Identification of Parental Genome Construction and Inherited Morphological Characteristics in Triploid and AneuploidIntergeneric Hybrids from a Diploid−Diploid Cross between Citrus and Fortunella
Abstract
1. Introduction
2. Materials and Methods
2.1. Plant Materials
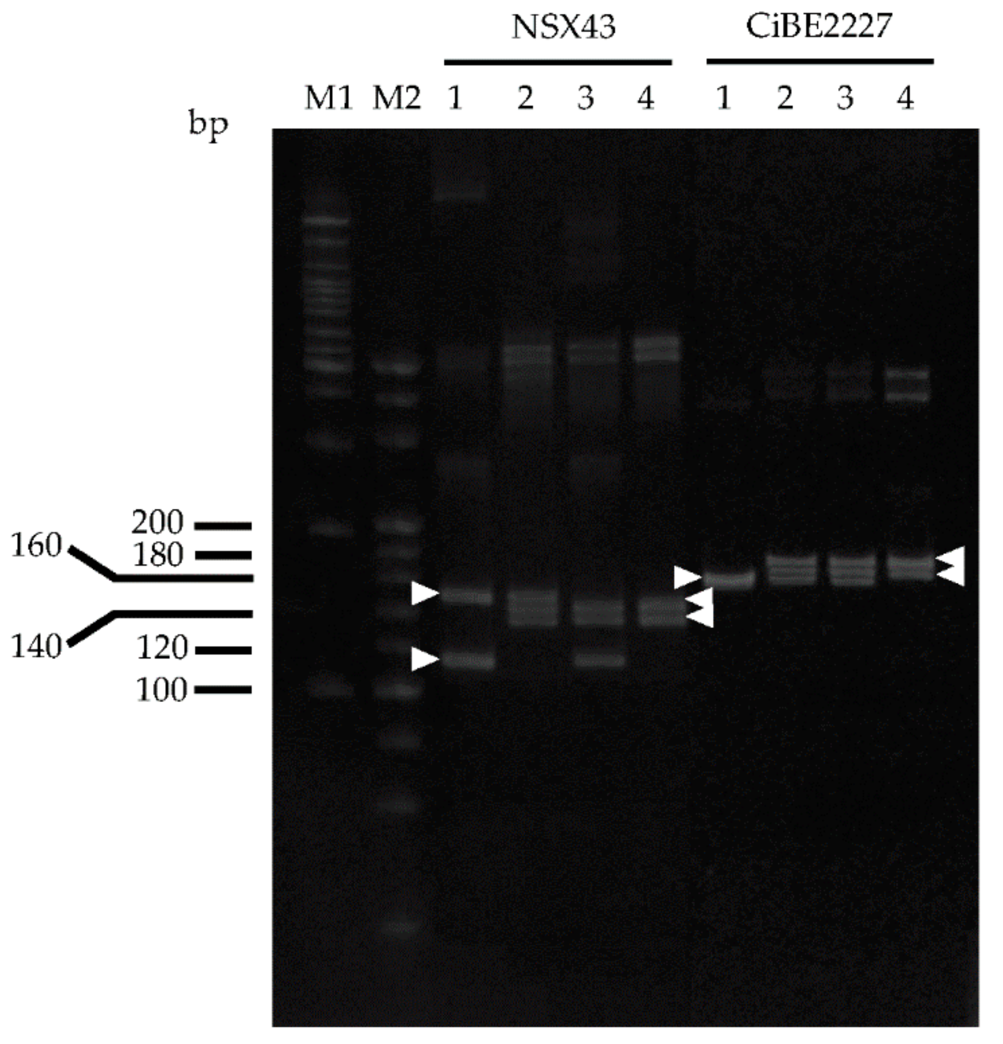
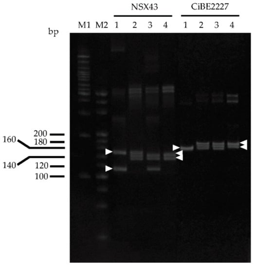
2.2. SSR Genotyping
2.3. GISH-CMA Analysis
2.4. Identification of Parental Genome Construction
2.5. Pollen Size Measurement
2.6. Morphological Characteristics and Fruit Traits
3. Results
3.1. SSR Genotyping
3.2. GISH and CMA Karyotype Compositions
3.3. Identification of Parental Genome Construction
3.4. The Presence of Unreduced Male Gamete
3.5. The Morphological Characteristics and Fruit Traits Inherited by Hybrids
4. Discussion
5. Conclusions
Supplementary Materials
Author Contributions
Funding
Institutional Review Board Statement
Informed Consent Statement
Acknowledgments
Conflicts of Interest
References
- Swingle, W.T.; Reece, P.C. The botany of Citrus and its wild relatives in the orange subfamily. In The Citrus Industry; Reuther, W., Webber, H.J., Bachelor, L.D., Eds.; University of California: Berkley, CA, USA, 1967; Volume I, pp. 190–430. [Google Scholar]
- Yasuda, K.; Yahata, M.; Komatsu, K.; Kurogi, Y.; Kunitake, H. Triploid and aneuploid hybrids from diploid-diploid intergeneric crosses between Citrus cultivar ‘Kiyomi’ tangor and Meiwa kumquat (Fortunella crassifolia Swingle) for seedless breeding of kumquat. J. Jpn. Soc. Hortic. Sci. 2010, 79, 16–22. [Google Scholar] [CrossRef]
- Aleza, P.; Juarez, J.; Cuenca, J.; Ollitraut, P.; Navarro, L. Recovery of citrus triploid hybrids by embryo rescue and flow cytometry from 2x × 2x sexual hybridization and its application to extensive breeding programs. Plant Cell Rept. 2010, 29, 1573–1586. [Google Scholar] [CrossRef]
- Esen, A.; Soost, R.K. Unexpected triploid in Citrus: Their origin, identification and possible use. J. Hered. 1971, 62, 329–333. [Google Scholar] [CrossRef]
- Lapin, W.K. Investigation of polyploidy in citrus. USSR All-Union Sci. Res. Inst. Humid Subtrop. Works 1937, 1, 1–68. [Google Scholar]
- Navarro, L.; Aleza, P.; Cuence, J.; Juarez, J.; Pina, J.A.; Ortega, C.; Navarro, A.; Ortega, V. The mandarin triploid breeding program in Spain. Acta Hortic. 2015, 1065, 389–396. [Google Scholar] [CrossRef]
- Ollitraut, P.; Damber, D.; Luro, F.; Froelicher, Y. Ploidy manipulation for breeding seedless triploid citrus. Plant Breed. Rev. 2008, 30, 323–352. [Google Scholar]
- Toolapong, P.; Komatsu, H.; Iwamasa, M. Triploids and haploid progenies derived from small seeds of ‘Banpeiyu’ pummelo, crossed with ‘Ruby Red’ grapefruits. J. Jpn. Soc. Hortic. Sci. 1996, 65, 255–260. [Google Scholar] [CrossRef]
