Sign in to use this feature.

Years

Between: -

Subjects

remove_circle_outline
remove_circle_outline
remove_circle_outline
remove_circle_outline
remove_circle_outline

Journals

Article Types

Countries / Regions

Search Results (15)

Search Parameters:
Keywords = simple bone cyst

Order results
Result details
Results per page
Select all
Export citation of selected articles as:
23 pages, 8912 KB  
Article
Surgically Treated Benign Bone Tumors and Tumor-like Conditions in the Pediatric Population—A 10-Year Institutional Experience
by Horea Gozar, Zoltán Derzsi, Evelyn Kovács, Zsolt Bara, Emőke Horváth and Tibor Mezei
Children 2025, 12(12), 1715; https://doi.org/10.3390/children12121715 - 18 Dec 2025
Viewed by 407
Abstract
Background/Objectives: Benign bone tumors and tumor-like conditions are commonly encountered in the pediatric population, often discovered incidentally during radiographic evaluation or presenting with symptoms such as pain, swelling, or pathologic fractures. Despite their benign nature, these lesions can significantly impact bone integrity [...] Read more.
Background/Objectives: Benign bone tumors and tumor-like conditions are commonly encountered in the pediatric population, often discovered incidentally during radiographic evaluation or presenting with symptoms such as pain, swelling, or pathologic fractures. Despite their benign nature, these lesions can significantly impact bone integrity and function. The objective of this study was to characterize the epidemiology, histopathological spectrum and management of benign bone tumors in a pediatric population. Methods: We conducted a retrospective observational single-center study of pediatric patients diagnosed with benign bone tumors or tumor-like lesions between 2013 and 2023. Clinical presentations, radiological findings, histopathological diagnoses, and treatment modalities were reviewed. Biopsy results and surgical indications were analyzed to assess diagnostic yield and therapeutic strategies. Results: Among the 253 biopsies performed, 220 cases (86.6%) were diagnosed as benign tumors, with osteochondromas being the most common (62.3%). The majority of cases involved the appendicular skeleton, with a male predominance. Simple bone cysts, aneurysmal bone cysts, and nonossifying fibromas were also frequently observed. Pathological fractures were documented in 5.45% of cases. Surgical intervention was indicated in patients with symptomatic lesions, pathological fractures, or radiological signs of structural instability. Conclusions: Benign bone tumors and tumor-like lesions in pediatric patients, although non-malignant, may lead to significant skeletal complications. Our findings highlight the importance of structured diagnostic evaluation and individualized treatment planning based on lesion type, location and clinical presentation. Early radiological assessment combined with histopathological confirmation plays a key role in preventing complications and optimizing outcomes. A multidisciplinary approach remains essential in the comprehensive management of these conditions. Full article
(This article belongs to the Section Pediatric Surgery)
Show Figures

Figure 1

8 pages, 2518 KB  
Interesting Images
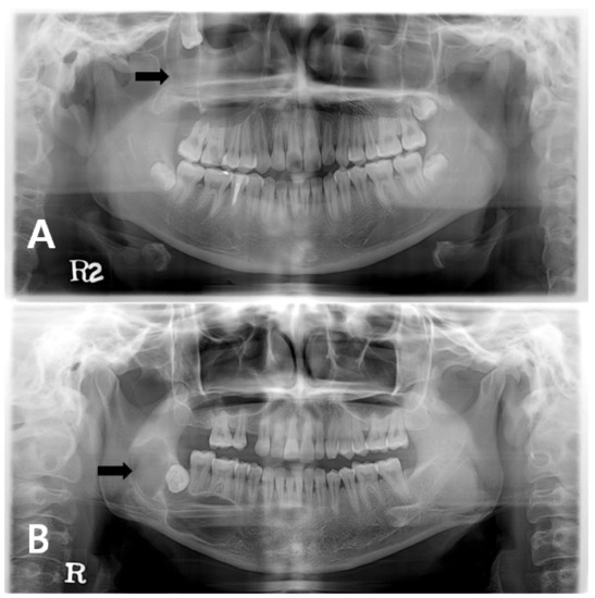
Radiological and Surgery Considerations and Alternatives in Total Temporomandibular Joint Replacement in Gorlin-Goltz Syndrome
by Kamil Nelke, Klaudiusz Łuczak, Maciej Janeczek, Agata Małyszek, Piotr Kuropka and Maciej Dobrzyński
Diagnostics 2025, 15(9), 1158; https://doi.org/10.3390/diagnostics15091158 - 2 May 2025
Viewed by 1212
Abstract
Gorlin-Goltz syndrome (GGS) is also known as Nevoid basal cell carcinoma syndrome (NBCCS). In the most common manifestation, GGS is diagnosed based on multiple cysts in the jaw bones, namely OKCs (odontogenic keratocysts). Other features might include major and minor clinical and radiological [...] Read more.
Gorlin-Goltz syndrome (GGS) is also known as Nevoid basal cell carcinoma syndrome (NBCCS). In the most common manifestation, GGS is diagnosed based on multiple cysts in the jaw bones, namely OKCs (odontogenic keratocysts). Other features might include major and minor clinical and radiological criteria to confirm this syndrome. Quite commonly, BCCs (basal cell carcinomas), bifid ribs, palmar and plantar pits, and ectopic calcification of the falx cerebri can be found in the majority of patients. Currently, the mutation of the PTCH1 gene seems to be responsible for GGS occurrence, while the male-to-female ratio is 1:1. The following radiological study based on OPGs and CBCT confirmed multiple cystic lesions in jaw bones, confirmed to be OKCs in the histopathological evaluation with an occurrence of numerous skin BCC lesions. In cases of most oral OKC cystic lesions, either surgical removal, curettage, or enucleation with or without any bone grafting can be used with a good amount of success. Rarely, some stable bone osteosynthesis procedures have to be carried out to avoid pathological bone fractures after cyst removal. A special consideration should include the temporomandibular joint. TMJ surgery and the replacement of the joint with an alloplastic material can be performed to improve biting, chewing, proper mouth opening, and maintain good patient occlusion. The authors want to present how effective and simple a standard dental panoramic radiograph combined with CBCT is and how it is suitable for GGS detection. They also want to underline how a standard TMJ prosthesis can be used as an alternative to a custom-made prosthesis. Full article
(This article belongs to the Collection Interesting Images)
Show Figures

