Cellulose Acetate Butyrate-Based In Situ Gel Comprising Doxycycline Hyclate and Metronidazole
Abstract
1. Introduction
2. Materials and Methods
2.1. Materials
2.2. Preparation of Metronidazole and Doxycycline Hyclate-Dissolved Cellulose Acetate Butyrate In Situ Gels
2.3. Evaluations
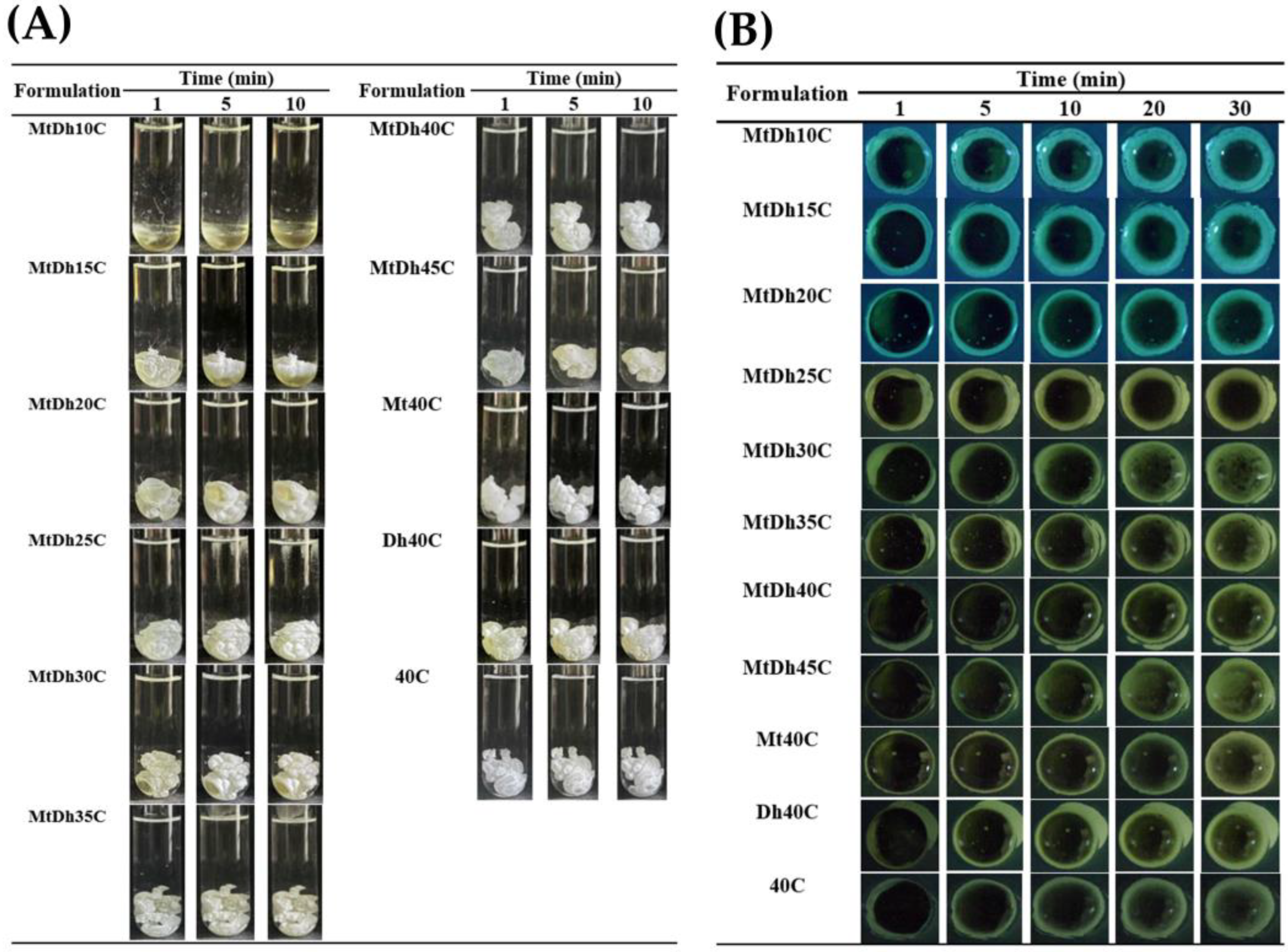
2.3.1. Physical Appearance and Measurements of Viscosity and Rheology
2.3.2. Determination of Contact Angle
2.3.3. Injectability
2.3.4. Test of Mechanical Property
2.3.5. Test of Gel Formation in Aqueous Environments
2.3.6. Observation of Microscopic Interfacial Change
- (a)
- The 0.2 μg/mL sodium fluorescein-loaded agarose gel with the formulation.
- (b)
- The agarose gel with the 0.2 μg/mL sodium fluorescein-loaded formulation.
- (c)
- The 0.2 μg/mL sodium fluorescein-loaded agarose gel with the 0.4 μg/mL Nile red-loaded formulation.
