Effects of Rho-Associated Kinase (Rock) Inhibitors (Alternative to Y-27632) on Primary Human Corneal Endothelial Cells
Abstract
1. Introduction
2. Materials and Methods
2.1. Research-Grade Human Corneoscleral Tissue
2.2. ROCK Inhibitor Compounds
2.3. In Silico Experiments
2.3.1. PDB Screening for ROCK Proteins
2.3.2. ROCKi Docking
2.4. In Vitro Experiments
2.4.1. Primary Culture of Human Corneal Endothelial Cells
2.4.2. Cellular Viability Assay Using xCelligence
2.4.3. Click-iT Cell Proliferation Assessment
2.5. Ex Vivo Wound Model
2.5.1. Image and Processing
2.5.2. Alizarin Red Staining
2.6. Statistical Analysis
3. Results
3.1. In Silico Protein Binding Assay
3.2. Effects on Cellular Impedance from Exposure to Various ROCK inhibitors Vary in Human CECs
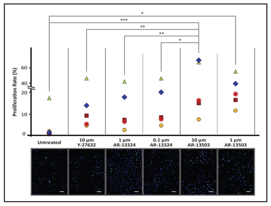
3.3. AR-13324 and AR-13503 Increased Proliferation Rates of Isolated Human CECs
3.4. Corneal Endothelial Wound Recovery (Ex-Vivo)
3.5. Effects of Donor Age on Endothelial Migration
3.6. Alizarin Red Staining of Ex Vivo Corneas
4. Discussion
5. Conclusions
Supplementary Materials
Author Contributions
Funding
Institutional Review Board Statement
Informed Consent Statement
Data Availability Statement
Conflicts of Interest
References
- Gottsch, J.D.; Seitzman, G.D.; Margulies, E.H.; Bowers, A.L.; Michels, A.J.; Saha, S.; Jun, A.S.; Stark, W.J.; Liu, S.H. Gene Expression in Donor Corneal Endothelium. Arch. Ophthalmol. 2003, 121, 252–258. [Google Scholar] [CrossRef] [PubMed][Green Version]
- Bonanno, J.A. Molecular mechanisms underlying the corneal endothelial pump. Exp. Eye Res. 2012, 95, 2–7. [Google Scholar] [CrossRef] [PubMed]
- Joyce, N.C. Proliferative capacity of corneal endothelial cells. Exp. Eye Res. 2012, 95, 16–23. [Google Scholar] [CrossRef] [PubMed]
- Kim, T.Y.; Kim, W.I.; Smith, R.E.; Kay, E.D. Role of p27(Kip1) in cAMP- and TGF-beta2-mediated antiproliferation in rabbit corneal endothelial cells. Investig. Ophthalmol. Vis. Sci. 2001, 42, 3142–3149. [Google Scholar]
- Joyce, N.C.; Harris, D.L.; Mello, D.M. Mechanisms of mitotic inhibition in corneal endothelium: Contact inhibition and TGF-beta2. Investig. Ophthalmol. Vis. Sci. 2002, 43, 2152–2159. [Google Scholar]
- Edelhauser, H.F. The Resiliency of the Corneal Endothelium to Refractive and Intraocular Surgery. Cornea 2000, 19, 263–273. [Google Scholar] [CrossRef]
- Tan, D.T.; Dart, J.K.; Holland, E.J.; Kinoshita, S. Corneal transplantation. Lancet 2012, 379, 1749–1761. [Google Scholar] [CrossRef] [PubMed]
- Gain, P.; Jullienne, R.; He, Z.; Aldossary, M.; Acquart, S.; Cognasse, F.; Thuret, G. Global Survey of Corneal Transplantation and Eye Banking. JAMA Ophthalmol. 2016, 134, 167–173. [Google Scholar] [CrossRef]
- Okumura, N.; Okazaki, Y.; Inoue, R.; Kakutani, K.; Nakano, S.; Kinoshita, S.; Koizumi, N. Effect of the Rho-Associated Kinase Inhibitor Eye Drop (Ripasudil) on Corneal Endothelial Wound Healing. Investig. Ophthalmol. Vis. Sci. 2016, 57, 1284–1292. [Google Scholar] [CrossRef]
