Role of Nucleobindin-2 in the Clinical Pathogenesis and Treatment Resistance of Glioblastoma
Abstract
:1. Introduction
2. Materials and Methods
2.1. Patients
2.2. Immunohistochemical Staining
2.3. Cell Culture and NUCB2 siRNA Transfection
2.4. Proliferation Assay
2.5. Migration Assay
2.6. Invasion Assay
2.7. Western Blotting
2.8. Colony Formation Assay
2.9. Animal Model
2.10. Data Analyses
3. Results
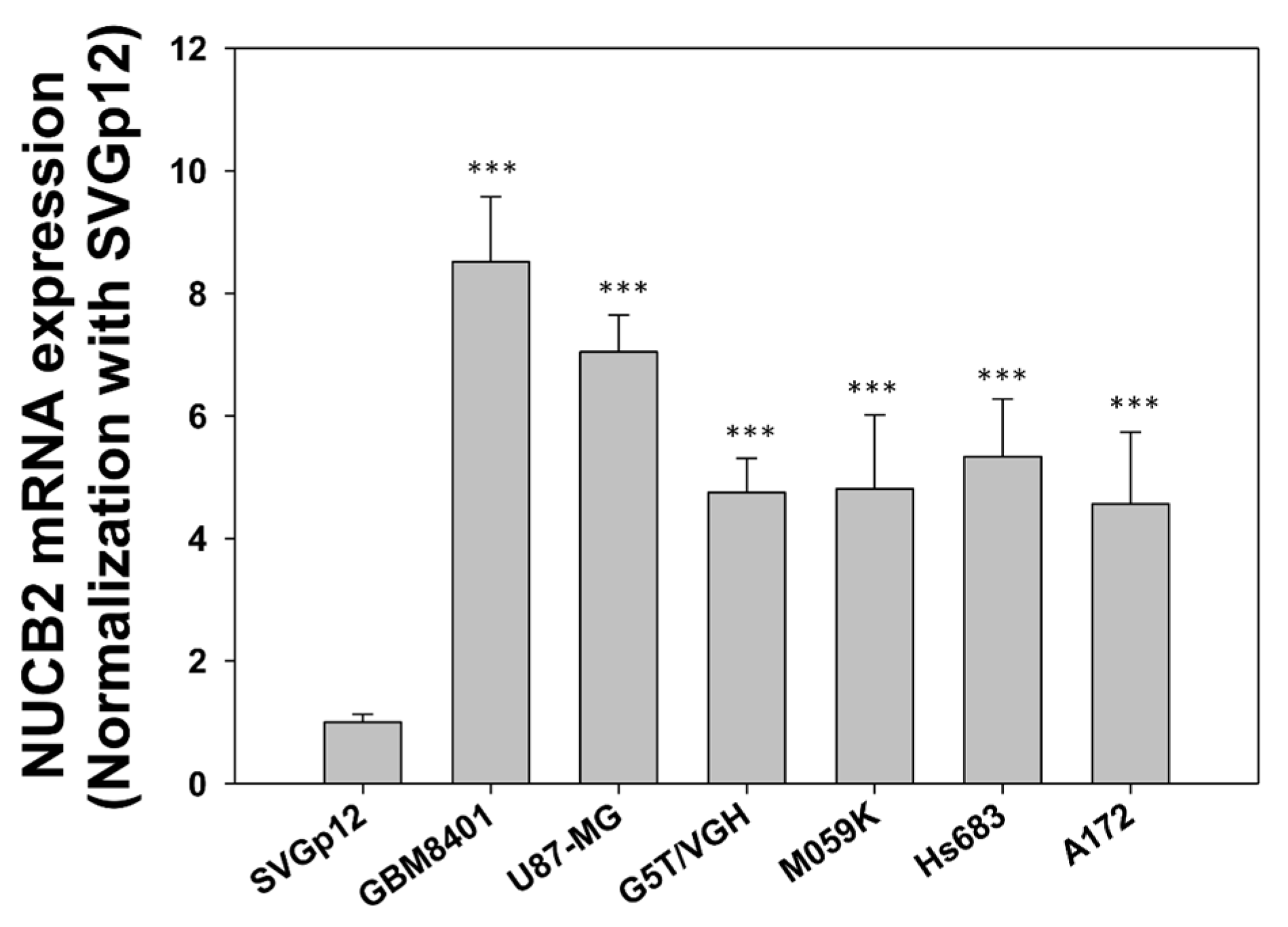
3.1. Higher NUCB2 Expression Is Correlated with Poor Prognosis in GBM
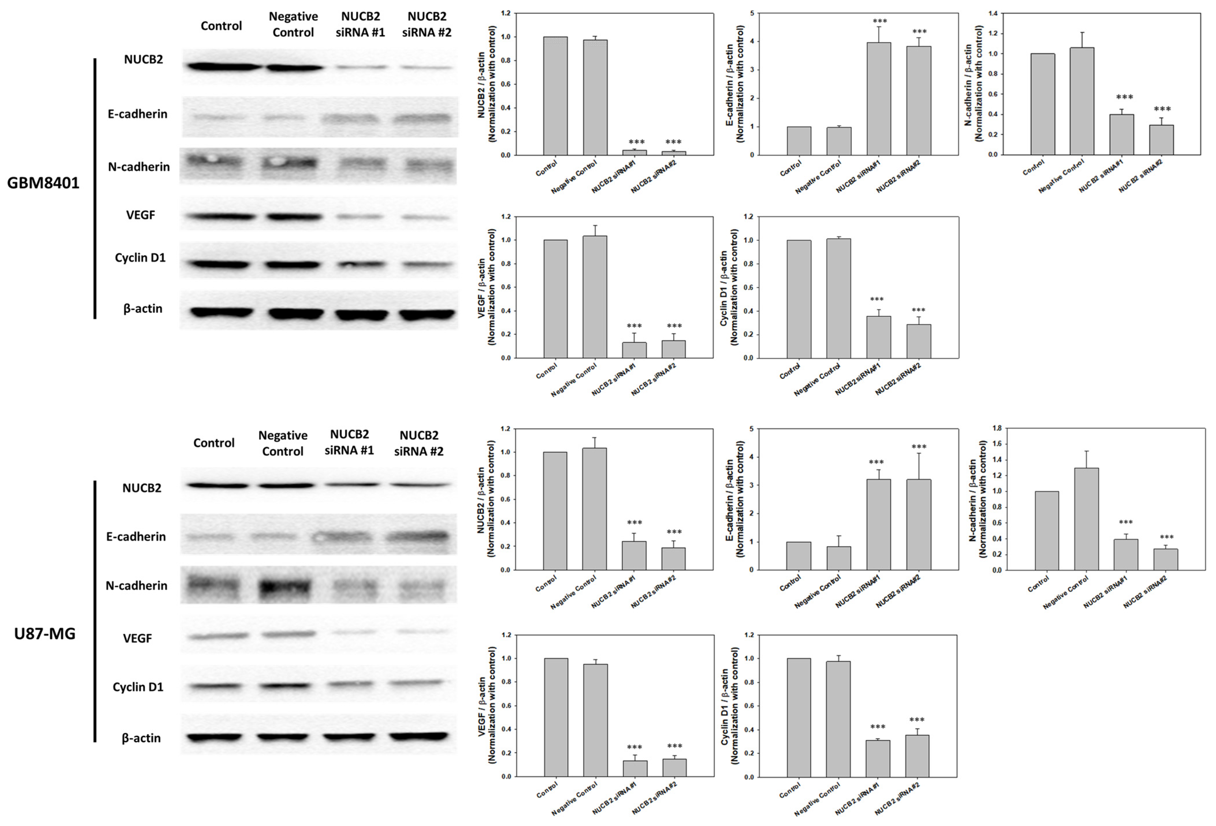
3.2. Knockdown of NUCB2 Decreases Cell Viability, Migration, and Invasion Ability in GBM Cells
3.3. NUCB2 Expression Increases Resistance of GBM Cells to TMZ
3.4. NUCB2 Expression Enhances Radioresistance of GBM Cells via Increased DNA Repair Activities
3.5. Knockdown of NUCB2 Slows Intracranial Tumor Progression and Results in Longer Survival in the Animal Model
4. Discussion
5. Conclusions
Author Contributions
Funding
Institutional Review Board Statement
Informed Consent Statement
Data Availability Statement
Acknowledgments
Conflicts of Interest
References
- Ohgaki, H.; Dessen, P.; Jourde, B.; Horstmann, S.; Nishikawa, T.; Di Patre, P.L.; Burkhard, C.; Schuler, D.; Probst-Hensch, N.M.; Maiorka, P.C.; et al. Genetic pathways to glioblastoma: A population-based study. Cancer Res. 2004, 64, 6892–6899. [Google Scholar] [CrossRef]
- Stupp, R.; Tonn, J.C.; Brada, M.; Pentheroudakis, G.; ESMO Guidelines Working Group. High-grade malignant glioma: ESMO Clinical Practice Guidelines for diagnosis, treatment and follow-up. Ann. Oncol. 2010, 21 (Suppl. S5), v190–v193. [Google Scholar] [CrossRef]
- Darefsky, A.S.; King, J.T., Jr.; Dubrow, R. Adult glioblastoma multiforme survival in the temozolomide era: A population-based analysis of Surveillance, Epidemiology, and End Results registries. Cancer 2012, 118, 2163–2172. [Google Scholar] [CrossRef]
- Ostrom, Q.T.; Cioffi, G.; Gittleman, H.; Patil, N.; Waite, K.; Kruchko, C.; Barnholtz-Sloan, J.S. CBTRUS Statistical Report: Primary Brain and Other Central Nervous System Tumors Diagnosed in the United States in 2012–2016. Neuro Oncol. 2019, 21 (Suppl. S3), v1–v100. [Google Scholar] [CrossRef]
