Liver Ultrasound Elastography in Non-Alcoholic Fatty Liver Disease: A State-of-the-Art Summary
Abstract
1. Introduction
2. Ultrasound-Based Techniques for the Assessment of Liver Fibrosis: Principles and Systems
3. Liver Ultrasound Elastography in NAFLD Patients: Transient Elastography
| Study | Country | Study Design | Aim of the Study | Patients (n) | Probe | Cut-Off Values (KPa) | SE (%) | SP (%) | AUROC (95% CI or DS) |
|---|---|---|---|---|---|---|---|---|---|
| Cao et al., 2022 [25] | China | MA | Accuracy of LSM for assessing fibrosis | 10,537 | M | ≥F1 6.63 (5.3–7.5) | |||
| ≥F2 7.82 (5–11) | |||||||||
| ≥F3 9.91 (7.1–13.6) | |||||||||
| F4 13.26 (9.5–17.5) | |||||||||
| XL | ≥F2 6.95 (5–8.9) | ||||||||
| ≥F3 9.24 (7.2–11.5) | |||||||||
| F4 12.26 (7.9–17.5) | |||||||||
| Roccarina et al., 2022 [37] | Italy UK | Prospective | pSWE vs. TE for diagnosis of fibrosis stage | 671 | M/XL | ≥F1 6.6 | 85 | 69 | 0.79 (0.60–0.91) |
| ≥F2 8.5 | 83 | 70 | 0.85 (0.78–0.91) | ||||||
| ≥F3 10.6 | 76 | 81 | 0.85 (0.79–0.91) | ||||||
| F4 12.5 | 89 | 83 | 0.91 (0.83–0.96) | ||||||
| Argalia et al., 2022 [35] | Italy | Prospective | Comparison TE/pSWE | 50 | M/XL | ≥F1 4.23 | 82.7 | 57.1 | 0.72 (0.57–0.83) |
| ≥F2 4.63 | 73.9 | 62.9 | 0.73 (0.59–0.90) | ||||||
| ≥F3 7.39 | 87.5 | 88.1 | 0.91 (0.79–0.97) | ||||||
| F4 14. | 100 | 100 | 1.00 (0.93–1.00) | ||||||
| Mikolasevic et al., 2021 [38] | Croatia | Prospective | Diagnostic accuracy of the CAP and TE | 179 | M/XL | ≥F1 6.7 | 74.8 | 91.6 | 0.830 |
| ≥F2 8.2 | 85.2 | 91.2 | - | ||||||
| ≥F3 10 | 97.6 | 92.6 | 0.98 | ||||||
| F4 13.4 | 94.7 | 99.3 | 0.98 | ||||||
| Selvalaj et al., 2021 [24] | UK | MA | Diagnostic accuracy of TE, pSWE, 2D-SWE and MR | 1064 | M/XL | ≥F1 5.3–8.2 | 78 | 72 | 0.82 (0.78–0.85) |
| ≥F2 3.8–10.2 | 80 | 73 | 0.83 (0.80–0.87) | ||||||
| ≥F3 6.8–12.9 | 80 | 77 | 0.85 (0.83–0.87) | ||||||
| F4 6.9–19.4 | 76 | 88 | 0.89 (0.84–0.93) | ||||||
| Trowell et al., 2021 [39] | US | Prospective | Assessment of steatosis staging by CAP scores | 92 | M/XL | ≥F3 11.9 | 85 | 69 | 0.85 (0.77–0.92) |
| Yang et al., 2021 [40] | China | Retrospective | Diagnostic accuracy of TE in patients with abnormal glucose metabolism and impact of metabolic indicators on the LSM value | 91 | M | ≥F1 6.3 | 71.1 | 75 | 0.79 (0.69–0.87) |
| ≥F2 7.6 | 68 | 68.3 | 0.76 (0.66–0.85) | ||||||
| ≥F3 8.3 | 80 | 76.1 | 0.84 (0.74–0.91) | ||||||
| F4 13.8 | 80 | 94.2 | 0.90 (0.88–0.95) | ||||||
| Taibbi et al., 2021 [41] | Italy | Prospective | pSWE vs. TE for LSM | 56 | M/XL | ≥F3 7.9 | 63 | 63.2 | 0.72 (0.57–0.87) |
| F4 8.5 | 77.8 | 78.6 | 0.80 (0.65–0.95) | ||||||
| Sharpton et al., 2021 [42] | US | Prospective | Diagnostic accuracy of 2D-SWE vs. TE | 114 | M/XL | F2 ≥ 6.8 | 94.6 | 62.3 | 0.86 (0.80–0.93) |
| F3 ≥ 8.7 | 95 | 80.9 | 0.91 (0.82–0.99) | ||||||
| F4 10.6 | 100 | 80 | 0.96 (0.91–1.00) | ||||||
| Shima et al., 2020 [43] | Japan | Retrospective | Diagnostic accuracy of combined biomarker measurements and TE for predicting fibrosis stage | 278 | M | F1 ≥ 7.2 | 81.3 | 78.5 | 0.855 |
| ≥F3 9.9 | 83.2 | 86.2 | 0.891 | ||||||
| Oeda et al., 2020 [33] | Japan | Prospective | Accuracy of probes M and XL | 104 | M/XL | ≥F2 7 | 93 | 63 | 0.780 |
| ≥F3 10.8 | |||||||||
| F4 16.8 | |||||||||
| Shi et al., 2020 [44] | Japan | Prospective | estimation of the optimal cut-off values of LSM in non-obese patients | 158 | M | ≥F1 7.5 | 71 | 88.9 | 0.87 (0.81–0.92) |
| ≥F2 8.5 | 84.3 | 85.5 | 0.89 (0.83–0.93) | ||||||
| ≥F3 10.8 | 83.3 | 83.7 | 0.89 (0.83–0.94) | ||||||
| F4 13.1 | 88.5 | 82.6 | 0.90 (0.85–0.94) | ||||||
| Forsgren et al., 2020 [45] | Sweden | Prospective | Comparison of multimodal MR, serum algorithms and TE | 90 | M/XL | ≥F3 10.15 | 86 | 84 | 0.84 (0.71–0.97) |
| Leong et al., 2020 [46] | Malaysia | Prospective | Comparing pSWE and TE for diagnosis of fibrosis stage | 100 | M/XL | ≥F1 7.68 | 83.3 | 81.3 | 0.89 (0.81–0.97) |
| ≥F2 9.13 | 87.8 | 66.1 | 0.83 (0.74–0.91) | ||||||
| ≥F3 9.28 | 90.9 | 64.2 | 0.83 (0.75–0.91) | ||||||
| F4 13.45 | 100 | 76 | 0.89 (0.80–0.99) | ||||||
| Jafarov et al., 2020 [47] | Turkey | Retrospective | Diagnostic utility of fibrosis-4 score LSM for the assessment of advanced liver fibrosis | 139 | M/XL | ≥F2 8.95 | 76 | 59 | 0.72 (0.63–0.80) |
| ≥F3 22 | 84 | 78 | 0.86 (0.79–0.92) | ||||||
| Furlan et al., 2020 [48] | US | Prospective | Comparison of 2D-SWE, TE and MR elastography for the diagnosis of fibrosis | 62 | M/XL | ≥F2 8.8 | 51.2 | 94.4 | 0.77 (0.65–0.89) |
| ≥F3 6.7 | 86.4 | 70.3 | 0.86 (0.77–0.95) | ||||||
| Cardoso et al., 2020 [49] | Brazil | Prospective | Performance of CAP and TE comparing XL with M probes | 81 | M | ≥F2 8.2 | 93.3 | 63.6 | 0.78 (0.68–0.86) |
| XL | ≥F2 8.2 | 73.3 | 77.2 | 0.75 (0.64–0.84) | |||||
| Tovo et al., 2019 [50] | Brazil | Prospective | Validation of the performance of LSM, APRI, FIB4 and NAFLD score in the evaluation of liver fibrosis | 104 | M/XL | ≥F3 7.9 | 95 | 58.3 | 0.87 (0.78–0.97) |
| ≥F3 8.7 | 90 | 64.3 | |||||||
| ≥F3 9.6 | 85 | 69 | |||||||
| Staufer et al., 2019 [51] | Austria | Prospective | Comparison of LSM with ELF test, FibroMeterV2G, FibroMeterV3G, NFS and FIB-4 in prediction of liver fibrosis | 186 | M/XL | ≥F2 8.2 | 83 | 68 | 0.87 (0.80–0.94) |
| ≥F3 9.7 | 92 | 77 | |||||||
| ≥F3 11 | 90 | 80 | |||||||
| Hanafy et al., 2019 [52] | Egypt | Prospective | Evaluation of a non-invasive model in the prediction of cardiovascular morbidity and histological severity | 272 | M/XL | ≥F3 9.75 | 97.8 | 98 | 0.88 (0.94–0.97) |
| Chang et al., 2019 [53] | Singapore | Prospective | Optimal liver stiffness measurement values for the diagnosis of significant fibrosis and cirrhosis | 51 | M/XL | ≥F2 11 | 94.4 | 76.7 | 0.907 |
| F4 15 | 100 | 81 | 0.950 | ||||||
| Eddowes et al., 2019 [30] | UK | Prospective | Accuracy of TE in assessing fibrosis | 373 | M/XL | ≥F2 8.2 | 71 | 70 | 0.77 (0.72–0.82) |
| ≥F3 9.7 | 71 | 75 | 0.80 (0.75–0.84) | ||||||
| F4 13.6 | 85 | 79 | 0.89 (0.84–0.93) | ||||||
