A New Serine Protease (AsKSP) with Fibrinolytic Potential Obtained from Aspergillus tamarii Kita UCP 1279: Biochemical, Cytotoxic and Hematological Evaluation
Abstract
1. Introduction
2. Results and Discussion
2.1. Biochemical Characterization
2.1.1. Influence of Temperature on the Fibrinolytic Activity of the Protease Produced by Aspergillus tamarii Kita UCP 1279
2.1.2. Influence of pH on the Fibrinolytic Protease Activity Produced by Aspergillus tamarii Kita UCP 1279
2.1.3. Effect of Metal Ions
2.1.4. Effect of Inhibitors
2.1.5. Effect of Surfactants
2.1.6. Amidolytic Activity
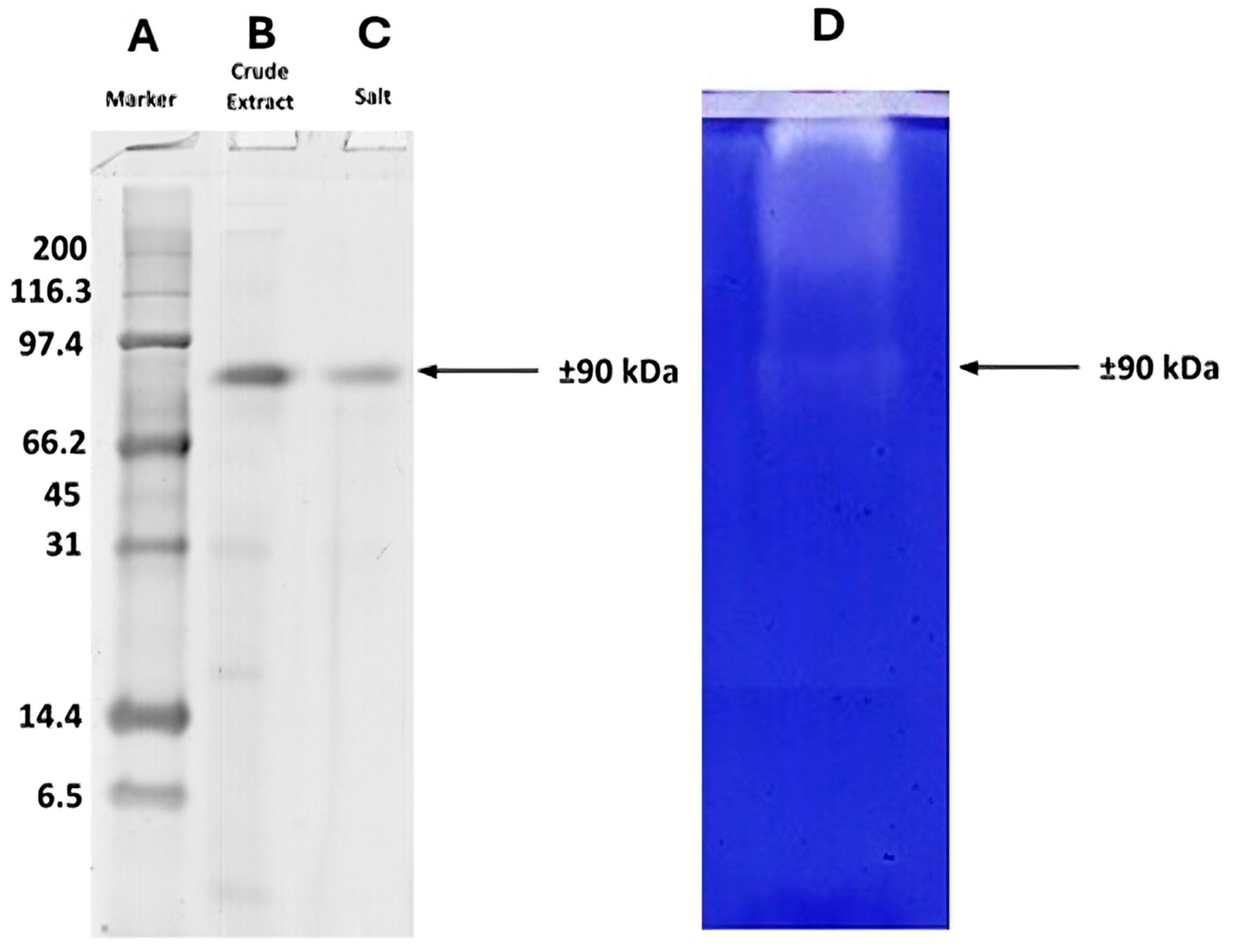
2.2. SDS-PAGE and Fibrin Zymogram
2.3. Cytotoxicity
2.4. Influence of the Purified Fibrinolytic Protease on Coagulation Times (PT, APTT, and TT)
2.5. Hemolytic Activity
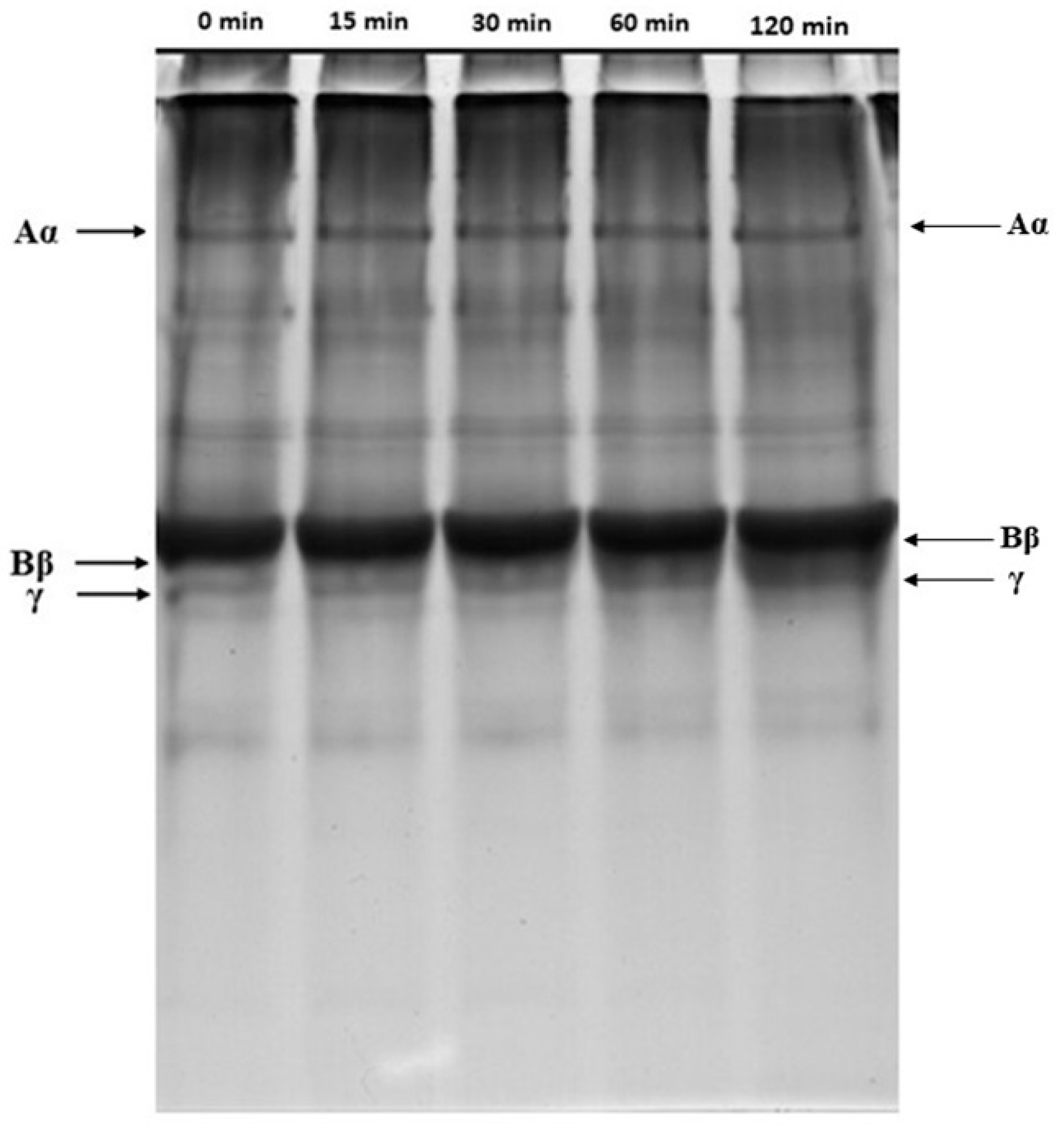
2.6. Fibrinogenolytic Activity
2.7. In Vitro Thrombolytic Degradation
2.8. Effects of Serum Albumin on Fibrinolytic Activity
3. Materials and Methods
3.1. Fibrinolytic Protease Production
3.2. Protein Quantification
3.3. Proteolytic Activity Determination
3.4. Fibrinolytic Activity Assay
3.5. Biochemical Characterization of the Purified Fibrinolytic Protease
3.5.1. Effect of pH and Temperature on Proteolytic Activity
3.5.2. Effect of Metal Ions, Inhibitors, and Surfactants
3.5.3. Amidolytic Activity Determination
3.6. Sodium Dodecyl Sulfate Polyacrylamide Gel Electrophoresis (SDS-Page)
3.7. Fibrin Zymography
3.8. Cytotoxicity Assay
3.9. Coagulation Time Determination
3.10. Hemolytic Activity
3.11. Fibrinogenolytic Activity and In Vitro Thrombolytic Degradation Assay
3.11.1. Fibrinogen Preparation
3.11.2. Fibrinogenolytic Activity
3.11.3. In Vitro Thrombolytic Degradation Assay
3.12. Effects of Serum Albumin on Fibrinolytic Activity
4. Conclusions
Author Contributions
Funding
Data Availability Statement
Acknowledgments
Conflicts of Interest
Abbreviations
| AsKSP | Aspergillus tamarii Kita serine protease |
| PT | Prothrombin time |
| aPTT | Activated partial thromboplastin time |
| TT | Thrombin time |
| ATPS | Aqueous two-phase systems |
| PMSF | Phenylmethylsulfonyl fluoride |
| TPCK | Tosyl phenylalanyl chloromethyl ketone |
| TLCK | Tosyl-L-lysine-chloromethyl ketone |
| EDTA | Ethylenediamine tetraacetic acid |
| SDS | Sodium dodecyl sulfate |
References
- Nascimento, B.R.; Brant, L.C.C.; Polanczyk, C.A.; Naback, A.D.N.; Veloso, G.A.; Polanczyk, C.A.; Ribeiro, A.L.P.; Malta, D.C.; Ferreira, A.V.L.; Oliveira, G.M.M. Carga de Doenças Cardiovasculares Atribuível aos Fatores de Risco nos Países de Língua Portuguesa: Dados do Estudo ‘Global Burden of Disease 2019’. ABC Cardiol 2022, 118, 1028–1048. [Google Scholar] [CrossRef] [PubMed]
- Roth, G.A.; Mensah, G.A.; Johnson, C.O.; Addolorato, G.; Ammirati, E.; Baddour, L.M.; Barengo, N.C.; Beaton, A.Z.; Benjamin, E.J.; Benziger, C.P.; et al. Global burden of cardiovascular diseases and risk factors, 1990–2019: Update from the GBD 2019 study. J. Am. Coll. Cardiol. 2020, 76, 2982–3021. [Google Scholar] [CrossRef] [PubMed]
- Yang, L.; Wu, H.; Jin, X.; Zheng, P.; Hu, S.; Xu, X.; Yu, W.; Yan, J. Study of cardiovascular disease prediction model based on random forest in eastern China. Sci. Rep. 2020, 10, 5245. [Google Scholar] [CrossRef] [PubMed]
- Sharma, C.; Salem, G.E.M.; Sharma, N.; Gautam, P.; Singh, R. Thrombolytic potential of novel thiol-dependent fibrinolytic protease from Bacillus cereus RSA1. Biomolecules 2019, 10, 3. [Google Scholar] [CrossRef]
- Mukai, M.; Oka, T. Mechanism and management of cancer-associated thrombosis. J. Cardiol. 2018, 72, 89–93. [Google Scholar] [CrossRef]
- Nascimento, T.P.; Sales, A.E.; Porto, T.S.; Costa, R.M.P.B.; Breydo, L.; Uversky, V.N.; Porto, A.L.F.; Converti, A. Purification, biochemical, and structural characterization of a novel fibrinolytic enzyme from Mucor subtilissimus UCP 1262. Bioprocess Biosyst. Eng. 2017, 40, 1209–1219. [Google Scholar] [CrossRef]
- Fernandes, C.J.; Morinaga, L.T.K.; Alves, J.L., Jr.; Castro, M.A.; Calderaro, D.; Jardim, C.V.P.; Souza, R. Cancer-associated thrombosis: The when, how and why. Eur. Respir. Rev. 2019, 27, 180119. [Google Scholar] [CrossRef]
- Afonso, A.; Gonçalves, A.; Barrosa, P.; Gonzalez, A.; Rodrigues, H.; Ferreira, M.J. A terapêutica antitrombótica: Atual e em desenvolvimento. Angiol. Cir. Vasc. 2016, 12, 170–179. [Google Scholar] [CrossRef][Green Version]
- Andrade, P.B.; Borges, L.S.R. Antiplaquetários nas síndromes coronarianas agudas. Int. J. Cardiovasc. Sci. 2017, 30, 442–4451. [Google Scholar] [CrossRef]
