Conversion of Pectin-Containing By-Products to Pectinases by Bacillus amyloliquefaciens and Its Applications on Hydrolyzing Banana Peels for Prebiotics Production
Abstract
1. Introduction
2. Materials and Methods
2.1. Materials
2.2. Screening, Selection, and Identification of the Pectinase-Producing Bacterium
2.3. Pectinase Assay
2.4. By-Products of Agriculture Processing as the Sole C/N Source for Pectinase Production
2.5. Enzyme Purification
2.6. Sodium Dodecyl Sulfate-Polyacrylamide Gel Electrophoresis (SDS-PAGE) Analysis
2.7. Effect of pH and Temperature
2.8. Substrate Specificity
2.9. Effect of Metal Ions, Inhibitors, and Surfactants
2.10. Growth Enhancing Effect of BPP Oligosaccharides on Lactic Acid Bacteria Test
3. Results and Discussion
3.1. Screening and Identification of Strain TKU050
3.2. Effect of the Carbon (C) Source on Pectinase Production
3.3. Optimization of Culture Conditions for Pectinase Production
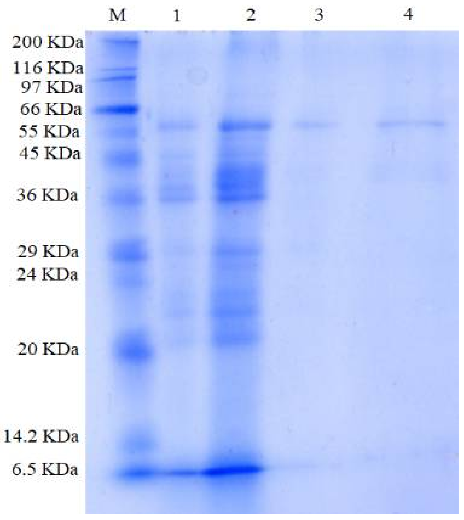
3.4. Purification of the Pectinase
3.5. Properties of TKU050 Pectinase
3.5.1. Effects of Temperature and pH
3.5.2. Effects of Divalent Metal Ions, EDTA, and Surfactants
3.5.3. Substrate Specificity
3.6. Evaluation of the Growth Enhancing Effect of BPP Hydrolysates on Lactic Acid Bacteria
4. Conclusions
Author Contributions
Funding
Institutional Review Board Statement
Informed Consent Statement
Data Availability Statement
Conflicts of Interest
References
- Amid, M.; Manap, Y.; Zohdi, K. Purification and characterisation of thermo-alkaline pectinase enzyme from Hylocereus polyrhizus. Eur. Food Res. Technol. 2014, 239, 21–29. [Google Scholar] [CrossRef]
- Kc, S.; Upadhyaya, J.; Joshi, D.R.; Lekhak, B.; Chaudhary, D.K.; Pant, B.R.; Bajgai, T.R.; Dhital, R.; Khanal, S.; Koirala, N.; et al. Production, Characterization, and Industrial Application of Pectinase Enzyme Isolated from Fungal Strains. Fermentation 2020, 6, 59. [Google Scholar] [CrossRef]
- Zdunek, A.; Pieczywek, P.M.; Cybulska, J. The primary, secondary, and structures of higher levels of pectin polysaccharides. Compr. Rev. Food Sci. Food Saf. 2021, 20, 1101–1117. [Google Scholar] [CrossRef] [PubMed]
- Saharan, R.; Sharma, K.P. Production, purification and characterization of pectin lyase from Bacillus subtilis isolated from moong beans leaves (Vigna radiata). Biocatal. Agric. Biotechnol. 2019, 21, 101306. [Google Scholar] [CrossRef]
- Dranca, F.; Oroian, M. Optimization of pectin enzymatic extraction from Malus domestica ‘Falticeni’ apple pomace with celluclast 1.5L. Molecules 2019, 24, 2518. [Google Scholar] [CrossRef]
- Abdollahzadeh, R.; Pazhang, M.; Najavand, S.; Fallahzadeh-Mamaghani, V.; Amani-Ghadim, A.R. Screening of pectinase-producing bacteria from farmlands and optimization of enzyme production from selected strain by RSM. Folia Microbiol. 2020, 65, 705–719. [Google Scholar] [CrossRef]
- Thite, V.S.; Nerurkar, A.S.; Baxi, N.N. Optimization of concurrent production of xylanolytic and pectinolytic enzymes by Bacillus safensis M35 and Bacillus altitudinis J208 using agro-industrial biomass through Response Surface Methodology. Sci. Rep. 2020, 10, 1–12. [Google Scholar] [CrossRef]