- Yang, X.; Kitajima, A.; Behu, M.; Hasegawa, K. Variation in chromosome number of hybrid seedlings between ‘Tosa-Buntan’ and ‘Suisho-Buntan’ pummelo (Citrus grandis [L.] Osb.). J. Jpn. Soc. Hortic. Sci. 2000, 69, 308–314, (In Japanese with English abstract). [Google Scholar] [CrossRef]
- De Stome, N.; Geelen, D. Sexual polyploidization in plants–cytological mechanism and molecular regulation. New Phytol. 2013, 198, 670–684. [Google Scholar] [CrossRef]
- Mendiburu, A.O.; Peloquin, S.J. Sexual polyploidization and depolyploidization, some terminology and definitions. Theor. Appl. Genet. 1976, 48, 137–143. [Google Scholar] [CrossRef]
- Chen, C.; Lyon, M.T.; O’Malley, D.; Federici, C.T.; Gmitter, J.; Grosser, J.W.; Chaparro, J.X.; Roose, M.L.; Gmitter, F.G., Jr. Origin and frequency of 2n gametes in Citrus sinensis × Poncirus trifoliata and their reciprocal crosses. Plant Sci. 2008, 174, 1–8. [Google Scholar] [CrossRef]
- Cuenca, J.; Aleza, P.; Juarez, J.; Garcia-Lor, A.; Froelicher, Y.; Navarro, L.; Ollitrault, P. Maximum-likelihood method identifies meiotic restitution mechanism from heterozygosity transmission of centromeric loci: Application in citrus. Sci. Rep. 2015, 5, 9897. [Google Scholar] [CrossRef][Green Version]
- Rouiss, H.; Cuenca, J.; Navarro, L.; Ollitrault, P.; Aleza, P. Unreduced megametophyte production in lemon occurs via three meiotic mechanisms, predominantly second-division restitution. Front. Plant Sci. 2017, 8, 1211. [Google Scholar] [CrossRef]
- Rouiss, H.; Cuenca, J.; Navarro, L.; Ollitrault, P.; Alez, P. Tetraploid citrus progenies arising from FDR and SDR unreduced pollen in 4x × 2x hybridizations. Tree Genet. Genomes 2017, 13, 10. [Google Scholar] [CrossRef]
- Yang, X.; Kitajima, A.; Hasegawa, K. Chromosome pairing set and the presence of unreduced gametes explain the possible orgin of polyploidy progenies from the diploids ‘Tosa-Buntan’ × ‘Suisho-Buntan’ pumelo. J. Jpn. Soc. Hortic. Sci. 2002, 71, 538–543, (In Japanese with English abstract). [Google Scholar] [CrossRef][Green Version]
- Befu, M.; Kitajima, A.; Ling, Y.X.; Hasegawa, K. Classification of ‘Tosa-Buntan’ pummelo (Citrus grandis [L.] Osb.), ‘Washington’ navel orange (C. sinensis [L.] Osb.) and trifoliate orange (Poncirus trifoliate [L.] Raf.) chromosomes using young leaves. J. Japan. Soc. Hort. Sci. 2000, 69, 22–28. [Google Scholar] [CrossRef]
- Cornelio, M.T.M.N.; Figueiroa, A.R.S.; Santos, K.G.B.; Carvalho, R.; Soares Filho, W.S.; Guerra, M. Chromosomal relationships among cultivars of Citrus reticulata Blanco, its hybrids and related species. Plant Syst. Evol. 2003, 240, 149–161. [Google Scholar] [CrossRef]
- Moraes, A.P.; Soares Filho, W.S.; Guerra, M. Karyotype diversity and origin of grapefruits. Chromosome Res. 2007, 15, 115–121. [Google Scholar] [CrossRef] [PubMed]
