In Vivo Toxicity and Pharmacokinetics of Polytetrafluoroethylene Microplastics in ICR Mice
Abstract
:1. Introduction
2. Materials and Methods
2.1. Preparation of Polytetrafluoroethylene Microplastics
2.2. Characterization of Polytetrafluoroethylene Microplastics
2.3. Animal and Ethics Statement
2.4. Single Oral Dose Toxicity Study
2.5. Four-Week Repeated Oral Dose Toxicity Study
2.6. Pharmacokinetics Study
2.7. Quantitative Evaluation of Polytetrafluorethylene Microplastics in Blood
2.8. Data Analysis
2.9. Human NOAEL Dose
2.10. Statistical Analysis
3. Results
3.1. Characterization of Polytetrafluoroethylene Microplastics
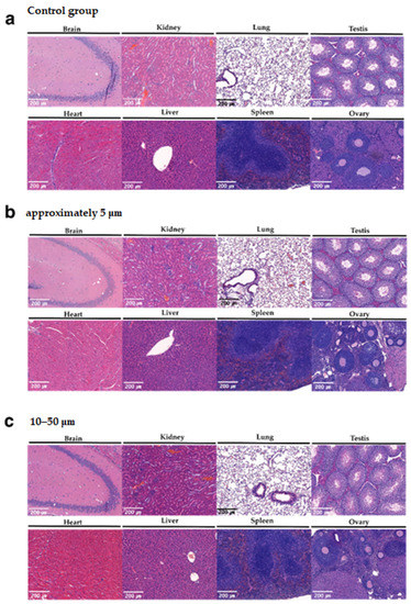
3.2. Toxicity Study
3.3. Pharmacokinetics Study
3.4. Human NOAEL Dose
4. Discussion
5. Conclusions
Supplementary Materials
Author Contributions
Funding
Institutional Review Board Statement
Informed Consent Statement
Data Availability Statement
Conflicts of Interest
References
- Alimba, C.G.; Faggio, C. Microplastics in the marine environment: Current trends in environmental pollution and mechanisms of toxicological profile. Environ. Toxicol. Pharmacol. 2019, 68, 61–74. [Google Scholar] [CrossRef] [PubMed]
- Thompson, R.C.; Olsen, Y.; Mitchell, R.P.; Davis, A.; Rowland, S.J.; John, A.W.; McGonigle, D.; Russell, A.E. Lost at sea: Where is all the plastic? Science 2004, 304, 838. [Google Scholar] [CrossRef] [PubMed]
- Moore, C.J. Synthetic polymers in the marine environment: A rapidly increasing, long-term threat. Environ. Res. 2008, 108, 131–139. [Google Scholar] [CrossRef] [PubMed]
- Galloway, T.S.; Lewis, C.N. Marine microplastics spell big problems for future generations. Proc. Natl. Acad. Sci. USA 2016, 113, 2331–2333. [Google Scholar] [CrossRef] [Green Version]
- Andrady, A.L. Microplastics in the marine environment. Mar. Pollut. Bull. 2011, 62, 1596–1605. [Google Scholar] [CrossRef]
- Cole, M.; Lindeque, P.; Fileman, E.; Halsband, C.; Galloway, T.S. The impact of polystyrene microplastics on feeding, function and fecundity in the marine copepod Calanus helgolandicus. Environ. Sci. Technol. 2015, 49, 1130–1137. [Google Scholar] [CrossRef]
- Chatterjee, S.; Sharma, S. Microplastics in our oceans and marine health, Field Actions Science Reports. J. Field Actions 2019, 2019, 54–61. [Google Scholar]
- Barnes, D.K.; Galgani, F.; Thompson, R.C.; Barlaz, M. Accumulation and fragmentation of plastic debris in global environments. Philos. Trans. R. Soc. Lond. B Biol. Sci. 2009, 364, 1985–1998. [Google Scholar] [CrossRef] [Green Version]
- Jambeck, J.R.; Geyer, R.; Wilcox, C.; Siegler, T.R.; Perryman, M.; Andrady, A.; Narayan, R.; Law, K.L. Marine pollution. Plastic waste inputs from land into the ocean. Science 2015, 347, 768–771. [Google Scholar] [CrossRef]
- Yamashita, R.; Takada, H.; Fukuwaka, M.A.; Watanuki, Y. Physical and chemical effects of ingested plastic debris on short-tailed shearwaters, Puffinus tenuirostris, in the North Pacific Ocean. Mar. Pollut. Bull. 2011, 62, 2845–2849. [Google Scholar] [CrossRef] [Green Version]
- Sighicelli, M.; Pietrelli, L.; Lecce, F.; Iannilli, V.; Falconieri, M.; Coscia, L.; di Vito, S.; Nuglio, S.; Zampetti, G. Microplastic pollution in the surface waters of Italian Subalpine Lakes. Environ. Pollut. 2018, 236, 645–651. [Google Scholar] [CrossRef] [PubMed]
- Liu, X.; Tang, N.; Yang, W.; Chang, J. Microplastics pollution in the soils of various land-use types along Sheshui River basin of Central China. Sci. Total Environ. 2022, 806, 150620. [Google Scholar] [CrossRef]
- Tsering, T.; Sillanpaa, M.; Sillanpaa, M.; Viitala, M.; Reinikainen, S.P. Microplastics pollution in the Brahmaputra River and the Indus River of the Indian Himalaya. Sci. Total Environ. 2021, 789, 147968. [Google Scholar] [CrossRef] [PubMed]
- de Haan, W.P.; Sanchez-Vidal, A.; Canals, M.; Party, N.S.S. Floating microplastics and aggregate formation in the Western Mediterranean Sea. Mar. Pollut. Bull. 2019, 140, 523–535. [Google Scholar] [CrossRef]