- Wu, W.; Klockow, J.L.; Zhang, M.; Lafortune, F.; Chang, E.; Jin, L.; Wu, Y.; Daldrup-Link, H.E. Glioblastoma multiforme (GBM): An overview of current therapies and mechanisms of resistance. Pharmacol. Res. 2021, 171, 105780. [Google Scholar] [CrossRef]
- Ali, M.Y.; Oliva, C.R.; Noman, A.S.M.; Allen, B.G.; Goswami, P.C.; Zakharia, Y.; Monga, V.; Spitz, D.R.; Buatti, J.M.; Griguer, C.E. Radioresistance in Glioblastoma and the Development of Radiosensitizers. Cancers 2020, 12, 2511. [Google Scholar] [CrossRef]
- Miura, K.; Titani, K.; Kurosawa, Y.; Kanai, Y. Molecular cloning of nucleobindin, a novel DNA-binding protein that contains both a signal peptide and a leucine zipper structure. Biochem. Biophys. Res. Commun. 1992, 187, 375–380. [Google Scholar] [CrossRef]
- Oh, I.S.; Shimizu, H.; Satoh, T.; Okada, S.; Adachi, S.; Inoue, K.; Eguchi, H.; Yamamoto, M.; Imaki, T.; Hashimoto, K.; et al. Identification of nesfatin-1 as a satiety molecule in the hypothalamus. Nature 2006, 443, 709–712. [Google Scholar] [CrossRef]
- Prinz, P.; Goebel-Stengel, M.; Teuffel, P.; Rose, M.; Klapp, B.F.; Stengel, A. Peripheral and central localization of the nesfatin-1 receptor using autoradiography in rats. Biochem. Biophys. Res. Commun. 2016, 470, 521–527. [Google Scholar] [CrossRef]
- Feijoo-Bandin, S.; Rodriguez-Penas, D.; Garcia-Rua, V.; Mosquera-Leal, A.; Otero, M.F.; Pereira, E.; Rubio, J.; Martinez, I.; Seoane, L.M.; Gualillo, O.; et al. Nesfatin-1 in human and murine cardiomyocytes: Synthesis, secretion, and mobilization of GLUT-4. Endocrinology 2013, 154, 4757–4767. [Google Scholar] [CrossRef]
- Schalla, M.A.; Unniappan, S.; Lambrecht, N.W.G.; Mori, M.; Tache, Y.; Stengel, A. NUCB2/nesfatin-1-Inhibitory effects on food intake, body weight and metabolism. Peptides 2020, 128, 170308. [Google Scholar] [CrossRef]
- Gonzalez, R.; Reingold, B.K.; Gao, X.; Gaidhu, M.P.; Tsushima, R.G.; Unniappan, S. Nesfatin-1 exerts a direct, glucose-dependent insulinotropic action on mouse islet beta- and MIN6 cells. J. Endocrinol. 2011, 208, R9–R16. [Google Scholar] [CrossRef]