- Nukaya, T.; Ohta, T.; Yasuda, K.; Yahata, M.; Kunitake, H.; Komatsu, H.; Nii, N.; Mukai, H.; Harada, H.; Takagi, T. Characteristics in polyploid Meiwa kumquat (Fortunella crassifolia Swingle) induced by colchicine treatment to nucellar embryos and their utilization for triploid breeding. Hort. Res. 2011, 10, 1–8, (In Japanese with English abstract). [Google Scholar] [CrossRef][Green Version]
- Yahata, M.; Kunitake, H.; Yabuya, T.; Yamashita, K.; Kashihara, Y.; Komatsu, H. Production of a doubled haploid from a haploid pummelo using colchicine treatment of axillary shoot buds. J. Am. Soc. Hortic. Sci. 2005, 130, 899–903. [Google Scholar] [CrossRef]
- Yamamoto, M. Application of fluorescent staining of chromosomes to genetic studied in citrus. J. Jpn. Soc. Hortic. Sci. 2007, 1, 12–19. [Google Scholar]
- Yamamoto, M.; Abkenar, A.A.; Matsumoto, R.; Kubo, T.; Tominaga, S. CMA staining analysis of chromosomes in several species of Aurantioideae. Genet. Resour. Crop Evol. 2008, 55, 1167–1173. [Google Scholar] [CrossRef]
- Yasuda, K.; Yahata, M.; Kunitake, H. Phylogeny and classification of kumquat (Fortunella spp.) inferred from CMA karyotype composition. Hortic. J. 2016, 85, 115–121. [Google Scholar] [CrossRef]
- Raina, S.N.; Rani, V. GISH technology in plant genome research. Methods Cell Sci. 2001, 23, 83–104. [Google Scholar] [CrossRef] [PubMed]
- Fu, C.H.; Chen, C.L.; Guo, W.W.; Deng, X.X. GISH, AFLP and PCR-RFLP analysis of an intergeneric somatic hybrid combining Goutou sour orange and Poncirus trifoliaata. Plant Cell Rept. 2004, 23, 391–396. [Google Scholar] [CrossRef]
- Yasuda, K.; Yahata, M.; Shigyo, M.; Matsumoto, R.; Yabuya, T.; Kunitake, H. Identification of parental chromosomes in sexual intergeneric hybrid progenies between Citrus cultivar ‘Nanpu’ tangor and Citropsis schweinfurthii in the subfamily Aurantioideae. J. Jpn. Soc. Hortic. Sci. 2010, 79, 129–134. [Google Scholar] [CrossRef][Green Version]
- Karlov, G.I.; Khrustaleva, L.I.; Lim, K.B.; van Tuyl, J.M. Homoelogous recombination in 2n-gametes producing interspecific hybrids of Lilium (Liliaceae) studied by genomic in situ hybridization (GISH). Genome 1999, 42, 681–686. [Google Scholar] [CrossRef]
- Lim, K.B.; Ramanna, M.S.; de Jong, J.H.; Jacobsen, E.; van Tuyl, J.M. Indeterminate meiotic restitution (IMR): A novel type of meiotic nuclear restitution mechanism detected in interspecific lily hybrids by GISH. Theor. Appl. Genet. 2001, 103, 219–230. [Google Scholar] [CrossRef]
- Ramanna, M.S.; Kuipers, A.G.J.; Jacobsen, E. Occurrence of numerically unreduced (2n) gametes in Alstroemeria interspecific hybrids and their significance for sexual polyploidisation. Euphytica 2003, 133, 95–106. [Google Scholar] [CrossRef]
- Doyle, J.; Doyle, J.L. A rapid DNA isolation procedure for small quantities fresh leaf tissue. Phytochem. Bull. 1987, 19, 11–15. [Google Scholar]
