Identification of Cancer Stem Cell Subpopulations in Head and Neck Metastatic Malignant Melanoma
Abstract
1. Introduction
2. Materials and Methods
2.1. HNmMM Tissue Samples
2.2. HNmMM-Derived Primary Cell Lines
2.3. Histochemical, Immunohistochemical, and Immunofluorescence Staining
2.4. In situ Hybridization
2.5. Image Analyses and Cell Counting
2.6. Reverse Transcription Quantitative Polymerase Chain Reaction
2.7. Western Blotting
2.8. In-vitro Tumorsphere Formation Assays
2.9. Statistical Analysis
3. Results
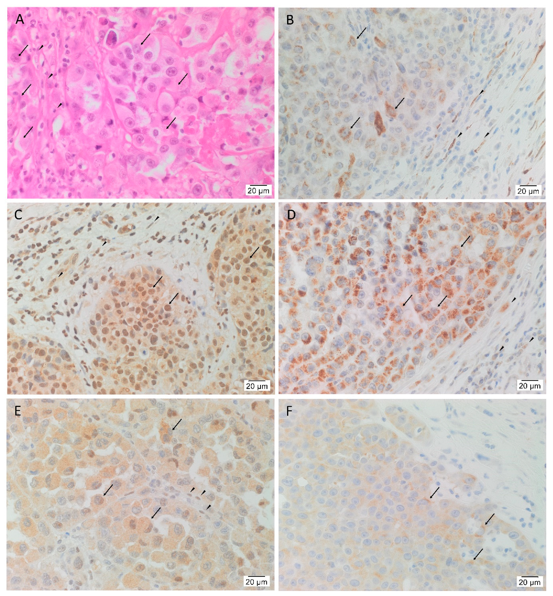
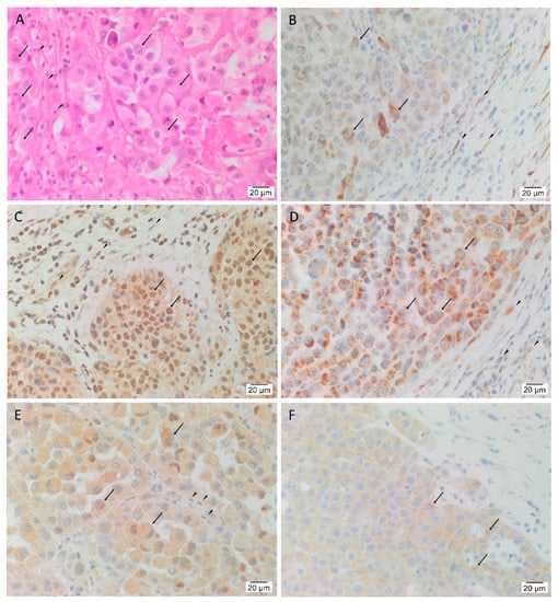
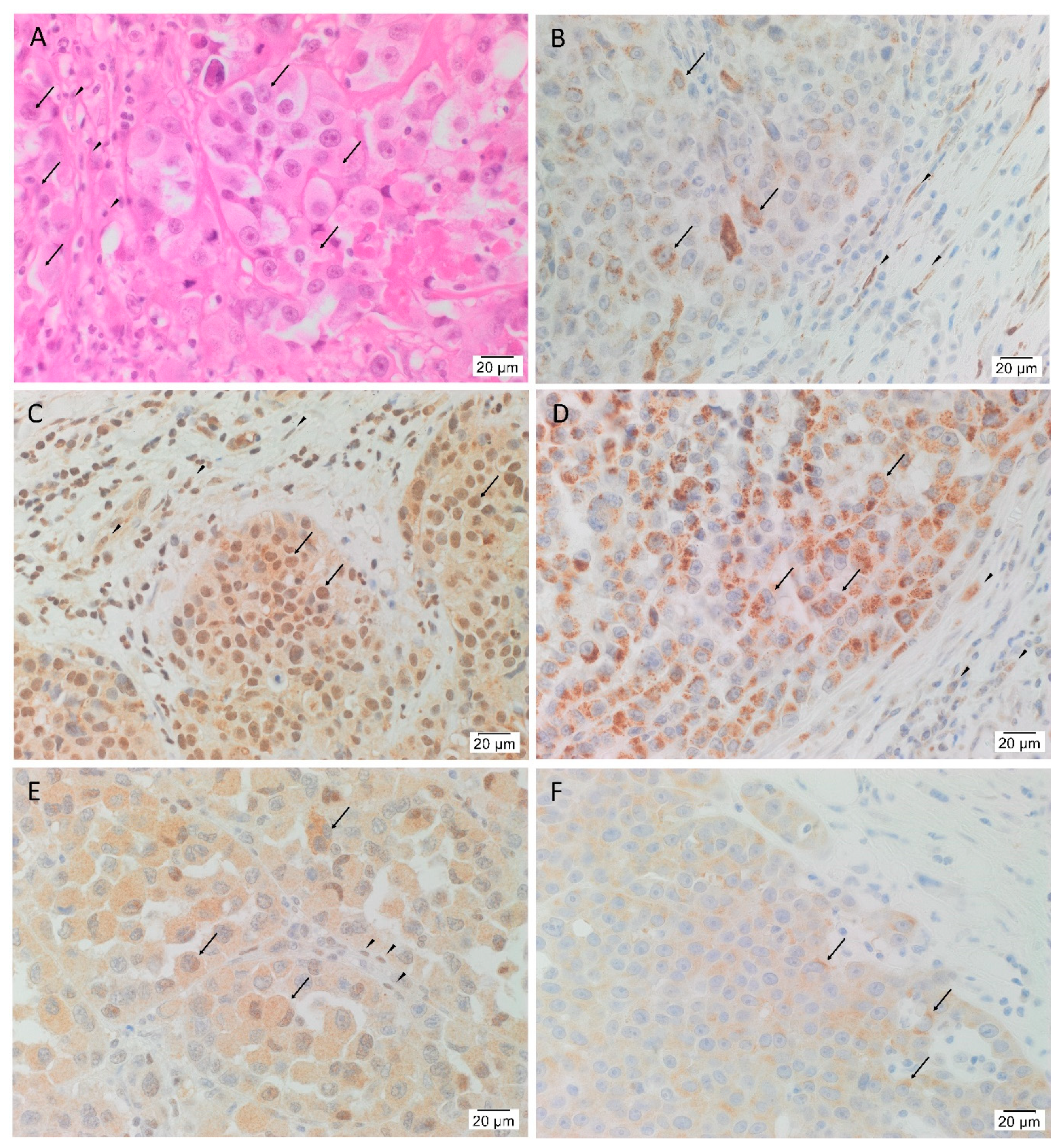
3.1. OCT4, NANOG, SOX2, KLF4, and c-MYC Proteins are Expressed in HNmMM Tissue Samples
3.2. Subpopulations of CSCs Expressing OCT4, NANOG, SOX2, KLF4, and c-MYC are Present in HNmMM Tissue Samples
3.3. OCT4, NANOG, SOX2, KLF4, and c-MYC mRNA Transcripts are Expressed in HNmMM Tissue Samples and Hnmmm-Derived Primary Cell Lines
3.4. SOX2, KLF4, and c-MYC Proteins are Expressed in the HNmMM-Derived Primary Cell Lines
3.5. HNmMM-Derived Primary Cell Lines underwent Tumorsphere Formation
4. Discussion
Supplementary Materials
Author Contributions
Funding
Acknowledgments
Conflicts of Interest
References
- American Cancer Society: Atlanta, 2018. Cancer Facts & Figures. 2018. Available online: https://www.cancer.org/content/dam/cancer-org/research/cancer-facts-and-statistics/annual-cancer-facts-and-figures/2018/cancer-facts-and-figures-2018.pdf (accessed on 9 January 2019).
