Inhibition of the IL-18 Receptor Signaling Pathway Ameliorates Disease in a Murine Model of Rheumatoid Arthritis
Abstract
1. Introduction
2. Materials and Methods
2.1. Animals
2.2. Murine Model of Collagen-Induced Arthritis
2.3. Measurement of Spleen Weight and the Proliferation Assay of Splenocytes
2.4. Histological Examination
2.5. Micro-Computed Tomography (Micro-CT)
2.6. Measurement of Anti-Collagen Antibody
2.7. Measurements of mRNA Expression in the Synovium by Real-Time PCR
2.8. Fluorescence-Activated Cell Sorting (FACS) Analysis
2.9. Measurement of Cytokine Productions In Vitro
2.10. Western Blotting
2.11. Statistical Analyses
3. Results
3.1. IL-18Rα Deficiency Improved the Arthritis Scores after CIA-Induced Arthritis
3.2. IL-18 and IL-18Rα mRNA Expression in the Synovium After CIA-Induced Arthritis
3.3. Spleen Weights and the Proliferative Response of Splenocytes
3.4. Biomarkers of Arthritis
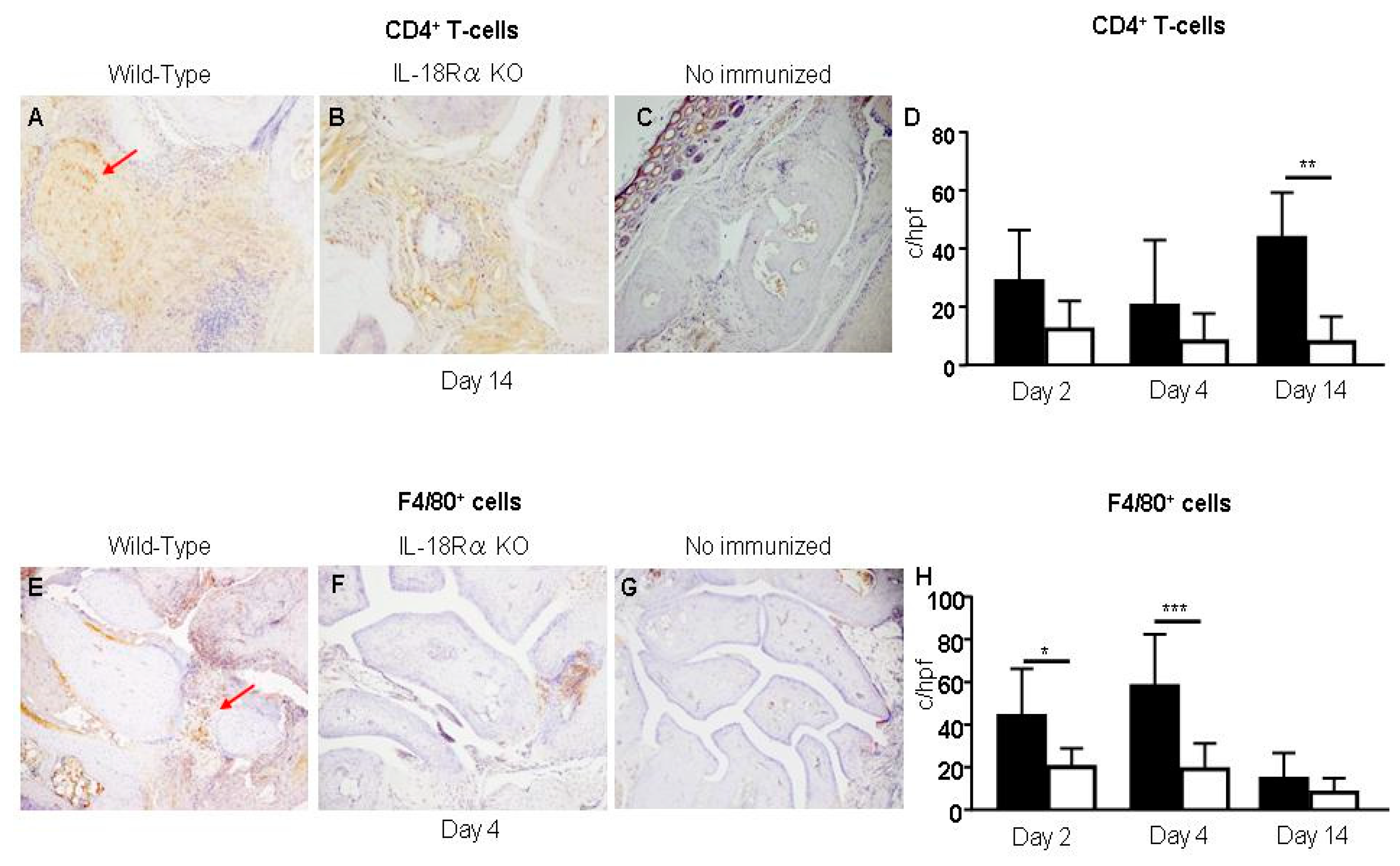
3.5. The Infiltration of CD4+ T Cells and Macrophages in the Inflamed Synovium
3.6. Anti-Type II Collagen Antibody Levels
3.7. Inflammatory Cytokine and Biomarker mRNA Expressions in Inflamed Synovium
3.8. Intracellular TNFα and IFN-γ Staining in CD4+ T Cells and APCs after CIA-Induced Arthritis
3.9. Inflammatory Cytokine Production In Vitro
3.10. SOCS3 Expression in LPS-Induced CIA
4. Discussion
5. Conclusions
Author Contributions
Acknowledgments
Conflicts of Interest
References
- Adachi, O.; Kawai, T.; Takeda, K.; Matsumoto, M.; Tsutsui, H.; Sakagami, M.; Nakanishi, K.; Akira, S. Targeted disruption of the MyD88 gene results in loss of IL-1- and IL-18-mediated function. Immunity 1998, 9, 143–150. [Google Scholar] [CrossRef]
- O’Neill, L.A.; Dinarello, C.A. The IL-1 receptor/toll-like receptor superfamily: Crucial receptors for inflammation and host defense. Immunol. Today 2000, 21, 206–209. [Google Scholar] [CrossRef]
- Suzuki, N.; Chen, N.J.; Millar, D.G.; Suzuki, S.; Horacek, T.; Hara, H.; Bouchard, D.; Nakanishi, K.; Penninger, J.M.; Ohashi, P.S. IL-1 receptor-associated kinase 4 is essential for IL-18-mediated NK and Th1 cell responses. J. Immunol. 2003, 170, 4031–4035. [Google Scholar] [CrossRef] [PubMed]
- Joosten, L.A.; Radstake, T.R.; Lubberts, E.; van den Bersselaar, L.A.; van Riel, P.L.; van Lent, P.L.; Barrera, P.; van den Berg, W.B. Association of interleukin-18 expression with enhanced levels of both interleukin-1beta and tumor necrosis factor alpha in knee synovial tissue of patients with rheumatoid arthritis. Arthritis Rheumatol. 2003, 48, 339–347. [Google Scholar] [CrossRef] [PubMed]
