Development of Fragrant Thermosensitive Genic Male Sterile Line Rice Using CRISPR/Cas9
Abstract
1. Introduction
2. Materials and Methods
2.1. Experimental Materials
2.2. Construction of Cas9 Expression Vector
2.3. Agrobacterium-Mediated Genetic Transformation
2.4. Mutation Detection at Target Loci of Transgenic Plants
2.5. Off-Target Site Analysis
2.6. Acquisition of T-DNA Element-Free Mutants
2.7. Analysis of Temperature-Sensitive Breeding Conversion of Pure Mutants Without T-DNA Elements
2.8. Detection of Fragrance Content of Pure Mutants Without T-DNA Elements
2.9. Acquisition and Planting of Huahang 48s Hybrid
3. Results
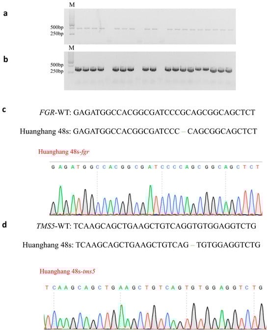
3.1. Identification of T0 Generation Plants
3.2. Analysis of Target Site Sequencing Results of T0 Generation Plants
3.3. Detection and Analysis of Off-Target Sites
3.4. Identification of T-DNA-Free T1 Generation Plants
3.5. Fertility Identification and Fragrance Substance Detection of Pure Mutant Plants of the T2 Generation
3.6. Application of Huahang 48s in Hybrid Rice Breeding
4. Discussion
5. Conclusions
Author Contributions
Funding
Data Availability Statement
Conflicts of Interest
Abbreviations
| TGMS | Thermosensitive genic male sterile |
| GG assembly | Golden Gate assembly |
| SDE | simultaneous distillation extraction |
References
- Ray, D.K.; Mueller, N.D.; West, P.C.; Foley, J.A. Yield trends are insufficient to double global crop production by 2050. PLoS ONE 2013, 8, e66428. [Google Scholar] [CrossRef]
- Yuan, L.P. Development of hybrid rice to ensure food security. Rice Sci. 2014, 21, 1. [Google Scholar] [CrossRef]
- Zhou, Y.B.; Zhao, X.H.; Tang, X.D.; Zhou, Z.W.; Zhuang, C.X.; Yang, Y.Z. Acquisition of Mutants of the Reverse Photoperiod-sensitive Genic Male Sterility Gene csa in Rice Based on CRISPR/Cas9 Technology. Hybrid Rice 2018, 33, 64–70. [Google Scholar]
- Fang, Y.; Yang, J.; Guo, X.; Qin, Y.; Zhou, H.; Liao, S.; Liu, F.; Qin, B.; Zhuang, C.; Li, R. CRISPR/Cas9-Induced Mutagenesis of TMS5 Confers Thermosensitive Genic Male Sterility by Influencing Protein Expression in Rice (Oryza sativa L.). Int. J. Mol. Sci. 2022, 23, 8354. [Google Scholar] [CrossRef] [PubMed]
- Fan, Y.; Cao, X.; Zhang, Q. Progress on photoperiod thermo-sensitive genic male sterile rice. Chin. Sci. Bull. 2016, 61, 3822–3832. [Google Scholar] [CrossRef]
- Yang, Q.; Liang, C.; Zhuang, W.; Li, J.; Deng, H.; Deng, Q.; Wang, B. Characterization and identification of the candidate gene of rice thermo-sensitive genic male sterile gene tms5 by mapping. Planta 2007, 225, 321–330. [Google Scholar] [CrossRef] [PubMed]
- Wen, J.; Wang, L.; Wang, J.; Zeng, Y.; Xu, Y.; Li, S. The transcription factor OsbHLH138 regulates thermosensitive genic male sterility in rice via activation of TMS5. Theor. Appl. Genet. 2019, 132, 1721–1732. [Google Scholar] [CrossRef]
- Wang, Y.G.; Xing, Q.H.; Deng, Q.Y.; Liang, F.S.; Yuan, L.P.; Weng, M.L.; Wang, B. Fine mapping of the rice thermo-sensitive genic male-sterile gene TMS5. Theor. Appl. Genet. 2003, 107, 917–921. [Google Scholar] [CrossRef]
- Jiang, D.; Lu, S.; Zhou, H.; Wu, X.; Zhuang, C.; Liu, Y.; Mei, M. Mapping of the rice (Oryza sativa L.) thermo-sensitive genic male sterile gene tms5 with EST and SSR markers. Chin. Sci. Bull. 2006, 51, 148–151. [Google Scholar] [CrossRef]