- Soh, Y.Q.; Mehta, J.S. Regenerative Therapy for Fuchs Endothelial Corneal Dystrophy. Cornea 2018, 37, 523–527. [Google Scholar] [CrossRef]
- Soh, Y.Q.; Mehta, J.S. Selective Endothelial Removal for Peters Anomaly. Cornea 2018, 37, 382–385. [Google Scholar] [CrossRef] [PubMed]
- Bogerd, B.V.D.; Dhubhghaill, S.N.; Koppen, C.; Tassignon, M.-J.; Zakaria, N. A review of the evidence for in vivo corneal endothelial regeneration. Surv. Ophthalmol. 2018, 63, 149–165. [Google Scholar] [CrossRef] [PubMed]
- Okumura, N.; Kinoshita, S.; Koizumi, N. Application of Rho Kinase Inhibitors for the Treatment of Corneal Endothelial Diseases. J. Ophthalmol. 2017, 2017, 2646904. [Google Scholar] [CrossRef] [PubMed]
- Macsai, M.S.; Shiloach, M. Use of Topical Rho Kinase Inhibitors in the Treatment of Fuchs Dystrophy after Descemet Stripping Only. Cornea 2019, 38, 529–534. [Google Scholar] [CrossRef] [PubMed]
- Peh, G.S.L.; Ong, H.S.; Adnan, K.; Ang, H.-P.; Lwin, C.N.; Seah, X.-Y.; Lin, S.-J.; Mehta, J.S. Functional Evaluation of Two Corneal Endothelial Cell-Based Therapies: Tissue-Engineered Construct and Cell Injection. Sci. Rep. 2019, 9, 6087. [Google Scholar] [CrossRef]
- Ong, H.S.; Peh, G.; Neo, D.J.H.; Ang, H.-P.; Adnan, K.; Nyein, C.L.; Morales-Wong, F.; Bhogal, M.; Kocaba, V.; Mehta, J.S. A Novel Approach of Harvesting Viable Single Cells from Donor Corneal Endothelium for Cell-Injection Therapy. Cells 2020, 9, 1428. [Google Scholar] [CrossRef]
- Kinoshita, S.; Koizumi, N.; Ueno, M.; Okumura, N.; Imai, K.; Tanaka, H.; Yamamoto, Y.; Nakamura, T.; Inatomi, T.; Bush, J.; et al. Injection of Cultured Cells with a ROCK Inhibitor for Bullous Keratopathy. N. Engl. J. Med. 2018, 378, 995–1003. [Google Scholar] [CrossRef]
- Yamaguchi, H.; Kasa, M.; Amano, M.; Kaibuchi, K.; Hakoshima, T. Molecular Mechanism for the Regulation of Rho-Kinase by Dimerization and Its Inhibition by Fasudil. Structure 2006, 14, 589–600. [Google Scholar] [CrossRef]
- Nakagawa, O.; Fujisawa, K.; Ishizaki, T.; Saito, Y.; Nakao, K.; Narumiya, S. ROCK-I and ROCK-II, two isoforms of Rho-associated coiled-coil forming protein serine/threonine kinase in mice. FEBS Lett. 1996, 392, 189–193. [Google Scholar] [CrossRef]
- Pipparelli, A.; Arsenijevic, Y.; Thuret, G.; Gain, P.; Nicolas, M.; Majo, F. ROCK Inhibitor Enhances Adhesion and Wound Healing of Human Corneal Endothelial Cells. PLoS ONE 2013, 8, e62095. [Google Scholar] [CrossRef]
- Zhang, M.; Maddala, R.; Rao, P.V. Novel molecular insights into RhoA GTPase-induced resistance to aqueous humor outflow through the trabecular meshwork. Am. J. Physiol. Physiol. 2008, 295, C1057–C1070. [Google Scholar] [CrossRef] [PubMed]
- Enz, R.; Brandstätter, J.H.; Hartveit, E.; Wässle, H.; Bormann, J. Expression of GABA Receptor ρ1 and ρ2 Subunits in the Retina and Brain of the Rat. Eur. J. Neurosci. 1995, 7, 1495–1501. [Google Scholar] [CrossRef] [PubMed]