- Stuart, J.M.; Townes, A.S.; Kang, A.H. Collagen autoimmune arthritis. Annu. Rev. Immunol. 1984, 2, 199–218. [Google Scholar] [CrossRef] [PubMed]
- Plater-Zyberk, C.; Joosten, L.A.; Helsen, M.M.; Sattonnet-Roche, P.; Siegfried, C.; Alouani, S.; van De Loo, F.A.; Graber, P.; Aloni, S.; Cirillo, R.; et al. Therapeutic effect of neutralizing endogenous IL-18 activity in the collagen-induced model of arthritis. J. Clin. Investig. 2001, 108, 1825–1832. [Google Scholar] [CrossRef]
- Smeets, R.L.; van de Loo, F.A.; Arntz, O.J.; Bennink, M.B.; Joosten, L.A.; van den Berg, W.B. Adenoviral delivery of IL-18 binding protein C ameliorates collagen-induced arthritis in mice. Gene 2003, 10, 1004–1011. [Google Scholar] [CrossRef]
- Banda, N.K.; Vondracek, A.; Kraus, D.; Dinarello, C.A.; Kim, S.H.; Bendele, A.; Senaldi, G.; Arend, W.P. Mechanisms of inhibition of collagen-induced arthritis by murine IL-18 binding protein. J. Immunol. 2003, 170, 2100–2105. [Google Scholar] [CrossRef]
- O’Shea, J.J.; Murray, P.J. Cytokine signaling modules in inflammatory responses. Immunity 2008, 28, 477–487. [Google Scholar] [CrossRef]
- Kinjyo, I.; Hanada, T.; Inagaki-Ohara, K.; Mori, H.; Aki, D.; Ohishi, M.; Yoshida, H.; Kubo, M.; Yoshimura, A. SOCS1/JAB is a negative regulator of LPS-induced macrophage activation. Immunity 2002, 17, 583–591. [Google Scholar] [CrossRef]
- Mansell, A.; Smith, R.; Doyle, S.L.; Gray, P.; Fenner, J.E.; Crack, P.J.; Nicholson, S.E.; Hilton, D.J.; O’Neill, L.A.; Hertzog, P.J. Suppressor of cytokine signaling 1 negatively regulates Toll-like receptor signaling by mediating Mal degradation. Nat. Immunol. 2006, 7, 148–155. [Google Scholar] [CrossRef] [PubMed]
- Ryo, A.; Suizu, F.; Yoshida, Y.; Perrem, K.; Liou, Y.C.; Wulf, G.; Rottapel, R.; Yamaoka, S.; Lu, K.P. Regulation of NF-kappaB signaling by Pin1-dependent prolyl isomerization and ubiquitin-mediated proteolysis of p65/RelA. Mol. Cell 2003, 12, 1413–1426. [Google Scholar] [CrossRef]
- Frobøse, H.; Rønn, S.G.; Heding, P.E.; Mendoza, H.; Cohen, P.; Mandrup-Poulsen, T.; Billestrup, N. Suppressor of cytokine Signaling-3 inhibits interleukin-1 signaling by targeting the TRAF-6/TAK1 complex. Mol. Endocrinol. 2006, 20, 1587–1596. [Google Scholar] [CrossRef] [PubMed]
- Karlsen, A.E.; Rønn, S.G.; Lindberg, K.; Johannesen, J.; Galsgaard, E.D.; Pociot, F.; Nielsen, J.H.; Mandrup-Poulsen, T.; Nerup, J.; Billestrup, N. Suppressor of cytokine signaling 3 (SOCS-3) protects beta -cells against interleukin-1beta- and interferon-gamma-mediated toxicity. Proc. Natl. Acad. Sci. USA 2001, 98, 12191–12196. [Google Scholar] [CrossRef]
