Catalytic Design of Matrix-Isolated Ni-Polymer Composites for Methane Catalytic Decomposition
Abstract
1. Introduction
2. Materials and Methods
2.1. Materials
2.2. Synthesis of Polymer–Metal Salt Precursor
2.3. Thermal Treatment of the Precursor
2.4. Elemental Analysis
2.5. Transmission Electron Microscopy
2.6. Scanning Electron Microscopy
2.7. X-ray
2.8. The Surface Area
2.9. TPR-H2
2.10. IR Spectroscopy
2.11. Raman Spectroscopy
2.12. TGA/DSC Test
2.13. XPS Spectroscopy
2.14. Catalyst Activity Test
2.15. Gas Analysis
3. Results
3.1. IR Spectroscopy
3.2. Raman Spectroscopy
3.3. TGA/DSC Test
3.4. Elemental Analysis
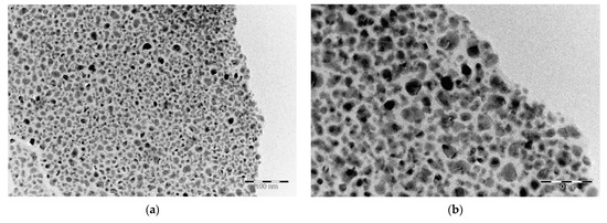
3.5. Morphology Characterization
3.6. X-ray
3.7. XPS
3.8. TPR-H2
3.9. Catalytic Activity
4. Conclusions
- Elimination of the first stage of the catalyst’s reducing activation;
- Sharp increase in the activity of the nickel-containing composite in terms of the sorption of reagents and the yield of the target product, hydrogen;
- Further detailed study of the process of nanotube growth on the described composite material is of interest. It is possible that the process of nanotube growth in this case will proceed along routes different from the growth of nanotubes by the mechanism of carbon diffusion [103]. The partial carbon encapsulation of nickel particles in the composite material provides evidence for this assumption. It is possible that surface carbon may serve as a precursor for the nucleation of a carbon nanotube, the growth of which may occur by incorporating carbon fragments specifically on this catalytic surface.
Author Contributions
Funding
Institutional Review Board Statement
Data Availability Statement
Acknowledgments
Conflicts of Interest
Nomenclature/Abbreviations
| SEM | Scanning electron microscopy |
| TEM | Transmission electron microscopy |
| XRD | X-ray diffraction |
| FTIR | Fourier transform infrared spectroscopy |
| TPR-H2 | Temperature programed reduction |
| SSA | Specific surface areas |
| TGA/DSC | Thermogravimetric analysis and differential scanning calorimetry |
| FT synthesis | Fischer-Tropsch synthesis |
| PVA | Polyvinyl alcohol |
| Ni-PVA | Composites synthesized by the matrix isolation method |
| PVA + Ni(NO3)2 | The film obtained after evaporating of the polyvinyl alcohol and nickel nitrate joined solution |
| GHSV | Gas hourly space velocity, h−1 |
| Ssp | Surface area, m2/g |
| Vpore | Total pore volume, ml/g |
| Da | Pore size, nm |
| D | Crystallite sizes, nm |
| λ | Wavelength, nm |
| B | Full width at half maximum |
| θ | Diffraction angle, ° |
| ∆Gr | Gibbs energy, kJ/mol |
| XCH4 | Methane conversion, % |
| A | Activity, gH2/gCat/h |
References
- Mikdam, A.; Belouettar, R.; Fiorelli, D.; Hu, H.; Makradi, A. A Tool for Design of Heterogeneous Materials with Desired Physical Properties Using Statistical Continuum Theory. Mater. Sci. Eng. A 2013, 564, 493–500. [Google Scholar] [CrossRef]
- Zhang, Y.; Wang, X.; Tang, J.; Wang, W.; Wang, J.; Belfiore, L.A. Strong Enhancement Effect of Silver Nanowires on Fluorescent Property of Eu 3+ -Ligand Complexes and Desired Fluorescent IPP Composite Materials. Opt. Mater. 2017, 66, 17–22. [Google Scholar] [CrossRef]
- Alalga, L.; Benamar, A.; Trari, M. Hydrogen Production via Methane Decomposition over Nickel Supported on Synthesized ZSM-5/MCM-41 Zeolite Composite Material. Int. J. Hydrogen Energy 2021, 46, 28501–28512. [Google Scholar] [CrossRef]
- Luo, J.; Zhang, X.; Zhang, C.; Wang, T.; Chen, X.; Chen, H.; King, S.; Wang, C. Highly Stable, Active and Recyclable Solid Acid Catalyst Based on Polymer-Coated Magnetic Composite Particles. Chinese Chem. Lett. 2019, 30, 2043–2046. [Google Scholar] [CrossRef]