- (d)
- The 0.4 μg/mL Nile red-loaded formulation with the agarose gel.
2.3.7. The Drug Content and In Vitro Dual-Drug Release Test
2.3.8. Characterization of Transformed In Situ Gel
Topography Observation Using Scanning Electron Microscope (SEM)
Topography Observation via Synchrotron Radiation X-Ray Tomographic Microscopy (XTM)
2.3.9. Ex Vitro Permeation Study
2.3.10. Antimicrobial Activity Test
2.4. Statistical Analysis
3. Results and Discussion
3.1. Physical Appearance, Viscosity and Injectability
3.2. Contact Angle
3.3. Mechanical Properties
3.4. Gel Formation
3.5. Microscopic Interfacial Change
3.6. Drug Content and In Vitro Dual-Drug Release
3.7. Topography from SEM and XTM
3.8. Drug Permeation
3.9. Antimicrobial Activities
4. Conclusions
Author Contributions
Funding
Institutional Review Board Statement
Informed Consent Statement
Data Availability Statement
Acknowledgments
Conflicts of Interest
References
- Balan, D.K.; John, J.; Ahamed, S.; Syam, N.; Sudhakaran, G.M.; Ali, H. An Anaerobic Culture Study to Assess the Prevalence of Porphyromonas gingivalis in Periodontal Disease Incidences Among Adults. Cureus 2024, 16, e65023. [Google Scholar] [CrossRef] [PubMed]
- Jiao, Y.; Hasegawa, M.; Inohara, N. The Role of Oral Pathobionts in Dysbiosis during Periodontitis Development. J. Dent. Res. 2014, 93, 539–546. [Google Scholar] [CrossRef] [PubMed]
- Mohammed, A.F.; Hatim, Q.Y.; Oraibi, A.I.; Alsafar, T.H.; Alsandook, T.A.; Lutfi, W.; Al-Hussaniy, H.A. Antimicrobial management of dental infections: Updated review. Medicine 2024, 103, e38630. [Google Scholar] [CrossRef]
- Hecht, D.W. Prevalence of Antibiotic Resistance in Anaerobic Bacteria: Worrisome Developments. J. Clin. Infect. Dis. 2004, 39, 92–97. [Google Scholar] [CrossRef]
- Okić Đorđević, I.; Kukolj, T.; Živanović, M.; Momčilović, S.; Obradović, H.; Petrović, A.; Mojsilović, S.; Trivanović, D.; Jauković, A. The Role of Doxycycline and IL-17 in Regenerative Potential of Periodontal Ligament Stem Cells: Implications in Periodontitis. Biomolecules 2023, 13, 1437. [Google Scholar] [CrossRef]
- Emingil, G.; Gürkan, A.; Tervahartiala, T.; Hernandez, M.; Özgül, S.; Sorsa, T.; Alassiri, S. Adjunctive Effects of a Sub-Antimicrobial Dose of Doxycycline on Clinical Parameters and Potential Biomarkers of Periodontal Tissue Catabolism. Dent. J. 2019, 7, 9. [Google Scholar] [CrossRef]
- Lertsuphotvanit, N.; Tuntarawongsa, S.; Chantadee, T.; Phaechamud, T. Phase Inversion-Based Doxycycline Hyclate-Incorporated Borneol In Situ Gel for Periodontitis Treatment. Gels 2023, 9, 557. [Google Scholar] [CrossRef]
- Boccia, G.; Di Spirito, F.; D’Ambrosio, F.; Di Palo, M.P.; Giordano, F.; Amato, M. Local and Systemic Antibiotics in Peri-Implantitis Management: An Umbrella Review. Antibiotics 2023, 12, 114. [Google Scholar] [CrossRef]
- Żyro, D.; Radko, L.; Śliwińska, A.; Chęcińska, L.; Kusz, J.; Korona-Głowniak, I.; Przekora, A.; Wójcik, M.; Posyniak, A.; Ochocki, J. Multifunctional Silver(I) Complexes with Metronidazole Drug Reveal Antimicrobial Properties and Antitumor Activity against Human Hepatoma and Colorectal Adenocarcinoma Cells. Cancers 2022, 14, 900. [Google Scholar] [CrossRef]
- Kida, D.; Karolewicz, B.; Junka, A.; Sender-Janeczek, A.; Duś, I.; Marciniak, D.; Szulc, M. Metronidazole-Loaded Porous Matrices for Local Periodontitis Treatment: In Vitro Evaluation and In Vivo Pilot Study. Appl. Sci. 2019, 9, 4545. [Google Scholar] [CrossRef]
- Sato, S.; Fonseca, M.J.; Ciampo, J.O.; Jabor, J.R.; Pedrazzi, V. Metronidazole-containing gel for the treatment of periodontitis: An in vivo evaluation. Braz. Oral. Res. 2008, 22, 145–150. [Google Scholar] [CrossRef] [PubMed]