- Taipa, M.A.; Fernandes, P.; Carvalho, C.C.C.R. Production and Purification of Therapeutic Enzymes. In Therapeutic Enzymes: Function and Clinical Implications, 1st ed.; Labrou, N., Ed.; Springer: Singapore; Athens, Greece, 2019; Volume 1, pp. 1–24. [Google Scholar] [CrossRef]
- Bray, M.A.; Sartain, S.E.; Gollamudi, J.; Rumbaut, R.E. Microvascular thrombosis: Experimental and clinical implications. Transl. Res. 2020, 225, 105–130. [Google Scholar] [CrossRef]
- Mukherjee, A.K.; Rai, S.K.; Thakur, R.; Chattopadhyay, P.; Kar, S.K. Bafibrinase: A non-toxic, non-hemorrhagic, direct-acting fibrinolytic serine protease from Bacillus sp. strain AS-S20-I exhibits in vivo anticoagulant activity and thrombolytic potency. Biochimie 2012, 94, 1300–1308. [Google Scholar] [CrossRef]
- Choi, J.H.; Sapkota, K.; Park, S.-E.; Kim, S.; Kim, S.-J. Thrombolytic, anticoagulant, and antiplatelet activities of codiase, a bi-functional fibrinolytic enzyme from Codium fragile. Biochimie 2013, 95, 1266–1277. [Google Scholar] [CrossRef] [PubMed]
- Vijayaraghavan, P.; Vincent, S.G.P. Statistical optimization of fibrinolytic enzyme production using agroresidues by Bacillus cereus IND1 and its thrombolytic activity in vitro. BioMed Res. Int. 2014, 1, 725064. [Google Scholar] [CrossRef]
- Meshram, V.; Saxena, S.; Paul, K.; Gupta, M.; Kapoor, N. Production, purification, and characterization of a potential fibrinolytic protease from endophytic Xylaria curta by solid substrate fermentation. Appl. Biochem. Biotechnol. 2017, 181, 1496–1512. [Google Scholar] [CrossRef] [PubMed]
- Liu, X.; Kopparapu, N.K.; Li, Y.; Deng, Y.; Zheng, X. Biochemical characterization of a novel fibrinolytic enzyme from Cordyceps militaris. Int. J. Biol. Macromol. 2017, 94, 793–801. [Google Scholar] [CrossRef]
- Costa e Silva, P.E.; Barros, R.C.; Albuquerque, W.W.C.; Brandão, R.M.P.; Bezerra, R.P.; Porto, A.L.F. In vitro thrombolytic activity of a purified fibrinolytic enzyme from Chlorella vulgaris. J. Chromatogr. B 2018, 1092, 524–529. [Google Scholar] [CrossRef]
- Kumar, S.S.; Haridas, M.; Abdulhameed, S. A novel fibrinolytic enzyme from marine Pseudomonas aeruginosa KU1 and its rapid in vivo thrombolysis with little haemolysis. Int. J. Biol. Macromol. 2020, 162, 470–479. [Google Scholar] [CrossRef]
- Diwan, D.; Usmani, Z.; Sharma, M.; Nelson, J.W.; Thakur, V.K.; Christie, G.; Molina, G.; Gupta, V.K. Thrombolytic enzymes of microbial origin: A review. Int. J. Mol. Sci. 2021, 22, 10468. [Google Scholar] [CrossRef]
- Nascimento, T.P.; Conniff, A.E.S.; Moura, J.A.S.; Batista, J.M.S.; Costa, R.M.P.B.; Porto, C.S.; Takaki, G.M.C.; Porto, T.S.; Porto, A.L.F. Protease from Mucor subtilissimus UCP 1262: Evaluation of several specific protease activities and purification of a fibrinolytic enzyme. An. Acad. Bras. Ciênc. 2020, 92, e20200882. [Google Scholar] [CrossRef]
- Alencar, V.N.S.; Nascimento, M.C.; Ferreira, J.V.S.; Batista, J.M.S.; Cunha, M.N.C.; Nascimento, J.M.; Sobral, R.V.S.; Couto, M.T.T.; Nascimento, T.P.; Costa, R.M.P.B.; et al. Purification and characterization of fibrinolytic protease from Streptomyces parvulus by polyethylene glycol-phosphate aqueous two-phase system. An. Acad. Bras. Ciênc. 2021, 93, e20210335. [Google Scholar] [CrossRef]
- Costa, B.A.M.; Araujo, A.C.V.; Fernandes, L.M.G.; Porto, A.L.F.; Oliveira, V.M.; Porto, T.S. Extraction of collagenolytic proteases from Aspergillus heteromorphus URM 0269 in an aqueous two-phase system for application in collagen hydrolysis. Prep. Biochem. Biotechnol. 2023, 1, 647–659. [Google Scholar] [CrossRef] [PubMed]
- Nascimento, J.C.S.; Ribeiro, A.G.; Pessoa, R.A.S.; Rabello, C.B.V.; Venâncio, A.; Porto, T.S.; Teixeira, J.A.C.; Porto, A.L.F. Effect of pH and temperature on phytase and biomass production by submerged fermentation with Aspergillus niger var. phoenicis URM 4924. Res. Soc. Dev. 2022, 11, e41311628994. [Google Scholar] [CrossRef]
- Cardoso, K.B.B.; Nascimento, T.P.; Oliveira, V.M.; Costa, R.M.P.B.; Pastrana, L.; Batista, J.M.S.; Porto, A.L.F. Protease with fibrinolytic and collagenolytic activity produced by Aspergillus ochraceus URM604. Res. Soc. Dev. 2022, 11, e15511225500. [Google Scholar] [CrossRef]
- Rocha, F.T.B.; Brandão-Costa, R.M.P.; Neves, A.G.; Cardoso, K.B.B.; Nascimento, T.P.; Albuquerque, W.W.C.; Porto, A.L.F. Purification and characterization of a protease from Aspergillus sydowii URM5774: Coffee ground residue for protease production by solid-state fermentation. An. Acad. Bras. Ciênc. 2021, 93, e20200867. [Google Scholar] [CrossRef]
