Laboratory, Clinical, and Pathohistological Significance of the Outcomes of Patients with Membranous Nephropathy After 10 Year of Follow-Up
Abstract
1. Introduction
2. Materials and Methods
2.1. Study Group
2.2. Laboratory Tests
2.3. Statistical Analysis
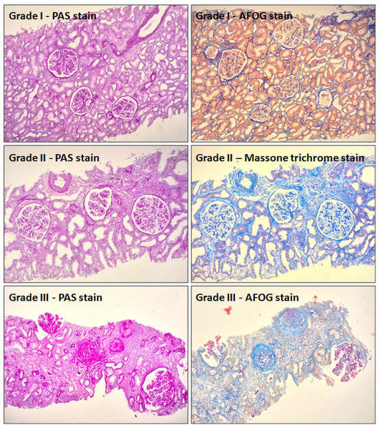
3. Results
4. Discussion
Study Limitations
5. Conclusions
Author Contributions
Funding
Institutional Review Board Statement
Informed Consent Statement
Data Availability Statement
Conflicts of Interest
Abbreviations
| MN | membranous nephropathy |
| NS | nephrotic syndrome |
| PMN | primary membranous nephropathy |
| SMN | secondary membranous nephropathy |
| GBM | glomerular basement membrane |
| Prt | proteinuria |
| CKD | chronic kidney disease |
| AKI | acute kidney injury |
| ESKD | end-stage kidney disease |
| IC | immune complexes |
| HTN | hypertension |
| PH | pathohistological |
| UCCS | University Clinical Center of Serbia |
| sBP | systolic blood pressure |
| dBP | diastolic blood pressure |
| Hr | heart rate |
| Gly | glycemic |
| Sur | serum urea |
| Scr | serum creatinine |
| Ccr | creatinine clearance |
| Tg | triglyceride |
| Chol | total cholesterol |
| OM | optical microscopy |
| IF | immunofluorescence |
| PAS | Periodic Acid–Schiff |
| IQR | interquartile range |
| SD | standard deviation |
| TP | total protein |
| Alb | albumins |
| SEL | systemic lupus erythematosus |
| KRT | kidney replacement therapy |
| PLA2R | phospholipase A2 receptor |
| Ig | immunoglobulin |
| C | complement components |
| Rec | recovery |
| LN | lupus nephritis |
| Nb Gl | number of glomeruli |
| AFOG | Acid Fuchsin Orange G |
| H&E | Hematoxylin and Eosin |
References
- Keri, K.-C.; Blumenthal, S.; Kulkarni, V.; Beck, L.; Chongkrairatanakul, T. Primary membranous nephropathy: Comprehensive review and historical perspective. Postgrad. Med. J. 2019, 95, 23–31. [Google Scholar] [CrossRef]
- Couser, W.-G. Primary Membranous Nephropathy. Clin. J. Am. Soc. Nephrol. 2017, 12, 983–997, Erratum in Clin. J. Am. Soc. Nephrol. 2017, 12, 1528. [Google Scholar] [CrossRef] [PubMed]
- Xie, J.; Liu, L.; Mladkova, N.; Li, Y.; Ren, H.; Wang, W.; Cui, Z.; Lin, L.; Hu, X.; Yu, X.; et al. The genetic architecture of membranous nephropathy and its potential to improve non-invasive diagnosis. Nat. Commun. 2020, 11, 1600. [Google Scholar] [CrossRef] [PubMed]
- Saeed, M.; Beggs, M.L.; Walker, P.D.; Larsen, C.P. PLA2R-associated membranous glomerulopathy is modulated by common variants in PLA2R1 and HLA-DQA1 genes. Genes Immun. 2014, 15, 556–561. [Google Scholar] [CrossRef] [PubMed]
- Miao, H.; Wang, Y.N.; Su, W.; Zou, L.; Zhuang, S.G.; Yu, X.Y.; Liu, F.; Zhao, Y.Y. Sirtuin 6 protects against podocyte injury by blocking the renin-angiotensin system by inhibiting the Wnt1/β-catenin pathway. Acta Pharmacol. Sin. 2024, 45, 137–149. [Google Scholar] [CrossRef]