- Charoensuksai, P.; Mahadlek, J.; Phaechamud, T.; Charoenteeraboon, J. Doxycycline and Metronidazole Exhibit a Synergistic Antibacterial Activity against Porphyromonas gingivalis. Thai Pharm. Health Sci. J. 2016, 11, 92–97. [Google Scholar]
- Gad, H.A.; Kamel, A.O.; Ezzat, O.M.; El Dessouky, H.F.; Sammour, O.A. Doxycycline hydrochloride-metronidazole solid lipid microparticles gels for treatment of periodontitis: Development, in-vitro and in-vivo clinical evaluation. Expert Opin. Drug Deliv. 2017, 14, 1241–1251. [Google Scholar] [CrossRef] [PubMed]
- Senarat, S.; Rojviriya, C.; Sarunyakasitrin, K.; Charoentreeraboon, J.; Pichayakorn, W.; Phaechamud, T. Moxifloxacin HCl-Incorporated Aqueous-Induced Nitrocellulose-Based In Situ Gel for Periodontal Pocket Delivery. Gels 2023, 9, 572. [Google Scholar] [CrossRef] [PubMed]
- Hamed, R.; Sakellariou, P. Cellulose Acetate Butyrate-Based Coatings in Drug Delivery. J. Contr. Release 2014, 190, 105–117. [Google Scholar]
- Shanbhag, A.; Barclay, B.; Koziara, J.; Shivanand, P. Application of cellulose acetate butyrate-based membrane for osmotic drug delivery. Cellulose 2007, 14, 65–71. [Google Scholar] [CrossRef]
- Vaithiyalingam, S.; Nutan, M.; Reddy, I.; Khan, M. Preparation and characterization of a customized cellulose acetate butyrate dispersion for controlled drug delivery. J. Pharm. Sci. 2002, 91, 1512–1522. [Google Scholar] [CrossRef]
- Thammasut, W.; Rojviriya, C.; Chaiya, P.; Phaechamud, T.; Limsitthichaikoon, S. Moxifloxacin HCl -loaded cellulose acetate butylate in situ forming gel for periodontitis treatment. AAPS PharmSciTech 2024, 25, 242. [Google Scholar] [CrossRef]
- Thammasut, W.; Senarat, S.; Tuntarawongsa, S.; Narakornwit, W.; Rojviriya, C.; Pichayakorn, W.; Phaechamud, T. Development of benzydamine HCl loaded-cellulose acetate butyrate in situ forming gels for periodontal treatment. J. Drug Deliv. Sci. Technol. 2024, 101, 106147. [Google Scholar] [CrossRef]
- Khaing, E.M.; Jitrangsri, K.; Chomto, P.; Phaechamud, T. Nitrocellulose for Prolonged Permeation of Levofloxacin HCl-Salicylic Acid In Situ Gel. Polymers 2024, 16, 989. [Google Scholar] [CrossRef]
- Do, M.P.; Neut, C.; Delcourt, E.; Seixas Certo, T.; Siepmann, J.; Siepmann, F. In situ forming implants for periodontitis treatment with improved adhesive properties. Eur. J. Pharm. Biopharm. 2014, 88, 342–350. [Google Scholar] [CrossRef] [PubMed]
- Zhang, Y.; Huo, M.; Zhou, J.; Zou, A.; Li, W.; Yao, C.; Xie, S. DDSolver: An Add-In Program for Modeling and Comparison of Drug Dissolution Profiles. AAPS J. 2010, 12, 263–271. [Google Scholar] [CrossRef] [PubMed]
- Tawachkultanadilok, P.; Osakoo, N.; Keawkumay, C.; Deekamwong, K.; Sosa, N.; Rojviriya, C.; Nijpanich, S.; Chanlek, N.; Prayoonpokarach, S.; Wittayakun, J. Synthesis and Characterization of Zeolite NaY Dispersed on Bamboo Wood. Materials 2023, 16, 4946. [Google Scholar] [CrossRef] [PubMed]
- Senarat, S.; Rojviriya, C.; Puyathorn, N.; Lertsuphotvanit, N.; Phaechamud, T. Levofloxacin HCl-Incorporated Zein-Based Solvent Removal Phase Inversion In Situ Forming Gel for Periodontitis Treatment. Pharmaceutics 2023, 15, 1199. [Google Scholar] [CrossRef]
- Chantadee, T.; Santimaleeworagun, W.; Phorom, Y.; Phaechamud, T. Saturated Fatty Acid-Based In Situ Forming Matrices for Localized Antimicrobial Delivery. Pharmaceutics 2020, 12, 808. [Google Scholar] [CrossRef]
- Zhang, Q.; Fassihi, M.A.; Fassihi, R. Delivery considerations of highly viscous polymeric fluids mimicking concentrated biopharmaceuticals: Assessment of injectability via measurement of total work done “WT”. AAPS PharmSciTech 2018, 19, 1520–1528. [Google Scholar] [CrossRef]
- Rungseevijitprapa, W.; Bodmeier, R. Injectability of biodegradable in situ forming microparticle systems (ISM). Eur. J. Pharm. Sci. 2009, 36, 524–531. [Google Scholar] [CrossRef]