- Albuquerque, K.K.S.A.; Albuquerque, W.W.C.; Costa, R.M.P.B.; Batista, J.M.S.; Marques, D.A.V.; Bezerra, R.P.; Herculano, P.N.; Porto, A.L.F. Biotechnological potential of a novel tannase-acyl hydrolase from Aspergillus sydowii using waste coir residue: Aqueous two-phase system and chromatographic techniques. Biocatal. Agric. Biotechnol. 2020, 23, 101453. [Google Scholar] [CrossRef]
- Oliveira, M.C.L.; Paulo, A.J.; Lima, C.A.; Filho, J.L.L.; Souza-Motta, C.M.; Vidal, E.E.; Nascimento, T.P.; Marques, D.A.V.; Porto, A.L.F. Lovastatin production by wild strain of Aspergillus terreus isolated from Brazil. Prep. Biochem. Biotechnol. 2021, 51, 164–172. [Google Scholar] [CrossRef]
- Silva, O.S.; Almeida, E.M.; Melo, A.H.F.; Porto, T.S. Purification and characterization of a novel extracellular serine-protease with collagenolytic activity from Aspergillus tamarii URM4634. Int. J. Biol. Macromol. 2018, 117, 1081–1088. [Google Scholar] [CrossRef]
- Amaral, Y.M.S.; Silva, O.S.; Oliveira, R.L.; Porto, T.S. Production, extraction, and thermodynamics protease partitioning from Aspergillus tamarii Kita UCP1279 using PEG/sodium citrate aqueous two-phase systems. Prep. Biochem. Biotechnol. 2020, 50, 619–626. [Google Scholar] [CrossRef]
- Batista, J.M.S.; Brandão-Costa, R.M.P.; Cunha, M.N.C.; Rodrigues, H.O.S.; Porto, A.L.F. Purification and biochemical characterization of an extracellular fructosyltransferase-rich extract produced by Aspergillus tamarii Kita UCP1279. Biocatal. Agric. Biotechnol. 2020, 26, 101647. [Google Scholar] [CrossRef]
- Dienes, D.; Börjesson, J.; Hägglund, P.; Tjerneld, F.; Lidén, G.; Réczey, K.; Stålbrand, H. Identification of a trypsin-like serine protease from Trichoderma reesei QM9414. Enzym. Microb. Technol. 2007, 40, 1087–1094. [Google Scholar] [CrossRef]
- Shirasaka, N.; Naitou, M.; Okamura, K.; Fukuta, Y.; Terashita, T.; Kusuda, M. Purification and characterization of a fibrinolytic protease from Aspergillus oryzae KSK-3. Mycoscience 2012, 53, 354–364. [Google Scholar] [CrossRef]
- Choi, J.H.; Kim, D.W.; Kim, S.; Kim, S.J. Purification and partial characterization of a fibrinolytic enzyme from the fruiting body of the medicinal and edible mushroom Pleurotus ferulae. Prep. Biochem. Biotechnol. 2017, 47, 539–546. [Google Scholar] [CrossRef] [PubMed]
- Deng, Y.; Liu, X.; Katrolia, P.; Kopparapu, N.K.; Zheng, X. A dual-function chymotrypsin-like serine protease with plasminogen activation and fibrinolytic activities from the GRAS fungus, Neurospora sitophila. Int. J. Biol. Macromol. 2018, 109, 1338–1343. [Google Scholar] [CrossRef] [PubMed]
- Zhu, X.; Hua, Y.; Li, X.; Kong, X.; Zhang, C.; Chen, Y. Isolation and characterization of an activator-dependent protease from Aspergillus ochraceus screened from low denatured defatted soybean meal and the proteolysis of soy proteins. LWT 2021, 150, 112026. [Google Scholar] [CrossRef]
- Nascimento, T.P.; Sales, A.E.; Porto, C.S.; Brandão, R.M.; de Campos-Takaki, G.M.; Teixeira, J.A.; Porto, T.S.; Porto, A.L.F.; Converti, A. Purification of a fibrinolytic protease from Mucor subtilissimus UCP 1262 by aqueous two-phase systems (PEG/sulfate). J. Chromatogr. B 2016, 1025, 16–24. [Google Scholar] [CrossRef]
- Montriwong, A.; Kaewphuak, S.; Rodtong, S.; Roytrakul, S.; Yongsawatdigul, J. Novel fibrinolytic enzymes from Virgibacillus halodenitrificans SK1-3-7 isolated from fish sauce fermentation. Process Biochem. 2012, 47, 2379–2387. [Google Scholar] [CrossRef]
- Hu, Y.; Yu, D.; Wang, Z.; Hou, J.; Tyagi, R.; Liang, Y.; Hu, Y. Purification and characterization of a novel, highly potent fibrinolytic enzyme from Bacillus subtilis DC27 screened from Douchi, a traditional Chinese fermented soybean food. Sci. Rep. 2019, 9, 9235. [Google Scholar] [CrossRef]
- Majumdar, S.; Sarmah, B.; Gogoi, D.; Banerjee, S.; Ghosh, S.S.; Banerjee, S.; Chattopadhyay, P.; Mukherjee, A.K. Characterization, mechanism of anticoagulant action, and assessment of therapeutic potential of a fibrinolytic serine protease (Brevithrombolase) purified from Brevibacillus brevis strain FF02B. Biochimie 2014, 103, 50–60. [Google Scholar] [CrossRef]
- Hernández-Martínez, R.; Gutiérrez-Sánchez, G.; Bergmann, C.W.; Loera-Corral, O.; Rojo-Domínguez, A.; Huerta-Ochoa, S.; Regalado-González, C.; Prado-Barragán, L.A. Purification and characterization of a thermodynamic stable serine protease from Aspergillus fumigatus. Process Biochem. 2011, 46, 2001–2006. [Google Scholar] [CrossRef]
- Choi, B.S.; Sapkota, K.; Choi, J.H.; Shin, C.H.; Kim, S.; Kim, S.J. Herinase: A novel bi-functional fibrinolytic protease from the monkey head mushroom, Hericium erinaceum. Appl. Biochem. Biotechnol. 2013, 170, 609–622. [Google Scholar] [CrossRef]
