Biochemical and Microstructural Characteristics of Collagen Biopolymer from Unicornfish (Naso reticulatus Randall, 2001) Bone Prepared with Various Acid Types
Abstract
1. Introduction
2. Results and Discussion
2.1. Yield and Hydroxyproline Content of Acid-Soluble Collagens
2.2. Color Attributes
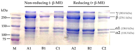
2.3. SDS-PAGE Profile
2.4. UV Absorption Spectra
2.5. Attenuated Total Reflection–Fourier Transform Infrared Spectroscopy (ATR–FTIR)
2.6. Evaluation of X-ray Diffraction (XRD)
2.7. Thermostability of Acid-Soluble Collagen
2.8. Microstructure Profile
2.9. Solubility Studies
3. Conclusions
4. Materials and Method
4.1. Materials
4.2. Preparation of Acid-Soluble Collagen
4.3. Analyses
4.3.1. Yield and Hydroxyproline (Hyp) Measurement
4.3.2. Color Attributes
4.3.3. Sodium Dodecyl Sulfate-Polyacrylamide Gel Electrophoresis (SDS-PAGE)
4.3.4. Ultraviolet–Visible Absorption Spectra
4.3.5. Attenuated Total Reflectance–Fourier Transform Infrared Spectroscopy (ATR–FTIR)
4.3.6. X-ray Diffraction (XRD) Data
4.3.7. Differential Scanning Calorimetry (DSC)
4.3.8. Scanning Electron Microscopy (SEM)
4.3.9. Solubility Study
4.4. Statistical Analysis
Author Contributions
Funding
Institutional Review Board Statement
Informed Consent Statement
Data Availability Statement
Acknowledgments
Conflicts of Interest
References
- Jaziri, A.A.; Shapawi, R.; Mokhtar, R.A.M.; Noordin, W.N.M.; Huda, N. Physicochemical and Microstructural Analyses of Pepsin-Soluble Collagens Derived from Lizardfish (Saurida tumbil Bloch, 1795) Skin, Bone and Scales. Gels 2022, 8, 471. [Google Scholar] [CrossRef]
- Sorushanova, A.; Delgado, L.M.; Wu, Z.; Shologu, N.; Kshirsagar, A.; Raghunath, R.; Mullen, A.M.; Bayon, Y.; Pandit, A.; Raghunath, M.; et al. The Collagen Suprafamily: From Biosynthesis to Advanced Biomaterial Development. Adv. Mater. 2019, 31, e1801651. [Google Scholar] [CrossRef] [PubMed]
- Shoulders, M.D.; Raines, R.T. Collagen structure and stability. Annu. Rev. Biochem. 2009, 78, 929–958. [Google Scholar] [CrossRef] [PubMed]
- Lim, Y.-S.; Ok, Y.-J.; Hwang, S.-Y.; Kwak, J.-Y.; Yoon, S. Marine Collagen as a Promising Biomaterial for Biomedical Applications. Mar. Drugs 2019, 17, 467. [Google Scholar] [CrossRef]
- Gajbhiye, S.; Wairkar, S. Collagen Fabricated Delivery Systems for Wound Healing: A New Roadmap. Biomater. Adv. 2022, 142, 213152. [Google Scholar] [CrossRef] [PubMed]
- Yakaew, P.; Phetchara, T.; Kampeerapappun, P.; Srikulkit, K. Chitosan-Coated Bacterial Cellulose (BC)/Hydrolyzed Collagen Films and Their Ascorbic Acid Loading/Releasing Performance: A Utilization of BC Waste from Kombucha Tea Fermentation. Polymers 2022, 14, 4544. [Google Scholar] [CrossRef] [PubMed]
- Wang, H. A Revieew of the Effects of Collagen Treatment in Clinical Studies. Polymers 2021, 13, 3868. [Google Scholar] [CrossRef] [PubMed]
- Sionkowska, A.; Adamiak, K.; Musiał, K.; Gadomska, M. Collagen Based Materials in Cosmetic Applications: A Review. Materials 2020, 13, 4217. [Google Scholar] [CrossRef]