- Khaing, E.M.; Senarat, S.; Jitrangsri, K.; Phaechamud, T. Fluconazole-Loaded Ibuprofen In Situ Gel-Based Oral Spray for Oropharyngeal Candidiasis Treatment. AAPS PharmSciTech 2024, 25, 89. [Google Scholar] [CrossRef]
- Alsheikh, R.; Haimhoffer, Á.; Nemes, D.; Ujhelyi, Z.; Fehér, P.; Józsa, L.; Vasvári, G.; Pető, Á.; Kósa, D.; Nagy, L.; et al. Formulation of Thermo-Sensitive In Situ Gels Loaded with Dual Spectrum Antibiotics of Azithromycin and Ofloxacin. Polymers 2024, 16, 2954. [Google Scholar] [CrossRef]
- Ji, W.; Chang, B.; Yu, H.; Li, Y.; Song, W. Effect of Polymer and Crosslinker Concentration on Static and Dynamic Gelation Behavior of Phenolic Resin Hydrogel. Gels 2024, 10, 325. [Google Scholar] [CrossRef]
- Madan, M.; Bajaj, A.; Lewis, S.; Udupa, N.; Bai, J.A. In situ forming polymeric drug delivery systems. Indian J. Pharm. Sci. 2009, 71, 242–251. [Google Scholar] [CrossRef] [PubMed]
- Himawan, C.; Starov, V.M.; Stapley, A.G. Thermodynamic and kinetic aspects of fat crystallization. Adv. Colloid Interface Sci. 2006, 122, 3–33. [Google Scholar] [CrossRef] [PubMed]
- Pragati, S.; Ashok, S.; Kuldeep, S. Recent advances in periodontal drug delivery systems. Int. J. Drug Deliv. 2009, 1, 1–14. [Google Scholar] [CrossRef]
- Nishio, I.; Akiyoshi, W. Quasi-Elastic Light Scattering Study of Concentration Dependence of Diffusion and Internal Motion in Chain Polymers. Polym. J. 1980, 12, 145–152. [Google Scholar] [CrossRef]
- Jitrangsri, K.; Lertsuphotvanit, N.; Kabthong, N.; Phaechamud, T. Metronidazole-Loaded Camphor-Based In Situ Forming Matrix for Periodontitis Treatment. AAPS PharmSciTech 2023, 24, 185. [Google Scholar] [CrossRef]
- Roberts, S.A.; Lee, C.; Singh, S.; Agrawal, N. Versatile Encapsulation and Synthesis of Potent Liposomes by Thermal Equilibration. Membranes. 2022, 12, 319. [Google Scholar] [CrossRef]
- Puyathorn, N.; Lertsuphotvanit, N.; Chantadee, T.; Pichayakorn, W.; Phaechamud, T. Lincomycin HCl-Loaded Borneol-Based In Situ Gel for Periodontitis Treatment. Gels 2023, 19, 495. [Google Scholar] [CrossRef]
- Phaechamud, T.; Senarat, S.; Puyathorn, N.; Praphanwittaya, P. Solvent exchange and drug release characteristics of doxycycline hyclate-loaded bleached shellac in situ-forming gel and -microparticle. Int. J. Biol. Macromol. 2019, 135, 1261–1272. [Google Scholar] [CrossRef]
- Ilyin, S.O.; Kostyuk, A.V.; Anokhina, T.S.; Melekhina, V.Y.; Bakhtin, D.S.; Antonov, S.V.; Volkov, A.V. The Effect of Non-Solvent Nature on the Rheological Properties of Cellulose Solution in Diluted Ionic Liquid and Performance of Nanofiltration Membranes. Int. J. Mol. Sci. 2023, 24, 8057. [Google Scholar] [CrossRef]
- Baliga, S.; Muglikar, S.; Kale, R. Salivary pH: A diagnostic biomarker. J. Indian Soc. Periodontol. 2013, 17, 461–465. [Google Scholar] [CrossRef]
- Lăzureanu, P.C.; Popescu, F.; Tudor, A.; Stef, L.; Negru, A.G.; Mihăilă, R. Saliva pH and Flow Rate in Patients with Periodontal Disease and Associated Cardiovascular Disease. Med. Sci. Monit. 2021, 27, e931362. [Google Scholar] [CrossRef] [PubMed]
- Rajeshwari, H.R.; Dhamecha, D.; Jagwani, S.; Rao, M.; Jadhav, K.; Shaikh, S.; Puzhankara, L.; Jalalpure, S. Local drug delivery systems in the management of periodontitis: A scientific review. J. Control. Release 2019, 307, 393–439. [Google Scholar] [CrossRef]
- Ganesh, S.; Radhakrishnan, M.; Ravi, M.; Prasannakumar, B.; Kalyani, J. In vitro evaluation of the effect of combination of hydrophilic and hydrophobic polymers on controlled release zidovudine matrix tablets. Indian J. Pharm. Sci. 2008, 70, 461–465. [Google Scholar] [CrossRef] [PubMed]