- Ollitraut, F.; Terol, J.; Pina, J.A.; Navarro, L.; Talon, M.; Ollitraut, P. Development of SSR markers from Citrus clementina (Rutaceae) BAC end sequences and interspecific transferability in Citrus. Am. J. Bot. 2010, 97, e124–e129. [Google Scholar] [CrossRef] [PubMed]
- Ollitraut, P.; Terol, J.; Chen, C.; Federici, C.T.; Lotfy, S.; Hippolyte, I.; Ollitraut, F.; Berard, A.; Chauveau, A.; Cuenca, J.; et al. A reference genetic map of C. clementina hort. ex Tan.; citrus evolution inferences from comparative mapping. BMC Genom. 2012, 13, 592. [Google Scholar]
- Shimizu, T.; Kitajima, A.; Nonaka, K.; Yoshioka, T.; Ohta, S.; Goto, S.; Toyoda, A.; Fujiyama, A.; Mochizuki, T.; Nagasaki, H.; et al. Hybrid origins of citrus varieties inferred from DNA marker analysis of nuclear and organelle genomes. PLoS ONE 2016, 11, e0166969. [Google Scholar] [CrossRef]
- Fukui, K. Plant chromosome at mitosis. In Plant Chromosome. Laboratry Methods; Fukui, K., Nakayama, S., Eds.; CRC Press: Boca Raton, Fl, USA, 1996; pp. 1–17. [Google Scholar]
- Yahata, M.; Nukaya, T.; Sudo, M.; Ohta, T.; Yasuda, K.; Inagaki, H.; Mukai, H.; Harada, H.; Takagi, T.; Komatsu, H.; et al. Morphological characteristics of a doubled haploid line from ‘Banpeiyu’ pumelo [Citrus maxima (Burm.) Merr.] and its reproductive function. Hortic. J. 2015, 84, 30–36. [Google Scholar] [CrossRef]
- Kawase, K.; Yahata, M.; Nakagawa, S.; Haraguchi, K.; Kunitake, H. Selection of autotetraploid and its morphological characteristics in Meiwa kumquat (Fortunella crassifolia Swingle). Hortic. Res. 2005, 4, 141–146, (In Japanese with English abstract). [Google Scholar] [CrossRef]
- Yamamoto, M.; Tominaga, S. High chromosomal variability of mandarins (Citrus spp.) revealed by CMA banding. Euphytica 2003, 129, 267–274. [Google Scholar] [CrossRef]
- Yahata, M.; Kurogi, H.; Kunitake, H.; Nagano, K.; Yabuya, T.; Yamashita, K.; Komatsu, H. Evaluation of reproductive function in a haploid pummelo by crossing with several diploid citrus cultivars. J. Jpn. Soc. Hortic. Sci. 2005, 74, 281–288. [Google Scholar] [CrossRef][Green Version]
- Guerra, M. Cytogenetics of Rutaceae. V. high chromosomal variability in Citrus species revealed by CMA/DAPI staining. Heredity 1993, 71, 234–241. [Google Scholar] [CrossRef]
- Miranda, M.; Ikeda, F.; Endo, T.; Moriguchi, T.; Omura, M. Comparative analysis on the distribution of heterochromatin in Citrus, Poncirus and Fortunella chromosomes. Chromosome Res. 1997, 5, 86–92. [Google Scholar] [CrossRef]
- Esen, A.; Soost, R.K. Tetraploids progenies from 2x × 4x crosses and their origin. J. Am. Soc. Hortic. Sci. 1972, 97, 410–414. [Google Scholar]
- Esen, A.; Soost, R.K. Seed development in citrus with special reference to 2x × 4x crosses. Am. J. Bot. 1973, 60, 448–462. [Google Scholar] [CrossRef]
- Esen, A.; Soost, R.K.; Geraci, G. Seed set, size and development after 4x × 2x and 4x × 4x crosses in citrus. Euphytica 1978, 27, 283–294. [Google Scholar] [CrossRef]