- Zhao, J.; Ran, W.; Teng, J.; Liu, Y.; Liu, H.; Yin, X.; Cao, R.; Wang, Q. Microplastic pollution in sediments from the Bohai Sea and the Yellow Sea, China. Sci. Total Environ. 2018, 640–641, 637–645. [Google Scholar] [CrossRef] [PubMed]
- Cozar, A.; Echevarria, F.; Gonzalez-Gordillo, J.I.; Irigoien, X.; Ubeda, B.; Hernandez-Leon, S.; Palma, A.T.; Navarro, S.; Garcia-de-Lomas, J.; Ruiz, A.; et al. Plastic debris in the open ocean. Proc. Natl. Acad. Sci. USA 2014, 111, 10239–10244. [Google Scholar] [CrossRef] [Green Version]
- Steer, M.; Cole, M.; Thompson, R.C.; Lindeque, P.K. Microplastic ingestion in fish larvae in the western English Channel. Environ. Pollut. 2017, 226, 250–259. [Google Scholar] [CrossRef]
- Collard, F.; Gasperi, J.; Gilbert, B.; Eppe, G.; Azimi, S.; Rocher, V.; Tassin, B. Anthropogenic particles in the stomach contents and liver of the freshwater fish Squalius cephalus. Sci. Total Environ. 2018, 643, 1257–1264. [Google Scholar] [CrossRef]
- Digka, N.; Tsangaris, C.; Torre, M.; Anastasopoulou, A.; Zeri, C. Microplastics in mussels and fish from the Northern Ionian Sea. Mar. Pollut. Bull. 2018, 135, 30–40. [Google Scholar] [CrossRef]
- Ossmann, B.E.; Sarau, G.; Holtmannspotter, H.; Pischetsrieder, M.; Christiansen, S.H.; Dicke, W. Small-sized microplastics and pigmented particles in bottled mineral water. Water Res. 2018, 141, 307–316. [Google Scholar] [CrossRef]
- Schymanski, D.; Goldbeck, C.; Humpf, H.U.; Furst, P. Analysis of microplastics in water by micro-Raman spectroscopy: Release of plastic particles from different packaging into mineral water. Water Res. 2018, 129, 154–162. [Google Scholar] [CrossRef] [PubMed]
- Gundogdu, S. Contamination of table salts from Turkey with microplastics. Food Addit. Contam. Part A Chem. Anal. Control Expo. Risk Assess. 2018, 35, 1006–1014. [Google Scholar] [CrossRef] [PubMed]
- Liebezeit, G.; Liebezeit, E. Synthetic particles as contaminants in German beers. Food Addit. Contam. Part A Chem. Anal. Control Expo. Risk Assess. 2014, 31, 1574–1578. [Google Scholar] [CrossRef]
- Prata, J.C.; Paco, A.; Reis, V.; da Costa, J.P.; Fernandes, A.J.S.; da Costa, F.M.; Duarte, A.C.; Rocha-Santos, T. Identification of microplastics in white wines capped with polyethylene stoppers using micro-Raman spectroscopy. Food Chem. 2020, 331, 127323. [Google Scholar] [CrossRef]
- Akhbarizadeh, R.; Dobaradaran, S.; Nabipour, I.; Tajbakhsh, S.; Darabi, A.H.; Spitz, J. Abundance, composition, and potential intake of microplastics in canned fish. Mar. Pollut. Bull. 2020, 160, 111633. [Google Scholar] [CrossRef] [PubMed]
- Kutralam-Muniasamy, G.; Perez-Guevara, F.; Elizalde-Martinez, I.; Shruti, V.C. Branded milks—Are they immune from microplastics contamination? Sci. Total Environ. 2020, 714, 136823. [Google Scholar] [CrossRef] [PubMed]
- Li, Q.; Feng, Z.; Zhang, T.; Ma, C.; Shi, H. Microplastics in the commercial seaweed nori. J. Hazard. Mater. 2020, 388, 122060. [Google Scholar] [CrossRef]
- Cho, Y.M.; Choi, K.H. The current status of studies of human exposure assessment of microplastics and their health effects: A rapid systematic review. Environ. Anal. Health Toxicol. 2021, 36, e2021004. [Google Scholar] [CrossRef]
- Wu, B.; Wu, X.; Liu, S.; Wang, Z.; Chen, L. Size-dependent effects of polystyrene microplastics on cytotoxicity and efflux pump inhibition in human Caco-2cells. Chemosphere 2019, 221, 333–341. [Google Scholar] [CrossRef]
- Hwang, J.; Choi, D.; Han, S.; Choi, J.; Hong, J. An assessment of the toxicity of polypropylene microplastics in human derived cells. Sci. Total Environ. 2019, 684, 657–669. [Google Scholar] [CrossRef]
- Schirinzi, G.F.; Perez-Pomeda, I.; Sanchis, J.; Rossini, C.; Farre, M.; Barcelo, D. Cytotoxic effects of commonly used nanomaterials and microplastics on cerebral and epithelial human cells. Environ. Res. 2017, 159, 579–587. [Google Scholar] [CrossRef] [PubMed]
- Au, S.Y.; Bruce, T.F.; Bridges, W.C.; Klaine, S.J. Responses of Hyalella azteca to acute and chronic microplastic exposures. Environ. Toxicol. Chem. 2015, 34, 2564–2572. [Google Scholar] [CrossRef] [PubMed]