- Katileviciute, A.; Plakys, G.; Budreviciute, A.; Onder, K.; Damiati, S.; Kodzius, R. A Sight to Wheat Bran: High Value-Added Products. Biomolecules 2019, 9, 887. [Google Scholar] [CrossRef]
- Patidar, M.K.; Nighojkar, S.; Kumar, A.; Nighojkar, A. Pectinolytic enzymes-solid state fermentation, assay methods and applications in fruit juice industries: A review. 3 Biotech 2018, 8, 199. [Google Scholar] [CrossRef]
- Botella, C.; Diaz, A.; Ory, I.; Webb, C.; Blandino, A. Xylanase and pectinase production by Aspegillus awamori on grape pomace in solid state fermentation. Process Biochem. 2007, 42, 98–101. [Google Scholar] [CrossRef]
- Sethi, B.K.; Nanda, P.K.; Sahoo, S. Enhanced production of pectinase by Aspergillus terreus NCFT 4269.10 using banana peels as substrate. 3 Biotech 2016, 6, 1–15. [Google Scholar] [CrossRef]
- Zhang, G.; Li, S.; Xu, Y.; Wang, J.; Wang, F.; Xin, Y.; Shen, Z.; Zhang, H.; Ma, M.; Liu, H. Production of alkaline pectinase: A case study investigating the use of tobacco stalk with the newly isolated strain Bacillus tequilensis CAS-MEI-2-33. BMC Biotechnol. 2019, 19, 1–11. [Google Scholar] [CrossRef]
- Claus, H.; Mojsov, K. Enzymes for Wine Fermentation: Current and Perspective Applications. Fermentation 2018, 4, 52. [Google Scholar] [CrossRef]
- Mahmoodi, M.; Najafpour, G.D.; Mohammadi, M. Production of pectinases for quality apple juice through fermentation of orange pomace. J. Food Sci. Technol. 2017, 54, 4123–4128. [Google Scholar] [CrossRef]
- Perez, E.E.; Fernández, M.B.; Nolasco, S.M.; Crapiste, G.H. Effect of pectinase on the oil solvent extraction from different genotypes of sunflower (Helianthus annuus L.). J. Food Eng. 2013, 117, 393–398. [Google Scholar] [CrossRef]
- Oumer, O.J.; Abate, D. Characterization of Pectinase from Bacillus subtilis Strain Btk 27 and Its Potential Application in Removal of Mucilage from Coffee Beans. Enzym. Res. 2017, 2017, 1–7. [Google Scholar] [CrossRef]
- Kubra, K.T.; Ali, S.; Walait, M.; Sundus, H. Potential applications of pectinases in food, agricultural, and environmental sectors. Int. J. Pharm. Chem. Biol. Sci. 2018, 6, 23–34. [Google Scholar]
- Singh, B.; Singh, J.P.; Kaur, A.; Singh, N. Bioactive compounds in banana and their associated health benefits—A review. Food Chem. 2016, 206, 1–11. [Google Scholar] [CrossRef]
- González-Montelongo, R.; Lobo, M.G.; González, M. Antioxidant activity in banana peel extracts: Testing extraction conditions and related bioactive compounds. Food Chem. 2010, 119, 1030–1039. [Google Scholar] [CrossRef]
- Kapadia, S.P.; Pudakalkatti, P.S.; Shivanaikar, S. Detection of antimicrobial activity of banana peel (Musa paradisiaca L.) on Porphyromonas gingivalis and Aggregatibacter actinomycetemcomitans: An in vitro study. Contemp. Clin. Dent. 2015, 6, 496–499. [Google Scholar] [CrossRef]
- Gurumallesh, P.; Ramakrishnan, B.; Dhurai, B. A novel metalloprotease from banana peel and its biochemical characterization. Int. J. Biol. Macromol. 2019, 134, 527–535. [Google Scholar] [CrossRef] [PubMed]
- Kabir, R.; Hasan, M.; Islam, R.; Haque, A.R.; Hasan, S.M.K. Formulation of yogurt with banana peel extracts to enhance storability and bioactive properties. J. Food Process. Preserv. 2021, 45, 15191. [Google Scholar] [CrossRef]
