Integrated Placental Modelling of Histology with Gene Expression to Identify Functional Impact on Fetal Growth
Abstract
1. Introduction
2. Materials and Methods
2.1. Placental Tissue Collection and Sampling
2.2. RNA Extraction, cDNA Synthesis, and qPCR
2.3. Histological Preparation
2.4. Placental Stereology
2.5. Predictive Modelling
2.6. Statistical Analyses
3. Results
3.1. Patient Characteristics
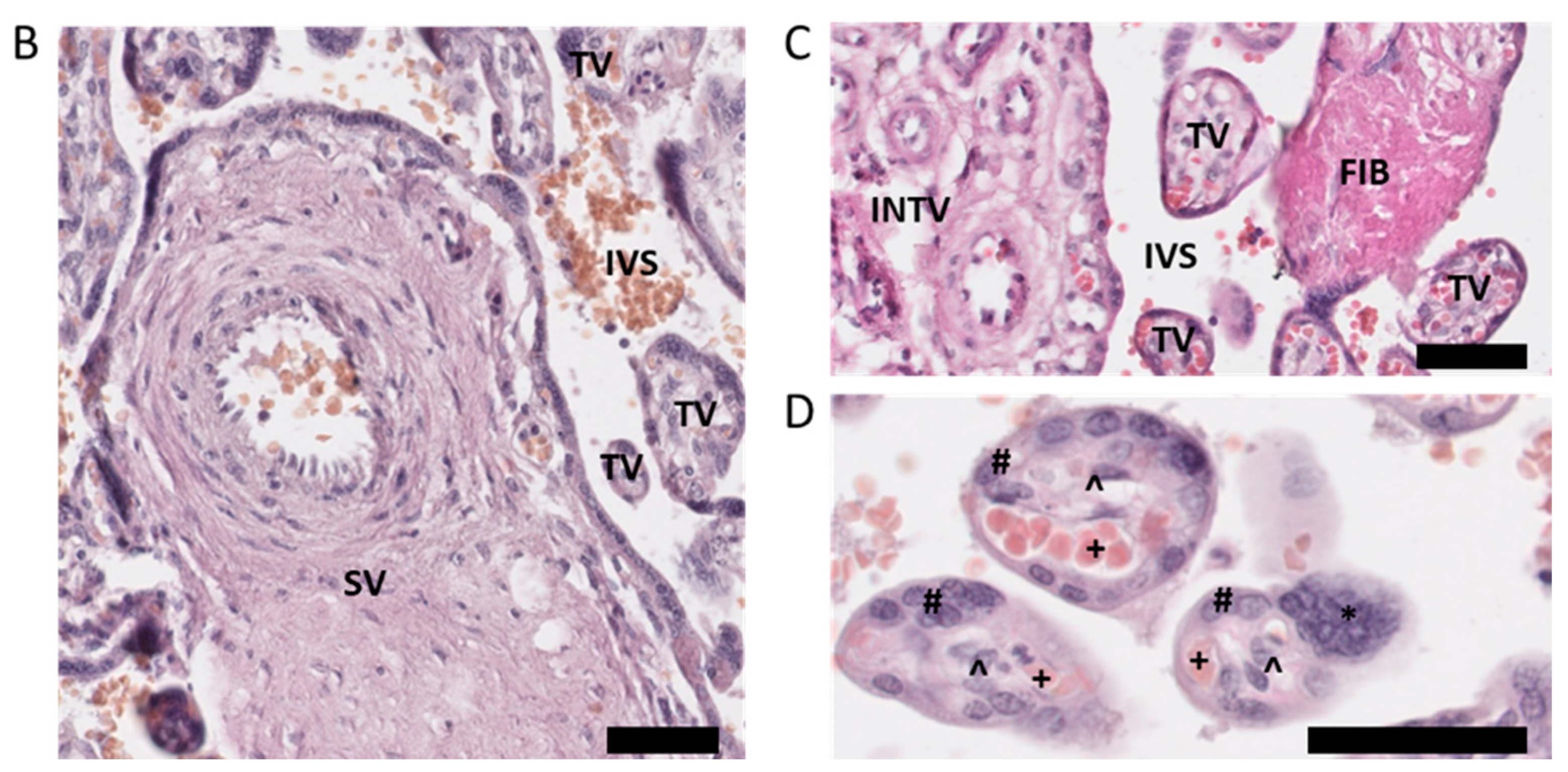
3.2. Stereological Analysis of Placental Morphology
3.3. Placental Expression of Growth Factors and Nutrient Transporters
3.4. Associations between Placental Morphology and Expression of Functional Genes
3.5. Predictive Modelling
4. Discussion
5. Conclusions
Supplementary Materials
Author Contributions
Funding
Institutional Review Board Statement
Informed Consent Statement
Data Availability Statement
Acknowledgments
Conflicts of Interest
References
- Napso, T.; Yong, H.E.; Lopez-Tello, J.; Sferruzzi-Perri, A.N. The role of placental hormones in mediating maternal adaptations to support pregnancy and lactation. Front. Physiol. 2018, 9, 91. [Google Scholar] [CrossRef]
- Burton, G.J.; Fowden, A.L.; Thornburg, K.L. Placental Origins of Chronic Disease. Physiol. Rev. 2016, 96, 1509–1565. [Google Scholar] [CrossRef]
- Byrne, M.; Aughwane, R.; James, J.L.; Hutchinson, J.C.; Arthurs, O.J.; Sebire, N.J.; Ourselin, S.; David, A.L.; Melbourne, A.; Clark, A.R. Structure-function relationships in the feto-placental circulation from in silico interpretation of micro-CT vascular structures. J. Biol. 2021, 517, 110630. [Google Scholar] [CrossRef] [PubMed]
- Aughwane, R.; Schaaf, C.; Hutchinson, J.C.; Virasami, A.; Zuluaga, M.A.; Sebire, N.; Arthurs, O.J.; Vercauteren, T.; Ourselin, S.; Melbourne, A.; et al. Micro-CT and histological investigation of the spatial pattern of feto-placental vascular density. Placenta 2019, 88, 36–43. [Google Scholar] [CrossRef] [PubMed]
- World Health Organization. Every Newborn: An Action Plan to End Preventable Deaths; World Health Organization: Geneva, Switzerland, 2014. [Google Scholar]
- Lawn, J.E.; Blencowe, H.; Oza, S.; You, D.; Lee, A.C.; Waiswa, P.; Lalli, M.; Bhutta, Z.; Barros, A.J.; Christian, P.; et al. Every Newborn: Progress, priorities, and potential beyond survival. Lancet 2014, 384, 189–205. [Google Scholar] [CrossRef] [PubMed]
- Sharma, D.; Shastri, S.; Sharma, P. Intrauterine Growth Restriction: Antenatal and Postnatal Aspects. Clin. Med. Insights Pediatr. 2016, 10, 67–83. [Google Scholar] [CrossRef]
