The Course of SARS-COV2 Infection Was Not Severe in a Crohn’s Patient Who Administered Maintenance Anti-TNF Therapy Overlapping the Early Pre-Symptomatic Period of Infection
Abstract
1. Introduction
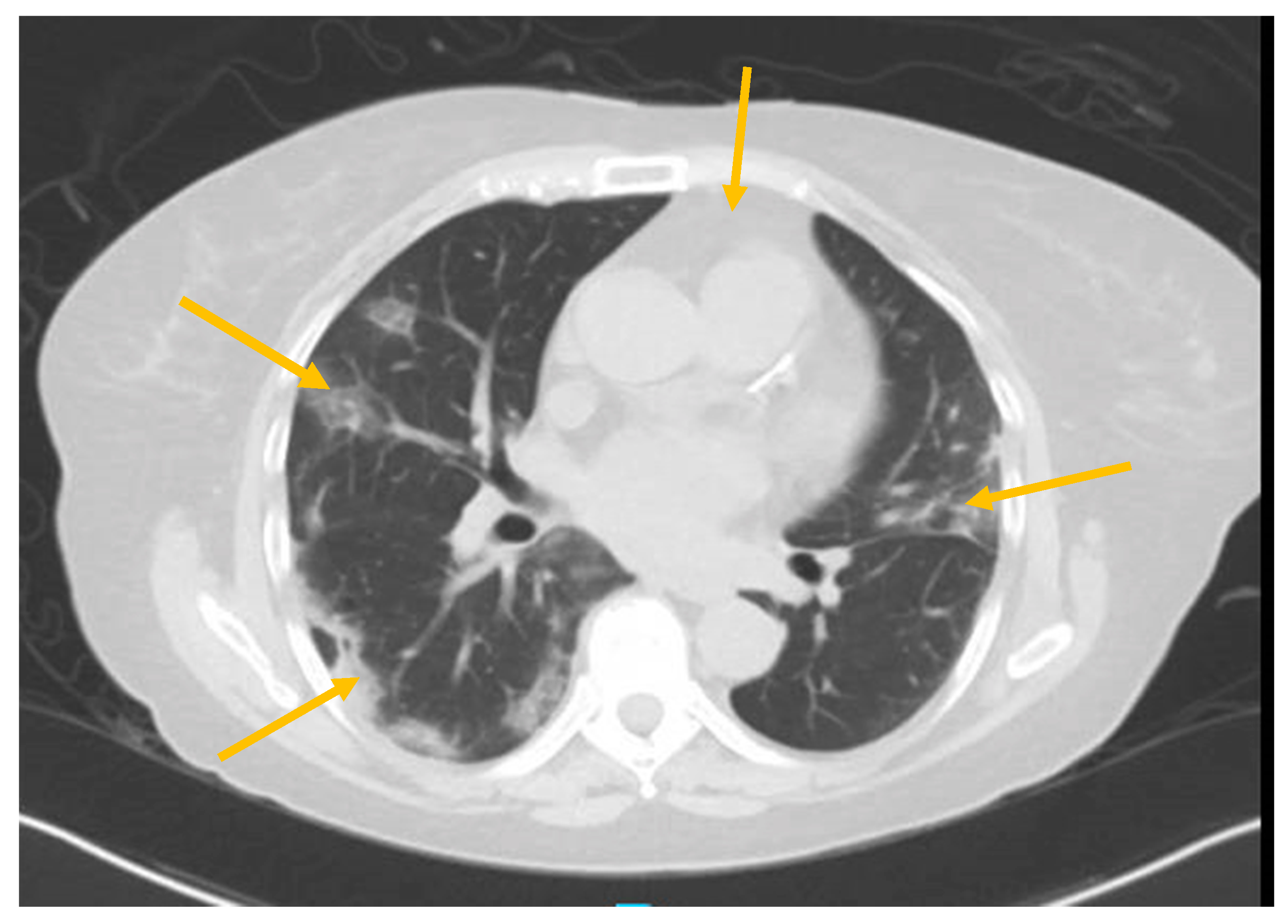
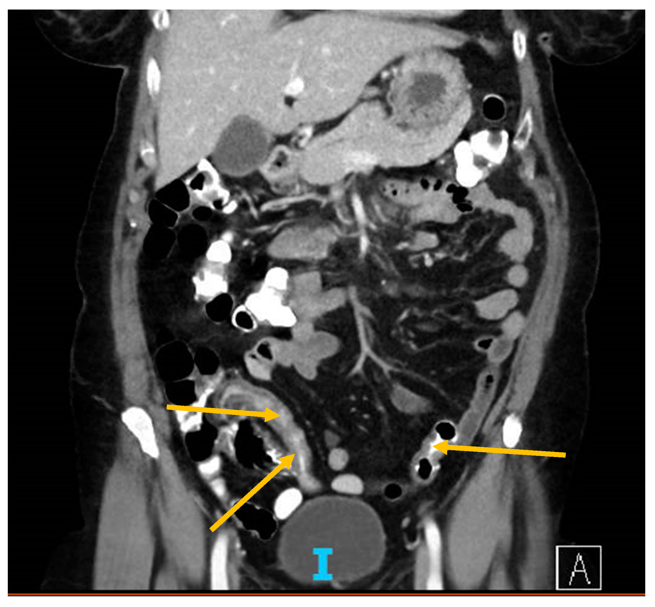
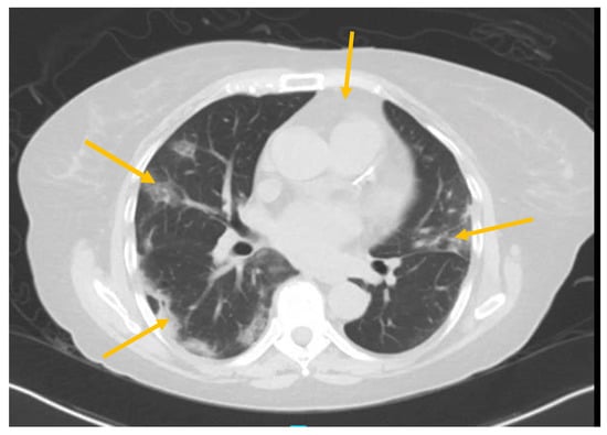
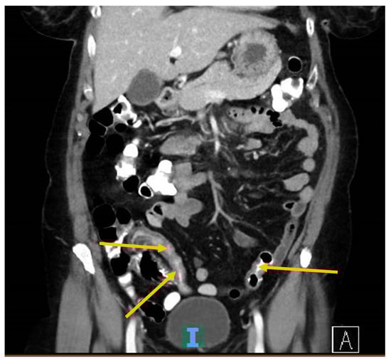
2. Case Report
3. Discussion
Author Contributions
Funding
Conflicts of Interest
References
- WHO. Report of the WHO-China Joint Mission on Coronavirus Disease 2019 (COVID-19); World Health Organization: Geneva, Switzerland, 2019. [Google Scholar]
- Rubin, D.T.; Abreu, M.T.; Rai, V.; Siegel, C.A. International Organization for the Study of Inflammatory Bowel Diseases. Management of Patients with Crohn’s Disease and Ulcerative Colitis During the COVID-19 Pandemic: Results of an International Meeting. Gastroenterology 2020. [Google Scholar] [CrossRef]
- Mao, R.; Liang, J.; Shen, J.; Ghosh, S.; Zhu, L.R.; Yang, H.; Wu, K.C.; Chen, M.H. Implications of COVID-19 for patients with pre-existing digestive diseases. Lancet Gastroenterol. Hepatol. 2020, 5, 426–428. [Google Scholar] [CrossRef]
- Rubin, D.T.; Feuerstein, J.D.; Wang, A.Y.; Cohen, R.D. AGA Clinical Practice Update on Management of Inflammatory Bowel Disease During the COVID-19 Pandemic: Expert Commentary. Gastroenterology 2020. [Google Scholar] [CrossRef] [PubMed]
- Bashyam, A.M.; Feldman, S.R. Should patients stop their biologic treatment during the COVID-19 pandemic. J. Dermatol. Treat. 2020. [Google Scholar] [CrossRef] [PubMed]
- Zumla, A.; Hui, D.S.; Azhar, E.I.; Memish, Z.A.; Maeurer, M. Reducing mortality from 2019-nCoV: Host-directed therapies should be an option. Lancet 2020, 395, e35–e36. [Google Scholar] [CrossRef]
- Clark, J.; Vagenas, P.; Panesar, M.; Cope, A.P. What does tumour necrosis factor excess do to the immune system long term? Ann. Rheum. Dis. 2005, 64, 70–76. [Google Scholar] [CrossRef]