- Kinoshita, K.; Yamagata, T.; Nozaki, Y.; Sugiyama, M.; Ikoma, S.; Funauchi, M.; Kanamaru, A. Blockade of IL-18 receptor signaling delays the onset of autoimmune disease in MRL-Faslpr mice. J. Immunol. 2004, 173, 5312–5318. [Google Scholar] [CrossRef]
- Nozaki, Y.; Hino, S.; Ri, J.; Sakai, K.; Nagare, Y.; Kawanishi, M.; Niki, K.; Funauchi, M.; Matsumura, I. Lipopolysaccharide-induced acute kidney injury is dependent on an IL-18 receptor signaling pathway. Int. J. Mol. Sci. 2017, 20, 18. [Google Scholar] [CrossRef]
- Tanaka, S.; Toki, T.; Akimoto, T.; Morishita, K. Lipopolysaccharide accelerates collagen-induced arthritis in association with rapid and continuous production of inflammatory mediators and anti-type II collagen antibody. Microbiol. Immunol. 2013, 57, 445–454. [Google Scholar] [CrossRef]
- Berridge, M.V.; Tan, A.S. Characterization of the cellular reduction of 3-(4,5-dimethylthiazol-2-yl)-2,5-diphenyltetrazolium bromide (MTT): Subcellular localization, substrate dependence, and involvement of mitochondrial electron transport in MTT reduction. Arch. Biochem. Biophys. 1993, 303, 474–482. [Google Scholar] [CrossRef]
- Nozaki, Y.; Kinoshita, K.; Yano, T.; Asato, K.; Shiga, T.; Hino, S.; Niki, K.; Nagare, Y.; Kishimoto, K.; Shimazu, H.; et al. Signaling through the interleukin-18 receptor α attenuates inflammation in cisplatin-induced acute kidney injury. Kidney Int. 2012, 82, 892–902. [Google Scholar] [CrossRef]
- Nozaki, Y.; Yamagata, T.; Sugiyama, M.; Ikoma, S.; Kinoshita, K.; Funauchi, M. Anti-inflammatory effect of all-trans-retinoic acid in inflammatory arthritis. Clin. Immunol. 2006, 119, 272–279. [Google Scholar] [CrossRef]
- Sakai, K.; Nozaki, Y.; Murao, Y.; Yano, T.; Ri, J.; Niki, K.; Kinoshita, K.; Funauchi, M.; Matsumura, I. Protective effect and mechanism of IL-10 on renal ischemia-reperfusion injury. Lab. Investig. 2019, 99, 671–683. [Google Scholar] [CrossRef] [PubMed]
- Caccese, R.G.; Zimmerman, J.L.; Carlson, R.P. Bacterial lipopolysaccharide potentiates type II collagen-induced arthritis in mice. Mediat. Inflamm. 1992, 1, 273–279. [Google Scholar] [CrossRef] [PubMed]
- Terato, K.; Harper, D.S.; Griffiths, M.M.; Hasty, D.L.; Ye, X.J.; Cremer, M.A.; Seyer, J.M. Collagen-induced arthritis in mice: Synergistic effect of E. coli lipopolysaccharide bypasses epitope specificity in the induction of arthritis with monoclonal antibodies to type II collagen. Autoimmunity 1995, 22, 137–147. [Google Scholar] [CrossRef] [PubMed]