Figure 1

9 pages, 2483 KB  
Article
Pediatric Cranial Vault Lesions: A Tailored Approach According to Bony Involvement
by Arianna Barbotti, Ignazio G. Vetrano, Cecilia Casali, Tommaso F. Galbiati, Sabrina Mariani, Edoardo Porto, Alessandra Erbetta, Stefano Chiaravalli and Laura G. Valentini
Children 2024, 11(11), 1377; https://doi.org/10.3390/children11111377 - 13 Nov 2024
Cited by 1 | Viewed by 1610
Abstract
Background: Cranial vault lesions are common in children, with dermoid and epidermoid cysts being the most frequent. Management is debated due to their slow growth, but early resection can prevent complications and provide a definitive histological diagnosis, which is sometimes linked to systemic [...] Read more.
Background: Cranial vault lesions are common in children, with dermoid and epidermoid cysts being the most frequent. Management is debated due to their slow growth, but early resection can prevent complications and provide a definitive histological diagnosis, which is sometimes linked to systemic diseases. Methods: A retrospective study of children treated surgically for cranial vault tumors from January 2011 to April 2023 was conducted. The data collected included age, gender, symptoms, comorbidities, lesion location, radiological features, surgical techniques, histopathology, and recurrence rates. Results: Eighty-eight children (mean age: 3.5 years, mean tumor size: 1.21 cm) underwent surgery. The most common locations were the frontal and occipital bones. The main diagnoses were dermoid cysts, myofibroma, and Langerhans cell histiocytosis. Gross total resection was achieved in 64 cases with simple skin incisions. In 13 cases, small cranioplasties with bone cement were used. Craniotomy and cranioplasty with autologous bone grafting were performed for 11 patients with lesions larger than 2 cm and full skull thickness erosion. Conclusions: Early resection is recommended for complete removal with minimally invasive surgery and to ensure histological diagnosis. For lesions larger than 2 cm with full skull erosion, cranioplasty with autologous bone is the preferred technique. Full article
(This article belongs to the Section Pediatric Surgery)
Show Figures

Figure 1

12 pages, 2981 KB  
Article
Differential Diagnosis of OKC and SBC on Panoramic Radiographs: Leveraging Deep Learning Algorithms
by Su-Yi Sim, JaeJoon Hwang, Jihye Ryu, Hyeonjin Kim, Eun-Jung Kim and Jae-Yeol Lee
Diagnostics 2024, 14(11), 1144; https://doi.org/10.3390/diagnostics14111144 - 30 May 2024
Cited by 3 | Viewed by 2266
Abstract
This study aims to determine whether it can distinguish odontogenic keratocyst (OKC) and simple bone cyst (SBC) based solely on preoperative panoramic radiographs through a deep learning algorithm. (1) Methods: We conducted a retrospective analysis of patient data from January 2018 to December [...] Read more.
This study aims to determine whether it can distinguish odontogenic keratocyst (OKC) and simple bone cyst (SBC) based solely on preoperative panoramic radiographs through a deep learning algorithm. (1) Methods: We conducted a retrospective analysis of patient data from January 2018 to December 2022 at Pusan National University Dental Hospital. This study included 63 cases of OKC confirmed by histological examination after surgical excision and 125 cases of SBC that underwent surgical curettage. All panoramic radiographs were obtained utilizing the Proline XC system (Planmeca Co., Helsinki, Finland), which already had diagnostic data on them. The panoramic images were cut into 299 × 299 cropped sizes and divided into 80% training and 20% validation data sets for 5-fold cross-validation. Inception-ResNet-V2 system was adopted to train for OKC and SBC discrimination. (2) Results: The classification network for diagnostic performance evaluation achieved 0.829 accuracy, 0.800 precision, 0.615 recall, and a 0.695 F1 score. (4) Conclusions: The deep learning algorithm demonstrated notable accuracy in distinguishing OKC from SBC, facilitated by CAM visualization. This progress is expected to become an essential resource for clinicians, improving diagnostic and treatment outcomes. Full article
(This article belongs to the Special Issue Deep Learning in Medical Image Segmentation and Diagnosis)
Show Figures