- Huang, C.; Wang, Y.; Li, X.; Ren, L.; Zhao, J.; Hu, Y.; Zhang, L.; Fan, G.; Xu, J.; Gu, X.; et al. Clinical features of patients infected with 2019 novel coronavirus in Wuhan, China. Lancet 2020, 395, 497–506. [Google Scholar] [CrossRef]
- Tobinick, E. TNF-alpha inhibition for potential therapeutic modulation of SARS coronavirus infection. Curr. Med. Res. Opin. 2004, 20, 39–40. [Google Scholar] [CrossRef]
- Hussell, T.; Pennycook, A.; Openshaw, P.J. Inhibition of tumor necrosis factor reduces the severity of virus-specific lung immunopathology. Eur. J. Immunol. 2001, 31, 2566–2573. [Google Scholar] [CrossRef]
- A Randomized, Open-Label, Controlled Trial for the Efficacy and Safety of Adalimumab Injection in the Treatment of Patients with Severe Novel Coronavirus Pneumonia (COVID-19); ChiCTR2000030089; Chinese Clinical Trial Registry: Shanghai China; Available online: http://www.chictr.org.cn/showprojen.aspx?proj=49889 (accessed on 14 August 2020).
- Brenner, E.J.; Ungaro, R.C.; Colombel, J.F.; Kappelman, M.D. SECURE-IBD Database Public Data Update. Available online: https://covidibd.org/current-data (accessed on 14 August 2020).
- Pan, L.; Mu, M.; Yang, P.; Sun, Y.; Wang, R.; Yan, J.; Li, P.; Hu, B.; Wang, J.; Hu, C.; et al. Clinical Characteristics of COVID-19 Patients With Digestive Symptoms in Hubei, China: A Descriptive, Cross-Sectional, Multicenter Study. Am. J. Gastroenterol. 2020. [Google Scholar] [CrossRef]
- Bhayana, R.; Som, A.; Li, M.D.; Carey, D.E.; Anderson, M.A.; Blake, M.A.; Catalano, O.; Gee, M.S.; Hahn, P.F.; Harisinghani, M.; et al. Abdominal Imaging Findings in COVID-19: Preliminary Observations. Radiology 2020. [Google Scholar] [CrossRef] [PubMed]
- Magne, K.; Fagerhol, I.D. Terje Anderson. Release and Quantitation of a Leukocyte Derived Protein (L1). Scand. J. Hematol. 1980, 24, 7. [Google Scholar] [CrossRef]
- Pathirana, W.G.W.; Chubb, S.P.; Gillett, M.J.; Vasikaran, S.D. Faecal Calprotectin. Clin. Biochem. Rev. 2018, 39, 77–90. [Google Scholar] [PubMed]
- Vaos, G.; Kostakis, I.D.; Zavras, N.; Chatzemichael, A. The role of calprotectin in pediatric disease. Biomed. Res. Int. 2013, 2013, 542363. [Google Scholar] [CrossRef]