- Atsuchi, K.; Asakawa, A.; Ushikai, M.; Ataka, K.; Tsai, M.; Koyama, K.; Sato, Y.; Kato, I.; Fujimiya, M.; Inui, A. Centrally administered nesfatin-1 inhibits feeding behaviour and gastroduodenal motility in mice. Neuroreport 2010, 21, 1008–1011. [Google Scholar] [CrossRef]
- Tang, C.H.; Fu, X.J.; Xu, X.L.; Wei, X.J.; Pan, H.S. The anti-inflammatory and anti-apoptotic effects of nesfatin-1 in the traumatic rat brain. Peptides 2012, 36, 39–45. [Google Scholar] [CrossRef]
- Suzuki, S.; Takagi, K.; Miki, Y.; Onodera, Y.; Akahira, J.; Ebata, A.; Ishida, T.; Watanabe, M.; Sasano, H.; Suzuki, T. Nucleobindin 2 in human breast carcinoma as a potent prognostic factor. Cancer Sci. 2012, 103, 136–143. [Google Scholar] [CrossRef]
- Zhang, H.; Qi, C.; Li, L.; Luo, F.; Xu, Y. Clinical significance of NUCB2 mRNA expression in prostate cancer. J. Exp. Clin. Cancer Res. 2013, 32, 56. [Google Scholar] [CrossRef]
- Cho, J.M.; Moon, K.T.; Lee, H.J.; Shin, S.C.; Choi, J.D.; Kang, J.Y.; Yoo, T.K. Nucleobindin 2 expression is an independent prognostic factor for bladder cancer. Medicine 2020, 99, e19597. [Google Scholar] [CrossRef]
- Takagi, K.; Miki, Y.; Tanaka, S.; Hashimoto, C.; Watanabe, M.; Sasano, H.; Ito, K.; Suzuki, T. Nucleobindin 2 (NUCB2) in human endometrial carcinoma: A potent prognostic factor associated with cell proliferation and migration. Endocr. J. 2016, 63, 287–299. [Google Scholar] [CrossRef]
- Kan, J.Y.; Yen, M.C.; Wang, J.Y.; Wu, D.C.; Chiu, Y.J.; Ho, Y.W.; Kuo, P.L. Nesfatin-1/Nucleobindin-2 enhances cell migration, invasion, and epithelial-mesenchymal transition via LKB1/AMPK/TORC1/ZEB1 pathways in colon cancer. Oncotarget 2016, 7, 31336–31349. [Google Scholar] [CrossRef]
- Xu, H.; Li, W.; Qi, K.; Zhou, J.; Gu, M.; Wang, Z. A novel function of NUCB2 in promoting the development and invasion of renal cell carcinoma. Oncol. Lett. 2018, 15, 2425–2430. [Google Scholar] [CrossRef]
- Zhao, J.; Yun, X.; Ruan, X.; Chi, J.; Yu, Y.; Li, Y.; Zheng, X.; Gao, M. High expression of NUCB2 promotes papillary thyroid cancer cells proliferation and invasion. Onco Targets Ther. 2019, 12, 1309–1318. [Google Scholar] [CrossRef]
- Ramanjaneya, M.; Tan, B.K.; Rucinski, M.; Kawan, M.; Hu, J.; Kaur, J.; Patel, V.H.; Malendowicz, L.K.; Komarowska, H.; Lehnert, H.; et al. Nesfatin-1 inhibits proliferation and enhances apoptosis of human adrenocortical H295R cells. J. Endocrinol. 2015, 226, 1–11. [Google Scholar] [CrossRef] [PubMed]
