Abstract
The aim of the current work was to examine for the first time the nephropreventive capacity of Ephedra alata seed extract (E) against maternal exposure to acephate in rat offspring. The in vivo results revealed that E. alata supplementation for 28 days (40 mg/kg b.w.) significantly attenuated the nephrotoxicity in adult offspring induced by acephate. In fact, it decreased the levels of creatinine and uric acid and increased the albumin content compared to the intoxicated group. The in utero studies showed that E. alata inhibited the renal oxidative stress generated by acephate exposure by reducing lipid peroxidation and enhancing antioxidant biomarker activities (GSH, CAT, and SOD). The inhibition of DNA fragmentation and the improvement of the ultrastructural changes highlighted the prophylactic effect of E. alata in renal tissue. Additionally, the immunofluorescence study showed the upregulation of LC3 gene expression, suggesting the capacity of E. alata extract to stimulate autophagic processes as a protective mechanism. Molecular docking analysis indicated that hexadecasphinganine, the major compound in E. alata, has a higher affinity toward the Na+/K+-ATPase, epithelial sodium channel (ENaC), and sodium hydrogen exchanger 3 (NHE3) genes than acephate. Hexadecasphinganine could be considered a potential inhibitor of the activity of these genes and therefore exerted its preventive capacity. The obtained findings confirmed that E. alata seed extract exerted nephropreventive capacities, which could be related to its bioactive compounds, which possess antioxidant activities.
1. Introduction
The incidence of chronic kidney disease has been increasing at a worrying rate in recent decades. More than 10% of the world’s population suffers from at least one form of kidney disease [1]. Increased blood pressure, diabetes mellitus, and obesity are common risk factors [2]. However, nearly 40% of pathological cases have been associated with environmental risk factors such as heavy metals, nanomaterials, and mostly agrochemical exposure (pesticides and fertilizers) [3]. Several studies have shown that various classes of pesticides can develop the main risk factors that cause chronic kidney illnesses [4]. Acephate, as an organophosphate insecticide, is considered to be the most frequently used pesticide in agriculture. According to the WHO, food and drinking water are the main sources of exposure to this pesticide, which increases the risk of multiorgan anomalies [5,6]. Furthermore, the evidence reflects that prenatal exposure to pesticides affects renal function and causes chronic kidney diseases in adulthood [7,8]. A recent experimental study reported by [7] showed that in utero acephate exposure affects kidney function in adult rat offspring.
Currently, the drugs used to treat kidney disorders are sometimes insufficient and can have serious side effects [9]. In view of this observation, research is moving toward medicinal plants, considered an important source of multiple phytotherapeutic substances endowed with biological activities, and possibly considered as efficacy weapons, making it possible to counteract renal oxidative stress and its damage [10,11].
Among the medicinal species of Tunisia is Ephedra alata, an endemic desert species that belongs to the Ephedraceae family and is an herbaceous plant growing in rocky mountains. The leaves, stems and fruits of this plant are used in traditional medicine as active drugs against various ailments [12]. The scientific literature regarding the pharmacological characteristics of E. alata revealed varied beneficial properties of the extracts of this species, such as antioxidant, anticancer, and antiviral capacities [13,14]. In fact, the explored potential health benefits are related to their active molecules [13,15]. Recent studies by Alqahtani et al. [7] highlighted the phytochemical contents of E. alata fruits. HPLC–ESI–QTOF/MS analysis revealed the presence of various metabolites, including fatty acids, flavonoids, sphingolipids, and ephedrine derivatives (Table S1).
Despite the available knowledge about the phytochemical profile of E. alata seeds and their biological activity in vitro, the in vivo study of this plant remains unknown and needs to be explored. Thus, this is the first investigation to evaluate the preventive capacity of E. alata seed extract against the effect of prenatal intake of acephate on kidney function in adult rat offspring. A molecular docking analysis was used to show the interaction of hexadecasphinganine, the major compound in E. alata, with Na+/K+-ATPase, ENaC, and NHE3 genes, as important biomarkers implicated in acephate-induced nephrotoxicity.
2. Materials and Methods
2.1. Samples: Extraction and Analysis
The extract of Ephedra alata seeds (E) was obtained using the methodology reported in a previous study [16]. Briefly, 1 g of dried E. alata seeds was extracted using 40 mL of methanol:water (80:20, v/v) in an ultrasonic bath for 60 min. The obtained extract was centrifuged (1000× g for 15 min) and then evaporated under reduced pressure at 40–50 °C to remove water and methanol. The final extract (E) was kept at −80 °C for the in vivo experimental test. In a recent study, E was characterized using HPLC-ESI-QTOF-MS/MS [7]. The obtained results are summarized in Table S1. Chromatographic analysis revealed the richness of Ephedra extract with bioactive components, including ephedrine derivatives, sphingolipides, flavonols, hexosides, and fatty acids (Table S1). The predominant bioactive compound was hexadecasphinganine (Figure S1).
2.2. Animal Model
Healthy mature Wistar rats (200–250 g of weight and 60 days old), purchased from a Central Pharmacy of Tunisia, were used in this study. Animals were kept in sets of polypropylene plastic cages under standard conditions (12 h blackness/day schedule) at 23 ± 1 °C. The rats had free access to water and ordinary laboratory food from the animal nutrition company “SNA”, Sfax, Tunisia). All investigations were determined according to the Ethical Committee for the Care and Use of Laboratory Animals at the University of Gafsa, Tunisia (No: FSG-AE-20-23).
2.3. Experimental Design
The rats were allowed one week to acclimatize, weighed, and randomly separated into five groups (six animals in each group, n = 6):
Group I (Control): the rats received gavage treatment with vehicle control (corn oil, Sigma Aldrich, St. Louis, MO, USA).
In group II (ACP-1) and group III (ACP-2), the animals were treated daily by gavage with acephate (Figure S2) (Sigma Aldrich, 98% purity, CAS Number: 30560-19-1) dissolved in corn oil at doses of 14 and 28 mg/kg body weight, respectively, from Day 6 of pregnancy, which corresponds to the implantation of the fetus, until delivery.
Group IV (E + ACP-1) and group V (E + ACP-2) rats were pretreated by gavage with E (40 mg/kg body weight) dissolved in corn oil for 28 days and received acephate (14 and 28 mg/kg b.w., respectively) daily from Day 6 of pregnancy.
All the groups treated with acephate were given 14 mg/kg and 28 mg/kg of body weight according to our recent report [7] and based on the oral LD50 values of 1/10 and 1/20 of acephate, respectively. To verify the absence of E. alata seed extract adverse effects in rats, four groups receiving multiple doses of E (5, 10, 20, and 40 mg/kg body weight) were compared to untreated rats within 24 h and during a subsequent 21 day observation period. No remarkable variation in the behavior or mortality of the animals was detected up to the selected dose of E (40 mg/kg body weight).
