Primary Benign Neoplasms of the Spine
Abstract
1. Introduction
2. Imaging Modalities and Techniques
3. Types of Lesions
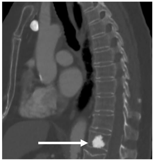
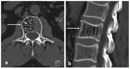
3.1. Osteoma (Enostosis)
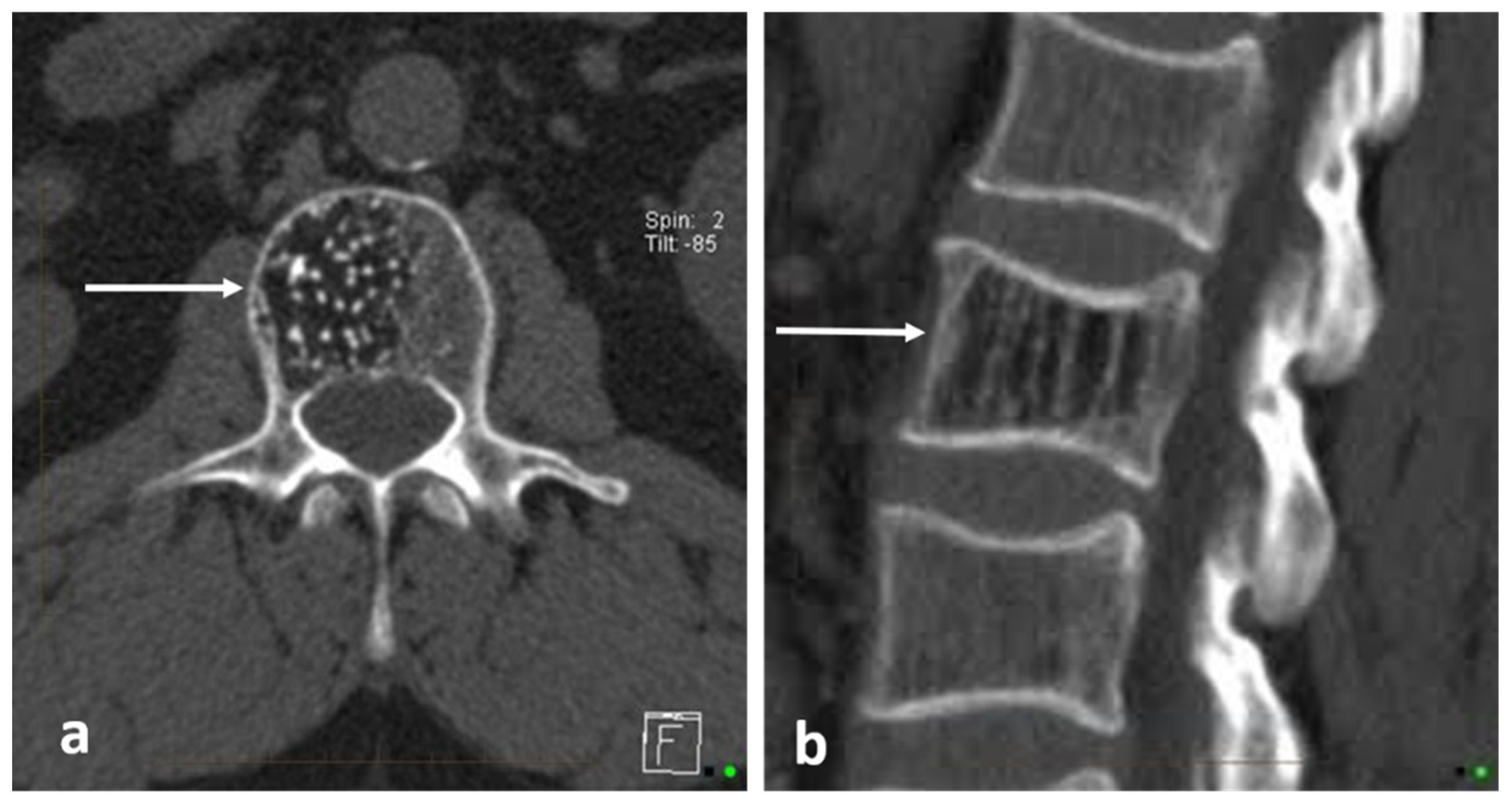
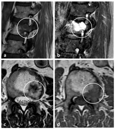
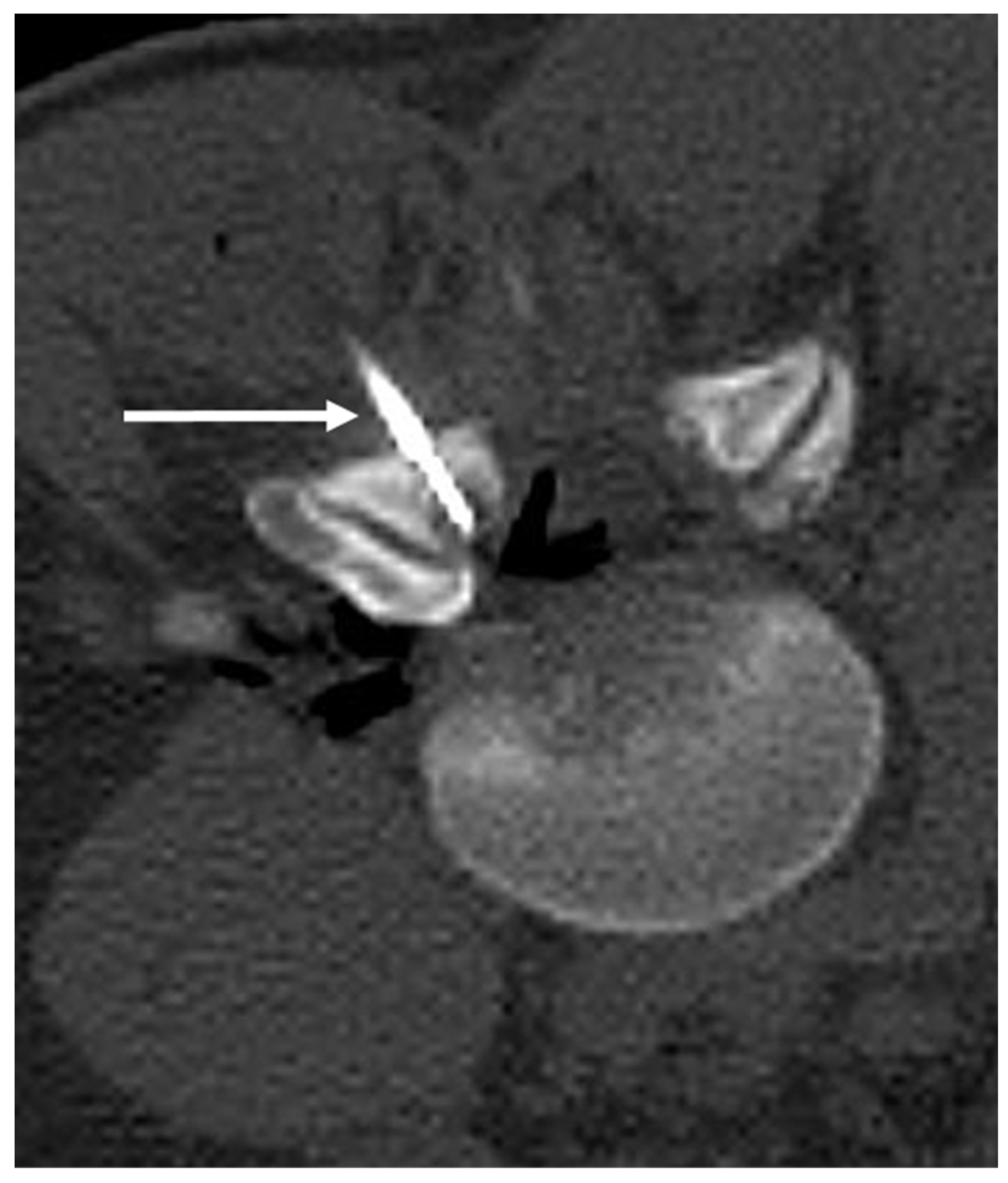
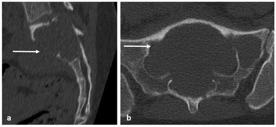
3.2. Osteoid Osteoma
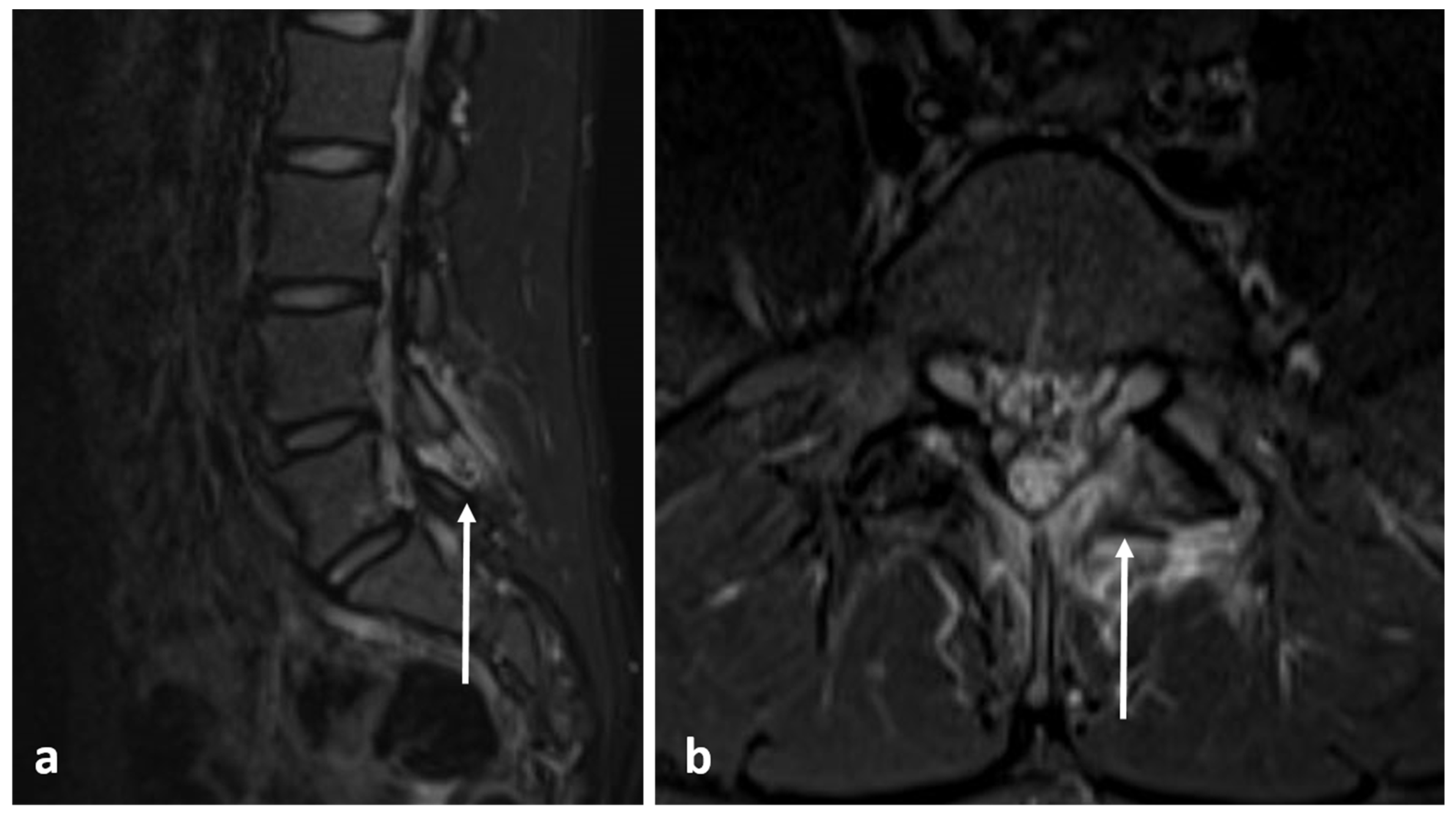
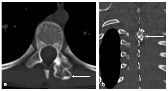
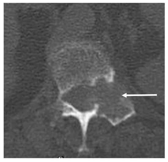
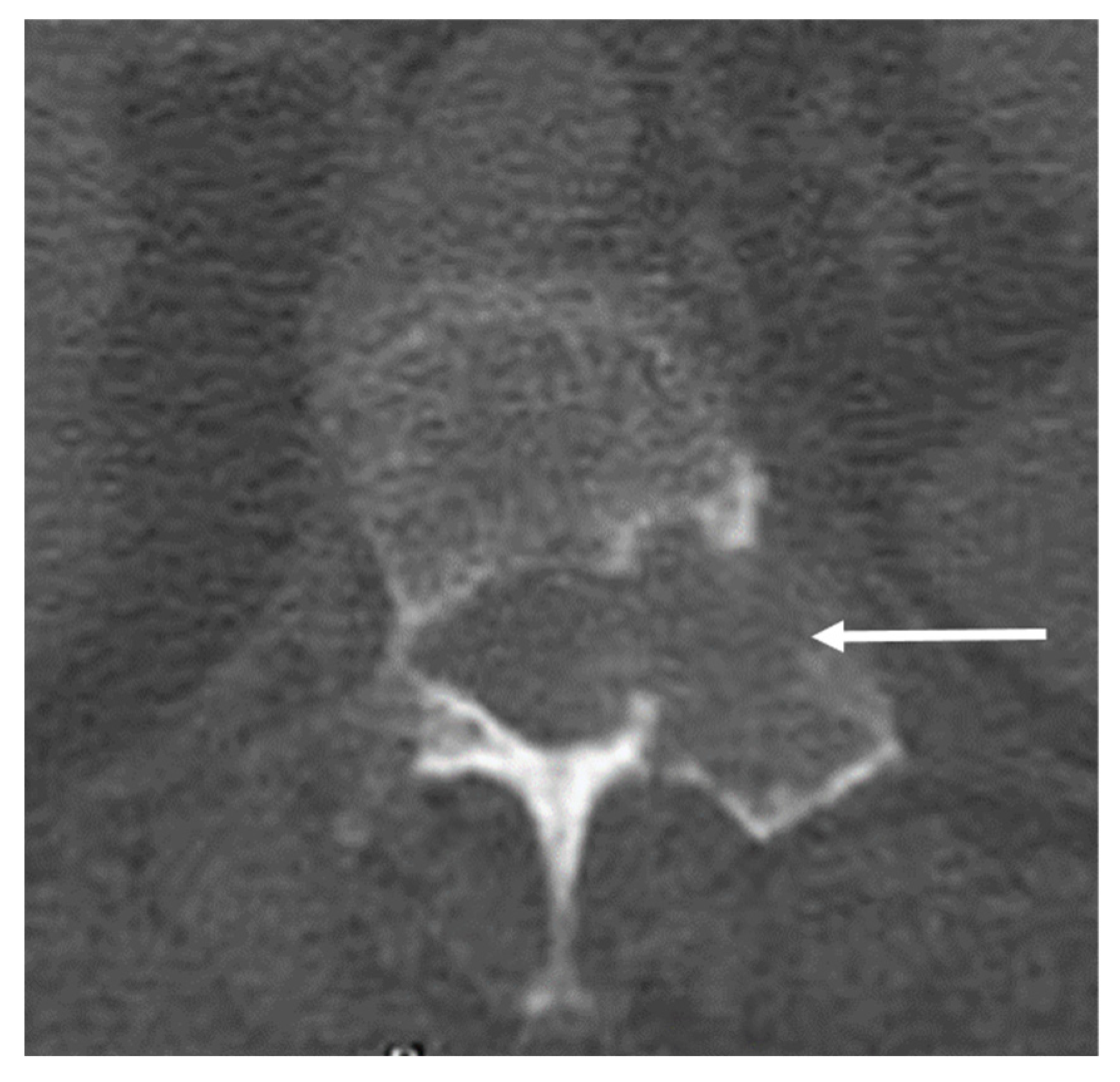
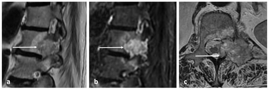
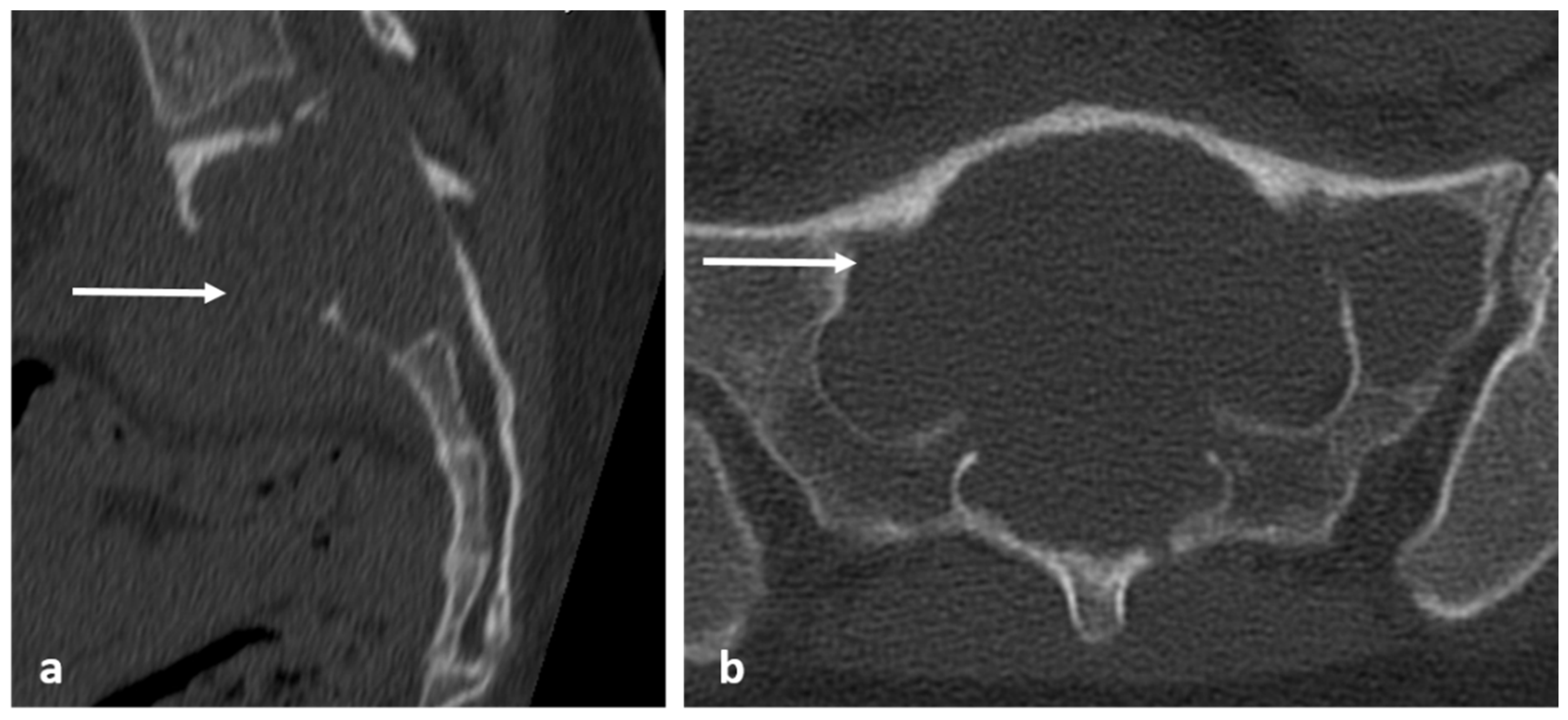
3.3. Osteoblastoma
3.4. Fibrous Dysplasia
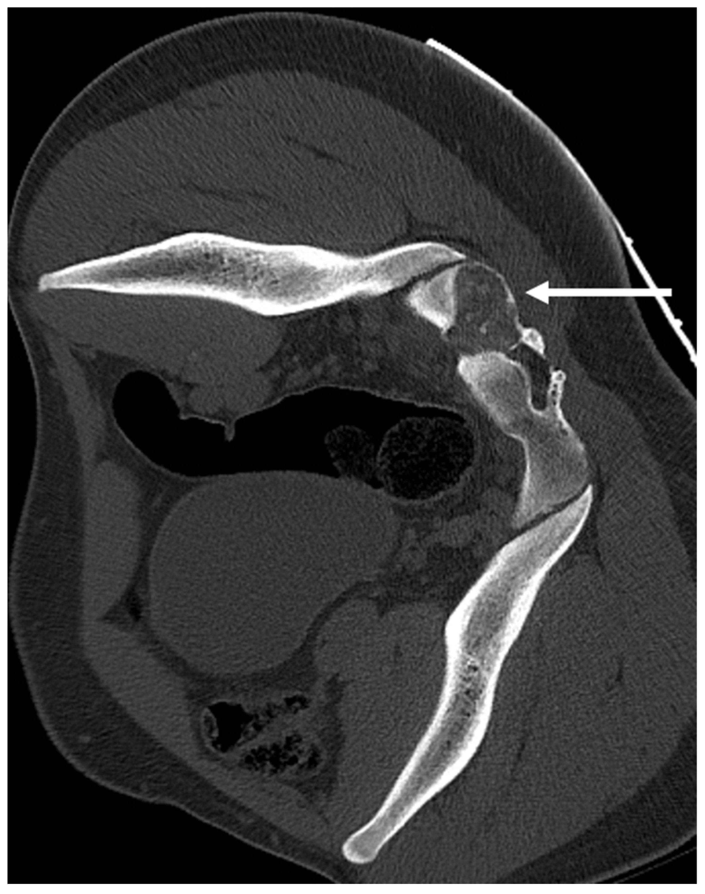
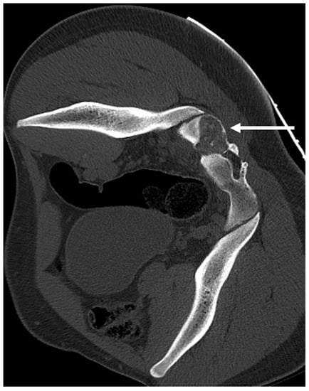
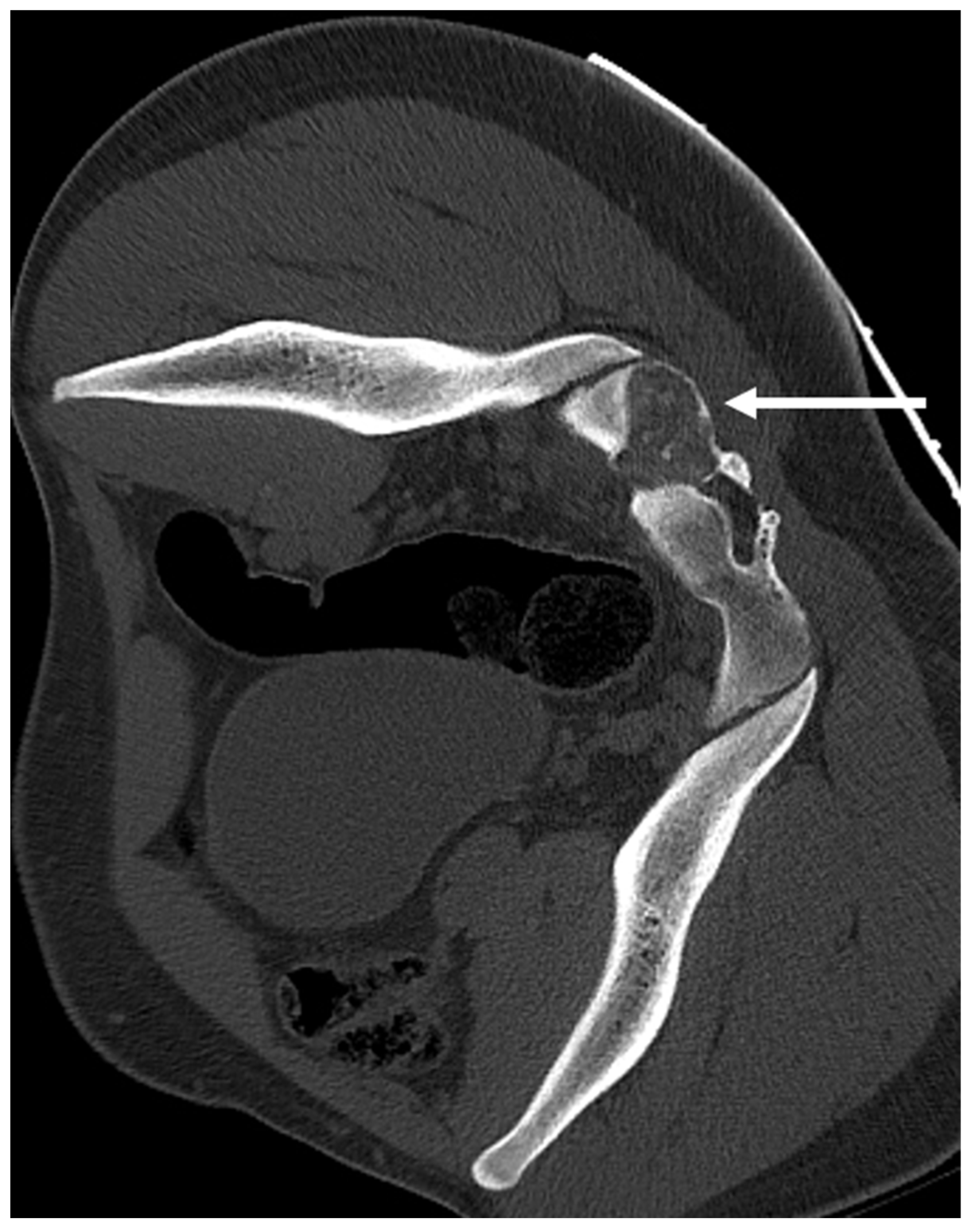
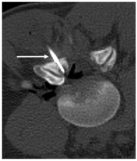
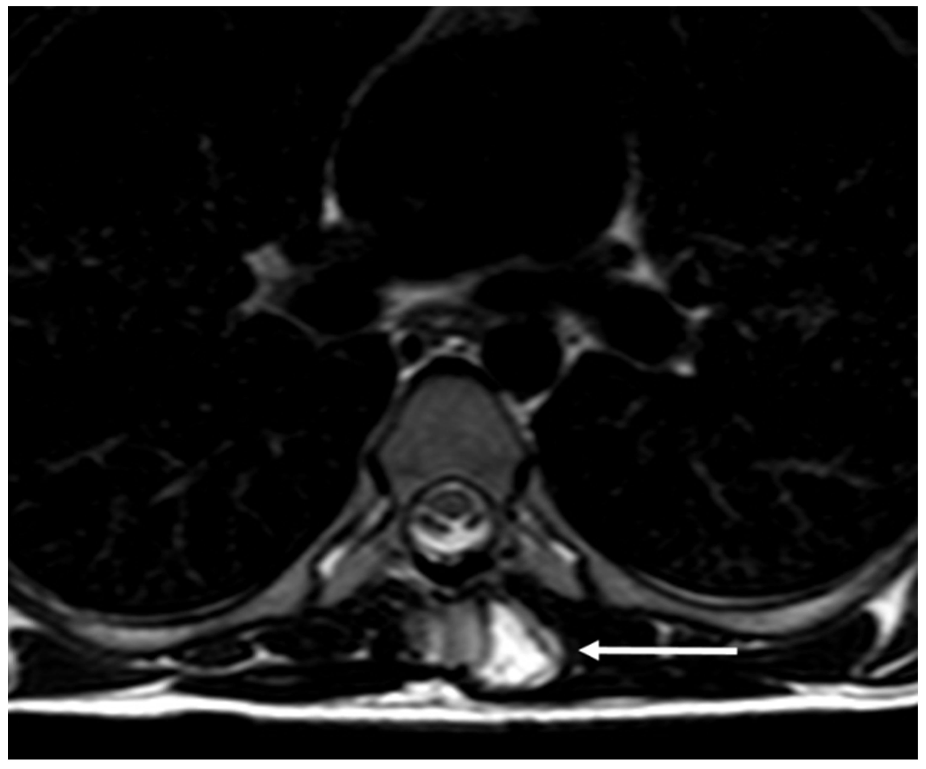
3.5. Osteochondroma
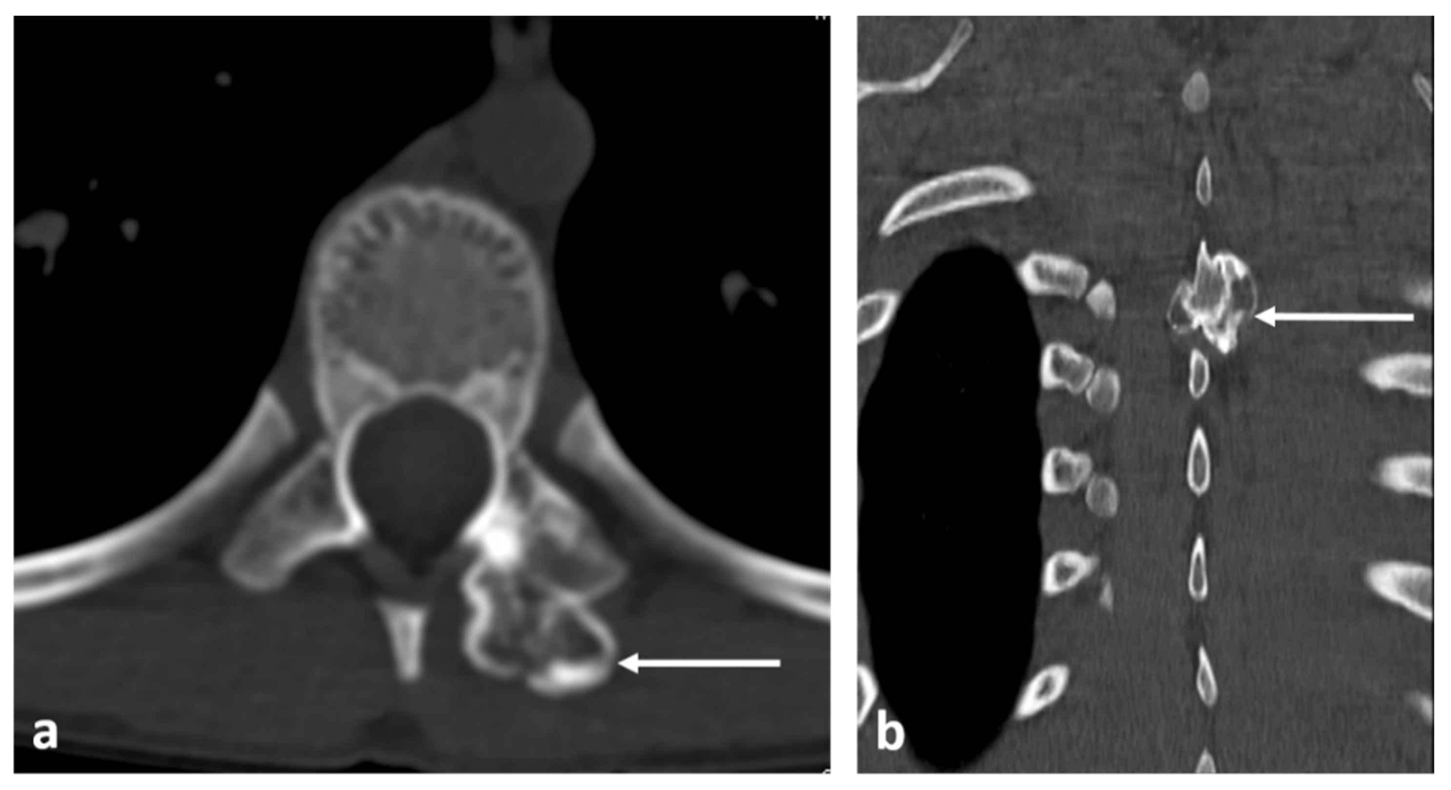
3.6. Chondroblastoma
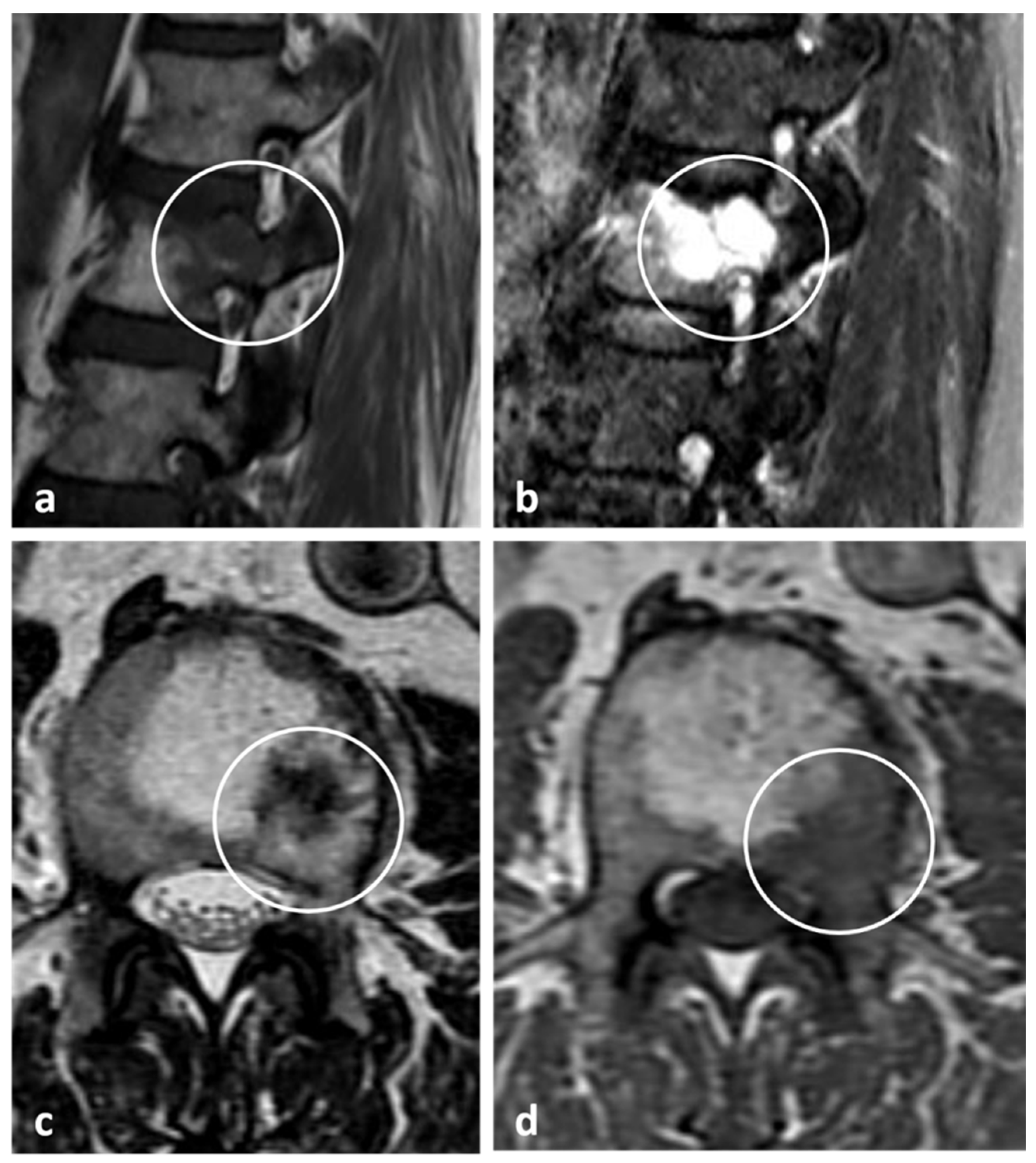
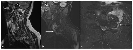
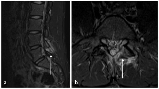
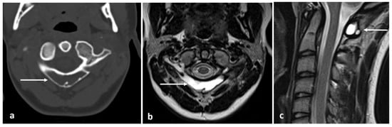
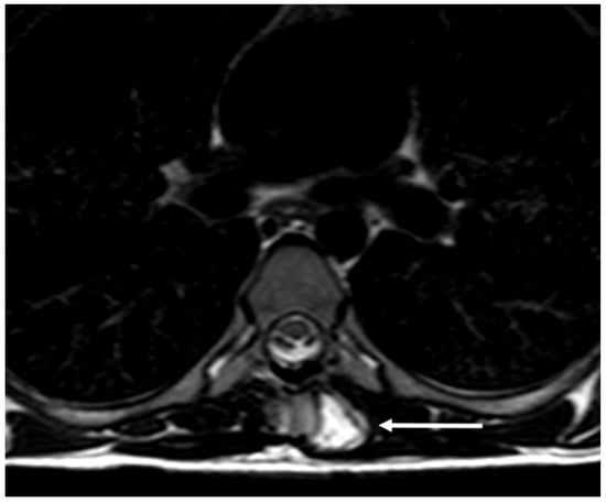
3.7. Haemangioma
3.8. Simple Bone Cyst
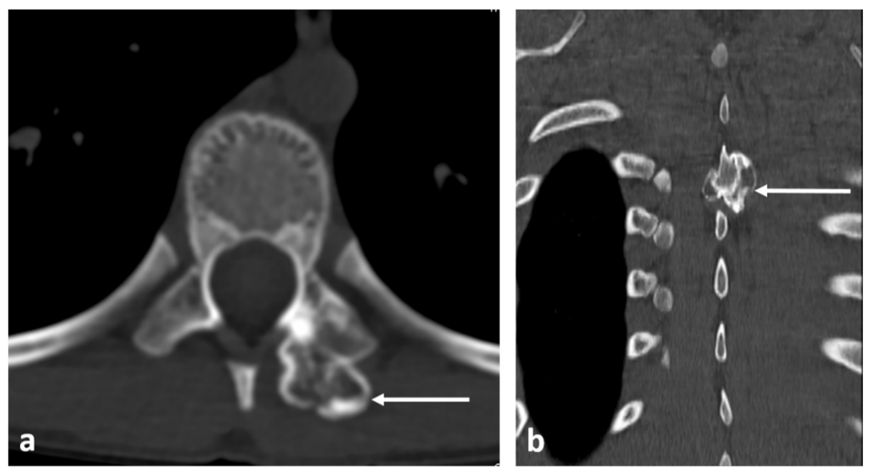
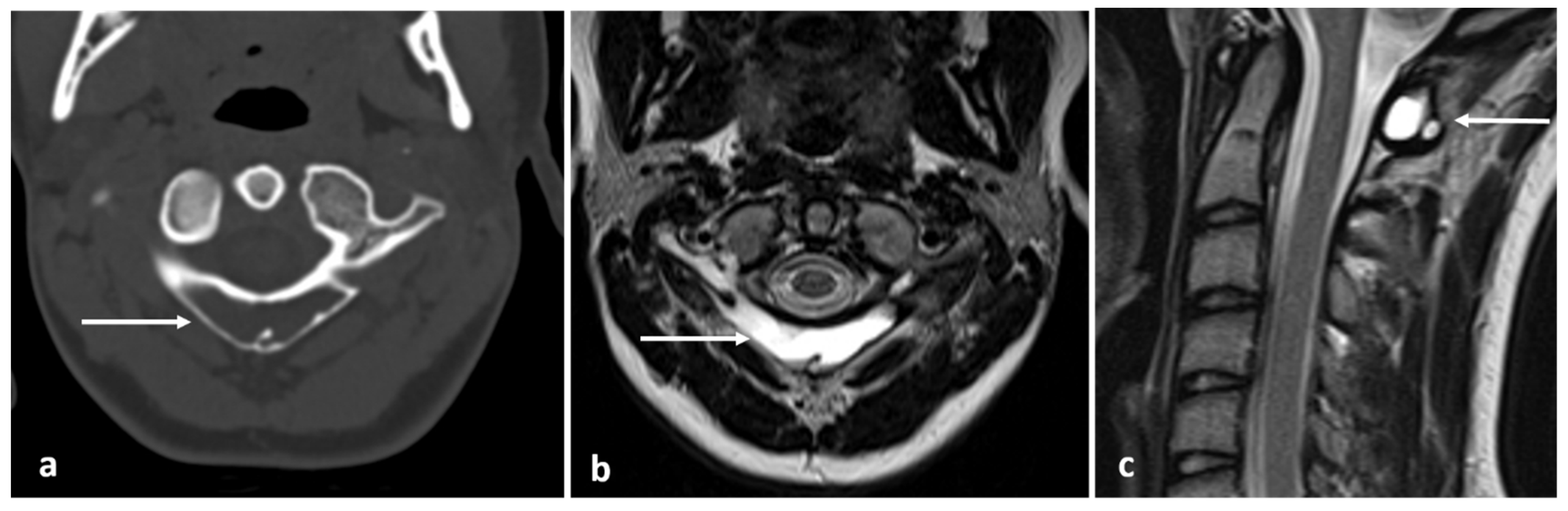
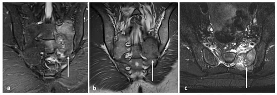
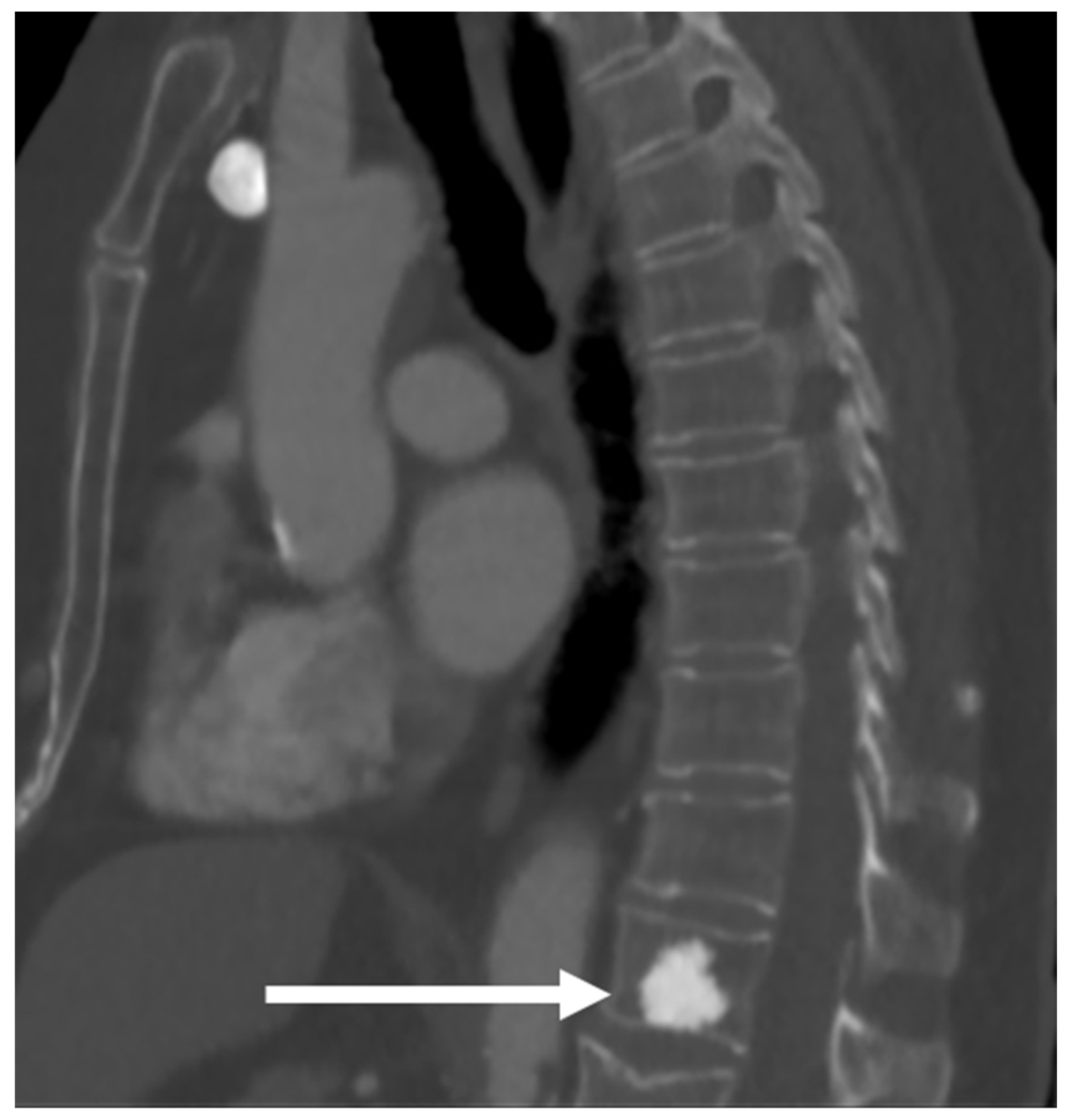
3.9. Aneurysmal Bone Cyst
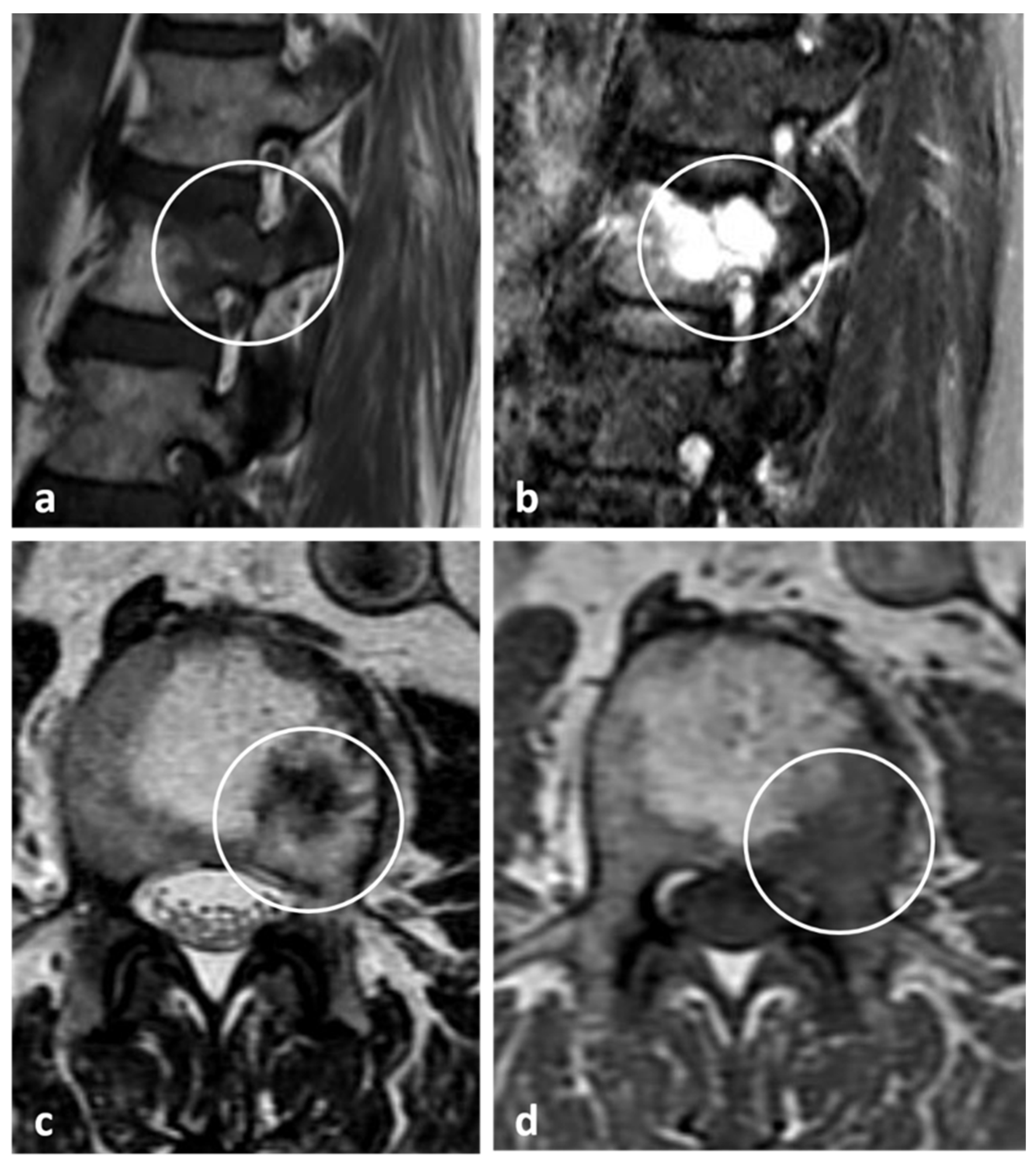
3.10. Notochordal Tumours
3.11. Giant Cell Tumour (Benign Variant)
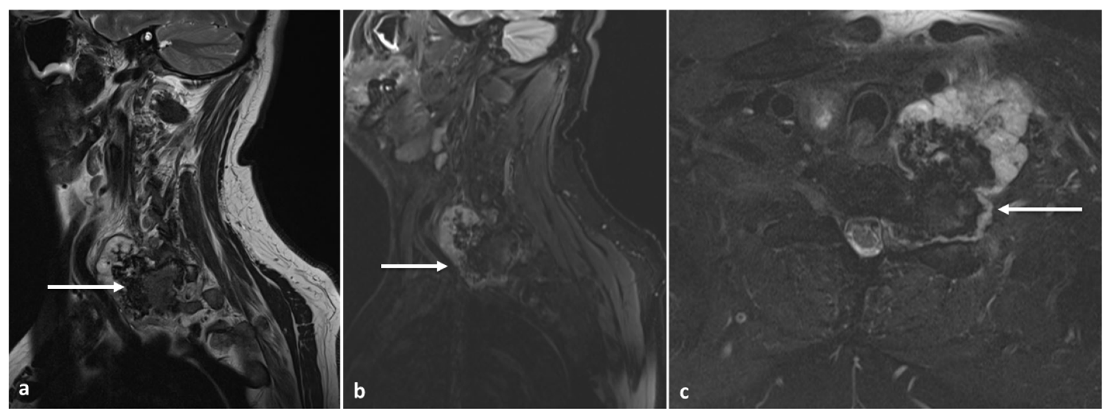
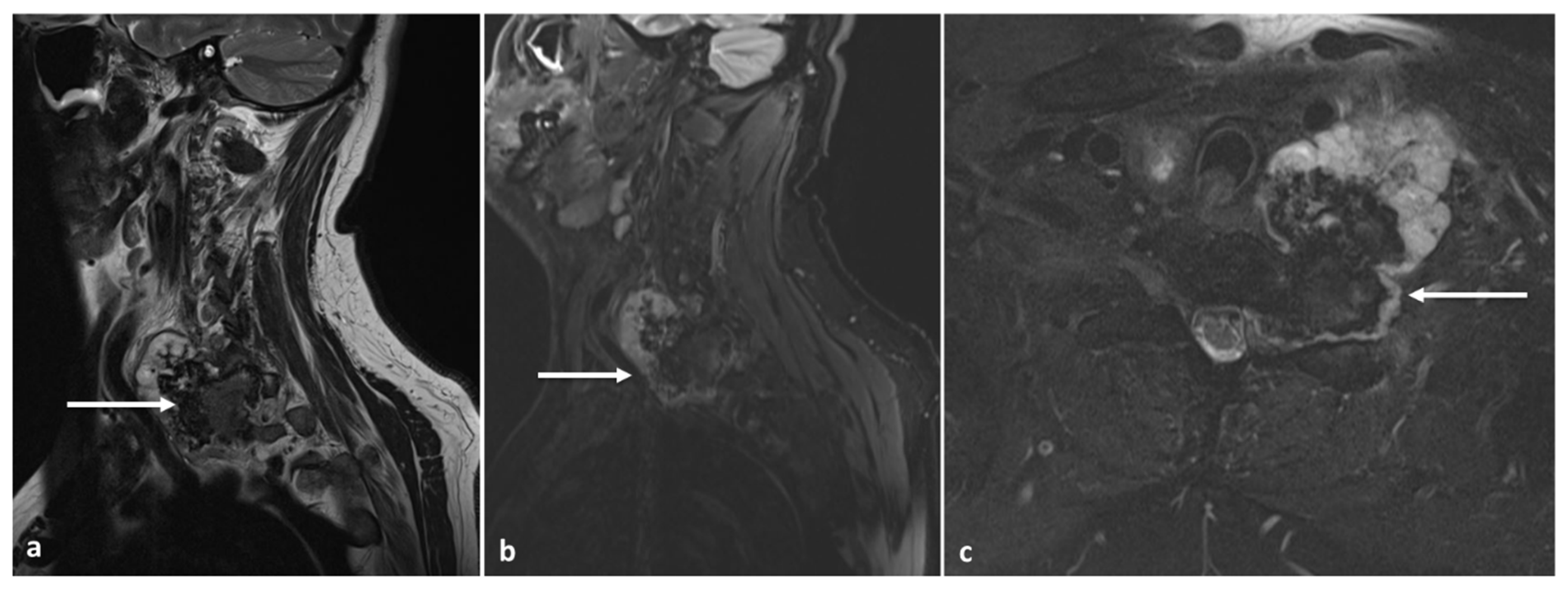
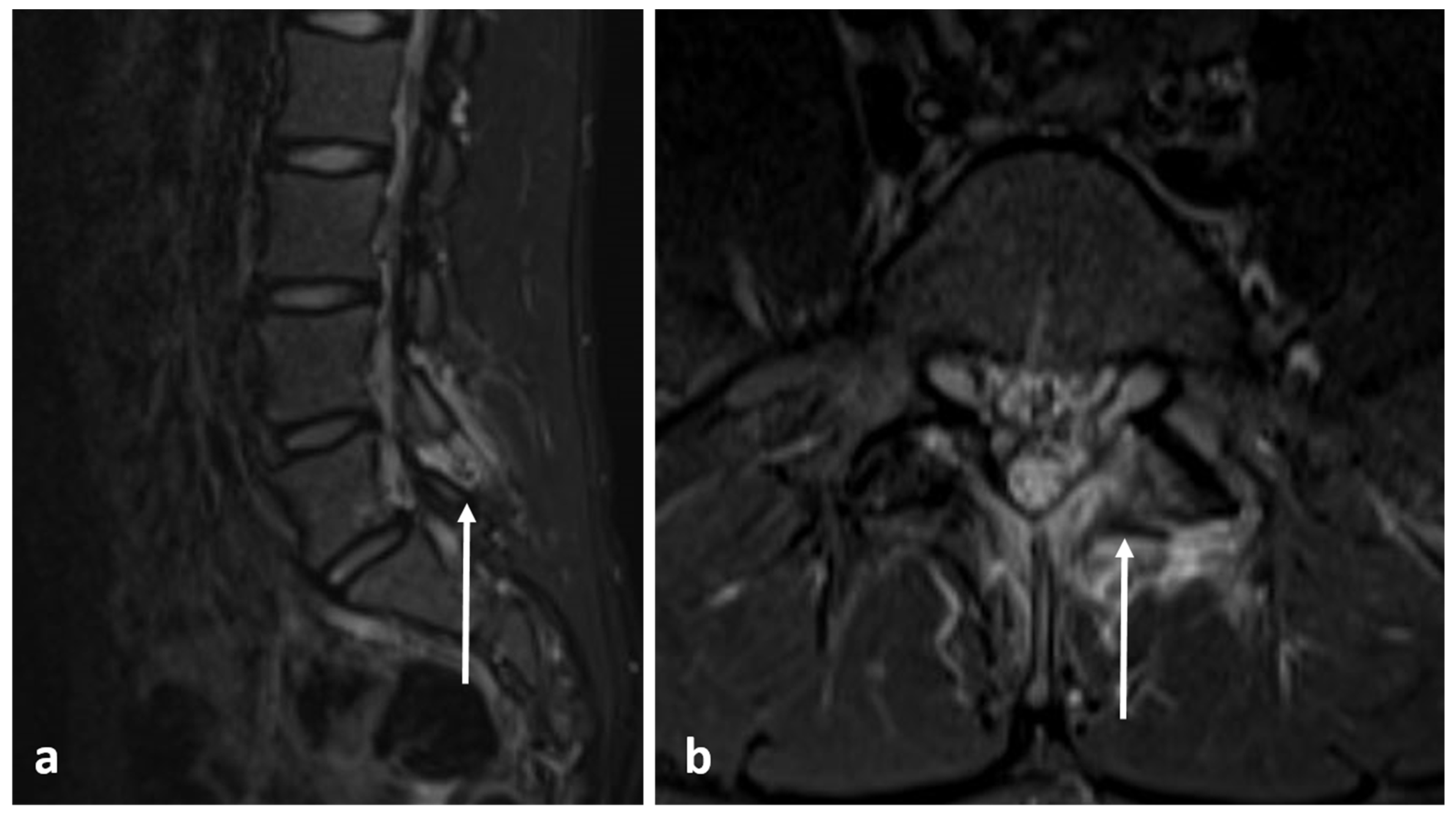
3.12. Eosinophilic Granuloma
4. Conclusions
Author Contributions
Funding
Institutional Review Board Statement
Informed Consent Statement
Data Availability Statement
Conflicts of Interest
References
- Ciftdemir, M.; Kaya, M.; Selcuk, E.; Yalniz, E. Tumors of the spine. World J. Orthop. 2016, 7, 109–116. [Google Scholar] [CrossRef] [PubMed]
- Murphey, M.D.; Andrews, C.L.; Flemming, D.J.; Temple, H.T.; Smith, W.S.; Smirniotopoulos, J.G. From the archives of the AFIP. Primary tumors of the spine: Radiologic pathologic correlation. Radiographics 1996, 16, 1131–1158. [Google Scholar] [CrossRef] [PubMed]