- Tran, T.N.; Doan, C.T.; Wang, S.-L. Conversion of Wheat Bran to Xylanases and Dye Adsorbent by Streptomyces thermocarboxydus. Polymers 2021, 13, 287. [Google Scholar] [CrossRef] [PubMed]
- Doan, C.T.; Tran, T.N.; Nguyen, V.B.; Nguyen, A.D.; Wang, S.L. Utilization of seafood processing by-products for production of proteases by Paenibacillus sp. TKU052 and their application in biopeptides’ preparation. Mar. Drugs 2020, 18, 574. [Google Scholar] [CrossRef]
- Amin, F.; Bhatti, H.N.; Bilal, M. Recent advances in the production strategies of microbial pectinases—A review. Int. J. Biol. Macromol. 2019, 122, 1017–1026. [Google Scholar] [CrossRef]
- Chung, W.S.F.; Meijerink, M.; Zeuner, B.; Holck, J.; Louis, P.; Meyer, A.S.; Wells, J.M.; Flint, H.J.; Duncan, S.H. Prebiotic potential of pectin and pectic oligosaccharides to promote anti-inflammatory commensal bacteria in the human colon. FEMS Microbiol. Ecol. 2017, 93, 93. [Google Scholar] [CrossRef]
- Mihajlovski, K.; Buntić, A.; Milić, M.; Rajilić-Stojanović, M.; Dimitrijević-Branković, S. From Agricultural Waste to Biofuel: Enzymatic Potential of a Bacterial Isolate Streptomyces fulvissimus CKS7 for Bioethanol Production. Waste Biomass Valorization 2021, 12, 165–174. [Google Scholar] [CrossRef]
- Arekemase, O.M.; Omotosho, I.O.; Agbabiaka, T.O.; Ajide-Bamigboye, N.T.; Lawal, A.K.; Ahmed, T.; Orogu, J.O. Optimization of bacteria pectinolytic enzyme production using banana peel as substrate under submerged fermentation. Sci. World J. 2020, 15, 56–63. [Google Scholar]
- Kashyap, D.; Chandra, S.; Kaul, A.; Tewari, R. Production, purification and characterization of pectinase from a Bacillus sp. DT7. World J. Microbiol. Biotechnol. 2000, 16, 277–282. [Google Scholar] [CrossRef]
- Khan, M.; Choi, Y.S.; Kim, Y.K.; Yoo, J.C. Immobilization of an alkaline endopolygalacturonase purified from Bacillus paralicheniformis exhibits bioscouring of cotton fabrics. Bioprocess Biosyst. Eng. 2018, 41, 1425–1436. [Google Scholar] [CrossRef]
- Bhardwaj, V.; Garg, N. Production, purification of pectinase from Bacillus sp. MBRL567 isolate and its application in extraction of juice. Int. J. Sci. Res. 2014, 3, 648–652. [Google Scholar]
- Swain, M.R.; Ray, R.C. Production, Characterization and Application of a Thermostable Exo-polygalacturonase by Bacillus subtilis CM5. Food Biotechnol. 2010, 24, 37–50. [Google Scholar] [CrossRef]
- Dey, A.; Karmakar, M.; Ray, R.R. Extracellular thermostable polygalacturonase from Bacillus sp. AD 1. Der Pharm. Lett. 2011, 3, 358–367. [Google Scholar]
- Mohandas, A.; Raveendran, S.; Parameswaran, B.; Abraham, A.; Athira, R.S.R.; Mathew, A.K.; Pandey, A. Production of Pectinase from Bacillus sonorensis MPTD1. Food Technol. Biotechnol. 2018, 56, 110–116. [Google Scholar] [CrossRef]
- Mukesh kumar, D.J.; Saranya, G.M.; Suresh, K.; Andal Priyadharshini, D.; Rajakumar, R.; Kalaichelvan, P.T. Production and optimization of pectinase from Bacillus sp. MFW7 using Cassava waste. Asian J. Plant Sci. Res. 2012, 2, 369–375. [Google Scholar]
- Ahlawat, S.; Mandhan, R.P.; Dhiman, S.S.; Kumar, R.; Sharma, J. Potential Application of Alkaline Pectinase from Bacillus subtilis SS in Pulp and Paper Industry. Appl. Biochem. Biotechnol. 2007, 149, 287–293. [Google Scholar] [CrossRef]