2.4. Biological Sample Collection
The pregnant rats were kept until normal delivery, and on postnatal week 8, the adult female rat offspring were euthanized. Blood was obtained from the orbital venous plexus. The plasma was separated by centrifugation (750× g; 10 min; 4 °C) and directly used for the analysis of biochemical parameters. Plasmatic creatinine (Cat# 80343. Range: 0.15–13.5 mg/dL; Crystal Chem Inc.; Elk Grove Village, IL, USA), uric acid (DIUA-250, range 0.22 mg/dL to 30 mg/dL; BioAssay Systems, Hayward, CA, USA), and albumin (ab235642; Abcam, Cambridge, MA, USA) were evaluated via assay kits following the manufacturer’s protocol. The animals were dissected, and then the kidneys were harvested, weighed, and washed with phosphate-buffered saline. Portions of these tissues were immediately fixed in neutral buffered formalin (NBF) for immunofluorescence and histopathological testing. The remaining tissue was directly fixed in RNAlater solution and then stored at −80 °C for oxidative stress analysis and molecular studies.
2.5. Analysis of DNA Fragmentation
To detect DNA damage, the protocol reported in a recent study was used [16]. Briefly, 60 mg of renal tissue was rinsed with cold PBS and then crushed in digestion buffer that contained proteinase K. After incubation at 56 °C for 3 h, the DNA was isolated by adding a volume of phenol/chloroform/isoamyl alcohol (25 V/24 V/1 V). The obtained DNA was resuspended in 5 µL of RNase (Sigma–Aldrich) to degrade all cellular RNAs. The isolated DNA was stained with ethidium bromide and then subjected to electrophoresis on an agarose gel (0.8%). The obtained gels were visualized under UV light and photographed.
2.6. Determination of Lipid Peroxidation
Approximately 0.5 g of excised renal tissues was homogenized into 2 mL ice-cold physiological saline (pH 7.4), sonicated twice, and centrifuged for 20 min at 4000× g (4 °C). The collected supernatants were used to determine the levels of malondialdehyde (MDA) using a thiobarbituric acid reaction at an absorbance of 532 nm in a spectrophotometer (Shimadzu, Kyoto, Japan, UV-1800). The results were expressed as nmol MDA/mg of protein, as described previously by Buege [17].
2.7. Evaluation of Enzymatic and Non Enzymatic Antioxidants
The GSH content in the kidney tissue was evaluated as reported by Aebi [18]. The activity of catalase (CAT) was calculated according to Sedlak and Lindsay [19], and the results are expressed as units of catalase activity (mg protein). The total activity of SOD was evaluated by measuring the inhibition of pyrogallol autoxidation catalyzed by superoxide radicals following the assay reported by Marklund and Marklund [20]. The protein levels of the renal tissue were measured [21] using bovine serum albumin as a reference.
2.8. Histopathological Examination
Kidney tissues were fixed in neutral buffered formalin (NBF) for 7 days and then introduced into paraffin liquid. The obtained blocks were cut into 4 μm sections and stained with hematoxylin and eosin (HE) to evaluate changes in renal structure. Processing and photomicrography were applied at the pathological anatomy laboratory at the Hospital, Gafsa, Tunisia, under a light microscope. All of the procedure was carried out according to our recent studies [7,22].
2.9. Immunofluorescence Examination
To explore the autophagy process of the renal tissue, an immunofluorescence study using a biomarker gene, namely, LC3, was performed as described in a previous study [23]. Briefly, the kidney tissues were sectioned at a thickness of 3 µm, dewaxed, hydrated, and washed with distilled water followed by PBS. Then, the slides were placed in a solution containing Triton X-100 and sodium citrate. The samples were blocked with FBS and incubated overnight at 4 °C with a primary antibody anti-LC-3 (1:100 dilutions, Dg-Peptide Co., Hangzhou, China), followed by subsequent incubation in the dark (45 min at 37 °C) with an anti-rabbit FITC-conjugated secondary antibody (1:2000 dilutions, Abcam, USA). Finally, the sections were mounted with Hoechst solution (diluted 1:15,000, Hoechst 33342, Life Technologies, Carlsbad, CA, USA) after treatment with TE buffer and PBS. The immunofluorescence sections were analyzed via a confocal microscope from Zeiss and then photographed. The mean fluorescence intensity for the protein expression of LC-3 was recorded by Zen service (ZEN lite) and quantified using GraphPad Prism 9 (GraphPad Prism 10.0.3 Software).
2.10. Molecular Docking Study
The three-dimensional crystallographic structures of the proteins were obtained from the RCSB Protein Data Bank (PDB) (https://www.rcsb.org/, accessed on 12 November 2023). Three proteins were selected for the docking process; they were selected based on their role in the induction of nephrotoxicity caused by acephate. They include the structure of the human epithelial sodium channel (ENaC) (PDB ID: 6BQN, resolution, 3.90 Å), the Na,K-ATPase in the E2P state with bound ouabain and Mg2+ in the cation-binding site (PDP ID: 4HYT, resolution 3.404 Å), and the crystal structure of a human NHE3-CHP1 (PDB ID: 7X2U, resolution, 3.20 Å).
Two compounds (ligands) were used for docking: the major compound of E. alata seed extract (hexadecasphinganine) (Figure S1) and the toxicant acephate (Figure S2). Compound 3D structures were obtained from the PubChem database (https://pubchem.ncbi.nlm.nih.gov/, accessed on 12 November 2023) under the following IDs:656816 and 1982.
Prior to the docking process, Schrodinger’s Protein Preparation Wizard tool [24] was used for 3D structures of proteins prepared by the addition of hydrogen atoms, the removal of water molecules and heteroatoms, the addition of required charges, the structure of protonation, and energy minimization via the OPLSe3 force field.
The essential part of the transmembrane region that harbors the pathway for ion conduction in ENaC was targeted in molecular docking [25,26]. The active pocket of Na, K-ATPase was determined according to a previous publication [27], while the active site of NHE3-CHP1 (PDB ID: 7X2U) was determined according to the position of the co-crystalized ligand.
Schrodinger’s Induced Fit Docking (in which protein residues are flexible) was used to study the possible interaction between protein active site residues and ligands. The ligands were kept flexible while the protein residues were kept flexible during the docking process, and 10 conformations were generated from each run. The XP docking score (XP Dscore), docking score (D Score) and energy model (emodel) were calculated to estimate the binding affinity of ligands in the protein active site. Extraprecision (XP) docking and scoring, a more potent and precise method, is intended to be applied to ligand poses with high scores. The Glide method of the Schrodinger suite uses the emodel score, one of the important molecular docking scoring systems, to select the most appropriate ligands. The GlideScore is a crucial way to distinguish between active and inactive small molecules with high binding capacity and others with weak or no binding affinities [28]. More negative scores indicate better stability of the complex.