- Esen, A.; Soost, R.K.; Geraci, G. Genetic evidence for the origin of diploid megagametophytes in Citrus. J. Hered. 1979, 70, 5–8. [Google Scholar] [CrossRef]
- Cuenca, J.; Froelicher, Y.; Aleza, P.; Juarez, J.; Navarro, L.; Ollitraut, P. Multilocus half-tetrad analysis and centromere mapping in citrus: Evidence of SDR mechanism for 2n megagametophyte production and partial chiasma interference in mandarin cv ‘Fortune’. Heredity 2011, 107, 462–470. [Google Scholar] [CrossRef]
- Luro, F.; Maddy, F.; Jacquemond, C.; Froelicher, Y.; Morillon, R.; Rist, D.; Ollitraut, P. Identification and evaluation of diplogyny in clementine (Citrus clementina) for use in breeding. Acta Hortic. 2004, 663, 841–848. [Google Scholar] [CrossRef]
- Honsho, C.; Yamamura, E.; Tsuruta, K.; Toshimura, Y.; Yasuda, K.; Uchida, A.; Kunitake, H.; Tetsumura, T. Unreduced 2n pollen production in ‘Nishiuchi Konatsu’ Hyuganatsu as inferred by pollen characteristics and progeny ploidy level. J. Jpn. Soc. Hortic. Sci. 2012, 81, 19–26. [Google Scholar] [CrossRef]
- Honsho, C.; Sakata, A.; Tanaka, H.; Ishimura, S.; Tetsumura, T. Single-pollen genotyping to estimate mode of unreduced pollen formation in Citrus tamurana cv. Nishiuchi Konatsu. Plant Reprod. 2016, 29, 189–197. [Google Scholar] [CrossRef] [PubMed]
- Dermen, H. Detection of polyploidy by pollen-grain size. I. Investigations with peaches and apricots. J. Am. Soc. Hortic. Sci. 1937, 35, 96–103. [Google Scholar]
- Maertens, M.H.R.; Reisch, B.I.; Mauro, M.C. Pollen size variability within genotypes of Vitis. HortScience 1989, 24, 659–662. [Google Scholar]
- Yamada, A.; Tao, R.; Sugiura, A. Influence of low temperature before flowering on the occurrence of unreduced pollen in Japanese persimmon (Diospyros kaki Thunb.). HortScience 2005, 40, 24–28. [Google Scholar] [CrossRef]
- Oiyama, I. Studies on polyploidy breeding in Citrus with special reference to the production of tetraploid breeding. Bull. Fruit Tree Res. Stn. 1992, 3, 1–68, (In Japanese with English abstract). [Google Scholar]
- Nukaya, T.; Sudo, M.; Yahata, M.; Nakajyo, Y.; Ohta, T.; Yasuda, K.; Tominaga, A.; Mukai, H.; Kunitake, H. Characteristics in autotetraploid kumquats (Fortunella spp.) induced by colchicine treatment to nucellar embryos and their utilization for triploid breeding. Scientia 2019, 245, 210–217. [Google Scholar] [CrossRef]
- Nukaya, T.; Sudo, M.; Yahata, M.; Ohta, T.; Tominaga, A.; Mukai, H.; Yasuda, K.; Kunitake, H. The confirmation of a ploidy periclinal chimera of the Meiwa kumquat (Fortunella crassifolia Swingle) induced by colchicine treatment to nucellar embryos and its morphological characteristics. Agronomy 2019, 9, 562. [Google Scholar] [CrossRef]