- Gordijn, S.J.; Beune, I.M.; Thilaganathan, B.; Papageorghiou, A.; Baschat, A.A.; Baker, P.N.; Silver, R.M.; Wynia, K.; Ganzevoort, W. Consensus definition of fetal growth restriction: A Delphi procedure. Ultrasound Obstet. Gynecol. 2016, 48, 333–339. [Google Scholar] [CrossRef]
- Van den Berg, B.J.; Yerushalmy, J. The relationship of the rate of intrauterine growth of infants of low birth weight to mortality, morbidity, and congenital anomalies. J. Pediatr. 1966, 69, 531–545. [Google Scholar] [CrossRef]
- Bianchi, M.E.; Restrepo, J.M. Low Birthweight as a Risk Factor for Non-communicable Diseases in Adults. Front. Med. 2021, 8, 793990. [Google Scholar] [CrossRef]
- Caradeux, J.; Martinez-Portilla, R.J.; Basuki, T.R.; Kiserud, T.; Figueras, F. Risk of fetal death in growth-restricted fetuses with umbilical and/or ductus venosus absent or reversed end-diastolic velocities before 34 weeks of gestation: A systematic review and meta-analysis. Am. J. Obstet. Gynecol. 2018, 218, S774–S782 e721. [Google Scholar] [CrossRef]
- Ishihara, N.; Matsuo, H.; Murakoshi, H.; Laoag-Fernandez, J.B.; Samoto, T.; Maruo, T. Increased apoptosis in the syncytiotrophoblast in human term placentas complicated by either preeclampsia or intrauterine growth retardation. Am. J. Obstet. Gynecol. 2002, 186, 158–166. [Google Scholar] [CrossRef]
- Mayhew, T.M.; Wijesekara, J.; Baker, P.N.; Ong, S.S. Morphometric evidence that villous development and fetoplacental angiogenesis are compromised by intrauterine growth restriction but not by pre-eclampsia. Placenta 2004, 25, 829–833. [Google Scholar] [CrossRef] [PubMed]
- Macara, L.; Kingdom, J.C.; Kaufmann, P.; Kohnen, G.; Hair, J.; More, I.A.; Lyall, F.; Greer, I.A. Structural analysis of placental terminal villi from growth-restricted pregnancies with abnormal umbilical artery Doppler waveforms. Placenta 1996, 17, 37–48. [Google Scholar] [CrossRef] [PubMed]
- Teasdale, F.; Jean-Jacques, G. Intrauterine growth retardation: Morphometry of the microvillous membrane of the human placenta. Placenta 1988, 9, 47–55. [Google Scholar] [CrossRef]
- Burton, G.J.; Fowden, A.L. The placenta: A multifaceted, transient organ. Philos. Trans. R Soc. Lond. B Biol. Sci. 2015, 370, 20140066. [Google Scholar] [CrossRef]
- Chavatte-Palmer, P.; Tarrade, A. Placentation in different mammalian species. Ann. Endocrinol. 2016, 77, 67–74. [Google Scholar] [CrossRef]
- Pere, M.C. Materno-foetal exchanges and utilisation of nutrients by the foetus: Comparison between species. Reprod. Nutr. Dev. 2003, 43, 1–15. [Google Scholar] [CrossRef]