- Altun, E.; Yuca, E.; Ekren, N.; Kalaskar, D.M.; Ficai, D.; Dolete, G.; Ficai, A.; Gunduz, O. Kinetic Release Studies of Antibiotic Patches for Local Transdermal Delivery. Pharmaceutics 2021, 13, 613. [Google Scholar] [CrossRef]
- Ritger, P.L.; Peppas, N.A. A simple equation for description of solute release I. Fickian and non-fickian release from non-swellable devices in the form of slabs, spheres, cylinders or discs. J. Control. Release 1987, 5, 23–36. [Google Scholar] [CrossRef]
- Bakhrushina, E.O.; Sakharova, P.S.; Konogorova, P.D.; Pyzhov, V.S.; Kosenkova, S.I.; Bardakov, A.I.; Zubareva, I.M.; Krasnyuk, I.I.; Krasnyuk, I.I., Jr. Burst Release from In Situ Forming PLGA-Based Implants: 12 Effectors and Ways of Correction. Pharmaceutics 2024, 16, 115. [Google Scholar] [CrossRef]
- Khaing, E.M.; Mahadlek, J.; Okonogi, S.; Phaechamud, T. Lime Peel Oil-Incorporated Rosin-Based Antimicrobial In Situ Forming Gel. Gels. 2022, 8, 169. [Google Scholar] [CrossRef]
- Celik, D.; Kantarci, A. Vascular Changes and Hypoxia in Periodontal Disease as a Link to Systemic Complications. Pathogens 2021, 10, 1280. [Google Scholar] [CrossRef]
- Ji, S.; Choi, Y. Microbial and Host Factors That Affect Bacterial Invasion of the Gingiva. J. Dent. Res. 2020, 99, 1013–1020. [Google Scholar] [CrossRef]
- Mendes, L.; Azevedo, N.J.; Felino, A.; Pinto, M.G. Relationship between invasion of the periodontium by periodontal pathogens and periodontal disease: A systematic review. Virulence 2015, 6, 208–215. [Google Scholar] [CrossRef]
- Wanasathop, A.; Zhong, C.; PNimmansophon, P.; Murawsky, M.; Li, S.K. Characterization of Porcine Gingiva for Drug Absorption. J. Pharm. Sci. 2023, 112, 1032–1040. [Google Scholar] [CrossRef] [PubMed]
- Wróblewska, M.; Szymańska, E.; Szekalska, M.; Winnicka, K. Different Types of Gel Carriers as Metronidazole Delivery Systems to the Oral Mucosa. Polymers 2020, 12, 680. [Google Scholar] [CrossRef] [PubMed]
- Puyathorn, N.; Senarat, S.; Lertsuphotvanit, N.; Phaechamud, T. Physicochemical and Bioactivity Characteristics of Doxycycline Hyclate-Loaded Solvent Removal-Induced Ibuprofen-Based In Situ Forming Gel. Gels 2023, 9, 128. [Google Scholar] [CrossRef] [PubMed]
- Cilurzo, F.; Vistoli, G.; Selmin, F.; Gennari, C.G.; Musazzi, U.M.; Franzé, S.; Lo Monte, M.; Minghetti, P. An insight into the skin penetration enhancement mechanism of N-methylpyrrolidone. Mol. Pharm. 2014, 11, 1014–1021. [Google Scholar] [CrossRef]
- Luo, Z.; Liu, C.; Quan, P.; Zhang, Y.; Fang, L. Effect of Chemical Penetration Enhancer-Adhesive Interaction on Drug Release from Transdermal Patch: Mechanism Study Based on FT-IR Spectroscopy, 13C NMR Spectroscopy, and Molecular Simulation. AAPS PharmSciTech 2021, 22, 198. [Google Scholar] [CrossRef]
- Amel, Y.; Bouziane, D.; Leila, M.; Ahmed, B. Microbiological study of periodontitis in the West of Algeria. World J. Med. Sci. 2010, 5, 7–12. [Google Scholar]
- Phaechamud, T.; Mahadlek, J.; Charoenteeraboon, J.; Choopun, S. Characterization and antimicrobial activity of N-methyl-2-pyrrolidone-loaded ethylene oxide-propylene oxide block copolymer thermosensitive gel. Indian J. Pharm. Sci. 2013, 74, 498–504. [Google Scholar] [CrossRef]
- Jouyban, A.; Fakhree, M.A.; Shayanfar, A. Review of pharmaceutical applications of N-methyl-2-pyrrolidone. J. Pharm. Pharm. Sci. 2010, 13, 524–535. [Google Scholar] [CrossRef]
- Agrawal, A.G.; Kumar, A.; Gide, P.S. Toxicity study of a self-nanoemulsifying drug delivery system containing N-methyl pyrrolidone. Drug Res. 2015, 65, 446–448. [Google Scholar] [CrossRef]
- National Center for Biotechnology Information. PubChem Compound Summary for CID 13387, 1-Methyl-2-pyrrolidinone. 2022. Available online: https://pubchem.ncbi.nlm.nih.gov/compound/Methylpyrrolidone (accessed on 5 March 2024).