- Yasuda, K.; Kunitake, H.; Nakagawa, S.; Kurogi, H.; Yahata, M.; Hirata, R.; Yoshikura, Y.; Kawakami, I.; Sugimoto, Y. The confirmation of ploidy periclinal chimera and its morphological characteristics in Meiwa kumquat ‘Yubeni’. Hortic. Res. 2008, 7, 165–171, (In Japanese with English abstract). [Google Scholar] [CrossRef][Green Version]









| Locus | Linkage Group | ’Kiyomi’ Tangor | H15-701 | H15-702 | Meiwa Kumquat |
|---|---|---|---|---|---|
| NSX175 | 1 | 180/214 | 180/200/(200) 2 | 180/200/(200) | 200/200 |
| TSGR265 | 2 | 150/180 | 150/(150)/180 | 150/(150)/(150) | 150/150 |
| TSR8EM24 | 3 | 136/146 | 136/156/(156) | 146/156/(156) | 156/156 |
| TSRA110 | 4 | 135/145 | 135/160/(160) | 145/160/(160) | 160/160 |
| NSX43 1 | 5 | 110/158 | 130/135/158 | 110/130/135 | 130/135 |
| SSR08B62 | 5 | 262/274 | (262)/(262)/274 + Alpha | (262)/(262)/274 + Alpha | 262/262 |
| NSX169 | 5 | 140/160 | 135/(135)/160 | 135/(135)/140 | 135/135 |
| GSR5114 | 5 | 300/310 | 303/(303)/310 | 303/(303)/300 | 280/280 |
| CiBE2227 1 | 8 | 155/155 | 155/160/165 | 155/160/165 | 160/165 |
| GSR3141 | 8 | 104/104 | 104/n.d. 3 | 104/n.d. | n.d. |
| NSX141 | 9 | 280/298 | 280/(280)/280 + Alpha | 280/(280)/280 + Alpha | 280 / 280 + Alpha |
| Strain | Ploidy | CMA Karyotype Composition | |
|---|---|---|---|
| ‘Kiyomi’ tangor | 2n = 2x = 18 | 1A + 2B + 2C + 6D + 7E | |
| ‘Kiyomi’ tangor × Meiwa kumquat | H15-701 | aneuploid 2n = 28 | 2A + 1B + 3C + 13D + 7E + 1F + 1Dst |
| H15-702 | 2n = 3x = 27 | 3A + 1B + 2C + 15D + 4E + 1F + 1Dst | |
| Meiwa kumquat | 2n = 2x = 18 | 2A + 2C + 12D + 1F + 1Dst | |
| Strain | Ploidy Level | Leaf Area (cm 2) | Leaf Blade (mm) | Shape Index of Leaf Blade 1 | Petiole Wing (mm) | Shape Index of Petiole Wing 2 | Guard Cell (µm) | Stoma Density (No. mm−2) | |||
|---|---|---|---|---|---|---|---|---|---|---|---|
| Length | Width | Length | Width | Length | Width | ||||||
| ’Kiyomi’ tangor | 2x | 39.9 a | 104.0 a | 51.3 a | 203.5 b | 22.5 a | 3.8 a | 625.1 a | 19.6 c | 15.3 c | 644.9 a |
| H15-701 | aneuploid (2n = 28) | 13.9 d | 60.2 c | 29.9 c | 201.8 bc | 13.4 c | 3.8 a | 411.3 bc | 24.7 a | 22.1 a | 323.6 c |
| H15-702 | 3x | 27.9 b | 82.0 b | 44.2 b | 186.4 c | 17.0 b | 3.8 a | 356.9 c | 23.4 b | 19.5 b | 333.3 c |
| Meiwa kumquat | 2x | 17.0 c | 70.0 c | 29.8 c | 236.8 a | 11.5 c | 2.8 b | 456.6 b | 19.7 c | 16.2 c | 431.6 b |
| Strain | Ploidy Level | Flower Bud (mm) | Number of Petal | Petal (mm) | Number of Pistil | Length of Pistil (mm) | Ovary (mm) | Number of Stamen | |||
|---|---|---|---|---|---|---|---|---|---|---|---|
| Length | Width | Length | Width | Length | Width | ||||||
| ’Kiyomi’ tangor | 2x | 14.5 a | 7.3 b | 4.6 b | 13.7 a | 6.0 c | 1.0 a | 12.8 a | 3.0 a | 3.5 a | 17.4 b |
| H15-701 | aneuploid (2n = 28) | 12.7 c | 7.9 a | 4.9 ab | 12.3 b | 7.0 a | 1.0 a | 7.1 c | 2.9 a | 2.8 b | 17.5 b |