- Bandarchi, B.; Jabbari, C.A.; Vedadi, A.; Navab, R. Molecular biology of normal melanocytes and melanoma cells. J. Clin. Pathol. 2013, 66, 644–648. [Google Scholar] [CrossRef] [PubMed]
- The Cancer Council Australia and Australian Cancer Network, Sydney and New Zealand Guidelines Group: Wellington. Clinical Practice Guidelines for the Management of Melanoma in Australia and New Zealand. 2008. Available online: https://www.health.govt.nz/system/files/documents/publications/melanoma-guideline-nov08-v2.pdf (accessed on 9 January 2019).
- Douglas, R.G.; Shaw, J.H. Melanoma of the head and neck in Auckland. N. Z. Med. J. 1987, 100, 584–587. [Google Scholar] [PubMed]
- Bhatia, S.; Tykodi, S.S.; Thompson, J.A. Treatment of metastatic melanoma: An overview. Oncology 2009, 23, 488–496. [Google Scholar] [PubMed]
- Khan, K.H.; Goody, R.B.; Hameed, H.; Jalil, A.; Coyle, V.M.; McAleer, J.J. Metastatic melanoma: A regional review and future directions. Tumori 2012, 98, 575–580. [Google Scholar] [CrossRef] [PubMed]
- Sandru, A.; Voinea, S.; Panaitescu, E.; Blidaru, A. Survival rates of patients with metastatic malignant melanoma. J. Med. Life 2014, 7, 572–576. [Google Scholar] [PubMed]
- Morton, D.L.; Thomson, J.F.; Cochran, A.J.; Mozzillo, N.; Elashoff, R.; Essner, R.; Nieweg, O.E.; Roses, D.F.; Hoekstra, H.J.; Karakousis, C.P.; et al. Sentinel-Node biopsy or nodal observation in melanoma. N. Engl. J. Med. 2006, 355, 1307–1317. [Google Scholar] [CrossRef] [PubMed]
- Morton, D.L.; Thompson, J.F.; Cochran, A.J.; Mozzillo, N.; Nieweg, O.E.; Roses, D.F.; Hoekstra, H.J.; Karakousis, C.P.; Puleo, C.A.; Coventry, B.J.; et al. Final trial report of sentinel-node biopsy versus nodal observation in melanoma. N. Engl. J. Med. 2014, 370, 599–609. [Google Scholar] [CrossRef]
- Schmalbach, C.E.; Johnson, T.M.; Bradford, C.R. The management of head and neck melanoma. Curr. Probl. Surg. 2006, 43, 781–835. [Google Scholar] [CrossRef]
- Wang, B.Y.; Lawson, W.; Robinson, R.A.; Perez-Ordonez, B.; Brandwein, M. Malignant melanomas of the parotid: Comparison of survival for patients with metastases from known vs. unknown primary tumor sites. Arch. Otolaryngol. Head Neck Surg. 1999, 125, 635–639. [Google Scholar] [CrossRef]
- Pour, M.A.H.; Rad, M.; Zarei, M.R.; Chamani, G. Malignant mucosal melanoma of the head and neck diagnosed in an iranian population over an 11-year period. Am. J. Appl. Sci. 2009, 6, 1467–1472. [Google Scholar] [CrossRef]
- Elder, D.E.; Thompson, J.F. Malignant melanoma. In World Health Organisation Classification of Tumours—Pathology & Genetics, 2nd ed.; Kleihues, P., Sobin, L., Eds.; IARC Press: Lyon, France, 2006; pp. 52–79. [Google Scholar]
- Tas, F. Metastatic behavior in melanoma: Timing, pattern, survival, and influencing factors. J. Oncol. 2012, 368–375. [Google Scholar] [CrossRef] [PubMed]