- Zhou, H.; Zhou, M.; Yang, Y.; Li, J.; Zhu, L.; Jiang, D.; Dong, J.; Liu, Q.; Gu, L.; Zhou, L. RNase ZS1 processes Ub L40 mRNAs and controls thermosensitive genic male sterility in rice. Nat. Commun. 2014, 5, 4884. [Google Scholar] [CrossRef]
- Sakthivel, K.; Sundaram, R.M.; Rani, N.S.; Balachandran, S.M.; Neeraja, C.N. Genetic and molecular basis of fragrance in rice. Biotechnol. Adv. 2009, 27, 468–473. [Google Scholar] [CrossRef] [PubMed]
- Bradbury, L.M.T.; Fitzgerald, T.L.; Henry, R.J.; Jin, Q.; Waters, D.L.E. The gene for fragrance in rice. Plant Biotechnol. J. 2005, 3, 363–370. [Google Scholar] [CrossRef]
- Kovach, M.J.; Calingacion, M.N.; Fitzgerald, M.A.; McCouch, S.R. The origin and evolution of fragrance in rice (Oryza sativa L.). Proc. Natl. Acad. Sci. USA 2009, 106, 14444–14449. [Google Scholar] [CrossRef] [PubMed]
- Chen, Z.; Wu, J.; Deng, X.W.; Tang, X. Establishment and Advances of Third-Generation Hybrid Rice Technology: A Review. Rice 2023, 16, 56. [Google Scholar] [CrossRef] [PubMed]
- Samanta, M.K.; Dey, A.; Gayen, S. CRISPR/Cas9: An advanced tool for editing plant genomes. Transgenic Res. 2016, 25, 561–573. [Google Scholar] [CrossRef] [PubMed]
- Belhaj, K.; Chaparro-Garcia, A.; Kamoun, S.; Patron, N.J.; Nekrasov, V. Editing plant genomes with CRISPR/Cas9. Curr. Opin. Biotechnol. 2015, 32, 76–84. [Google Scholar] [CrossRef]
- Huang, L.; Zhang, R.; Huang, G.; Li, Y.; Melaku, G.; Zhang, S.; Chen, H.; Zhao, Y.; Zhang, J.; Zhang, Y. Developing superior alleles of yield genes in rice by artificial mutagenesis using the CRISPR/Cas9 system. Crop J. 2018, 6, 475–481. [Google Scholar] [CrossRef]
- Shan, Q.; Wang, Y.; Li, J.; Zhang, Y.; Chen, K.; Liang, Z.; Zhang, K.; Liu, J.; Xi, J.J.; Qiu, J.-L. Targeted genome modification of crop plants using a CRISPR-Cas system. Nat. Biotechnol. 2013, 31, 686–688. [Google Scholar] [CrossRef]
- Liang, Z.; Zhang, K.; Chen, K.; Gao, C. Targeted mutagenesis in Zea mays using TALENs and the CRISPR/Cas system. J. Genet. Genom. 2014, 41, 63–68. [Google Scholar] [CrossRef] [PubMed]
- Feng, Z.; Zhang, B.; Ding, W.; Liu, X.; Yang, D.-L.; Wei, P.; Cao, F.; Zhu, S.; Zhang, F.; Mao, Y. Efficient genome editing in plants using a CRISPR/Cas system. Cell Res. 2013, 23, 1229–1232. [Google Scholar] [CrossRef]
- Xu, R.F.; Li, H.; Qin, R.Y.; Li, J.; Qiu, C.H.; Yang, Y.C.; Ma, H.; Li, L.; Wei, P.C.; Yang, J.B. Generation of inheritable and “transgene clean” targeted genome-modified rice in later generations using the CRISPR/Cas9 system. Sci. Rep. 2015, 5, 11491. [Google Scholar] [CrossRef]
- Xie, K.; Minkenberg, B.; Yang, Y. Boosting CRISPR/Cas9 multiplex editing capability with the endogenous tRNA-processing system. Proc. Natl. Acad. Sci. USA 2015, 112, 3570–3575. [Google Scholar] [CrossRef] [PubMed]
- Hiei, Y.; Ohta, S.; Komari, T.; Kumashiro, T. Efficient transformation of rice (Oryza sativa L.) mediated by Agrobacterium and sequence analysis of the boundaries of the T-DNA. Plant J. 1994, 6, 271–282. [Google Scholar] [CrossRef]
- Stewart, C.N.J.; Via, L.E. A rapid CTAB DNA isolation technique useful for RAPD fingerprinting and other PCR applications. Biotechniques 1993, 14, 748–750. [Google Scholar]