- Yang, H.; Lai, H.; Huang, J.; Sun, L.; Mennigen, J.A.; Wang, Q.; Liu, Y.; Jin, Y.; Tu, W. Polystyrene microplastics decrease F-53B bioaccumulation but induce inflammatory stress in larval zebrafish. Chemosphere 2020, 255, 127040. [Google Scholar] [CrossRef] [PubMed]
- Sussarellu, R.; Suquet, M.; Thomas, Y.; Lambert, C.; Fabioux, C.; Pernet, M.E.; le Goic, N.; Quillien, V.; Mingant, C.; Epelboin, Y.; et al. Oyster reproduction is affected by exposure to polystyrene microplastics. Proc. Natl. Acad. Sci. USA 2016, 113, 2430–2435. [Google Scholar] [CrossRef] [PubMed] [Green Version]
- Li, B.; Ding, Y.; Cheng, X.; Sheng, D.; Xu, Z.; Rong, Q.; Wu, Y.; Zhao, H.; Ji, X.; Zhang, Y. Polyethylene microplastics affect the distribution of gut microbiota and inflammation development in mice. Chemosphere 2020, 244, 125492. [Google Scholar] [CrossRef] [PubMed]
- Jin, H.; Ma, T.; Sha, X.; Liu, Z.; Zhou, Y.; Meng, X.; Chen, Y.; Han, X.; Ding, J. Polystyrene microplastics induced male reproductive toxicity in mice. J. Hazard. Mater. 2021, 401, 123430. [Google Scholar] [CrossRef]
- Hou, B.; Wang, F.; Liu, T.; Wang, Z. Reproductive toxicity of polystyrene microplastics: In vivo experimental study on testicular toxicity in mice. J. Hazard. Mater. 2021, 405, 124028. [Google Scholar] [CrossRef]
- An, R.; Wang, X.; Yang, L.; Zhang, J.; Wang, N.; Xu, F.; Hou, Y.; Zhang, H.; Zhang, L. Polystyrene microplastics cause granulosa cells apoptosis and fibrosis in ovary through oxidative stress in rats. Toxicology 2021, 449, 152665. [Google Scholar] [CrossRef]
- Lu, L.; Wan, Z.; Luo, T.; Fu, Z.; Jin, Y. Polystyrene microplastics induce gut microbiota dysbiosis and hepatic lipid metabolism disorder in mice. Sci. Total Environ. 2018, 631–632, 449–458. [Google Scholar] [CrossRef]
- Deng, Y.; Zhang, Y.; Lemos, B.; Ren, H. Tissue accumulation of microplastics in mice and biomarker responses suggest widespread health risks of exposure. Sci. Rep. 2017, 7, 46687. [Google Scholar] [CrossRef] [Green Version]
- Lee, S.; Kang, K.K.; Sung, S.E.; Choi, J.H.; Sung, M.; Seong, K.Y.; Lee, S.; Yang, S.Y.; Seo, M.S.; Kim, K. Toxicity Study and Quantitative Evaluation of Polyethylene Microplastics in ICR Mice. Polymers 2022, 14, 402. [Google Scholar] [CrossRef]
- Sperati, C.A.; Starkweather, H.W. Fluorine-containing polymers. II. Polytetrafluoroethylene. In Fortschritte Der Hochpolymeren-Forschung; Springer: Berlin/Heidelberg, Germany, 1961. [Google Scholar]
- Sajid, M.; Ilyas, M. PTFE-coated non-stick cookware and toxicity concerns: A perspective. Environ. Sci. Pollut. Res. Int. 2017, 24, 23436–23440. [Google Scholar] [CrossRef] [PubMed]
- Rastogi, V.; Rao, U.; Chaurasia, S.; Sijoy, C.D.; Mishra, V.; Chaturvedi, S.; Deo, M.N. Time-Resolved Vibrational Spectroscopy of Polytetrafluoroethylene Under Laser-Shock Compression. Appl. Spectrosc. 2017, 71, 2643–2652. [Google Scholar] [CrossRef] [PubMed]
- Firsov, S.P.; Zhbankov, G.; Bakhramov, M.; Abdukadyrov, A.M.; Gafurov, A.G. Raman spectra and structure of polytetrafluoroethylene subjected to elastic deformation grinding. J. Appl. Spectrosc. 1993, 59, 644–647. [Google Scholar] [CrossRef]
- Andrady, A.L.; Neal, M.A. Applications and societal benefits of plastics. Philos. Trans. R. Soc. Lond. B Biol. Sci. 2009, 364, 1977–1984. [Google Scholar] [CrossRef] [PubMed]
- Enyoh, C.E.; Verla, A.W.; Verla, E.N.; Ibe, F.C.; Amaobi, C.E. Airborne microplastics: A review study on method for analysis, occurrence, movement and risks. Environ. Monit. Assess. 2019, 191, 668. [Google Scholar] [CrossRef]
- Frias, J.; Nash, R. Microplastics: Finding a consensus on the definition. Mar. Pollut. Bull. 2019, 138, 145–147. [Google Scholar] [CrossRef]
- Chen, Y.; Wu, Y.; Ma, J.; An, Y.; Liu, Q.; Yang, S.; Qu, Y.; Chen, H.; Zhao, W.; Tian, Y. Microplastics pollution in the soil mulched by dust-proof nets: A case study in Beijing, China. Environ. Pollut. 2021, 275, 116600. [Google Scholar] [CrossRef]