| Siddiqui et al., 2019 [54] | US | Prospective | Diagnostic accuracy of TE in detection of NAFLD | 393 | M/XL | ≥F1 8.6 | 53 | 87 | 0.74 (0.68–0.79) |
| ≥F2 8.6 | 66 | 80 | 0.79 (0.74–0.83) | ||||||
| ≥F3 8.6 | 80 | 74 | 0.83 (0.79–0.87) | ||||||
| F4 13.1 | 89 | 86 | 0.93 (0.90–0.97) | ||||||
| Lee JI et al., 2019 [55] | Korea | Retrospective | TE in prediction of liver fibrosis | 184 | M | ≥F2 8.95 | 72.5 | 65.4 | 0.730 |
| Wong et al., 2019 [27] | China | Prospective | Unified interpretation of liver stiffness measurement by M and XL probes | 496 | M | ≥F2 5 | 97.4 | 35.1 | 0.86 (0.83–0.90) |
| ≥F3 10 | 72.7 | 89 | 0.86 (0.82–0.89) | ||||||
| F4 15 | 46.9 | 95.5 | 0.85 (0.80–0.90) | ||||||
| XL | ≥F2 5 | 91.8 | 25 | 0.81 (0.77–0.85) | |||||
| ≥F3 10 | 56.8 | 82.5 | 0.84 (0.80–0.88) | ||||||
| F4 15 | 48.6 | 93 | 0.89 (0.85–0.92) | ||||||
| Boursier et al., 2019 [56] | France | Prospective | Combination of non-invasive tests for the diagnosis of advanced fibrosis | 938 | M/XL | ≥F3 7.9 | 91.1 | 59.8 | 0.840 (±0.013) |
| Lee et al., 2017 [34] | Korea | Prospective | Comparison among TE, supersonic SWE and ARFI | 94 | M | ≥F2 7.4 | 62.5 | 91.7 | 0.76 (0.64–0.87) |
| ≥F3 8 | 82.6 | 84.9 | 0.87 (0.77–0.96) | ||||||
| F4 10.8 | 91.7 | 81.2 | 0.88 (0.74–0.93) | ||||||
| Petta et al., 2017 [57] | Italy | Prospective | Combination of non-invasive tools for the evaluation of liver fibrosis | 761 | M | ≥F3 9.6 | 74 | 81 | 0.863 |
| Park et al., 2017 [58] | US | Prospective | MR elastography vs. TE in detection of fibrosis | 94 | M/XL | ≥F1 6.1 | 66.7 | 65.1 | 0.67 (0.56–0.78) |
| ≥F2 6.9 | 79.3 | 84.6 | 0.86 (0.77–0.95) | ||||||
| ≥F3 7.3 | 77.8 | 77.6 | 0.80 (0.67–0.93) | ||||||
| F4 6.9 | 62.5 | 66.3 | 0.69 (0.45–0.94) | ||||||
| Petta et al., 2017 [59] | Italy | Prospective | Prediction of liver fibrosis by TE | 324 | M | ≥F2 8.5 | 74.3 | 73.7 | 0.808 |
| ≥F3 10.1 | |||||||||
| Chan et al., 2017 [60] | Malaysia | Prospective | CAP using the FibroScan XL probe for quantification of hepatic steatosis | 57 | M | ≥F1 7.1 | 79.4 | 80 | 0.88 (0.78–0.94) |
| ≥F2 10.7 | 84.6 | 89.4 | 0.95 (0.87–0.98) | ||||||
| ≥F3 13.6 | 87.5 | 97.2 | 0.97 (0.90–0.99) | ||||||
| F4 15.1 | 100 | 96.1 | 0.97 (0.90–1.00) | ||||||
| XL | ≥F1 5.9 | 85.3 | 75.6 | 0.87 (0.78–0.94) | |||||
| ≥F2 8.9 | 44.1 | 93.3 | 0.90 (0.81–0.95) | ||||||
| ≥F3 11.5 | 87.5 | 97.2 | 0.95 (0.87–0.98) | ||||||
| F4 12.4 | 100 | 94.7 | 0.98 (0.91–1.00) | ||||||
| Seki et al., 2017 [61] | Japan | Retrospective | Assessment of liver fibrosis by TE | 171 | M | ≥F1 7.2 | 78.5 | 78.3 | 0.85 (0.78–0.91) |
| ≥F3 10 | 89.5 | 87.6 | 0.91 (0.83–0.97) | ||||||
| Loong et al., 2017 [62] | China | Prospective | Accuracy and utility of FM TE for fibrosis staging | 215 | M | ≥F2 9 | 65.2 | 87.7 | 0.851 (±0.029) |
| ≥F3 9.6 | 83.7 | 86.6 | 0.940 (±0.016) | ||||||
| Xiao et al., 2017 [7] | China | MA | Comparison of laboratory tests, ultrasound or MR elastography for the detection of liver fibrosis | 13,046 | M | ≥F2 | |||
| 5.8 | 91.7 | 57.4 | |||||||
| 6.65–7.10 | 74.1 | 68.6 | |||||||
| 7.25–11 | 65.7 | 84.5 | |||||||
| ≥F3 | |||||||||
| 6.95–7.25 | 69.2 | ||||||||
| 7.6–8 | 88.9 | 66.3 77.2 | |||||||
| 8.7–9 | 83.3 | 78 89.9 | |||||||
| 9.6–11.4 | 80.1 | ||||||||
| F4 | 77.7 86.3 88.8 90.8 | ||||||||
| 7.9–8.4 | 96.5 | ||||||||
| 10.3–11.3 | 87.7 | ||||||||
| 11.5–11.95 | 77.5 | ||||||||
| 13.4–22.3 | 78.2 | ||||||||
| XL | ≥F2 | 75.8 | 64.8 | ||||||
| 4.8–8.2 | |||||||||
| ≥F3 | 75.3 | 74 | |||||||
| 5.7–9.3 | |||||||||
| F4 | 87.8 | 82 | |||||||
| 7.2–16 | |||||||||
| Tapper et al., 2016 [63] | US | Prospective | Performance of TE | 164 | M | ≥F3 9.9 | 95 | 77 | 0.93 (0.86–0.96) |
| Attia et al., 2016 [28] | Germany | Prospective | LSM using ARFI elastography in overweight and obese patients | 87 | M | ≥F2 7 | 85 | 80 | 0.88 (0.77–0.95) |
| ≥F3 11.8 | 79 | 94 | 0.88 (0.77–0.95) | ||||||
| F4 15 | 100 | 93 | 0.97 (0.89–0.99 | ||||||
| XL | ≥F2 6.7 | 87 | 76 | 0.79 (0.59–0.92) | |||||
| ≥F3 9.3 | 91 | 80 | 0.91 (0.73–0.99) | ||||||
| F4 11.7 | 100 | 83 | 0.92 (0.75–0.99) | ||||||
| Ergelen et al., 2016 [64] | Turkey | Prospective | Comparison of Doppler ultrasound and TE in the diagnosis of significant fibrosis | 63 | M/XL | ≥F2 9.8 | 90 | 91 | 0.95 |
| Lee HW et al., 2016 [65] | Korea | Prospective | Identification of NASH using TE | 183 | M | ≥F1 6.7 | 66.4 | 84.9 | 0.85 (0.80–0.91) |
| ≥F2 8 | 82.6 | 84.7 | 0.89(0.83–0.95) | ||||||
| ≥F3 9 | 96.4 | 85.8 | 0.97 (0.95–0.99) | ||||||
| F4 11 | 100 | 89.8 | 0.97 (0.95–0.99) | ||||||
| Cassinotto et al., 2016 [66] | France | Prospective | Comparison of SWE, TE and ARFI vs. liver biopsy for the assessment of LSM | 291 | M | ≥F2 6.2 | 90 | 90 | 0.82 (0.76–0.87) |
| ≥F3 8.2 | 90 | 90 | 0.86 (0.80–0.90) | ||||||
| F4 9.5 | 92 | 90 | 0.87 (0.79–0.92) | ||||||
| Cassinotto et al., 2016 [66] | France | Prospective | 2D-SWE vs. TE vs. ARFI | 291 | M | F2 ≥ 6.2 KPa * | 90 | 45 | 0.82 (0.76–0.87) |
| F3 ≥ 8.2 KPa | 90 | 61 | 0.86 (0.80–0.90) | ||||||
| F4 9.5 KPa | 92 | 62 | 0.87 (0.79–0.92) | ||||||
| Imajo et al., 2016 [36] | Japan | Retrospective | TE vs. MRE to assess liver fibrosis | 142 | M | ≥F1 7 | 61.7 | 100 | 0.78 (0.70–0.87) |
| ≥F2 11 | 65.2 | 88.7 | 0.82 (0.74–0.89) | ||||||
| ≥F3 11.4 | 85.7 | 83.8 | 0.88 (0.79–0.97) | ||||||
| ≥F4 14 | 100 | 75.9 | 0.92 (0.86–0.98) | ||||||
| Ergelen et al., 2015 [67] | Turkey | Prospective | Addition of serum biomarkers to TE and improvement of diagnostic accuracy in patients with biopsy-proven NAFLD | 87 | M/XL | ≥F2 9.6 | 68 | 90 | 0.87 (0.78–0.97) |
| ≥F3 9.9 | 86 | 77 | 0.91 (0.82–0.99) | ||||||
| Petta et al., 2015 [29] | Italy | Retrospective | Combination of LSM and NAFLD fibrosis score for improving non-invasive diagnostic accuracy | 179 | M | Cohort 1 ≥F3 9.3 | 85.3 | 81.4 | 0.86 (0.79–0.92) |
| Cohort 2 ≥F3 9.3 | 68 | 86.4 | 0.85 (0.77–0.92) | ||||||
| Pathik et al., 2015 [68] | India | Prospective | TE vs. simple non-invasive screening tools in predicting fibrosis in high-risk non-alcoholic fatty liver disease patients | 110 | M | ≥F3 12 | 90 | 80 | 0.91 |