- Crawford, M.A.; Hassam, A.G.; Williams, G. Essential fatty acids and fetal brain growth. Lancet 1976, 1, 452–453. [Google Scholar] [CrossRef] [PubMed]
- Gresham, E.L.; Simons, P.S.; Battaglia, F.C. Maternal-fetal urea concentration difference in man: Metabolic significance. J. Pediatr. 1971, 79, 809–811. [Google Scholar] [CrossRef] [PubMed]
- Sferruzzi-Perri, A.N.; Vaughan, O.R.; Coan, P.M.; Suciu, M.C.; Darbyshire, R.; Constancia, M.; Burton, G.J.; Fowden, A.L. Placental-specific Igf2 deficiency alters developmental adaptations to undernutrition in mice. Endocrinology 2011, 152, 3202–3212. [Google Scholar] [CrossRef]
- Napso, T.; Hung, Y.P.; Davidge, S.T.; Care, A.S.; Sferruzzi-Perri, A.N. Advanced maternal age compromises fetal growth and induces sex-specific changes in placental phenotype in rats. Sci. Rep. 2019, 9, 16916. [Google Scholar] [CrossRef] [PubMed]
- Audette, M.C.; McLaughlin, K.; Kingdom, J.C. Second Trimester Placental Growth Factor Levels and Placental Histopathology in Low-Risk Nulliparous Pregnancies. J. Obstet. Gynaecol. Can. 2021, 43, 1145–1152 e1141. [Google Scholar] [CrossRef] [PubMed]
- Burton, G.J.; Sebire, N.J.; Myatt, L.; Tannetta, D.; Wang, Y.L.; Sadovsky, Y.; Staff, A.C.; Redman, C.W. Optimising sample collection for placental research. Placenta 2014, 35, 9–22. [Google Scholar] [CrossRef] [PubMed]
- Mayhew, T.M. Taking tissue samples from the placenta: An illustration of principles and strategies. Placenta 2008, 29, 1–14. [Google Scholar] [CrossRef]
- Mayhew, T.M. Morphomics: An integral part of systems biology of the human placenta. Placenta 2015, 36, 329–340. [Google Scholar] [CrossRef]
- Salafia, C.M.; Yampolsky, M.; Misra, D.P.; Shlakhter, O.; Haas, D.; Eucker, B.; Thorp, J. Placental surface shape, function, and effects of maternal and fetal vascular pathology. Placenta 2010, 31, 958–962. [Google Scholar] [CrossRef] [PubMed]
- Gordon, Z.; Elad, D.; Almog, R.; Hazan, Y.; Jaffa, A.J.; Eytan, O. Anthropometry of fetal vasculature in the chorionic plate. J. Anat. 2007, 211, 698–706. [Google Scholar] [CrossRef] [PubMed]
- Heifetz, S.A. The umbilical cord: Obstetrically important lesions. Clin. Obstet. Gynecol. 1996, 39, 571–587. [Google Scholar] [CrossRef]
- Brenner, W.E.; Edelman, D.A.; Hendricks, C.H. A standard of fetal growth for the United States of America. Am. J. Obstet. Gynecol. 1976, 126, 555–564. [Google Scholar] [CrossRef]
- Mayhew, T.M. Stereology and the placenta: Where’s the point?—A review. Placenta 2006, 27 (Suppl. SA), 17–25. [Google Scholar] [CrossRef]