Figure 1

12 pages, 5274 KB  
Article
Imaging Characteristics of Embedded Tooth-Associated Cemento-Osseous Dysplasia by Retrospective Study
by Shun Nishimura, Masafumi Oda, Manabu Habu, Osamu Takahashi, Hiroki Tsurushima, Taishi Otani, Daigo Yoshiga, Nao Wakasugi-Sato, Shinobu Matsumoto-Takeda, Susumu Nishina, Shinji Yoshii, Masaaki Sasaguri, Izumi Yoshioka and Yasuhiro Morimoto
Tomography 2024, 10(2), 231-242; https://doi.org/10.3390/tomography10020018 - 8 Feb 2024
Cited by 2 | Viewed by 2531
Abstract
Background: Since there are many differential diagnoses for cemento-osseous dysplasia (COD), it is very difficult for dentists to avoid misdiagnosis. In particular, if COD is related to an embedded tooth, differential diagnosis is difficult. However, there have been no reports on the characteristics [...] Read more.
Background: Since there are many differential diagnoses for cemento-osseous dysplasia (COD), it is very difficult for dentists to avoid misdiagnosis. In particular, if COD is related to an embedded tooth, differential diagnosis is difficult. However, there have been no reports on the characteristics of the imaging findings of COD associated with embedded teeth. The aim of the present study was to investigate the occurrence and imaging characteristics of cemento-osseous dysplasia (COD) associated with embedded teeth, in order to appropriately diagnose COD with embedded teeth. Methods: The radiographs with or without histological findings of 225 patients with COD were retrospectively analyzed. A retrospective search through the picture archiving and communication system (PACS) of the Division of Oral and Maxillofacial Radiology of Kyushu Dental University Hospital was performed to identify patients with COD between 2011 and 2022. Results: Fifteen COD-associated embedded mandibular third molars were identified in 13 patients. All 13 patients were asymptomatic. On imaging, COD associated with embedded mandibular third molars appeared as masses that included calcifications around the apex of the tooth. On panoramic tomography, COD showed inconspicuous internal calcification similar to that of odontogenic cysts or simple bone cysts, especially in patients with COD only around the mandibular third molar region. Those with prominent calcification resembled cemento-ossifying fibroma, calcifying epithelial odontogenic tumor, calcifying odontogenic cyst, adenomatoid odontogenic tumor, and so on, as categories of masses that include calcifications on panoramic tomography and computed tomography. Conclusions: The current investigation is the first to report and analyze the imaging characteristics of COD associated with embedded teeth. It is important to consider the differences between COD and other cystic lesions on panoramic tomography, and the differences between COD and masses that include calcifications on CT. Full article
Show Figures