- StanStanescu, H.C.; Arcos-Burgos, M.; Medlar, A.; Bockenhauer, D.; Kottgen, A.; Dragomirescu, L.; Voinescu, C.; Patel, N.; Pearce, K.; Hubank, M.; et al. Risk HLA-DQA1 and PLA(2)R1 alleles in idiopathic membranous nephropathy. N. Engl. J. Med. 2011, 364, 616–626. [Google Scholar] [CrossRef]
- Miao, H.; Wang, Y.N.; Yu, X.Y.; Zou, L.; Guo, Y.; Su, W.; Liu, F.; Cao, G.; Zhao, Y.Y. Lactobacillus species ameliorate membranous nephropathy through inhibiting the aryl hydrocarbon receptor pathway via tryptophan-produced indole metabolites. Br. J. Pharmacol. 2024, 181, 162–179. [Google Scholar] [CrossRef]
- Shi, X.; Li, Z.; Lin, W.; Shi, W.; Hu, R.; Chen, G.; Li, X.; Li, X.; Zhang, S. Altered Intestinal Microbial Flora and Metabolism in Patients with Idiopathic Membranous Nephropathy. Am. J. Nephrol. 2023, 54, 451–470. [Google Scholar] [CrossRef]
- De Vriese, A.-S.; Glassock, R.-J.; Nath, K.-A.; Sethi, S.; Fervenza, F.-C. A Proposal for a Serology-Based Approach to Membranous Nephropathy. J. Am. Soc. Nephrol. 2017, 28, 421–430. [Google Scholar] [CrossRef]
- Baker, L.W.; Jimenez-Lopez, J.; Geiger, X.J.; Aslam, N. Malignancy-Associated Membranous Nephropathy with Positive Anti-PLA2R Autoantibodies: Coincidence or Connection. Case Rep. Nephrol. Dial. 2021, 11, 334–339. [Google Scholar] [CrossRef]
- Zhang, X.D.; Cui, Z.; Zhang, M.F.; Wang, J.; Zhang, Y.M.; Qu, Z.; Wang, X.; Huang, J.; Wang, F.; Meng, L.Q.; et al. Clinical implications of pathological features of primary membranous nephropathy. BMC Nephrol. 2018, 19, 215. [Google Scholar] [CrossRef]
- Canetta, P.A.; Troost, J.P.; Mahoney, S.; Kogon, A.J.; Carlozzi, N.; Bartosh, S.M.; Cai, Y.; Davis, T.K.; Fernandez, H.; Fornoni, A.; et al. Health-related quality of life in glomerular disease. Kidney Int. 2019, 95, 1209–1224. [Google Scholar] [CrossRef] [PubMed]
- Gauckler, P.; Shin, J.-I.; Alberici, F.; Audard, V.; Bruchfeld, A.; Busch, M.; Cheung, C.K.; Crnogorac, M.; Delbarba, E.; Eller, K.; et al. RITERM study group. Rituximab in Membranous Nephropathy. Kidney Int. Rep. 2021, 6, 881–893. [Google Scholar] [CrossRef] [PubMed]
- Sethi, S.; Fervenza, F.-C. Membranous nephropathy-diagnosis and identification of target antigens. Nephrol. Dial. Transplant. 2024, 39, 600–606. [Google Scholar] [CrossRef] [PubMed]
- Cattran, D.; Brenchley, P. Membranous nephropathy: Thinking through the therapeutic options. Nephrol. Dial. Transplant. 2017, 32, 22–29. [Google Scholar] [CrossRef][Green Version]
- Ponticelli, C. Membranous Nephropathy. J. Clin. Med. 2025, 14, 761. [Google Scholar] [CrossRef]
- Rovin, B.H.; Adler, S.G.; Barratt, J.; Bridoux, F.; Burdge, K.A.; Chan, T.M.; Cook, H.T.; Fervenza, F.C.; Gibson, K.L.; Glassock, R.J.; et al. Executive summary of the KDIGO 2021 Guideline for the Management of Glomerular Diseases. Kidney Int. 2021, 100, 753–779. [Google Scholar] [CrossRef]