| H15-702 | 3x | 13.4 b | 7.2 b | 4.8 ab | 12.9 b | 6.6 b | 1.0 a | 7.6 b | 2.6 b | 2.3 c | 20.5 a |
| Meiwa kumquat | 2x | 10.5 d | 6.2 c | 5.1 a | 9.6 c | 5.4 d | 1.0 a | 5.6 d | 2.6 b | 2.1 d | 18.5 b |
| Strain | Ploidy Level | Fruit Weight (g) | Fruit (mm) | Shape Index of Fruit 1 | Thickness of Pericarp (mm) | Rate of Pericarp (%) 2 | Number of Locule | Number of Seed per Fruit | Number ofEmbryo per Seed | SSC 4 (° Brix) | |||
|---|---|---|---|---|---|---|---|---|---|---|---|---|---|
| Diameter | Height | Depeloped | Undeveloped 3 | Pericarp | Juice sac | ||||||||
| ’Kiyomi’ tangor | 2x | 256.5 a | 79.9 a | 75.0 a | 106.4 a | 5.1 a | 12.7 d | 12.0 a | 0 c | 0 b | - | 15.1 d | 11.1 c |
| H15-701 | aneuploid (2n = 28) | 32.5 b | 39.6 b | 37.7 c | 105.2 a | 3.6 d | 18.0 c | 7.8 b | 1.5 b | 0.7 a | 5.2 b | 23.7 b | 13.2 b |
| H15-702 | 3x | 28.9 b | 35.1 c | 41.3 b | 85.2 c | 4.4 b | 25.0 b | 7.4 b | 0.4 c | 0.6 ab | 1.1 c | 24.3 a | 12.9 b |
| Meiwa kumquat | 2x | 14.7 b | 28.6 d | 30.9 d | 92.6 b | 4.1 c | 28.5 a | 6.5 c | 7.3 a | 0.7 a | 6.9 a | 22.0 c | 15.8 a |
Publisher’s Note: MDPI stays neutral with regard to jurisdictional claims in published maps and institutional affiliations. |
© 2021 by the authors. Licensee MDPI, Basel, Switzerland. This article is an open access article distributed under the terms and conditions of the Creative Commons Attribution (CC BY) license (https://creativecommons.org/licenses/by/4.0/).
Share and Cite
Yasuda, K.; Yahata, M.; Sato, M.; Sudo, M.; Tominaga, A.; Kunitake, H. Identification of Parental Genome Construction and Inherited Morphological Characteristics in Triploid and AneuploidIntergeneric Hybrids from a Diploid−Diploid Cross between Citrus and Fortunella. Agronomy 2021, 11, 1988. https://doi.org/10.3390/agronomy11101988
Yasuda K, Yahata M, Sato M, Sudo M, Tominaga A, Kunitake H. Identification of Parental Genome Construction and Inherited Morphological Characteristics in Triploid and AneuploidIntergeneric Hybrids from a Diploid−Diploid Cross between Citrus and Fortunella. Agronomy. 2021; 11(10):1988. https://doi.org/10.3390/agronomy11101988
Chicago/Turabian StyleYasuda, Kiichi, Masaki Yahata, Mai Sato, Miki Sudo, Akiyoshi Tominaga, and Hisato Kunitake. 2021. "Identification of Parental Genome Construction and Inherited Morphological Characteristics in Triploid and AneuploidIntergeneric Hybrids from a Diploid−Diploid Cross between Citrus and Fortunella" Agronomy 11, no. 10: 1988. https://doi.org/10.3390/agronomy11101988
APA StyleYasuda, K., Yahata, M., Sato, M., Sudo, M., Tominaga, A., & Kunitake, H. (2021). Identification of Parental Genome Construction and Inherited Morphological Characteristics in Triploid and AneuploidIntergeneric Hybrids from a Diploid−Diploid Cross between Citrus and Fortunella. Agronomy, 11(10), 1988. https://doi.org/10.3390/agronomy11101988