2.11. Statistics
The distribution of data was assessed using Levene’s test. When the assumption of normality was met, a one-way analysis of variance (ANOVA) followed by Tukey’s test was performed with significance level set at <0.05. The results are expressed as the mean ± standard deviation (SD).
3. Results
3.1. Clinical Observation and Mortality
There were no apparent clinical signs or deaths observed in any of the groups of animals at postnatal week 8. In fact, none of the animals showed any signs of toxicity in various aspects such as fur, eyes, sleep, skin, salivation, behavior, and diarrhea. The water and food consumption of the experimental rats did not differ significantly from that of the normal animals. However, there was a significant weight loss observed in the animals treated with ACP1 and ACP2 compared to the normal group, as depicted in Figure 1. The administration of E. alata extract partially attenuated the reduced body weight, as compared to the ACP1 and ACP2 group alone.
Figure 1.
The effect of treatment on body weight on the different experimental groups of rat. The values are expressed as the mean ± standard deviation of six rats from each group. ** p < 0.01; **** p < 0.0001 significant differences. ACP1: low dose of acephate; ACP2: high dose of acephate; E + ACP1: Ephedra extract plus low dose acephate; E + ACP2: Ephedra extract plus higher dose of acephate.
3.2. Assessment of Biochemical Renal Biomarkers
The variations in the biochemical biomarkers in plasma (Figure 2) revealed that the two doses of acephate (ACP1 and ACP2) caused a significant increase (p ≤ 0.001) in the levels of creatinine and uric acid, simultaneously with a remarkable decrease in albumin concentration in the offspring of female rats, in comparison to the normal group. However, in the (E + ACP1) or (E + ACP2) group, pretreatment with the E. alata seed extract (40 mg/kg) partially restored these plasmatic renal biomarkers without reaching those of the controls (C).
Figure 2.
Variations in the concentrations of creatinine, uric acid, and albumin in the plasma of the offspring of female rats in the control and treated groups. The values are expressed as the mean ± standard deviation of six rats from each group. **** p < 0.0001 significant differences. n.s., not significant. ACP1: low dose of acephate; ACP2: high dose of acephate; E + ACP1: Ephedra extract plus low dose acephate; E + ACP2: Ephedra extract plus higher dose of acephate.
3.3. Evaluation of Lipid Peroxidation
The analysis of the results displayed in Figure 3 revealed a remarkable increase in the concentration of MDAn in the ACP1 (p < 0.01) and ACP2 (p < 0.0001) groups compared to the control group (C). However, the daily administration of E. alata clearly reduced lipid peroxidation in the renal tissue of the offspring of female rats through a decrease (p < 0.0001) in MDA levels by, ca., 40.2% in the E + ACP2 group compared to the ACP2 group. No significant effect was shown in the E + ACP1 group compared to the ACP1 group.
Figure 3.
Variations in MDA content in the kidneys of control (C) and treated (ACP1, ACP2, E + ACP1 and E + ACP2) rats. The values are expressed as the mean ± standard deviation of six rats from each group. ** p < 0.01; **** p < 0.0001 significant differences. n.s., not significant. ACP1: low dose of acephate; ACP2: high dose of acephate; E + ACP1: Ephedra extract plus low dose acephate; E + ACP2: Ephedra extract plus higher dose of acephate.
3.4. Variations in the Activity of Antioxidant Enzymes (SOD and CAT) and Total GSH Content
Figure 4 illustrates the activity of the antioxidant enzymes catalase (CAT) and superoxide dismutase (SOD) as well as the level of GSH in the kidneys of the different groups.
Figure 4.
Changes in enzymatic (SOD and CAT) and nonenzymatic (GSH) antioxidants in renal tissue in the offspring of female rats in the control and treated groups. The values are expressed as the mean ± standard deviation of six rats from each group. * p < 0.05; ** p < 0.01; **** p < 0.0001 significant differences. n.s., not significant. ACP1: low dose of acephate; ACP2: high dose of acephate; E + ACP1: Ephedra extract plus low dose acephate; E + ACP2: Ephedra extract plus higher dose of acephate.
A significant decrease in the activity of the targeted enzymes in the rats treated with both doses of acephate (ACP1 and ACP2) was observed. However, pretreatment with the extract of E. alata demonstrated a clear restoration of the activity of these enzymes in the renal supernatant. Likewise, the total GSH content in kidney tissue fell in the acephate-treated groups when compared to the control group. In contrast, a significant restoration of the level of this nonenzymatic antioxidant was observed in the E + ACP1 and E + ACP2 groups.
3.5. Genotoxicity Study
The results of genomic DNA analysis using agarose gel electrophoresis are summarized in Figure 5. The prenatal administration of acephate induced genotoxicity, resulting in DNA fragmentation of kidney tissue. Indeed, it was remarkable that following the administration of this insecticide, a smear appeared representing the DNA fragments at different molecular weights (ACP1 and ACP2) in comparison to the DNA isolated from the control group (C), which demonstrated a normal structure. However, pretreatment of the animals with the methanolic extract of E. alata at 40 mg/kg attenuated the effect of acephate-induced genotoxicity (E + ACP1 and E + ACP2).
Figure 5.
Agarose gel electrophoresis (2%) of DNA obtained from the kidney tissue of control rats (C), rats exposed to a low dose of acephate (ACP1), rats exposed to a high dose of acephate (ACP2), and rats pretreated with methanolic extract of Ephedra alata and exposed either to a low dose of acephate (E + ACP1) or a high dose of acephate (E + ACP2).
3.6. Autophagy Analysis
The microscopic observation of immunofluorescence sections, performed on the kidneys of control rats (Figure 6), showed a normal structure with minor traces of the LC-3 gene. In the rats treated with the two doses of acephate, microscopic observation of the sections revealed a significant increase in the expression thresholds of LC-3 in the kidneys relative to the control group. This was confirmed by the presence of green-colored granules in the two treated groups compared to the control group (Figure 6, ACP1 and ACP2). As a corollary, the treatment of rats with the extract of the seeds of E. alata (40 mg/kg) resulted in an improvement in green staining intensity (E + ACP1 and E + ACP2), thus reflecting an increase in protein expression (LC-3), which translated to an increase in autophagy, which acts, in this case, as a corrective mechanism.

Figure 6.
Quantification of the autophagic marker LC-3 in the offspring of control and treated rats. Immunofluorescence staining (Gx200), and relative intensity of LC-3. The values are expressed as the mean ± standard deviation of six rats from each group. * p < 0.05; *** p < 0.001 significant differences. ACP1: low dose of acephate; ACP2: high dose of acephate; E + ACP1: Ephedra extract plus low dose acephate; E + ACP2: Ephedra extract plus higher dose of acephate.