- Saifuddin, A.; Tyler, P.; Hargunani, R. Musculoskeletal MRI, 2nd ed.; CRC Press: Boca Raton, FL, USA, 2016. [Google Scholar]
- Kelley, S.P.; Ashford, R.U.; Rao, A.S.; Dickson, R.A. Primary bone tumours of the spine: A 42-year survey from the Leeds Regional Bone Tumour Registry. Eur. Spine J. 2007, 16, 405–409. [Google Scholar] [CrossRef] [PubMed]
- Benli, I.T.; Akalin, S.; Boysan, E.; Mumcu, E.F.; Kiş, M.; Türkoğlu, D. Epidemiological, clinical and radiological aspects of osteopoikilosis. J. Bone Jt. Surg. Br. 1992, 74, 504–506. [Google Scholar] [CrossRef] [PubMed]
- Ulano, A.; Bredella, M.A.; Burke, P.; Chebib, I.; Simeone, F.J.; Huang, A.J.; Torriani, M.; Chang, C.Y. Distinguishing Untreated Osteoblastic Metastases From Enostoses Using CT Attenuation Measurements. Am. J. Roentgenol. 2016, 207, 362–368. [Google Scholar] [CrossRef]
- Mallepally, A.R.; Mahajan, R.; Pacha, S.; Rustagi, T.; Marathe, N.; Chhabra, H.S. Spinal osteoid osteoma: Surgical resection and review of literature. Surg. Neurol. Int. 2020, 11, 308. [Google Scholar] [CrossRef]
- Zhang, H.; Niu, X.; Wang, B.; He, S.; Hao, D. Scoliosis secondary to lumbar osteoid osteoma: A case report of delayed diagnosis and literature review. Medicine 2016, 95, e5362. [Google Scholar] [CrossRef]
- De Filippo, M.; Russo, U.; Papapietro, V.R.; Ceccarelli, F.; Pogliacomi, F.; Vaienti, E.; Piccolo, C.; Capasso, R.; Sica, A.; Cioce, F.; et al. Radiofrequency ablation of osteoid osteoma. Acta Biomed. 2018, 89, 175–185. [Google Scholar] [CrossRef]
- Vidoni, A.; Grainger, M.; James, S. Experience of neuroprotective air injection during radiofrequency ablation (RFA) of spinal osteoid osteoma. Eur. Radiol. 2018, 28, 4146–4150. [Google Scholar] [CrossRef]
- Galgano, M.A.; Goulart, C.R.; Iwenofu, H.; Chin, L.S.; Lavelle, W.; Mendel, E. Osteoblastomas of the spine: A comprehensive review. Neurosurg. Focus 2016, 41, E4. [Google Scholar] [CrossRef]
- Bush, L.A.; Gayle, R.B.; Berkey, B.D. Multicentric Osteoid Osteoma Presenting a Diagnostic Dilemma. Radiol. Case Rep. 2008, 3, 217–225. [Google Scholar] [CrossRef] [PubMed]