- Guo, F.; Li, X.; Zhao, J.; Li, G.; Gao, P.; Han, X. Optimizing Culture Conditions by Statistical Approach to Enhance Production of Pectinase from Bacillus sp. Y1. BioMed Res. Int. 2019, 2019, 1–10. [Google Scholar] [CrossRef]
- Yu, P.; Zhang, Y.; Gu, D. Production optimization of a heat-tolerant alkaline pectinase fromBacillus subtilisZGL14 and its purification and characterization. Bioengineered 2017, 8, 613–623. [Google Scholar] [CrossRef]
- Rehman, H.U.; Siddique, N.N.; Aman, A.; Nawaz, M.A.; Baloch, A.H.; Qader, S.A.U. Morphological and molecular based identification of pectinase producing Bacillus licheniformis from rotten vegetable. J. Genet. Eng. Biotechnol. 2015, 13, 139–144. [Google Scholar] [CrossRef]
- Sharma, D.C.; Satyanarayana, T. Biotechnological Potential of Agro Residues for Economical Production of Thermoalkali-Stable Pectinase by Bacillus pumilus dcsr1 by Solid-State Fermentation and Its Efficacy in the Treatment of Ramie Fibres. Enzym. Res. 2012, 2012, 1–7. [Google Scholar] [CrossRef]
- Ghazala, I.; Sayari, N.; Ben Romdhane, M.; Ellouz-Chaabouni, S.; Haddar, A. Assessment of pectinase production by Bacillus mojavensis I4 using an economical substrate and its potential application in oil sesame extraction. J. Food Sci. Technol. 2015, 52, 7710–7722. [Google Scholar] [CrossRef][Green Version]
- Jahan, N.; Shahid, F.; Aman, A.; Mujahid, T.Y.; Qader, S.A.U. Utilization of agro waste pectin for the production of industrially important polygalacturonase. Heliyon 2017, 3, e00330. [Google Scholar] [CrossRef]
- Doan, C.T.; Tran, T.N.; Nguyen, V.B.; Tran, T.D.; Nguyen, A.D.; Wang, S.-L. Bioprocessing of Squid Pens Waste into Chitosanase by Paenibacillus sp. TKU047 and Its Application in Low-Molecular Weight Chitosan Oligosaccharides Production. Polymers 2020, 12, 1163. [Google Scholar] [CrossRef]
- Liang, T.-W.; Lo, B.-C.; Wang, S.-L. Chitinolytic Bacteria-Assisted Conversion of Squid Pen and Its Effect on Dyes and Pigments Adsorption. Mar. Drugs 2015, 13, 4576–4593. [Google Scholar] [CrossRef]








| Compared Factors | Before Optimization | After Optimization |
|---|---|---|
| Culture time (day) | 3 | 4 |
| C concentration (w/v) | 1% pectin | 0.5% WBP |
| Cultivation temperature (°C) | 37 | 37 |
| pH value | 6.6 | 6.0 |
| Shaking speed (rpm) | 150 | 100 |
| Pectinase activity (U/mL) | 0.11 | 0.76 |
| Step | Total Protein (mg) | Total Activity (U) | Specific Activity (U/mg) | Recovery (%) | Purification (fold) |
|---|---|---|---|---|---|
| Cultural supernatant | 15,003.63 | 689.06 | 0.046 | 100.00 | 1.00 |
| (NH4)2SO4 precipitation | 2136.57 | 566.83 | 0.265 | 82.26 | 5.76 |
| Ion-exchange chromatography | 396.50 | 319.87 | 0.807 | 46.42 | 17.54 |
| Gel filtration | 54.90 | 49.89 | 0.909 | 7.24 | 19.79 |
| Strain | MW (KDa) | Opt. Temp. (°C) | Opt. pH | Carbon Source | Reference |
|---|---|---|---|---|---|
| B. amyloliquefaciens TKU050 | 58 | 50 | 6 | wheat bran | This study |
| Bacillus sp. DT7 | 106 | 60 | 8 | pectin | [29] |
| B. paralicheniformis CBS3 | 53 | 60 | 9.1 | pectin | [30] |
| Bacillus sp. MBRL576 | 66 | - | - | sucrose | [31] |