- Julian, L.; Olson, M.F. Rho-associated coiled-coil containing kinases (ROCK). Small GTPases 2014, 5, e29846. [Google Scholar] [CrossRef] [PubMed]
- Liao, J.K.; Seto, M.; Noma, K. Rho Kinase (ROCK) Inhibitors. J. Cardiovasc. Pharmacol. 2007, 50, 17–24. [Google Scholar] [CrossRef] [PubMed]
- Takai, Y.; Sasaki, T.; Tanaka, K.; Nakanishi, H. Rho as a regulator of the cytoskeleton. Trends Biochem. Sci. 1995, 20, 227–231. [Google Scholar] [CrossRef]
- Coleman, M.; Olson, M. Rho GTPase signalling pathways in the morphological changes associated with apoptosis. Cell Death Differ. 2002, 9, 493–504. [Google Scholar] [CrossRef]
- Abbhi, V. Rho-kinase (ROCK) Inhibitors—A Neuroprotective Therapeutic Paradigm with a Focus on Ocular Utility. Curr. Med. Chem. 2020, 27, 2222–2256. [Google Scholar] [CrossRef]
- LoGrasso, P.V.; Feng, Y. Rho Kinase (ROCK) Inhibitors and Their Application to Inflammatory Disorders. Curr. Top. Med. Chem. 2009, 9, 704–723. [Google Scholar] [CrossRef]
- Shah, S.; Savjani, J. A review on ROCK-II inhibitors: From molecular modelling to synthesis. Bioorganic Med. Chem. Lett. 2016, 26, 2383–2391. [Google Scholar] [CrossRef]
- Patel, R.A.; Forinash, K.D.; Pireddu, R.; Sun, Y.; Sun, N.; Martin, M.P.; Schönbrunn, E.; Lawrence, N.J.; Sebti, S.M. RKI-1447 Is a Potent Inhibitor of the Rho-Associated ROCK Kinases with Anti-Invasive and Antitumor Activities in Breast Cancer. Cancer Res. 2012, 72, 5025–5034. [Google Scholar] [CrossRef]
- Rath, N.; Munro, J.; Cutiongco, M.F.; Jagiełło, A.; Gadegaard, N.; McGarry, L.; Unbekandt, M.; Michalopoulou, E.; Kamphorst, J.J.; Sumpton, D.; et al. Rho Kinase Inhibition by AT13148 Blocks Pancreatic Ductal Adenocarcinoma Invasion and Tumor Growth. Cancer Res. 2018, 78, 3321–3336. [Google Scholar] [CrossRef] [PubMed]
- Gentry, E.G.; Henderson, B.W.; Arrant, A.E.; Gearing, M.; Feng, Y.; Riddle, N.C.; Herskowitz, J.H. Rho Kinase Inhibition as a Therapeutic for Progressive Supranuclear Palsy and Corticobasal Degeneration. J. Neurosci. 2016, 36, 1316–1323. [Google Scholar] [CrossRef] [PubMed]
- Saha, B.C.; Kumari, R.; Kushumesh, R.; Ambasta, A.; Sinha, B.P. Status of Rho kinase inhibitors in glaucoma therapeutics—An overview. Int. Ophthalmol. 2022, 42, 281–294. [Google Scholar] [CrossRef] [PubMed]
- Okumura, N.; Nakao, S.; Inoue, T.; Pattabiraman, P. Rho Kinase in Eye Disease. J. Ophthalmol. 2017, 2017, 9281745. [Google Scholar] [CrossRef] [PubMed]
- Sturdivant, J.M.; Royalty, S.M.; Lin, C.-W.; Moore, L.A.; Yingling, J.D.; Laethem, C.L.; Sherman, B.; Heintzelman, G.R.; Kopczynski, C.C.; Delong, M.A. Discovery of the ROCK inhibitor netarsudil for the treatment of open-angle glaucoma. Bioorganic Med. Chem. Lett. 2016, 26, 2475–2480. [Google Scholar] [CrossRef]