| Kumar et al., 2013 [69] | India | Prospective | Performance of LSM in patients with different stages of NAFLD | 120 | M | ≥F1 6.1 | 78 | 68 | 0.82 (0.75–0.89) |
| ≥F2 7 | 77 | 78 | 0.85 (0.78–0.92) | ||||||
| ≥F3 9 | 85 | 88 | 0.94 (0.89–0.98) | ||||||
| F4 11.8 | 90 | 88 | 0.96 (0.92–1.00) | ||||||
| Mahadeva et al., 2013 [70] | Malaysia | Prospective | Factors associated with discordance between liver histology and TE | 131 | M | ≥F2 6.85 | 58.8 | 69.2 | 0.67 (0.57–0.77) |
| ≥F3 7.1 | 70.4 | 66.6 | 0.77 (0.66–0.87) | ||||||
| F4 11.3 | 87.5 | 89.3 | 0.95 (0.91–0.99) |
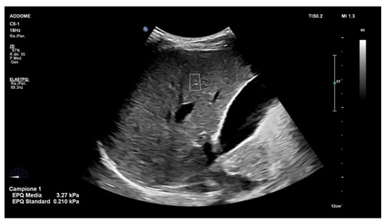
4. Liver Ultrasound Elastography in NAFLD Patients: Point Shear Wave Elastography (pSWE)
| Study | Country | Study Design | Aim of the Study | Patients (n) | Cut-Off Values (m/s or KPa) | SE (%) | SP (%) | AUROC (95% CI) |
|---|---|---|---|---|---|---|---|---|
| Argalia et al., 2022 [35] | Italy | Prospective | Comparison of pSWE vs. TE | 50 | ≥F1 4.23 KPa | 82.7 | 57.1 | 0.717 (0.572–0.835) |
| ≥F2 4.63 KPa | 73.9 | 62.9 | 0.733 (0.589–0.848) | |||||
| ≥F3 7.39 KPa | 87.5 | 88.1 | 0.908 (0.792–0.971) | |||||
| ≥F4 14.20 KPa | 100 | 100 | 1.000 (0.929–1.000) | |||||
| Bauer et al., 2022 [75] | Austria | Prospective | pSWE for fibrosis screening in Patients with NAFLD | 332 | F2 ≥ 1.47 m/s | 80 | 95 | 0.940 (0.910–0.969) |
| F3 ≥ 1.52 m/s | 88 | 89 | 0.949 (0.919–0.979) | |||||
| F4 1.86 m/s | 87 | 94 | 0.949 (0.910–0.989) | |||||
| Roccarina et al., 2022 [37] | Italy UK | Prospective | pSWE vs. TE for diagnosis of fibrosis stage | 671 | F1 ≥ 6 KPa | 79 | 81 | 0.84 (0.72–0.93) |
| F2 ≥ 8 KPa | 78 | 81 | 0.83 (0.78–0.90) | |||||
| F3 ≥ 9 KPa | 79 | 78 | 0.86 (0.82–0.93) | |||||
| F4 11.9 KPa | 92 | 85 | 0.95 (0.92–0.99) | |||||
| Selvalaj et al., 2021 [24] | UK | MA | Diagnostic accuracy of TE, pSWE, 2D-SWE and MR | 276 | ≥F1 1.11–1.81 | 64 | 76 | 0.77 (0.55–0.92) |
| ≥F2 1.18–1.81 | 69 | 85 | 0.86 (0.78–0.90) | |||||
| ≥F3 1.34–4.34 | 80 | 86 | 0.89 (0.83–0.95) | |||||
| F4 1.36–2.56 | 76 | 88 | 0.90 (0.82–0.95) | |||||
| Taibbi et al., 2021 [41] | Italy | Prospective | pSWE vs. TE for liver stiffness quantification | 56 | F3 ≥ 8.4 KPa | 74 | 73.7 | 0.787 (0.646–0.927) |
| F4 9.1 KPa | 72.2 | 78.5 | 0.797 (0.659–0.935) | |||||
| Leong et al., 2020 [46] | Malaysia | Prospective | pSWE vs. TE for diagnosis of fibrosis stage | 100 | F1 ≥ 6.22 KPa | 81.3 | 66.7 | 0.79 (0.65–0.92) |
| F2 ≥ 6.98 KPa | 78.1 | 61.4 | 0.74 (0.62–0.85) | |||||
| F3 ≥ 7.3 KPa | 74.1 | 63.3 | 0.71 (0.59–0.83) | |||||
| F4 11.52 KPa | 66.7 | 93.2 | 0.72 (0.31–1.00) | |||||
| Jiang et al., 2018 [74] | China | MA | pSWE for staging hepatic fibrosis | 982 | - | 70 | 84 | 0.86 (0.83–0.89) |
| 89 | 88 | 0.94 (0.91–0.95) | ||||||
| 89 | 91 | 0.95 (0.93–0.97) | ||||||
| Lee et al., 2017 [34] | Korea | Prospective | Comparison among TE, SWE and ARFI | 94 | ≥F2 1.35 m/s | 46.2 | 93.2 | 0.65 (0.54–0.75) |
| ≥F3 1.43 m/s | 70 | 93.7 | 0.87 (0.77–0.96) | |||||
| F4 1.50 m/s | 75 | 90.7 | 0.92 (0.84–0.99) | |||||
| Attia et al., 2016 [28] | Germany | Prospective | ARFI in overweight and obese patients | 97 | Segment 6 | |||
| F2 ≥ 1.17 m/s | 86 | 87 | 0.90 (0.83–0.97) | |||||
| F3 ≥ 1.42 m/s | 97 | 97 | 0.99 (0.96–1) | |||||
| F4 1.89 m/s | 90 | 95 | 0.98 (0.96–1) | |||||
| Segment 8 | ||||||||
| F2 ≥ 1.18 m/s | 78 | 88 | 0.86 (0.79–0.94) | |||||
| F3 ≥ 1.47 m/s | 94 | 97 | 0.96 (0.89–1) | |||||
| F4 1.89 m/s | 86 | 94 | 0.93 (0.83–1) | |||||
| Cui et al., 2016 [76] | US | Prospective | MRE versus ARFI for diagnosing fibrosis in patients with biopsy-proven NAFLD | 114 | F2 ≥ 1.29 m/s | 82 | 78 | 0.848 (0.776–0.921) |
| F3 ≥ 1.34 m/s | 95 | 74 | 0.896 (0.824–0.968) | |||||
| F4 2.48 m/s | 78 | 93 | 0.862 (0.721–1.000) | |||||
| Cassinotto et al., 2016 [66] | France | Prospective | 2D-SWE vs. TE vs. ARFI | 291 | ≥F2 0.95 m/s | 90 | 36 | 0.77 (0.70–0.83) |
| ≥F3 1.15 m/s | 90 | 63 | 0.84 (0.78–0.89) | |||||
| F4 1.30 m/s | 90 | 67 | 0.84 (0.78–0.89) | |||||
| Liu et al., 2015 [73] | China | MA | ARFI for the non-invasive evaluation of hepatic fibrosis | 723 | - | 80.3 | 85.2 | 0.898 |
| Cassinotto et al., 2013 [77] | France | Prospective | ARFI vs. LSM and FibroTest | 321 | ≥F2 1.38 m/s | 71 | 78 | 0.77 (0.72–0.82) |
| ≥F3 1.57 m/s | 75 | 80 | 0.82 (0.76–0.86) | |||||
| F4 1.61 m/s | 82 | 74 | 0.84 (0.78–0.88) | |||||
| Fierbinteanu Brati- cevici et al., 2013 [78] | Romania | Prospective | ARFI for non-invasive evaluation of liver fibrosis | 64 | ≥F1 1.105 m/s | 76.7 | 71.4 | 0.867 (0.782–0.953) |
| ≥F2 1.165 m/s | 84.8 | 90.3 | 0.944 (0.891–0.997) | |||||
| ≥F3 1.48 m/s | 86.4 | 95.2 | 0.982 (0.956–1.000) | |||||
| F4 1.63 m/s | 91.7 | 92.3 | 0.984 (0.958–1) |
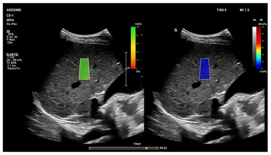
5. Liver Ultrasound Elastography in NAFLD Patients: 2D-Shear Wave Elastography
| Study | Country | Study Design | Aim of the Study | Patients (n) | Values (KPa or m/s) | SE (%) | SP (%) | AUROC (95% CI) |
|---|---|---|---|---|---|---|---|---|
| Zhang et al., 2022 [79] | US | Prospective | Diagnostic performance of 2D-SWE vs. MR elastography | 100 | F1 ≥ 1.27 m/s | 91.2 | 11.6 | 0.65 (0.54–0.76) |
| F2 ≥ 1.49 m/s | 90.5 | 43 | 0.81 (0.72–0.89) | |||||
| F3 ≥ 1.46 m/s | 93.8 | 39.3 | 0.81 (0.71–0.91) | |||||
| F4 1.59 m/s | 100 * | 61.7 | 0.94 (0.89–1.00) | |||||
| Cassinotto et al., 2021 [80] | France | Prospective | TE vs. 2D-SWE in a multi-step strategy to detect fibrosis | 577 | F3 ≥ 9.4 | 88.3 | 90.9 | 0.88 (0.84–0.91) |
| Podrug et al., 2021 [81] | Croatia and Romania | Prospective | Diagnostic performance of 2D-SWE | 232 | F2 ≥ 7.9 | 78.7 | 92.1 | 0.91 (0.850.94) |
| F3 ≥ 10 | 66.6 | 91.6 | 0.92 (0.860.95) | |||||
| F4 11.4 | 80.9 | 93.4 | 0.95 (0.910.98) | |||||
| Lee et al., 2021 [82] | Korea | Prospective | Accuracy of 2D-SWE | 102 | F1 ≥ 6.3 KPa | 63 | 88 | 0.87 (0.79–0.93) |
| F2 ≥ 7.6 KPa | 89 | 77 | 0.87 (0.79–0.93) | |||||
| F3 ≥ 9 KPa | 100 | 85 | 0.95 (0.89–0.99) | |||||