| B. subtilis Btk27 | - | 50 | 7.5 | wheat bran | [16] |
| B. subtilis | 38 | - | - | pectin | [4] |
| B. subtilis CM5 | 56 | 50 | 7 | cassava bagasse | [32] |
| Bacillus sp. AD 1 | - | 37 | 7 | pectin | [33] |
| B. tequilensis CAS-MEI-2-33 | 45.4 | 40 | 10 | tobacco stalk | [12] |
| B. sonorensis MPTD1 | - | - | - | pectin | [34] |
| Bacillus sp. MFW7 | 37 | - | - | cassava waste | [35] |
| B. subtilis TYg4-3 | - | - | - | lactose | [28] |
| B. amyloliquefaciens SW106 | - | - | - | maltose | [28] |
| B. subtilis SS | - | - | - | wheat bran | [36] |
| Bacillus sp. Y1 | - | - | - | starch, wheat bran, and sucrose | [37] |
| B. subtilis ZGL14 | 65 | 50 | 8.6 | starch | [38] |
| B. licheniformis KIBGE-IB21 | - | - | - | wheat bran | [39] |
| B. pumilus dcsr1 | sesame oilseed cake | [40] | |||
| B. mojavensis I4 | - | 60 | 8 | carrot peel | [41] |
| B. licheniformis KIBE-IB3 | - | - | - | wheat bran | [42] |
| B. safensis M35 | - | - | - | wheat bran and citrus peel | [7] |
| B. altitudinis J208 | - | - | - | wheat bran and citrus peel | [7] |
| Metal Ion/Surfactant | Concentration | Relative Pectinase Activity (%) |
|---|---|---|
| None | 100 ± 2.29 | |
| Zn2+ | 2 mM | 80.83 ± 3.38 |
| Fe2+ | 2 mM | 96.75 ± 6.03 |
| Mn2+ | 2 mM | 97.47 ± 1.21 |
| Cu2+ | 2 mM | 26.35 ± 0.24 |
| Mg2+ | 2 mM | 102.29 ± 1.93 |
| Ba2+ | 2 mM | 87.46 ± 4.94 |
| Ca2+ | 2 mM | 114.71 ± 2.53 |
| EDTA | 2 mM | 106.99 ± 3.74 |
| Triton X-100 | 0.5% | 117.48 ± 2.41 |
| Tween 20 | 0.5% | 96.75 ± 2.41 |
| Tween 40 | 0.5% | 131.94 ± 8.2 |
| SDS | 2 mM | 20.56 ± 0.72 |
Publisher’s Note: MDPI stays neutral with regard to jurisdictional claims in published maps and institutional affiliations. |
© 2021 by the authors. Licensee MDPI, Basel, Switzerland. This article is an open access article distributed under the terms and conditions of the Creative Commons Attribution (CC BY) license (https://creativecommons.org/licenses/by/4.0/).
Share and Cite
Doan, C.T.; Chen, C.-L.; Nguyen, V.B.; Tran, T.N.; Nguyen, A.D.; Wang, S.-L. Conversion of Pectin-Containing By-Products to Pectinases by Bacillus amyloliquefaciens and Its Applications on Hydrolyzing Banana Peels for Prebiotics Production. Polymers 2021, 13, 1483. https://doi.org/10.3390/polym13091483
Doan CT, Chen C-L, Nguyen VB, Tran TN, Nguyen AD, Wang S-L. Conversion of Pectin-Containing By-Products to Pectinases by Bacillus amyloliquefaciens and Its Applications on Hydrolyzing Banana Peels for Prebiotics Production. Polymers. 2021; 13(9):1483. https://doi.org/10.3390/polym13091483
Chicago/Turabian StyleDoan, Chien Thang, Chien-Lin Chen, Van Bon Nguyen, Thi Ngoc Tran, Anh Dzung Nguyen, and San-Lang Wang. 2021. "Conversion of Pectin-Containing By-Products to Pectinases by Bacillus amyloliquefaciens and Its Applications on Hydrolyzing Banana Peels for Prebiotics Production" Polymers 13, no. 9: 1483. https://doi.org/10.3390/polym13091483
APA StyleDoan, C. T., Chen, C.-L., Nguyen, V. B., Tran, T. N., Nguyen, A. D., & Wang, S.-L. (2021). Conversion of Pectin-Containing By-Products to Pectinases by Bacillus amyloliquefaciens and Its Applications on Hydrolyzing Banana Peels for Prebiotics Production. Polymers, 13(9), 1483. https://doi.org/10.3390/polym13091483