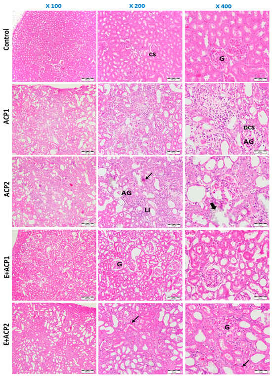
3.7. Structural Exploration (H-E Staining)
Figure 7 shows the histological sections of the kidney tissues stained with hematoxylin and eosin (H-E) in the different experimental groups. The results demonstrated that in control rats, the renal tissue presented the form of a renal cortex containing numerous glomeruli. Each glomerulus presented a bundle of looped capillaries surrounded by narrow Bowman’s spaces, with convoluted and intact distal and proximal tubules. However, sections of the kidneys in rats treated with both doses of acephate (ACP1 and ACP2) demonstrated marked changes reflecting the presence of a number of irregularly arranged glomeruli exhibiting fibrosis. Furthermore, areas of calcification, tubular dilation, and a high level of inflammatory cell infiltration in the tubular lumen and collecting duct were detected. However, it should be noted that the association of the methanolic extract of E. alata with acephate (E + ACP1 and/or E + ACP2) revealed protection against the toxicity of this product, as manifested by an amelioration of the structural damage. Indeed, an improvement in the architecture of the glomeruli was observed with the attenuation of the number of tubular dilatations, the regression of the areas of fibrosis, and the restoration of the number of inflammatory cells.
Figure 7.
Photomicrographs of the kidney tissue of the experimental groups using hematoxylin and eosin staining (100×; 200×; 400×). ACP1: low dose of acephate; ACP2: high dose of acephate; E + ACP1: Ephedra plus low dose acephate; E + ACP2: Ephedra plus higher dose of acephate. Normal glomeruli (G), capsule space (CS), atrophy of glomeruli (AG), dilatation of capsule space (DCS), calcification (large arrow), renal cell fibrosis (arrow), excessive leukocyte infiltration (LI).
3.8. Molecular Docking Analysis
The robust technique of molecular docking is used to examine the atomic-level interactions of small compounds with proteins. In the current work, molecular docking was used to study the possible competitive interaction of hexadecasphinganine and acephate in the active site of the ENaC protein. The interaction of hexadecasphinganine and ENaC generated −6.05 kcal/mol docking energy, −41.05 kcal/mol glide emodel, and Glide van der Waals energies (EvdW) was −30.6; the sum of these energies resulted in this high affinity of ligand to protein residues. Additionally, the terminal polar part of the hexadecasphinganine which contains nitrogen and oxygen atoms donated three hydrogen bonds to oxygen in residues number 555 (two hydron bonds) and 59. While the middle nonpolar part of the ligand generated eight hydrophobic bonds with residues in hydrophobic protein pockets (552 (two), 66 (two), 528 (three), and 63); this results in tighter binding. The interaction of acephate and ENaC generated −3.5 kcal/mol, −35 kcal/mol, and evdw −33.6 Kcal/mol. When compared to hexadecasphinganine, the acephate formed only three hydrophobic bonds that were observed with residues number 555, 528, and 63 (Table 1) (Figure 8A,B).
Table 1.
Docking scores of the interaction of ligands and proteins (Kcal/mol).
Figure 8.
3D structure representation of the competitive interactions of ENaC (A,B), Na, K-ATPase (C,D), NHE3 (E,F), and the ligands hexadecasphinganine (green and white) and acephate (red). The blue color indicates basic residues; the red color indicates acidic residues. The active site is shown in a circle.
The competitive interaction of Na, K-ATPase with both hexadecasphinganine and acephate exhibited docking energies of −5 and −3.08 kcal/mol, respectively, and emodel energies of −48.3 and −29.9 kcal/mol, respectively (Table 1). The polar part of the hexadecasphinganine donated four hydrogen atoms to oxygen atoms of residues Glu117 (two bonds), Asp121, and Thr797 in the hydrophilic part of Na, K-ATPase. Also, this part generated two salt bridges with the nitrogen atom of the ligand and oxygen atoms of (Glu117, and Asp121) of the protein; moreover one hydrophobic bond was observed with Lys905. The acephate and Na, K-ATPase generated two hydrogen bonds with Asn122 (Table 2), the small number of bonds and the lowest values of binding energy reflect the weaker interactions of protein and acephate.
Table 2.
The generated Hydrogen bonds.
Seven hydrophobic bonds were formed due to the interaction of Gln111, Glu116, Leu311, Glu312, Ile315 (two), and Leu793 due to the interaction of Na, K-ATPase and hexadecasphinganine. The interaction of Na, K-ATPase and acephate generated no hydrophobic bonds (Table 3) (Figure 8C,D).
Table 3.
The generated hydrophobic bonds.
The competitive interaction of hexadecasphinganine and acephate with NHE3 protein generated XP docking scores of −4.3 and −2.7 kcal/mol, and the emodel energies were −40.5 and −30.5, respectively (Table 1). The interaction of NHE3 and hexadecasphinganine exhibited six hydrogen bonds with Arg397 (two bonds), Met398, Gln497, and Ile498 (two bonds) (Table 2). NHE3 and hexadecasphinganine further generated four hydrophobic bonds with Leu144, Leu145, and Tyr396 (two bonds). NHE3 and acephate generated three hydrogen bonds with Thr142, Tyr396, and Arg397. Additionally, four acephate hydrophobic bonds were generated with Leu393, Tyr396, and Arg397 (Table 3) (Figure 8E,F).
4. Discussion
Currently, bio-antioxidants are attracting research interest due to their safety and beneficial effects against many diseases linked to oxidative stress [29]. Many medicinal plants contain large quantities of antioxidants capable of attenuating and neutralizing free radicals [16,30]. E. alata is one of the most commonly used plants in North African regions for the treatment of diabetes, cardiovascular diseases, and various cancerous lesions. However, no data are available on the nephroprotective effects of this species against pesticide toxicity. Therefore, this study explored for the first time the ameliorative effect of the methanol extract of E. alata seeds against the damage caused by in utero acephate exposure in the kidney tissue of the offspring of Wistar rats.
The administration of acephate caused renal dysfunction, marked by an increase in renal biomarkers, namely, creatinine, uric acid, and urea. These observed abnormalities have also been reported in rats exposed to other organophosphate compounds [31,32]. The significant increase in plasma levels of creatinine, urea, and uric acid observed could be associated with impaired glomerular function and renal tubular damage, which was confirmed by the histopathological results obtained in this study. The renal section demonstrated increasing numbers of sclerotic glomeruli, fibrosis, severe tubular dilations, and leukocyte infiltration in the offspring of rats treated with acephate.