- Velappan, A.B.; Nazeer, A.A.; Rajendran, N.; Makhseed, S. Catalyst Controlled Synthesis of Porous Organic Polymers and Their SWCNT Composites for High Performance Supercapacitor Applications. React. Funct. Polym. 2023, 185, 105534. [Google Scholar] [CrossRef]
- Xu, L.; Cui, J.; Gao, S.; Wang, J.; Liu, J.; Jia, H.; Zhang, Z.; Miao, F.; Zang, Y. Synthesis of Pd-Stabilized Chiral Conjugated Microporous Polymer Composites as High Efficiency Heterogeneous Asymmetric Henry Reaction Catalysts. Microporous Mesoporous Mater. 2022, 341, 112075. [Google Scholar] [CrossRef]
- Huang, H.; Qiao, Y.; Yuan, Y.; Zhang, J. Surface Functionalization for Heterogeneous Catalysis. In Encyclopedia of Nanomaterials; Elsevier: Amsterdam, The Netherlands, 2023; pp. 407–419. [Google Scholar]
- Haynes, T.; Bougnouch, O.; Dubois, V.; Hermans, S. Preparation of Mesoporous Silica Nanocapsules with a High Specific Surface Area by Hard and Soft Dual Templating Approach: Application to Biomass Valorization Catalysis. Microporous Mesoporous Mater. 2020, 306, 110400. [Google Scholar] [CrossRef]
- Ledoux, M.J.; Pham-Huu, C. High Specific Surface Area Carbides of Silicon and Transition Metals for Catalysis. Catal. Today 1992, 15, 263–284. [Google Scholar] [CrossRef]
- Pérez-Mayoral, E.; Matos, I.; Bernardo, M.; Ventura, M.; Fonseca, I.M. Carbon-Based Materials for the Development of Highly Dispersed Metal Catalysts: Towards Highly Performant Catalysts for Fine Chemical Synthesis. Catalysts 2020, 10, 1407. [Google Scholar] [CrossRef]
- Arinchtein, A.; Ye, M.-Y.; Geske, M.; Frisch, M.; Kraehnert, R. Influence of Phase Composition and Pretreatment on the Conversion of Iron Oxides into Iron Carbides in Syngas Atmospheres. Catalysts 2021, 11, 773. [Google Scholar] [CrossRef]
- De Coster, V.; Poelman, H.; Dendooven, J.; Detavernier, C.; Galvita, V.V. Designing Nanoparticles and Nanoalloys for Gas-Phase Catalysis with Controlled Surface Reactivity Using Colloidal Synthesis and Atomic Layer Deposition. Molecules 2020, 25, 3735. [Google Scholar] [CrossRef] [PubMed]
- Hajek, J.; Kumar, N.; Karhu, H.; Cerveny, L.; Vayrynen, J.; Salmi, T.; Murzin, D.Y. Preparation and Properties of Bimetallic Ru-Sn Sol-Gel Catalysts: Influence of Catalyst Reduction. In Studies in Surface Science and Catalysis; Elsevier: Amsterdam, The Netherlands, 2000; pp. 757–765. [Google Scholar]
- Iwasawa, Y. Chemical Design Surfaces for Active Solid Catalysts. In Advances in Catalysis; Academic Press: Cambridge, MA, USA, 1987; pp. 187–264. [Google Scholar]
- Huang, W.; Li, W.-X. Surface and Interface Design for Heterogeneous Catalysis. Phys. Chem. Chem. Phys. 2019, 21, 523–536. [Google Scholar] [CrossRef] [PubMed]
- Borovinskaya, E.S.; Oswald, S.; Reschetilowski, W. Effects of Promoter on Structural and Surface Properties of Zirconium Oxide-Based Catalyst Materials. Molecules 2020, 25, 2619. [Google Scholar] [CrossRef]
- Huang, X.; Mo, W.; He, X.; Fan, X.; Ma, F.; Tax, D. Effects of Promoters on the Structure, Performance, and Carbon Deposition of Ni-Al2O3 Catalysts for CO2–CH4 Reforming. ACS Omega 2021, 6, 16381–16390. [Google Scholar] [CrossRef] [PubMed]
- Arsalanfar, M.; Mirzaei, A.A.; Bozorgzadeh, H.R.; Samimi, A.; Ghobadi, R. Effect of Support and Promoter on the Catalytic Performance and Structural Properties of the Fe–Co–Mn Catalysts for Fischer–Tropsch Synthesis. J. Ind. Eng. Chem. 2014, 20, 1313–1323. [Google Scholar] [CrossRef]
- Luo, G.; Yan, S.; Qiao, M.; Fan, K. Effect of Promoters on the Structures and Properties of the RuB/γ-Al2O3 Catalyst. J. Mol. Catal. A Chem. 2005, 230, 69–77. [Google Scholar] [CrossRef]
- Abelló, S.; Berrueco, C.; Montané, D. High-Loaded Nickel–Alumina Catalyst for Direct CO2 Hydrogenation into Synthetic Natural Gas (SNG). Fuel 2013, 113, 598–609. [Google Scholar] [CrossRef]