- Atesok, K.I.; Alman, B.A.; Schemitsch, E.H.; Peyser, A.; Mankin, H. Osteoid osteoma and osteoblastoma. J. Am. Acad Orthop. Surg. 2011, 19, 678–689. [Google Scholar] [CrossRef] [PubMed]
- Joyce, K.M.; O′HEireamhoin, S.; Sheng, M.T.; Devitt, A. Fibrous Dysplasia of the Spine—A Case Involving Three Levels of Thoracic Spine. J. Orthop. Case Rep. 2014, 4, 73–77. [Google Scholar]
- Park, S.K.; Lee, I.S.; Choi, J.Y.; Cho, K.H.; Suh, K.J.; Lee, J.W.; Song, J.W. CT and MRI of fibrous dysplasia of the spine. Br. J. Radiol. 2012, 85, 996–1001. [Google Scholar] [CrossRef] [PubMed]
- Woertler, K.; Lindner, N.; Gosheger, G.; Brinkschmidt, C.; Heindel, W. Osteochondroma: MR imaging of tumor-related complications. Eur. Radiol. 2000, 10, 832–840. [Google Scholar] [CrossRef] [PubMed]
- Albrecht, S.; Crutchfield, J.S.; SeGall, G.K. On spinal osteochondromas. J. Neurosurg. 1992, 77, 247–252. [Google Scholar] [CrossRef]
- Rajakulasingam, R.; Murphy, J.; Botchu, R.; James, S.L. Osteochondromas of the cervical spine-case series and review. J. Clin. Orthop. Trauma. 2020, 11, 905–909. [Google Scholar] [CrossRef]
- Lee, R.K.; Griffith, J.F.; Tong, M.M.; Sharma, N.; Yung, P. Glenoid bone loss: Assessment with MR imaging. Radiology 2013, 267, 496–502. [Google Scholar] [CrossRef]
- Tepelenis, K.; Papathanakos, G.; Kitsouli, A.; Troupis, T.; Barbouti, A.; Vlachos, K.; Kanavaros, P.; Kitsoulis, P. Osteochondromas: An Updated Review of Epidemiology, Pathogenesis, Clinical Presentation, Radiological Features and Treatment Options. In Vivo 2021, 35, 681–691. [Google Scholar] [CrossRef]
- Akhaddar, A.; Zyani, M.; Rharrassi, I. Multiple Hereditary Exostoses with Tetraparesis Due To Cervical Spine Osteochondroma. World Neurosurg. 2018, 116, 247–248. [Google Scholar] [CrossRef]
- Altaf, F.; Movlik, H.; Brew, S.; Rezajooi, K.; Casey, A. Osteochondroma of C1 causing vertebral artery occlusion. Br. J. Neurosurg. 2013, 27, 130–131. [Google Scholar] [CrossRef] [PubMed]
- Garg, B.; Batra, S.; Dixit, V. Solitary anterior osteochondroma of cervical spine: An unusual cause of dysphagia and review of literature. J. Clin. Orthop. Trauma 2018, 9, S5–S7. [Google Scholar] [CrossRef] [PubMed]