- Sferruzzi-Perri, A.N.; Lopez-Tello, J.; Salazar-Petres, E. Placental adaptations supporting fetal growth during normal and adverse gestational environments. Exp. Physiol. 2023, 108, 371–397. [Google Scholar] [CrossRef] [PubMed]
- Vaughan, O.R.; Maksym, K.; Silva, E.; Barentsen, K.; Anthony, R.V.; Brown, T.L.; Hillman, S.L.; Spencer, R.; David, A.L.; Rosario, F.J.; et al. Placenta-specific Slc38a2/SNAT2 knockdown causes fetal growth restriction in mice. Clin. Sci. 2021, 135, 2049–2066. [Google Scholar] [CrossRef] [PubMed]
- Luscher, B.P.; Marini, C.; Joerger-Messerli, M.S.; Huang, X.; Hediger, M.A.; Albrecht, C.; Baumann, M.U.; Surbek, D.V. Placental glucose transporter (GLUT)-1 is down-regulated in preeclampsia. Placenta 2017, 55, 94–99. [Google Scholar] [CrossRef]
- Ganguly, A.; McKnight, R.A.; Raychaudhuri, S.; Shin, B.C.; Ma, Z.; Moley, K.; Devaskar, S.U. Glucose transporter isoform-3 mutations cause early pregnancy loss and fetal growth restriction. Am. J. Physiol. 2007, 292, E1241–E1255. [Google Scholar] [CrossRef] [PubMed]
- Sferruzzi-Perri, A.N.; Sandovici, I.; Constancia, M.; Fowden, A.L. Placental phenotype and the insulin-like growth factors: Resource allocation to fetal growth. J. Physiol. 2017, 595, 5057–5093. [Google Scholar] [CrossRef] [PubMed]
- Mifsud, W.; Sebire, N.J. Placental pathology in early-onset and late-onset fetal growth restriction. Fetal. Diagn. 2014, 36, 117–128. [Google Scholar] [CrossRef]
- Brosens, I.; Pijnenborg, R.; Vercruysse, L.; Romero, R. The “Great Obstetrical Syndromes” are associated with disorders of deep placentation. Am. J. Obstet. Gynecol. 2011, 204, 193–201. [Google Scholar] [CrossRef]
- Burton, G.J.; Jauniaux, E. Pathophysiology of placental-derived fetal growth restriction. Am. J. Obstet. Gynecol. 2018, 218, S745–S761. [Google Scholar] [CrossRef]
- Kovo, M.; Schreiber, L.; Ben-Haroush, A.; Wand, S.; Golan, A.; Bar, J. Placental vascular lesion differences in pregnancy-induced hypertension and normotensive fetal growth restriction. Am. J. Obstet. Gynecol. 2010, 202, 561.e1–561.e5. [Google Scholar] [CrossRef]
- Colson, A.; Sonveaux, P.; Debieve, F.; Sferruzzi-Perri, A.N. Adaptations of the human placenta to hypoxia: Opportunities for interventions in fetal growth restriction. Hum. Reprod Update 2020, 27, 531–569. [Google Scholar] [CrossRef]
- Cindrova-Davies, T.; Sferruzzi-Perri, A.N. Human placental development and function. Semin. Cell Dev. Biol. 2022; in press. [Google Scholar] [CrossRef]