- Jaziri, A.A.; Shapawi, R.; Mokhtar, R.A.M.; Noordin, W.N.M.; Huda, N. Tropical Marine Fish Surimi By-products: Utilisation and Potential as Functional Food Application. Food Rev. Int. 2021, 37, 1–26. [Google Scholar] [CrossRef]
- Chen, L.; Cheng, G.; Meng, S.; Ding, Y. Collagen Membranes Derived from Fish Scales of Application in Bone Tissue Engineering. Polymers 2022, 14, 2532. [Google Scholar] [CrossRef]
- Prihanto, A.A.; Jaziri, A.A.; Pratomo, M.D.; Putri, S.E.; Fajriati, C.; Nurdiani, R.; Firdaus, M. Characteristics of Collagen from Parrotfish (Chlorurus sordidus), Tiger Grouper (Epinephelus fuscoguttatus) and Pink Ear Emperor (Lethrinus lentjan): Effect of Acetic Acid Concentration and Extraction Time. Online J. Biol. Sci. 2022, 22, 26–35. [Google Scholar] [CrossRef]
- Ahmed, R.; Haq, M.; Chun, B.-S. Characterization of Marine Derived Collagen Extracted from the By-products of Bigeye Tuna (Thunnus obesus). Int. J. Biol. Macromol. 2019, 135, 668–676. [Google Scholar] [CrossRef] [PubMed]
- Jaziri, A.A.; Shapawi, R.; Mokhtar, R.A.M.; Noordin, W.N.M.; Huda, N. Biochemical Analysis of Collagens from the Bone of Lizardfish (Saurida tumbil Bloch, 1795) Extracted with Different Acids. PeerJ 2022, 10, e13103. [Google Scholar] [CrossRef]
- Jaziri, A.A.; Shapawi, R.; Mokhtar, R.A.M.; Noordin, W.N.M.; Huda, N. Microstructural and Physicochemical Analysis of Collagens from the Skin of Lizardfish (Saurida tumbil Bloch, 1795) Extracted with Different Organic Acids. Molecules 2022, 27, 2452. [Google Scholar] [CrossRef] [PubMed]
- Jaziri, A.A.; Shapawi, R.; Mokhtar, R.A.M.; Noordin, W.N.M.; Huda, N. Biochemical and Microstructural Properties of Lizardfish (Saurida tumbil) Scale Collagen Extracted with Various Organic Acids. Gels 2022, 8, 266. [Google Scholar] [CrossRef] [PubMed]
- Wang, H.; Liang, Y.; Wang, H.; Zhang, H.; Wang, M.; Liu, L. Physical-Chemical Properties of Collagens from Skin, Scale, and Bone of grass carp (Ctenopharyngodon idellus). J. Aquat. Food Prod. Technol. 2014, 23, 264–277. [Google Scholar] [CrossRef]
- Cao, J.; Duan, Q.; Liu, X.; Shen, X.; Li, C. Extraction and Physicochemical Characterization of Pepsin Soluble Collagens from Golden Pompano (Trachinotus blochii) Skin and Bone. J. Aquat. Food Prod. Technol. 2019, 28, 837–847. [Google Scholar] [CrossRef]
- Li, Z.-R.; Wang, B.; Chi, C.-F.; Zhang, Q.-H.; Gong, Y.-D.; Tang, J.-J.; Luo, H.Y.; Ding, G.-F. Isolation and Characterization of Acid Soluble Collagens and Pepsin Soluble Collagens from the Skin and Bone of Spanish Mackerel (Scomberomorous niphonius). Food Hydrocoll. 2013, 31, 103–113. [Google Scholar] [CrossRef]
- Atef, M.; Ojagh, S.M.; Latifi, A.M.; Esmaeili, M.; Udenigwe, C.C. Biochemical and Structural Characterization of Sturgeon Fish Skin Collagen (Huso huso). J. Food Biochem. 2020, 44, e13256. [Google Scholar] [CrossRef]
- Iswariya, S.; Velswamy, P.; Uma, T.S. Isolation and Characterization of Biocompatible Collagen from the Skin of Puffer Fish (Lagocephalus inermis). J. Polym. Environ. 2018, 26, 2086–2095. [Google Scholar] [CrossRef]