- Terato, K.; Ye, X.J.; Miyahara, H.; Cremer, M.A.; Griffiths, M.M. Induction by chronic autoimmune arthritis in DBA/1 mice by oral administration of type II collagen and Escherichia coli lipopolysaccharide. Br. J. Rheumatol. 1996, 35, 828–838. [Google Scholar] [CrossRef] [PubMed][Green Version]
- Gracie, J.A.; Forsey, R.J.; Chan, W.L.; Gilmour, A.; Leung, B.P.; Greer, M.R.; Kennedy, K.; Carter, R.; Wei, X.Q.; Xu, D.; et al. A proinflammatory role for IL-18 in rheumatoid arthritis. J. Clin. Investig. 1999, 104, 1393–1401. [Google Scholar] [CrossRef] [PubMed]
- Leung, B.P.; McInnes, I.B.; Esfandiari, E.; Wei, X.Q.; Liew, F.Y. Combined effects of IL-12 and IL-18 on the induction of collagen-induced arthritis. J. Immunol. 2000, 164, 6495–6502. [Google Scholar] [CrossRef]
- Yamamura, M.; Kawashima, M.; Taniai, M.; Yamauchi, H.; Tanimoto, T.; Kurimoto, M.; Morita, Y.; Ohmoto, Y.; Makino, H. Interferon-gamma-inducing activity of interleukin-18 in the joint with rheumatoid arthritis. Arthritis Rheumatol. 2001, 44, 275–285. [Google Scholar] [CrossRef]
- Tanaka, M.; Harigai, M.; Kawaguchi, Y.; Ohta, S.; Sugiura, T.; Takagi, K.; Ohsako-Higami, S.; Fukasawa, C.; Hara, M.; Kamatani, N. Mature form of interleukin 18 is expressed in rheumatoid arthritis synovial tissue and contributes to interferon-gamma production by synovial T cells. J. Rheumatol. 2001, 28, 1779–17787. [Google Scholar]
- Honda, T.; Egen, J.G.; Lämmermann, T.; Kastenmüller, W.; Torabi-Parizi, P.; Germain, R.N. Tuning of antigen sensitivity by T cell receptor-dependent negative feedback controls T cell effector function in inflamed tissues. Immunity 2014, 40, 235–247. [Google Scholar] [CrossRef]
- Zhang, C.; Walker, L.M.; Mayeux, P.R. Role of nitric oxide in lipopolysaccharide-induced oxidant stress in the rat kidney. Biochem. Pharmacol. 2000, 59, 203–209. [Google Scholar] [CrossRef]
- Crotty, S. Follicular helper CD4 T cells (TFH). Immunol. Rev. 2014, 260, 168–182. [Google Scholar] [CrossRef] [PubMed]
- Zhu, J.; Yamane, H.; Paul, W.E. Differentiation of effector CD4 T cell populations. Annu. Rev. Immunol. 2010, 28, 445–489. [Google Scholar] [CrossRef] [PubMed]
- Calvani, N.; Tucci, M.; Richards, H.B.; Tartaglia, P.; Silvestris, F. Th1 cytokines in the pathogenesis of lupus nephritis: The role of IL-18. Autoimmun. Rev. 2005, 4, 542–548. [Google Scholar] [CrossRef] [PubMed]
- McSorley, S.J. Immunity to intestinal pathogens: Lessons learned from Salmonella. Immunity 2009, 30, 277–288. [Google Scholar] [CrossRef] [PubMed]
- Hyodo, Y.; Matsui, K.; Hayashi, N.; Tsutsui, H.; Kashiwamura, S.; Yamauchi, H.; Hiroishi, K.; Takeda, K.; Tagawa, Y.; Iwakura, Y. IL-18 up-regulates perforin-mediated NK activity without increasing perforin messenger RNA expression by binding to constitutively expressed IL-18 receptor. J. Immunol. 1999, 162, 1662–1668. [Google Scholar]