The pre-co-administration of E. alata extract restored plasma concentrations of urea, uric acid, and creatinine to normal limits. The preventive capacity of E. alata seed extract was probably the result of improved renal membrane structure and subsequently the proper functioning of this tissue. The protective effect of E. alata could be linked to its content of phytochemical compounds. Indeed, recent reports have addressed the protective effect of natural compounds against kidney damage [33,34].
The generation of reactive oxygen species (ROS) (superoxide anion, hydroxyl radical, hydrogen peroxide, nitric oxide) is part of the normal metabolism of the cell. During contamination by a xenobiotic, an imbalance is created between the generation of ROS and the production of antioxidants, leading to a state of oxidative stress. Recent studies have revealed that the induction of oxidative stress and the disruption of total antioxidant capacity are possible mechanisms of toxicity of different pesticides in animals [35,36]. The present data revealed an increase in the level of lipid peroxidation (high MDA level in groups treated with acephate), consequently confirming the appearance of oxidative damage in the kidney tissues of offspring rats. Indeed, acephate is a highly lipophilic compound that is capable of easily infiltrating the cell membrane and making membrane lipids and proteins vulnerable to oxidative damage [37]. The administration of E. alata improved the status of lipid peroxidation, clearly indicating its powerful chemopreventive and antioxidant capacity against renal oxidative stress induced by acephate in the offspring of adult rats. As concluded above, E. alata exhibited an antioxidant role through the presence of biomolecules known for their ROS scavenging capacities [7].
Furthermore, pre-co-administration with E. alata attenuated renal oxidative stress by increasing the activities of SOD and CAT, as well as the levels of GSH in the kidney. Thus, E. alata extract consumption in early life might develop cellular antioxidative defense, which leads to protection against renal structural injury induced by acephate exposure in utero in female offspring during adulthood. Similar results published by [38,39] demonstrated that E. alata presented a protective effect against oxidative stress in various tissues.
These findings suggested the important antioxidant and ROS scavenging effects of E. alata seeds, which effectively shielded the renal tissue from radical-induced depletion during acephate toxicity. The antioxidant properties of E. alata might be due to its richness in bioactive compounds. In fact, recent studies by [7] revealed that the HPLC- QTOF-MS/MS analysis of E. alata seeds showed various phytochemicals, including flavonoids, sphingolipids, and ephedrine derivatives. Natural antioxidants are capable of reducing free radical injuries by acting directly as a free radical scavenger and/or indirectly by activating enzymatic (SOD, CAT and GSH-Px) and nonenzymatic (GSH) antioxidant systems, which reduce lipid peroxidation in animals [40,41,42,43]. In addition, these natural compounds play an effective function in preserving mitochondrial homeostasis and therefore protecting against oxidative damage [44].
DNA fragmentation is one of the first events in apoptosis. In the present study, acephate was found to be capable of inducing DNA damage. This compound increased DNA fragmentation and the formation of intense bands (ladder) marking apoptotic damage in kidney cells. Data from published studies have linked pesticide administration to increased DNA fragmentation and therefore genotoxicity in the kidney [45,46]. Conversely, E. alata treatment at a dose of 40 mg/kg significantly attenuated the observed genotoxicity and decreased the alteration of the DNA profile induced by acephate exposure. Several mechanisms could explain this effect, some of which were linked to the presence of a high level of beneficial metabolites known for their inhibitor properties of DNA fragmentation in renal tissue, as reported by previous studies [47,48].
Currently, autophagy is considered a target of agrochemical pollutants in various tissues [49]. Specific apoptotic markers (Beclin 1 and LC3) were explored to verify the degree of autophagy processes. In the current work, the expression of LC-3 protein was increased in the kidneys of rat offspring. Similar findings were reported by other researchers [50,51], who revealed that several insecticides are able to induce autophagy. Interestingly, E. alata seed extract treatment markedly enhanced LC-3 biomarker expression in renal tissue compared to the acephate-treated group, suggesting that E. alata exhibited an ameliorative effect on the autophagy pathway as a protective mechanism against the stress state. Indeed, experimental studies revealed that diverse phytochemicals could activate the autophagy process, thereby preventing and treating chronic kidney disease [52,53]. The route by which the E. alata extract increased the LC-3 and autophagy processes remains to be determined.
Recent studies by our team showed that prenatal exposure to acephate promotes kidney function failure and induces nephrotoxicity in rat offspring via upregulation of the mRNA expression levels of the ENaC, NHE3, and Na+/K+-ATPase genes [7,22]. Herein, the objective was to estimate the binding affinity and the competitive inhibitory effect of hexadecasphinganine, as the major compound in E. alata seeds, and acephate to different targets, such as ENaC, Na+/K+-ATPase, and NHE3. The molecular docking study revealed the ability of hexadecasphinganine to block the interaction site of the pesticide (acephate). Indeed, hexadecasphinganine exhibited better docking affinity (−6.05, −5.00, and −4.3 kcal/mol to ENaC, Na+/K+-ATPase, and NHE3, respectively) than acephate (−3.5, −3.08, and −3.3 kcal/mol to ENaC, Na+/K+-ATPase, and NHE3, respectively). Additionally, these results were supported by the low negative (better) results of the emodel scoring, which is one of the salient molecular docking scoring functions. Hexadecasphinganine generated better emodel scores with ENaC, Na+/K+-ATPase, and NHE3 than acephate. The interaction of NHE3 and hexadecasphinganine exhibited two hydrogen bonds with Arg397. NHE3 and acephate generated only one hydrogen bond with Arg397, which indicated the possibility of competitive inhibition of hexadecasphinganine when compared to a weakly interacting acephate. These findings suggested that hexadecasphinganine might be able to block the interaction site of acephate with the targets and potentially reduce their toxicity.
5. Conclusions
This study provides compelling evidence that E. alata seed extract exhibits nephroprotective properties, particularly against early life exposure to the pesticide acephate. The protective mechanism appears to be primarily through the reduction of oxidative stress, enhancement of antioxidant activities, inhibition of DNA fragmentation, and stimulation of autophagic processes within renal tissue. Moreover, the molecular docking analysis suggested that hexadecasphinganine, a major compound found in E. alata, may act as a potential inhibitor of certain genes implicated in acephate-induced nephrotoxicity. This could be one of the primary ways the extract exerts its preventive effects. These findings may lead to further investigation into the potential use of E. alata and its bioactive compounds in the prevention and treatment of nephrotoxicity and possibly other pesticide-induced toxicities. They also emphasize the need for more advanced research into the therapeutic potential of other medicinal plants in mitigating the health impacts of environmental pollutants.
Supplementary Materials
The following supporting information can be downloaded at: https://www.mdpi.com/article/10.3390/life13122254/s1, Figure S1: Chemical structure of Hexadecasphinganine. Figure S2: Chemical structure of acephate. Table S1. Compunds identified in E. alata seeds extract. Ref. [54] is cited in Supplementary Materials.