- David, A.L.; Torondel, B.; Zachary, I.; Wigley, V.; Abi-Nader, K.; Mehta, V.; Buckley, S.M.; Cook, T.; Boyd, M.; Rodeck, C.H.; et al. Local delivery of VEGF adenovirus to the uterine artery increases vasorelaxation and uterine blood flow in the pregnant sheep. Gene 2008, 15, 1344–1350. [Google Scholar] [CrossRef]
- Guo, L.; Choufani, S.; Ferreira, J.; Smith, A.; Chitayat, D.; Shuman, C.; Uxa, R.; Keating, S.; Kingdom, J.; Weksberg, R. Altered gene expression and methylation of the human chromosome 11 imprinted region in small for gestational age (SGA) placentae. Dev. Biol. 2008, 320, 79–91. [Google Scholar] [CrossRef] [PubMed]
- Yamaguchi, Y.; Tayama, C.; Tomikawa, J.; Akaishi, R.; Kamura, H.; Matsuoka, K.; Wake, N.; Minakami, H.; Kato, K.; Yamada, T.; et al. Placenta-specific epimutation at H19-DMR among common pregnancy complications: Its frequency and effect on the expression patterns of H19 and IGF2. Clin. Epigenetics 2019, 11, 113. [Google Scholar] [CrossRef] [PubMed]
- Antonazzo, P.; Alvino, G.; Cozzi, V.; Grati, F.R.; Tabano, S.; Sirchia, S.; Miozzo, M.; Cetin, I. Placental IGF2 Expression in Normal and Intrauterine Growth Restricted (IUGR) Pregnancies. Placenta 2008, 29, 99–101. [Google Scholar] [CrossRef] [PubMed]
- Janzen, C.; Lei, M.Y.; Cho, J.; Sullivan, P.; Shin, B.C.; Devaskar, S.U. Placental glucose transporter 3 (GLUT3) is up-regulated in human pregnancies complicated by late-onset intrauterine growth restriction. Placenta 2013, 34, 1072–1078. [Google Scholar] [CrossRef]
- Desforges, M.; Greenwood, S.L.; Glazier, J.D.; Westwood, M.; Sibley, C.P. The contribution of SNAT1 to system A amino acid transporter activity in human placental trophoblast. Biochem. Biophys. Res. Commun. 2010, 398, 130–134. [Google Scholar] [CrossRef] [PubMed]
- Shibata, E.; Hubel, C.A.; Powers, R.W.; von Versen-Hoeynck, F.; Gammill, H.; Rajakumar, A.; Roberts, J.M. Placental System A Amino Acid Transport is Reduced in Pregnancies With Small For Gestational Age (SGA) Infants but Not in Preeclampsia with SGA Infants. Placenta 2008, 29, 879–882. [Google Scholar] [CrossRef]
- Lash, G.; MacPherson, A.; Liu, D.; Smith, D.; Charnock-Jones, S.; Baker, P. Abnormal fetal growth is not associated with altered chorionic villous expression of vascular endothelial growth factor mRNA. Mol. Hum. Reprod. 2001, 7, 1093–1098. [Google Scholar] [CrossRef]
- Lyall, F.; Young, A.; Boswell, F.; Kingdom, J.C.; Greer, I.A. Placental expression of vascular endothelial growth factor in placentae from pregnancies complicated by pre-eclampsia and intrauterine growth restriction does not support placental hypoxia at delivery. Placenta 1997, 18, 269–276. [Google Scholar] [CrossRef]