Figure 1

13 pages, 1147 KB  
Article
Insights into the Distribution Patterns of Foot and Ankle Tumours: Update on the Perspective of a University Tumour Institute
by Christian Scheele, Andreas Toepfer, Simone Beischl, Dietmar Dammerer, Norbert Harrasser, Rüdiger von Eisenhart-Rothe and Florian Lenze
J. Clin. Med. 2024, 13(2), 350; https://doi.org/10.3390/jcm13020350 - 8 Jan 2024
Cited by 4 | Viewed by 3043
Abstract
The rarity of foot and ankle tumours, together with the numerous histological entities, presents a challenge in accumulating sufficient patients to draw reliable conclusions. Therefore, we decided to present an update of a retrospective analysis of their distribution patterns, comprising 536 cases of [...] Read more.
The rarity of foot and ankle tumours, together with the numerous histological entities, presents a challenge in accumulating sufficient patients to draw reliable conclusions. Therefore, we decided to present an update of a retrospective analysis of their distribution patterns, comprising 536 cases of foot and ankle tumours presented to our tumour board between June 1997 and June 2023. Our aim was to provide a comprehensive overview of the prevalence and distribution patterns of benign and malignant bone and soft tissue tumours of the foot and ankle. A total of 277 tumours involved bone (51.7%). Of these, 242 (87.4%) were benign and 35 (12.6%) were malignant. In addition, 259 soft tissue tumours (48.3%) were found, of which 191 (73.7%) were benign and 68 (26.3%) were malignant. The most common benign bone tumours were simple bone cysts, enchondromas, osteochondromas, aneurysmal bone cysts, and lipomas of bone. Common benign soft tissue tumours included a tenosynovial giant cell tumour, haemangioma, plantar fibromatosis, schwannoma, and lipoma. The most common malignant soft tissue tumours were synovial sarcoma, malignant melanoma, and myxofibrosarcoma. In terms of anatomical location, the hindfoot was the most common site (28.7%), followed by the midfoot (25.9%), ankle (25.4%), and forefoot (20.0%). The distribution of benign entities often follows typical patterns, which may facilitate an early diagnosis even without biopsy (e.g., simple bone cyst, plantar fibromatosis). On the other hand, the distribution patterns of many rare or malignant entities are inconsistent. Individual soft tissue malignancies occur very sporadically, even over long periods of time and in specialized tumour centres. It is therefore important to recognise that any suspicious mass in the foot and ankle must be considered a possible malignancy until proven otherwise. Full article
(This article belongs to the Special Issue Updates in the Orthopedic Management of Foot Disorders)
Show Figures

Figure 1

24 pages, 18038 KB  
Article
Allogenic Cancellous Bone versus Injectable Bone Substitute for Endoscopic Treatment of Simple Bone Cyst and Intraosseous Lipoma of the Calcaneus and Is Intraosseous Lipoma a Developmental Stage of a Simple Bone Cyst?
by Andreas Toepfer, Michael Strässle, Ulrich Lenze, Florian Lenze and Norbert Harrasser
J. Clin. Med. 2023, 12(13), 4272; https://doi.org/10.3390/jcm12134272 - 26 Jun 2023
Cited by 3 | Viewed by 3525
Abstract
Simple bone cysts (SBCs) and intraosseous lipoma (IOL) of the calcaneus are rare tumor entities that are primarily diagnosed due to unspecific heel pain, incidental findings, or rarely due to pathological fractures. Compared to traditional open tumor resections, endoscopic resection of these benign [...] Read more.
Simple bone cysts (SBCs) and intraosseous lipoma (IOL) of the calcaneus are rare tumor entities that are primarily diagnosed due to unspecific heel pain, incidental findings, or rarely due to pathological fractures. Compared to traditional open tumor resections, endoscopic resection of these benign tumors aims to minimize surgical morbidity and maximize surgical efficiency without compromising safety. Grafting is regularly performed to reduce the risk of recurrence and stimulate osseous consolidation of the lytic lesion. As the incidence is low and treatment strategies are heterogeneous, there is no clear consensus for the treatment of simple cysts or intraosseous lipomas of the calcaneus. The objectives of this study are (a) to present medium to long-term results after endoscopic resection and grafting with allogenic cancellous bone or bioresorbable hydroxyapatite and calcium sulfate cement, and (b) to add further evidence to the discussion of whether calcaneal SBC and IOL are the same entity at different developmental stages. Between 2012 and 2019, a total of 25 benign bone tumors consisting of 17 SBCs and 8 IOLs were treated by A.T. with endoscopic resection and grafting, comprising the largest cohort to date. For grafting, 12 patients received allogenic cancellous bone (group A) and 13 patients received injectable bone substitute (group B). Pre- and postoperative imaging using plain X-rays and MRI was retrospectively analyzed with a mean follow-up time of 24.5 months to assess tumor size, osseous consolidation (modified Neer classification), and tumor recurrence. A retrospective chart analysis focusing on adverse intra- and perioperative events and other complications associated with the surgical procedure was performed using the modified Clavien–Dindo classification (CD1-3). A total of 12/13 cases with allogenic bone grafting showed a Neer Type 1 osseous healing of the tumorous lesion after endoscopic resection, whereas only 5/11 cases with injectable bone substitute showed sufficient healing (types 1 and 2). There were three recurrent cysts (Neer 4) and two persistent cysts (Neer 3) after using injectable bone substitute. Two CD1 complications were observed in group A (prolonged wound drainage, sural neuritis) and eight complications were observed in group B (6× CD1, 2× CD3). At least two IOLs diagnosed preoperatively using MRI were ultimately identified as SBCs upon histopathologic examination. Allogenic cancellous bone grafting after endoscopic resection of calcaneal SBC or IOL showed a very low rate of complications and no tumor recurrence in our series. On the other hand, depending on the material used, injectable bone substitute showed a high rate of “white-out” (excessive drainage), resulting in multiple complications such as prolonged wound healing, insufficient permanent defect filling, recurrence, and revision surgery. Over time, calcaneal SBC may transform into IOL, exhibiting distinct features of both entities simultaneously during ossoscopy and histopathological analysis. Full article
(This article belongs to the Special Issue Updates in the Orthopedic Management of Foot Disorders)
Show Figures