- Zhang, S.; Wang, Y.; Zhang, N.; Sun, Z.; Shi, Y.; Cao, X.; Wang, H. Purification and characterization of a fibrinolytic enzyme from Rhizopus microsporus var. tuberosus. Food Technol. Biotechnol. 2015, 53, 243–248. [Google Scholar] [CrossRef] [PubMed]
- Liu, X.L.; Kopparapu, N.K.; Zheng, H.C.; Katrolia, P.; Deng, Y.P.; Zheng, X.Q. Purification and characterization of a fibrinolytic enzyme from the food-grade fungus, Neurospora sitophila. J. Mol. Catal. B Enzym. 2016, 134, 98–104. [Google Scholar] [CrossRef]
- Choi, D.B.; Cha, W.S.; Park, N.; Kim, H.W.; Lee, J.H.; Park, J.S.; Park, S.S. Purification and characterization of a novel fibrinolytic enzyme from fruiting bodies of Korean Cordyceps militaris. Bioresour. Technol. 2011, 102, 3279–3285. [Google Scholar] [CrossRef] [PubMed]
- Silva, O.S.; Oliveira, R.L.; Souza-Motta, C.M.; Porto, A.L.F.; Porto, T.S. Novel protease from Aspergillus tamarii URM4634: Production and characterization using inexpensive agroindustrial substrates by solid-state fermentation. Adv. Enzym. Res. 2016, 4, 125–143. [Google Scholar] [CrossRef]
- Clementino, E.L.; Sales, A.E.; Cunha, M.N.C.; Porto, A.L.F.; Porto, T.S. Integrated production and purification of fibrinolytic protease from Mucor subtilissimus UCP 1262. Arq. Bras. Med. Vet. Zootec. 2019, 71, 553–562. [Google Scholar] [CrossRef]
- Kim, D.W.; Choi, J.H.; Park, S.E.; Kim, S.; Sapkota, K.; Kim, S.J. Purification and characterization of a fibrinolytic enzyme from Petasites japonicus. Int. J. Biol. Macromol. 2015, 72, 1159–1167. [Google Scholar] [CrossRef]
- Patel, G.K.; Kawale, A.A.; Sharma, A.K. Purification and physicochemical characterization of a serine protease with fibrinolytic activity from latex of a medicinal herb Euphorbia hirta. Plant Physiol. Biochem. 2012, 52, 104–111. [Google Scholar] [CrossRef]
- Silva, O.S.; Alves, R.O.; Porto, T.S. PEG-sodium citrate aqueous two-phase systems to in situ recovery of protease from Aspergillus tamarii URM4634 by extractive fermentation. Biocatal. Agric. Biotechnol. 2018, 16, 209–216. [Google Scholar] [CrossRef]
- Chimbekujwo, K.I.; Ja’afaru, M.I.; Adeyemo, O.M. Purification, characterization and optimization conditions of protease produced by Aspergillus brasiliensis strain BCW2. Sci. Afr. 2020, 8, e00398. [Google Scholar] [CrossRef]
- Jiang, Q.; Wang, L.; Liu, Q.; Hu, J.; Li, J.; Zhang, Y. Purification and characterization of a novel fibrinolytic enzyme from Whitmania pigra Whitman. Protein Expr. Purif. 2020, 174, 105680. [Google Scholar] [CrossRef]
- Yadav, S.K.; Bisht, D.; Tiwari, S. Purification, biochemical characterization and performance evaluation of an alkaline serine protease from Aspergillus flavus MTCC 9952 mutant. Biocatal. Agric. Biotechnol. 2015, 4, 667–677. [Google Scholar] [CrossRef]
- Sun, Z.; Liu, P.; Cheng, G.; Zhang, B.; Dong, W.; Su, X.; Huang, Y.; Cui, Z.; Kong, Y. A fibrinolytic protease AfeE from Streptomyces sp. CC5, with potent thrombolytic activity in a mouse model. Int. J. Biol. Macromol. 2016, 85, 346–354. [Google Scholar] [CrossRef] [PubMed]
- Nascimento, T.P.; Sales, A.E.; Porto, C.S.; Brandão, R.M.P.; Takaki, G.M.C.; Teixeira, J.A.C.; Porto, T.S.; Porto, A.L.F. Production and characterization of new fibrinolytic protease from Mucor subtilissimus UCP 1262 in solid-state fermentation. Adv. Enzym. Res. 2015, 3, 81–91. [Google Scholar] [CrossRef]
- Karlström, A.R.; Levine, R.L. Copper inhibits the protease from human immunodeficiency virus 1 by both cysteine-dependent and cysteine-independent mechanisms. Proc. Natl. Acad. Sci. USA 1991, 88, 5552–5556. [Google Scholar] [CrossRef]
- Balaji, S.; Kumar, M.S.; Karthikeyan, R.; Kumar, R.; Kirubanandan, S.; Sridhar, R.; Sehgal, P.K. Purification and characterization of an extracellular keratinase from a hornmeal-degrading Bacillus subtilis MTCC (9102). World J. Microbiol. Biotechnol. 2008, 24, 2741–2745. [Google Scholar] [CrossRef]
- Daroit, D.J.; Correa, A.P.F.; Brandelli, A. Keratinolytic potential of a novel Bacillus sp. P45 isolated from the Amazon basin fish Piaractus mesopotamicus. Int. Biodeterior. Biodegrad. 2009, 63, 358–363. [Google Scholar] [CrossRef]
- Jayakumar, R.; Javashree, S.; Annapurna, B.; Seshadri, S. Characterization of thermostable serine alkaline protease from an alkaliphilic strain Bacillus pumilus MCAS8 and its applications. Appl. Biochem. Biotechnol. 2012, 168, 1849–1866. [Google Scholar] [CrossRef]
- Majumdar, S.; Dutta, S.; Das, T.; Chattopadhyay, P.; Mukherjee, A. Antiplatelet and antithrombotic activity of a fibrin(ogen)olytic protease from Bacillus cereus strain FF01. Int. J. Biol. Macromol. 2015, 79, 477–489. [Google Scholar] [CrossRef]
