Maternal and Offspring Cardiovascular Function following Pregnancy with Hypertensive Disorder
Abstract
1. Introduction
2. Methods
2.1. Study Population
2.2. Maternal and Childhood Characteristics
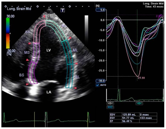
2.3. Maternal and Childhood Cardiovascular Assessment
2.4. Statistical Analysis
3. Results
3.1. Maternal Characteristics
3.2. Maternal Echocardiography
3.3. Infant Characteristics and Echocardiography
4. Discussion
4.1. Main Findings
4.2. Comparison with Findings of Previous Studies and Interpretation of Results
4.3. Strengths and Limitations
5. Conclusions
Author Contributions
Funding
Institutional Review Board Statement
Informed Consent Statement
Data Availability Statement
Conflicts of Interest
References
- Magee, L.A.; Nicolaides, K.H.; Von Dadelszen, P. Preeclampsia. N. Engl. J. Med. 2022, 386, 1817–1832. [Google Scholar] [CrossRef] [PubMed]
- Behrens, I.; Basit, S.; Melbye, M.; Lykke, J.A.; Wohlfahrt, J.; Bundgaard, H.; Thilaganathan, B.; Boyd, H.A. Risk of post-pregnancy hypertension in women with a history of hypertensive disorders of pregnancy: Nationwide cohort study. BMJ 2017, 358, j3078. [Google Scholar] [CrossRef]
- Lykke, J.A.; Langhoff-Roos, J.; Sibai, B.M.; Funai, E.F.; Triche, E.W.; Paidas, M.J. Hypertensive Pregnancy Disorders and Subsequent Cardiovascular Morbidity and Type 2 Diabetes Mellitus in the Mother. Hypertension 2009, 53, 944–951. [Google Scholar] [CrossRef] [PubMed]
- Benschop, L.; Duvekot, J.J.; van Lennep, J.E.R. Future risk of cardiovascular disease risk factors and events in women after a hypertensive disorder of pregnancy. Heart 2019, 105, 1273–1278. [Google Scholar] [CrossRef]
- Retnakaran, R.; Shah, B.R. The adverse cardiovascular risk factor profile of women with pre-eclampsia develops over time in the years before pregnancy. BJOG Int. J. Obstet. Gynaecol. 2021, 129, 1512–1520. [Google Scholar] [CrossRef]
- Garcia-Gonzalez, C.; Georgiopoulos, G.; Azim, S.A.; Macaya, F.; Kametas, N.; Nihoyannopoulos, P.; Nicolaides, K.H.; Charakida, M. Maternal Cardiac Assessment at 35 to 37 Weeks Improves Prediction of Development of Preeclampsia. Hypertension 2020, 76, 514–522. [Google Scholar] [CrossRef]
- Gibbone, E.; Huluta, I.; Wright, A.; Nicolaides, K.H.; Charakida, M. Maternal Cardiac Function at Midgestation and Development of Preeclampsia. J. Am. Coll. Cardiol. 2022, 79, 52–62. [Google Scholar] [CrossRef] [PubMed]
- Thilaganathan, B.; Kalafat, E. Cardiovascular System in Preeclampsia and Beyond. Hypertension 2019, 73, 522–531. [Google Scholar] [CrossRef] [PubMed]
- Melchiorre, K.; Sutherland, G.R.; Liberati, M.; Thilaganathan, B. Preeclampsia Is Associated With Persistent Postpartum Cardiovascular Impairment. Hypertension 2011, 58, 709–715. [Google Scholar] [CrossRef]
- Giorgione, V.; O’Driscoll, J.; Coutinho, C.M.; Di Fabrizio, C.; Sharma, R.; Khalil, A.; Thilaganathan, B. Peripartum echocardiographic changes in women with hypertensive disorders of pregnancy. Ultrasound Obstet. Gynecol. 2022, 59, 365–370. [Google Scholar] [CrossRef]
- Alsnes, I.V.; Vatten, L.J.; Fraser, A.; Bjørngaard, J.H.; Rich-Edwards, J.; Romundstad, P.R.; Åsvold, B.O. Hypertension in Pregnancy and Offspring Cardiovascular Risk in Young Adulthood: Prospective and Sibling Studies in the Hunt Study (Nord-Trøndelag Health Study) in Norway. Hypertension 2017, 69, 591–598. [Google Scholar] [CrossRef] [PubMed]