Figure 1

23 pages, 28048 KB  
Review
Primary Benign Neoplasms of the Spine
by Sisith Ariyaratne, Nathan Jenko, Karthikeyan P. Iyengar, Steven James, Jwalant Mehta and Rajesh Botchu
Diagnostics 2023, 13(12), 2006; https://doi.org/10.3390/diagnostics13122006 - 8 Jun 2023
Cited by 15 | Viewed by 20654
Abstract
Benign tumours comprise the majority of primary vertebral tumours, and these are often found incidentally on imaging. Nonetheless, accurate diagnosis of these benign lesions is crucial, in order to avoid misdiagnosis as more ominous malignant lesions or infection. Furthermore, some of these tumours, [...] Read more.
Benign tumours comprise the majority of primary vertebral tumours, and these are often found incidentally on imaging. Nonetheless, accurate diagnosis of these benign lesions is crucial, in order to avoid misdiagnosis as more ominous malignant lesions or infection. Furthermore, some of these tumours, despite their benign nature, can have localised effects on the spine including neural compromise, or can be locally aggressive, thus necessitating active management. Haemangiomas and osteomas (enostosis) are the commonest benign tumours encountered. Others include osteoid osteoma, osteoblastoma, fibrous dysplasia, osteochondroma, chondroblastoma, haemangioma, simple bone cysts, aneurysmal bone cysts, giant cell tumours, eosinophilic granuloma and notochordal rests. The majority of lesions are asymptomatic; however, locally aggressive lesions (such as aneurysmal bone cysts or giant cell tumours) can present with nonspecific symptoms, such as back pain, neurological deficits and spinal instability, which may be indistinguishable from more commonly encountered mechanical back pain or malignant lesions including metastases. Hence, imaging, including radiography, computed tomography (CT) and magnetic resonance imaging (MRI), plays a critical role in diagnosis. Generally, most incidental or asymptomatic regions are conservatively managed or may not require any follow-up, while symptomatic or locally aggressive lesions warrant active interventions, which include surgical resection or percutaneous treatment techniques. Due to advances in interventional radiology techniques in recent years, percutaneous minimally invasive techniques such as radiofrequency ablation, sclerotherapy and cryoablation have played an increasing role in the management of these tumours with favourable outcomes. The different types of primary benign vertebral tumours will be discussed in this article with an emphasis on pertinent imaging features. Full article
(This article belongs to the Special Issue Diagnosis of Spinal Tumors 2.0)
Show Figures

Figure 1

9 pages, 1569 KB  
Communication
Bovine Grafting: An Effective Alternative after Curettage of Benign Bone Tumors
by Priscilla Montanhini, Bruno P. Antunes, Julie Francine Cerutti Pestilho, Carlos Roberto Galia, Alex Guedes and Ricardo Gehrke Becker
Life 2023, 13(3), 789; https://doi.org/10.3390/life13030789 - 15 Mar 2023
Cited by 1 | Viewed by 2867
Abstract
We retrospectively reviewed 28 patients (15 women and 13 men) with benign bone tumors or pseudotumors treated with curettage and filling with freeze-dried bovine bone graft Orthogen (Baumer S/A, São Paulo, Brazil). The aim of the study was to evaluate the rate of [...] Read more.
We retrospectively reviewed 28 patients (15 women and 13 men) with benign bone tumors or pseudotumors treated with curettage and filling with freeze-dried bovine bone graft Orthogen (Baumer S/A, São Paulo, Brazil). The aim of the study was to evaluate the rate of incorporation of Orthogen into the host bone, as well as to describe the outcomes of bone healing (quality, time, and complications). General characteristics, tumor volume, size, site, complications, percent filled, and healing quality at 6 and 12 months were assessed through radiographs. Mean patient age was 20.5 (range 4.7–75.1) years. The most common lesion type was simple bone cyst (12/28), and the most common sites were the tibia (7/28) and humerus (7/28). There were no postoperative pathologic fractures. Two cases (7.1%) of serous fluid leakage through the wound occurred. Mean cavity volume was 20.1 (range 2.7–101.4) cm3. At 6 and 12 months, 75% and 77.8% of cavities, respectively, showed complete bone healing. At 12 months, 81% of cavities filled >90% with graft showed complete bone healing vs. only 19% of those filled <90%. Filling with bovine bone graft resulted in few complications and excellent healing after curettage of benign bone tumors or pseudotumors. Complete healing occurred in most cases by 12 months. Cavities with a higher percentage of filling had a higher rate of complete radiographic incorporation. Full article
(This article belongs to the Special Issue Research Advances in Bone and Cartilage Tissue Engineering)
Show Figures

