Do we need repeated CT imaging in uncomplicated blunt renal injuries? Experiences of a high-volume urological trauma centre. World J. Emerg. Surg. 2022, 17, 1–8. [Google Scholar] [CrossRef]
- Pinto, A.; Scaglione, M.; Guidi, G.; Farina, R.; Acampora, C.; Romano, L. Role of multidetector row computed tomography in the assessment of adrenal gland injuries. Eur. J. Radiol. 2006, 59, 355–358. [Google Scholar] [CrossRef]
- Gabal-Shehab, L.; Alagiri, M. Traumatic adrenal injuries. J. Urol. 2005, 173, 1330–1331. [Google Scholar] [CrossRef] [PubMed]
- Aladham, F.; Sundaram, B.; Williams, D.M.; Quint, L.E. Traumatic aortic injury: Computerized tomographic findings at presentation and after conservative therapy. J. Comput. Assist. Tomogr. 2010, 34, 388–394. [Google Scholar] [CrossRef] [PubMed]
- Shalhub, S.; Starnes, B.W.; Tran, N.T.; Hatsukami, T.S.; Lundgren, R.S.; Davis, C.W.; Quade, S.; Gunn, M. Blunt abdominal aortic injury. J. Vasc. Surg. 2012, 55, 1277–1285. [Google Scholar] [CrossRef]
- McPherson, S.J. Thoracic Aortic and Great Vessel Trauma and Its Management. Semin. Interv. Radiol. 2007, 24, 180–196. [Google Scholar] [CrossRef] [PubMed]
- Azizzadeh, A.; Keyhani, K.; Miller, C.C.; Coogan, S.M.; Safi, H.J.; Estrera, A.L. Blunt traumatic aortic injury: Initial experience with endovascular repair. J. Vasc. Surg. 2009, 49, 1403–1408. [Google Scholar] [CrossRef]
- Scaglione, M.; Pinto, A.; Pinto, F.; Romano, L.; Ragozzino, A.; Grassi, R. Role of contrast-enhanced helical CT in the evaluation of acute thoracic aortic injuries after blunt chest trauma. Eur. Radiol. 2001, 11, 2444–2448. [Google Scholar] [CrossRef]
- Gharai, L.R.; Ovanez, C.; Goodman, W.C.; Deng, X.; Bandyopadhyay, D.; Aboutanos, M.B.; Parker, M.S. Minimal Aortic Injury Detected on Computed Tomography Angiography during Initial Trauma Imaging: Single Academic Level 1 Trauma Center Experience. Aorta 2022, 10, 265–273. [Google Scholar] [CrossRef]
- Leppäniemi, A. Nonoperative management of solid abdominal organ injuries: From past to present. Scand. J. Surg. 2019, 108, 95–100. [Google Scholar] [CrossRef]
- Di Serafino, M.; Viscardi, D.; Iacobellis, F.; Giugliano, L.; Barbuto, L.; Oliva, G.; Ronza, R.; Borzelli, A.; Raucci, A.; Pezzullo, F.; et al. Computed tomography imaging of septic shock. Beyond the cause: The “CT hypoperfusion complex”. A pictorial essay. Insights Into Imaging 2021, 12, 1–14. [Google Scholar] [CrossRef]
- Sidhu, P.S.; Cantisani, V.; Dietrich, C.F.; Gilja, O.H.; Saftoiu, A.; Bartels, E.; Bertolotto, M.; Calliada, F.; Clevert, D.-A.; Cosgrove, D.; et al. The EFSUMB Guidelines and Recommendations for the Clinical Practice of Contrast-Enhanced Ultrasound (CEUS) in Non-Hepatic Applications: Update 2017 (Long Version). Ultraschall Med. 2018, 39, e2–e44. [Google Scholar] [CrossRef]
- SonoVue|European Medicines Agency. Available online: https://www.ema.europa.eu/en/medicines/human/EPAR/sonovue (accessed on 17 March 2023).