- Couto, M.T.T.; Da Silva, A.V.; Sobral, R.V.D.S.; Rodrigues, C.H.; Cunha, M.N.C.; Leite, A.C.L.; Figueiredo, M.V.B.; Oliveira, J.P.; Costa, R.M.P.B.; Conniff, A.E.S.; et al. Production, extraction, and characterization of a serine protease with fibrinolytic, fibrinogenolytic, and thrombolytic activity obtained by Paenibacillus graminis. Process Biochem. 2022, 118, 335–345. [Google Scholar] [CrossRef]
- Charles, P.; Devanathan, V.; Anbu, P.; Ponnuswamy, M.N.; Kalaichelvan, P.T.; Hur, B. Purification, characterization, and crystallization of an extracellular alkaline protease from Aspergillus nidulans HA-10. J. Basic Microbiol. 2008, 48, 347–352. [Google Scholar] [CrossRef]
- Lee, S.K.; Hwang, J.Y.; Choi, S.H.; Kim, S.M. Purification and characterization of Aspergillus oryzae LK-101 salt-tolerant acid protease isolated from soybean paste. Food Sci. Biotechnol. 2010, 19, 327–334. [Google Scholar] [CrossRef]
- Niyonzima, F.N.; More, S.S. Purification and characterization of detergent-compatible protease from Aspergillus terreus. 3 Biotech 2015, 5, 61–70. [Google Scholar] [CrossRef] [PubMed]
- Koffman, B.; Modarress, K.J.; Bashirelahi, N. The effects of various serine protease inhibitors on estrogen receptor steroid binding. J. Steroid Biochem. Mol. Biol. 1991, 38, 569–574. [Google Scholar] [CrossRef] [PubMed]
- Barros, P.D.S.; Costa e Silva, P.E.; Nascimento, T.P.; Costa, R.M.P.B.; Bezerra, R.P.; Porto, A.L.F. Fibrinolytic enzyme from Arthrospira platensis cultivated in medium culture supplemented with corn steep liquor. Int. J. Biol. Macromol. 2020, 164, 3446–3453. [Google Scholar] [CrossRef]
- Wang, S.L.; Wu, Y.Y.; Liang, T.W. Purification and biochemical characterization of a nattokinase by conversion of shrimp shell with Bacillus subtilis TKU007. New Biotechnol. 2011, 28, 196–202. [Google Scholar] [CrossRef]
- Rocha, J.M.S. Aplicações de agentes tensoativos em biotecnologia. Bol. Biotecnol. 1999, 64, 5–11. [Google Scholar]
- Tremacoldi, C.R.; Monti, R.; Selistre-de-Araujo, H.S.; Carmona, E.C. Purification and properties of an alkaline protease of Aspergillus clavatus. World J. Microbiol. Biotechnol. 2007, 23, 295–299. [Google Scholar] [CrossRef]
- Otzen, D.E. Protein unfolding in detergents: Effect of micelle structure, ionic strength, pH, and temperature. Biophys. J. 2002, 83, 2219–2230. [Google Scholar] [CrossRef]
- Moon, S.M.; Kim, J.S.; Kim, H.J.; Choi, M.S.; Park, B.R.; Kim, S.G.; Ahn, H.; Chun, H.C.; Shin, Y.K.; Kim, J.J.; et al. Purification and characterization of a novel fibrinolytic α chymotrypsin-like serine metalloprotease from the edible mushroom, Lyophyllum shimeji. J. Biosci. Bioeng. 2014, 117, 544–550. [Google Scholar] [CrossRef]
- Alencar, V.N.S.; Nascimento, M.C.; Ferreira, J.V.S.; Cunha, M.N.C.; Batista, J.M.S.; Nascimento, T.P.; Costa, R.M.P.B.; Porto, A.L.F.; Leite, A.C.L. Partitioning of fibrinolytic proteases produced by Aspergillus tamarii Kita UCP 1279 through PEG-phosphate aqueous two-phase systems. In Innovative Projects and Intellectual Production in Microbiology, 1st ed.; Neto, B.R.S., Ed.; Atena Editora: Ponta Grossa, Brazil, 2020; Volume 1, pp. 118–129. [Google Scholar] [CrossRef]
- Pandee, P.; Kittikul, A.H.; Masahiro, M.O.; Dissara, Y. Production and properties of a fibrinolytic enzyme by Schizophyllum commune BL23. J. Sci. Technol. 2008, 30, 447–453. [Google Scholar]
- Rovati, J.I.; Mensah, G.A.; Johnson, C.O.; Addolorato, G.; Ammirati, E.; Baddour, L.M.; Barengo, N.C.; Beaton, A.Z.; Benjamin, E.J.; Benziger, C.P.; et al. A novel source of fibrinolytic activity: Bionectria sp., an unconventional enzyme-producing fungus isolated from Las Yungas rainforest (Tucumán, Argentina). World J. Microbiol. Biotechnol. 2010, 26, 55–62. [Google Scholar] [CrossRef]
- Sugimoto, S.; Fujii, T.; Morimiya, T.; Johdo, O.; Nakamura, T. The fibrinolytic activity of a novel protease derived from a tempeh-producing fungus, Fusarium sp. BLB. Biosci. Biotechnol. Biochem. 2007, 71, 2184–2189. [Google Scholar] [CrossRef] [PubMed]
- Liu, X.-L.; Du, L.-X.; Lu, F.-P.; Zheng, X.-Q.; Xiao, J. Purification and characterization of a novel fibrinolytic enzyme from Rhizopus chinensis 12. Appl. Microbiol. Biotechnol. 2005, 67, 209–214. [Google Scholar] [CrossRef]
- Cha, W.S.; Park, S.S.; Kim, S.J.; Choi, D. Biochemical and enzymatic properties of a fibrinolytic enzyme from Pleurotus eryngii cultivated under solid-state conditions using corn cob. Bioresour. Technol. 2010, 101, 6475–6481. [Google Scholar] [CrossRef]
- Lu, C.L.; Chen, S.; Chen, S.N. Purification and characterization of a novel fibrinolytic protease from Schizophyllum commune. J. Food Drug Anal. 2010, 18, 4. [Google Scholar] [CrossRef]