- Sruthy, S.; Ramasamy, E.V. Microplastic pollution in Vembanad Lake, Kerala, India: The first report of microplastics in lake and estuarine sediments in India. Environ. Pollut. 2017, 222, 315–322. [Google Scholar] [CrossRef]
- Lenaker, P.L.; Corsi, S.R.; Mason, S.A. Spatial Distribution of Microplastics in Surficial Benthic Sediment of Lake Michigan and Lake Erie. Environ. Sci. Technol. 2021, 55, 373–384. [Google Scholar] [CrossRef]
- Campanale, C.; Stock, F.; Massarelli, C.; Kochleus, C.; Bagnuolo, G.; Reifferscheid, G.; Uricchio, V.F. Microplastics and their possible sources: The example of Ofanto river in southeast Italy. Environ. Pollut. 2020, 258, 113284. [Google Scholar] [CrossRef] [PubMed]
- Park, T.J.; Lee, S.H.; Lee, M.S.; Lee, J.K.; Lee, S.H.; Zoh, K.D. Occurrence of microplastics in the Han River and riverine fish in South Korea. Sci. Total Environ. 2020, 708, 134535. [Google Scholar] [CrossRef] [PubMed]
- Pegado, T.; Brabo, L.; Schmid, K.; Sarti, F.; Gava, T.T.; Nunes, J.; Chelazzi, D.; Cincinelli, A.; Giarrizzo, T. Ingestion of microplastics by Hypanus guttatus stingrays in the Western Atlantic Ocean (Brazilian Amazon Coast). Mar. Pollut. Bull. 2021, 162, 111799. [Google Scholar] [CrossRef] [PubMed]
- Fournier, E.; Etienne-Mesmin, L.; Grootaert, C.; Jelsbak, L.; Syberg, K.; Blanquet-Diot, S.; Mercier-Bonin, M. Microplastics in the human digestive environment: A focus on the potential and challenges facing in vitro gut model development. J. Hazard. Mater. 2021, 415, 125632. [Google Scholar] [CrossRef] [PubMed]
- Kwon, J.H.; Kim, J.W.; Pham, T.D.; Tarafdar, A.; Hong, S.; Chun, S.H.; Lee, S.H.; Kang, D.Y.; Kim, J.Y.; Kim, S.B.; et al. Microplastics in Food: A Review on Analytical Methods and Challenges. Int. J. Environ. Res. Public Health 2020, 17, 6710. [Google Scholar] [CrossRef]
- Tokhun, N.; Somparn, A. Microplastic Contaminations in Buffet Food from Local Markets. Naresuan Univ. J. 2020, 28, 4. [Google Scholar]
- Kosuth, M.; Mason, S.A.; Wattenberg, E.V. Anthropogenic contamination of tap water, beer, and sea salt. PLoS ONE 2018, 13, e0194970. [Google Scholar] [CrossRef]
- Zuccarello, P.; Ferrante, M.; Cristaldi, A.; Copat, C.; Grasso, A.; Sangregorio, D.; Fiore, M.; Conti, G.O. Exposure to microplastics (<10 μm) associated to plastic bottles mineral water consumption: The first quantitative study. Water Res. 2019, 157, 365–371. [Google Scholar] [CrossRef]
- Kanhai, D.K.; Gardfeldt, K.; Krumpen, T.; Thompson, R.C.; O’Connor, I. Microplastics in sea ice and seawater beneath ice floes from the Arctic Ocean. Sci. Rep. 2020, 10, 5004. [Google Scholar] [CrossRef] [Green Version]
- Zhu, X.; Qiang, L.; Shi, H.; Cheng, J. Bioaccumulation of microplastics and its in vivo interactions with trace metals in edible oysters. Mar. Pollut. Bull. 2020, 154, 111079. [Google Scholar] [CrossRef]
- Mak, C.W.; Yeung, K.C.; Chan, K.M. Acute toxic effects of polyethylene microplastic on adult zebrafish. Ecotoxicol. Environ. Saf. 2019, 182, 109442. [Google Scholar] [CrossRef] [PubMed]
- Qiao, R.; Deng, Y.; Zhang, S.; Wolosker, M.B.; Zhu, Q.; Ren, H.; Zhang, Y. Accumulation of different shapes of microplastics initiates intestinal injury and gut microbiota dysbiosis in the gut of zebrafish. Chemosphere 2019, 236, 124334. [Google Scholar] [CrossRef] [PubMed]
- Choi, J.S.; Jung, Y.J.; Hong, N.H.; Hong, S.H.; Park, J.W. Toxicological effects of irregularly shaped and spherical microplastics in a marine teleost, the sheepshead minnow (Cyprinodon variegatus). Mar. Pollut. Bull. 2018, 129, 231–240. [Google Scholar] [CrossRef] [PubMed]
- Uurasjarvi, E.; Paakkonen, M.; Setala, O.; Koistinen, A.; Lehtiniemi, M. Microplastics accumulate to thin layers in the stratified Baltic Sea. Environ. Pollut. 2021, 268, 115700. [Google Scholar] [CrossRef]
- Carr, K.E.; Smyth, S.H.; McCullough, M.T.; Morris, J.F.; Moyes, S.M. Morphological aspects of interactions between microparticles and mammalian cells: Intestinal uptake and onward movement. Prog. Histochem. Cytochem. 2012, 46, 185–252. [Google Scholar] [CrossRef]