| Sharpton et al., 2021 [42] | US | Prospective | Diagnostic accuracy of 2D-SWE vs. TE | 114 | F2 ≥ 7.7 KPa | 75.7 | 85.7 | 0.84 (0.76–0.92) |
| F3 ≥ 7.7 KPa | 90 | 77.7 | 0.88 (0.81–0.96) | |||||
| F4 9.3 KPa | 88.9 | 84.8 | 0.93 (0.86–0.99) | |||||
| Selvalaj et al., 2021 [24] | UK | MA | Diagnostic accuracy of TE, pSWE, 2D-SWE and MR | 488 | ≥F28.3–11.6 KPa | 71 | 67 | 0.75 (0.58–0.87) |
| ≥F3 9.3–13. 1 KPa | 72 | 72 | 0.72 (0.60–0.84) | |||||
| F4 14.4–15.7 KPa | 78 | 84 | 0.88 (0.81–0.91) | |||||
| Furlan et al., 2020 [48] | US | Prospective | 2D-SWE vs. TE vs. and MR elastography for the diagnosis of fibrosis | 62 | F2 ≥ 5.7 | 87.5 | 70.6 | 0.80 (0.67–0.92) |
| F3 ≥ 8.1 | 71.4 | 94.4 | 0.89 (0.80–0.98) | |||||
| Herrman et al., 2018 [83] | France | MA | Assessment of liver fibrosis by 2D-SWE | 91 | F2 ≥ 7.1 | 93.8 | 52 | 0.855 0.917 |
| F3 ≥ 9.2 | 93.1 | 80.9 | ||||||
| F4 13 | 75.3 | 87.8 | ||||||
| Lee et al., 2017 [34] | Korea | Prospective | Comparison among TE, SWE and ARFI | 94 | ≥F2 8.3 KPa | 87 | 55.3 | 0.75 (0.64–0.85) |
| ≥F3 10.7 KPa | 90 | 61.2 | 0.80 (0.69–0.89) | |||||
| F4 15.1 KPa | 90 | 78 | 0.90 (0.81–0.96) | |||||
| Cassinotto et al., 2016 [66] | France | Prospective | 2D-SWE vs. TE vs. ARFI | 291 | F2 ≥ 6.3 KPa * | 90 | 50 | 0.86 (0.79–0.90) |
| F3 ≥ 8.3 KPa | 91 | 71 | 0.89 (0.83–0.92) | |||||
| F4 10.5 KPa | 90 | 72 | 0.88 (0.82–0.92) |
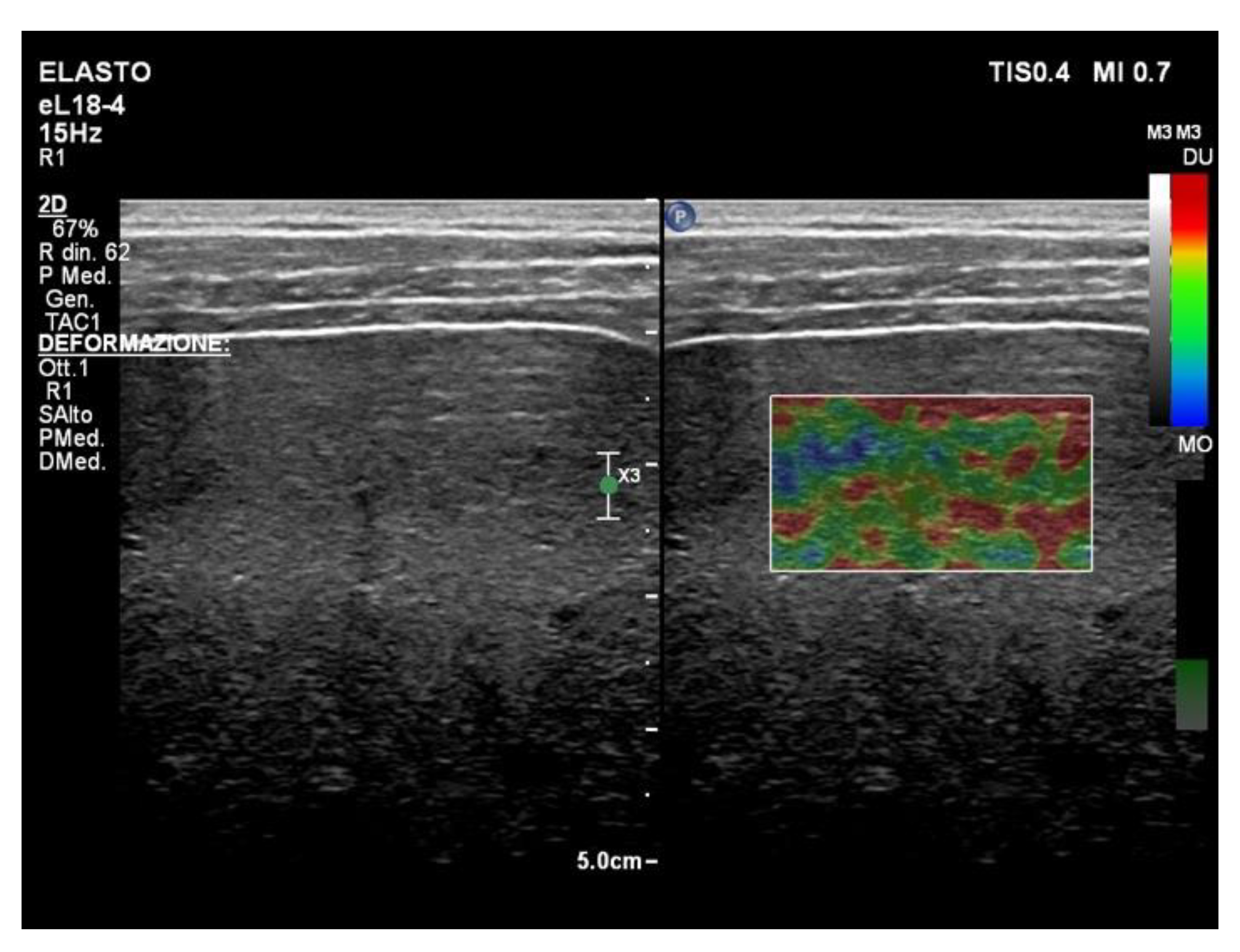
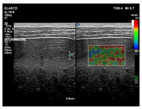
6. Liver Ultrasound Elastography in NAFLD Patients: Strain Elastography
7. Conclusions
Author Contributions
Funding
Institutional Review Board Statement
Informed Consent Statement
Data Availability Statement
Conflicts of Interest
References
- Petzold, G. Role of Ultrasound Methods for the Assessment of NAFLD. J. Clin. Med. 2022, 11, 4581. [Google Scholar] [CrossRef] [PubMed]
- Cotter, T.G.; Rinella, M. Nonalcoholic Fatty Liver Disease 2020: The State of the Disease. Gastroenterology 2020, 158, 1851–1864. [Google Scholar] [CrossRef] [PubMed]
- Villani, R.; Magnati, G.P.; Tuccari, G.; Sangineto, M.; Romano, A.D.; Cassano, T.; Serviddio, G. Liver fat content assessed by conventional B-mode ultrasound and metabolic profile in non-diabetic patients: Implications for clinical practice. Ultrasound 2022. [Google Scholar] [CrossRef]
- Riazi, K.; Azhari, H.; Charette, J.H.; Underwood, F.E.; King, J.A.; Afshar, E.E.; Swain, M.G.; Congly, S.E.; Kaplan, G.G.; Shaheen, A.A. The prevalence and incidence of NAFLD worldwide: A systematic review and meta-analysis. Lancet Gastroenterol. Hepatol. 2022, 7, 851–861. [Google Scholar] [CrossRef]
- Cochrane Hepato-Biliary Group; Turankova, T.; Blyuss, O.; Brazhnikov, A.; Svistunov, A.; Gurusamy, K.S.; Pavlov, C.S. Transient elastography with controlled attenuation parameter (CAP) for diagnosis of moderate or severe steatosis in people with suspected non-alcoholic fatty liver disease. Cochrane Database Syst. Rev. 2020, 7. [Google Scholar] [CrossRef]
- Benedict, M.; Zhang, X. Non-alcoholic fatty liver disease: An expanded review. World J. Hepatol. 2017, 9, 715–732. [Google Scholar] [CrossRef]
- Xiao, G.; Zhu, S.; Xiao, X.; Yan, L.; Yang, J.; Wu, G. Comparison of laboratory tests, ultrasound, or magnetic resonance elastography to detect fibrosis in patients with nonalcoholic fatty liver disease: A meta-analysis. Hepatology 2017, 66, 1486–1501. [Google Scholar] [CrossRef] [PubMed]
- Younossi, Z.M.; Rinella, M.E.; Sanyal, A.J.; Harrison, S.A.; Brunt, E.M.; Goodman, Z.; Cohen, D.E.; Loomba, R. From NAFLD to MAFLD: Implications of a Premature Change in Terminology. Hepatology 2021, 73, 1194–1198. [Google Scholar] [CrossRef]
- European Association for the Study of The Liver; European Association for the Study of Diabetes. EASL-EASD-EASO Clinical Practice Guidelines for the management of non-alcoholic fatty liver disease. Diabetologia 2016, 59, 1121–1140. [Google Scholar] [CrossRef]
- Chalasani, N.; Younossi, Z.; Lavine, J.E.; Charlton, M.; Cusi, K.; Rinella, M.; Harrison, S.A.; Brunt, E.M.; Sanyal, A.J. The diagnosis and management of nonalcoholic fatty liver disease: Practice guidance from the American Association for the Study of Liver Diseases. Hepatology 2018, 67, 328–357. [Google Scholar] [CrossRef]
- Schwabe, R.F.; Tabas, I.; Pajvani, U.B. Mechanisms of Fibrosis Development in Nonalcoholic Steatohepatitis. Gastroenterology 2020, 158, 1913–1928. [Google Scholar] [CrossRef]
- Heyens, L.J.M.; Busschots, D.; Koek, G.H.; Robaeys, G.; Francque, S. Liver Fibrosis in Non-alcoholic Fatty Liver Disease: From Liver Biopsy to Non-invasive Biomarkers in Diagnosis and Treatment. Front. Med. 2021, 8, 615978. [Google Scholar] [CrossRef]
- Villani, R.; Cavallone, F.; Romano, A.D.; Bellanti, F.; Serviddio, G. Two-Dimensional Shear Wave Elastography versus Transient Elastography: A Non-Invasive Comparison for the Assessment of Liver Fibrosis in Patients with Chronic Hepatitis C. Diagnostics 2020, 10, 313. [Google Scholar] [CrossRef]
- Byenfeldt, M.; Elvin, A.; Fransson, P. On Patient Related Factors and Their Impact on Ultrasound-Based Shear Wave Elastography of the Liver. Ultrasound Med. Biol. 2018, 44, 1606–1615. [Google Scholar] [CrossRef] [PubMed]
- Castera, L.; Foucher, J.; Bernard, P.H.; Carvalho, F.; Allaix, D.; Merrouche, W.; Couzigou, P.; de Ledinghen, V. Pitfalls of liver stiffness measurement: A 5-year prospective study of 13,369 examinations. Hepatology 2010, 51, 828–835. [Google Scholar] [CrossRef] [PubMed]
- Afdhal, N.H. Diagnosing fibrosis in hepatitis C: Is the pendulum swinging from biopsy to blood tests? Hepatology 2003, 37, 972–974. [Google Scholar] [CrossRef] [PubMed]
- Regev, A.; Berho, M.; Jeffers, L.J.; Milikowski, C.; Molina, E.G.; Pyrsopoulos, N.T.; Feng, Z.Z.; Reddy, K.R.; Schiff, E.R. Sampling error and intraobserver variation in liver biopsy in patients with chronic HCV infection. Am. J. Gastroenterol. 2002, 97, 2614–2618. [Google Scholar] [CrossRef]