- Chen, J.; Li, J.; Li, Z.; Yi, R.; Shi, S.; Wu, K.; Wu, S. Physicochemical and Functional Properties of Type I Collagens in Red Stingray (Dasyatis akajei) Skin. Mar. Drugs 2019, 17, 558. [Google Scholar] [CrossRef] [PubMed]
- Luo, Q.B.; Chi, C.F.; Yang, F.; Zhao, Y.Q.; Wang, B. Physicochemical properties of acid- and pepsin-soluble collagens from the cartilage of Siberian sturgeon. Environ. Sci. Pollut. Res. Int. 2018, 25, 31427–31438. [Google Scholar] [CrossRef] [PubMed]
- Muralidharan, N.; Shakila, M.; Sukumar, R.J.; Jeyasekaran, D. Skin, Bone and Muscle Collagen Extraction from the Trash Fish, Leather Jacket (Odonus niger) and Their Characterization. J. Food Sci. Technol. 2013, 50, 1106–1113. [Google Scholar] [CrossRef] [PubMed]
- Liu, H.; Huang, K. Structural Characteristics of Extracted Collagen from Tilapia (Oreochromis mossambicus) Bone: Effects of Ethylenediaminetetraacetic Acid Solution and Hydrochloric Acid Treatment. Int. J. Food Prop. 2016, 19, 63–75. [Google Scholar] [CrossRef]
- Thuy, L.T.M.; Okazaki, E.; Osako, K. Isolation and characterization of acid-soluble collagen from the scales of marine fishes from Japan and Vietnam. Food Chem. 2014, 149, 264–270. [Google Scholar] [CrossRef] [PubMed]
- Kaewdang, O.; Benjakul, S.; Kaewmanee, T.; Kishimura, H. Characteristic of Collagens from the Swim Bladders of Yellowfin Tuna (Thunnus albacares). Food Chem. 2014, 155, 264–270. [Google Scholar] [CrossRef]
- Zhang, X.; Xu, S.; Shen, L.; Li, G. Factors Affecting Thermal Stability of Collagen from the Aspects of Extraction, Processing and Modification. J. Leather Sci. Eng. 2020, 2, 19. [Google Scholar] [CrossRef]
- Randall, J.E. Naso reticulatus, a New Unicornfish (Perciformes: Acanthuridae) from Taiwan and Indonesia, with a Key to the Species of Naso. Zool. Stud. 2001, 40, 170–176. [Google Scholar]
- Zeng, S.; Yin, J.; Zhang, C.; Yang, P.; Wu, W. Structure and Characteristics of Acid and Pepsin-solubilized Collagens from the Skin of Cobia (Rachycentron canadum). Food Chem. 2012, 135, 1975–1984. [Google Scholar] [CrossRef]
- Veeruraj, A.; Arumugam, M.; Balasubramanian, T. Isolation and Characterization of Thermostable Collagen from the Marine Eel Fish (Evenchelys macrura). Process Biochem. 2013, 48, 1592–1602. [Google Scholar] [CrossRef]
- Regenstein, J.; Zhou, P. Collagen and Gelatin from Marine By-products. In Maximising the Value of Marine By-Products, 1st ed.; Shahidi, F., Ed.; Woodhead Publishing Limited: Cambridge, UK; CRC Press LLC: Boca Raton, FL, USA, 2006; pp. 273–303. [Google Scholar]
- Kittiphattanabawon, P.; Benjakul, S.; Visessanguan, W.; Nagai, T.; Tanaka, M. Characterisation of Acid-soluble Collagen from Skin and Bone of Bigeye Snapper (Priacanthus tayenus). Food Chem. 2005, 89, 363–372. [Google Scholar] [CrossRef]
- Sadowska, M.; Kołodziejska, I.; Niecikowska, C. Isolation of Collagen from the Skins of Baltic Cod (Gadus morhua). Food Chem. 2003, 81, 257–262. [Google Scholar] [CrossRef]
- Bakar, J.; Hartina, U.M.R.; Hashim, M.D.; Sazili, A.Q. Properties of Collagen from Barramundi (Lates calcarifer) Skin. Int. Food. Res. J. 2013, 20, 835–884. [Google Scholar]