- Xu, Y.; Pang, X.; Dong, M.; Wen, F.; Zhang, Y. Nesfatin-1 inhibits ovarian epithelial carcinoma cell proliferation in vitro. Biochem. Biophys. Res. Commun. 2013, 440, 467–472. [Google Scholar] [CrossRef] [PubMed]
- Liu, Q.J.; Lv, J.X.; Liu, J.; Zhang, X.B.; Wang, L.B. Nucleobindin-2 Promotes the Growth and Invasion of Glioblastoma. Cancer Biother. Radiopharm. 2019, 34, 581–588. [Google Scholar] [CrossRef] [PubMed]
- Chedeville, A.L.; Madureira, P.A. The Role of Hypoxia in Glioblastoma Radiotherapy Resistance. Cancers 2021, 13, 542. [Google Scholar] [CrossRef]
- Gil-Gil, M.J.; Mesia, C.; Rey, M.; Bruna, J. Bevacizumab for the treatment of glioblastoma. Clin. Med. Insights Oncol. 2013, 7, 123–135. [Google Scholar] [CrossRef]
- Jaiswal, M.; Tripathi, A.; Singh, D.; Kumar, A.; Singh, M.; Batra, N.; Verma, A. Clinical Correlation and Role of Cyclin D1 Expression in Glioblastoma Patients: A Study from North India. Cureus 2022, 14, e22346. [Google Scholar] [CrossRef]
- Zhang, D.; Dai, D.; Zhou, M.; Li, Z.; Wang, C.; Lu, Y.; Li, Y.; Wang, J. Inhibition of Cyclin D1 Expression in Human Glioblastoma Cells is Associated with Increased Temozolomide Chemosensitivity. Cell Physiol. Biochem. 2018, 51, 2496–2508. [Google Scholar] [CrossRef]
- Wu, W.; Tian, Y.; Wan, H.; Ma, J.; Song, Y.; Wang, Y.; Zhang, L. Expression of beta-catenin and E- and N-cadherin in human brainstem gliomas and clinicopathological correlations. Int. J. Neurosci. 2013, 123, 318–323. [Google Scholar] [CrossRef]
- Noh, M.G.; Oh, S.J.; Ahn, E.J.; Kim, Y.J.; Jung, T.Y.; Jung, S.; Kim, K.K.; Lee, J.H.; Lee, K.H.; Moon, K.S. Prognostic significance of E-cadherin and N-cadherin expression in Gliomas. BMC Cancer 2017, 17, 583. [Google Scholar] [CrossRef]
- Noronha, C.; Ribeiro, A.S.; Taipa, R.; Castro, D.S.; Reis, J.; Faria, C.; Paredes, J. Cadherin Expression and EMT: A Focus on Gliomas. Biomedicines 2021, 9, 1328. [Google Scholar] [CrossRef] [PubMed]