- Wang, V.; Chou, D. Anterior C1-2 osteochondroma presenting with dysphagia and sleep apnea. J. Clin. Neurosci. 2009, 16, 581–582. [Google Scholar] [CrossRef] [PubMed]
- Jackson, T.J.; Shah, A.S.; Arkader, A. Is Routine Spine MRI Necessary in Skeletally Immature Patients With MHE? Identifying Patients at Risk for Spinal Osteochondromas. J. Pediatr. Orthop. 2019, 39, e147–e152. [Google Scholar] [CrossRef] [PubMed]
- Bernard, S.A.; Murphey, M.D.; Flemming, D.J.; Kransdorf, M.J. Improved differentiation of benign osteochondromas from secondary chondrosarcomas with standardized measurement of cartilage cap at CT and MR imaging. Radiology 2010, 255, 857–865. [Google Scholar] [CrossRef] [PubMed]
- Geirnaerdt, M.J.; Bloem, J.L.; Eulderink, F.; Hogendoorn, P.C.; Taminiau, A.H. Cartilaginous tumors: Correlation of gadolinium-enhanced MR imaging and histopathologic findings. Radiology 1993, 186, 813–817. [Google Scholar] [CrossRef]
- Geirnaerdt, M.J.; Hogendoorn, P.C.; Bloem, J.L.; Taminiau, A.H.; van der Woude, H.J. Cartilaginous tumors: Fast contrast-enhanced MR imaging. Radiology 2000, 214, 539–546. [Google Scholar] [CrossRef]
- Ilaslan, H.; Sundaram, M.; Unni, K.K. Vertebral chondroblastoma. Skelet. Radiol. 2003, 32, 66–71. [Google Scholar] [CrossRef]
- Venkatasamy, A.; Chenard, M.P.; Massard, G.; Steib, J.P.; Bierry, G. Chondroblastoma of the thoracic spine: A rare location. Case report with radiologic-pathologic correlation. Skelet. Radiol. 2017, 46, 367–372. [Google Scholar] [CrossRef]
- Nishida, J.; Kato, S.; Murakami, H.; Ehara, S.; Satoh, T.; Okada, K.; Shimamura, T. Tetraparesis caused by chondroblastoma of the cervical spine: A case report. Spine 2003, 28, E173–E178. [Google Scholar] [CrossRef]
- Vialle, R.; Feydy, A.; Rillardon, L.; Tohme-Noun, C.; Anract, P.; Colombat, M.; De Pinieux, G.; Drapé, J.L.; Guigui, P. Chondroblastoma of the lumbar spine. Report of two cases and review of the literature. J. Neurosurg. Spine 2005, 2, 596–600. [Google Scholar] [CrossRef] [PubMed]
- Tafti, D.; Cecava, N. Spinal Hemangioma; StatPearls Publishing: Treasure Island, FL, USA, 2022. [Google Scholar]
- Patnaik, S.; Jyotsnarani, Y.; Uppin, S.G.; Susarla, R. Imaging features of primary tumors of the spine: A pictorial essay. Indian J. Radiol. Imaging 2016, 26, 279–289. [Google Scholar] [CrossRef] [PubMed]