- Liua, W.; Zhanga, Y.; Cuic, N.; Wang, T. Extraction and Characterization of Pepsin-solubilized Collagen from Snakehead (Channa argus) Skin: Effects of Hydrogen Peroxide Pretreatments and Pepsin Hydrolysis Strategies. Process Biochem. 2019, 76, 194–202. [Google Scholar] [CrossRef]
- Benjakul, S.; Thiansilakul, Y.; Visessanguan, W.; Roytrakul, S.; Kishimura, H.; Prodpran, T. Extraction and Characterisation of Pepsin Solubilised Collagens from the Skin of Bigeye Snapper (Priacanthus tayenus and Priacanthus macracanthus). J. Sci. Food Agric. 2010, 90, 132–138. [Google Scholar] [CrossRef]
- Chuaychan, S.; Benjakul, S.; Kishimura, H. Characteristics of Acid- and Pepsin-soluble Collagens from Scale of Seabass (Lates calcarifer). LWT Food Sci. Technol. 2015, 63, 71–76. [Google Scholar] [CrossRef]
- Wang, J.; Pei, X.; Liu, H.; Zhou, D. Extraction and Characterization of Acid-soluble and Pepsin-soluble Collagen from Skin of Loach (Misgurnus anguillicaudatus). Int. J. Biol. Macromol. 2018, 106, 544–550. [Google Scholar] [CrossRef] [PubMed]
- Kittiphattanabawon, P.; Sriket, C.; Kishimura, H.; Benjakul, S. Characteristics of Acid and Pepsin Solubilized Collagens from Nile Tilapia (Oreochromis niloticus) scale. Emir. J. Food Agric. 2019, 31, 95–101. [Google Scholar] [CrossRef]
- Wu, Q.-Q.; Li, T.; Wang, B.; Ding, G.-F. Preparation and Characterization of Acid and Pepsin-soluble Collagens from Scales of croceine and redlip croakers. Food Sci. Biotechnol. 2015, 24, 2003–2010. [Google Scholar] [CrossRef]
- Chen, S.; Chen, H.; Xie, Q.; Hong, B.; Chen, J.; Hua, F.; Bai, K.; He, J.; Yi, R.; Wu, H. Rapid Isolation of High Purity Pepsin-soluble Type I Collagen from Scales of Red Drum Fish (Sciaenops ocellatus). Food Hydrocoll. 2016, 52, 468–477. [Google Scholar] [CrossRef]
- Tamilmozhi, S.; Veeruraj, A.; Arumugam, M. Isolation and Characterization of Acid and Pepsin-solubilized Collagen from the Skin of Sailfish (Istiophorus platypterus). Food Res. Int. 2013, 54, 1499–1505. [Google Scholar] [CrossRef]
- Jeong, H.S.; Venkatesan, J.; Kim, S.K. Isolation and Characterization of Collagen from Marine Fish (Thunnus obesus). Biotechnol. Bioprocess. Eng. 2013, 18, 1185–1191. [Google Scholar] [CrossRef]
- Plepis, A.M.D.; Goissis, G.; DasGupta, D.K. Dielectric and Pyroelectric Characterization of Anionic and Native Collagen. Polym. Eng. Sci. 1996, 36, 2932–2938. [Google Scholar] [CrossRef]
- Abedin, M.Z.; Karim, A.A.; Ahmed, F.; Latiff, A.A.; Gan, C.-Y.; Ghazali, F.C.; Sarker, M.Z.I. Isolation and Characterization of Pepsin-solubilized Collagen from the Integument of Sea Cucumber (Stichopus vastus). J. Sci. Food Agric. 2013, 93, 1083–1088. [Google Scholar] [CrossRef]
- Oslan, S.N.H.; Shapawi, R.; Mokhtar, R.A.M.; Noordin, W.N.M.; Huda, N. Characterization of Acid- and Pepsin-soluble Collagen Extracted from the Skin of Purple-spotted Bigeye Snapper. Gels 2022, 8, 665. [Google Scholar] [CrossRef]
- Nikoo, M.; Benjakul, S.; Ocen, D.; Yang, N.; Xu, B.; Zhang, L.; Xu, X. Physical and Chemical Properties of Gelatin from the Skin of Cultured Amur Sturgeon (Acipenser schrenckii). J. Appl. Ichthyol. 2013, 29, 943–950. [Google Scholar] [CrossRef]