- Barr, R.G.; Ferraioli, G.; Palmeri, M.L.; Goodman, Z.D.; Garcia-Tsao, G.; Rubin, J.; Garra, B.; Myers, R.P.; Wilson, S.R.; Rubens, D.; et al. Elastography Assessment of Liver Fibrosis: Society of Radiologists in Ultrasound Consensus Conference Statement. Ultrasound Q. 2016, 32, 94–107. [Google Scholar] [CrossRef]
- de Schiavon, L.L.; Narciso-Schiavon, J.L.; de Carvalho-Filho, R.J. Non-invasive diagnosis of liver fibrosis in chronic hepatitis C. World J. Gastroenterol. 2014, 20, 2854–2866. [Google Scholar] [CrossRef]
- Dietrich, C.F.; Barr, R.G.; Farrokh, A.; Dighe, M.; Hocke, M.; Jenssen, C.; Dong, Y.; Saftoiu, A.; Havre, R.F. Strain Elastography—How To Do It? Ultrasound Int. Open 2017, 3, E137–E149. [Google Scholar] [CrossRef]
- Ferraioli, G.; Wong, V.W.; Castera, L.; Berzigotti, A.; Sporea, I.; Dietrich, C.F.; Choi, B.I.; Wilson, S.R.; Kudo, M.; Barr, R.G. Liver Ultrasound Elastography: An Update to the World Federation for Ultrasound in Medicine and Biology Guidelines and Recommendations. Ultrasound Med. Biol. 2018, 44, 2419–2440. [Google Scholar] [CrossRef]
- Dietrich, C.F.; Bamber, J.; Berzigotti, A.; Bota, S.; Cantisani, V.; Castera, L.; Cosgrove, D.; Ferraioli, G.; Friedrich-Rust, M.; Gilja, O.H.; et al. EFSUMB Guidelines and Recommendations on the Clinical Use of Liver Ultrasound Elastography, Update 2017 (Long Version). Ultraschall Med. 2017, 38, e48. [Google Scholar] [CrossRef] [PubMed]
- Barr, R.G.; Wilson, S.R.; Rubens, D.; Garcia-Tsao, G.; Ferraioli, G. Update to the Society of Radiologists in Ultrasound Liver Elastography Consensus Statement. Radiology 2020, 296, 263–274. [Google Scholar] [CrossRef] [PubMed]
- Selvaraj, E.A.; Mozes, F.E.; Jayaswal, A.N.A.; Zafarmand, M.H.; Vali, Y.; Lee, J.A.; Levick, C.K.; Young, L.A.J.; Palaniyappan, N.; Liu, C.H.; et al. Diagnostic accuracy of elastography and magnetic resonance imaging in patients with NAFLD: A systematic review and meta-analysis. J. Hepatol. 2021, 75, 770–785. [Google Scholar] [CrossRef]
- Cao, Y.T.; Xiang, L.L.; Qi, F.; Zhang, Y.J.; Chen, Y.; Zhou, X.Q. Accuracy of controlled attenuation parameter (CAP) and liver stiffness measurement (LSM) for assessing steatosis and fibrosis in non-alcoholic fatty liver disease: A systematic review and meta-analysis. EClinicalMedicine 2022, 51, 101547. [Google Scholar] [CrossRef]
- Arena, U.; Vizzutti, F.; Abraldes, J.G.; Corti, G.; Stasi, C.; Moscarella, S.; Milani, S.; Lorefice, E.; Petrarca, A.; Romanelli, R.G.; et al. Reliability of transient elastography for the diagnosis of advanced fibrosis in chronic hepatitis C. Gut 2008, 57, 1288–1293. [Google Scholar] [CrossRef] [PubMed]
- Wong, V.W.; Irles, M.; Wong, G.L.; Shili, S.; Chan, A.W.; Merrouche, W.; Shu, S.S.; Foucher, J.; Le Bail, B.; Chan, W.K.; et al. Unified interpretation of liver stiffness measurement by M and XL probes in non-alcoholic fatty liver disease. Gut 2019, 68, 2057–2064. [Google Scholar] [CrossRef]
- Attia, D.; Bantel, H.; Lenzen, H.; Manns, M.P.; Gebel, M.J.; Potthoff, A. Liver stiffness measurement using acoustic radiation force impulse elastography in overweight and obese patients. Aliment. Pharmacol. Ther. 2016, 44, 366–379. [Google Scholar] [CrossRef]
- Petta, S.; Vanni, E.; Bugianesi, E.; Di Marco, V.; Camma, C.; Cabibi, D.; Mezzabotta, L.; Craxi, A. The combination of liver stiffness measurement and NAFLD fibrosis score improves the noninvasive diagnostic accuracy for severe liver fibrosis in patients with nonalcoholic fatty liver disease. Liver Int. 2015, 35, 1566–1573. [Google Scholar] [CrossRef]
- Eddowes, P.J.; Sasso, M.; Allison, M.; Tsochatzis, E.; Anstee, Q.M.; Sheridan, D.; Guha, I.N.; Cobbold, J.F.; Deeks, J.J.; Paradis, V.; et al. Accuracy of FibroScan Controlled Attenuation Parameter and Liver Stiffness Measurement in Assessing Steatosis and Fibrosis in Patients With Nonalcoholic Fatty Liver Disease. Gastroenterology 2019, 156, 1717–1730. [Google Scholar] [CrossRef]
- Friedrich-Rust, M.; Hadji-Hosseini, H.; Kriener, S.; Herrmann, E.; Sircar, I.; Kau, A.; Zeuzem, S.; Bojunga, J. Transient elastography with a new probe for obese patients for non-invasive staging of non-alcoholic steatohepatitis. Eur. Radiol. 2010, 20, 2390–2396. [Google Scholar] [CrossRef]
- Wong, V.W.; Vergniol, J.; Wong, G.L.; Foucher, J.; Chan, A.W.; Chermak, F.; Choi, P.C.; Merrouche, W.; Chu, S.H.; Pesque, S.; et al. Liver stiffness measurement using XL probe in patients with nonalcoholic fatty liver disease. Am. J. Gastroenterol. 2012, 107, 1862–1871. [Google Scholar] [CrossRef]
- Oeda, S.; Takahashi, H.; Imajo, K.; Seko, Y.; Ogawa, Y.; Moriguchi, M.; Yoneda, M.; Anzai, K.; Aishima, S.; Kage, M.; et al. Accuracy of liver stiffness measurement and controlled attenuation parameter using FibroScan((R)) M/XL probes to diagnose liver fibrosis and steatosis in patients with nonalcoholic fatty liver disease: A multicenter prospective study. J. Gastroenterol. 2020, 55, 428–440. [Google Scholar] [CrossRef] [PubMed]
- Lee, M.S.; Bae, J.M.; Joo, S.K.; Woo, H.; Lee, D.H.; Jung, Y.J.; Kim, B.G.; Lee, K.L.; Kim, W. Prospective comparison among transient elastography, supersonic shear imaging, and ARFI imaging for predicting fibrosis in nonalcoholic fatty liver disease. PLoS ONE 2017, 12, e0188321. [Google Scholar] [CrossRef] [PubMed]
- Argalia, G.; Ventura, C.; Tosi, N.; Campioni, D.; Tagliati, C.; Tufillaro, M.; Cucco, M.; Svegliati Baroni, G.; Giovagnoni, A. Comparison of point shear wave elastography and transient elastography in the evaluation of patients with NAFLD. Radiol. Med. 2022, 127, 571–576. [Google Scholar] [CrossRef] [PubMed]
- Imajo, K.; Kessoku, T.; Honda, Y.; Tomeno, W.; Ogawa, Y.; Mawatari, H.; Fujita, K.; Yoneda, M.; Taguri, M.; Hyogo, H.; et al. Magnetic Resonance Imaging More Accurately Classifies Steatosis and Fibrosis in Patients With Nonalcoholic Fatty Liver Disease Than Transient Elastography. Gastroenterology 2016, 150, 626–637. [Google Scholar] [CrossRef]