- Ye, L.; Cheng, W.; Chen, B.Q.; Lan, X.; Wang, S.D.; Wu, X.C.; Huang, W.; Wang, F.Y. Levels of Faecal Calprotectin and Magnetic Resonance Enterocolonography Correlate with Severity of Small Bowel Crohn’s Disease: A Retrospective Cohort Study. Sci. Rep. 2017, 7, 1970. [Google Scholar] [CrossRef]
- Bello, C.; Roseth, A.; Guardiola, J.; Reenaers, C.; Ruiz-Cerulla, A.; Van Kemseke, C.; Arajol, C.; Reinhard, C.; Seidel, L.; Louis, E. Usability of a home-based test for the measurement of fecal calprotectin in asymptomatic IBD patients. Dig. Liver Dis. 2017, 49, 991–996. [Google Scholar] [CrossRef]
- Xie, T.; Zhao, C.; Ding, C.; Zhang, T.; Dai, X.; Lv, T.; Li, Y.; Guo, Z.; Gong, J.; Zhu, W. Fecal calprotectin as an alternative to ulcerative colitis endoscopic index of severity to predict the response to corticosteroids of acute severe ulcerative colitis: A prospective observational study. Dig. Liver Dis. 2017, 49, 984–990. [Google Scholar] [CrossRef]
- Arai, T.; Takeuchi, K.; Miyamura, M.; Ishikawa, R.; Yamada, A.; Katsumata, M.; Igarashi, Y.; Suzuki, Y. Level of Fecal Calprotectin Correlates With Severity of Small Bowel Crohn’s Disease, Measured by Balloon-assisted Enteroscopy and Computed Tomography Enterography. Clin. Gastroenterol. Hepatol. 2017, 15, 56–62. [Google Scholar] [CrossRef]
- Nielsen, H.L.; Engberg, J.; Ejlertsen, T.; Nielsen, H. Evaluation of fecal calprotectin in Campylobacter concisus and Campylobacter jejuni/coli gastroenteritis. Scand. J. Gastroenterol. 2013, 48, 633–635. [Google Scholar] [CrossRef]
- Lorrot, M.; Vasseur, M. How do the rotavirus NSP4 and bacterial enterotoxins lead differently to diarrhea? Virol. J. 2007, 4, 31. [Google Scholar] [CrossRef]
- Hsieh, J.; Brandt, L. Fecal Calprotectin in Ischemic Colitis (IC): 438. Am. J. Gastroenterol. 2009, 104, S164. [Google Scholar] [CrossRef]
- Wölfel, R.; Corman, V.M.; Guggemos, W.; Seilmaier, M.; Zange, S.; Müller, M.A.; Niemeyer, D.; Jones, T.C.; Vollmar, P.; Rothe, C.; et al. Virological assessment of hospitalized patients with COVID-2019. Nature 2020. [Google Scholar] [CrossRef] [PubMed]