- Ermakova, M.A.; Ermakov, D.Y. High-Loaded Nickel–Silica Catalysts for Hydrogenation, Prepared by Sol–Gel. Appl. Catal. A Gen. 2003, 245, 277–288. [Google Scholar] [CrossRef]
- Kapteijn, F.; Moulijn, J.A. Structured Catalysts and Reactors—Perspectives for Demanding Applications. Catal. Today 2022, 383, 5–14. [Google Scholar] [CrossRef]
- Ren, Z.; Zhang, J.; Bai, Y.; Wang, J.; Chen, H.; Hao, Q.; Ma, X. Unsupported Nickel Catalyst Prepared from Nickel Foam for Methane Decomposition and Recycling the Carbon Deposited Spent Catalyst. Int. J. Hydrogen Energy 2021, 46, 21853–21865. [Google Scholar] [CrossRef]
- Fritea, L.; Banica, F.; Costea, T.; Moldovan, L.; Dobjanschi, L.; Muresan, M.; Cavalu, S. Metal Nanoparticles and Carbon-Based Nanomaterials for Improved Performances of Electrochemical (Bio)Sensors with Biomedical Applications. Materials 2021, 14, 6319. [Google Scholar] [CrossRef]
- Wang, Y.; Lu, S.; He, W.; Gong, S.; Zhang, Y.; Zhao, X.; Fu, Y.; Zhu, Z. Modeling and Characterization of the Electrical Conductivity on Metal Nanoparticles/Carbon Nanotube/Polymer Composites. Sci. Rep. 2022, 12, 10448. [Google Scholar] [CrossRef]
- Pomogailo, A.D. Polymer-Immobilized Nanoscale and Cluster Metal Particles. Nanostruct. Mater. 1999, 12, 291–294. [Google Scholar] [CrossRef]
- Rozenberg, A.S.; Pomogailo, A.D. The Solid State Thermal Transformation of the Metal Carboxylates as a Source of Formation of Nanosized Stabilized Particles. Nanostruct. Mater. 1999, 12, 1145–1148. [Google Scholar] [CrossRef]
- Zare, Y.; Shabani, I. Polymer/Metal Nanocomposites for Biomedical Applications. Mater. Sci. Eng. C 2016, 60, 195–203. [Google Scholar] [CrossRef]
- Yurkov, G.Y.; Pankratov, D.A.; Koksharov, Y.A.; Ovtchenkov, Y.A.; Semenov, A.V.; Korokhin, R.A.; Shcherbakova, G.I.; Gorobinskiy, L.V.; Burakova, E.A.; Korolkov, A.V.; et al. Composite Materials Based on a Ceramic Matrix of Polycarbosilane and Iron-Containing Nanoparticles. Ceram. Int. 2022, 48, 37410–37422. [Google Scholar] [CrossRef]
- Yurkov, G.Y.; Shashkeev, K.A.; Kondrashov, S.V.; Popkov, O.V.; Shcherbakova, G.I.; Zhigalov, D.V.; Pankratov, D.A.; Ovchenkov, E.A.; Koksharov, Y.A. Synthesis and Magnetic Properties of Cobalt Ferrite Nanoparticles in Polycarbosilane Ceramic Matrix. J. Alloys Compd. 2016, 686, 421–430. [Google Scholar] [CrossRef]
- Yurkov, G.Y.; Baranov, D.A.; Dotsenko, I.P.; Gubin, S.P. New Magnetic Materials Based on Cobalt and Iron-Containing Nanoparicles. Compos. Part B Eng. 2006, 37, 413–417. [Google Scholar] [CrossRef]
- Klygach, D.S.; Vakhitov, M.G.; Pankratov, D.A.; Zherebtsov, D.A.; Tolstoguzov, D.S.; Raddaoui, Z.; El Kossi, S.; Dhahri, J.; Vinnik, D.A.; Trukhanov, A.V. MCC: Specific of Preparation, Correlation of the Phase Composition and Electrodynamic Properties. J. Magn. Magn. Mater. 2021, 526, 167694. [Google Scholar] [CrossRef]
- Respaud, M.; Broto, J.M.; Rakoto, H.; Fert, A.R.; Thomas, L.; Barbara, B.; Verelst, M.; Snoeck, E.; Lecante, P.; Mosset, A.; et al. Surface Effects on the Magnetic Properties of Ultrafine Cobalt Particles. Phys. Rev. B 1998, 57, 2925–2935. [Google Scholar] [CrossRef]
- Sun, S.; Sun, H.; Williams, P.T.; Wu, C. Recent Advances in Integrated CO2 Capture and Utilization: A Review. Sustain. Energy Fuels 2021, 5, 4546–4559. [Google Scholar] [CrossRef]
- Liu, Y.; Deng, D.; Bao, X. Catalysis for Selected C1 Chemistry. Chem 2020, 6, 2497–2514. [Google Scholar] [CrossRef]
- Vasilev, A.A.; Ivantsov, M.I.; Dzidziguri, E.L.; Efimov, M.N.; Muratov, D.G.; Kulikova, M.V.; Zhilyaeva, N.A.; Karpacheva, G.P. Size Effect of the Carbon-Supported Bimetallic Fe-Co Nanoparticles on the Catalytic Activity in the Fischer-Tropsch Synthesis. Fuel 2022, 310, 122455. [Google Scholar] [CrossRef]