- Roccarina, D.; Iogna Prat, L.; Pallini, G.; Guerrero Misas, M.; Buzzetti, E.; Saffioti, F.; Aricò, F.M.; Mantovani, A.; Koutli, E.; Goyale, A.; et al. Comparison of point-shear wave elastography (ElastPQ) and transient elastography (FibroScan) for liver fibrosis staging in patients with non-alcoholic fatty liver disease. Liver Int. 2022, 42, 2195–2203. [Google Scholar] [CrossRef] [PubMed]
- Mikolasevic, I.; Domislovic, V.; Klapan, M.; Juric, T.; Lukic, A.; Krznaric-Zrnic, I.; Fuckar-Cupic, D.; Stimac, D.; Filipec Kanizaj, T.; Krznaric, Z.; et al. Accuracy of Controlled Attenuation Parameter and Liver Stiffness Measurement in Patients with Non-alcoholic Fatty Liver Disease. Ultrasound Med. Biol. 2021, 47, 428–437. [Google Scholar] [CrossRef]
- Trowell, J.; Alukal, J.; Zhang, T.; Liu, L.; Maheshwari, A.; Yoo, H.Y.; Thuluvath, P.J. How Good Are Controlled Attenuation Parameter Scores from Fibroscan to Assess Steatosis, NASH, and Fibrosis? Dig. Dis. Sci. 2021, 66, 1297–1305. [Google Scholar] [CrossRef]
- Yang, X.; Chang, X.; Wu, S.; Sun, X.; Zhu, X.; Wang, L.; Xu, Y.; Yao, X.; Rao, S.; Hu, X.; et al. Performance of liver stiffness measurements obtained with FibroScan is affected by glucose metabolism in patients with nonalcoholic fatty liver disease. Lipids Health Dis. 2021, 20, 27. [Google Scholar] [CrossRef]
- Taibbi, A.; Petta, S.; Matranga, D.; Caruana, G.; Cannella, R.; Busè, G.; Marco, V.D.; Midiri, M.; Bartolotta, T.V. Liver stiffness quantification in biopsy-proven nonalcoholic fatty liver disease patients using shear wave elastography in comparison with transient elastography. Ultrasonography 2021, 40, 407–416. [Google Scholar] [CrossRef]
- Sharpton, S.R.; Tamaki, N.; Bettencourt, R.; Madamba, E.; Jung, J.; Liu, A.; Behling, C.; Valasek, M.A.; Loomba, R. Diagnostic accuracy of two-dimensional shear wave elastography and transient elastography in nonalcoholic fatty liver disease. Therap Adv. Gastroenterol. 2021, 14, 17562848211050436. [Google Scholar] [CrossRef] [PubMed]
- Shima, T.; Sakai, K.; Oya, H.; Katayama, T.; Mitsumoto, Y.; Mizuno, M.; Kanbara, Y.; Okanoue, T. Diagnostic accuracy of combined biomarker measurements and vibration-controlled transient elastography (VCTE) for predicting fibrosis stage of non-alcoholic fatty liver disease. J. Gastroenterol. 2020, 55, 100–112. [Google Scholar] [CrossRef]
- Shi, Y.W.; Wang, Q.Y.; Zhao, X.Y.; Sun, Y.M.; Kong, Y.Y.; Ou, X.J.; Jia, J.D.; Wu, S.S.; You, H. Non-obese patients with nonalcoholic fatty liver disease may use a lower liver stiffness cut-off to assess fibrosis stages. J. Dig. Dis. 2020, 21, 279–286. [Google Scholar] [CrossRef] [PubMed]
- Forsgren, M.F.; Nasr, P.; Karlsson, M.; Dahlstrom, N.; Noren, B.; Ignatova, S.; Sinkus, R.; Cedersund, G.; Leinhard, O.D.; Ekstedt, M.; et al. Biomarkers of liver fibrosis: Prospective comparison of multimodal magnetic resonance, serum algorithms and transient elastography. Scand. J. Gastroenterol. 2020, 55, 848–859. [Google Scholar] [CrossRef]
- Leong, W.L.; Lai, L.L.; Nik Mustapha, N.R.; Vijayananthan, A.; Rahmat, K.; Mahadeva, S.; Chan, W.K. Comparing point shear wave elastography (ElastPQ) and transient elastography for diagnosis of fibrosis stage in non-alcoholic fatty liver disease. J. Gastroenterol. Hepatol. 2020, 35, 135–141. [Google Scholar] [CrossRef] [PubMed]
- Jafarov, F.; Kaya, E.; Bakir, A.; Eren, F.; Yilmaz, Y. The diagnostic utility of fibrosis-4 or nonalcoholic fatty liver disease fibrosis score combined with liver stiffness measurement by fibroscan in assessment of advanced liver fibrosis: A biopsy-proven nonalcoholic fatty liver disease study. Eur. J. Gastroenterol. Hepatol. 2020, 32, 642–649. [Google Scholar] [CrossRef]
- Furlan, A.; Tublin, M.E.; Yu, L.; Chopra, K.B.; Lippello, A.; Behari, J. Comparison of 2D Shear Wave Elastography, Transient Elastography, and MR Elastography for the Diagnosis of Fibrosis in Patients With Nonalcoholic Fatty Liver Disease. AJR Am. J. Roentgenol. 2020, 214, W20–W26. [Google Scholar] [CrossRef]
- Cardoso, A.C.; Cravo, C.; Calcado, F.L.; Rezende, G.; Campos, C.F.F.; Neto, J.M.A.; Luz, R.P.; Soares, J.A.S.; Moraes-Coelho, H.S.; Leite, N.C.; et al. The performance of M and XL probes of FibroScan for the diagnosis of steatosis and fibrosis on a Brazilian nonalcoholic fatty liver disease cohort. Eur. J. Gastroenterol. Hepatol. 2020, 32, 231–238. [Google Scholar] [CrossRef]
- Tovo, C.V.; Villela-Nogueira, C.A.; Leite, N.C.; Panke, C.L.; Port, G.Z.; Fernandes, S.; Buss, C.; Coral, G.P.; Cardoso, A.C.; Cravo, C.M.; et al. Transient hepatic elastography has the best performance to evaluate liver fibrosis in non-alcoholic fatty liver disease (NAFLD). Ann. Hepatol. 2019, 18, 445–449. [Google Scholar] [CrossRef]
- Staufer, K.; Halilbasic, E.; Spindelboeck, W.; Eilenberg, M.; Prager, G.; Stadlbauer, V.; Posch, A.; Munda, P.; Marculescu, R.; Obermayer-Pietsch, B.; et al. Evaluation and comparison of six noninvasive tests for prediction of significant or advanced fibrosis in nonalcoholic fatty liver disease. United Eur. Gastroenterol. J. 2019, 7, 1113–1123. [Google Scholar] [CrossRef]
- Hanafy, A.S.; Seleem, W.M.; El-Kalla, F.; AbdAlkhalik Basha, M.; Abd-Elsalam, S. Efficacy of a non-invasive model in predicting the cardiovascular morbidity and histological severity in non-alcoholic fatty liver disease. Diabetes Metab. Syndr. 2019, 13, 2272–2278. [Google Scholar] [CrossRef]
- Chang, P.E.; Hartono, J.L.; Ngai, Y.L.; Dan, Y.Y.; Lim, K.B.; Chow, W.C. Optimal liver stiffness measurement values for the diagnosis of significant fibrosis and cirrhosis in chronic liver disease in Singapore. Singap. Med. J. 2019, 60, 532–537. [Google Scholar] [CrossRef] [PubMed]
- Siddiqui, M.S.; Vuppalanchi, R.; Van Natta, M.L.; Hallinan, E.; Kowdley, K.V.; Abdelmalek, M.; Neuschwander-Tetri, B.A.; Loomba, R.; Dasarathy, S.; Brandman, D.; et al. Vibration-Controlled Transient Elastography to Assess Fibrosis and Steatosis in Patients With Nonalcoholic Fatty Liver Disease. Clin. Gastroenterol. Hepatol. 2019, 17, 156–163. [Google Scholar] [CrossRef] [PubMed]