- Andraweera, P.H.; Dekker, G.A.; Roberts, C.T. The vascular endothelial growth factor family in adverse pregnancy outcomes. Hum. Reprod Update 2012, 18, 436–457. [Google Scholar] [CrossRef] [PubMed]
- Krishnan, T.; David, A.L. Placenta-directed gene therapy for fetal growth restriction. Semin. Fetal Neonatal Med. 2017, 22, 415–422. [Google Scholar] [CrossRef] [PubMed]
- Uhlen, M.; Fagerberg, L.; Hallstrom, B.M.; Lindskog, C.; Oksvold, P.; Mardinoglu, A.; Sivertsson, A.; Kampf, C.; Sjostedt, E.; Asplund, A.; et al. Proteomics. Tissue-based map of the human proteome. Science 2015, 347, 1260419. [Google Scholar] [CrossRef] [PubMed]
- Human Protein Atlas Team. Human Protein Atlas—HNF1A in the Placenta. Available online: https://www.proteinatlas.org/ENSG00000135100-HNF1A/tissue/placenta (accessed on 9 February 2023).
- Ducat, A.; Vargas, A.; Doridot, L.; Bagattin, A.; Lerner, J.; Vilotte, J.L.; Buffat, C.; Pontoglio, M.; Miralles, F.; Vaiman, D. Low-dose aspirin protective effects are correlated with deregulation of HNF factor expression in the preeclamptic placentas from mice and humans. Cell Death Discov. 2019, 5, 94. [Google Scholar] [CrossRef]
- Rout, M.; Lulu, S.S. Molecular and disease association of gestational diabetes mellitus affected mother and placental datasets reveal a strong link between insulin growth factor (IGF) genes in amino acid transport pathway: A network biology approach. J. Cell. Biochem. 2018, 120, 1577–1587. [Google Scholar] [CrossRef]






| Analyzed Genes | Gene Symbol | Probe ID | Fluorophore |
|---|---|---|---|
| Housekeeping genes | 18S rRNA | Hs99999901_s1 | VIC |
| B2M | Hs00187842_m1 | VIC | |
| GAPDH | Hs02786624_g1 | VIC | |
| GUSB | Hs00939627_m1 | VIC | |
| YWHAZ | Hs01122445_g1 | VIC | |
| Genes of interest | HNF1A | Hs00167041_m1 | VIC |
| IGF2 | Hs04188276_m1 | FAM | |
| SLC2A1 | Hs00892681_m1 | FAM | |
| SLC2A3 | Hs00359840_m1 | FAM | |
| SLC38A1 | Hs01562175_m1 | FAM | |
| SLC38A2 | Hs01089954_m1 | VIC | |
| SLC38A4 | Hs00394339_m1 | FAM | |
| VEGFA | Hs00900055_m1 | FAM |
| Characteristics | Control (N = 9) | FGR (N = 7) | p-Value |
|---|---|---|---|
| Maternal age | 34.44 ± 1.84 | 32.00 ± 1.16 | 0.339 |
| Maternal ethnicity | 8 white, 1 non-white | 2 white, 5 non-white | 0.035 |
| Booking BMI (kg/m2) | 24.67 ± 1.51 | 24.47 ± 2.75 | 0.946 |
| Mode of delivery | 4 vaginal deliveries, 5 caesarean sections | 2 vaginal deliveries, 5 caesarean sections | 0.620 |