Author Contributions
A.M., A.F. and A.H.H. designed the experiments. A.M., M.d.M.C., S.N. and N.T. carried out the experiments. A.M., A.F. and N.H. analyzed the data. A.M., S.N. and A.H.H. wrote the paper. All authors have read and agreed to the published version of the manuscript.
Funding
This research was funded by the Deputyship for Research & Innovation, Ministry of Education in Saudi Arabia through the project no. (IFKSUOR-3-200-2).
Institutional Review Board Statement
This study was approved by the Ethical Committee for the Care and Use of Laboratory Animals at the University of Gafsa, Tunisia (No: FSG-AE-20-23) and carried out in accordance with the approved guidelines.
Informed Consent Statement
Not applicable.
Data Availability Statement
The data that support the findings of this study are available from the corresponding author (Abdel Halim Harrath) upon reasonable request.
Acknowledgments
The authors extend their appreciation to the Ministry of Higher Education, Scientific Research, and Technology in Tunisia, and to the Deputyship for Research & Innovation, Ministry of Education in Saudi Arabia through the project no. (IFKSUOR-3-200-2).
Conflicts of Interest
The authors declare no conflict of interest.
References
- Kovesdy, C.P. Epidemiology of chronic kidney disease: An update 2022. Kidney Int. Suppl. 2022, 12, 7–11. [Google Scholar] [CrossRef] [PubMed]
- Kazancioğlu, R. Risk factors for chronic kidney disease: An update. Kidney Int. Suppl. 2013, 3, 368–371. [Google Scholar] [CrossRef] [PubMed]
- Wan, E.-T.; Darssan, D.; Karatela, S.; Reid, S.A.; Osborne, N.J. Association of pesticides and kidney function among adults in the US population 2001–2010. Int. J. Environ. Res. Public Health 2021, 18, 10249. [Google Scholar] [CrossRef] [PubMed]
- Martins, G.K.d.M.; Pereira, N.C.; Cunha, N.V.d.; Agostinetto, L. Exposure of patients with chronic kidney disease on dialysis to pesticides. Braz. J. Nephrol. 2022, 45. [Google Scholar] [CrossRef] [PubMed]
- Aranha, M.L.G.; Garcia, M.S.; de Carvalho Cavalcante, D.N.; Silva, A.P.G.; Fontes, M.K.; Gusso-Choueri, P.K.; Choueri, R.B.; Perobelli, J.E. Biochemical and histopathological responses in peripubertal male rats exposed to agrochemicals isolated or in combination: A multivariate data analysis study. Toxicology 2021, 447, 152636. [Google Scholar] [CrossRef] [PubMed]
- Ribeiro, T.A.; Prates, K.V.; Pavanello, A.; Malta, A.; Tófolo, L.P.; Martins, I.P.; de Oliveira, J.C.; Miranda, R.A.; Gomes, R.M.; Vieira, E. Acephate exposure during a perinatal life program to type 2 diabetes. Toxicology 2016, 372, 12–21. [Google Scholar] [CrossRef] [PubMed]
- Alqahtani, W.; Mufti, A.; Aldawood, N.; Alshamrani, A.; Nahdi, S.; Aldahmash, W.; Jalouli, M.; Feriani, A.; Mansour, L.; Tlili, N. Autophagy activation, histopathological damage, and altered renal epithelial sodium channel and Na+, K+-ATPase gene expression in offspring kidney after in utero exposure to allethrin. J. King Saud. Univ.-Sci. 2023, 35, 102575. [Google Scholar] [CrossRef]
- Li, B.; Zhu, Y.; Chen, H.; Gao, H.; He, H.; Zuo, N.; Pei, L.; Xie, W.; Chen, L.; Ao, Y. Decreased H3K9ac level of AT2R mediates the developmental origin of glomerulosclerosis induced by prenatal dexamethasone exposure in male offspring rats. Toxicology 2019, 411, 32–42. [Google Scholar] [CrossRef]
- Chinnappan, S.M.; George, A.; Thaggikuppe, P.; Choudhary, Y.; Choudhary, V.K.; Ramani, Y.; Dewangan, R. Nephroprotective effect of herbal extract Eurycoma longifolia on paracetamol-induced nephrotoxicity in rats. Evid.-Based Complement. Altern. Med. 2019, 2019, 4916519. [Google Scholar] [CrossRef]
- Meka Kedir, W.; Dukassa Dubiwak, A.; Tofik Ahmed, E. Nephroprotective effect of asparagus africanus lam. root extract against gentamicin-induced nephrotoxicity in swiss albino mice. J. Toxicol. 2022, 2022, 8440019. [Google Scholar] [CrossRef] [PubMed]
- Onyesife, C.O.; Chukwuma, I.F.; Okagu, I.U.; Ndefo, J.C.; Amujiri, N.A.; Ogugua, V.N. Nephroprotective effects of Piper nigrum extracts against monosodium glutamate-induced renal toxicity in rats. Sci. Afr. 2023, 19, e01453. [Google Scholar] [CrossRef]
- Liang, S.; Meng, X.; Wang, Z.; Liu, J.; Kuang, H.; Wang, Q. Polysaccharide from Ephedra sinica Stapf inhibits inflammation expression by regulating Factor-β1/Smad2 signaling. Int. J. Biol. Macromol. 2018, 106, 947–954. [Google Scholar] [CrossRef] [PubMed]
- Mei, J.; Zhou, Y.; Yang, X.; Zhang, F.; Liu, X.; Yu, B. Active components in Ephedra sinica stapf disrupt the interaction between ACE2 and SARS-CoV-2 RBD: Potent COVID-19 therapeutic agents. J. Ethnopharmacol. 2021, 278, 114303. [Google Scholar] [CrossRef] [PubMed]
- Seif, M.; Deabes, M.; El-Askary, A.; El-Kott, A.F.; Albadrani, G.M.; Seif, A.; Wang, Z. Ephedra sinica mitigates hepatic oxidative stress and inflammation via suppressing the TLR4/MyD88/NF-κB pathway in fipronil-treated rats. Environ. Sci. Pollut. Res. 2021, 28, 62943–62958. [Google Scholar] [CrossRef] [PubMed]
- Duan, S.; Zhao, M.; Wu, B.; Wang, S.; Yang, Y.; Xu, Y.; Wang, L. Preparation, characteristics, and antioxidant activities of carboxymethylated polysaccharides from blackcurrant fruits. Int. J. Biol. Macromol. 2020, 155, 1114–1122. [Google Scholar] [CrossRef] [PubMed]