- Wickremesekera, A.C.; Brasch, H.D.; Lee, V.M.; Davis, P.F.; Woon, K.; Johnson, R.; Tan, S.T.; Itinteang, T. Expression of cancer stem cell markers in metastatic melanoma to the brain. J. Clin. Neurosci. 2018, 60, 112–116. [Google Scholar] [CrossRef] [PubMed]
- Reya, T.; Morrison, S.J.; Clarke, M.F.; Weissman, I.L. Stem cells, cancer, and cancer stem cells. Nature 2001, 414, 105–111. [Google Scholar] [CrossRef] [PubMed]
- O’Connor, M.L.; Xiang, D.; Shigdar, S.; Macdonald, J.; Li, Y.; Wang, T.; Pu, C.; Wang, Z.; Qiao, L.; Duan, W. Cancer stem cells: A contentious hypothesis now moving forward. Cancer Lett. 2014, 344, 180–187. [Google Scholar] [CrossRef] [PubMed]
- Chambers, S.M.; Studer, L. Cell fate plug and play: Direct reprogramming and induced pluripotency. Cell 2011, 145, 827–830. [Google Scholar] [CrossRef] [PubMed]
- Santini, R.; Pietrobono, S.; Pandolfi, S.; Montagnani, V.; D’Amico, M.; Penachioni, J.Y.; Vinci, M.C.; Borgognoni, L.; Stecca, B. Sox2 regulates self-renewal and tumorigenicity of human melanoma-initiating cells. Oncogene 2014, 33, 4697–4708. [Google Scholar] [CrossRef] [PubMed]
- SOX2 Regulates Self-Renewal and Tumorigenicity of Human Melanoma-Initiating Cells. Available online: https://www.nature.com/articles/onc201471#supplementary-information (accessed on 15 February 2019).
- Utikal, J.; Maherali, N.; Kulalert, W.; Hochedlinger, K. Sox2 is dispensable for the reprogramming of melanocytes and melanoma cells into induced pluripotent stem cells. J. Cell Sci. 2009, 122, 3502. [Google Scholar] [CrossRef]
- Borrull, A.; Ghislin, S.; Deshayes, F.; Lauriol, J.; Lcaide-Loridan, C.; Middendorp, S. Nanog and oct4 overexpression increases motility and transmigration of melanoma cells. J. Cancer Res. Clin. Oncol. 2012, 138, 1145–1154. [Google Scholar] [CrossRef]
- Lin, X.; Sun, R.; Zhao, X.; Zhu, D.; Zhao, X.; Gu, Q.; Dong, X.; Zhang, D.; Zhang, Y.; Li, Y.; et al. C-Myc overexpression drives melanoma metastasis by promoting vasculogenic mimicry via c-myc/snail/bax signaling. J. Mol. Med. 2017, 95, 53–67. [Google Scholar] [CrossRef]
- Grover, R.; Ross, D.A.; Richman, P.I.; Robinson, B.; Wilson, G.D. C-Myc oncogene expression in human melanoma and its relationship with tumour antigenicity. Eur. J. Surg. Oncol. 1996, 22, 342–346. [Google Scholar] [CrossRef]
- Kumar, S.M.; Liu, S.; Lu, H.; Zhang, H.; Zhang, P.J.; Gimotty, P.A.; Guerra, M.; Guo, W.; Xu, X. Acquired cancer stem cell phenotypes through oct4-mediated dedifferentiation. Oncogene 2012, 31, 4898–4911. [Google Scholar] [CrossRef] [PubMed]
- Riverso, M.; Montagnani, V.; Stecca, B. Klf4 is regulated by ras/raf/mek/erk signaling through e2f1 and promotes melanoma cell growth. Oncogene 2017, 36, 3322–3333. [Google Scholar] [CrossRef] [PubMed]
- Baillie, R.; Tan, S.T.; Itinteang, T. Cancer stem cells in oral cavity squamous cell carcinoma: A review. Front. Oncol. 2017, 7, 112. [Google Scholar] [CrossRef] [PubMed]