- Patel, A.; James, S.L.; Davies, A.M.; Botchu, R. Spinal imaging update: An introduction to techniques for advanced MRI. Bone Jt. J. 2015, 97, 1683–1692. [Google Scholar] [CrossRef] [PubMed]
- Hegde, G.; Azzopardi, C.; Davies, A.M.; Patel, A.; James, S.L.; Botchu, R. Spinal collision lesions. J. Clin. Orthop. Trauma 2021, 19, 21–25. [Google Scholar] [CrossRef]
- Cloran, F.J.; Pukenas, B.A.; Loevner, L.A.; Aquino, C.; Schuster, J.; Mohan, S. Aggressive spinal haemangiomas: Imaging correlates to clinical presentation with analysis of treatment algorithm and clinical outcomes. Br. J. Radiol. 2015, 88, 20140771. [Google Scholar] [CrossRef]
- Boude, A.B.; Vásquez, L.G.; Alvarado-Gomez, F.; Bedoya, M.C.; Rodríguez-Múnera, A.; Morales-Saenz, L.C. A Simple Bone Cyst in Cervical Vertebrae of an Adolescent Patient. Case Rep. Orthop. 2017, 2017, 8908216. [Google Scholar] [CrossRef]
- Noordin, S.; Allana, S.; Umer, M.; Jamil, M.; Hilal, K.; Uddin, N. Unicameral bone cysts: Current concepts. Ann. Med. Surg. 2018, 34, 43–49. [Google Scholar] [CrossRef]
- Zileli, M.; Isik, H.S.; Ogut, F.E.; Is, M.; Cagli, S.; Calli, C. Aneurysmal bone cysts of the spine. Eur. Spine J. 2013, 22, 593–601. [Google Scholar] [CrossRef]
- Oliveira, A.M.; Chou, M.M. USP6-induced neoplasms: The biologic spectrum of aneurysmal bone cyst and nodular fasciitis. Hum. Pathol. 2014, 45, 1–11. [Google Scholar] [CrossRef]
- Murphey, M.D.; Walker, E.A.; Wilson, A.J.; Kransdorf, M.J.; Temple, H.T.; Gannon, F.H. From the archives of the AFIP: Imaging of primary chondrosarcoma: Radiologic-pathologic correlation. Radiographics 2003, 23, 1245–1278. [Google Scholar] [CrossRef]
- Girolami, M.; Caravelli, S.; Persiani, V.; Ghermandi, R.; Gasbarrini, A. Do multiple fluid-fluid levels on MRI always reveal primary benign aneurysmal bone cyst? J. Neurosurg. Sci. 2018, 62, 234–236. [Google Scholar] [CrossRef] [PubMed]
- Suzuki, M.; Satoh, T.; Nishida, J.; Kato, S.; Toba, T.; Honda, T.; Masuda, T. Solid variant of aneurysmal bone cyst of the cervical spine. Spine 2004, 29, E376–E381. [Google Scholar] [CrossRef] [PubMed]