- Gutierrez-Ramos, J.C.; Bluethmann, H. Molecules and mechanisms operating in septic shock: Lessons from knockout mice. Immunol. Today 1997, 18, 329–334. [Google Scholar] [CrossRef]
- Szabo, S.J.; Kim, S.T.; Costa, G.L.; Zhang, X.; Fathman, C.G.; Glimcher, L.H. A novel transcription factor, T-bet, directs Th1 lineage commitment. Cell 2000, 100, 655–669. [Google Scholar] [CrossRef]
- Ting, C.N.; Olson, M.C.; Barton, K.P.; Leiden, J.M. Transcription factor GATA-3 is required for development of the T-cell lineage. Nature 1996, 384, 474–478. [Google Scholar] [CrossRef]
- Okamura, H.; Tsutsi, H.; Komatsu, T.; Yutsudo, M.; Hakura, A.; Tanimoto, T.; Torigoe, K.; Okura, T.; Nukada, Y.; Hattori, K.; et al. Cloning of a new cytokine that induces IFN-gamma production by T cells. Nature 1995, 378, 88–91. [Google Scholar] [CrossRef]
- Munder, M.; Mallo, M.; Eichmann, K.; Modolell, M. Murine macrophages secrete interferon gamma upon combined stimulation with interleukin (IL)-12 and IL-18: A novel pathway of autocrine macrophage activation. J. Exp. Med. 1998, 187, 2103–2108. [Google Scholar] [CrossRef]
- Trinchieri, G. Interleukin-12: A proinflammatory cytokine with immunoregulatory functions that bridge innate resistance and antigen-specific adaptive immunity. Annu. Rev. Immunol. 1995, 13, 251–276. [Google Scholar] [CrossRef] [PubMed]
- Dinarello, C.A.; Kaplanski, G. Interleukin-18 treatment options for inflammatory diseases. Expert Rev. Clin. Immunol. 2005, 1, 619–632. [Google Scholar] [CrossRef] [PubMed]
- Mazodier, K.; Marin, V.; Novick, D.; Farnarier, C.; Robitail, S.; Schleinitz, N.; Veit, V.; Paul, P.; Rubinstein, M.; Dinarello, C.A.; et al. Severe imbalance of IL-18/IL-18BP in patients with secondary hemophagocytic syndrome. Blood 2005, 106, 3483–3489. [Google Scholar] [CrossRef] [PubMed]
- Paulukat, J.; Bosmann, M.; Nold, M.; Garkisch, S.; Kämpfer, H.; Frank, S.; Raedle, J.; Zeuzem, S.; Pfeilschifter, J.; Mühl, H. Expression and release of IL-18 binding protein in response to IFN-gamma. J. Immunol. 2001, 167, 7038–7043. [Google Scholar] [CrossRef] [PubMed]
- Torigoe, K.; Ushio, S.; Okura, T.; Kobayashi, S.; Taniai, M.; Kunikata, T.; Murakami, T.; Sanou, O.; Kojima, H.; Fujii, M.; et al. Purification and characterization of the human interleukin-18 receptor. J. Biol. Chem. 1997, 272, 25737–25742. [Google Scholar] [CrossRef] [PubMed]
- Dinarello, C.A. Interleukin-18. Methods 1999, 19, 121–132. [Google Scholar] [CrossRef] [PubMed]