- Valero-Romero, M.J.; Sartipi, S.; Sun, X.; Rodríguez-Mirasol, J.; Cordero, T.; Kapteijn, F.; Gascon, J. Carbon/H-ZSM-5 Composites as Supports for Bi-Functional Fischer–Tropsch Synthesis Catalysts. Catal. Sci. Technol. 2016, 6, 2633–2646. [Google Scholar] [CrossRef]
- Wang, Q.; Liu, K.; Hu, K.; Cai, C.; Li, H.; Li, H.; Herran, M.; Lu, Y.-R.; Chan, T.-S.; Ma, C.; et al. Attenuating Metal-Substrate Conjugation in Atomically Dispersed Nickel Catalysts for Electroreduction of CO2 to CO. Nat. Commun. 2022, 13, 6082. [Google Scholar] [CrossRef] [PubMed]
- Ni, Y.; Lin, L.; Shang, Y.; Luo, L.; Wang, L.; Lu, Y.; Li, Y.; Yan, Z.; Zhang, K.; Cheng, F.; et al. Regulating Electrocatalytic Oxygen Reduction Activity of a Metal Coordination Polymer via d–π Conjugation. Angew. Chemie 2021, 133, 17074–17078. [Google Scholar] [CrossRef]
- Zhang, W.; Chen, P.; Liu, J.; Huang, N.; Feng, C.; Wu, D.; Bai, Y. Effects of Different Delocalized π-Conjugated Systems towards the TiO2-Based Hybrid Photocatalysts. Front. Chem. 2021, 9, 700380. [Google Scholar] [CrossRef]
- Li, K.; Li, Z.; Zhi, Y.; Xia, H.; Zhang, Y.; Liu, X. Diyne-Linked and Fully π-Conjugated Polymetalloporphyrin Nanosheets for Outstanding Heterogeneous Catalysis. Sci. Bull. 2021, 66, 354–361. [Google Scholar] [CrossRef]
- Kulikova, M.V.; Kulikov, A.B.; Kuz’min, A.E.; Maximov, A.L. Ultrafine Metal-Polymer Catalysts Based on Polyconjugated Systems for Fisher–Tropsch Synthesis. Pure Appl. Chem. 2020, 92, 977–984. [Google Scholar] [CrossRef]
- Khadzhiev, S.N.; Kulikova, M.V.; Ivantsov, M.I.; Zemtsov, L.M.; Karpacheva, G.P.; Muratov, D.G.; Bondarenko, G.N.; Oknina, N.V. Fischer–Tropsch Synthesis in the Presence of Nanosized Iron-Polymer Catalysts in a Fixed-Bed Reactor. Pet. Chem. 2016, 56, 522–528. [Google Scholar] [CrossRef]
- Fan, Z.; Weng, W.; Zhou, J.; Gu, D.; Xiao, W. Catalytic Decomposition of Methane to Produce Hydrogen: A Review. J. Energy Chem. 2021, 58, 415–430. [Google Scholar] [CrossRef]
- Torres, D.; Pinilla, J.L.; Suelves, I. Cobalt Doping of α-Fe/Al2O3 Catalysts for the Production of Hydrogen and High-Quality Carbon Nanotubes by Thermal Decomposition of Methane. Int. J. Hydrogen Energy 2020, 45, 19313–19323. [Google Scholar] [CrossRef]
- Yue, M.; Lambert, H.; Pahon, E.; Roche, R.; Jemei, S.; Hissel, D. Hydrogen Energy Systems: A Critical Review of Technologies, Applications, Trends and Challenges. Renew. Sustain. Energy Rev. 2021, 146, 111180. [Google Scholar] [CrossRef]
- Abe, J.O.; Popoola, A.P.I.; Ajenifuja, E.; Popoola, O.M. Hydrogen Energy, Economy and Storage: Review and Recommendation. Int. J. Hydrogen Energy 2019, 44, 15072–15086. [Google Scholar] [CrossRef]
- Rafiee, A.; Khalilpour, K.R. Renewable Hybridization of Oil and Gas Supply Chains. In Polygeneration with Polystorage for Chemical and Energy Hubs; Elsevier: Amsterdam, The Netherlands, 2019; pp. 331–372. [Google Scholar]
- Afif, A.; Radenahmad, N.; Cheok, Q.; Shams, S.; Kim, J.H.; Azad, A.K. Ammonia-Fed Fuel Cells: A Comprehensive Review. Renew. Sustain. Energy Rev. 2016, 60, 822–835. [Google Scholar] [CrossRef]
- Rafiee, A.; Rajab Khalilpour, K.; Milani, D.; Panahi, M. Trends in CO2 Conversion and Utilization: A Review from Process Systems Perspective. J. Environ. Chem. Eng. 2018, 6, 5771–5794. [Google Scholar] [CrossRef]
- Pudukudy, M.; Yaakob, Z.; Jia, Q.; Takriff, M.S. Catalytic Decomposition of Methane over Rare Earth Metal (Ce and La) Oxides Supported Iron Catalysts. Appl. Surf. Sci. 2019, 467–468, 236–248. [Google Scholar] [CrossRef]
- Muradov, N. Catalysis of Methane Decomposition over Elemental Carbon. Catal. Commun. 2001, 2, 89–94. [Google Scholar] [CrossRef]