- Chan, M.S.; Wong, Y.C.; Yuen, M.K.; Lam, D. Spinal aneurysmal bone cyst causing acute cord compression without vertebral collapse: CT and MRI findings. Pediatr. Radiol. 2002, 32, 601–604. [Google Scholar] [CrossRef] [PubMed]
- Mankin, H.J.; Hornicek, F.J.; Ortiz-Cruz, E.; Villafuerte, J.; Gebhardt, M.C. Aneurysmal bone cyst: A review of 150 patients. J. Clin. Oncol. 2005, 23, 6756–6762. [Google Scholar] [CrossRef] [PubMed]
- Amendola, L.; Simonetti, L.; Simoes, C.E.; Bandiera, S.; De Iure, F.; Boriani, S. Aneurysmal bone cyst of the mobile spine: The therapeutic role of embolization. Eur. Spine J. 2013, 22, 533–541. [Google Scholar] [CrossRef] [PubMed]
- Meyer, S.; Reinhard, H.; Graf, N.; Kramann, B.; Schneider, G. Arterial embolization of a secondary aneurysmatic bone cyst of the thoracic spine prior to surgical excision in a 15-year-old girl. Eur. J. Radiol. 2002, 43, 79–81. [Google Scholar] [CrossRef]
- Kumar, D.; Kumar, S.; Kumar, D.; Patel, B.M.; Kumar, A.; Kumar, S.; Waliullah, S. Sclerotherapy for Aneurysmal Bone Cyst: A Single-Center Experience. Cureus 2021, 13, e18469. [Google Scholar] [CrossRef]
- Amer, H.Z.; Hameed, M. Intraosseous benign notochordal cell tumor. Arch. Pathol. Lab. Med. 2010, 134, 283–288. [Google Scholar] [CrossRef]
- Tateda, S.; Hashimoto, K.; Aizawa, T.; Kanno, H.; Hitachi, S.; Itoi, E.; Ozawa, H. Diagnosis of benign notochordal cell tumor of the spine: Is a biopsy necessary? Clin. Case Rep. 2018, 6, 63–67. [Google Scholar] [CrossRef]
- Kyriakos, M. Benign notochordal lesions of the axial skeleton: A review and current appraisal. Skelet. Radiol. 2011, 40, 1141–1152. [Google Scholar] [CrossRef]
- Bhojraj, S.Y.; Nene, A.; Mohite, S.; Varma, R. Giant cell tumor of the spine: A review of 9 surgical interventions in 6 cases. Indian J. Orthop. 2007, 41, 146–150. [Google Scholar] [CrossRef] [PubMed]
- Murphey, M.; Nomikos, G.; Flemming, D.; Gannon, F.; Temple, T.; Kransdorf, M. Imaging of Giant Cell Tumor and Giant Cell Reparative Granuloma of Bone: Radiologic-Pathologic Correlation. RadioGraphics 2001, 21, 1283–1309. [Google Scholar] [CrossRef] [PubMed]
- Bansal, A.G.; Oudsema, R.; Masseaux, J.A.; Rosenberg, H.K. US of Pediatric Superficial Masses of the Head and Neck. Radiographics 2018, 38, 1239–1263. [Google Scholar] [CrossRef] [PubMed]