- Ronco, P.; Beck, L.; Debiec, H.; Fervenza, F.-C.; Hou, F.-F.; Jha, V.; Sethi, S.; Tong, A.; Vivarelli, M.; Wetzels, J. Membranous nephropathy. Nat. Rev. Dis. Primers 2021, 7, 69. [Google Scholar] [CrossRef]
- Park, J.; Kim, H.-J.; Kim, J.; Choi, Y.-B.; Shin, Y.-S.; Lee, M.-J. Predictive value of serum albumin-to-globulin ratio for incident chronic kidney disease: A 12-year community-based prospective study. PLoS ONE 2020, 15, e0238421. [Google Scholar] [CrossRef]
- Stangou, M.-J.; Marinaki, S.; Papachristou, E.; Liapis, G.; Pateinakis, P.; Gakiopoulou, H.; Nikolaidou, C.; Kolovou, K.; Lampropoulou, I.T.; Zerbala, S.; et al. Histological grading in primary membranous nephropathy is essential for clinical management and predicts outcome of patients. Histopathology 2019, 75, 660–671. [Google Scholar] [CrossRef]
- Seifert, L.; Zahner, G.; Meyer-Schwesinger, C.; Hickstein, N.; Dehde, S.; Wulf, S.; Köllner, S.M.; Lucas, R.; Kylies, D.; Froembling, S.; et al. The classical pathway triggers pathogenic complement activation in membranous nephropathy. Nat. Commun. 2023, 28, 473. [Google Scholar] [CrossRef]
- Gao, S.; Cui, Z.; Zhao, M.H. Complement C3a and C3a receptor activation mediates podocyte injuries in the mechanism of primary membranous nephropathy. J. Am. Soc. Nephrol. 2022, 33, 1742–1756. [Google Scholar] [CrossRef]
- Hartleben, B.; Gödel, M.; Meyer-Schwesinger, C.; Liu, S.; Ulrich, T.; Köbler, S.; Wiech, T.; Grahammer, F.; Arnold, S.J.; Lindenmeyer, M.T.; et al. Autophagy influences glomerular disease susceptibility and maintains podocyte homeostasis in aging mice. J. Clin. Investig. 2010, 120, 1084–1096. [Google Scholar] [CrossRef]
- Oh, J.E.; Lee, H.K. Pattern Recognition Receptors and Autophagy. Front. Immunol. 2014, 5, 300. [Google Scholar] [CrossRef]
- Qin, W.; Beck, L.H., Jr.; Zeng, C.; Chen, Z.; Li, S.; Zuo, K.; Salant, D.J.; Liu, Z. Anti-phospholipase A2 receptor antibody in membranous nephropathy. J. Am. Soc. Nephrol. 2011, 22, 1137–1143. [Google Scholar] [CrossRef]
- Pani, A.; Porta, C.; Cosmai, L.; Melis, P.; Floris, M.; Piras, D.; Gallieni, M.; Rosner, M.; Ponticelli, C. Glomerular diseases and cancer: Evaluation Glomerular diseases and cancer: Evaluation of underlying malignancy. J. Nephrol. 2016, 29, 143–152. [Google Scholar] [CrossRef] [PubMed]
- Han, Y.; Ly, N.D.K.; Tesch, G.H.; Poronnik, P.; Nikolic-Paterson, D.J. Reduced tubular degradation of glomerular filtered plasma albumin is a common feature in acute and chronic kidney disease. Clin. Exp. Pharmacol. Physiol. 2017, 45, 241–249. [Google Scholar] [CrossRef] [PubMed]
- Abbate, M.; Zoja, C.; Remuzzi, G. How Does Proteinuria Cause Progressive Renal Damage? J. Am. Soc. Nephrol. 2006, 17, 2974–2984. [Google Scholar] [CrossRef]
- Nolin, A.C.; Mulhern, R.M.; Panchenko, M.V.; Pisarek-Horowitz, A.; Wang, Z.; Shirihai, O.; Borkan, S.C.; Havasi, A. Proteinuria causes dysfunctional autophagy in the proximal tubule. Am. J. Physiol. Physiol. 2016, 311, 1271–1279. [Google Scholar] [CrossRef] [PubMed]