- Davis, E.F.; Newton, L.; Lewandowski, A.; Lazdam, M.; Kelly, B.A.; Kyriakou, T.; Leeson, P. Pre-eclampsia and offspring cardiovascular health: Mechanistic insights from experimental studies. Clin. Sci. 2012, 123, 53–72. [Google Scholar] [CrossRef] [PubMed]
- Odukoya, S.A.; Moodley, J.; Naicker, T. Current Updates on Pre-Eclampsia: Maternal and Foetal Cardiovascular Diseases Predilection, Science or Myth? Future Cardiovascular Disease Risks in Mother and Child Following Pre-Eclampsia. Curr. Hypertens. Rep. 2021, 23, 16. [Google Scholar] [CrossRef] [PubMed]
- Timpka, S.; Macdonald-Wallis, C.; Hughes, A.D.; Chaturvedi, N.; Franks, P.W.; Lawlor, D.A.; Fraser, A. Hypertensive Disorders of Pregnancy and Offspring Cardiac Structure and Function in Adolescence. J. Am. Heart Assoc. 2016, 5, e003906. [Google Scholar] [CrossRef] [PubMed]
- Committee on Practice Bulletins. Obstetricians, American College of, and Gynecologists. Acog. Practice Bulletin No. 202: Gestational Hypertension and Preeclampsia. Obstet. Gynecol. 2019, 133, e1–e25. [Google Scholar]
- Othman, F.; Abushahba, G.; Salustri, A. Adherence to the American Society of Echocardiography and European Association of Cardiovascular Imaging Recommendations for the Evaluation of Left Ventricular Diastolic Function by Echocardiography: A Quality Improvement Project. J. Am. Soc. Echocardiogr. 2019, 32, 1619–1621. [Google Scholar] [CrossRef]
- Lang, R.M.; Badano, L.P.; Mor-Avi, V.; Afilalo, J.; Armstrong, A.; Ernande, L.; Flachskampf, F.A.; Foster, E.; Goldstein, S.A.; Kuznetsova, T.; et al. Recommendations for Cardiac Chamber Quantification by Echocardiography in Adults: An Update from the American Society of Echocardiography and the European Association of Cardiovascular Imaging. Eur. Heart J. Cardiovasc. Imaging 2015, 16, 233–271. [Google Scholar] [CrossRef]
- Linda, L.; Cotella, J.I.; Miyoshi, T.; Addetia, K.; Schreckenberg, M.; Hitschrich, N.; Blankenhagen, M.; Amuthan, V.; Citro, R.; Daimon, M. Normal Values of Left Ventricular Mass by 2d and 3d Echocardiography: Results from the World Alliance Societies of Echocardiography Normal Values Study. J. Am. Soc. Echocardiogr. 2022, 36, 533–542. [Google Scholar]
- Heida, K.Y.; Franx, A.; van Rijn, B.B.; Eijkemans, M.J.; Boer, J.M.; Verschuren, M.W.; Oudijk, M.A.; Bots, M.L.; van der Schouw, Y.T. Earlier Age of Onset of Chronic Hypertension and Type 2 Diabetes Mellitus After a Hypertensive Disorder of Pregnancy or Gestational Diabetes Mellitus. Hypertension 2015, 66, 1116–1122. [Google Scholar] [CrossRef]
- Giorgione, V.; Jansen, G.; Kitt, J.; Ghossein-Doha, C.; Leeson, P.; Thilaganathan, B. Peripartum and Long-Term Maternal Cardiovascular Health After Preeclampsia. Hypertension 2023, 80, 231–241. [Google Scholar] [CrossRef] [PubMed]
- Ambrožič, J.; Lučovnik, M.; Cvijić, M. Evolution of Cardiac Geometry and Function in Women with Severe Preeclampsia from Immediately Post-Delivery to 1 Year Postpartum. Int. J. Cardiovasc. Imaging 2021, 37, 2217–2225. [Google Scholar] [CrossRef]
- Simmons, L.A.; Gillin, A.G.; Jeremy, R.W. Structural and functional changes in left ventricle during normotensive and preeclamptic pregnancy. Am. J. Physiol. Circ. Physiol. 2002, 283, H1627–H1633. [Google Scholar] [CrossRef]
- McCarthy, F.P.; O’driscoll, J.M.; Seed, P.T.; Placzek, A.; Gill, C.; Sparkes, J.; Poston, L.; Marber, M.; Shennan, A.H.; Thilaganathan, B.; et al. Multicenter Cohort Study, With a Nested Randomized Comparison, to Examine the Cardiovascular Impact of Preterm Preeclampsia. Hypertension 2021, 78, 1382–1394. [Google Scholar] [CrossRef]