- Pizzo, P.; Poplack, D. Principles and Practice of Pediatric Oncology; Lippincott Williams & Wilkins: Philadelphia, PA, USA, 2006. [Google Scholar]

























| Classification | Tumour |
|---|---|
| Osteogenic tumours | Osteoma (enostosis) |
| Osteoid osteoma | |
| Osteoblastoma | |
| Chondrogenic tumours | Osteochondroma |
| Chondroblastoma | |
| Vascular tumours | Haemangioma, including aggressive haemangioma |
| Osteoclastic giant cell-rich tumours | Aneurysmal bone cyst |
| Benign Giant cell tumour | |
| Notochordal tumours | Notochordal rest |
| Other mesenchymal tumours of bone | Simple bone cyst |
| Fibrous dysplasia | |
| Haematopoetic neoplasms | Eosinophilic granuloma |
| Type of Tumour | CT Features | MRI Features |
|---|---|---|
| Osteoma | Dense sclerotic lesion. Hounsfield density >885 a helpful indicator but not definitive. | T1 and T2, STIR hypointense due to sclerosis. |
| Osteoid osteoma | Lucent nidus, usually 2–10 mm. May be surrounded by sclerotic rim. | Surrounding marrow oedema on fluid sensitive sequences (best seen on STIR). Nidus can be occult on MRI. |
| Osteoblastoma | Expansile lucent lesion. Sclerotic rim. Bone destruction. Variable intralesional ossification. | Low to intermediate T1 signal and intermediate to high T2 signal. Surrounding soft tissue oedema, extra osseous soft tissue component. |
| Fibrous dysplasia | Ground glass matrix. Cystic areas can appear lytic. | Low on T1 and intermediate to high on T2. Cystic areas are hyperintense on T2 and STIR. |
| Osteochondroma | Lesion continuity with cortex and medulla. | Cartilage cap |
| Chondroblastoma | Osteolytic lesion. Variable intralesional calcification (chondroid matrix) | Extraosseous soft tissue component |
| Haemangioma | Honey comb appearance. ‘Corduroy’ and ‘polka dot’ signs. | Usually T1 and T2 hyperintense due to fat content. Signal drop out >20% on out of phase chemical shift imaging. |
| Simple bone cyst | Well defined lucent rim with narrow zone of transition. | Fluid signal lesion. May have some internal haemorrhage (high T1 signal). |