Figure 1

12 pages, 5651 KB  
Article
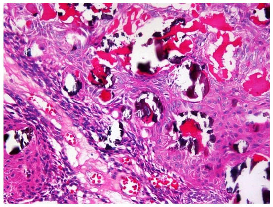
Implementation of Copy Number Variations-Based Diagnostics in Morphologically Challenging EWSR1/FUS::NFATC2 Neoplasms of the Bone and Soft Tissue
by Iva Brcic, Susanne Scheipl, Marko Bergovec, Andreas Leithner, Joanna Szkandera, Karl Sotlar, Arnold J. Suda, Maria Anna Smolle, Tanja Kraus, Andrew Eric Rosenberg, Bernadette Liegl-Atzwanger and Jasminka Igrec
Int. J. Mol. Sci. 2022, 23(24), 16196; https://doi.org/10.3390/ijms232416196 - 19 Dec 2022
Cited by 9 | Viewed by 2797
Abstract
In the last decade, new tumor entities have been described, including EWSR1/FUS::NFATC2-rearranged neoplasms of different biologic behavior. To gain further insights into the behavior of these tumors, we analyzed a spectrum of EWSR1/FUS::NFATC2-rearranged neoplasms and discuss their key diagnostic and molecular [...] Read more.
In the last decade, new tumor entities have been described, including EWSR1/FUS::NFATC2-rearranged neoplasms of different biologic behavior. To gain further insights into the behavior of these tumors, we analyzed a spectrum of EWSR1/FUS::NFATC2-rearranged neoplasms and discuss their key diagnostic and molecular features in relation to their prognosis. We report five patients with EWSR1/FUS::NFATC2-rearranged neoplasms, including one simple bone cyst (SBC), two complex cystic bone lesions lacking morphological characteristics of SBC, and two sarcomas. In three cases, fluorescence in situ hybridization (FISH) and in all cases copy number variation (CNV) profiling and fusion analyses were performed. All patients were male, three cystic lesions occurred in children (aged 10, 14, and 17 years), and two sarcomas in adults (69 and 39 years). Fusion analysis revealed two FUS::NFATC2 rearrangements in two cystic lesions and three EWSR1::NFATC2 rearrangements in one complex cystic lesion and two sarcomas. EWSR1 FISH revealed tumor cells with break-apart signal without amplification in one complex cystic lesion and EWSR1 amplification in both sarcomas was documented. CNV analysis showed simple karyotypes in all cystic lesions, while more complex karyotypes were found in NFATC2-rearranged sarcomas. Our study supports and expands previously reported molecular findings of EWSR1/FUS::NFATC2-rearranged neoplasms. The study highlights the importance of combining radiology and morphologic features with molecular aberrations. The use of additional molecular methods, such as CNV and FISH in the routine diagnostic workup, can be crucial in providing a correct diagnosis and avoiding overtreatment. Full article
Show Figures

Figure 1

10 pages, 54609 KB  
Case Report
Intraoperative Rupture of an Intracranial, Extradural Hydatid Cyst: Case Report and Treatment Options
by Cosmin-Nicodim Cindea, Vicentiu Saceleanu and Adriana Saceleanu
Brain Sci. 2021, 11(12), 1604; https://doi.org/10.3390/brainsci11121604 - 2 Dec 2021
Cited by 5 | Viewed by 6374
Abstract
A 23-year-old woman was presented to the Emergency Unit with intracranial hypertension syndrome and blindness in her left eye which had started recently. A cranial native computed tomography scan and a magnetic resonance imaging (MRI) with contrast examinations revealed a giant intracranial cystic [...] Read more.
A 23-year-old woman was presented to the Emergency Unit with intracranial hypertension syndrome and blindness in her left eye which had started recently. A cranial native computed tomography scan and a magnetic resonance imaging (MRI) with contrast examinations revealed a giant intracranial cystic lesion, extending into the left frontal lobe, which was compressing the optic chiasm and eroding the internal plate of the left frontal bone. Surgical craniotomy was performed for evacuation and decompression, but during the craniotomy the cyst ruptured. After assessing the degree of erosion of the internal bone plate, we concluded that the primary origin of the cyst was intraosseous. With the dura mater being intact, abundant lavage with H2O2 was applied and the bone flap was replaced after rigorous bone scraping. Imaging control at six and twelve months identified no recurrence of the cyst. In the literature, hydatid cysts located in the skull bone are very rare and most of them rupture intraoperatively. Given their extremely low incidence in developed countries, any neurosurgeons’ experience with such pathology is limited and in some cases surgery cannot be delayed. In the case of intracerebral hydatid cysts, a neurosurgeon usually has only one shot at surgery, so simple and quick-to-access therapeutic guidelines must be developed in order to inform the choice of surgical technique. We conclude that the most successful surgical approach could be double concentric craniotomy. This surgical technique is used in intracerebral tumors, which also have an important bone invasion. Full article
(This article belongs to the Section Neurosurgery and Neuroanatomy)
Show Figures