- Inaba, M.; Zhang, Z.; Matsuoka, K.; Soneda, Y. Effect of Coexistence of Siloxane on Production of Hydrogen and Nanocarbon by Methane Decomposition Using Fe Catalyst. Int. J. Hydrogen Energy 2021, 46, 11556–11563. [Google Scholar] [CrossRef]
- Hu, X.; Hu, Y.; Xu, Q.; Wang, X.; Li, G.; Cheng, H.; Zou, X.; Lu, X. Molten Salt-Promoted Ni–Fe/Al2O3 Catalyst for Methane Decomposition. Int. J. Hydrogen Energy 2020, 45, 4244–4253. [Google Scholar] [CrossRef]
- Ashik, U.P.M.; Wan Daud, W.M.A.; Abbas, H.F. Production of Greenhouse Gas Free Hydrogen by Thermocatalytic Decomposition of Methane—A Review. Renew. Sustain. Energy Rev. 2015, 44, 221–256. [Google Scholar] [CrossRef]
- Gamal, A.; Eid, K.; El-Naas, M.H.; Kumar, D.; Kumar, A. Catalytic Methane Decomposition to Carbon Nanostructures and COx-Free Hydrogen: A Mini-Review. Nanomaterials 2021, 11, 1226. [Google Scholar] [CrossRef] [PubMed]
- Olewnik-Kruszkowska, E.; Gierszewska, M.; Jakubowska, E.; Tarach, I.; Sedlarik, V.; Pummerova, M. Antibacterial Films Based on PVA and PVA–Chitosan Modified with Poly(Hexamethylene Guanidine). Polymers 2019, 11, 2093. [Google Scholar] [CrossRef] [PubMed]
- Abdullah, O.G.; Aziz, S.B.; Rasheed, M.A. Structural and Optical Characterization of PVA:KMnO4 Based Solid Polymer Electrolyte. Results Phys. 2016, 6, 1103–1108. [Google Scholar] [CrossRef]
- Abdullah, A.M.; Aziz, S.B.; Saeed, S.R. Structural and Electrical Properties of Polyvinyl Alcohol (PVA):Methyl Cellulose (MC) Based Solid Polymer Blend Electrolytes Inserted with Sodium Iodide (NaI) Salt. Arab. J. Chem. 2021, 14, 103388. [Google Scholar] [CrossRef]
- Monisha, S.; Mathavan, T.; Selvasekarapandian, S.; Milton Franklin Benial, A.; Aristatil, G.; Mani, N.; Premalatha, M.; Vinoth Pandi, D. Investigation of Bio Polymer Electrolyte Based on Cellulose Acetate-Ammonium Nitrate for Potential Use in Electrochemical Devices. Carbohydr. Polym. 2017, 157, 38–47. [Google Scholar] [CrossRef]
- Holland, B.J.; Hay, J.N. The Thermal Degradation of Poly(Vinyl Alcohol). Polymer 2001, 42, 6775–6783. [Google Scholar] [CrossRef]
- Peng, Z.; Kong, L.X. A Thermal Degradation Mechanism of Polyvinyl Alcohol/Silica Nanocomposites. Polym. Degrad. Stab. 2007, 92, 1061–1071. [Google Scholar] [CrossRef]
- Thomas, P.S.; Guerbois, J.-P.; Russell, G.F.; Briscoe, B.J. FTIR Study of the Thermal Degradation of Poly(Vinyl Alcohol). J. Therm. Anal. Calorim. 2001, 64, 501–508. [Google Scholar] [CrossRef]
- Nistor, M.-T.; Vasile, C. Influence of the Nanoparticle Type on the Thermal Decomposition of the Green Starch/Poly(Vinyl Alcohol)/Montmorillonite Nanocomposites. J. Therm. Anal. Calorim. 2013, 111, 1903–1919. [Google Scholar] [CrossRef]
- Krysanova, K.; Krylova, A.; Kulikova, M.; Kulikov, A.; Rusakova, O. Biochar Characteristics Produced via Hydrothermal Carbonization and Torrefaction of Peat and Sawdust. Fuel 2022, 328, 125220. [Google Scholar] [CrossRef]
- Zheng, A.; Jiang, L.; Zhao, Z.; Huang, Z.; Zhao, K.; Wei, G.; Wang, X.; He, F.; Li, H. Impact of Torrefaction on the Chemical Structure and Catalytic Fast Pyrolysis Behavior of Hemicellulose, Lignin, and Cellulose. Energy Fuels 2015, 29, 8027–8034. [Google Scholar] [CrossRef]
- Dresselhaus, M.S.; Jorio, A.; Souza Filho, A.G.; Saito, R. Defect Characterization in Graphene and Carbon Nanotubes Using Raman Spectroscopy. Philos. Trans. R. Soc. A Math. Phys. Eng. Sci. 2010, 368, 5355–5377. [Google Scholar] [CrossRef] [PubMed]
- Le, K.C.; Henriksson, J.; Bengtsson, P. Polarization Effects in Raman Spectroscopy of Light-absorbing Carbon. J. Raman Spectrosc. 2021, 52, 1115–1122. [Google Scholar] [CrossRef]
- Bondarenko, G.N.; Kulikova, M.V.; Khazradzhi, A.K.A.; Dement’eva, O.S.; Ivantsov, M.I.; Chudakova, M.V. Catalytic and Physicochemical Properties of Fe-Polymer Nanocatalysts of Fischer–Tropsch Synthesis: Dynamic Light Scattering and FTIR Spectroscopy Study. Pet. Chem. 2016, 56, 1128–1133. [Google Scholar] [CrossRef]