- Di Martino, D.D.; Stampalija, T.; Zullino, S.; Fuse, F.; Garbin, M.; Parasiliti, M.; Sterpi, V.; Farina, A.; Ferrazzi, E. Maternal hemodynamic profile during pregnancy and in the post-partum in hypertensive disorders of pregnancy and fetal growth restriction. Am. J. Obstet. Gynecol. MFM 2023, 5, 100841. [Google Scholar] [CrossRef]
- Youssef, L.; Miranda, J.; Paules, C.; Garcia-Otero, L.; Vellvé, K.; Kalapotharakos, G.; Sepulveda-Martinez, A.; Crovetto, F.; Gomez, O.; Gratacós, E.; et al. Fetal cardiac remodeling and dysfunction is associated with both preeclampsia and fetal growth restriction. Am. J. Obstet. Gynecol. 2019, 222, 79.e1–79.e9. [Google Scholar] [CrossRef]
- Fugelseth, D.; Ramstad, H.B.; Kvehaugen, A.S.; Nestaas, E.; Støylen, A.; Staff, A.C. Myocardial function in offspring 5–8years after pregnancy complicated by preeclampsia. Early Hum. Dev. 2011, 87, 531–535. [Google Scholar] [CrossRef] [PubMed]
- Himmelmann, A.; Svensson, A.; Hansson, L. Five-year follow-up of blood pressure and left ventricular mass in children with different maternal histories of hypertension: The Hypertension in Pregnancy Offspring Study. J. Hypertens. 1994, 12, 89–95. [Google Scholar] [CrossRef] [PubMed]
- Lewandowski, A.J.; Augustine, D.; Lamata, P.; Davis, E.F.; Lazdam, M.; Francis, J.; McCormick, K.; Wilkinson, A.R.; Singhal, A.; Lucas, A. Preterm Heart in Adult Life: Cardiovascular Magnetic Resonance Reveals Distinct Differences in Left Ventricular Mass, Geometry, and Function. Circulation 2013, 127, 197–206. [Google Scholar] [CrossRef] [PubMed]
- Rolnik, D.L.; Wright, D.; Poon, L.C.; O’Gorman, N.; Syngelaki, A.; de Paco Matallana, C.; Akolekar, R.; Cicero, S.; Janga, D.; Singh, M. Aspirin Versus Placebo in Pregnancies at High Risk for Preterm Preeclampsia. N. Engl. J. Med. 2017, 377, 613–622. [Google Scholar] [CrossRef]
- Ying, W.; Catov, J.M.; Ouyang, P.; Tooher, J.; Thornton, C.; Makris, A.; Ogle, R.; Korda, A.; Hennessy, A.; Staff, A.C.; et al. Hypertensive Disorders of Pregnancy and Future Maternal Cardiovascular Risk. J. Am. Heart Assoc. 2018, 7, e009382. [Google Scholar] [CrossRef]
- Garovic, V.D.; August, P. Preeclampsia and the future risk of hypertension: The pregnant evidence. Curr. Hypertens. Rep. 2013, 15, 114–121. [Google Scholar] [CrossRef] [PubMed]


| HDP (n = 33) | Controls (n = 33) | p-Value | |
|---|---|---|---|
| Age (years) | 32.7 (5.2) | 32.2 (5.6) | 0.751 |
| Height (cm) | 164.2 (6.9) | 163.9 (7.3) | 0.861 |
| Weight (kg) | 79.5 (11.9) | 69.3 (14.6) | 0.003 |
| Body-mass index (kg/m2) | 29.7 (4.8) | 25.7 (5.20 | 0.002 |
| Interval post delivery (days) | 186 (49.8) | 197 (29.1) | 0.273 |
| Mean arterial pressure (mmHg) | 92.3 (7.3) | 86.8 (8.3) | 0.007 |
| Heart rate (beats per minute) | 72.4 (11.2) | 68.4 (11.7) | 0.161 |
| Ethnicity | 0.555 | ||
| White | 23 (69.7) | 23 (69.7) | |
| Black | 7 (21.2) | 4 (12.1) | |
| Asian | 3 (9.1) | 4 (12.1) | |
| Smoking | 1 (3.0) | 1 (3.0) | 0.356 |
| Z birthweight | −0.67 (0.98) | −1.02(1.44) | 0.249 |
| Cardiac Index | HDP (n = 33) | Controls (n = 33) | p-Value |
|---|---|---|---|
| Structural | |||
| Left ventricular mass indexed for body-surface area | 64.5 (10.5) | 56.8 (10.03) | 0.003 |
| Left ventricular relative wall thickness | 0.37 (0.06) | 0.40 (0.01) | 0.078 |
| Haemodynamic | |||