- Xin, X.; Ambati, R.R.; Cai, Z.; Lei, B. Purification and characterization of fibrinolytic enzyme from a bacterium isolated from soil. 3 Biotech 2018, 8, 90. [Google Scholar] [CrossRef]
- Baehaaki, A.; Suhartono, M.T.; Sukarno, S.; Syah, D.; Sitanggang, A.B.; Setyahadi, S.; Meinhardt, F. Purification and characterization of collagenase from Bacillus licheniformis F11. Afr. J. Microbiol. Res. 2012, 6, 2373–2379. [Google Scholar] [CrossRef]
- Da Silva, M.M.; Rocha, T.A.; Moura, D.F.; Chagas, C.A.; Aguiar Júnior, F.C.A.; Silva Santos, N.P.; Sobral, R.V.D.S.; do Nascimento, J.M.; Leite, A.C.L.; Pastrana, L.; et al. Effect of acute exposure in Swiss mice (Mus musculus) to a fibrinolytic protease produced by Mucor subtilissimus UCP 1262: An histomorphometric, genotoxic and cytological approach. Regul. Toxicol. Pharmacol. 2019, 103, 282–291. [Google Scholar] [CrossRef]
- Yeon, S.J.; Chung, G.Y.; Hong, J.S.; Hwang, J.H.; Shin, S.H. Purification of serine protease from polychaeta, Lumbrineris nipponica, and assessment of its fibrinolytic activity. Vitr. Cell. Dev. Biol. Anim. 2017, 53, 494–501. [Google Scholar] [CrossRef]
- Kim, A.S.; Khorana, A.A.; McCrae, K.R. Mechanisms and biomarkers of cancer-associated thrombosis. Transl. Res. 2020, 225, 33–53. [Google Scholar] [CrossRef]
- Alhawiti, A.S. Citric acid-mediated green synthesis of selenium nanoparticles: Antioxidant, antimicrobial, and anticoagulant potential applications. Biomass Convers. Biorefinery 2022, 14, 6581–6590. [Google Scholar] [CrossRef] [PubMed]
- Miranda, V.M.A.M.; Barbosa Filho, J.P.M.; Costa, R.M.P.B.; Leite, A.C.L.; Oliveira, V.d.M.; Batista, J.M.d.S.; Pastrana, L.; Nascimento, T.P.; Porto, A.L.F. Evaluation of Partial Thromboplastin Time, Thrombin Time and Prothrombin Time over treated plasma using a fibrinolytic protease. Res. Soc. Dev. 2022, 11, e15311225439. [Google Scholar] [CrossRef]
- Zhou, Y.; Chen, H.; Yu, B.; Chen, G.; Liang, Z. Purification and characterization of a fibrinolytic enzyme from marine Bacillus velezensis Z01 and assessment of its therapeutic efficacy in vivo. Microorganisms 2022, 10, 843. [Google Scholar] [CrossRef]
- Ajarem, J.S.; Maodaa, S.N.; Allam, A.A.; Taher, M.M.; Khalaf, M. Benign synthesis of cobalt oxide nanoparticles containing red algae extract: Antioxidant, antimicrobial, anticancer, and anticoagulant activity. J. Cluster Sci. 2021, 33, 717–728. [Google Scholar] [CrossRef]
- Altaf, F.; Wu, S.; Kasim, V. Role of fibrinolytic enzymes in anti-thrombosis therapy. Front. Mol. Biosci. 2021, 8, 680397. [Google Scholar] [CrossRef]
- Choi, J.H.; Kim, J.E.; Kim, S.; Yoon, J.; Park, D.H.; Shin, H.J.; Lee, H.J.; Cho, S.S. Purification and partial characterization of a low molecular fibrinolytic serine metalloprotease C142 from the culture supernatant of Bacillus subtilis C142. Int. J. Biol. Macromol. 2017, 104, 724–731. [Google Scholar] [CrossRef]
- Devaraj, Y.; Rajender, S.K.; Halami, P.M. Purification and characterization of fibrinolytic protease from Bacillus amyloliquefaciens MCC2606 and analysis of fibrin degradation product by MS/MS. Prepar. Biochem. Biotechnol. 2018, 48, 172–180. [Google Scholar] [CrossRef]
- Jin, N.Z.; Gopinath, S.C.B. Potential blood clotting factors and anticoagulants. Biomed. Pharmacother. 2016, 84, 356–365. [Google Scholar] [CrossRef]
- Dara, R.C.; Sharma, R.; Bhardwaj, H. Severe drug-induced immune hemolysis due to ceftriaxone. Asian J. Transfus. Sci. 2020, 14, 187. [Google Scholar] [CrossRef]
- Selvakumar, P.; Sithara, R.; Viveka, K.; Sivashanmugam, P. Green synthesis of silver nanoparticles using leaf extract of Acalypha hispida and its application in blood compatibility. J. Photochem. Photobiol. B Biol. 2018, 182, 52–61. [Google Scholar] [CrossRef]
- Yuan, J.; Yang, J.; Zhuang, Z.; Yang, Y.; Lin, L.; Wang, S. Thrombolytic effects of Douchi fibrinolytic enzyme from Bacillus subtilis LD-8547 in vitro and in vivo. BMC Biotechnol. 2012, 12, 36. [Google Scholar] [CrossRef] [PubMed]
- Wang, S.; Deng, Z.; Li, Q.; Ge, X.; Bo, Q.; Liu, J.; Cui, J.; Jiag, X.; Liu, J.; Zhang, L.; et al. A novel alkaline serine protease with fibrinolytic activity from the polychaete, Neanthes japonica. Comp. Biochem. Physiol. B Biochem. Mol. Biol. 2011, 159, 18–25. [Google Scholar] [CrossRef] [PubMed]
- Simkhada, J.R.; Cho, S.S.; Mander, P.; Choi, Y.H.C.; Yoo, J.C. Purification, biochemical properties and antithrombotic effect of a novel Streptomyces enzyme on carrageenan-induced mice tail thrombosis model. Thromb. Res. 2012, 129, 176–182. [Google Scholar] [CrossRef] [PubMed]