- Artunc, F. Kidney-derived PCSK9-a new driver of hyperlipidemia in nephrotic syndrome? Kidney Int. 2020, 98, 1393–1395. [Google Scholar] [CrossRef]
- Teisseyre, M.; Cremoni, M.; Boyer-Suavet, S.; Ruetsch, C.; Graça, D.; Esnault, V.-L.-M.; Brglez, V.; Seitz-Polski, B. Advances in the Management of Primary Membranous Nephropathy and Rituximab-Refractory Membranous Nephropathy. Front. Immunol. 2022, 13, 859419. [Google Scholar] [CrossRef] [PubMed]
- Dantas, M.; Silva, L.-B.-B.; Pontes, B.-T.-M.; Dos Reis, M.-A.; de Lima, P.-S.-N.; Moysés Neto, M. Membranous nephropathy. J. Bras. Nefrol. 2023, 45, 229–243. [Google Scholar] [CrossRef] [PubMed]
- Zhu, X.M.; Zhou, H.M.; Xu, W. Mendelian study on air pollution and membranous nephropathy outcomes associations. Medicine 2024, 103, e39708. [Google Scholar] [CrossRef] [PubMed]
- Bullich, G.; Ballarín, J.; Oliver, A.; Ayasreh, N.; Silva, I.; Santín, S.; Díaz-Encarnación, M.M.; Torra, R.; Ars, E. HLA-DQA1 and PLA2R1 polymorphisms and risk of idiopathic membranous nephropathy. Clin. J. Am. Soc. Nephrol. 2014, 9, 335–343. [Google Scholar] [CrossRef]
- Efe, O.; So, P.-N.-H.; Anandh, U.; Lerma, E.-V.; Wiegley, N. An Updated Review of Membranous Nephropathy. Indian. J. Nephrol. 2024, 34, 105–118. [Google Scholar] [CrossRef]
- Storrar, J.; Gill-Taylor, T.; Chinnadurai, R.; Chrysochou, C.; Poulikakos, D.; Rainone, F.; Ritchie, J.; Lamerton, E.; Kalra, P.A.; Sinha, S. A low rate of end-stage kidney disease in membranous nephropathy: A single centre study over 2 decades. PLoS ONE 2022, 17, e0276053. [Google Scholar] [CrossRef]
- Zuo, K.; Wu, Y.; Li, S.J.; Xu, F.; Zeng, C.H.; Liu, Z.H. Long-term outcome and prognostic factors of idiopathic membranous nephropathy in the Chinese population. Clin. Nephrol. 2013, 79, 445–453. [Google Scholar] [CrossRef]
- Kanigicherla, D.-A.; Short, C.-D.; Roberts, S.-A.; Hamilton, P.; Nikam, M.; Harris, S.; Brenchley, P.E.; Venning, M.C. Long-term outcomes of persistent disease and relapse in primary membranous nephropathy. Nephrol. Dial. Transplant. 2016, 31, 2108–2114. [Google Scholar] [CrossRef]
- Troyanov, S.; Roasio, L.; Pandes, M.; Herzenberg, A.M.; Cattran, D.C. Renal pathology in idiopathic membranous nephropathy: A new perspective. Kidney Int. 2006, 69, 1641–1648. [Google Scholar] [CrossRef]
- Zhang, Q.; Bin, S.; Budge, K.; Petrosyan, A.; Villani, V.; Aguiari, P.; Vink, C.; Wetzels, J.; Soloyan, H.; La Manna, G.; et al. C3aR-initiated signaling is a critical mechanism of podocyte injury in membranous nephropathy. JCI Insight 2024, 9, e172976. [Google Scholar] [CrossRef]
- Radhakrishnan, Y.; Zand, L.; Sethi, S.; Fervenza, F.-C. Membranous nephropathy treatment standard. Nephrol. Dial. Transplant. 2024, 39, 403–413. [Google Scholar] [CrossRef] [PubMed]