- Osuka, S.; Zhu, D.; Zhang, Z.; Li, C.; Stackhouse, C.T.; Sampetrean, O.; Olson, J.J.; Gillespie, G.Y.; Saya, H.; Willey, C.D.; et al. N-cadherin upregulation mediates adaptive radioresistance in glioblastoma. J. Clin. Investig. 2021, 131, e136098. [Google Scholar] [CrossRef]
- Goenka, A.; Tiek, D.; Song, X.; Huang, T.; Hu, B.; Cheng, S.Y. The Many Facets of Therapy Resistance and Tumor Recurrence in Glioblastoma. Cells 2021, 10, 484. [Google Scholar] [CrossRef] [PubMed]
- Singh, N.; Miner, A.; Hennis, L.; Mittal, S. Mechanisms of temozolomide resistance in glioblastoma—A comprehensive review. Cancer Drug Resist. 2021, 4, 17–43. [Google Scholar] [CrossRef] [PubMed]
- Sia, J.; Szmyd, R.; Hau, E.; Gee, H.E. Molecular Mechanisms of Radiation-Induced Cancer Cell Death: A Primer. Front. Cell Dev. Biol. 2020, 8, 41. [Google Scholar] [CrossRef]
- Bonm, A.; Kesari, S. DNA Damage Response in Glioblastoma: Mechanism for Treatment Resistance and Emerging Therapeutic Strategies. Cancer J. 2021, 27, 379–385. [Google Scholar] [CrossRef] [PubMed]
- Rominiyi, O.; Collis, S.J. DDRugging glioblastoma: Understanding and targeting the DNA damage response to improve future therapies. Mol. Oncol. 2022, 16, 11–41. [Google Scholar] [CrossRef]









| No. of Patients | NUCB2 Expression (n, %) | p-Value | ||
|---|---|---|---|---|
| Low | High | |||
| Age (years) | 0.440 | |||
| >60 | 25 | 7 (7.1%) | 18 (18.2%) | |
| ≤60 | 74 | 27 (27.3%) | 47 (47.5%) | |
| Sex | 0.847 | |||
| Male | 54 | 19 (19.2%) | 35 (35.4%) | |
| Female | 45 | 15 (15.2%) | 30 (30.3%) | |
| WHO Grade | <0.0001 * | |||
| II | 24 | 19 (19.2%) | 5 (5.1%) | |
| III/IV | 75 | 15 (15.2%) | 60 (60.6%) | |
| Tumor size | 0.372 | |||
| ≤3 cm | 61 | 23 (23.2%) | 38 (38.4%) | |
| >3 cm | 38 | 11 (11.1%) | 27 (27.3%) | |
| Radiotherapy | 0.921 | |||
| No | 56 | 19 (19.2%) | 37 (37.4%) | |
| Yes | 43 | 15 (15.2%) | 28 (28.3%) | |
| Chemotherapy | 0.546 | |||
| No | 60 | 22 (22.2%) | 38 (38.4%) | |
| Yes | 39 | 12 (12.1%) | 27 (27.3%) | |
| KPS | 0.157 | |||
| ≤70 | 70 | 21 (21.2%) | 49 (49.5%) | |
| >70 | 29 | 13 (13.1%) | 16 (16.2%) | |
| Univariate Analysis | Multivariate Analysis | |||||
|---|---|---|---|---|---|---|
| Relative Risk | 95% CI | p | Relative Risk | 95% CI | p | |
| Age | 0.383 | 0.107–1.373 | 0.141 | |||