- Liu, W.; Xie, X.; Ma, X.; Li, J.; Chen, J.; Liu, Y.G. DSDecode: A web-based tool for decoding of sequencing chromatograms for genotyping of targeted mutations. Mol. Plant 2015, 8, 1431–1433. [Google Scholar] [CrossRef]
- Xie, X.; Ma, X.; Zhu, Q.; Zeng, D.; Li, G.; Liu, Y.G. CRISPR-GE: A convenient software toolkit for CRISPR-based genome editing. Mol. Plant 2017, 10, 1246–1249. [Google Scholar] [CrossRef]
- Barman, H.N.; Sheng, Z.; Fiaz, S.; Zhong, M.; Wu, Y.; Cai, Y.; Wang, W.; Jiao, G.; Tang, S.; Wei, X.; et al. Generation of a new thermo-sensitive genic male sterile rice line by targeted mutagenesis of TMS5 gene through CRISPR/Cas9 system. BMC Plant Biol. 2019, 19, 109. [Google Scholar] [CrossRef]
- Ashokkumar, S.; Jaganathan, D.; Ramanathan, V.; Rahman, H.; Palaniswamy, R.; Kambale, R.; Muthurajan, R. Creation of novel alleles of fragrance gene OsBADH2 in rice through CRISPR/Cas9 mediated gene editing. PLoS ONE 2020, 15, e0237018. [Google Scholar] [CrossRef]
- Hui, S.; Li, H.; Mawia, A.M.; Zhou, L.; Cai, J.; Ahmad, S.; Lai, C.; Wang, J.; Jiao, G.; Xie, L.; et al. Production of aromatic three-line hybrid rice using novel alleles of BADH2. Plant Biotechnol. J. 2022, 20, 59–74. [Google Scholar] [CrossRef]
- Lawrenson, T.; Shorinola, O.; Stacey, N.; Li, C.; Østergaard, L.; Patron, N.; Uauy, C.; Harwood, W. Induction of targeted, heritable mutations in barley and Brassica oleracea using RNA-guided Cas9 nuclease. Genome Biol. 2015, 16, 1–13. [Google Scholar] [CrossRef]
- Romero, F.M.; Gatica-Arias, A. CRISPR/Cas9: Development and Application in Rice Breeding. Rice Sci. 2019, 26, 265–281. [Google Scholar] [CrossRef]
- Fiaz, S.; Ahmad, S.; Noor, M.A.; Wang, X.; Younas, A.; Riaz, A.; Riaz, A.; Ali, F. Applications of the CRISPR/Cas9 System for Rice Grain Quality Improvement: Perspectives and Opportunities. Int. J. Mol. Sci. 2019, 20, 888. [Google Scholar] [CrossRef] [PubMed]
- Shan, Q.; Zhang, Y.; Chen, K.; Zhang, K.; Gao, C. Creation of fragrant rice by targeted knockout of the OsBADH2 gene using TALEN technology. Plant Biotechnol. J. 2015, 13, 791–800. [Google Scholar] [CrossRef]
- Zhou, H.; He, M.; Li, J.; Chen, L.; Huang, Z.; Zheng, S.; Zhu, L.; Ni, E.; Jiang, D.; Zhao, B. Development of commercial thermo-sensitive genic male sterile rice accelerates hybrid rice breeding using the CRISPR/Cas9-mediated TMS5 editing system. Sci. Rep. 2016, 6, 37395. [Google Scholar] [CrossRef]
- Khush, G.S. What it will take to feed 5.0 billion rice consumers in 2030. Plant Mol. Biol. 2005, 59, 1–6. [Google Scholar] [CrossRef] [PubMed]
- Gaballah, M.M.; Attia, K.A.; Ghoneim, A.M.; Khan, N.; EL-Ezz, A.F.; Yang, B.; Xiao, L.; Ibrahim, E.I.; Al-Doss, A.A. Assessment of Genetic Parameters and Gene Action Associated with Heterosis for Enhancing Yield Characters in Novel Hybrid Rice Parental Lines. Plants 2022, 11, 266. [Google Scholar] [CrossRef]





| Primer Name | Primer Sequence (5′-3′) | Application |
|---|---|---|
| recomb-F | GTGCAGATGATCCGTGGCAACAAAGCACCAGTGGT | Vector constructs |
| recomb-R | CTATTTCTAGCTCTAAAACAAAAAAAAAAGCACCGACTCGGTG | Vector constructs |
| Cas9-tms5-F | TAGGTCTCCAGCTGTCAGGTGGTTTTAGAGCTAGAA | Vector constructs |
| Cas9-tms5-R | cgGGTCTCAAGCTTCAGCTGCTGCACCAGCCGGGAA | Vector constructs |