- Nava, V.; Frezzotti, M.L.; Leoni, B. Raman spectroscopy for the analysis of microplastics in aquatic systems. Appl. Spectrosc. 2021, 75, 1341–1357. [Google Scholar] [CrossRef]






| a. Approximately 5 μm, Male, Serum Biochemistry Parameters | ||||||||
| Group/ Dose (mg/kg/Day) | Sodium (mmol/L) | Potassium (mmol/L) | Chloride (mmol/L) | Total Protein (g/dL) | Albumin (g/dL) | Blood Urea Nitrogen (mg/dL) | Creatinine (mg/dL) | Glucose (mg/dL) |
| G1 0 | 150.3 ± 1.9 | 7.6 ± 2.0 | 113.0 ± 2.7 | 5.0 ± 0.3 | 3.1 ± 0.3 | 22.4 ± 4.4 | 0.2 ± 0.0 | 93.0 ± 28.9 |
| G2 500 | 149.7 ± 1.7 | 7.7 ± 1.8 | 114.8 ± 3.3 | 5.1 ± 0.1 | 3.3 ± 0.1 | 19.2 ± 4.7 | 0.2 ± 0.0 | 90.1 ± 22.1 |
| G3 1000 | 151.7 ± 0.7 | 7.3 ± 1.1 | 114.7 ± 1.1 | 5.2 ± 0.2 | 3.2 ± 0.2 | 22.6 ± 4.9 | 0.2 ± 0.0 | 78.6 ± 15.6 |
| G4 2000 | 150.7 ± 2.7 | 6.9 ± 1.0 | 113.9 ± 4.3 | 5.3 ± 0.2 * | 3.3 ± 0.1 | 23.1 ± 6.7 | 0.2 ± 0.0 | 93.5 ± 51.1 |
| Group/ Dose (mg/kg/Day) | Total Bilirubin (mg/dL) | Calcium (mg/dL) | Phosphate (mg/dL) | Total Cholesterol (mg/dL) | Triglyceride (mg/dL) | Aspartate Aminotransferase (U/L) | Alanine Aminotransferase (U/L) | Alkaline Phosphatase (U/L) |
| G1 0 | 0.1 ± 0.0 | 8.9 ± 0.4 | 7.9 ± 1.1 | 137.2 ± 23.0 | 167.9 ± 53.6 | 69.4 ± 28.2 | 23.9 ± 6.5 | 248.6 ± 92.5 |
| G2 500 | 0.1 ± 0.0 | 8.9 ± 0.3 | 7.1 ± 1.3 | 139.9 ± 20.6 | 136.6 ± 40.1 | 71.8 ± 35.6 | 27.1 ± 8.6 | 222.6 ± 90.3 |
| G3 1000 | 0.1 ± 0.0 | 9.0 ± 0.2 | 7.8 ± 0.9 | 152.7 ± 23.7 | 140.5 ± 45.5 | 64.8 ± 9.8 | 22.9 ± 3.2 | 191.6 ± 65.8 |
| G4 2000 | 0.1 ± 0.1 | 9.2 ± 0.5 | 7.5 ± 0.8 | 150.8 ± 26.1 | 140.7 ± 47.6 | 81.9 ± 53.9 | 30.4 ± 11.0 | 223.0 ± 72.4 |
| b. Approximately 5 μm, Female, Serum Biochemistry Parameters | ||||||||
| Group/ Dose (mg/kg/Day) | Sodium (mmol/L) | Potassium (mmol/L) | Chloride (mmol/L) | Total Protein (g/dL) | Albumin (g/dL) | Blood Urea Nitrogen (mg/dL) | Creatinine (mg/dL) | Glucose (mg/dL) |
| G1 0 | 148.7 ± 1.4 | 6.4 ± 1.2 | 112.7 ± 1.4 | 5.1 ± 0.2 | 3.6 ± 0.1 | 17.7 ± 2.2 | 0.2 ± 0.0 | 85.1 ± 21.9 |
| G2 500 | 150.3 ± 1.3 * | 6.4 ± 0.7 * | 114.4 ± 1.7 | 5.0 ± 0.2 | 3.6 ± 0.2 | 18.0 ± 3.4 | 0.2 ± 0.0 | 76.8 ± 21.5 |
| G3 1000 | 151.6 ± 1.3 *** | 6.5 ± 1.3 * | 115.3 ± 3.0 | 5.0 ± 0.2 | 3.6 ± 0.2 | 19.2 ± 2.1 | 0.2 ± 0.0 | 74.5 ± 17.6 |
| G4 2000 | 153.1 ± 1.5 *** | 6.3 ± 0.5 *** | 116.2 ± 1.6 | 5.1 ± 0.2 | 3.5 ± 0.1 | 18.4 ± 1.7 | 0.2 ± 0.0 | 91.2 ± 21.0 |
| Group/ Dose (mg/kg/Day) | Total Bilirubin (mg/dL) | Calcium (mg/dL) | Phosphate (mg/dL) | Total Cholesterol (mg/dL) | Triglyceride (mg/dL) | Aspartate Aminotransferase (U/L) | Alanine Aminotransferase (U/L) | Alkaline Phosphatase (U/L) |
| G1 0 | 0.0 ± 0.0 | 9.1 ± 0.3 | 7.4 ± 1.0 | 113.0 ± 19.0 | 97.9 ± 27.5 | 88.0 ± 42.6 | 22.8 ± 5.0 | 291.1 ± 84.1 |
| G2 500 | 0.0 ± 0.0 | 9.1 ± 0.3 | 7.6 ± 0.8 | 100.8 ± 15.7 | 101.7 ± 38.3 | 91.4 ± 37.6 | 22.6 ± 4.3 | 604.4 ± 78.3 |
| G3 1000 | 0.0 ± 0.0 | 9.2 ± 0.4 | 7.5 ± 1.0 | 106.5 ± 21.1 | 70.5 ± 22.6 * | 106.8 ± 43.1 | 24.5 ± 4.5 | 295.7 ± 78.2 |
| G4 2000 | 0.0 ± 0.0 | 9.1 ± 0.2 | 7.8 ± 0.8 | 120.7 ± 21.7 | 108.5 ± 30.9 | 93.5 ± 39.8 | 24.5 ± 5.9 | 329.7 ± 99.8 |
| c. Approximately 5 μm, Male, Hematology Parameters | ||||||||
| Group/ Dose (mg/kg/Day) | White blood cell (×103 cells/uL) | Red blood cell (×106 cells/uL) | Hemoglobin (g/dL) | Hematocrit (%) | Mean Corpuscular Volume (fL) | Mean Corpuscular Hemoglobin (pg) | Mean Corpuscular Hemoglobin Concentration (g/dL) | Red Cell Distribution Width (%) |
| G1 0 | 3.52 ± 1.58 | 9.23 ± 1.27 | 14.5 ± 1.7 | 46.6 ± 6.0 | 50.5 ± 0.4 | 15.7 ± 0.3 | 31.1 ± 0.6 | 12.5 ± 0.3 |
| G2 500 | 3.41 ± 0.65 | 9.25 ± 0.23 | 13.8 ± 0.1 | 45.0 ± 0.3 | 48.7 ± 1.5 | 15.0 ± 0.3 | 30.7 ± 0.4 | 12.3 ± 0.5 |
| G3 1000 | 4.25 ± 1.23 | 9.03 ± 0.17 | 14.0 ± 0.4 | 45.4 ± 1.0 | 50.2 ± 0.3 | 15.5 ± 0.2 | 30.8 ± 0.4 | 13.5 ± 0.4 |
| G4 2000 | 4.90 ± 0.98 | 8.74 ± 0.17 | 13.4 ± 0.4 | 43.1 ± 1.0 | 49.6 ± 1.0 | 15.4 ± 0.5 | 31.0 ± 0.6 | 12.5 ± 0.4 |
| Group/ Dose (mg/kg/Day) | Hemoglobin Distribution Width (g/dL) | Platelet (×103 cells/uL) | Mean Platelet Volume (fL) | Neutrophil (%) | Lymphocyte (%) | Monocyte (%) | Eosinophil (%) | Basophil (%) |