- Reza, M.S.; Quadir, M.A.; Haider, S.S. Comparative evaluation of plastic, hydrophobic and hydrophilic polymers as matrices for controlled-release drug delivery. J. Pharm. Pharm. Sci. 2003, 6, 282–291. [Google Scholar]
- Costa, J.V.; Portugal, J.; Neves, C.B.; Bettencourt, A.F. Should local drug delivery systems be used in dentistry? Drug Deliv. Transl. Res. 2022, 12, 1395–1407. [Google Scholar] [CrossRef] [PubMed]
- Rein, S.M.; Intaraphairot, T.; Santimaleeworagun, W.; Chantadee, T.; Chuenbarn, T.; Phaechamud, T. Fluid properties of solvents and oils used in in situ forming microparticles. Thai J. Pharm. Sci. 2022, 46, 46–55. [Google Scholar] [CrossRef]
- Tan, H.L.; Kai, D.; Pasbakhsh, P.; Teow, S.Y.; Lim, Y.Y.; Pushpamalar, J. Electrospun cellulose acetate butyrate/polyethylene glycol (CAB/PEG) composite nanofibers: A potential scaffold for tissue engineering. Colloids Surf. B. 2020, 188, 110713. [Google Scholar] [CrossRef]
- Huang, C.; Niu, H.; Wu, C.; Ke, Q.; Mo, X.; Lin, T. Disc-electrospun cellulose acetate butyrate nanofibers show enhanced cellular growth performances. J. Biomed. Mater. Res. A. 2013, 101, 115–122. [Google Scholar] [CrossRef]
- Xue, X.; Liang, K.; Huang, W.; Yang, H.; Jiang, L.; Jiang, Q.; Jiang, T.; Lin, B.; Chen, Y.; Jiang, B.; et al. Molecular Engineering of Injectable, Fast Self-Repairing Hydrogels with Tunable Gelation Time: Characterization by Diffusing Wave Spectroscopy. Macromolecules 2022, 55, 6474–6648. [Google Scholar] [CrossRef]
















| Formulation | Amount (% w/w) | |||
|---|---|---|---|---|
| Metronidazole | Doxycycline Hyclate | Cellulose Acetate Butyrate | NMP | |
| MtN | 2 | 98 | ||
| DhN | 2 | 98 | ||
| MtDh10C | 2 | 2 | 10 | 86 |
| MtDh15C | 2 | 2 | 15 | 81 |
| MtDh20C | 2 | 2 | 20 | 76 |
| MtDh25C | 2 | 2 | 25 | 71 |
| MtDh30C | 2 | 2 | 30 | 66 |
| MtDh35C | 2 | 2 | 35 | 61 |
| MtDh40C | 2 | 2 | 40 | 56 |
| MtDh45C | 2 | 2 | 45 | 51 |
| Mt40C | 2 | 40 | 58 | |
| Dh40C | 2 | 40 | 58 | |
| 40C | 40 | 60 | ||
| NMP | 100 | |||
| Formulation | Viscosity (cP) | Injectability (N) | Contact Angle (°) | Hardness (N) | |
|---|---|---|---|---|---|
| Glass Slide | Agarose Gel | ||||
| MtDh10C | 17.90 ± 0.15 | 0.105 ± 0.011 | 14.59 ± 0.65 | 12.62 ± 0.48 | 1.001 ± 0.452 |
| MtDh15C | 54.19 ± 1.32 | 0.125 ± 0.025 | 16.72 ± 0.93 | 19.24 ± 0.37 | 1.919 ± 0.161 |
| MtDh20C | 126.67 ± 2.59 | 0.130 ± 0.017 | 17.07 ± 0.84 e | 34.10 ± 1.03 e | 4.808 ± 0.081 |
| MtDh25C | 291.68 ± 19.47 | 0.127 ± 0.018 | 20.33 ± 0.88 f | 40.52 ± 1.94 f | 4.243 ± 1.446 |
| MtDh30C | 674.75 ± 17.18 | 0.133 ± 0.015 | 23.62 ± 1.03 g | 44.51 ± 1.83 g | 5.075 ± 0.806 |
| MtDh35C | 1291.63 ± 49.63 | 0.140 ± 0.014 | 25.31 ± 1.08 h | 49.24 ± 2.26 h | 4.886 ± 0.691 |
| MtDh40C | 1402.41 ± 36.78 a | 0.136 ± 0.013 d | 28.82 ± 1.90 i | 53.51 ± 2.27 i,n | 4.849 ± 2.303 |