| Symptom/Date | 03/29/2020 | 03/30/2020 | 03/31/2020 | 04/01/2020 | 04/02/2020 | 04/03/2020 |
|---|---|---|---|---|---|---|
| Temperature (T max °F) | 101.1 | 100.1 | 101.8 | 102.4 | 100 | 99 |
| Diarrhea | + | + | + | + | + | - |
| Nausea/Emesis | + | + | - | - | - | - |
| CRP | 3.96 | 4.66 | 3.80 | 3.06 | 3.73 | 2.21 |
| D-dimer | 199 | 222 | <150 | 203 | 191 | |
| Ferritin | 602 | 680 | 811 | 766 | 884 | 792 |
| Fecal calprotectin | 19 | |||||
| Alkaline phosphatase | 62 | 61 | 76 | 78 | 82 | 83 |
| Aspartate aminotransferase | 39 | 44 | 65 | 80 | 95 | 92 |
| Alanine aminotransferase | 34 | 43 | 64 | 80 | 113 | 118 |
© 2020 by the authors. Licensee MDPI, Basel, Switzerland. This article is an open access article distributed under the terms and conditions of the Creative Commons Attribution (CC BY) license (http://creativecommons.org/licenses/by/4.0/).
Share and Cite
Okeke, F.; Mone, A.; Swaminath, A. The Course of SARS-COV2 Infection Was Not Severe in a Crohn’s Patient Who Administered Maintenance Anti-TNF Therapy Overlapping the Early Pre-Symptomatic Period of Infection. Antibodies 2020, 9, 42. https://doi.org/10.3390/antib9030042
Okeke F, Mone A, Swaminath A. The Course of SARS-COV2 Infection Was Not Severe in a Crohn’s Patient Who Administered Maintenance Anti-TNF Therapy Overlapping the Early Pre-Symptomatic Period of Infection. Antibodies. 2020; 9(3):42. https://doi.org/10.3390/antib9030042
Chicago/Turabian StyleOkeke, Francis, Anjali Mone, and Arun Swaminath. 2020. "The Course of SARS-COV2 Infection Was Not Severe in a Crohn’s Patient Who Administered Maintenance Anti-TNF Therapy Overlapping the Early Pre-Symptomatic Period of Infection" Antibodies 9, no. 3: 42. https://doi.org/10.3390/antib9030042
APA StyleOkeke, F., Mone, A., & Swaminath, A. (2020). The Course of SARS-COV2 Infection Was Not Severe in a Crohn’s Patient Who Administered Maintenance Anti-TNF Therapy Overlapping the Early Pre-Symptomatic Period of Infection. Antibodies, 9(3), 42. https://doi.org/10.3390/antib9030042