- Asrani, S.; Bacharach, J.; Holland, E.; McKee, H.; Sheng, H.; Lewis, R.A.; Kopczynski, C.C.; Heah, T. Fixed-Dose Combination of Netarsudil and Latanoprost in Ocular Hypertension and Open-Angle Glaucoma: Pooled Efficacy/Safety Analysis of Phase 3 MERCURY-1 and -2. Adv. Ther. 2020, 37, 1620–1631. [Google Scholar] [CrossRef]
- Soh, Y.Q.; Peh, G.; George, B.L.; Seah, X.Y.; Primalani, N.K.; Adnan, K.; Mehta, J.S. Predicative Factors for Corneal Endothelial Cell Migration. Investig. Ophthalmol. Vis. Sci. 2016, 57, 338–348. [Google Scholar] [CrossRef]
- Ho, W.; Chang, J.; Chen, T.; Wang, J.; Chang, S.; Yang, M.; Jou, T.; Wang, I. Inhibition of Rho-associated protein kinase activity enhances oxidative phosphorylation to support corneal endothelial cell migration. FASEB J. 2022, 36, e22397. [Google Scholar] [CrossRef]
- Peh, G.S.L.; Adnan, K.; George, B.L.; Ang, H.-P.; Seah, X.-Y.; Tan, D.T.; Mehta, J.S. The effects of Rho-associated kinase inhibitor Y-27632 on primary human corneal endothelial cells propagated using a dual media approach. Sci. Rep. 2015, 5, 9167. [Google Scholar] [CrossRef]
- Okumura, N.; Inoue, R.; Okazaki, Y.; Nakano, S.; Nakagawa, H.; Kinoshita, S.; Koizumi, N. Effect of the Rho Kinase Inhibitor Y-27632 on Corneal Endothelial Wound Healing. Investig. Ophthalmol. Vis. Sci. 2015, 56, 6067–6074. [Google Scholar] [CrossRef]
- Narumiya, S.; Ishizaki, T.; Ufhata, M. Use and properties of ROCK-specific inhibitor Y-27632. Methods Enzym. 2000, 325, 273–284. [Google Scholar]
- Ishizaki, T.; Uehata, M.; Tamechika, I.; Keel, J.; Nonomura, K.; Maekawa, M.; Narumiya, S. Pharmacological properties of Y-27632, a specific inhibitor of rho-associated kinases. Mol. Pharmacol. 2000, 57, 976–983. [Google Scholar] [PubMed]
- Okumura, N.; Ueno, M.; Koizumi, N.; Sakamoto, Y.; Hirata, K.; Hamuro, J.; Kinoshita, S. Enhancement on Primate Corneal Endothelial Cell Survival In Vitro by a ROCK Inhibitor. Investig. Ophthalmol. Vis. Sci. 2009, 50, 3680–3687. [Google Scholar] [CrossRef] [PubMed]
- Okumura, N.; Nakano, S.; Kay, E.P.; Numata, R.; Ota, A.; Sowa, Y.; Sakai, T.; Ueno, M.; Kinoshita, S.; Koizumi, N. Involvement of Cyclin D and p27 in Cell Proliferation Mediated by ROCK Inhibitors Y-27632 and Y-39983 During Corneal Endothelium Wound Healing. Investig. Ophthalmol. Vis. Sci. 2014, 55, 318–329. [Google Scholar] [CrossRef] [PubMed]
- Feng, Y.; LoGrasso, P.V.; Defert, O.; Li, R. Rho Kinase (ROCK) Inhibitors and Their Therapeutic Potential. J. Med. Chem. 2016, 59, 2269–2300. [Google Scholar] [CrossRef]
- Levy, B.; Ramirez, N.; Novack, G.D.; Kopczynski, C. Ocular Hypotensive Safety and Systemic Absorption of AR-13324 Ophthalmic Solution in Normal Volunteers. Am. J. Ophthalmol. 2015, 159, 980–985. [Google Scholar] [CrossRef]
- Koizumi, N.; Kinoshita, S.; Okumura, N. The Role of Rho Kinase Inhibitors in Corneal Endothelial Dysfunction. Curr. Pharm. Des. 2017, 23, 660–666. [Google Scholar] [CrossRef]