| Cardiac output (L/min) | 5.3 (1.3) | 4.8 (1.0) | 0.086 |
| Peripheral-vascular resistance (dynes/cm2) | 1423.8 (304.1) | 1486.6 (323.3) | 0.427 |
| Diastolic Indices | |||
| Mitral valve E (cm/s) | 23.7 (3.8) | 25.3 (3.4) | 0.084 |
| Mitral valve A (cm/s) | 15.2 (3.1) | 15.9 (3.6) | 0.340 |
| Mitral valve E/A | 1.8 (0.6) | 2.2 (0.9) | 0.018 |
| Mitral valve E/e′ | 3.6 (0.8) | 3.1 (0.9) | 0.022 |
| Systolic Indices | |||
| Myocardial-performance index | 0.49 (0.1) | 0.43 (0.1) | 0.059 |
| Mitral valve S | 18.1 (2.8) | 19.6 (3.0) | 0.036 |
| Speckle Tracking | |||
| Left-ventricular global longitudinal strain (%) | −23.2 (2.7) | −23.9 (2.5) | 0.240 |
| Left-ventricular-ejection fraction (%) | 62.6 (6.2) | 62.9 (5.0) | 0.853 |
| Cardiac Index | HDP (n = 33) | Controls (n = 33) | p-Value |
|---|---|---|---|
| Structural | |||
| Left-ventricular mass indexed for body-surface area | 68.6 (31.1) | 61.7 (18.5) | 0.294 |
| Left-ventricular relative wall thickness | 0.4 (0.1) | 0.3 (0.1) | 0.071 |
| Haemodynamic | |||
| Cardiac output (L/min) | 1.3 (0.2) | 1.4 (0.3) | 0.076 |
| Diastolic Indices | |||
| Mitral valve E (cm/s) | 96.3 (15.5) | 100.5 (15.7) | 0.300 |
| Mitral valve A (cm/s) | 77.4 (19.7) | 77.7 (15.3) | 0.947 |
| Mitral valve E/A | 1.5 (0.5) | 1.6 (0.5) | 0.155 |
| Mitral valve E/e′ | 4.6 (1.0) | 4.5 (0.8) | 0.614 |
| Systolic Indices | |||
| Myocardial-performance index | 0.4 (0.1) | 0.4 (0.1) | 0.568 |
| Tricuspid-annular-planar systolic excursion (mm) | 14.1 (2.1) | 14.8 (1.8) | 0.213 |
| Mitral valve S (cm/s) | 13.9 (2.1) | 14.4 (2.4) | 0.338 |
| Speckle Tracking | |||
| Left-ventricular global-longitudinal-strain delta (%) | −21.3 (1.8) | −21.9 (2.1) | 0.176 |
| Left-ventricular-ejection fraction (%) | 68.5 (7.8) | 68.1 (7.3) | 0.866 |
Disclaimer/Publisher’s Note: The statements, opinions and data contained in all publications are solely those of the individual author(s) and contributor(s) and not of MDPI and/or the editor(s). MDPI and/or the editor(s) disclaim responsibility for any injury to people or property resulting from any ideas, methods, instructions or products referred to in the content. |
© 2023 by the authors. Licensee MDPI, Basel, Switzerland. This article is an open access article distributed under the terms and conditions of the Creative Commons Attribution (CC BY) license (https://creativecommons.org/licenses/by/4.0/).
Share and Cite
Garcia-Gonzalez, C.; Nunez, E.; Zhang, H.; Nicolaides, K.H.; Charakida, M. Maternal and Offspring Cardiovascular Function following Pregnancy with Hypertensive Disorder. Diagnostics 2023, 13, 2007. https://doi.org/10.3390/diagnostics13122007
Garcia-Gonzalez C, Nunez E, Zhang H, Nicolaides KH, Charakida M. Maternal and Offspring Cardiovascular Function following Pregnancy with Hypertensive Disorder. Diagnostics. 2023; 13(12):2007. https://doi.org/10.3390/diagnostics13122007
Chicago/Turabian StyleGarcia-Gonzalez, Coral, Elena Nunez, Huijing Zhang, Kypros H. Nicolaides, and Marietta Charakida. 2023. "Maternal and Offspring Cardiovascular Function following Pregnancy with Hypertensive Disorder" Diagnostics 13, no. 12: 2007. https://doi.org/10.3390/diagnostics13122007
APA StyleGarcia-Gonzalez, C., Nunez, E., Zhang, H., Nicolaides, K. H., & Charakida, M. (2023). Maternal and Offspring Cardiovascular Function following Pregnancy with Hypertensive Disorder. Diagnostics, 13(12), 2007. https://doi.org/10.3390/diagnostics13122007