| Aneurysmal bone cyst | Expansile lytic lesion with internal bone septations. | Fluid—fluid levels within the cysts, high T1 signal within layering fluid content due to haemorrhage. |
| Benign notochordal tumour | Midline lesion in the body. Sclerosis or trabecular thickening typically, but lysis can be present. | Low T1 and high T2 signal. No enhancement. |
| Giant cell tumour | Mixed cystic and solid expansile lesions, with thin peripheral bony shell. ‘Soap bubble’ appearance. | Secondary ABC change is common, with fluid—fluid levels. Intermediate to low signal intensity on both T1 and T2. Enhancing soft tissue component. |
| Eosinophilic granuloma | Lucent lytic lesion, with bone destruction. Vertebra plana. | Non-specific appearance, with low T1 and high T2 signal. Diffuse enhancement. |
Disclaimer/Publisher’s Note: The statements, opinions and data contained in all publications are solely those of the individual author(s) and contributor(s) and not of MDPI and/or the editor(s). MDPI and/or the editor(s) disclaim responsibility for any injury to people or property resulting from any ideas, methods, instructions or products referred to in the content. |
© 2023 by the authors. Licensee MDPI, Basel, Switzerland. This article is an open access article distributed under the terms and conditions of the Creative Commons Attribution (CC BY) license (https://creativecommons.org/licenses/by/4.0/).
Share and Cite
Ariyaratne, S.; Jenko, N.; Iyengar, K.P.; James, S.; Mehta, J.; Botchu, R. Primary Benign Neoplasms of the Spine. Diagnostics 2023, 13, 2006. https://doi.org/10.3390/diagnostics13122006
Ariyaratne S, Jenko N, Iyengar KP, James S, Mehta J, Botchu R. Primary Benign Neoplasms of the Spine. Diagnostics. 2023; 13(12):2006. https://doi.org/10.3390/diagnostics13122006
Chicago/Turabian StyleAriyaratne, Sisith, Nathan Jenko, Karthikeyan P. Iyengar, Steven James, Jwalant Mehta, and Rajesh Botchu. 2023. "Primary Benign Neoplasms of the Spine" Diagnostics 13, no. 12: 2006. https://doi.org/10.3390/diagnostics13122006
APA StyleAriyaratne, S., Jenko, N., Iyengar, K. P., James, S., Mehta, J., & Botchu, R. (2023). Primary Benign Neoplasms of the Spine. Diagnostics, 13(12), 2006. https://doi.org/10.3390/diagnostics13122006