- Doyle, B.B.; Bendit, E.G.; Blout, E.R. Infrared Spectroscopy of Collagen and Collagen-like Polypeptides. Biopolymers 1975, 14, 937–957. [Google Scholar] [CrossRef] [PubMed]
- Reátegui-Pinedo, N.; Salirrosas, D.; Sánchez-Tuesta, L.; Quiñones, C.; Jáuregui-Rosas, S.R.; Barraza, G.; Cabrera, A.; Ayala-Jara, C.; Martinez, R.M.; Baby, A.R.; et al. Characterization of Collagen from Three Genetic Lines (Gray, Red and F1) of Oreochromis niloticus (tilapia) Skin in Young and Old Adults. Molecules 2022, 27, 1123. [Google Scholar] [CrossRef]
- Bae, I.; Osatomi, K.; Yoshida, A.; Osako, K.; Yamaguchi, A.; Hara, K. Biochemical Properties of Acid-soluble Collagens Extracted from the Skins of Underutilised Fishes. Food Chem. 2008, 108, 49–54. [Google Scholar] [CrossRef]
- Schuetz, T.; Richmond, N.; Harmon, M.E.; Schuetz, J.; Castaneda, L.; Slowinska, K. The Microstructure of Collagen Type I Gel Cross-linked with Gold Nanoparticles. Colloids Surf. B Biointerfaces 2012, 101, 118–125. [Google Scholar] [CrossRef] [PubMed]
- Li, L.-Y.; Zhao, Y.-Q.; He, Y.; Chi, C.-F.; Wang, B. Physicochemical and Antioxidant Properties of Acid- and Pepsin-Soluble Collagens from the Scales of Miiuy Croaker (Miichthys miiuy). Mar. Drugs 2018, 16, 394. [Google Scholar] [CrossRef] [PubMed]
- Bhuimbar, M.V.; Bhagwat, P.K.; Dandge, P.B. Extraction and Characterization of Acid Soluble Collagen from Fish Waste: Development of Collagen-chitosan Blend as Food Packaging Film. J. Environ. Chem. Eng. 2019, 7, 102983. [Google Scholar] [CrossRef]
- Jongjareonrak, A.; Benjakul, S.; Visessanguan, W.; Nagai, T.; Tanaka, M. Isolation and Characterisation of Acid and Pepsin-solubilised Collagens from the Skin of Brownstripe Red Snapper (Lutjanus vitta). Food Chem. 2005, 93, 475–484. [Google Scholar] [CrossRef]
- Bergman, I.; Loxley, R. Two Improved and Simplified Methods for the Spectrophotometric Determination of Hydroxyproline. Anal. Chem. 1963, 35, 1961–1965. [Google Scholar] [CrossRef]
- Ismail, I.; Huda, N.; Ariffin, F.; Ismail, N. Effects of Washing on the Functional Properties of Duck Meat. Int. J. Poult. Sci. 2010, 9, 556–561. [Google Scholar] [CrossRef]
- Briones, V.; Aguilera, J.M. Image Analysis of Changes in Surface Color of Chocolate. Food Res. Int. 2005, 38, 87–94. [Google Scholar] [CrossRef]
- Laemmli, U.K. Cleavage of Structural Proteins during the Assembly of the Head of Bacteriophage T4. Nature 1970, 227, 680–685. [Google Scholar] [CrossRef]
- Matmaroh, K.; Benjakul, S.; Prodpran, T.; Encarnacion, A.B.; Kishimura, H. Characteristics of Acid Soluble Collagen and Pepsin Soluble Collagen from Scale of Spotted Golden Goatfish (Parupeneus heptacanthus). Food Chem. 2011, 129, 1179–1186. [Google Scholar] [CrossRef]
- Lowry, O.H.; Rosebrough, N.J.; Farr, A.L.; Randall, R.J. Protein Measurement with the Folin Phenol Reagent. J. Biol. Chem. 1951, 193, 265–275. [Google Scholar] [CrossRef]







| Sample | Yield (%) | Hyp (mg/g) | Color Parameters | |||
|---|---|---|---|---|---|---|
| L* | a* | b* | WI | |||
| AASC | 0.40 ± 0.15 c | 81.41 ± 0.11 a | 81.44 ± 5.25 a | −0.19 ± 0.10 b | 0.79 ± 1.27 c | 81.37 ± 5.21 a |