- Li, G.; Liu, X.; Cong, S.; Deng, Y.; Zheng, X. A novel serine protease with anticoagulant and fibrinolytic activities from the fruiting bodies of mushroom Agrocybe aegerita. Int. J. Biol. Macromol. 2021, 168, 631–639. [Google Scholar] [CrossRef]
- Henriques, E.S.; Fonseca, N.; Ramos, M.J. On the modeling of snake venom serine proteinase interactions with benzamidine-based thrombin inhibitors. Protein Sci. 2004, 13, 2355–2369. [Google Scholar] [CrossRef]
- Langer, B.; Wolosker, M. Coagulação e fibrinólise: Ideias atuais e suas aplicações clínicas. Rev. Med. 2006, 85, 157–164. [Google Scholar] [CrossRef]
- Guyton, A.C.; Hall, J.E. Tratado de Fisiologia Médica, 13th ed.; GEN Guanabara Koogan: Rio de Janeiro, Brasil, 2017; pp. 475–485. [Google Scholar]
- Ariens, R.A.S. Novel mechanisms that regulate clot structure/function. Thromb. Res. 2016, 141, S25–S27. [Google Scholar] [CrossRef]
- Ahamed, N.A.; Arif, I.A.; Al-Rashed, S.; Panneerselvam, A.; Ambikapathy, V. In vitro thrombolytic potential of fibrinolytic enzyme from Brevibacterium sp. isolated from the root of the plant, Aloe castellorum. J. King Saud Univ. Sci. 2022, 34, 101868. [Google Scholar] [CrossRef]
- Mahajan, P.M.; Nayak, S.; Lele, S.S. Fibrinolytic enzyme from newly isolated marine bacterium Bacillus subtilis ICTF-1: Media optimization, purification and characterization. J. Biosci. Bioeng. 2012, 113, 307–314. [Google Scholar] [CrossRef]
- Vijayaraghan, P.; Arun, A.; Vicent, S.G.P.; Arasu, M.V.; Al-Dhabi, N.A. Cow dung is a novel feedstock for fibrinolytic enzyme production from newly isolated Bacillus sp. IND7 and its application in vitro clot lysis. Front. Microbiol. 2016, 7, 361. [Google Scholar] [CrossRef]
- Nighat, F.; Mushtaq, Z.; Maqsood, M.; Shahid, M.; Hanif, M.A.; Jamil, A. Cytotoxic, α-amylase inhibitory and thrombolytic activities of organic and aqueous extracts of Bacillus clausii KP10. Pak. J. Pharm. Sci. 2020, 33, 135–139. [Google Scholar] [CrossRef] [PubMed]
- Da Silva, M.M.; Duarte Neto, J.M.W.; Regueira, B.V.B.; Couto, M.T.T.; Sobral, R.V.S.; Connif, A.E.S.; Costa, R.M.P.B.; Nogueira, M.C.B.L.; Santos, N.P.S.; Pastrana, L.; et al. Immobilization of fibrinolytic protease from Mucor subtilissimus UCP 1262 in magnetic nanoparticles. Protein Expr. Purif. 2022, 192, 106044. [Google Scholar] [CrossRef] [PubMed]
- Prasad, S.; Kashyap, R.S.; Deopujari, J.Y.; Purohit, H.J.; Taori, G.M.; Daginawala, H.F. Development of an in vitro model to study clot lysis activity of thrombolytic drugs. Thromb. J. 2006, 4, 14. [Google Scholar] [CrossRef] [PubMed]
- Anderson, L.; Anderson, N.G. High resolution two-dimensional electrophoresis of human plasma proteins. Proc. Natl. Acad. Sci. USA 1977, 74, 5421–5425. [Google Scholar] [CrossRef]
- Adkins, J.N.; Varnum, S.M.; Auberry, K.J.; Moore, R.J.; Angell, N.H.; Smith, R.D.; Springer, D.L.; Pounds, J.G. Toward a human blood serum proteome: Analysis by multidimensional separation coupled with mass spectrometry. Mol. Cell. Proteom. 2002, 1, 947–955. [Google Scholar] [CrossRef]
- Park, J.W.; Park, J.E.; Choi, H.K.; Jung, T.W.; Yoon, S.M.; Lee, J.S. Purification and characterization of three thermostable alkaline fibrinolytic serine proteases from the polychaete Cirriformia tentaculata. Process Biochem. 2013, 48, 979–987. [Google Scholar] [CrossRef]
- Smith, P.K.; Krohn, R.I.; Hermanson, G.T.; Mallia, A.K.; Gartner, F.H.; Provenzano, M.D.; Fujimoto, E.K.; Goeke, N.M.; Olson, B.J.; Klenk, D.C. Measurement of protein using bicinchoninic acid. Anal. Biochem. 1985, 150, 76–85. [Google Scholar] [CrossRef]
- Ginther, C.L. Sporulation and the production of serine protease and cephamycin C by Streptomyces lactamdurans. Antimicrob. Agents Chemother. 1979, 15, 522–526. [Google Scholar] [CrossRef]
- Kim, W.; Choi, K.; Kim, Y.; Park, H.; Choi, J.; Lee, Y.; Oh, H.; Kwon, I.; Lee, S. Purification and characterization of a fibrinolytic enzyme produced from Bacillus sp. strain CK 11-4 screened from Chungkook-Jang. Appl. Environ. Microbiol. 1996, 62, 2482–2488. [Google Scholar] [CrossRef]
- Laemmli, U.K. Cleavage of structural proteins during the assembly of the head of bacteriophage T4. Nature 1970, 227, 680–685. [Google Scholar] [CrossRef]
- Kim, S.H.; Choi, N.S.; Lee, W.Y. Fibrin zymography: A direct analysis of fibrinolytic enzymes on gels. Anal. Biochem. 1998, 263, 115–116. [Google Scholar] [CrossRef] [PubMed]
- Mosmann, T. Rapid colorimetric assay for cellular growth and survival: Application to proliferation and cytotoxicity assays. J. Immunol. Methods. 1983, 65, 55–63. [Google Scholar] [CrossRef] [PubMed]
- Rajendran, K.; Sen, S.; Suja, G.; Lakshmana Senthil, S.; Vinoth Kumar, T. Evaluation of cytotoxicity of hematite nanoparticles in bacteria and human cell lines. Colloids Surf. B Biointerfaces 2017, 157, 101–109. [Google Scholar] [CrossRef] [PubMed]