- Peh, G.; Chng, Z.; Ang, H.-P.; Cheng, T.Y.D.; Adnan, K.; Seah, X.-Y.; George, B.L.; Toh, K.-P.; Tan, D.T.; Yam, G.H.F.; et al. Propagation of Human Corneal Endothelial Cells: A Novel Dual Media Approach. Cell Transplant. 2015, 24, 287–304. [Google Scholar] [CrossRef]
- Williams, R.D.; Novack, G.D.; van Haarlem, T.; Kopczynski, C. Ocular Hypotensive Effect of the Rho Kinase Inhibitor AR-12286 in Patients with Glaucoma and Ocular Hypertension. Am. J. Ophthalmol. 2011, 152, 834–841. [Google Scholar] [CrossRef]
- Friesner, R.A.; Murphy, R.B.; Repasky, M.P.; Frye, L.L.; Greenwood, J.R.; Halgren, T.A.; Sanschagrin, P.C.; Mainz, D.T. Extra Precision Glide: Docking and Scoring Incorporating a Model of Hydrophobic Enclosure for Protein−Ligand Complexes. J. Med. Chem. 2006, 49, 6177–6196. [Google Scholar] [CrossRef]
- Peh, G.; Toh, K.-P.; Wu, F.-Y.; Tan, D.T.; Mehta, J.S. Cultivation of Human Corneal Endothelial Cells Isolated from Paired Donor Corneas. PLoS ONE 2011, 6, e28310. [Google Scholar] [CrossRef] [PubMed]
- Peh, G.S.L.; Ang, H.-P.; Lwin, C.N.; Adnan, K.; George, B.L.; Seah, X.-Y.; Lin, S.-J.; Bhogal, M.; Liu, Y.-C.; Tan, D.T.; et al. Regulatory Compliant Tissue-Engineered Human Corneal Endothelial Grafts Restore Corneal Function of Rabbits with Bullous Keratopathy. Sci. Rep. 2017, 7, 14149. [Google Scholar] [CrossRef] [PubMed]
- Okumura, N.; Sakamoto, Y.; Fujii, K.; Kitano, J.; Nakano, S.; Tsujimoto, Y.; Nakamura, S.-I.; Ueno, M.; Hagiya, M.; Hamuro, J.; et al. Rho kinase inhibitor enables cell-based therapy for corneal endothelial dysfunction. Sci. Rep. 2016, 6, 26113. [Google Scholar] [CrossRef] [PubMed]
- Okumura, N.; Koizumi, N.; Ueno, M.; Sakamoto, Y.; Takahashi, H.; Hirata, K.; Torii, R.; Hamuro, J.; Kinoshita, S. Enhancement of corneal endothelium wound healing by Rho-associated kinase (ROCK) inhibitor eye drops. Br. J. Ophthalmol. 2011, 95, 1006–1009. [Google Scholar] [CrossRef]
- Wu, Q.; Ouyang, C.; Xie, L.; Ling, Y.; Huang, T. The ROCK inhibitor, thiazovivin, inhibits human corneal endothelial-to-mesenchymal transition/epithelial-to-mesenchymal transition and increases ionic transporter expression. Int. J. Mol. Med. 2017, 40, 1009–1018. [Google Scholar] [CrossRef]
- Leung, T.; Chen, X.-Q.; Manser, E.; Lim, L. The p160 RhoA-Binding Kinase ROKα Is a Member of a Kinase Family and Is Involved in the Reorganization of the Cytoskeleton. Mol. Cell Biol. 1996, 16, 5313–5327. [Google Scholar] [CrossRef] [PubMed]
- Peh, G.S.; Toh, K.-P.; Ang, H.-P.; Seah, X.-Y.; George, B.L.; Mehta, J.S. Optimization of human corneal endothelial cell culture: Density dependency of successful cultures in vitro. BMC Res. Notes 2013, 6, 176. [Google Scholar] [CrossRef]
- Parekh, M.; Ahmad, S.; Ruzza, A.; Ferrari, S. Human Corneal Endothelial Cell Cultivation From Old Donor Corneas with Forced Attachment. Sci. Rep. 2017, 7, 142. [Google Scholar] [CrossRef] [PubMed]
- Okumura, N.; Fujii, K.; Kagami, T.; Makiko, N.; Kitahara, M.; Kinoshita, S.; Koizumi, N. Activation of the Rho/Rho Kinase Signaling Pathway Is Involved in Cell Death of Corneal Endothelium. Investig. Ophthalmol. Vis. Sci. 2016, 57, 6843–6851. [Google Scholar] [CrossRef]