- Lee, J.I.; Lee, H.W.; Lee, K.S. Value of controlled attenuation parameter in fibrosis prediction in nonalcoholic steatohepatitis. World J. Gastroenterol. 2019, 25, 4959–4969. [Google Scholar] [CrossRef] [PubMed]
- Boursier, J.; Guillaume, M.; Leroy, V.; Irles, M.; Roux, M.; Lannes, A.; Foucher, J.; Zuberbuhler, F.; Delabaudiere, C.; Barthelon, J.; et al. New sequential combinations of non-invasive fibrosis tests provide an accurate diagnosis of advanced fibrosis in NAFLD. J. Hepatol. 2019, 71, 389–396. [Google Scholar] [CrossRef]
- Petta, S.; Wong, V.W.; Cammà, C.; Hiriart, J.B.; Wong, G.L.; Vergniol, J.; Chan, A.W.; Di Marco, V.; Merrouche, W.; Chan, H.L.; et al. Serial combination of non-invasive tools improves the diagnostic accuracy of severe liver fibrosis in patients with NAFLD. Aliment. Pharmacol. Ther. 2017, 46, 617–627. [Google Scholar] [CrossRef]
- Park, C.C.; Nguyen, P.; Hernandez, C.; Bettencourt, R.; Ramirez, K.; Fortney, L.; Hooker, J.; Sy, E.; Savides, M.T.; Alquiraish, M.H.; et al. Magnetic Resonance Elastography vs Transient Elastography in Detection of Fibrosis and Noninvasive Measurement of Steatosis in Patients With Biopsy-Proven Nonalcoholic Fatty Liver Disease. Gastroenterology 2017, 152, 598–607. [Google Scholar] [CrossRef]
- Petta, S.; Wong, V.W.; Cammà, C.; Hiriart, J.B.; Wong, G.L.; Marra, F.; Vergniol, J.; Chan, A.W.; Di Marco, V.; Merrouche, W.; et al. Improved noninvasive prediction of liver fibrosis by liver stiffness measurement in patients with nonalcoholic fatty liver disease accounting for controlled attenuation parameter values. Hepatology 2017, 65, 1145–1155. [Google Scholar] [CrossRef]
- Chan, W.K.; Nik Mustapha, N.R.; Wong, G.L.; Wong, V.W.; Mahadeva, S. Controlled attenuation parameter using the FibroScan(R) XL probe for quantification of hepatic steatosis for non-alcoholic fatty liver disease in an Asian population. United Eur. Gastroenterol. J. 2017, 5, 76–85. [Google Scholar] [CrossRef]
- Seki, K.; Shima, T.; Oya, H.; Mitsumoto, Y.; Mizuno, M.; Okanoue, T. Assessment of transient elastography in Japanese patients with non-alcoholic fatty liver disease. Hepatol. Res. 2017, 47, 882–889. [Google Scholar] [CrossRef] [PubMed]
- Loong, T.C.; Wei, J.L.; Leung, J.C.; Wong, G.L.; Shu, S.S.; Chim, A.M.; Chan, A.W.; Choi, P.C.; Tse, Y.K.; Chan, H.L.; et al. Application of the combined FibroMeter vibration-controlled transient elastography algorithm in Chinese patients with non-alcoholic fatty liver disease. J. Gastroenterol. Hepatol. 2017, 32, 1363–1369. [Google Scholar] [CrossRef] [PubMed]
- Tapper, E.B.; Challies, T.; Nasser, I.; Afdhal, N.H.; Lai, M. The Performance of Vibration Controlled Transient Elastography in a US Cohort of Patients With Nonalcoholic Fatty Liver Disease. Am. J. Gastroenterol. 2016, 111, 677–684. [Google Scholar] [CrossRef] [PubMed]
- Ergelen, R.; Yilmaz, Y.; Asedov, R.; Celikel, C.; Akin, H.; Bugdayci, O.; Altun, E.; Tuney, D. Comparison of Doppler ultrasound and transient elastography in the diagnosis of significant fibrosis in patients with nonalcoholic steatohepatitis. Abdom. Radiol. 2016, 41, 1505–1510. [Google Scholar] [CrossRef]
- Lee, H.W.; Park, S.Y.; Kim, S.U.; Jang, J.Y.; Park, H.; Kim, J.K.; Lee, C.K.; Chon, Y.E.; Han, K.H. Discrimination of Nonalcoholic Steatohepatitis Using Transient Elastography in Patients with Nonalcoholic Fatty Liver Disease. PLoS ONE 2016, 11, e0157358. [Google Scholar] [CrossRef]
- Cassinotto, C.; Boursier, J.; de Lédinghen, V.; Lebigot, J.; Lapuyade, B.; Cales, P.; Hiriart, J.B.; Michalak, S.; Bail, B.L.; Cartier, V.; et al. Liver stiffness in nonalcoholic fatty liver disease: A comparison of supersonic shear imaging, FibroScan, and ARFI with liver biopsy. Hepatology 2016, 63, 1817–1827. [Google Scholar] [CrossRef]
- Ergelen, R.; Akyuz, U.; Aydin, Y.; Eren, F.; Yilmaz, Y. Measurements of serum procollagen-III peptide and M30 do not improve the diagnostic accuracy of transient elastography for the detection of hepatic fibrosis in patients with nonalcoholic fatty liver disease. Eur. J. Gastroenterol. Hepatol. 2015, 27, 667–671. [Google Scholar] [CrossRef]
- Pathik, P.; Ravindra, S.; Ajay, C.; Prasad, B.; Jatin, P.; Prabha, S. Fibroscan versus simple noninvasive screening tools in predicting fibrosis in high-risk nonalcoholic fatty liver disease patients from Western India. Ann. Gastroenterol. 2015, 28, 281–286. [Google Scholar]
- Kumar, R.; Rastogi, A.; Sharma, M.K.; Bhatia, V.; Tyagi, P.; Sharma, P.; Garg, H.; Chandan Kumar, K.N.; Bihari, C.; Sarin, S.K. Liver stiffness measurements in patients with different stages of nonalcoholic fatty liver disease: Diagnostic performance and clinicopathological correlation. Dig. Dis. Sci. 2013, 58, 265–274. [Google Scholar] [CrossRef]
- Mahadeva, S.; Mahfudz, A.S.; Vijayanathan, A.; Goh, K.L.; Kulenthran, A.; Cheah, P.L. Performance of transient elastography (TE) and factors associated with discordance in non-alcoholic fatty liver disease. J. Dig. Dis. 2013, 14, 604–610. [Google Scholar] [CrossRef]
- Osaki, A.; Kubota, T.; Suda, T.; Igarashi, M.; Nagasaki, K.; Tsuchiya, A.; Yano, M.; Tamura, Y.; Takamura, M.; Kawai, H.; et al. Shear wave velocity is a useful marker for managing nonalcoholic steatohepatitis. World J. Gastroenterol. 2010, 16, 2918–2925. [Google Scholar] [CrossRef]
- Friedrich-Rust, M.; Nierhoff, J.; Lupsor, M.; Sporea, I.; Fierbinteanu-Braticevici, C.; Strobel, D.; Takahashi, H.; Yoneda, M.; Suda, T.; Zeuzem, S.; et al. Performance of Acoustic Radiation Force Impulse imaging for the staging of liver fibrosis: A pooled meta-analysis. J. Viral Hepat. 2012, 19, e212–e219. [Google Scholar] [CrossRef] [PubMed]
- Liu, H.; Fu, J.; Hong, R.; Liu, L.; Li, F. Acoustic Radiation Force Impulse Elastography for the Non-Invasive Evaluation of Hepatic Fibrosis in Non-Alcoholic Fatty Liver Disease Patients: A Systematic Review & Meta-Analysis. PLoS ONE 2015, 10, e0127782. [Google Scholar] [CrossRef]
- Jiang, W.; Huang, S.; Teng, H.; Wang, P.; Wu, M.; Zhou, X.; Ran, H. Diagnostic accuracy of point shear wave elastography and transient elastography for staging hepatic fibrosis in patients with non-alcoholic fatty liver disease: A meta-analysis. BMJ Open 2018, 8, e021787. [Google Scholar] [CrossRef]