| LASC | 1.08 ± 0.12 b | 81.32 ± 0.02 a | 82.55 ± 2.45 a | 0.40 ± 0.38 a | 6.51 ± 2.59 a | 81.28 ± 3.09 a |
| CASC | 1.36 ± 0.21 a | 80.17 ± 0.10 b | 79.35 ± 0.92 a | 0.04 ± 0.18 b | 3.26 ± 2.29 b | 78.97 ± 0.99 a |
| Peak Location | Peak Annotation | ||
|---|---|---|---|
| AASC | LASC | CASC | |
| 3308.10 cm−1 | 3278.28 cm−1 | 3278.28 cm−1 | Amide A, N-H stretching coupled with H bond |
| 2920.44 cm−1 | 2924.17 cm−1 | 2924.17 cm−1 | Amide B, CH2 asymmetric stretching |
| 1638.21 cm−1 | 1638.21 cm−1 | 1617.71 cm−1 | Amide I, C=O stretching/H bond coupled with COO- |
| 1543.16 cm−1 | 1545.02 cm−1 | 1541.29 cm−1 | Amide II, N-H bend coupled with C-N stretching |
| 1237.51 cm−1 | 1237.51 cm−1 | 1235.64 cm−1 | Amide III, N-H bend coupled with C-H stretching |
| Sample | XRD Evaluation | DSC Data | ||||
|---|---|---|---|---|---|---|
| 1st Peak (Sharp Peak) | 2nd Peak (Broad Peak) | |||||
| 2θ | d Value (nm) | 2θ | d Value (nm) | Tmax (°C) | ΔH (mJ/g) | |
| AASC | 7.22 | 1.13 | 21.33 | 0.34 | 33.51 | 3.9 |
| LASC | 7.24 | 1.13 | 21.74 | 0.33 | 33.39 | 7.7 |
| CASC | 6.66 | 1.14 | 20.11 | 0.33 | 33.34 | 5.7 |
Disclaimer/Publisher’s Note: The statements, opinions and data contained in all publications are solely those of the individual author(s) and contributor(s) and not of MDPI and/or the editor(s). MDPI and/or the editor(s) disclaim responsibility for any injury to people or property resulting from any ideas, methods, instructions or products referred to in the content. |
© 2023 by the authors. Licensee MDPI, Basel, Switzerland. This article is an open access article distributed under the terms and conditions of the Creative Commons Attribution (CC BY) license (https://creativecommons.org/licenses/by/4.0/).
Share and Cite
Fatiroi, N.S.; Jaziri, A.A.; Shapawi, R.; Mokhtar, R.A.M.; Noordin, W.N.M.; Huda, N. Biochemical and Microstructural Characteristics of Collagen Biopolymer from Unicornfish (Naso reticulatus Randall, 2001) Bone Prepared with Various Acid Types. Polymers 2023, 15, 1054. https://doi.org/10.3390/polym15041054
Fatiroi NS, Jaziri AA, Shapawi R, Mokhtar RAM, Noordin WNM, Huda N. Biochemical and Microstructural Characteristics of Collagen Biopolymer from Unicornfish (Naso reticulatus Randall, 2001) Bone Prepared with Various Acid Types. Polymers. 2023; 15(4):1054. https://doi.org/10.3390/polym15041054
Chicago/Turabian StyleFatiroi, Nurul Syazwanie, Abdul Aziz Jaziri, Rossita Shapawi, Ruzaidi Azli Mohd Mokhtar, Wan Norhana Md. Noordin, and Nurul Huda. 2023. "Biochemical and Microstructural Characteristics of Collagen Biopolymer from Unicornfish (Naso reticulatus Randall, 2001) Bone Prepared with Various Acid Types" Polymers 15, no. 4: 1054. https://doi.org/10.3390/polym15041054
APA StyleFatiroi, N. S., Jaziri, A. A., Shapawi, R., Mokhtar, R. A. M., Noordin, W. N. M., & Huda, N. (2023). Biochemical and Microstructural Characteristics of Collagen Biopolymer from Unicornfish (Naso reticulatus Randall, 2001) Bone Prepared with Various Acid Types. Polymers, 15(4), 1054. https://doi.org/10.3390/polym15041054