- Garnock-Jones, K.P. Ripasudil: First Global Approval. Drugs 2014, 74, 2211–2215. [Google Scholar] [CrossRef] [PubMed]
- Moloney, G.; Petsoglou, C.; Ball, M.; Kerdraon, Y.; Höllhumer, R.; Spiteri, N.; Beheregaray, S.; Hampson, J.; D’Souza, M.; Devasahayam, R.N. Descemetorhexis Without Grafting for Fuchs Endothelial Dystrophy—Supplementation with Topical Ripasudil. Cornea 2017, 36, 642–648. [Google Scholar] [CrossRef] [PubMed]
- Galvis, V.; Tello, A.; Fuquen, J.P.; Rodríguez-Barrientos, C.A.; Grice, J.M. ROCK Inhibitor (Ripasudil) as Coadjuvant after Descemetorhexis Without an Endothelial Graft. Cornea 2017, 36, e38–e40. [Google Scholar] [CrossRef] [PubMed]
- Okumura, N.; Okazaki, Y.; Inoue, R.; Nakano, S.; Fullwood, N.J.; Kinoshita, S.; Koizumi, N. Rho-Associated Kinase Inhibitor Eye Drop (Ripasudil) Transiently Alters the Morphology of Corneal Endothelial Cells. Investig. Ophthalmol. Vis. Sci. 2015, 56, 7560–7567. [Google Scholar] [CrossRef]
- Saito, H.; Kagami, S.; Mishima, K.; Mataki, N.; Fukushima, A.; Araie, M. Long-term Side Effects Including Blepharitis Leading to Discontinuation of Ripasudil. Eur. J. Gastroenterol. Hepatol. 2019, 28, 289–293. [Google Scholar] [CrossRef]
- Bartakova, A.; Kuzmenko, O.; Alvarez-Delfin, K.; Kunzevitzky, N.; Goldberg, J.L. A Cell Culture Approach to Optimized Human Corneal Endothelial Cell Function. Investig. Ophthalmol. Vis. Sci. 2018, 59, 1617–1629. [Google Scholar] [CrossRef]
- Halász, É.; Zarbin, M.A.; Davidow, A.L.; Frishman, L.J.; Gombkoto, P.; Townes-Anderson, E. ROCK inhibition reduces morphological and functional damage to rod synapses after retinal injury. Sci. Rep. 2021, 11, 692. [Google Scholar] [CrossRef] [PubMed]
- Stuart, A.J.; Romano, V.; Virgili, G.; Shortt, A.J. Descemet’s membrane endothelial keratoplasty (DMEK) versus Descemet's stripping automated endothelial keratoplasty (DSAEK) for corneal endothelial failure. Cochrane Database Syst. Rev. 2018, 6, CD012097. [Google Scholar] [CrossRef]
- Bhogal, M.; Lwin, C.N.; Seah, X.-Y.; Peh, G.; Mehta, J.S. Allogeneic Descemet’s membrane endothelial keratoplasty (DMEK) versus Descs Membrane Transplantation Enhances Corneal Endothelial Monolayer Formation and Restores Functional Integrity Following Descemet’s Stripping. Investig. Ophthalmol. Vis. Sci. 2017, 58, 4249–4260. [Google Scholar] [CrossRef]
- Chen, J.; Li, Z.; Zhang, L.; Ou, S.; Wang, Y.; He, X.; Zou, D.; Jia, C.; Hu, Q.; Yang, S.; et al. Descemet’s Membrane Supports Corneal Endothelial Cell Regeneration in Rabbits. Sci. Rep. 2017, 7, 6983. [Google Scholar] [CrossRef]
- Ho, W.-T.; Su, C.-C.; Chang, J.-S.; Chang, S.-W.; Hu, F.-R.; Jou, T.-S.; Wang, I.-J. In Vitro and In Vivo Models to Study Corneal Endothelial-mesenchymal Transition. J. Vis. Exp. 2016, 114, 54329. [Google Scholar] [CrossRef]