- Tsvetkov, V.B.; Kulikova, M.V.; Khadzhiev, S.N. Formation of an Iron-Containing Catalytic Nanoparticle during the Three-Phase Fischer–Tropsch Synthesis: Molecular Modeling. Pet. Chem. 2017, 57, 600–607. [Google Scholar] [CrossRef]
- Jia, P.; Zhang, M.; Bo, C.; Hu, L.; Zhou, Y. The Plasticizing Effect of Properties of Manganous Chloride and Glycerin on Poly(Vinyl Alcohol). Polish J. Chem. Technol. 2015, 17, 29–33. [Google Scholar] [CrossRef]
- Lomakin, S.M.; Shaulov, A.Y.; Koverzanova, E.V.; Usachev, S.V.; Shilkina, N.G.; Berlin, A.A. Kinetics of Polyvinyl Alcohol Thermal Degradation in the Compositions with Boron Polyoxide: Part 1. Kinetics of Thermal Degradation. Russ. J. Phys. Chem. B 2019, 13, 374–382. [Google Scholar] [CrossRef]
- Shaulov, A.Y.; Lomakin, S.M.; Rakhimkulov, A.D.; Koverzanova, E.V.; Shchegolikhin, A.N.; Glushenko, P.B.; Shilkina, N.G.; Berlin, A.A. High-Temperature Thermal Degradation of Polyethylene in an Inorganic Polyoxide Matrix. Dokl. Phys. Chem. 2004, 398, 231–235. [Google Scholar] [CrossRef]
- Gilman, J.W.; VanderHart, D.L.; Kashiwagi, T. Thermal Decomposition Chemistry of Poly(Vinyl Alcohol). In Proc ACS Symposium Fire and Polymers American Chemical Society; ACS Publications: Washington, D.C., USA, 1995; pp. 161–185. [Google Scholar]
- Petrov, I.Y.; Tryasunov, B.G.; Byakov, A.G. Thermal Decomposition of Nickel(II) Nitrate Hexahydrate in Air. Bull. Kuzbass State Tech. Univ. 2011, 6, 87–95. [Google Scholar]
- Bar-Tow, D.; Peled, E.; Burstein, L. A Study of Highly Oriented Pyrolytic Graphite as a Model for the Graphite Anode in Li-Ion Batteries. J. Electrochem. Soc. 1999, 146, 824–832. [Google Scholar] [CrossRef]
- Artemenko, A.; Shchukarev, A.; Štenclová, P.; Wågberg, T.; Segervald, J.; Jia, X.; Kromka, A. Reference XPS Spectra of Amino Acids. IOP Conf. Ser. Mater. Sci. Eng. 2021, 1050, 012001. [Google Scholar] [CrossRef]
- Ganya, E.S.; Soin, N.; Moloi, S.J.; McLaughlin, J.A.; Pong, W.F.; Ray, S.C. Polyacrylate Grafted Graphene Oxide Nanocomposites for Biomedical Applications. J. Appl. Phys. 2020, 127, 054302. [Google Scholar] [CrossRef]
- Rojas, J.V.; Toro-Gonzalez, M.; Molina-Higgins, M.C.; Castano, C.E. Facile Radiolytic Synthesis of Ruthenium Nanoparticles on Graphene Oxide and Carbon Nanotubes. Mater. Sci. Eng. B 2016, 205, 28–35. [Google Scholar] [CrossRef]
- Hu, H.; Xie, F.; Pei, Y.; Qiao, M.; Yan, S.; He, H.; Fan, K.; Li, H.; Zong, B.; Zhang, X. Skeletal Ni Catalysts Prepared from Ni–Al Alloys Rapidly Quenched at Different Rates: Texture, Structure and Catalytic Performance in Chemoselective Hydrogenation of 2-Ethylanthraquinone. J. Catal. 2006, 237, 143–151. [Google Scholar] [CrossRef]
- Hengne, A.M.; Samal, A.K.; Enakonda, L.R.; Harb, M.; Gevers, L.E.; Anjum, D.H.; Hedhili, M.N.; Saih, Y.; Huang, K.-W.; Basset, J.-M. Ni–Sn-Supported ZrO2 Catalysts Modified by Indium for Selective CO2 Hydrogenation to Methanol. ACS Omega 2018, 3, 3688–3701. [Google Scholar] [CrossRef] [PubMed]
- Moulder, J.F.; Stickle, W.F.; Sobol, P.E.; Bomben, K.D. Handbook of X-ray Photoelectron Spectroscopy; Perkin-Elm.: Eden Prairie, MN, USA, 1992. [Google Scholar]
- Jia, R.; Chen, J.; Zhao, J.; Zheng, J.; Song, C.; Li, L.; Zhu, Z. Synthesis of Highly Nitrogen-Doped Hollow Carbon Nanoparticles and Their Excellent Electrocatalytic Properties in Dye-Sensitized Solar Cells. J. Mater. Chem. 2010, 20, 10829. [Google Scholar] [CrossRef]
- Ha, Q.; Armbruster, U.; Atia, H.; Schneider, M.; Lund, H.; Agostini, G.; Radnik, J.; Vuong, H.; Martin, A. Development of Active and Stable Low Nickel Content Catalysts for Dry Reforming of Methane. Catalysts 2017, 7, 157. [Google Scholar] [CrossRef]