- Yassir, M.; Tir, M.; Mufti, A.; Feriani, A.; Faidi, B.; Tlili, N.; Sobeh, M. Millettia ferruginea extract attenuates cisplatin-induced alterations in kidney functioning, DNA damage, oxidative stress, and renal tissue morphology. Arab. J. Chem. 2022, 15, 104037. [Google Scholar] [CrossRef]
- Buege, J. Microsomal lipid peroxidation. Methods Enzymol. 1978, 52, 302–310. [Google Scholar]
- Sedlak, J.; Lindsay, R.H. Estimation of total, protein-bound, and nonprotein sulfhydryl groups in tissue with Ellman’s reagent. Anal. Biochem. 1968, 25, 192–205. [Google Scholar] [CrossRef]
- Aebi, H. Catalase in vitro. Methods Enzymol. 1984, 105, 121–126. [Google Scholar]
- Marklund, S.; Marklund, G. Involvement of the superoxide anion radical in the autoxidation of pyrogallol and a convenient assay for superoxide dismutase. Eur. J. Biochem. 1974, 47, 469–474. [Google Scholar] [CrossRef]
- Bradford, M.M. A rapid and sensitive method for the quantitation of microgram quantities of protein utilizing the principle of protein-dye binding. Anal. Biochem. 1976, 72, 248–254. [Google Scholar] [CrossRef] [PubMed]
- Mufti, A.; Jalouli, M.; Nahdi, S.; Tlili, N.; Alqahtani, W.; Mansour, L.; Alwasel, S.; Harrath, A.H. Maternal Exposure to Acephate Caused Nephrotoxicity in Adult Offspring Rats Mediated by Excessive Autophagy Activation, Oxidative Stress Induction, and Altered Epithelial Sodium Channel and Na+/K+-ATPase Gene Expression. Biology 2023, 12, 162. [Google Scholar] [CrossRef] [PubMed]
- Jalouli, M.; Mofti, A.; Elnakady, Y.A.; Nahdi, S.; Feriani, A.; Alrezaki, A.; Sebei, K.; Bizzarri, M.; Alwasel, S.; Harrath, A.H. Allethrin promotes apoptosis and autophagy associated with the oxidative stress-related PI3K/AKT/mTOR signaling pathway in developing rat ovaries. Int. J. Mol. Sci. 2022, 23, 6397. [Google Scholar] [CrossRef] [PubMed]
- Madhavi Sastry, G.; Adzhigirey, M.; Day, T.; Annabhimoju, R.; Sherman, W. Protein and ligand preparation: Parameters, protocols, and influence on virtual screening enrichments. J. Comput.-Aided Mol. Des. 2013, 27, 221–234. [Google Scholar] [CrossRef] [PubMed]
- Noreng, S.; Posert, R.; Bharadwaj, A.; Houser, A.; Baconguis, I. Molecular principles of assembly, activation, and inhibition in epithelial sodium channel. Elife 2020, 9, e59038. [Google Scholar] [CrossRef]
- Aggarwal, S.; Lazrak, A.; Ahmad, I.; Yu, Z.; Bryant, A.; Mobley, J.A.; Ford, D.A.; Matalon, S. Heme impairs alveolar epithelial sodium channels post toxic gas inhalation. BioRxiv 2020. [Google Scholar] [CrossRef]
- Yue, Q.; Zhen, H.; Huang, M.; Zheng, X.; Feng, L.; Jiang, B.; Yang, M.; Wu, W.; Liu, X.; Guo, D. Proteasome inhibition contributed to the cytotoxicity of arenobufagin after its binding with Na, K-ATPase in human cervical carcinoma HeLa cells. PLoS ONE 2016, 11, e0159034. [Google Scholar] [CrossRef]
- Friesner, R.A.; Banks, J.L.; Murphy, R.B.; Halgren, T.A.; Klicic, J.J.; Mainz, D.T.; Repasky, M.P.; Knoll, E.H.; Shelley, M.; Perry, J.K. Glide: A new approach for rapid, accurate docking and scoring. 1. Method and assessment of docking accuracy. J. Med. Chem. 2004, 47, 1739–1749. [Google Scholar] [CrossRef]
- Engwa, G.A. Free radicals and the role of plant phytochemicals as antioxidants against oxidative stress-related diseases. In Phytochemicals: Source of Antioxidants and Role in Disease Prevention. BoD–Books on Demand; Intechopen: London, UK, 2018; pp. 49–74. [Google Scholar]
- Fang, C.-Y.; Lou, D.-Y.; Zhou, L.-Q.; Wang, J.-C.; Yang, B.; He, Q.-J.; Wang, J.-J.; Weng, Q.-J. Natural products: Potential treatments for cisplatin-induced nephrotoxicity. Acta Pharmacol. Sin. 2021, 42, 1951–1969. [Google Scholar] [CrossRef]
- Badr, A.M. Organophosphate toxicity: Updates of malathion potential toxic effects in mammals and potential treatments. Environ. Sci. Pollut. Res. 2020, 27, 26036–26057. [Google Scholar] [CrossRef]
- Sobolev, V.E.; Sokolova, M.O.; Jenkins, R.O.; Goncharov, N.V. Molecular mechanisms of acute organophosphate Nephrotoxicity. Int. J. Mol. Sci. 2022, 23, 8855. [Google Scholar] [CrossRef] [PubMed]
- Cao, Y.-L.; Lin, J.-H.; Hammes, H.-P.; Zhang, C. Flavonoids in treatment of chronic kidney disease. Molecules 2022, 27, 2365. [Google Scholar] [CrossRef] [PubMed]
- Chen, Y.-Q.; Chen, H.-Y.; Tang, Q.-Q.; Li, Y.-F.; Liu, X.-S.; Lu, F.-H.; Gu, Y.-Y. Protective effect of quercetin on kidney diseases: From chemistry to herbal medicines. Front. Pharmacol. 2022, 13, 968226. [Google Scholar] [CrossRef] [PubMed]
- Ileriturk, M.; Kandemir, O.; Kandemir, F.M. Evaluation of protective effects of quercetin against cypermethrin-induced lung toxicity in rats via oxidative stress, inflammation, apoptosis, autophagy, and endoplasmic reticulum stress pathway. Environ. Toxicol. 2022, 37, 2639–2650. [Google Scholar] [CrossRef] [PubMed]
- Sule, R.O.; Condon, L.; Gomes, A.V. A common feature of pesticides: Oxidative stress—The role of oxidative stress in pesticide-induced toxicity. Oxidative Med. Cell. Longev. 2022, 2022, 5563759. [Google Scholar] [CrossRef] [PubMed]
- Jain, E.; Vashishat, N. Toxicity of acephate to liver and kidney of female wistar rats. Indian J. Entomol. 2023, 85, 322–326. [Google Scholar]