- Lee, J.G.; Ko, M.K.; Kay, E.P. Endothelial mesenchymal transformation mediated by IL-1β-induced FGF-2 in corneal endothelial cells. Exp. Eye Res. 2012, 95, 35–39. [Google Scholar] [CrossRef] [PubMed]
- Li, C.; Dong, F.; Jia, Y.; Du, H.; Dong, N.; Xu, Y.; Wang, S.; Wu, H.; Liu, Z.; Li, W. Notch Signal Regulates Corneal Endothelial-to-Mesenchymal Transition. Am. J. Pathol. 2013, 183, 786–795. [Google Scholar] [CrossRef]
- Iovieno, A.; Moramarco, A.; Fontana, L. Descemet stripping only in Fuchs’ endothelial dystrophy without use of topical Rho-kinase inhibitors: 5-year follow-up. Can. J. Ophthalmol. 2021, 57, 402–407. [Google Scholar] [CrossRef] [PubMed]
- Moloney, G.; Congote, D.G.; Hirnschall, N.; Arsiwalla, T.; Boso, A.L.M.; Toalster, N.; D’Souza, M.; Devasahayam, R.N. Descemet Stripping Only Supplemented With Topical Ripasudil for Fuchs Endothelial Dystrophy 12-Month Outcomes of the Sydney Eye Hospital Study. Cornea 2021, 40, 320–326. [Google Scholar] [CrossRef] [PubMed]
- Kinoshita, S.M.; Colby, K.A.M.; Kruse, F.E.M. A Close Look at the Clinical Efficacy of Rho-Associated Protein Kinase Inhibitor Eye Drops for Fuchs Endothelial Corneal Dystrophy. Cornea 2021, 40, 1225–1228. [Google Scholar] [CrossRef]
- Din, N.M.; Cohen, E.; Popovic, M.; Mimouni, M.; Trinh, T.M.; Gouvea, L.; Alshaker, S.M.; Tone, S.M.O.; Chan, C.C.M.; Slomovic, A.R.M. Surgical Management of Fuchs Endothelial Corneal Dystrophy: A Treatment Algorithm and Individual Patient Meta-Analysis of Descemet Stripping Only. Cornea 2022, 41, 1188–1195. [Google Scholar] [CrossRef] [PubMed]





| Serial Number | Age | Gender | Cell Count (OD/OS) | Cause of Death |
|---|---|---|---|---|
| 01 | 26 | Male | 2398/2601 | Testicular Cancer |
| 02 | 15 | Female | 2809/2985 | Multiple Blunt Force Injuries |
| 03 | 4 | Female | 3623/2717 | Anoxic Encephalopathy |
| 04 | 18 | Male | 3257/3268 | Subarachnoid Haemorrhage |
| 05 | 31 | Female | 2985/3322 | Acute Cardiac Crisis |
| 06 | 14 | Male | 3021/3215 | Drowning |
| 07 | 28 | Female | 2833/2950 | Suicide |
| 08 | 35 | Female | 2513/2667 | COPD/Cardiac Arrest |
| 09 | 31 | Female | 2825/2653 | Multi Vehicle Accident |
| 10 | 20 | Female | 2538/2725 | Multi Vehicle Accident |
| 11 | 24 | Female | 2801/2849 | Multi Vehicle Accident |
| 12 | 30 | Male | 2950/3058 | Multi Vehicle Accident |
| 13 | 24 | Male | 3003/3236 | Multi Vehicle Accident |
| 14 | 33 | Female | 2825/2584 | Gunshot Wound |
| 15 | 24 | Male | 2976/3003 | Multi Vehicle Accident |
| 16 | 29 | Male | 3745/3953 | Anoxic Brain Injury |
| 17 | 27 | Female | 3146/3022 | Postpartum Complications |
| 18 | 19 | Female | 3364/3130 | Complication of Liver Cancer |
| 19 | 15 | Female | 3378/3106 | Trauma |
| 20 | 18 | Male | 3160/3253 | Trauma |
| 21 | 11 | Female | 2907/3040 | Drowning |
| 22 | 13 | Male | 3058/3175 | Anoxia |
| 23 | 66 | Male | 2421/2262 | Brain Cancer |
| 24 | 73 | Female | 2849/2681 | Chronic Obstructive Pulmonary Disease |