- Khadzhiev, S.N.; Chernavskii, P.A.; Kulikova, M.V.; Ivantsov, M.I. Kinetics of Metallic Cobalt Formation in the Synthesis of a Cobalt–Polyvinyl Alcohol Composite. Pet. Chem. 2018, 58, 709–713. [Google Scholar] [CrossRef]
- Xu, M.; Lopez-Ruiz, J.A.; Kovarik, L.; Bowden, M.E.; Davidson, S.D.; Weber, R.S.; Wang, I.-W.; Hu, J.; Dagle, R.A. Structure Sensitivity and Its Effect on Methane Turnover and Carbon Co-Product Selectivity in Thermocatalytic Decomposition of Methane over Supported Ni Catalysts. Appl. Catal. A Gen. 2021, 611, 117967. [Google Scholar] [CrossRef]
- Nuernberg, G.D.B.; Foletto, E.L.; Campos, C.E.M.; Fajardo, H.V.; Carreño, N.L.V.; Probst, L.F.D. Direct Decomposition of Methane over Ni Catalyst Supported in Magnesium Aluminate. J. Power Sources 2012, 208, 409–414. [Google Scholar] [CrossRef]
- Wang, D.; Zhang, J.; Sun, J.; Gao, W.; Cui, Y. Effect of Metal Additives on the Catalytic Performance of Ni/Al2O3 Catalyst in Thermocatalytic Decomposition of Methane. Int. J. Hydrogen Energy 2019, 44, 7205–7215. [Google Scholar] [CrossRef]
- Ramasubramanian, V.; Ramsurn, H.; Price, G.L. Hydrogen Production by Catalytic Decomposition of Methane over Fe Based Bi-Metallic Catalysts Supported on CeO2–ZrO2. Int. J. Hydrogen Energy 2020, 45, 12026–12036. [Google Scholar] [CrossRef]
- Mahmoodzade, E.; Meshkani, F.; Rezaei, M.; Rastegarpanah, A. Preparation and Improvement of Nickel Catalyst Supported Ordered Mesoporous Spherical Silica for Thermocatalytic Decomposition of Methane. J. Energy Inst. 2020, 93, 2488–2496. [Google Scholar] [CrossRef]
- McConnachie, M.; Konarova, M.; Smart, S. Literature Review of the Catalytic Pyrolysis of Methane for Hydrogen and Carbon Production. Int. J. Hydrogen Energy 2023. [Google Scholar] [CrossRef]
- Schoemaker, S.E.; Welling, T.A.J.; Wezendonk, D.F.L.; Reesink, B.H.; van Bavel, A.P.; de Jongh, P.E. Carbon Nanofiber Growth from Methane over Carbon-Supported NiCu Catalysts: Two Temperature Regimes. Catal. Today 2023, 418, 114110. [Google Scholar] [CrossRef]
- Alves Silva, J.; Oliveira Santos, J.B.; Torres, D.; Pinilla, J.L.; Suelves, I. Natural Fe-Based Catalysts for the Production of Hydrogen and Carbon Nanomaterials via Methane Decomposition. Int. J. Hydrogen Energy 2021, 46, 35137–35148. [Google Scholar] [CrossRef]
- Yang, L.; Wu, X.; Liu, F.; Zhang, X.; He, J.; Saito, K. Joint-Use of Activated Carbon and Carbon Black to Enhance Catalytic Stability during Chemical Looping Methane Decomposition Process. Int. J. Hydrogen Energy 2020, 45, 13245–13255. [Google Scholar] [CrossRef]
- Ashok, J.; Reddy, P.S.; Raju, G.; Subrahmanyam, M.; Venugopal, A. Catalytic Decomposition of Methane to Hydrogen and Carbon Nanofibers over Ni–Cu–SiO2 Catalysts. Energy Fuels 2009, 23, 5–13. [Google Scholar] [CrossRef]
- Reshetenko, T.V.; Avdeeva, L.B.; Ismagilov, Z.R.; Chuvilin, A.L.; Ushakov, V.A. Carbon Capacious Ni-Cu-Al2O3 Catalysts for High-Temperature Methane Decomposition. Appl. Catal. A Gen. 2003, 247, 51–63. [Google Scholar] [CrossRef]
- Qian, J.X.; Chen, T.W.; Enakonda, L.R.; Liu, D.B.; Basset, J.-M.; Zhou, L. Methane Decomposition to Pure Hydrogen and Carbon Nano Materials: State-of-the-Art and Future Perspectives. Int. J. Hydrogen Energy 2020, 45, 15721–15743. [Google Scholar] [CrossRef]
- Alves, L.; Pereira, V.; Lagarteira, T.; Mendes, A. Catalytic Methane Decomposition to Boost the Energy Transition: Scientific and Technological Advancements. Renew. Sustain. Energy Rev. 2021, 137, 110465. [Google Scholar] [CrossRef]
- Bayat, N.; Rezaei, M.; Meshkani, F. Hydrogen and Carbon Nanofibers Synthesis by Methane Decomposition over Ni–Pd/Al2O3 Catalyst. Int. J. Hydrogen Energy 2016, 41, 5494–5503. [Google Scholar] [CrossRef]