- Born, T.L.; Thomassen, E.; Bird, T.A.; Sims, J.E. Cloning of a novel receptor subunit, AcPL, required for interleukin-18 signaling. J. Biol. Chem. 1998, 6, 29445–29450. [Google Scholar] [CrossRef]
- Nold-Petry, C.A.; Nold, M.F.; Nielsen, J.W.; Bustamante, A.; Zepp, J.A.; Storm, K.A.; Hong, J.W.; Kim, S.H.; Dinarello, C.A. Increased cytokine production in interleukin-18 receptor alpha-deficient cells is associated with dysregulation of suppressors of cytokine signaling. J. Biol. Chem. 2009, 284, 25900–25911. [Google Scholar] [CrossRef]
- Firestein, G.S. Immunological mechanisms in the pathogenesis of rheumatoid arthritis. J. Clin. Rheumatol. 2005, 11, 39–44. [Google Scholar] [CrossRef]
- Astry, B.; Harberts, E.; Moudgil, K.D. A cytokine-centric view of the pathogenesis and treatment of rheumatoid arthritis. J. Interf. Cytokine Res. 2011, 31, 927–940. [Google Scholar] [CrossRef]
- Swierkot, J.; Nowak, B.; Czarny, A.; Zaczynska, E.; Sokolik, R.; Madej, M.; Korman, L.; Sebastian, A.; Wojtala, P.; Lubinski, L.; et al. The activity of JAK/STAT and NF-κB in patients with rheumatoid arthritis. Adv. Clin. Exp. Med. 2016, 25, 709–717. [Google Scholar] [CrossRef] [PubMed]
- Shouda, T.; Yoshida, T.; Hanada, T.; Wakioka, T.; Oishi, M.; Miyoshi, K.; Komiya, S.; Kosai, K.; Hanakawa, Y.; Hashimoto, K.; et al. Induction of the cytokine signal regulator SOCS3/CIS3 as a therapeutic strategy for treating inflammatory arthritis. J. Clin. Investig. 2001, 108, 1781–1788. [Google Scholar] [CrossRef] [PubMed]
- Mahony, R.; Ahmed, S.; Diskin, C.; Stevenson, N.J. SOCS3 revisited: A broad regulator of disease, now ready for therapeutic use? Cell. Mol. Life Sci. 2016, 73, 3323–3336. [Google Scholar] [CrossRef] [PubMed]








| Forward Primer | Reverse Primer | |
|---|---|---|
| 18SrRNA | GTAACCCGTTGAACCCCATTC | GCCTCACTAAACCATCCAATCG |
| IFN-γ | TGCTGATGGGAGGAGATGTCT | TTTCTTTCAGGGACAGCCTGTT |
| TNF | CGATCACCCCGAAGTTCAGTA | GGTGCCTATGTCTCAGCCTCTT |
| MMP-3 | GGGAAGCTGGACTCCAACAC | GCGAACCTGGGAAGGTACTG |
| GATA3 | AGGGACATCCTGCGCGAACTGT | CATCTTCCGGTTTCGGGTCTGG |
| T-bet | CCTGGACCCAACTGTCAACT | AACTGTGTTCCCGAGGTGTC |
| Gene Database No. | |
|---|---|
| 18SrRNA | NM_026744.3 |
| IFN-γ | NM_008337.3 |
| IL-6 | Mm00446190 |
| IL-18 | NM_008360.1 |
| IL-18R1 (IL-18Rα) | Mm00515180_m1 |
| Day 2 | Day 4 | Day 14 | |
|---|---|---|---|
| WT vs. IL-18Rα KO | WT vs. IL-18Rα KO | WT vs. IL-18Rα KO | |
| Spleen weight, g | 0.2 ± 0.1 vs. 0.1 ± 0.1 * | 0.1 ± 0.1 vs. 0.1 ± 0.0 | 0.1 ± 0.1 vs. 0.1 ± 0.0 |