| Gestational age at delivery (weeks) | 39.14 (39.07–39.79) | 38.29 (37.29–39.00) | 0.006 |
| Infant sex | 4F, 5M | 2F, 5M | 0.633 |
| Infant birthweight (kg) | 3.53 ± 0.13 | 2.33 ± 0.18 | <0.001 |
| Placental weight (g) | 478.9 ± 16.6 | 340.7 ± 31.0 | 0.001 |
| Control (N = 9) | FGR (N = 7) | p-Value (^FDR) | |
|---|---|---|---|
| Volume density (cm3/g) | |||
| Intervillous space | 0.37 ± 0.01 | 0.36 ± 0.02 | 0.447 |
| Stem villi | 0.06 ± 0.01 | 0.06 ± 0.01 | 0.895 |
| Intermediate villi | 0.12 ± 0.01 | 0.08 ± 0.01 | 0.008 * |
| Terminal villi | 0.42 ± 0.02 | 0.4 ± 0.03 | 0.474 |
| Syncytial knots | 0.02 ± 0.00 | 0.01 ± 0.00 | 0.002 * |
| Fibrosis | 0.01 ± 0.01 | 0.1 ± 0.02 | 0.001 * |
| Trophoblast | 0.32 ± 0.01 | 0.34 ± 0.03 | 0.583 |
| Stroma | 0.55 ± 0.02 | 0.45 ± 0.05 | 0.058 |
| Capillaries | 0.13 ± 0.01 | 0.21 ± 0.03 | 0.016 * |
| Volume (cm3) | |||
| Intervillous space | 179.73 ± 9.45 | 119.44 ± 10.77 | 0.001 * |
| Stem villi | 27.83 ± 3.2 | 20.17 ± 4.25 | 0.163 |
| Intermediate villi | 55.4 ± 4.41 | 25.48 ± 2.43 | <0.001 * |
| Terminal villi | 200.73 ± 10.54 | 135.3 ± 16.23 | 0.003 * |
| Syncytial knots | 8.39 ± 0.78 | 2.44 ± 0.71 | <0.001 * |
| Fibrosis | 5.88 ± 3.24 | 37.02 ± 7.43 | 0.001 * |
| Trophoblast | 153.5 ± 6.83 | 114.7 ± 13.69 | 0.017 * |
| Stroma | 263.09 ± 15.46 | 153.23 ± 21.66 | 0.001 * |
| Capillaries | 62.3 ± 5.04 | 72.78 ± 13.76 | 0.445 |
| Barrier thickness (µm) | |||
| Arithmetic mean | 2.83 ± 0.08 | 2.85 ± 0.18 | 0.912 |
| Harmonic mean | 2.14 ± 0.07 | 2.24 ± 0.14 | 0.500 |
| Thickness uniformity index (a measure of thickness variability) | 1.32 ± 0.01 | 1.48 ± 0.08 | 0.044 |
| Surface density (cm2/cm3) | |||
| Villi | 610.45 ± 23.85 | 630.28 ± 44.68 | 0.683 |
| Fetal capillary | 298.26 ± 19.81 | 401.92 ± 48.29 | 0.048 |
| Surface area (m2) | |||
| Villi | 11.68 ± 2.88 | 10.59 ± 1.55 | 0.009 * |
| Fetal capillary | 6.27 ± 1.7 | 6.89 ± 1.23 | 0.576 |
| Theoretical diffusion capacity (cm2/min/kPa) | 95.29 ± 4.86 | 70.26 ± 11.5 | 0.047 |
| Specific diffusion capacity (cm2/min/kPa/g) | 27.2 ± 1.49 | 29.47 ± 3.99 | 0.567 |
| Peripheral and Central | |||||||||
| Stereology | qPCR | Stereology and qPCR | |||||||
| xgbTree | glmnet | nnet | xgbTree | glmnet | nnet | xgbTree | glmnet | nnet | |
| AUC for all samples | 0.899 | 0.913 | 0.927 | 0.705 | 0.733 | 0.719 | 0.875 | 0.92 | 0.948 |
| AUC for all patients | 0.611 | 0.861 | 0.917 | 0.639 | 0.528 | 0.528 | 0.694 | 0.861 | 0.917 |
| Peripheral | |||||||||
| Stereology | qPCR | Stereology and qPCR | |||||||