| Gender | 0.552 | 0.151–2.015 | 0.368 | |||
| WHO grade | 0.378 | 0.215–0.667 | 0.001 * | 0.680 | 0.355–1.304 | 0.246 |
| Tumor size | 1.249 | 0.770–2.025 | 0.368 | |||
| Chemotherapy | 1.000 | 0.630–1.586 | 0.999 | |||
| Radiotherapy | 1.252 | 0.791–1.982 | 0.337 | |||
| KPS | 1.540 | 0.926–2.564 | 0.096 | |||
| NUCB2 expression | 0.178 | 0.098–0.324 | 0.001 * | 0.210 | 0.109–0.403 | <0.001 * |
Disclaimer/Publisher’s Note: The statements, opinions and data contained in all publications are solely those of the individual author(s) and contributor(s) and not of MDPI and/or the editor(s). MDPI and/or the editor(s) disclaim responsibility for any injury to people or property resulting from any ideas, methods, instructions or products referred to in the content. |
© 2023 by the authors. Licensee MDPI, Basel, Switzerland. This article is an open access article distributed under the terms and conditions of the Creative Commons Attribution (CC BY) license (https://creativecommons.org/licenses/by/4.0/).
Share and Cite
Lin, I.-C.; Chang, C.-H.; Chong, Y.B.; Kuo, S.-H.; Cheng, Y.-W.; Lieu, A.-S.; Tseng, T.-T.; Lin, C.-J.; Tsai, H.-P.; Kwan, A.-L. Role of Nucleobindin-2 in the Clinical Pathogenesis and Treatment Resistance of Glioblastoma. Cells 2023, 12, 2420. https://doi.org/10.3390/cells12192420
Lin I-C, Chang C-H, Chong YB, Kuo S-H, Cheng Y-W, Lieu A-S, Tseng T-T, Lin C-J, Tsai H-P, Kwan A-L. Role of Nucleobindin-2 in the Clinical Pathogenesis and Treatment Resistance of Glioblastoma. Cells. 2023; 12(19):2420. https://doi.org/10.3390/cells12192420
Chicago/Turabian StyleLin, I-Cheng, Chih-Hui Chang, Yoon Bin Chong, Shih-Hsun Kuo, Yu-Wen Cheng, Ann-Shung Lieu, Tzu-Ting Tseng, Chien-Ju Lin, Hung-Pei Tsai, and Aij-Lie Kwan. 2023. "Role of Nucleobindin-2 in the Clinical Pathogenesis and Treatment Resistance of Glioblastoma" Cells 12, no. 19: 2420. https://doi.org/10.3390/cells12192420
APA StyleLin, I.-C., Chang, C.-H., Chong, Y. B., Kuo, S.-H., Cheng, Y.-W., Lieu, A.-S., Tseng, T.-T., Lin, C.-J., Tsai, H.-P., & Kwan, A.-L. (2023). Role of Nucleobindin-2 in the Clinical Pathogenesis and Treatment Resistance of Glioblastoma. Cells, 12(19), 2420. https://doi.org/10.3390/cells12192420