- Saidi, S.A.; Al-Shaikh, T.M.; Alghamdi, O.A.; Hamden, K. Ephedra alata subsp. alenda (Ephedraceae) leaf extracts: Phytochemical screening, anti-diabetic, anti-obesity and anti-toxic activities on diabetic-induced liver-kidney-testes toxicities and inhibition of α-amylase and lipase enzymes. Heliyon 2022, 8, e11954. [Google Scholar] [CrossRef] [PubMed]
- Belazougui, K.; Mesrouk, S.; Mohammedi, H.; Akcha, S.; Aïnouz, L.; Mecherara-Idjeri, S.F. Phytochemical analysis, mineral composition, Assessment of antioxidant properties and cytotoxic potential of Ephedra alata. subsp. Alenda secondary metabolites. Food Biosci. 2023, 53, 102657. [Google Scholar] [CrossRef]
- Hajleh, M.N.A.; Khleifat, K.M.; Alqaraleh, M.; Al-Hraishat, E.a.; Al-limoun, M.O.; Qaralleh, H.; Al-Dujaili, E.A. Antioxidant and antihyperglycemic effects of ephedra foeminea aqueous extract in streptozotocin-induced diabetic rats. Nutrients 2022, 14, 2338. [Google Scholar] [CrossRef]
- Mahajan, R.; Prasad, S.; Gaikwad, S.; Itankar, P. Antioxidant phenolic compounds from seeds of Hordeum vulgare Linn. ameliorates diabetic nephropathy in streptozotocin-induced diabetic rats. J. Tradit. Chin. Med. Sci. 2023, 10, 353–361. [Google Scholar] [CrossRef]
- Paes, A.S.; Koga, R.d.C.R.; Sales, P.F.; Santos Almeida, H.K.; Teixeira, T.A.C.C.; Carvalho, J.C.T. Phytocompounds from Amazonian Plant Species against Acute Kidney Injury: Potential Nephroprotective Effects. Molecules 2023, 28, 6411. [Google Scholar] [CrossRef] [PubMed]
- Phung, N.V.; Rong, F.; Xia, W.Y.; Fan, Y.; Li, X.Y.; Wang, S.A.; Li, F.L. Nervonic acid and its sphingolipids: Biological functions and potential food applications. Crit. Rev. Food Sci. Nutr. 2023, 1–20. [Google Scholar] [CrossRef] [PubMed]
- Lobo, V.; Patil, A.; Phatak, A.; Chandra, N. Free radicals, antioxidants and functional foods: Impact on human health. Pharmacogn. Rev. 2010, 4, 118. [Google Scholar] [CrossRef] [PubMed]
- Maheshwari, N.; Khan, A.A.; Mahmood, R. Pentachlorophenol causes redox imbalance, inhibition of brush border membrane and metabolic enzymes, DNA damage and histological alterations in rat kidney. Pestic. Biochem. Physiol. 2023, 190, 105318. [Google Scholar] [CrossRef] [PubMed]
- Rjiba-Touati, K.; Hamdi, H.; M’nassri, A.; Guedri, Y.; Mokni, M.; Abid, S. Bromuconazole caused genotoxicity and hepatic and renal damage via oxidative stress process in Wistar rats. Environ. Sci. Pollut. Res. 2022, 29, 14111–14120. [Google Scholar] [CrossRef] [PubMed]
- Abdelghffar, E.A.; Obaid, W.A.; Saleh, Z.M.M.; Ouchari, W.; Eldahshan, O.A.; Sobeh, M. Ajwa dates (Phoenix dactylifera L.) attenuate cisplatin-induced nephrotoxicity in rats via augmenting Nrf2, modulating NADPH oxidase-4 and mitigating inflammatory/apoptotic mediators. Biomed. Pharmacother. 2022, 156, 113836. [Google Scholar] [CrossRef] [PubMed]
- Chtourou, Y.; Morjen, M.; Ammar, R.; Mhiri, R.; Jemaà, M.; ELBini-Dhouib, I.; Fetoui, H.; Srairi-Abid, N.; Marrakchi, N.; Jebali, J. Investigation of the renal protective effect of combined dietary polyphenols in streptozotocin-induced diabetic aged rats. Nutrients 2022, 14, 2867. [Google Scholar] [CrossRef]
- Rahman, M.A.; Rahman, M.S.; Parvez, M.A.K.; Kim, B. The emerging role of autophagy as a target of environmental pollutants: An update on mechanisms. Toxics 2023, 11, 135. [Google Scholar] [CrossRef]
- Ileriturk, M.; Kandemir, F.M. Carvacrol protects against λ-Cyhalothrin-induced hepatotoxicity and nephrotoxicity by modulating oxidative stress, inflammation, apoptosis, endoplasmic reticulum stress, and autophagy. Environ. Toxicol. 2023, 38, 1535–1547. [Google Scholar] [CrossRef]
- Li, X.; Yao, Y.; Wang, J.; Shen, Z.; Jiang, Z.; Xu, S. Eucalyptol relieves imidacloprid-induced autophagy through the miR-451/Cab39/AMPK axis in Ctenopharyngodon idellus kidney cells. Aquat. Toxicol. 2022, 249, 106204. [Google Scholar] [CrossRef]
- Mohany, M.; Ahmed, M.M.; Al-Rejaie, S.S. Molecular mechanistic pathways targeted by natural antioxidants in the prevention and treatment of chronic kidney disease. Antioxidants 2021, 11, 15. [Google Scholar] [CrossRef] [PubMed]
- Rabelink, T.J.; Van Den Berg, B.M.; Garsen, M.; Wang, G.; Elkin, M.; Van Der Vlag, J. Heparanase: Roles in cell survival, extracellular matrix remodelling and the development of kidney disease. Nat. Rev. Nephrol. 2017, 13, 201–212. [Google Scholar] [CrossRef] [PubMed]
- Mufti, A.; Tir, M.; Zarei, A.; Contreras, M.M.; Gómez-Cruz, I.; Feriani, A.; Ghazouani, L.; Saadaoui, E.; Allagui, M.S.; Harrath, A.H. Phytochemical Profiling of Ephedra alata subsp. alenda Seeds by High-Performance Liquid Chromatography—Electrospray Ionization—Quadrupole-Time-of-Flight-Mass Spectrometry (HPLC-ESI-QTOF-MS), Molecular Docking, and Antioxidant, Anti-diabetic, and Acetylcholinesterase Inhibition. Anal. Lett. 2022, 55, 2450–2466. [Google Scholar]
Disclaimer/Publisher’s Note: The statements, opinions and data contained in all publications are solely those of the individual author(s) and contributor(s) and not of MDPI and/or the editor(s). MDPI and/or the editor(s) disclaim responsibility for any injury to people or property resulting from any ideas, methods, instructions or products referred to in the content. |
© 2023 by the authors. Licensee MDPI, Basel, Switzerland. This article is an open access article distributed under the terms and conditions of the Creative Commons Attribution (CC BY) license (https://creativecommons.org/licenses/by/4.0/).