| xgbTree | glmnet | nnet | xgbTree | glmnet | nnet | xgbTree | glmnet | nnet | |
| AUC for all samples | 0.903 | 0.938 | 0.924 | 0.681 | 0.694 | 0.681 | 0.819 | 0.938 | 0.979 |
| AUC for all patients | 0.861 | 0.917 | 0.861 | 0.556 | 0.556 | 0.556 | 0.778 | 0.917 | 0.917 |
| Central | |||||||||
| Stereology | qPCR | Stereology and qPCR | |||||||
| xgbTree | glmnet | nnet | xgbTree | glmnet | nnet | xgbTree | glmnet | nnet | |
| AUC for all samples | 0.889 | 0.903 | 0.903 | 0.722 | 0.694 | 0.722 | 0.826 | 0.889 | 0.889 |
| AUC for all patients | 0.778 | 0.861 | 0.861 | 0.611 | 0.611 | 0.611 | 0.722 | 0.861 | 0.806 |
Disclaimer/Publisher’s Note: The statements, opinions and data contained in all publications are solely those of the individual author(s) and contributor(s) and not of MDPI and/or the editor(s). MDPI and/or the editor(s) disclaim responsibility for any injury to people or property resulting from any ideas, methods, instructions or products referred to in the content. |
© 2023 by the authors. Licensee MDPI, Basel, Switzerland. This article is an open access article distributed under the terms and conditions of the Creative Commons Attribution (CC BY) license (https://creativecommons.org/licenses/by/4.0/).
Share and Cite
Yong, H.E.J.; Maksym, K.; Yusoff, M.A.B.; Salazar-Petres, E.; Nazarenko, T.; Zaikin, A.; David, A.L.; Hillman, S.L.; Sferruzzi-Perri, A.N. Integrated Placental Modelling of Histology with Gene Expression to Identify Functional Impact on Fetal Growth. Cells 2023, 12, 1093. https://doi.org/10.3390/cells12071093
Yong HEJ, Maksym K, Yusoff MAB, Salazar-Petres E, Nazarenko T, Zaikin A, David AL, Hillman SL, Sferruzzi-Perri AN. Integrated Placental Modelling of Histology with Gene Expression to Identify Functional Impact on Fetal Growth. Cells. 2023; 12(7):1093. https://doi.org/10.3390/cells12071093
Chicago/Turabian StyleYong, Hannah Ee Juen, Katarzyna Maksym, Muhammad Ashraf Bin Yusoff, Esteban Salazar-Petres, Tatiana Nazarenko, Alexey Zaikin, Anna L. David, Sara L. Hillman, and Amanda N. Sferruzzi-Perri. 2023. "Integrated Placental Modelling of Histology with Gene Expression to Identify Functional Impact on Fetal Growth" Cells 12, no. 7: 1093. https://doi.org/10.3390/cells12071093
APA StyleYong, H. E. J., Maksym, K., Yusoff, M. A. B., Salazar-Petres, E., Nazarenko, T., Zaikin, A., David, A. L., Hillman, S. L., & Sferruzzi-Perri, A. N. (2023). Integrated Placental Modelling of Histology with Gene Expression to Identify Functional Impact on Fetal Growth. Cells, 12(7), 1093. https://doi.org/10.3390/cells12071093