| MtDh45C | 1506.61 ± 88.90 | 0.146 ± 0.012 | 29.69 ± 2.00 j | 56.39 ± 2.56 j | 6.746 ± 0.603 |
| Mt40C | 1216.50 ± 20.77 a, b | 0.139 ± 0.018 | 26.82 ± 1.40 k | 51.88 ± 2.04 k | 4.413 ± 0.811 |
| Dh40C | 1280.54 ± 70.04 a, c | 0.135 ± 0.029 | 27.32 ± 1.30 l | 53.11 ± 1.36 l | 4.400 ± 1.322 |
| 40C | 1174.04 ± 28.29 a, b, c | 0.129 ± 0.011 d | 25.97 ± 0.90 m | 49.85 ± 1.83 m, n | 4.417 ± 1.193 |
| MtN | 4.28 ± 0.25 | 0.062 ± 0.005 | 3.92 ± 0.33 | 3.82 ± 0.22 | ND |
| DhN | 6.11 ± 0.41 | 0.074 ± 0.004 | 4.51 ± 0.35 | 4.32 ± 0.16 | ND |
| NMP | 3.85 ± 0.24 | 0.0425 ± 0.001 | 2.36 ± 0.03 | 1.72 ± 0.44 | ND |
| Model | Parameters | MtDh25C (Mt) | MtDh25C (Dh) | MtDh40C (Mt) | MtDh40C (Dh) |
|---|---|---|---|---|---|
| Zero-order | k0 | 4.359 | 5.192 | 3.627 | 4.541 |
| R2 | 0.9011 | 0.1954 | 0.9638 | 0.2518 | |
| AIC | 11.2195 | 13.1218 | 11.9001 | 15.3376 | |
| MSC | 4.4337 | 3.8369 | 4.1196 | 3.2150 | |
| First-order | k1 | 0.052 | 0.065 | 0.042 | 0.055 |
| R2 | 0.9399 | 0.3993 | 0.9763 | 0.4109 | |
| AIC | 22.9530 | 35.0858 | 24.2381 | 18.7408 | |
| MSC | 2.4781 | 0.1763 | 2.0633 | 32.7024 | |
| Higuchi’s | kH | 10.417 | 12.904 | 8.548 | 11.256 |
| R2 | 0.9546 | 0.9511 | 0.9090 | 0.9493 | |
| AIC | 21.2718 | 20.0414 | 27.0685 | 19.2631 | |
| MSC | 2.7583 | 2.6837 | 1.8629 | 2.2047 | |
| Korsmeyer–Peppas | kKP | 7.985 | 15.027 | 5.381 | 12.945 |
| R2 | 0.9939 | 0.9889 | 0.9917 | 0.9794 | |
| n | 0.665 | 0.402 | 0.7830 | 0.4000 | |
| AIC | 11.2195 | 13.1218 | 11.9001 | 15.3376 | |
| MSC | 4.4337 | 3.8369 | 4.1196 | 3.2150 |
| Drug | Formulation | Flux (µg/cm2/h) | Lag Time (h) |
|---|---|---|---|
| Metronidazole | MtDh25C | 36.72 ± 4.55 | 1.58 ± 0.44 |
| MtDh40C | 16.98 ± 4.09 | 1.42 ± 0.03 | |
| Doxycycline hyclate | MtDh25C | 13.17 ± 0.19 | 0.57 ± 1.02 |
| MtDh40C | 9.45 ± 1.29 | 1.56 ± 0.5 |
| Metronidazole content | ||||
|---|---|---|---|---|
| Compartment | MtDh25C | MtDh40C | ||
| (%) | (µg) | (%) | (µg) | |
| Donor chamber | 6.30 ± 0.73 | 126.04 ± 14.69 | 18.14 ± 0.55 | 435.82 ± 102.8 |
| Buccal tissue | 35.35 ± 6.37 | 707.05 ± 127.47 | 32.84 ± 0.69 | 612.5 ± 26.09 |
| Receptor chamber | 56.91 ± 5.12 | 1138.24 ± 102.35 | 44.65 ± 1.74 | 834.71 ± 84.91 |
| Doxycycline hyclate content | ||||
| Compartment | MtDh25C | MtDh40C | ||
| (%) | (µg) | (%) | (µg) | |
| Donor chamber | 8.74 ± 0.33 | 174.78 ± 6.68 | 12.17 ± 0.13 | 227.07 ± 13.57 |
| Buccal tissue | 55.88 ± 1.58 | 1117.65 ± 31.55 | 51.71 ± 4.22 | 963.07 ± 54.48 |
| Receptor chamber | 22.97 ± 1.67 | 459.34 ± 33.33 | 21.96 ± 1.96 | 410.10 ± 45.72 |
| Formulations | Inhibition Zone Diameter (mm ± S.D.) | ||
|---|---|---|---|
| S. aureus 6538 | C. albicans 10231 | P. gingivalis 33277 | |
| MtN | 16.3 ± 0.6 | 32.0 ± 1.0 | 23.3 ± 1.2 |
| DhN | 31.3 ± 0.6 | 30.7 ± 1.5 | 38.3 ± 0.6 |
| MtDh10C | 32.7 ± 2.1 | 29.3 ± 0.6 | 40.3 ± 0.6 |
| MtDh15C | 31.7 ± 1.5 | 28.3 ± 0.6 | 39.0 ± 1.0 |