- Ram, R.; Brasch, H.D.; Dunne, J.C.; Davis, P.F.; Tan, S.T.; Itinteang, T. The identification of three cancer stem cell subpopulations within moderately differentiated lip squamous cell carcinoma. Front. Surg. 2017, 4, 12. [Google Scholar] [CrossRef]
- Yu, H.H.; Featherston, T.; Tan, S.T.; Chibnall, A.M.; Brasch, H.D.; Davis, P.F.; Itinteang, T. Characterization of cancer stem cells in moderately differentiated buccal mucosal squamous cell carcinoma. Front. Surg. 2016, 3, 46. [Google Scholar] [CrossRef]
- Koh, S.P.; Brasch, H.D.; de Jongh, J.; Itinteang, T.; Tan, S.T. Cancer stem cell subpopulations in moderately differentiated head and neck cutaneous squamous cell carcinoma. Heliyon 2019, 5, e02257. [Google Scholar] [CrossRef]
- Yang, F.; Zhang, J.; Yang, H. Oct4, sox2, and nanog positive expression correlates with poor differentiation, advanced disease stages, and worse overall survival in her2(+) breast cancer patients. Onco. Targets Ther. 2018, 11, 7873–7881. [Google Scholar] [CrossRef]
- Bradshaw, A.R.; Wickremesekera, A.; Brasch, H.D.; Chibnall, A.M.; Davis, P.F.; Tan, S.T.; Itinteang, T. Cancer stem cells in glioblastoma multiforme. Front. Surg. 2016, 3, 48. [Google Scholar] [CrossRef]
- Ray, S.K. The transcription regulator krüppel-like factor 4 and its dual roles of oncogene in glioblastoma and tumor suppressor in neuroblastoma. Forum Immunopathol. Dis. Ther. 2016, 7, 127–139. [Google Scholar] [CrossRef]
- Cane, R.; Kennedy-Smith, A.; Brasch, H.B.; Savage, S.; Marsh, R.W.; Itinteang, T.; Tan, S.T. Characterization of cancer stem cells in renal clear cell carcinoma. J. Stem Cell Regen. Biol. 2019, 5, 6–15. [Google Scholar] [CrossRef]
- Picot, T.; Aanei, C.M.; Fayard, A.; Flandrin-Gresta, P.; Tondeur, S.; Gouttenoire, M.; Tavernier-Tardy, E.; Wattel, E.; Guyotat, D.; Campos, L. Expression of embryonic stem cell markers in acute myeloid leukemia. Tumor Biol. 2017, 39. [Google Scholar] [CrossRef] [PubMed]
- Klein, W.M.; Wu, B.P.; Zhao, S.; Wu, H.; Klein-Szanto, A.J.P.; Tahan, S.R. Increased expression of stem cell markers in malignant melanoma. Mod. Pathol. 2007, 20, 102–107. [Google Scholar] [CrossRef] [PubMed]
- You, L.; Guo, X.; Huang, Y. Correlation of cancer stem-cell markers oct4, sox2, and nanog with clinicopathological features and prognosis in operative patients with rectal cancer. Yonsei Med. J. 2018, 59, 35–42. [Google Scholar] [CrossRef] [PubMed]
- Munro, M.J.; Wickremesekera, S.K.; Peng, L.; Marsh, R.W.; Itinteang, T.; Tan, S.T. Cancer stem cell subpopulations in primary colon adenocarcinoma. PLoS ONE 2019, 14, e0221963. [Google Scholar] [CrossRef]
- Humphries, H.N.; Wickremesekera, S.K.; Marsh, R.W.; Brasch, H.D.; Mehrotra, S.; Tan, S.T.; Itinteang, T. Characterization of cancer stem cells in colon adenocarcinoma metastasis to the liver. Front. Surg. 2018, 4, 76. [Google Scholar] [CrossRef]
- Rydbirk, R.; Folke, J.; Winge, K.; Aznar, S.; Pakkenberg, B.; Brudek, T. Assessment of brain reference genes for rt-qpcr studies in neurodegenerative diseases. Sci. Rep. 2016, 6, 37116. [Google Scholar] [CrossRef]