Graphical abstract

10 pages, 21059 KB  
Case Report
Efficacy of Lesion Specific Portals in Endoscopic Treatment of Calcaneal Bone Cyst: A Case Report and Literature Review
by Young Yi, Jeong Seok Lee, Jahyung Kim, So Young Jin, Sung Hun Won, Jaeho Cho and Dong-Il Chun
Medicina 2021, 57(2), 111; https://doi.org/10.3390/medicina57020111 - 26 Jan 2021
Cited by 2 | Viewed by 6215
Abstract
Background: Calcaneal bone cysts rarely occur and most of them are known to be benign. Among them, simple bone cysts (SBCs) third most commonly occur in the calcaneus and of the many surgical treatment options, endoscopic curettage is recently gaining popularity among surgeons [...] Read more.
Background: Calcaneal bone cysts rarely occur and most of them are known to be benign. Among them, simple bone cysts (SBCs) third most commonly occur in the calcaneus and of the many surgical treatment options, endoscopic curettage is recently gaining popularity among surgeons due to its advantages of minimal invasiveness and optimal visualization. As for portal placement for endoscopy, two lateral portals are considered a standard technique, but no rationale has been established for SBCs with abnormal geometry. This case report suggests an SBC with secondary aneurysmal change located outside the Ward’s triangle, as well as an appropriate endoscopic approach. Case Presentation: An 18-year-old male high school student presented with a main complaint of pain at the hind foot level for the past one year, without significant improvement from conservative treatment. An endoscopic curettage through the lesion specific two posterior portals and bone graft using allogeneic cancellous bone were performed. SBC with a secondary aneurysmal bone cyst was diagnosed on pathology. At a one-year follow-up, the patient was painless and had returned to his regular activities. Physical and radiographic examinations revealed that the lesion was completely healed without any evidence of recurrence. Conclusion: For calcaneal bone cysts located at the posterior aspect of the calcaneus, eccentrically medial and abnormally long anterior-posteriorly, we suggest an endoscopic procedure using lesion specific portals such as two posterior portals. Full article
(This article belongs to the Special Issue Recent Advances in Selected Orthopedic Oncology)
Show Figures

Figure 1

22 pages, 16054 KB  
Article
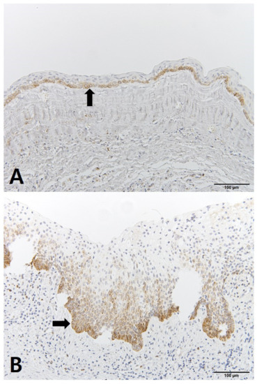
Changes in Cellular Regulatory Factors before and after Decompression of Odontogenic Keratocysts
by Slmaro Park, Han-Sung Jung, Young-Soo Jung, Woong Nam, Jung Yul Cha and Hwi-Dong Jung
J. Clin. Med. 2021, 10(1), 30; https://doi.org/10.3390/jcm10010030 - 24 Dec 2020
Cited by 9 | Viewed by 4551
Abstract
Decompression followed by enucleation, which is one of the treatments used for odontogenic keratocysts (OKCs), is frequently used in OKC lesions of large sizes. This method offers the advantage of minimizing the possibility of sensory impairment without creating a wide-range bone defect; moreover, [...] Read more.
Decompression followed by enucleation, which is one of the treatments used for odontogenic keratocysts (OKCs), is frequently used in OKC lesions of large sizes. This method offers the advantage of minimizing the possibility of sensory impairment without creating a wide-range bone defect; moreover, the recurrence rate can be significantly lower than following simple enucleation. This study aimed to assess the changes in histology and expression of proliferation markers in OKCs before and after decompression treatment. A total of 38 OKC tissue samples from 19 patients who had undergone decompression therapy were examined morphologically and immunohistochemically to observe changes in proliferative activity before and after decompression. The markers used for immunohistochemistry (IHC) staining were Bcl-2, epidermal growth factor receptor (EGFR), Ki-67, P53, PCNA, and SMO. The immunohistochemistry positivity of the 6 markers was scored by using software ImageJ, version 1.49, by quantifying the intensity and internal density of IHC-stained epithelium. The values of Bcl-2, Ki-67, P53, proliferating cell nuclear antigen (PCNA), and SMO in OKCs before and after decompression showed no significant change. No correlation between clinical shrinkage and morphologic changes or expression of proliferation and growth markers could be found. There was no statistical evidence that decompression treatment reduces potentially aggressive behavior of OKC within the epithelial cyst lining itself. This might indicate that decompression does not change the biological behavior of the epithelial cyst lining or the recurrence rate. Full article
(This article belongs to the Section Dentistry, Oral Surgery and Oral Medicine)
Show Figures