| MtDh20C | 29.0 ± 0.0 | 28.0 ± 1.0 | 37.3 ± 0.6 |
| MtDh25C | 28.3 ± 0.6 | 23.0 ± 2.0 | 36.3 ± 0.6 |
| MtDh30C | 29.3 ± 1.2 | 20.3 ± 0.6 | 36.0 ± 1.0 |
| MtDh35C | 27.3 ± 1.2 | 19.7 ± 0.6 | 35.3 ± 0.6 |
| MtDh40C | 26.7 ± 1.5 | 19.7 ± 1.2 | 33.7 ± 0.6 |
| MtDh45C | 26.0 ± 1.0 | 21.7 ± 1.2 | 32.7 ± 1.2 |
| Mt40C | 10.3 ± 0.6 | 20.0 ± 1.7 | 15.0 ± 1.0 |
| Dh40C | 26.7 ± 0.6 | 19.3 ± 1.5 | 34.3 ± 0.6 |
| 40C | 3.3 ± 0.0 | 20.0 ± 1.0 | - |
| NMP | 15.0 ± 1.0 | 26.7 ± 1.5 | 18.7 ± 0.6 |
| Formulations | Day | Inhibition Zone Diameter (mm ± S.D.) | ||
|---|---|---|---|---|
| S. aureus 6538 | C. albicans 10231 | P. gingivalis 33277 | ||
| MtDh25C | 1 | 29.3 ± 0.6 | 25.0 ± 1.0 | 34.3 ± 1.2 |
| 5 | 18.7 ± 0.6 | - | 23.7 ± 0.6 | |
| 9 | 12.7 ± 1.5 | - | 15.0 ± 2.0 | |
| 15 | 10.3 ± 0.6 | - | 12.0 ± 0.0 | |
| MtDh40C | 1 | 26.7 ± 0.6 | 19.7 ± 0.6 | 30.7 ± 1.5 |
| 5 | 20.3 ± 0.6 | - | 24.7 ± 1.5 | |
| 9 | 12.0 ± 1.0 | - | 19.0 ± 2.0 | |
| 15 | 7.7 ± 0.7 | - | 15.3 ± 1.5 | |
Disclaimer/Publisher’s Note: The statements, opinions and data contained in all publications are solely those of the individual author(s) and contributor(s) and not of MDPI and/or the editor(s). MDPI and/or the editor(s) disclaim responsibility for any injury to people or property resulting from any ideas, methods, instructions or products referred to in the content. |
© 2024 by the authors. Licensee MDPI, Basel, Switzerland. This article is an open access article distributed under the terms and conditions of the Creative Commons Attribution (CC BY) license (https://creativecommons.org/licenses/by/4.0/).
Share and Cite
Khaing, E.M.; Lertsuphotvanit, N.; Thammasut, W.; Rojviriya, C.; Chansatidkosol, S.; Phattarateera, S.; Pichayakorn, W.; Phaechamud, T. Cellulose Acetate Butyrate-Based In Situ Gel Comprising Doxycycline Hyclate and Metronidazole. Polymers 2024, 16, 3477. https://doi.org/10.3390/polym16243477
Khaing EM, Lertsuphotvanit N, Thammasut W, Rojviriya C, Chansatidkosol S, Phattarateera S, Pichayakorn W, Phaechamud T. Cellulose Acetate Butyrate-Based In Situ Gel Comprising Doxycycline Hyclate and Metronidazole. Polymers. 2024; 16(24):3477. https://doi.org/10.3390/polym16243477
Chicago/Turabian StyleKhaing, Ei Mon, Nutdanai Lertsuphotvanit, Warakon Thammasut, Catleya Rojviriya, Siraprapa Chansatidkosol, Supanut Phattarateera, Wiwat Pichayakorn, and Thawatchai Phaechamud. 2024. "Cellulose Acetate Butyrate-Based In Situ Gel Comprising Doxycycline Hyclate and Metronidazole" Polymers 16, no. 24: 3477. https://doi.org/10.3390/polym16243477
APA StyleKhaing, E. M., Lertsuphotvanit, N., Thammasut, W., Rojviriya, C., Chansatidkosol, S., Phattarateera, S., Pichayakorn, W., & Phaechamud, T. (2024). Cellulose Acetate Butyrate-Based In Situ Gel Comprising Doxycycline Hyclate and Metronidazole. Polymers, 16(24), 3477. https://doi.org/10.3390/polym16243477