- Cronin, M.; Ghosh, K.; Sistare, F.; Quackenbush, J.; Vilker, V.; O’Connell, C. Universal RNA reference materials for gene expression. Clin. Chem. 2004, 50, 1464–1471. [Google Scholar] [CrossRef][Green Version]
- Lee, C.H.; Yu, C.C.; Wang, B.Y.; Chang, W.W. Tumorsphere as an effective in vitro platform for screening anti-cancer stem cell drugs. Oncotarget 2016, 7, 1215–1226. [Google Scholar] [CrossRef]
- Hanley, J.A.; Negassa, A.; Edwardes, M.D.; Forrester, J.E. Statistical analysis of correlated data using generalized estimating equations: An orientation. Am. J. Epidemiol. 2003, 157, 364–375. [Google Scholar] [CrossRef]
- Conacci-Sorrell, M.; Ngouenet, C.; Eisenman, R.N. Myc-Nick: A cytoplasmic cleavage product of myc that promotes alpha-tubulin acetylation and cell differentiation. Cell 2010, 142, 480–493. [Google Scholar] [CrossRef]
- Lim, Y.C.; Oh, S.-Y.; Cha, Y.Y.; Kim, S.-H.; Jin, X.; Kim, H. Cancer stem cell traits in squamospheres derived from primary head and neck squamous cell carcinomas. Oral Oncol. 2011, 47, 83–91. [Google Scholar] [CrossRef] [PubMed]
- Fan, X.; Liu, S.; Su, F.; Pan, Q.; Lin, T. Effective enrichment of prostate cancer stem cells from spheres in a suspension culture system. Urol. Oncol. Semin. Ori. 2012, 30, 314–318. [Google Scholar] [CrossRef] [PubMed]
- Tang, D.G. Understanding cancer stem cell heterogeneity and plasticity. Cell Res. 2012, 22, 457–472. [Google Scholar] [CrossRef] [PubMed]
- Hadjimichael, C.; Chanoumidou, K.; Papadopoulou, N.; Arampatzi, P.; Papamatheakis, J.; Kretsovali, A. Common stemness regulators of embryonic and cancer stem cells. World J. Stem Cells 2015, 7, 1150–1184. [Google Scholar]
- Van Schaijik, B.; Davis, P.F.; Wickremesekera, A.C.; Tan, S.T.; Itinteang, T. Subcellular localisation of the stem cell markers oct4, sox2, nanog, klf4 and c-myc in cancer: A review. J. Clin. Path. 2018, 71, 88–91. [Google Scholar] [CrossRef]
- Schwarz, B.A.; Bar-Nur, O.; Silva, J.C.; Hochedlinger, K. Nanog is dispensable for the generation of induced pluripotent stem cells. Curr. Biol. 2014, 24, 347–350. [Google Scholar] [CrossRef]
- Takahashi, K.; Yamanaka, S. Induction of pluripotent stem cells from mouse embryonic and adult fibroblast cultures by defined factors. Cell 2006, 126, 663–676. [Google Scholar] [CrossRef]
- Liu, Y.; Beyer, A.; Aebersold, R. On the dependency of cellular protein levels on mrna abundance. Cell 2016, 165, 535–550. [Google Scholar] [CrossRef]
- Schwanhäusser, B.; Busse, D.; Li, N.; Dittmar, G.; Schuchhardt, J.; Wolf, J.; Chen, W.; Selbach, M. Global quantification of mammalian gene expression control. Nature 2011, 473, 337–342. [Google Scholar] [CrossRef]
- Global Quantification of Mammalian Gene Expression Control. Available online: https://www.nature.com/articles/nature10098#supplementary-information (accessed on 22 March 2019).