| 25 | 72 | Male | 2331/2513 | Hypoxia |
| 26 | 51 | Male | 2874/2398 | Intracerebral Bleeding/Intracerebral Haemorrhage |
| 27 | 63 | Female | 2387/2874 | Acute Cardiac Event |
| 28 | 69 | Female | 2053/2075 | Chronic Obstructive Pulmonary Disease |
| 29 | 64 | Male | 3077/3311 | Sepsis |
| 30 | 65 | Male | 2632/2778 | Liver Cancer |
| 31 | 61 | Female | 2577/2907 | Breast Cancer |
| 32 | 62 | Male | 2268/2326 | Liver Failure |
| ROCK Inhibitor Compounds | Compound Class | Concentration Range (Optimal) |
|---|---|---|
| Y-27632 | Pyridine Carboxamide | 10 µM |
| AR-13324 (Netasurdil) | Isoquinoline | 100 nM to 1 µM |
| AR-13503 | Isoquinoline | 100 nM to 10 µM |
| AR-12286 (Verosudil) | Isoquinoline | 100 nM to 10 µM |
| Y-39983 | Pyrrolopyridine | 100 nM |
| K-115 (Ripasudil) | Isoquinoline | 30 µM |
| G-1 | Indazole | 30 µM |
| G-2 | Aminofurazan | 10 µM |
| G-3 | Amide | 30 µM |
| G-4 | Benzodiazapiene | 10 µM |
Disclaimer/Publisher’s Note: The statements, opinions and data contained in all publications are solely those of the individual author(s) and contributor(s) and not of MDPI and/or the editor(s). MDPI and/or the editor(s) disclaim responsibility for any injury to people or property resulting from any ideas, methods, instructions or products referred to in the content. |
© 2023 by the authors. Licensee MDPI, Basel, Switzerland. This article is an open access article distributed under the terms and conditions of the Creative Commons Attribution (CC BY) license (https://creativecommons.org/licenses/by/4.0/).
Share and Cite
Peh, G.S.L.; Bandeira, F.; Neo, D.; Adnan, K.; Hartono, Y.; Ong, H.S.; Naso, S.; Venkatraman, A.; Gomes, J.A.P.; Kocaba, V.; et al. Effects of Rho-Associated Kinase (Rock) Inhibitors (Alternative to Y-27632) on Primary Human Corneal Endothelial Cells. Cells 2023, 12, 1307. https://doi.org/10.3390/cells12091307
Peh GSL, Bandeira F, Neo D, Adnan K, Hartono Y, Ong HS, Naso S, Venkatraman A, Gomes JAP, Kocaba V, et al. Effects of Rho-Associated Kinase (Rock) Inhibitors (Alternative to Y-27632) on Primary Human Corneal Endothelial Cells. Cells. 2023; 12(9):1307. https://doi.org/10.3390/cells12091307
Chicago/Turabian StylePeh, Gary S. L., Francisco Bandeira, Dawn Neo, Khadijah Adnan, Yossa Hartono, Hon Shing Ong, Sacha Naso, Anandalakshmi Venkatraman, José A. P. Gomes, Viridiana Kocaba, and et al. 2023. "Effects of Rho-Associated Kinase (Rock) Inhibitors (Alternative to Y-27632) on Primary Human Corneal Endothelial Cells" Cells 12, no. 9: 1307. https://doi.org/10.3390/cells12091307
APA StylePeh, G. S. L., Bandeira, F., Neo, D., Adnan, K., Hartono, Y., Ong, H. S., Naso, S., Venkatraman, A., Gomes, J. A. P., Kocaba, V., & Mehta, J. S. (2023). Effects of Rho-Associated Kinase (Rock) Inhibitors (Alternative to Y-27632) on Primary Human Corneal Endothelial Cells. Cells, 12(9), 1307. https://doi.org/10.3390/cells12091307