- Chang, A.K.; Kim, H.Y.; Park, J.E.; Acharya, P.; Park, I.S.; Yoon, S.M.; You, H.J.; Hahm, K.S.; Park, J.K.; Lee, J.S. Vibrio vulnificus secretes a broad-specificity metalloprotease capable of interfering with blood homeostasis through prothrombin activation and fibrinolysis. J. Bacteriol. 2005, 187, 6909–6916. [Google Scholar] [CrossRef]
- Da Silva, A.V.; Nascimento, J.M.; Rodrigues, C.H.; Nascimento, D.C.S.; Costa, R.M.P.B.; Marques, D.A.V.; Leite, A.C.L.; Figueiredo, M.V.B.; Pastrana, L.; Converti, A.; et al. Partial purification of fibrinolytic and fibrinogenolytic protease from Gliricidia sepium seeds by aqueous two-phase system. Biocatal. Agric. Biotechnol. 2020, 27, 101669. [Google Scholar] [CrossRef]








| Metal Ions (5 mM) | Residual Activity (%) |
|---|---|
| Control | 100.00 |
| Cu2+ | 87.82 * ± 0.84 |
| Mn2+ | 103.74 ± 0.74 |
| K+ | 102.99 ± 0.34 |
| Zn2+ | 106.17 * ± 0.96 |
| Mg2+ | 105.61 ± 3.25 |
| Na+ | 107.67 * ± 1.28 |
| Ca2+ | 98.87 ± 1.38 |
| Fe2+ | 100.37 ± 1.27 |
| Fe3+ | 87.07 * ± 0.06 |
| Inhibitors (5 mM) | Residual Activity (%) |
|---|---|
| Control | 100.00 |
| β-mercaptoethanol | 99.60 ± 2.38 |
| EDTA | 94.88 * ± 0.08 |
| Iodoacetic acid | 102.95 ± 0.74 |
| PMSF | 15.95 * ± 1.55 |
| TPCK | 13.58 * ± 1.87 |
| TLCK | 69.29 * ± 1.99 |
| Surfactants | Residual Activity (%) |
|---|---|
| Control | 100.00 |
| Tween 20 | 103.10 ± 2.38 |
| Tween 80 | 110.70 * ± 0.98 |
| SDS | 37.65 * ± 1.47 |
| Triton X-100 | 62.34 * ± 0.98 |
| Substrate | Enzyme | Amidolytic Activity |
|---|---|---|
| N-Succinyl-Gly–Gly–Phe-p-nitroanilide | Chymotrypsin | +++ |
| N-Succinyl-L-phenylalanine-p-nitroanilide | Chymotrypsin | + |
| Nα-Benzoyl-DL-arginine 4-nitroanilide hydrochloride | Trypsin | − |
| TP/Time | Control | 2.5 mg/mL | 5 mg/mL | 10 mg/mL |
|---|---|---|---|---|
| 15 min | 12.80 ± 0.30 | 12.95 ± 0.35 | 13.40 ± 0.14 | 14.15 ± 0.92 |
| 45 min | 13.40 ± 0.10 | 13.40 ± 0.07 | 13.55 ± 0.21 | 13.85 ± 1.48 |
| TP/Time | Control | 2.5 mg/mL | 5 mg/mL | 10 mg/mL |
|---|---|---|---|---|
| 15 min | 27.10 ± 0.90 | 27.80 ± 1.70 | 28.45 ± 0.07 | 28.55 ± 1.34 |
| 45 min | 29.00 ± 0.20 | 30.00 ± 1.98 | 32.10 ± 0.14 | 34.50 ± 0.42 |
Disclaimer/Publisher’s Note: The statements, opinions and data contained in all publications are solely those of the individual author(s) and contributor(s) and not of MDPI and/or the editor(s). MDPI and/or the editor(s) disclaim responsibility for any injury to people or property resulting from any ideas, methods, instructions or products referred to in the content. |
© 2025 by the authors. Licensee MDPI, Basel, Switzerland. This article is an open access article distributed under the terms and conditions of the Creative Commons Attribution (CC BY) license (https://creativecommons.org/licenses/by/4.0/).
Share and Cite
Barbosa-Filho, J.P.M.; Sobral, R.V.S.; Alencar, V.N.S.; Silva, M.M.; Batista, J.M.S.; Campos-Takaki, G.M.; Albuquerque, W.W.C.; Brandão-Costa, R.M.P.; Porto, A.L.F.; Leite, A.C.L.; et al. A New Serine Protease (AsKSP) with Fibrinolytic Potential Obtained from Aspergillus tamarii Kita UCP 1279: Biochemical, Cytotoxic and Hematological Evaluation. Catalysts 2025, 15, 561. https://doi.org/10.3390/catal15060561
Barbosa-Filho JPM, Sobral RVS, Alencar VNS, Silva MM, Batista JMS, Campos-Takaki GM, Albuquerque WWC, Brandão-Costa RMP, Porto ALF, Leite ACL, et al. A New Serine Protease (AsKSP) with Fibrinolytic Potential Obtained from Aspergillus tamarii Kita UCP 1279: Biochemical, Cytotoxic and Hematological Evaluation. Catalysts. 2025; 15(6):561. https://doi.org/10.3390/catal15060561
Chicago/Turabian StyleBarbosa-Filho, José P. Martins, Renata V. Silva Sobral, Viviane N. S. Alencar, Marllyn Marques Silva, Juanize M. Silva Batista, Galba Maria Campos-Takaki, Wendell W. C. Albuquerque, Romero M. P. Brandão-Costa, Ana Lúcia Figueiredo Porto, Ana C. L. Leite, and et al. 2025. "A New Serine Protease (AsKSP) with Fibrinolytic Potential Obtained from Aspergillus tamarii Kita UCP 1279: Biochemical, Cytotoxic and Hematological Evaluation" Catalysts 15, no. 6: 561. https://doi.org/10.3390/catal15060561
APA StyleBarbosa-Filho, J. P. M., Sobral, R. V. S., Alencar, V. N. S., Silva, M. M., Batista, J. M. S., Campos-Takaki, G. M., Albuquerque, W. W. C., Brandão-Costa, R. M. P., Porto, A. L. F., Leite, A. C. L., & Nascimento, T. P. (2025). A New Serine Protease (AsKSP) with Fibrinolytic Potential Obtained from Aspergillus tamarii Kita UCP 1279: Biochemical, Cytotoxic and Hematological Evaluation. Catalysts, 15(6), 561. https://doi.org/10.3390/catal15060561