- Lu, Z.; Liu, C.; Wu, Q.; Deng, Y. High-coverage targeted lipidomics could reveal lipid alterations and evaluate therapeutic efficacy of membranous nephropathy. Nutr. Metab. 2022, 19, 68. [Google Scholar] [CrossRef] [PubMed]
- Izquierdo-Lahuerta, A.; Martínez-García, C.; Medina-Gómez, G. Lipotoxicity as a trigger factor of renal disease. J. Nephrol. 2016, 29, 603–610. [Google Scholar] [CrossRef] [PubMed]
- Bisgaard, L.S.; Christoffersen, C. The apoM/S1P Complex-A Mediator in Kidney Biology and Disease? Front. Med. 2021, 8, 754490. [Google Scholar] [CrossRef]
- Tran, T.-H.; Hughes, G.J.; Greenfeld, C.; Pham, J.-T. Overview of current and alternative therapies for idiopathic membranous nephropathy. Pharmacotherapy 2015, 35, 396–411. [Google Scholar] [CrossRef]
- Zhang, J.; Pan, M.; Zhang, J.; You, X.; Li, D.; Lin, F.; Lu, G. Serum uric acid is an independent predictor of renal outcomes in patients with idiopathic membranous nephropathy. Int. Urol. Nephrol. 2019, 51, 1797–1804. [Google Scholar] [CrossRef]
- Choi, J.Y.; Chin, H.J.; Lee, H.; Bae, E.H.; Chang, T.I.; Lim, J.H.; Jung, H.Y.; Cho, J.H.; Kim, C.D.; Kim, Y.L.; et al. Idiopathic membranous nephropathy in older patients: Clinical features and outcomes. PLoS ONE 2020, 15, e0240566. [Google Scholar] [CrossRef]
- Paulo, R.P.M.B.; Jorge, L.B.; Yu, L.; Woronik, V.; Dias, C.B. Diagnosis and Course of Membranous Nephropathy in Adults: Comparison by Age Group. Kidney Blood Press. Res. 2022, 47, 693–701. [Google Scholar] [CrossRef]
- Bae, E.; Lee, S.W.; Park, S.; Kim, D.K.; Lee, H.; Huh, H.; Chin, H.J.; Lee, S.; Ryu, D.R.; Park, J.I.; et al. Treatment and clinical outcomes of elderly idiopathic membranous nephropathy: A multicenter cohort study in Korea. Arch. Gerontol. Geriatr. 2018, 76, 175–181. [Google Scholar] [CrossRef]



| Variable | Group | n (%) |
|---|---|---|
| Sex | Male | 51 (54.3%) |
| Female | 43 (45.7%) | |
| Outcome | Rec | 33 (35.11%) |
| CKD | 53 (56.38%) | |
| ESKD | 8 (8.51%) | |
| Deposit type Ig | Without Igs | 20 (21.3%) |
| IgG | 26 (27.7%) | |
| IgM | 10 (10.6%) | |
| IgA | 2 (2.1%) | |
| Mix | 36 (38.3%) | |
| HTN before biopsy | No | 43 (45.74%) |
| Yes | 51 (54.26%) | |
| Thickening GBM | Segmentally | 16 (17.0%) |
| Diffuse | 78 (83.0%) |
| Variable | Mean ± SD | Mediana [IQR] |
|---|---|---|
| Age, years | 45.83 ± 16.40 | 48.00 [28.0] |
| sBP, mmHg | 139.68 ± 20.70 | 140.00 [26.0] |
| dBP, mmHg | 83.35 ± 11.50 | 80.00 [15.0] |
| Hr, n | 80.36 ± 10.90 | 80.00 [19.0] |
| Nb Gl OM, n | 12.81 ± 7.04 | 12.00 [11.0] |
| Prt, g/24 h | 9.05 ± 6.23 | 7.95 [6.5] |
| Scr, µmol/L | 114.71 ± 89.38 | 86.00 [45.0] |
| Urate *, µmol/L | 378.34 ± 107.05 | 368.00 [157.0] |
| TP *, g/L | 49.11 ± 9.41 | 49.00 [15.0] |
| Alb *, g/L | 26.77 ± 7.68 | 27.00 [11.0] |
| A/G ratio, n | 1.27 ± 0.53 | 1.21 [0.6] |
| Chol, mmol/L | 7.88 ± 2.56 | 7.35 [3.5] |