- Pudukudy, M.; Yaakob, Z.; Akmal, Z.S. Direct Decomposition of Methane over Pd Promoted Ni/SBA-15 Catalysts. Appl. Surf. Sci. 2015, 353, 127–136. [Google Scholar] [CrossRef]
- Anjaneyulu, C.; Naresh, G.; Kumar, V.V.; Tardio, J.; Rao, T.V.; Venugopal, A. Influence of Rare Earth (La, Pr, Nd, Gd, and Sm) Metals on the Methane Decomposition Activity of Ni–Al Catalysts. ACS Sustain. Chem. Eng. 2015, 3, 1298–1305. [Google Scholar] [CrossRef]
- Palma, V.; Pisano, D.; Martino, M. Structured Noble Metal-Based Catalysts for the WGS Process Intensification. Int. J. Hydrogen Energy 2018, 43, 11745–11754. [Google Scholar] [CrossRef]
- Sánchez-Bastardo, N.; Schlögl, R.; Ruland, H. Methane Pyrolysis for Zero-Emission Hydrogen Production: A Potential Bridge Technology from Fossil Fuels to a Renewable and Sustainable Hydrogen Economy. Ind. Eng. Chem. Res. 2021, 60, 11855–11881. [Google Scholar] [CrossRef]
- Abbas, H.F.; Wan Daud, W.M.A. Hydrogen Production by Methane Decomposition: A Review. Int. J. Hydrogen Energy 2010, 35, 1160–1190. [Google Scholar] [CrossRef]














| Sample | Synthesis Temperature, °C | Ni Content, wt. % | C Content, wt. % | N Content, wt. % | H Content, wt. % | O Content, wt. % |
|---|---|---|---|---|---|---|
| NiPVA250 | 250 | 31 | 39 | 2 | 2 | 26 |
| NiPVA350 | 350 | 43 | 39 | 2 | 2 | 14 |
| NiPVA500 | 500 | 43 | 42 | 2 | 1 | 12 |
| NiPVA700 | 700 | 48 | 44 | 1 | 1 | 6 |
| Sample | Ssp, m2/g | Vpore, mL/g | Da, nm |
|---|---|---|---|
| NiPVA250 | 21 | 0.02 | 4.0 |
| NiPVA350 | 158 | 0.09 | 2.4 |
| NiPVA500 | 214 | 0.10 | 2.0 |
| NiPVA700 | 204 | 0.11 | 2.2 |
| Sample | Crystallite Size, nm |
|---|---|
| NiPVA250 | 2.5–3.0 |
| NiPVA350 | 2.5–3.0 |
| NiPVA500 | 4.0 |
| NiPVA700 | 13.0 |
| Sample | Ni | O | C | N |
|---|---|---|---|---|
| Content, % at. | 4 | 13 | 81 | 2 |
| Content, % wt. | 16 | 14 | 67 | 2 |
| Samples | XCH4, % | A, gH2/gCat/h | Yield, gH2/gNi/h | Feed, gCH4/gCat/h |
|---|---|---|---|---|
| NiPVA250 | 33 | 0.9 | 3.0 | 24.1 |
| NiPVA350 | 38 | 1.4 | 3.2 | 23.8 |
| NiPVA500 | 45 | 1.3 | 3.1 | 11.9 |
| NiPVA700 | 40 | 0.9 | 1.9 | 9.1 |
Disclaimer/Publisher’s Note: The statements, opinions and data contained in all publications are solely those of the individual author(s) and contributor(s) and not of MDPI and/or the editor(s). MDPI and/or the editor(s) disclaim responsibility for any injury to people or property resulting from any ideas, methods, instructions or products referred to in the content. |
© 2023 by the authors. Licensee MDPI, Basel, Switzerland. This article is an open access article distributed under the terms and conditions of the Creative Commons Attribution (CC BY) license (https://creativecommons.org/licenses/by/4.0/).
Share and Cite
Kulikova, M.V.; Ivantsov, M.I.; Sotnikova, A.E.; Samoilov, V.O. Catalytic Design of Matrix-Isolated Ni-Polymer Composites for Methane Catalytic Decomposition. Polymers 2023, 15, 2534. https://doi.org/10.3390/polym15112534
Kulikova MV, Ivantsov MI, Sotnikova AE, Samoilov VO. Catalytic Design of Matrix-Isolated Ni-Polymer Composites for Methane Catalytic Decomposition. Polymers. 2023; 15(11):2534. https://doi.org/10.3390/polym15112534
Chicago/Turabian StyleKulikova, Mayya V., Mikhail I. Ivantsov, Anastasia E. Sotnikova, and Vadim O. Samoilov. 2023. "Catalytic Design of Matrix-Isolated Ni-Polymer Composites for Methane Catalytic Decomposition" Polymers 15, no. 11: 2534. https://doi.org/10.3390/polym15112534
APA StyleKulikova, M. V., Ivantsov, M. I., Sotnikova, A. E., & Samoilov, V. O. (2023). Catalytic Design of Matrix-Isolated Ni-Polymer Composites for Methane Catalytic Decomposition. Polymers, 15(11), 2534. https://doi.org/10.3390/polym15112534