Figure 1

13 pages, 21773 KB  
Article
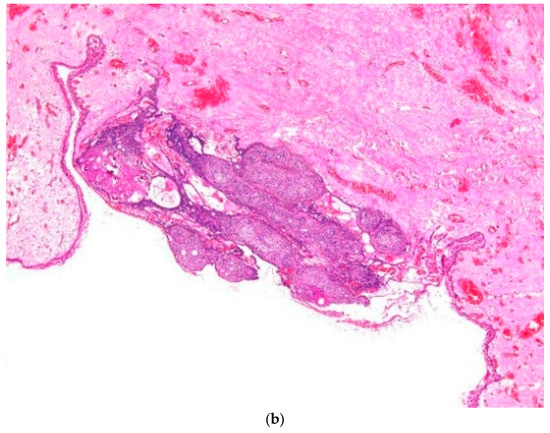
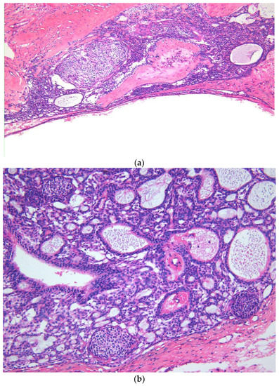
Clinico-Pathological Presentations of Cystic and Classic Adenomatoid Odontogenic Tumors
by Primali Rukmal Jayasooriya, Inoka Krishanthi Rambukewella, Wanninayake Mudiyanselage Tilakaratne, Balapuwaduge Ranjit Rigobert Nihal Mendis and Tommaso Lombardi
Diagnostics 2020, 10(1), 3; https://doi.org/10.3390/diagnostics10010003 - 20 Dec 2019
Cited by 7 | Viewed by 5499
Abstract
The objective of the study is to present the clinico-pathological features of cystic and classic adenomatoid odontogenic tumors (AOTs) in order to identify the differences between the two variants of AOT. Materials and method: The study sample comprised of 41 AOTs, which were [...] Read more.
The objective of the study is to present the clinico-pathological features of cystic and classic adenomatoid odontogenic tumors (AOTs) in order to identify the differences between the two variants of AOT. Materials and method: The study sample comprised of 41 AOTs, which were categorized into cystic and classic AOTs. Cystic AOTs are diagnosed as such when macroscopic and microscopic evidence of a cyst is present together with histopathological criteria of AOT (WHO–2017). Results: The study sample comprised of eleven cystic and thirty classic AOTs. Eight cystic AOTs were regarded as arising from dentigerous cysts as these lesions were attached to the cemento-enamel junction of the impacted teeth. Though not statistically significant, in contrast to classic AOTs which showed female predilection, cystic AOTs were more prevalent in males. Cystic AOTs tend to present as significantly larger lesions compared to classic AOTs (p < 0.02). In both cystic and classic AOTs, duct-like structures and epithelial whorls were the two most prominent histopathological features present in the majority of tumors. Two AOTs with massive amounts of dentinoid occurred in the mandible and presented as large lesions that eroded cortical bone. None of the 12 patients with follow-up information presented with recurrences. Conclusion: Except for the size of the lesion, no significant clinico-pathological differences were observed between cystic and classic AOTs. Therefore the cystic AOTs can be considered as a variant of AOT with enucleation, simple excision, or radical excision as the treatment of choice depending on the extent of the lesion, similar to classic AOTs. Full article
(This article belongs to the Section Pathology and Molecular Diagnostics)
Show Figures

Figure 1

3 pages, 447 KB  
Case Report
Simple Bone Cyst of Mandible Mimicking Periapical Cyst
by Charan Babu HS, Bhagawan Das Rai, Manju A. Nair and Madhusudan S. Astekar
Clin. Pract. 2012, 2(3), e59; https://doi.org/10.4081/cp.2012.e59 - 28 May 2012
Cited by 6 | Viewed by 1
Abstract
Simple bone cysts (SBC) are pseudocysts occurring less commonly in the maxillofacial region. The uncertain and unclear etiopathogenesis led to numerous synonyms to refer this particular cyst. These cysts are devoid of an epithelial lining and are usually empty or contain blood or [...] Read more.
Simple bone cysts (SBC) are pseudocysts occurring less commonly in the maxillofacial region. The uncertain and unclear etiopathogenesis led to numerous synonyms to refer this particular cyst. These cysts are devoid of an epithelial lining and are usually empty or contain blood or straw-colored fluid. In jaws initially it mimics a periapical cyst and later can lead to cortical bone expansion warranting for radical approach, which is seldom required. SBC is predominantly diagnosed in first two decades of life. Here we report a case of solitary bone cyst mimicking a periapical cyst of a mandibular molar in a 37-year-old patient. Full article
Back to TopTop