- Perrett, R.M.; Turnpenny, L.; Eckert, J.J.; O’Shea, M.; Sonne, S.B.; Cameron, I.T.; Wilson, D.I.; Meyts, E.R.-D.; Hanley, N.A. The early human germ cell lineage does not express sox2 during in vivo development or upon in vitro culture1. Biol. Reprod. 2008, 78, 852–858. [Google Scholar] [CrossRef]
- Van Hoof, D.; Muñoz, J.; Braam, S.R.; Pinkse, M.W.H.; Linding, R.; Heck, A.J.R.; Mummery, C.L.; Krijgsveld, J. Phosphorylation dynamics during early differentiation of human embryonic stem cells. Cell Stem Cell 2009, 5, 214–226. [Google Scholar] [CrossRef]
- Garte, S.J. The c-myc oncogene in tumor progression. Crit. Rev. Oncog. 1993, 4, 435–449. [Google Scholar]
- Royds, J.A.; Sharrard, R.M.; Parsons, M.A.; Lawry, J.; Rees, R.; Cottam, D.; Wagner, B.; Rennie, I.G. C-Myc oncogene expression in ocular melanomas. Graefe’s Arch. Clin. Exp. Ophthalmol. 1992, 230, 366–371. [Google Scholar] [CrossRef]
- Sikora, K.; Evan, G.; Stewart, J.; Watson, J.V. Detection of the c-myc oncogene product in testicular cancer. Br. J. Cancer 1985, 52, 171–176. [Google Scholar] [CrossRef] [PubMed]
- Weiswald, L.-B.; Bellet, D.; Dangles-Marie, V. Spherical cancer models in tumor biology. Neoplasia 2015, 17, 1–15. [Google Scholar] [CrossRef] [PubMed]
- Galli, R.; Binda, E.; Orfanelli, U.; Cipelletti, B.; Gritti, A.; De Vitis, S.; Fiocco, R.; Foroni, C.; Dimeco, F.; Vescovi, A. Isolation and characterization of tumorigenic, stem-like neural precursors from human glioblastoma. Cancer Res. 2004, 64, 7011. [Google Scholar] [CrossRef] [PubMed]
- Park, T.S.; Donnenberg, V.S.; Donnenberg, A.D.; Zambidis, E.T.; Zimmerlin, L. Dynamic interactions between cancer stem cells and their stromal partners. Curr. Pathobiol. Rep. 2014, 2, 41–52. [Google Scholar] [CrossRef]
- Dalerba, P.; Cho, R.W.; Clarke, M.F. Cancer stem cells: Models and concepts. Annu. Rev. Med. 2007, 58, 267–284. [Google Scholar] [CrossRef]
- Grzywa, T.M.; Paskal, W.; Włodarski, P.K. Intratumor and intertumor heterogeneity in melanoma. Transl. Oncol. 2017, 10, 956–975. [Google Scholar] [CrossRef]








© 2020 by the authors. Licensee MDPI, Basel, Switzerland. This article is an open access article distributed under the terms and conditions of the Creative Commons Attribution (CC BY) license (http://creativecommons.org/licenses/by/4.0/).
Share and Cite
Yoganandarajah, V.; Patel, J.; van Schaijik, B.; Bockett, N.; Brasch, H.D.; Paterson, E.; Sim, D.; Davis, P.F.; Roth, I.M.; Itinteang, T.; et al. Identification of Cancer Stem Cell Subpopulations in Head and Neck Metastatic Malignant Melanoma. Cells 2020, 9, 324. https://doi.org/10.3390/cells9020324
Yoganandarajah V, Patel J, van Schaijik B, Bockett N, Brasch HD, Paterson E, Sim D, Davis PF, Roth IM, Itinteang T, et al. Identification of Cancer Stem Cell Subpopulations in Head and Neck Metastatic Malignant Melanoma. Cells. 2020; 9(2):324. https://doi.org/10.3390/cells9020324
Chicago/Turabian StyleYoganandarajah, Vithushiya, Josie Patel, Bede van Schaijik, Nicholas Bockett, Helen D. Brasch, Erin Paterson, Dalice Sim, Paul F. Davis, Imogen M. Roth, Tinte Itinteang, and et al. 2020. "Identification of Cancer Stem Cell Subpopulations in Head and Neck Metastatic Malignant Melanoma" Cells 9, no. 2: 324. https://doi.org/10.3390/cells9020324
APA StyleYoganandarajah, V., Patel, J., van Schaijik, B., Bockett, N., Brasch, H. D., Paterson, E., Sim, D., Davis, P. F., Roth, I. M., Itinteang, T., & Tan, S. T. (2020). Identification of Cancer Stem Cell Subpopulations in Head and Neck Metastatic Malignant Melanoma. Cells, 9(2), 324. https://doi.org/10.3390/cells9020324