| G1 0 | 2.35 ± 0.14 | 844 ± 62 | 5.3 ± 0.2 | 26.5 ± 1.7 | 39.5 ± 9.3 | 3.4 ± 0.9 | 30.2 ± 7.0 | 0.2 ± 0.1 |
| G2 500 | 2.32 ± 0.06 * | 1042 ± 60 | 4.9 ± 0.1 | 21.7 ± 6.6 | 60.2 ± 10.3 | 2.9 ± 1.9 | 14.9 ± 16.3 | 0.1 ± 0.1 |
| G3 1000 | 2.44 ± 0.21 | 1150 ± 229 | 4.7 ± 0.3 | 28.7 ± 3.3 | 60.9 ± 3.4 | 3.1 ± 1.0 | 6.8 ± 3.1 | 0.1 ± 0.0 |
| G4 2000 | 2.34 ± 0.12 | 1146 ± 91 | 4.8 ± 0.4 | 18.9 ± 4.4 | 67.0 ± 3.9 | 1.7 ± 0.5 | 11.8 ± 8.5 | 0.1 ± 0.0 |
| Group/ Dose (mg/kg/Day) | Neutrophil (×103 cells/uL) | Lymphocyte (×103 cells/uL) | Monocyte (×103 cells/uL) | Eosinophil (×103 cells/uL) | Basophil (×103 cells/uL) | Reticulocyte (×109 cells/L) | Reticulocyte (%) | |
| G1 0 | 0.92 ± 0.40 | 1.46 ± 0.84 | 0.11 ± 0.04 | 1.00 ± 0.39 | 0.01 ± 0.01 | 427.3 ± 75.7 | 4.61 ± 0.18 | |
| G2 500 | 0.91 ± 0.09 | 2.58 ± 0.43 | 0.13 ± 0.07 | 0.81 ± 1.06 | 0.00 ± 0.01 | 312.2 ± 56.5 * | 3.37 ± 0.58 * | |
| G3 1000 | 1.35 ± 0.29 | 2.93 ± 0.90 | 0.15 ± 0.05 | 0.35 ± 0.25 | 0.01 ± 0.01 | 388.4 ± 53.7 | 4.30 ± 0.52 | |
| G4 2000 | 1.02 ± 0.25 | 3.60 ± 0.38 | 0.10 ± 0.04 | 0.63 ± 0.43 | 0.01 ± 0.00 | 332.6 ± 46.2 | 3.81 ± 0.61 | |
| d. Approximately 5 μm, Female, Hematology Parameters | ||||||||
| Group/ Dose (mg/kg/Day) | White Blood Cell (×103 cells/uL) | Red Blood Cell (×106 cells/uL) | Hemoglobin (g/dL) | Hematocrit (%) | Mean Corpuscular Volume (fL) | Mean Corpuscular Hemoglobin (pg) | Mean Corpuscular Hemoglobin Concentration (g/dL) | Red Cell Distribution Width (%) |
| G1 0 | 5.31 ± 2.22 | 9.47 ± 0.27 | 15.1 ± 0.3 | 47.5 ± 1.5 | 50.1 ± 0.5 | 15.9 ± 0.2 | 31.7 ± 0.7 | 13.3 ± 0.7 |
| G2 500 | 3.75 ± 0.97 | 9.26 ± 0.22 | 14.5 ± 0.3 | 46.3 ± 0.7 | 50.0 ± 0.9 | 15.7 ± 0.5 | 31.4 ± 0.6 | 12.8 ± 0.8 |
| G3 1000 | 7.42 ± 3.21 | 9.17 ± 0.23 | 14.5 ± 0.7 | 45.5 ± 1.9 | 49.7 ± 1.0 | 15.8 ± 0.3 | 31.8 ± 0.5 | 13.2 ± 0.4 |
| G4 2000 | 5.18 ± 2.70 | 9.53 ± 0.35 | 14.9 ± 0.4 | 46.9 ± 1.4 | 49.2 ± 1.1 | 15.7 ± 0.7 | 31.8 ± 0.8 | 13.1 ± 0.2 |
| Group/ Dose (mg/kg/Day) | Hemoglobin Distribution Width (g/dL) | Platelet (×103 Cells/uL) | Mean Platelet Volume (fL) | Neutrophil (%) | Lymphocyte (%) | Monocyte (%) | Eosinophil (%) | Basophil (%) |
| G1 0 | 2.41 ± 0.12 | 872 ± 186 | 5.1 ± 0.3 | 15.6 ± 3.5 | 71.2 ± 8.6 | 1.9 ± 0.6 | 10.9 ± 6.5 | 0.1 ± 0.1 |
| G2 500 | 2.37 ± 0.10 | 968 ± 35 | 5.0 ± 0.2 | 14.9 ± 2.5 | 73.7 ± 3.4 | 1.6 ± 0.3 | 9.2 ± 5.2 | 0.1 ± 0.1 * |
| G3 1000 | 2.55 ± 0.13 | 903 ± 94 | 5.3 ± 0.6 | 21.6 ± 3.1 | 64.1 ± 10.0 * | 2.2 ± 0.5 | 11.4 ± 8.1 | 0.1 ± 0.1 |
| G4 2000 | 2.49 ± 0.08 | 849 ± 102 | 5.7 ± 0.2 | 18.0 ± 2.7 ** | 64.0 ± 9.9 | 1.1 ± 0.5 | 16.3 ± 8.2 | 0.3 ± 0.1 |
| Group/ Dose (mg/kg/Day) | Neutrophil (×103 Cells/uL) | Lymphocyte (×103 cells/uL) | Monocyte (×103 Cells/uL) | Eosinophil (×103 Cells/uL) | Basophil (×103 Cells/uL) | Reticulocyte (×109 Cells/L) | Reticulocyte (%) | |
| G1 0 | 0.96 ± 0.21 | 4.72 ± 2.31 | 0.13 ± 0.07 | 0.71 ± 0.45 | 0.01 ± 0.01 | 371.2 ± 82.3 | 3.91 ± 0.77 | |
| G2 500 | 0.64 ± 0.16 | 3.23 ± 0.95 | 0.07 ± 0.02 | 0.40 ± 0.20 | 0.01 ± 0.01 | 424.0 ± 20.6 | 4.58 ± 0.26 | |
| G3 1000 | 1.75 ± 0.25 | 5.42 ± 2.20 | 0.19 ± 0.10 | 0.88 ± 0.51 | 0.01 ± 0.01 | 350.8 ± 21.7 | 3.83 ± 0.27 | |
| G4 2000 | 1.13 ± 0.57 | 4.13 ± 2.25 | 0.07 ± 0.06 | 0.93 ± 0.58 | 0.02 ± 0.01 | 316.7 ± 26.2 | 3.32 ± 0.19 | |
| e. 10–50 μm, Male, Serum Biochemistry Parameters | ||||||||
| Group/ Dose (mg/kg/Day) | Sodium (mmol/L) | Potassium (mmol/L) | Chloride (mmol/L) | Total Protein (g/dL) | Albumin (g/dL) | Blood Urea Nitrogen (mg/dL) | Creatinine (mg/dL) | Glucose (mg/dL) |
| G1 0 | 148.0 ± 1.1 | 7.8 ± 1.0 | 111.2 ± 2.1 | 5.1 ± 0.3 | 3.2 ± 0.2 | 23.2 ± 2.9 | 0.2 ± 0.0 | 119.4 ± 41.0 |
| G2 500 | 148.4 ± 1.2 | 7.3 ± 1.8 | 112.3 ± 2.1 | 5.3 ± 0.2 | 3.4 ± 0.2 | 21.8 ± 2.4 | 0.2 ± 0.0 | 178.9 ± 36.8 |
| G3 1000 | 149.2 ± 1.1 | 7.8 ± 1.2 | 113.5 ± 1.3 | 5.1 ± 0.2 | 3.1 ± 0.2 | 19.7 ± 3.7 | 0.2 ± 0.0 | 159.8 ± 49.5 |
| G4 2000 | 150.7 ± 1.6 | 7.3 ± 0.9 | 112.9 ± 1.8 | 5.2 ± 0.2 | 3.3 ± 0.2 | 26.1 ± 5.7 | 0.2 ± 0.0 | 123.7 ± 36.5 |