| Cas9-fgr-F | TAGGTCTCCGCGATCCCGCAGGTTTTAGAGCTAGAA | Vector constructs |
| Cas9-fgr-R | cgGGTCTCATCGCCGTGGCCATGCACCAGCCGGGAA | Vector constructs |
| tms5-F | CAGTTCTTGGTTGTTCTGGATGAAT | Target sequencing |
| tms5-R | CAGGCAACATAGTTCCCACTAATTG | Target sequencing |
| fgr-F | CCGTGGGAAGAGGAAAAGATAGAAA | Target sequencing |
| fgr-R | GTTGCAAACTAAACCCTTGAGGAAT | Target sequencing |
| Hyg-F | CGATTCCTTGCGGTCCGAAT | Hygromycin Detection |
| Hyg-R | ACCTGATGCAGCTCTCGGAG | Hygromycin Detection |
| Cas9-F | ACAAGCTGATCCGGGAAGTG | Cas9 detection |
| Cas9-R | ATCGCTGTTCCTCTTGGGCA | Cas9 detection |
| Mutant Gene | No. of Plants Examined | No. of Plants with Mutations | Mutation Rate (%) | Zygosity | Mutation Type Ratios (%) | |||
|---|---|---|---|---|---|---|---|---|
| Heterozygote (%) | Bi-Allelic (%) | Homozygote (%) | Deletion | Insertion | ||||
| FGR | 21 | 15 | 71.43 | 0 | 15 (100.00) | 0 | 8 (26.67) | 22 (73.33) |
| TMS5 | 21 | 16 | 76.19 | 0 | 10 (62.50) | 6 (37.50) | 28 (87.50) | 4 (12.50) |
| Mutant Gene | Putative Off-Target Site | The Sequence of the Putative Off-Target Site |
|---|---|---|
| FGR | chr04:21823533 | GGGCGACGGCGATCCAGCGG CGG |
| chr02:28112975 | CGGCGACGTCGATCCCGCTG CGG | |
| chr04:456047 | TGGTGACCGCGATCCCGCGG CGG | |
| chr09:18716701 | TGGCGACGGGGATCCTGCAG CGG | |
| chr08:24883950 | TGGCGACGGGGATCCTGCAG AGG | |
| TMS5 | chr04:19229977 | GCAGGCGAAGCTGACAGGTG GGG |
| chr02:6657032 | GCTGCTGAAGCTGACAGATG AGG | |
| chr04:7668523 | GAATCTGAAACTGTCAGGTG GGG | |
| chr09:22767038 | GCAGCTGAAGAAGCTAGGTG TGG | |
| chr08:9345559 | GCAGGTGAAGCTGACAGGGT TGA |
Disclaimer/Publisher’s Note: The statements, opinions and data contained in all publications are solely those of the individual author(s) and contributor(s) and not of MDPI and/or the editor(s). MDPI and/or the editor(s) disclaim responsibility for any injury to people or property resulting from any ideas, methods, instructions or products referred to in the content. |
© 2025 by the authors. Licensee MDPI, Basel, Switzerland. This article is an open access article distributed under the terms and conditions of the Creative Commons Attribution (CC BY) license (https://creativecommons.org/licenses/by/4.0/).
Share and Cite
Chen, T.; Pu, N.; Ni, M.; Xie, H.; Zhao, Z.; Hu, J.; Lu, Z.; Xiao, W.; Chen, Z.; He, X.; et al. Development of Fragrant Thermosensitive Genic Male Sterile Line Rice Using CRISPR/Cas9. Agronomy 2025, 15, 411. https://doi.org/10.3390/agronomy15020411
Chen T, Pu N, Ni M, Xie H, Zhao Z, Hu J, Lu Z, Xiao W, Chen Z, He X, et al. Development of Fragrant Thermosensitive Genic Male Sterile Line Rice Using CRISPR/Cas9. Agronomy. 2025; 15(2):411. https://doi.org/10.3390/agronomy15020411
Chicago/Turabian StyleChen, Tengkui, Na Pu, Menglin Ni, Huabin Xie, Zhe Zhao, Juan Hu, Zhanhua Lu, Wuming Xiao, Zhiqiang Chen, Xiuying He, and et al. 2025. "Development of Fragrant Thermosensitive Genic Male Sterile Line Rice Using CRISPR/Cas9" Agronomy 15, no. 2: 411. https://doi.org/10.3390/agronomy15020411
APA StyleChen, T., Pu, N., Ni, M., Xie, H., Zhao, Z., Hu, J., Lu, Z., Xiao, W., Chen, Z., He, X., & Wang, H. (2025). Development of Fragrant Thermosensitive Genic Male Sterile Line Rice Using CRISPR/Cas9. Agronomy, 15(2), 411. https://doi.org/10.3390/agronomy15020411