| Tg, mmol/L | 2.86 ± 1.39 | 2.60 [1.7] |
| Ccr *, mL/min | 95.91 ± 44.36 | 98.00 [54.5] |
| Variable | Group | Mean ± SD | Mediana [IQR] | Sig. | Rec | CKD | ESKD |
|---|---|---|---|---|---|---|---|
| Age, years | Rec | 41.21 ± 16.35 | 44 [31] | 0.01 | NA | ||
| CKD | 48.54 ± 16.00 | 48.5 [27] | |||||
| ESKD | 55.5 ± 16.79 | 61 [39] | |||||
| sBP, mmHg | Rec | 135.0 ± 17.58 | 135 [28] | NS | NA | ||
| CKD | 141.35 ± 21.38 | 140 [28] | |||||
| ESKD | 147.22 ± 25.63 | 150 [33] | |||||
| dBP, mmHg | Rec | 81.58 ± 11.04 | 80 [18] | NS | NA | ||
| CKD | 83.42 ± 11.83 | 80 [14] | |||||
| ESKD | 89.44 ± 10.14 | 90 [18] | |||||
| Hr, n | Rec | 79.64 ± 11.52 | 80 [18] | NS | NA | ||
| CKD | 79.85 ± 10.25 | 80 [15] | |||||
| ESKD | 86.00 ± 11.79 | 80 [15] | |||||
| Prt, g/24 h | Rec | 9.56 ± 6.24 | 8.00 [5.10] | NS | NA | ||
| CKD | 8.56 ± 6.13 | 7.50 [8.90] | |||||
| ESKD | 10.09 ± 7.29 | 8.45 [4.90] | |||||
| Scr, µmol/L | Rec | 77.24 ± 40.78 | 70 [35] | <0.001 | NA | <0.001 | <0.001 |
| CKD | 119.29 ± 86.39 | 89 [47] | <0.001 | NA | 0.010 | ||
| ESKD | 240.0 ± 135.03 | 210.50 [232] | <0.001 | 0.010 | NA | ||
| Ccr *, mL/min | Rec | 122.03 ± 36.55 | 116 [34.50] | <0.001 | NA | <0.001 | <0.001 |
| CKD | 85.72 ± 39.49 | 80 [50.00] | <0.001 | NA | 0.078 | ||
| ESKD | 53.12 ± 47.70 | 38 [34.80] | <0.001 | 0.078 | NA | ||
| Urate *, µmol/L | Rec | 331.64 ± 82.10 | 338 [120] | <0.001 | NA | 0.009 | 0.034 |
| CKD | 400.25 ± 115.79 | 403 [174] | 0.009 | NA | 0.615 | ||
| ESKD | 438.86 ± 62.29 | 439 [78] | 0.034 | 0.615 | NA | ||
| TP *, g/L | Rec | 48.03 ± 8.03 | 48 [12] | NS | NA | ||
| CKD | 49.49 ± 10.57 | 48 [17] | |||||
| ESKD | 51.43 ± 6.19 | 53 [11] | |||||
| Alb *, g/L | Rec | 26.03 ± 6.96 | 27 [10] | NS | NA | ||
| CKD | 26.59 ± 8.26 | 26 [12] | |||||
| ESKD | 31.00 ± 6.0 | 31.50 [11] | |||||
| A/G ratio, n | Rec | 1.220 ± 0.39 | 1.19 [0.49] | NS | NA | ||
| CKD | 1.26 ± 0.58 | 1.21 [0.63] | |||||
| ESKD | 1.58 ±0.69 | 1.35 [1.18] | |||||
| Chol, mmol/L | Rec | 8.23 ± 2.53 | 7.80 [3.60] | NS | NA | ||
| CKD | 7.77 ± 2.61 | 7.30 [3.40] | |||||
| ESKD | 7.08 ± 2.51 | 6.80 [1.60] | |||||
| Tg, mmol/L | Rec | 3.16 ± 1.81 | 2.80 [3.10] | NS | NA | ||
| CKD | 2.72 ± 1.09 | 2.60 [1.30] | |||||
| ESKD | 2.49 ± 1.04 | 2.45 [1.80] | |||||
| Variable | Group | Rec | CKD | ESKD | Sig. |
|---|---|---|---|---|---|
| Sex | Male | 15 (45.5%) | 30 (56.6%) | 6 (75.0%) | NS |
| Female | 18 (54.5%) | 23 (43.4%) | 2 (25.0%) | ||
| Deposit type Ig | Without Ig | 8 (24.2%) | 10 (18.85%) | 2 (25.0%) | NS |
| IgG | 6 (18.2%) | 17 (32.08%) | 3 (37.5%) | ||
| IgM | 5 (15.2%) | 3 (5.66%) | 2 (25.0%) | ||
| IgA | 0 (0.0%) | 2 (3.77%) | 0 (0.0%) | ||
| Mix | 14 (42.4%) | 21 (39.62%) | 1 (12.5%) | ||
| Thickening GBM | Segmental | 5 (15.2%) | 10 (18.85%) | 1 (12.5%) | NS |
| Diffuse | 28 (84.8%) | 43 (81.15%) | 7 (87.5%) | ||
| MN PH grade | I | 11 (33.3%) | 9 (16.98%) | 1 (12.5%) | NS |