| Group/ Dose (mg/kg/Day) | Total Bilirubin (mg/dL) | Calcium (mg/dL) | Phosphate (mg/dL) | Total Cholesterol (mg/dL) | Triglyceride (mg/dL) | Aspartate Aminotransferase (U/L) | Alanine Aminotransferase (U/L) | Alkaline Phosphatase (U/L) |
| G1 0 | 0.1 ± 0.0 | 8.5 ± 0.3 | 8.5 ± 1.1 | 158.8 ± 24.2 | 117.5 ± 26.9 | 81.9 ± 46.1 | 26.6 ± 8.9 | 188.5 ± 63.4 |
| G2 500 | 0.1 ± 0.0 | 8.6 ± 0.3 | 7.1 ± 1.5 | 151.5 ± 18.7 | 125.5 ± 51.5 | 64.4 ± 19.6 | 28.0 ± 12.5 | 235.6 ± 86.4 |
| G3 1000 | 0.1 ± 0.0 | 8.5 ± 0.2 | 7.5 ± 1.3 | 146.4 ± 23.0 | 127.2 ± 78.5 | 63.3 ± 31.5 | 21.3 ± 5.4 | 152.1 ± 53.1 |
| G4 2000 | 0.1 ± 0.1 | 8.6 ± 0.3 | 7.8 ± 1.2 | 155.0 ± 19.8 | 108.5 ± 26.5 | 78.2 ± 24.9 | 39.3 ± 30.8 | 200.2 ± 72.5 |
| f. 10–50 μm, Female, Serum Biochemistry Parameters | ||||||||
| Group/ Dose (mg/kg/Day) | Sodium (mmol/L) | Potassium (mmol/L) | Chloride (mmol/L) | Total Protein (g/dL) | Albumin (g/dL) | Blood Urea Nitrogen (mg/dL) | Creatinine (mg/dL) | Glucose (mg/dL) |
| G1 0 | 151.8 ± 3.4 | 6.3 ± 0.9 | 114.1 ± 2.9 | 5.0 ± 0.3 | 3.6 ± 0.2 | 18.7 ± 1.9 | 0.2 ± 0.0 | 115.6 ± 34.8 |
| G2 500 | 155.9 ± 3.7 * | 6.5 ± 0.6 | 117.9 ± 4.5 * | 5.0 ± 0.3 | 3.5 ± 0.2 | 16.1 ± 4.3 | 0.2 ± 0.0 | 147.4 ± 57.4 |
| G3 1000 | 159.1 ± 5.0 ** | 7.2 ± 1.9 | 120.5 ± 3.3 *** | 5.1 ± 0.3 | 3.7 ± 0.2 | 19.5 ± 3.3 | 0.2 ± 0.0 | 141.0 ± 48.4 |
| G4 2000 | 152.2 ± 2.7 | 7.5 ± 2.0 | 117.1 ± 2.3 * | 5.2 ± 0.4 | 3.6 ± 0.2 | 14.7 ± 3.2 ** | 0.2 ± 0.0 | 172.8 ± 30.5 ** |
| Group/ Dose (mg/kg/Day) | Total Bilirubin (mg/dL) | Calcium (mg/dL) | Phosphate (mg/dL) | Total Cholesterol (mg/dL) | Triglyceride (mg/dL) | Aspartate Aminotransferase (U/L) | Alanine Aminotransferase (U/L) | Alkaline Phosphatase (U/L) |
| G1 0 | 0.0 ± 0.0 | 9.4 ± 0.4 | 7.9 ± 1.2 | 105.4 ± 25.6 | 50.2 ± 14.6 | 82.1 ± 79.1 | 45.6 ± 69.4 | 301.6 ± 111.1 |
| G2 500 | 0.0 ± 0.0 | 9.7 ± 0.3 | 7.9 ± 0.8 | 113.8 ± 25.6 | 55.8 ± 19.3 | 53.8 ± 6.3 | 23.4 ± 12.8 | 262.4 ± 35.0 |
| G3 1000 | 0.0 ± 0.0 | 10.0 ± 0.5 * | 8.1 ± 1.4 | 114.6 ± 18.1 | 62.4 ± 27.0 | 54.2 ± 7.8 | 22.4 ± 8.6 | 333.0 ± 88.1 |
| G4 2000 | 0.0 ± 0.0 | 9.5 ± 0.4 | 8.4 ± 1.1 | 95.6 ± 25.3 | 34.4 ± 20.4 | 113.6 ± 115.1 | 24.6 ± 12.3 | 261.4 ± 55.2 |
| g. 10–50 μm, Male, Hematology Parameters | ||||||||
| Group/ Dose (mg/kg/Day) | White Blood Cell (×103 cells/uL) | Red Blood Cell (×106 cells/uL) | Hemoglobin (g/dL) | Hematocrit (%) | Mean Corpuscular Volume (fL) | Mean Corpuscular Hemoglobin (pg) | Mean Corpuscular Hemoglobin Concentration (g/dL) | Red Cell Distribution Width (%) |
| G1 0 | 5.50 ± 1.88 | 9.25 ± 0.58 | 14.4 ± 0.9 | 47.0 ± 3.2 | 50.8 ± 1.33 | 15.6 ± 0.3 | 30.7 ± 0.2 | 12.9 ± 0.7 |
| G2 500 | 5.75 ± 0.94 | 8.93 ± 0.09 | 13..8 ± 0.3 | 44.4 ± 1.0 | 49.7 ± 1.4 | 15.4 ± 0.4 | 31.0 ± 0.7 | 12.9 ± 0.2 |
| G3 1000 | 6.30 ± 2.32 | 8.90 ± 0.49 | 13.6 ± 0.4 * | 44.0 ± 1.5 | 49.4 ± 1.1 | 15.3 ± 0.4 | 31.0 ± 0.4 | 12.9 ± 0.6 |
| G4 2000 | 4.68 ± 0.59 | 8.36 ± 1.10 | 13.3 ± 1.1 | 42.3 ± 3.9 | 50.8 ± 2.0 | 16.0 ± 0.9 | 31.4 ± 0.6 | 12.8 ± 0.1 |
| Group/ Dose (mg/kg/Day) | Hemoglobin Distribution Width (g/dL) | Platelet (×103 Cells/uL) | Mean Platelet Volume (fL) | Neutrophil (%) | Lymphocyte (%) | Monocyte (%) | Eosinophil (%) | Basophil (%) |
| G1 0 | 2.47 ± 0.21 | 1047 ± 86 | 5.1 ± 0.3 | 17.4 ± 3.1 | 66.6 ± 4.7 | 3.4 ± 0.3 | 12.0 ± 5.6 | 0.2 ± 0.2 |
| G2 500 | 2.34 ± 0.12 | 983 ± 54 | 4.9 ± 0.7 | 21.2 ± 6.6 | 65.3 ± 6.6 | 3.6 ± 1.2 | 9.4 ± 8.9 | 0.2 ± 0.2 |
| G3 1000 | 2.43 ± 0.06 | 1080 ± 232 | 4.9 ± 0.3 | 17.1 ± 4.3 | 70.4 ± 3.4 | 2.2 ± 1.0 | 9.8 ± 2.5 | 0.1 ± 0.0 |
| G4 2000 | 2.39 ± 0.15 | 1101 ± 167 | 4.9 ± 0.2 | 40.8 ± 36.4 | 41.5 ± 35.4 | 2.5 ± 1.0 | 14.9 ± 9.3 | 0.1 ± 0.0 |
| Group/ Dose (mg/kg/Day) | Neutrophil (×103 Cells/uL) | Lymphocyte (×103 Cells/uL) | Monocyte (×103 Cells/uL) | Eosinophil (×103 Cells/uL) | Basophil (×103 Cells/uL) | Reticulocyte (×109 Cells/L) | Reticulocyte (%) | |
| G1 0 | 4.33 ± 1.69 | 0.22 ± 0.06 | 0.69 ± 0.16 | 0.03 ± 0.01 | 0.01 ± 0.01 | 364.7 ± 78.9 | 3.92 ± 0.62 | |