- Bauer, D.J.; Matic, V.; Mare, R.; Maiocchi, L.; Chromy, D.; Müllner-Bucsics, T.; Mandorfer, M.; Mustapic, S.; Sporea, I.; Ferraioli, G.; et al. Point Shear Wave Elastography by ElastPQ for Fibrosis Screening in Patients with NAFLD: A Prospective, Multicenter Comparison to Vibration-Controlled Elastography. Ultraschall Med. 2022. [Google Scholar] [CrossRef] [PubMed]
- Cui, J.; Heba, E.; Hernandez, C.; Haufe, W.; Hooker, J.; Andre, M.P.; Valasek, M.A.; Aryafar, H.; Sirlin, C.B.; Loomba, R. Magnetic resonance elastography is superior to acoustic radiation force impulse for the Diagnosis of fibrosis in patients with biopsy-proven nonalcoholic fatty liver disease: A prospective study. Hepatology 2016, 63, 453–461. [Google Scholar] [CrossRef]
- Cassinotto, C.; Lapuyade, B.; Aït-Ali, A.; Vergniol, J.; Gaye, D.; Foucher, J.; Bailacq-Auder, C.; Chermak, F.; Le Bail, B.; de Lédinghen, V. Liver fibrosis: Noninvasive assessment with acoustic radiation force impulse elastography--comparison with FibroScan M and XL probes and FibroTest in patients with chronic liver disease. Radiology 2013, 269, 283–292. [Google Scholar] [CrossRef]
- Fierbinteanu Braticevici, C.; Sporea, I.; Panaitescu, E.; Tribus, L. Value of acoustic radiation force impulse imaging elastography for non-invasive evaluation of patients with nonalcoholic fatty liver disease. Ultrasound Med. Biol. 2013, 39, 1942–1950. [Google Scholar] [CrossRef] [PubMed]
- Zhang, Y.N.; Fowler, K.J.; Boehringer, A.S.; Montes, V.; Schlein, A.N.; Covarrubias, Y.; Wolfson, T.; Hong, C.W.; Valasek, M.A.; Andre, M.P.; et al. Comparative diagnostic performance of ultrasound shear wave elastography and magnetic resonance elastography for classifying fibrosis stage in adults with biopsy-proven nonalcoholic fatty liver disease. Eur. Radiol. 2022, 32, 2457–2469. [Google Scholar] [CrossRef]
- Cassinotto, C.; Boursier, J.; Paisant, A.; Guiu, B.; Irles-Depe, M.; Canivet, C.; Aube, C.; de Ledinghen, V. Transient Versus Two-Dimensional Shear-Wave Elastography in a Multistep Strategy to Detect Advanced Fibrosis in NAFLD. Hepatology 2021, 73, 2196–2205. [Google Scholar] [CrossRef]
- Podrug, K.; Sporea, I.; Lupusoru, R.; Pastrovic, F.; Mustapic, S.; Bâldea, V.; Bozin, T.; Bokun, T.; Salkic, N.; Șirli, R.; et al. Diagnostic Performance of 2-D Shear-Wave Elastography with Propagation Maps and Attenuation Imaging in Patients with Non-Alcoholic Fatty Liver Disease. Ultrasound Med. Biol. 2021, 47, 2128–2137. [Google Scholar] [CrossRef] [PubMed]
- Lee, D.H.; Cho, E.J.; Bae, J.S.; Lee, J.Y.; Yu, S.J.; Kim, H.; Lee, K.B.; Han, J.K.; Choi, B.I. Accuracy of Two-Dimensional Shear Wave Elastography and Attenuation Imaging for Evaluation of Patients With Nonalcoholic Steatohepatitis. Clin. Gastroenterol. Hepatol 2021, 19, 797–805.e797. [Google Scholar] [CrossRef]
- Herrmann, E.; de Lédinghen, V.; Cassinotto, C.; Chu, W.C.; Leung, V.Y.; Ferraioli, G.; Filice, C.; Castera, L.; Vilgrain, V.; Ronot, M.; et al. Assessment of biopsy-proven liver fibrosis by two-dimensional shear wave elastography: An individual patient data-based meta-analysis. Hepatology 2018, 67, 260–272. [Google Scholar] [CrossRef] [PubMed]
- Ogino, Y.; Wakui, N.; Nagai, H.; Matsuda, T. Comparison of strain elastography and shear wave elastography in diagnosis of fibrosis in nonalcoholic fatty liver disease. J. Med. Ultrason. 2023. [Google Scholar] [CrossRef]
- Ochi, H.; Hirooka, M.; Koizumi, Y.; Miyake, T.; Tokumoto, Y.; Soga, Y.; Tada, F.; Abe, M.; Hiasa, Y.; Onji, M. Real-time tissue elastography for evaluation of hepatic fibrosis and portal hypertension in nonalcoholic fatty liver diseases. Hepatology 2012, 56, 1271–1278. [Google Scholar] [CrossRef]
- Kobayashi, K.; Nakao, H.; Nishiyama, T.; Lin, Y.; Kikuchi, S.; Kobayashi, Y.; Yamamoto, T.; Ishii, N.; Ohashi, T.; Satoh, K.; et al. Diagnostic accuracy of real-time tissue elastography for the staging of liver fibrosis: A meta-analysis. Eur. Radiol. 2015, 25, 230–238. [Google Scholar] [CrossRef]
- Yada, N.; Tamaki, N.; Koizumi, Y.; Hirooka, M.; Nakashima, O.; Hiasa, Y.; Izumi, N.; Kudo, M. Diagnosis of Fibrosis and Activity by a Combined Use of Strain and Shear Wave Imaging in Patients with Liver Disease. Dig. Dis. 2017, 35, 515–520. [Google Scholar] [CrossRef] [PubMed]



Disclaimer/Publisher’s Note: The statements, opinions and data contained in all publications are solely those of the individual author(s) and contributor(s) and not of MDPI and/or the editor(s). MDPI and/or the editor(s) disclaim responsibility for any injury to people or property resulting from any ideas, methods, instructions or products referred to in the content. |
© 2023 by the authors. Licensee MDPI, Basel, Switzerland. This article is an open access article distributed under the terms and conditions of the Creative Commons Attribution (CC BY) license (https://creativecommons.org/licenses/by/4.0/).
Share and Cite
Villani, R.; Lupo, P.; Sangineto, M.; Romano, A.D.; Serviddio, G. Liver Ultrasound Elastography in Non-Alcoholic Fatty Liver Disease: A State-of-the-Art Summary. Diagnostics 2023, 13, 1236. https://doi.org/10.3390/diagnostics13071236
Villani R, Lupo P, Sangineto M, Romano AD, Serviddio G. Liver Ultrasound Elastography in Non-Alcoholic Fatty Liver Disease: A State-of-the-Art Summary. Diagnostics. 2023; 13(7):1236. https://doi.org/10.3390/diagnostics13071236
Chicago/Turabian StyleVillani, Rosanna, Pierluigi Lupo, Moris Sangineto, Antonino Davide Romano, and Gaetano Serviddio. 2023. "Liver Ultrasound Elastography in Non-Alcoholic Fatty Liver Disease: A State-of-the-Art Summary" Diagnostics 13, no. 7: 1236. https://doi.org/10.3390/diagnostics13071236
APA StyleVillani, R., Lupo, P., Sangineto, M., Romano, A. D., & Serviddio, G. (2023). Liver Ultrasound Elastography in Non-Alcoholic Fatty Liver Disease: A State-of-the-Art Summary. Diagnostics, 13(7), 1236. https://doi.org/10.3390/diagnostics13071236