| II | 10 (30.3%) | 25 (47.18%) | 2 (25.0%) | ||
| III | 8 (24.2%) | 14 (26.41%) | 5 (62.5%) | ||
| LN | 4 (12.2%) | 5 (9.43%) | 0 (0.0%) | ||
| HTN at the time of kidney biopsy | No | 14 (42.4%) | 15 (28.3%) | 1 (12.5%) | NS |
| Yes | 19 (57.6%) | 38 (71.7%) | 7 (87.5%) | ||
| AKI or CKD | Yes | 6 (18.2%) | 17 (32.08%) | 8 (100.0%) | 0.02 |
| No | 27 (81.8%) | 36 (69.2%) | 0 (0.0%) |
| Predictor | Comparison vs. Recovery | β (SE) | OR | 95 % CI for OR | p |
|---|---|---|---|---|---|
| Ccr (per 1 mL·min−1) | CKD | –0.021 (0.009) | 0.979 | 0.963–0.996 | 0.014 |
| Age (per year) | ESKD | 0.020 (0.009) | 1.021 | 1.002–1.040 | 0.032 |
Disclaimer/Publisher’s Note: The statements, opinions and data contained in all publications are solely those of the individual author(s) and contributor(s) and not of MDPI and/or the editor(s). MDPI and/or the editor(s) disclaim responsibility for any injury to people or property resulting from any ideas, methods, instructions or products referred to in the content. |
© 2025 by the authors. Licensee MDPI, Basel, Switzerland. This article is an open access article distributed under the terms and conditions of the Creative Commons Attribution (CC BY) license (https://creativecommons.org/licenses/by/4.0/).
Share and Cite
Baralić, M.; Gajić, S.; Kostić, M.; Stojadinović, M.; Filić, K.; Bjelić, D.; Karadžić-Ristanović, V.; Mrđa, I.; Gavrilović, J.; Ćujić, D.; et al. Laboratory, Clinical, and Pathohistological Significance of the Outcomes of Patients with Membranous Nephropathy After 10 Year of Follow-Up. Life 2025, 15, 1221. https://doi.org/10.3390/life15081221
Baralić M, Gajić S, Kostić M, Stojadinović M, Filić K, Bjelić D, Karadžić-Ristanović V, Mrđa I, Gavrilović J, Ćujić D, et al. Laboratory, Clinical, and Pathohistological Significance of the Outcomes of Patients with Membranous Nephropathy After 10 Year of Follow-Up. Life. 2025; 15(8):1221. https://doi.org/10.3390/life15081221
Chicago/Turabian StyleBaralić, Marko, Selena Gajić, Mihajlo Kostić, Milorad Stojadinović, Kristina Filić, Danka Bjelić, Vidna Karadžić-Ristanović, Ivana Mrđa, Jovana Gavrilović, Danica Ćujić, and et al. 2025. "Laboratory, Clinical, and Pathohistological Significance of the Outcomes of Patients with Membranous Nephropathy After 10 Year of Follow-Up" Life 15, no. 8: 1221. https://doi.org/10.3390/life15081221
APA StyleBaralić, M., Gajić, S., Kostić, M., Stojadinović, M., Filić, K., Bjelić, D., Karadžić-Ristanović, V., Mrđa, I., Gavrilović, J., Ćujić, D., Sič, A., Janković, S., Putica, I., Stankovic, S., Vićentijević, D., Životić, M., Radojević-Škodrić, S., Pavlović, J., Bontić, A., & Kezić, A. (2025). Laboratory, Clinical, and Pathohistological Significance of the Outcomes of Patients with Membranous Nephropathy After 10 Year of Follow-Up. Life, 15(8), 1221. https://doi.org/10.3390/life15081221