| G2 500 | 1.48 ± 0.35 | 4.65 ± 1.04 | 0.26 ± 0.11 | 0.66 ± 0.59 | 0.02 ± 0.01 | 326.9 ± 59.5 | 3.66 ± 0.70 | |
| G3 1000 | 1.26 ± 0.31 | 5.52 ± 2.35 | 0.16 ± 0.07 | 0.81 ± 0.51 | 0.01 ± 0.00 | 333.6 ± 18.7 | 3.75 ± 0.28 | |
| G4 2000 | 1.85 ± 1.55 | 2.06 ± 1.90 | 0.12 ± 0.07 | 0.67 ± 0.36 | 0.00 ± 0.01 | 355.9 ± 26.9 | 4.33 ± 0.86 | |
| h. 10–50μm, Female, Hematology Parameters | ||||||||
| Group/ Dose (mg/kg/Day) | White Blood Cell (×103 Cells/uL) | Red Blood Cell (×106 cells/uL) | Hemoglobin (g/dL) | Hematocrit (%) | Mean Corpuscular Volume (fL) | Mean Corpuscular Hemoglobin (pg) | Mean Corpuscular Hemoglobin Concentration (g/dL) | Red Cell Distribution Width (%) |
| G1 0 | 4.95 ± 2.22 | 9.50 ± 0.66 | 15.1 ± 0.2 | 47.5 ± 0.7 | 50.1 ± 2.7 | 15.9 ± 0.9 | 31.8 ± 0.1 | 12.8 ± 1.0 |
| G2 500 | 7.77 ± 2.80 | 9.50 ± 0.90 | 14.8 ± 1.1 * | 47.2 ± 3.3 * | 49.8 ± 2.2 | 15.5 ± 0.5 | 31.2 ± 0.3 | 12.7 ± 0.6 |
| G3 1000 | 5.61 ± 0.64 | 9.04 ± 0.60 | 14.2 ± 0.9 | 45.6 ± 3.0 | 50.4 ± 0.9 | 15.7 ± 0.1 | 31.1 ± 0.5 | 13.6 ± 2.4 |
| G4 2000 | 3.49 ± 1.89 | 9.91 ± 0.60 | 15.6 ± 0.7 | 49.8 ± 2.6 | 50.2 ± 1.0 | 15.7 ± 0.3 | 31.4 ± 0.5 | 12.5 ± 0.2 |
| Group/ Dose (mg/kg/Day) | Hemoglobin Distribution Width (g/dL) | Platelet (×103 Cells/uL) | Mean Platelet Volume (fL) | Neutrophil (%) | Lymphocyte (%) | Monocyte (%) | Eosinophil (%) | Basophil (%) |
| G1 0 | 2.34 ± 0.02 | 915 ± 12 | 5.0 ± 0.2 | 15.2 ± 3.2 | 67.5 ± 9.6 | 1.8 ± 0.4 | 15.1 ± 8.4 | 0.1 ± 0.0 |
| G2 500 | 2.29 ± 0.11 | 942 ± 78 | 5.1 ± 0.3 | 18.3 ± 4.0 | 68.9 ± 3.1 | 1.5 ± 0.9 | 10.7 ± 6.4 | 0.2 ± 0.1 |
| G3 1000 | 2.45 ± 0.38 | 977 ± 193 | 4.9 ± 0.5 | 16.3 ± 2.8 | 74.5 ± 2.0 | 1.4 ± 0.3 | 7.1 ± 3.4 | 0.1 ± 0.0 |
| G4 2000 | 2.29 ± 0.10 | 939 ± 212 | 5.2 ± 0.5 | 17.4 ± 3.2 | 69.2 ± 13.0 | 1.3 ± 0.4 | 11.5 ± 10.3 | 0.1 ± 0.1 |
| Group/ Dose (mg/kg/Day) | Neutrophil (×103 Cells/uL) | Lymphocyte (×103 Cells/uL) | Monocyte (×103 Cells/uL) | Eosinophil (×103 Cells/uL) | Basophil (×103 Cells/uL) | Reticulocyte (×109 Cells/L) | Reticulocyte (%) | |
| G1 0 | 0.80 ± 0.39 | 3.75 ± 2.27 | 0.09 ± 0.04 | 0.65 ± 0.10 | 0.00 ± 0.01 | 396.3 ± 132.9 | 4.21 ± 1.58 | |
| G2 500 | 1.57 ± 0.74 | 5.75 ± 1.99 | 0.12 ± 0.04 | 0.78 ± 0.22 | 0.01 ± 0.01 | 425.9 ± 153.7 | 4.49 ± 1.48 | |
| G3 1000 | 1.05 ± 0.29 | 4.78 ± 0.81 | 0.09 ± 0.01 | 0.44 ± 0.16 | 0.01 ± 0.01 | 508.2 ± 397.6 | 5.82 ± 4.89 | |
| G4 2000 | 0.79 ± 0.42 | 3.08 ± 1.82 | 0.06 ± 0.04 | 0.54 ± 0.50 | 0.01 ± 0.01 | 325.0 ± 34.2 | 3.29 ± 0.42 | |
Publisher’s Note: MDPI stays neutral with regard to jurisdictional claims in published maps and institutional affiliations. |
© 2022 by the authors. Licensee MDPI, Basel, Switzerland. This article is an open access article distributed under the terms and conditions of the Creative Commons Attribution (CC BY) license (https://creativecommons.org/licenses/by/4.0/).
Share and Cite
Lee, S.; Kang, K.-K.; Sung, S.-E.; Choi, J.-H.; Sung, M.; Seong, K.-Y.; Lee, J.; Kang, S.; Yang, S.Y.; Lee, S.; et al. In Vivo Toxicity and Pharmacokinetics of Polytetrafluoroethylene Microplastics in ICR Mice. Polymers 2022, 14, 2220. https://doi.org/10.3390/polym14112220
Lee S, Kang K-K, Sung S-E, Choi J-H, Sung M, Seong K-Y, Lee J, Kang S, Yang SY, Lee S, et al. In Vivo Toxicity and Pharmacokinetics of Polytetrafluoroethylene Microplastics in ICR Mice. Polymers. 2022; 14(11):2220. https://doi.org/10.3390/polym14112220
Chicago/Turabian StyleLee, Sijoon, Kyung-Ku Kang, Soo-Eun Sung, Joo-Hee Choi, Minkyoung Sung, Keum-Yong Seong, Jian Lee, Subin Kang, Seong Yun Yang, Sunjong Lee, and et al. 2022. "In Vivo Toxicity and Pharmacokinetics of Polytetrafluoroethylene Microplastics in ICR Mice" Polymers 14, no. 11: 2220. https://doi.org/10.3390/polym14112220
APA StyleLee, S., Kang, K.-K., Sung, S.-E., Choi, J.-H., Sung, M., Seong, K.-Y., Lee, J., Kang, S., Yang, S. Y., Lee, S., Lee, K.-R., Seo, M.-S., & Kim, K. (2022). In Vivo Toxicity and Pharmacokinetics of Polytetrafluoroethylene Microplastics in ICR Mice. Polymers, 14(11), 2220. https://doi.org/10.3390/polym14112220