| MTT assay, O.D. | 0.4 ± 0.2 vs. 0.4 ± 0.1 | 0.6 ± 0.1 vs. 0.5 ± 0.1 * | 0.4 ± 0.2 vs. 0.4 ± 0.2 |
| Synovium | Day 2 | Day 4 | Day 14 |
|---|---|---|---|
| WT vs. IL-18Rα KO | WT vs. IL-18Rα KO | WT vs. IL-18Rα KO | |
| Cytokines: | |||
| IL-6 | 2677 ± 843.7 vs. 4.6 ± 4.1 ** | 348.5 ± 235.5 vs. 8.1 ± 7.3 ** | 42.4 ± 21.2 vs. 2.2 ± 2.2 ** |
| IL-18 | 9.0 ± 7.2 vs. 0.1 ± 0.1 ** | 14.7 ± 6.8 vs. 0.3 ± 0.2 ** | 6.3 ± 5.7 vs. 1.0 ± 0.6 ** |
| IFN-γ | 32.3 ± 12.5 vs. 0.1 ± 0.2 ** | 137.0 ± 101.6 vs. 0.6 ± 0.8 * | 23.2 ± 2.5 vs. 2.5 ± 1.4 * |
| TNF | 2.4 ± 1.6 vs. 0.9 ± 0.7 * | 2.4 ± 1.1 vs. 1.1 ± 1.2 * | 0.3 ± 0.2 vs. 0.5 ± 0.1 |
| MMP-3 | 25.7 ± 10.9 vs. 6.3 ± 4.8 * | 49.3 ± 16.8 vs. 23.5 ± 14.1 * | 25.1 ± 14.3 vs. 6.3 ± 4.8 * |
| Th-cell subset transcription factors: | |||
| GATA3 | 0.1 ± 0.1 vs. 0.2 ± 0.1 | 6.1 ± 3.2 vs. 2.9 ± 0.8 | 1.3 ± 1.1 vs. 4.8 ± 4.5 |
| T-bet | 13.0 ± 3.4 vs. 14.3 ± 7.0 | 6.8 ± 2.1 vs. 6.2 ± 2.3 | 13.9 ± 35.0 vs. 3.7 ± 3.6 |
| Day 4 | WT vs. IL-18Rα KO | |
|---|---|---|
| TNFα | IFN-γ | |
| CD4+ | 3.8 ± 0.5 vs. 4.4 ± 0.6 | 1.4 ± 0.1 vs. 0.9 ± 0.1 ** |
| F4/80+ | 2.3 ± 0.6 vs. 0.9 ± 0.1 * | 1.5 ± 0.4 vs. 0.6 ± 0.1 * |
| CD11b+ | 3.0 ± 0.7 vs. 1.3 ± 0.1 * | 2.1 ± 0.5 vs. 0.8 ± 0.1 * |
| F4/80+CD11b+ | 1.2 ± 0.7 vs. 0.5 ± 0.1 * | 0.8 ± 0.5 vs. 0.3 ± 0.1 * |
© 2019 by the authors. Licensee MDPI, Basel, Switzerland. This article is an open access article distributed under the terms and conditions of the Creative Commons Attribution (CC BY) license (http://creativecommons.org/licenses/by/4.0/).
Share and Cite
Nozaki, Y.; Ri, J.; Sakai, K.; Niki, K.; Kinoshita, K.; Funauchi, M.; Matsumura, I. Inhibition of the IL-18 Receptor Signaling Pathway Ameliorates Disease in a Murine Model of Rheumatoid Arthritis. Cells 2020, 9, 11. https://doi.org/10.3390/cells9010011
Nozaki Y, Ri J, Sakai K, Niki K, Kinoshita K, Funauchi M, Matsumura I. Inhibition of the IL-18 Receptor Signaling Pathway Ameliorates Disease in a Murine Model of Rheumatoid Arthritis. Cells. 2020; 9(1):11. https://doi.org/10.3390/cells9010011
Chicago/Turabian StyleNozaki, Yuji, Jinhai Ri, Kenji Sakai, Kaoru Niki, Koji Kinoshita, Masanori Funauchi, and Itaru Matsumura. 2020. "Inhibition of the IL-18 Receptor Signaling Pathway Ameliorates Disease in a Murine Model of Rheumatoid Arthritis" Cells 9, no. 1: 11. https://doi.org/10.3390/cells9010011
APA StyleNozaki, Y., Ri, J., Sakai, K., Niki, K., Kinoshita, K., Funauchi, M., & Matsumura, I. (2020). Inhibition of the IL-18 Receptor Signaling Pathway Ameliorates Disease in a Murine Model of Rheumatoid Arthritis. Cells, 9(1), 11. https://doi.org/10.3390/cells9010011