- Cozzi, D.; Verrone, G.B.; Agostini, S.; Bartolini, M.; D’Amico, G.; Pradella, S.; Miele, V. Acute penile trauma: Imaging features in the emergency setting. Radiol. Med. 2019, 124, 1270–1280. [Google Scholar] [CrossRef] [PubMed]
- Trinci, M.; Cirimele, V.; Ferrari, R.; Ianniello, S.; Galluzzo, M.; Miele, V. Diagnostic value of contrast-enhanced ultrasound (CEUS) and comparison with color Doppler ultrasound and magnetic resonance in a case of scrotal trauma. J. Ultrasound 2019, 23, 189–194. [Google Scholar] [CrossRef] [PubMed]
- Miele, V.; Piccolo, C.L.; Sessa, B.; Trinci, M.; Galluzzo, M. Comparison between MRI and CEUS in the follow-up of patients with blunt abdominal trauma managed conservatively. Radiol. Med. 2015, 121, 27–37. [Google Scholar] [CrossRef] [PubMed]
- ACR Manual on Contrast Media 2023 ACR Committee on Drugs and Contrast Media; American College of Radiology: Reston, VA, USA, 2022.











| Follow-Up Diagnostic Technique Abdominal Parenchymal Trauma | Advantages and Recommendation | Disadvantages and Contraindications |
|---|---|---|
| CECT |
|
|
| CEUS |
|
|
| MRI/CEMRI |
|
|
Disclaimer/Publisher’s Note: The statements, opinions and data contained in all publications are solely those of the individual author(s) and contributor(s) and not of MDPI and/or the editor(s). MDPI and/or the editor(s) disclaim responsibility for any injury to people or property resulting from any ideas, methods, instructions or products referred to in the content. |
© 2023 by the authors. Licensee MDPI, Basel, Switzerland. This article is an open access article distributed under the terms and conditions of the Creative Commons Attribution (CC BY) license (https://creativecommons.org/licenses/by/4.0/).
Share and Cite
Iacobellis, F.; Di Serafino, M.; Caruso, M.; Dell’Aversano Orabona, G.; Rinaldo, C.; Grimaldi, D.; Verde, F.; Sabatino, V.; Schillirò, M.L.; Giacobbe, G.; et al. Non-Operative Management of Polytraumatized Patients: Body Imaging beyond CT. Diagnostics 2023, 13, 1347. https://doi.org/10.3390/diagnostics13071347
Iacobellis F, Di Serafino M, Caruso M, Dell’Aversano Orabona G, Rinaldo C, Grimaldi D, Verde F, Sabatino V, Schillirò ML, Giacobbe G, et al. Non-Operative Management of Polytraumatized Patients: Body Imaging beyond CT. Diagnostics. 2023; 13(7):1347. https://doi.org/10.3390/diagnostics13071347
Chicago/Turabian StyleIacobellis, Francesca, Marco Di Serafino, Martina Caruso, Giuseppina Dell’Aversano Orabona, Chiara Rinaldo, Dario Grimaldi, Francesco Verde, Vittorio Sabatino, Maria Laura Schillirò, Giuliana Giacobbe, and et al. 2023. "Non-Operative Management of Polytraumatized Patients: Body Imaging beyond CT" Diagnostics 13, no. 7: 1347. https://doi.org/10.3390/diagnostics13071347
APA StyleIacobellis, F., Di Serafino, M., Caruso, M., Dell’Aversano Orabona, G., Rinaldo, C., Grimaldi, D., Verde, F., Sabatino, V., Schillirò, M. L., Giacobbe, G., Ponticiello, G., Scaglione, M., & Romano, L. (2023). Non-Operative Management of Polytraumatized Patients: Body Imaging beyond CT. Diagnostics, 13(7), 1347. https://doi.org/10.3390/diagnostics13071347

